Acquisition of Streptomycin Resistance by Oxidative Stress Induced by Hydrogen Peroxide in Radiation-Resistant Bacterium Deinococcus geothermalis
Abstract
1. Introduction
2. Results
2.1. Selection of Streptomycin Resistance as a New IS Transposition Biomarker
2.2. Growth Effects of Streptomycin
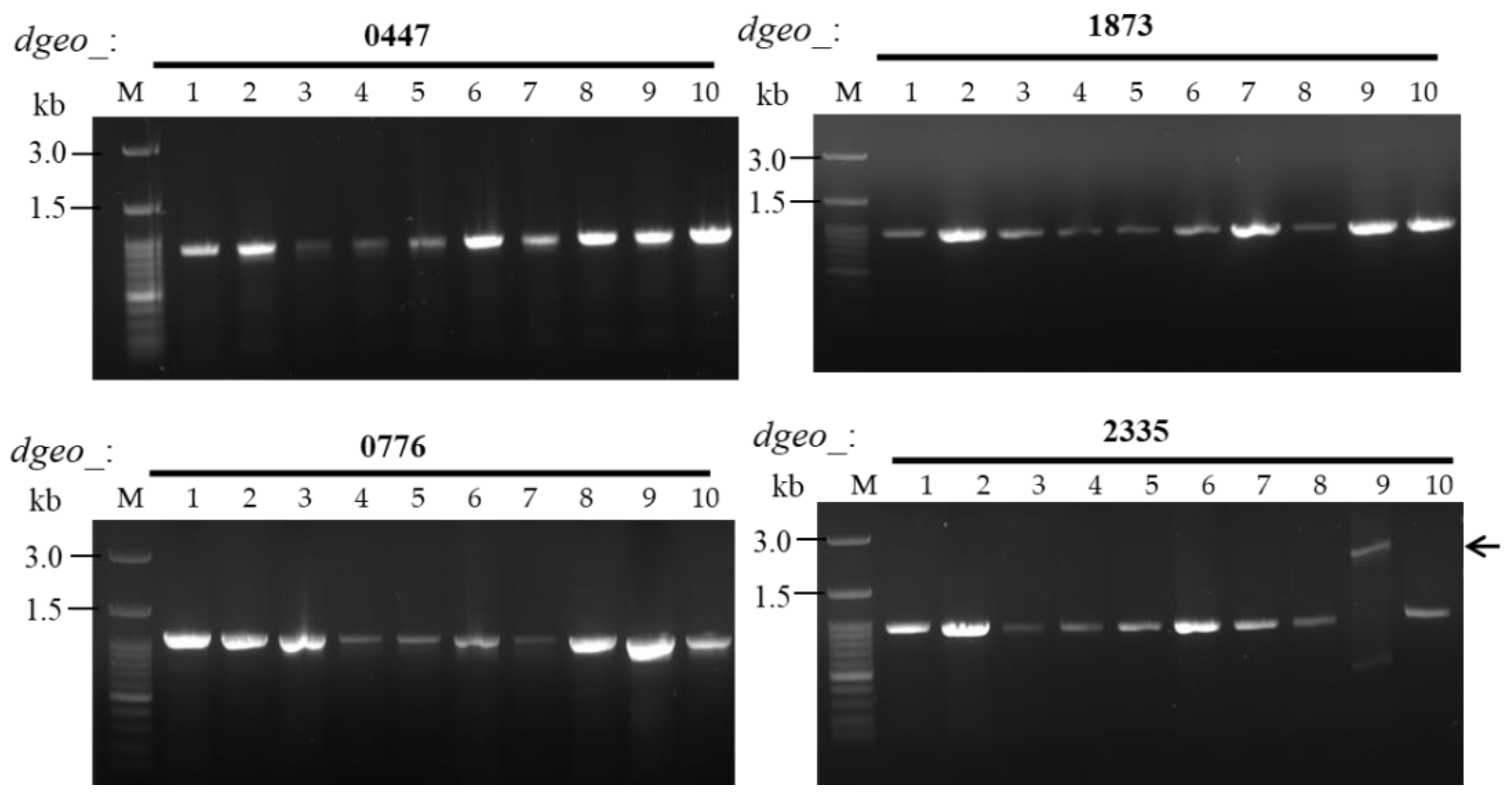
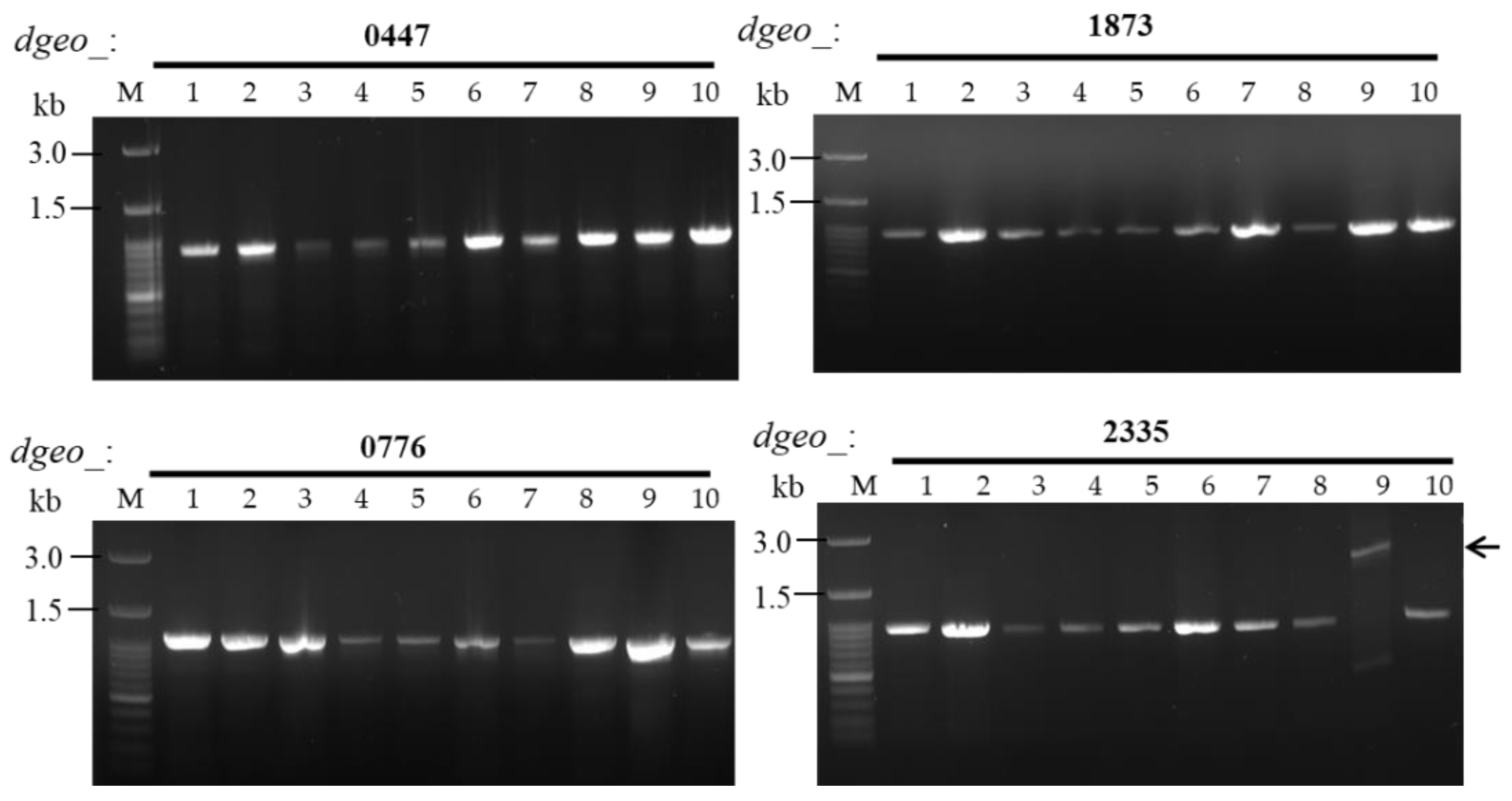
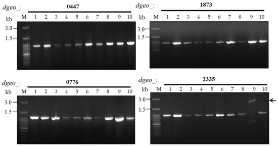
2.3. Detection of IS Transposition
2.4. Detection of Point and Frameshift Mutations in Ribosome-Related Genes
2.5. In Silico Analysis of Protein Biosynthesis Control
2.6. qRT-PCR of Translational Factors for SmD Cell Growth
2.7. Detection of Antibiotic Uptake and Modifying Genes
3. Discussion
4. Materials and Methods
4.1. Bacterial Strains and Culture Conditions
4.2. Chronic Oxidative Stress
4.3. Determination of Streptomycin Minimum Inhibitory Concentration (MIC)
4.4. Growth Curve Determination
4.5. Detection of Transposition Loci
4.6. DNA Sequence Analysis
4.7. Quantitative Real-Time (qRT)-PCR
Supplementary Materials
Author Contributions
Funding
Institutional Review Board Statement
Informed Consent Statement
Data Availability Statement
Acknowledgments
Conflicts of Interest
References
- Wilson, D.N. Ribosome-targeting antibiotics and mechanisms of bacterial resistance. Nat. Rev. Microbiol. 2014, 12, 35–48. [Google Scholar] [CrossRef]
- Lin, J.; Zhou, D.; Steitz, T.A.; Polikanov, Y.S.; Gagnon, M.G. Ribosome-targeting antibiotics: Mode of action, mechanisms of resistance, and implications for drug design. Ann. Rev. Biochem. 2018, 87, 451–478. [Google Scholar] [CrossRef]
- Wistrand-Yuen, E.; Knopp, M.; Hjort, K.; Koskiniemi, S.; Berg, O.G.; Andersson, D.I. Evolution of high-level resistance during low-level antibiotic exposure. Nat. Comm. 2018, 9, 1599. [Google Scholar] [CrossRef]
- Carter, A.P.; Clemons, W.M.; Brodersen, D.E.; Morgan-Warren, R.J.; Wimberly, B.T.; Ramakrishnan, V. Functional insights from the structure of the 30S ribosomal subunit and its interactions with antibiotics. Nature 2000, 407, 340–348. [Google Scholar] [CrossRef] [PubMed]
