DOG1 as an Immunohistochemical Marker of Acinic Cell Carcinoma: A Systematic Review and Meta-Analysis
Abstract
:1. Introduction
2. Materials and Methods
2.1. Study Eligibility
2.2. Data Extraction
2.3. Data Analysis
3. Results
4. Discussion
5. Conclusions
Author Contributions
Funding
Institutional Review Board Statement
Informed Consent Statement
Data Availability Statement
Conflicts of Interest
References
- Al-Zaher, N.; Obeid, A.; Al-Salam, S.; Al-Kayyali, B.S. Acinic cell carcinoma of the salivary glands: A literature review. Hematol. Oncol. Stem Cell Ther. 2009, 2, 259–264. [Google Scholar] [CrossRef]
- Skalova, A.; Michal, M.; Simpson, R.H.W. Newly described salivary gland tumors. Mod. Pathol. 2017, 30 (Suppl. S1), S27–S43. [Google Scholar] [CrossRef] [PubMed]
- Nagel, H.; Laskawi, R.; Büter, J.J.; Schröder, M.; Chilla, R.; Droese, M. Cytologic Diagnosis of Acinic-Cell Carcinoma of Salivary Glands. Diagn. Cytopathol. 1997, 16, 402–412. [Google Scholar] [CrossRef]
- Alphs, H.H.; Eisele, D.W.; Westra, D.H. The role of fine needle aspiration in the evaluation of parotid masses. Curr. Opin. Otolaryngol. Head Neck Surg. 2006, 14, 62–66. [Google Scholar] [CrossRef]
- Godwin, J.T.; Foot, F.W., Jr.; Frazell, E.L. Acinic cell adenocarcinoma of the parotid gland: Report of twenty-seven cases. Am. J. Pathol. 1954, 30, 465–477. [Google Scholar]
- Spiro, H.; Huvos, A.G.; Strong, E.W. Acinic cell carcinoma of salivary origin: A Clinicopathologic Study of 67 Cases. Cancer 1978, 41, 924–935. [Google Scholar] [CrossRef]
- Miettinen, M.; Wang, Z.F.; Lasota, J. DOG1 antibody in the differential diagnosis of gastrointestinal stromal tumors: A study of 1840 cases. Am. J. Surg. Pathol. 2009, 33, 1401–1408. [Google Scholar] [CrossRef]
- Britschgi, A.; Bill, A.; Brinkhaus, H.; Rothwell, C.; Clay, I.; Duss, S.; Rebhan, M.; Raman, P.; Guy, C.T.; Wetzel, K.; et al. Calcium-activated chloride channel ANO1 promotes breast cancer progression by activating EGFR and CAMK signaling. Proc. Natl. Acad. Sci. USA 2013, 110, E1026–E1034. [Google Scholar] [CrossRef]
- Crottes, D.; Lin, Y.T.; Peters, C.J.; Gilchrist, J.M.; Wiita, A.P.; Jan, Y.N.; Jan, L.Y. TMEM16A controls EGF-induced calcium signaling implicated in pancreatic cancer prognosis. Proc. Natl. Acad. Sci. USA 2019, 116, 13026–13035. [Google Scholar] [CrossRef]
- Duvvuri, U.; Shiwarski, D.J.; Xiao, D.; Bertrand, C.; Huang, X.; Edinger, R.S.; Rock, J.R.; Harfe, B.D.; Henson, B.J.; Kunzelmann, K.; et al. TMEM16A induces MAPK and contributes directly to tumorigenesis and cancer progression. Cancer Res. 2012, 72, 3270–3281. [Google Scholar] [CrossRef]
- Godse, N.R.; Khan, N.; Yochum, Z.A.; Gomez-Casal, R.; Kemp, C.; Shiwarski, D.J.; Seethala, R.S.; Kulich, S.; Seshadri, M.; Burns, T.F.; et al. TMEM16A