- Demirci, H.; Murphy, I.V.F.; Murphy, E.; Gregory, S.T.; Dahlberg, A.E.; Jogl, G. A structural basis for Sm-induced misreading of the genetic code. Nat. Comm. 2013, 4, 1355. [Google Scholar] [CrossRef] [PubMed]
- Klein, M.; Kimmelman, L.J. The role of spontaneous variants in the acquisition of streptomycin resistance by the Shigellae. J. Bacteriol. 1946, 52, 471–479. [Google Scholar] [CrossRef] [PubMed]
- Paine, T.F.; Finland, M. Streptomycin-sensitive, -dependent, and -resistant bacteria. Science 1948, 107, 143–144. [Google Scholar] [CrossRef]
- Newcombe, H.B.; Hawirko, R. Spontaneous mutation to streptomycin resistance and dependence in Escherichia coli. J. Bacteriol. 1949, 57, 565–572. [Google Scholar] [CrossRef]
- Ravin, A.W.; Mishra, A.K. Relative frequencies of different kinds of spontaneous and induced mutants of Pneumococci and Streptococci capable of growth in the present of streptomycin. J. Bacteriol. 1965, 90, 1161–1173. [Google Scholar] [CrossRef]
- Gupta, R.S.; Schlessinger, D. Coupling of rates of transcription, translation, and messenger ribonucleic acid degradation in streptomycin-dependent mutants of Escherichia coli. J. Bacteriol. 1976, 125, 84–93. [Google Scholar] [CrossRef]
- Gregory, S.T.; Cate, J.H.; Dahlberg, A.E. Streptomycin-resistant and streptomycin-dependent mutants of the extreme thermophile Thermus thermophilus. J. Mol. Biol. 2001, 309, 333–338. [Google Scholar] [CrossRef] [PubMed]
- Tojo, S.; Tanaka, Y.; Ochi, K. Activation of antibiotic production in Bacillus spp. by cumulative drug resistance mutations. Antimicro. Agen. Chemoth. 2015, 59, 7799–7804. [Google Scholar] [CrossRef] [PubMed]
- Okamoto, S.; Tamaru, A.; Nakajima, C.; Nishimura, K.; Tanaka, Y.; Tokuyama, S.; Suzuki, Y.; Ochi, K. Loss of a conserved 7-methylguanosine modification in 16S rRNA confers low-level streptomycin resistance in bacteria. Mol. Microbiol. 2007, 63, 1096–1106. [Google Scholar] [CrossRef]
- Ogle, J.M.; Ramakrishnan, V. Structural insights into translational fidelity. Ann. Rev. Biochem. 2005, 74, 129–177. [Google Scholar] [CrossRef] [PubMed]
- Nishimura, K.; Hosaka, T.; Tokuyama, S.; Okamoto, S.; Ochi, K. Mutation in rsmG, encoding a 16S rRNA methyltransferase, result in low-level streptomycin resistance and antibiotic overproduction in Streptomyces coelicolor A3(2). J. Bacteriol. 2007, 189, 3876–3883. [Google Scholar] [CrossRef]
- Nishimura, K.; Johansen, S.K.; Inaoka, T.; Hosaka, T.; Tokuyama, S.; Tahara, Y.; Okamoto, S.; Kawamura, F.; Douthwaite, S.; Ochi, K. Identification of the RsmG methyltransferase target as 16S rRNA nucleotide G527 and characterization of Bacillus subtilis rsmG mutants. J. Bacteriol. 2007, 189, 6068–6073. [Google Scholar] [CrossRef]
- Wong, S.Y.; Lee, J.S.; Kwak, H.K.; Via, L.E.; Boshoff, H.I.; Barry, C.E., 3rd. Mutations in gidB confer low-level streptomycin resistance in Mycobacterium tuberculosis. Anti. Agent. Chemoth. 2011, 55, 2515–2522. [Google Scholar] [CrossRef]
- Tanaka, Y.; Komatsu, M.; Okamoto, S.; Tokuyama, S.; Kaji, A.; Ikeda, H.; Ochi, K. Antibiotic overproduction by rpsL and rsmG mutants of various Actinomycetes. Appl. Environ. Microbiol. 2009, 75, 4919–4922. [Google Scholar] [CrossRef]
- Koskiniemi, S.; Pranting, M.; Gullerg, E.; Nasvall, J.; Andersson, D.I. Activation of cryptic aminoglycoside resistance in Samonella enterica. Mol. Microbiol. 2011, 80, 1464–1478. [Google Scholar] [CrossRef]
- Stern, A.L.; Van der Verren, S.E.; Kanchugal, P.S.; Näsvall, J.; Gutiérrez-de-terán, H.; Selmer, M. Structural mechanism of AadA, a dual-specificity aminoglycoside adenylyltransferase from Salmonella enterica. J. Biol. Chem. 2018, 293, 11481–11490. [Google Scholar] [CrossRef]
- Carr, J.F.; Hamburg, D.-M.; Gregory, S.T.; Limbach, P.A.; Dahlberg, A.E. Effects of streptomycin resistance mutations on posttranslational modification of ribosomal protein S12. J. Bacteriol. 2006, 188, 2020–2023. [Google Scholar] [CrossRef] [PubMed]
- Gregory, S.T.; Dahlberg, A.E. Transposition of an insertion sequence, ISTth7, in the genome of the extreme thermophile Thermus thermophilus HB8. FEMS Microbiol. Lett. 2008, 289, 187–192. [Google Scholar] [CrossRef] [PubMed]
- Mahillon, J.; Chandler, M. Insertion sequences. Microbiol. Mol. Biol. Rev. 1998, 62, 725–774. [Google Scholar] [CrossRef] [PubMed]
- Vandecraen, J.; Chandler, M.; Aertsen, A.; Van Houdt, R. The impact of insertion sequences on bacterial genome plasticity and adaptability. Crit. Rev. Microbiol. 2017, 43, 709–730. [Google Scholar] [CrossRef] [PubMed]
- Schell, M.A. Molecular biology of the LysR family of transcriptional regulators. Ann. Rev. Microbiol. 1993, 47, 597–626. [Google Scholar] [CrossRef] [PubMed]
- Lee, C.; Choi, N.; Bae, M.K.; Choo, K.; Lee, S.-J. Transposition of insertion sequences was triggered by oxidative stress in radiation-resistant bacterium Deinococcus geothermalis. Microorganisms 2019, 7, 446. [Google Scholar] [CrossRef]
- Lee, C.; Choo, K.; Lee, S.-J. Active transposition of insertion sequences by oxidative stress in Deinococcus geothermalis. Front. Microbiol. 2020, 11, 558747. [Google Scholar] [CrossRef]
- Sehnal, D.; Bittrich, S.; Deshpande, M.; Svobodová, R.; Berka, K.; Bazgier, V.; Velankar, S.; Burley, S.K.; Koča, J.; Rose, A.S. Mol* viewer: Modern web app for 3D visualization and analysis of large biomolecular structure. Nucl. Acid. Res. 2021, 49, W431–W437. [Google Scholar] [CrossRef]
- Carr, J.F.; Gregory, S.T.; Dahlberg, A.E. Severity of the streptomycin resistance and streptomycin dependence phenotypes of ribosomal protein S12 of Thermus thermophilus depends on the identity of highly conserved amino acid residues. J. Bacteriol. 2005, 187, 3548–3550. [Google Scholar] [CrossRef]
- Gregory, S.T.; Carr, J.F.; Dahlberg, A.E. A signal relay between ribosomal protein S12 and elongation factor EF-Tu during decoding of mRNA. RNA 2009, 15, 208–214. [Google Scholar] [CrossRef][Green Version]
- Wegener, H.C. Antibiotics in animal feed and their role in resistance development. Curr. Opin. Microbiol. 2003, 6, 439–445. [Google Scholar] [CrossRef] [PubMed]
- Gadde, U.; Kim, W.H.; Oh, S.T.; Lillehoj, H.S. Alternatives to antibiotics for maximizing growth performance and feed efficiency in poultry: A review. Anim. Health Res. Rev. 2017, 18, 26–45. [Google Scholar] [CrossRef] [PubMed]
- Zhang, F.; Gao, J.; Wang, B.; Huo, D.; Wang, Z.; Zhang, J.; Shao, Y. Whole-genome sequencing reveals the mechanisms for evolution of streptomycin resistance in Lactobacillus plantarum. J. Dairy Sci. 2018, 101, 2867–2874. [Google Scholar] [CrossRef] [PubMed]
- Lim, C.S.; Lee, Y.S.; Kahng, H.-Y.; Ahn, S.; Jung, J.S. Resistance genes in high-level streptomycin resistant Escherichia coli isolated from shellfish. Kor. J. Microbiol. 2018, 54, 228–236. [Google Scholar]
- Lázár, V.; Nagy, I.; Spohn, R.; Csörgö, B.; Györkei, Á.; Nyerges, Á.; Horváth, B.; Vörös, A.; Busafekete, R.; Hrtyan, M. Genome-wide analysis captures the determinants of the antibiotic cross-resistance interaction network. Nat. Comm. 2014, 5, 4352. [Google Scholar] [CrossRef]
- Windels, E.M.; Van den Bergh, B.; Michiels, J. Bacteria under antibiotic attack: Different strategies for evolutionary adaptation. PLoS Pathog. 2020, 16, e1008431. [Google Scholar] [CrossRef]
- Funatsu, G.; Nierhaus, K.; Wittmann, H.G. Ribosomal proteins. XXXVII. Determination of allele types and amino acid exchanges in protein S12 of three streptomycin-resistant mutants of Escherichia coli. Biochim. Biophys. Acta 1972, 287, 282–291. [Google Scholar] [CrossRef]
- Björkman, J.; Samuelsson, P.; Andersson, D.I.; Hughes, D. Novel ribosomal mutations affecting translational accuracy, antibiotic resistance and virulence of Salmonella typhimurium. Mol. Microbiol. 1999, 31, 53–58. [Google Scholar] [CrossRef]
- Demirci, H.; Murphy, I.V.F.; Murphy, E.; Connetti, J.L.; Dahlberg, A.E.; Jogl, G.; Gregory, S.T. Structural analysis of base substitution in Thermus thermophilus 16S rRNA conferring streptomycin resistance. Anti. Agent. Chemoth. 2014, 58, 4308–4317. [Google Scholar] [CrossRef]
- Brodersen, D.E.; Clemons, W.M., Jr.; Carter, A.P.; Wimberly, B.T.; Ramakrishnan, V. Crystal structure of the 30S ribosomal subunit from Thermus thermophilus: Structure of the proteins and their interactions with 16S RNA. J. Mol. Biol. 2002, 316, 725–768. [Google Scholar] [CrossRef]
- Ogle, J.M.; Brodersen, D.E.; Clemons, W.M., Jr.; Tarry, M.J.; Carter, A.P.; Ramakrishnan, V. Recognition of cognate transfer RNA by the 30S ribosomal subunit. Science 2001, 292, 897–902. [Google Scholar] [CrossRef] [PubMed]
- Tojo, S.; Kim, J.-Y.; Tanaka, Y.; Inaoka, T.; Hiraga, Y.; Ochi, K. The mthA mutation conferring low-level resistance to streptomycin enhances antibiotic production in Bacillus subtilis by increasing the S-adenosylmethionine pool size. J. Bacteriol. 2014, 196, 1514–1524. [Google Scholar] [CrossRef] [PubMed]
- Gill, A.E.; Amyes, S.G.B. The contribution of a novel ribosomal S12 mutation to aminoglycoside resistance of Escherichia coli mutants. J. Chemother. 2004, 16, 347–349. [Google Scholar] [CrossRef] [PubMed]
- Kharat, A.S.; Coursange, E.; Noirclere-Savoye, M.; Lacoste, J.; Blot, M. IS1 transposition is enhanced by translation errors and by bacterial growth at extreme glucose levels. Acta Biochim. Pol. 2006, 53, 729–738. [Google Scholar] [CrossRef]
- Hoeksema, M.; Brul, S.; Ter Kuile, B.H. Influence of reactive oxygen species on de novo acquisition of resistance to bactericidal antibiotics. Anti. Agent. Chemothe. 2018, 62, e02354-17. [Google Scholar]
- Van Acker, H.; Coenye, T. The role of reactive oxygen species in antibiotic-mediated killing of bacteria. Trend. Microbiol. 2017, 25, 456–466. [Google Scholar] [CrossRef]
- Li, H.; Zhou, X.; Huang, Y.; Liao, B.; Cheng, L.; Ren, B. Reactive oxygen species in pathogen clearance: The killing mechanisms, the adaption response, and the side effects. Front. Microbiol. 2021, 11, 622534. [Google Scholar] [CrossRef]
- Choo, K.; Kim, M.; Abdi Nansa, S.; Bae, M.K.; Lee, C.; Lee, S.-J. Redox potential change by the cystine importer affected on enzymatic antioxidant protection in Deinococcus geothermalis. Anton. Van Leeuwen. 2020, 113, 779–790. [Google Scholar] [CrossRef]
- Allen, P.N.; Noller, H.F. Mutations in ribosomal proteins S4 and S12 influence the higher order structure of 16S ribosomal RNA. J. Mol. Biol. 1989, 208, 457–468. [Google Scholar] [CrossRef]
- Siguier, P.; Perochon, J.; Lestrade, L.; Mahillon, J.; Chandler, M. ISfinder: The reference centre for bacterial insertion sequences. Nucl. Acid. Res. 2006, 34, D32–D36. [Google Scholar] [CrossRef]







| Strains | Phenotype | MIC (µg/mL) | dgeo_1873 (rpsL) | dgeo_2335 (rsmG) | dgeo_0776 (mthA) | dgeo_0447 (mthA) | dgeo_0915 (nuoG) | |
|---|---|---|---|---|---|---|---|---|
| WT | S1/S3/S4 | SmR | 50,000 | 272nd C -> A (P91H) | - | - | - | S3: 1371st C -> A (Arg -> Arg) |
| S2 | SmR | 50,000 | 272nd C -> A (P91H) | - | 84th deletion | - | - | |
| Δdgeo_0257 | S1 | SmR | 20,000 | 262nd A -> G (K88E) | 679th deletionframeshift | - | - | - |
| Δdgeo_0281 | S1 | SmR | 50,000 | 272nd C -> A (P91H) | - | 102nd G -> C (Arg -> Arg) | 627th deletion | 1371st C -> A (Arg -> Arg) 1462nd G -> C (Gly -> Arg) 1491st G -> A (Arg -> Arg) |
| Δdgeo_2840 | S1 | SmD | 25,000 | 272nd C -> T (P91L) | - | - | - | - |
| S2 | SmD | 25,000 | 272nd C -> T (P91L) | - | - | - | - | |
| SrsmG | SmR | 10,000 | - | 58th ISDge6 transposition | - | - | - | |
Publisher’s Note: MDPI stays neutral with regard to jurisdictional claims in published maps and institutional affiliations. |
© 2022 by the authors. Licensee MDPI, Basel, Switzerland. This article is an open access article distributed under the terms and conditions of the Creative Commons Attribution (CC BY) license (https://creativecommons.org/licenses/by/4.0/).
Share and Cite
Lee, C.; Ye, Q.; Shin, E.; Ting, T.; Lee, S.-J. Acquisition of Streptomycin Resistance by Oxidative Stress Induced by Hydrogen Peroxide in Radiation-Resistant Bacterium Deinococcus geothermalis. Int. J. Mol. Sci. 2022, 23, 9764. https://doi.org/10.3390/ijms23179764
Lee C, Ye Q, Shin E, Ting T, Lee S-J. Acquisition of Streptomycin Resistance by Oxidative Stress Induced by Hydrogen Peroxide in Radiation-Resistant Bacterium Deinococcus geothermalis. International Journal of Molecular Sciences. 2022; 23(17):9764. https://doi.org/10.3390/ijms23179764
Chicago/Turabian StyleLee, Chanjae, Qianying Ye, Eunjung Shin, Tian Ting, and Sung-Jae Lee. 2022. "Acquisition of Streptomycin Resistance by Oxidative Stress Induced by Hydrogen Peroxide in Radiation-Resistant Bacterium Deinococcus geothermalis" International Journal of Molecular Sciences 23, no. 17: 9764. https://doi.org/10.3390/ijms23179764
APA StyleLee, C., Ye, Q., Shin, E., Ting, T., & Lee, S.-J. (2022). Acquisition of Streptomycin Resistance by Oxidative Stress Induced by Hydrogen Peroxide in Radiation-Resistant Bacterium Deinococcus geothermalis. International Journal of Molecular Sciences, 23(17), 9764. https://doi.org/10.3390/ijms23179764
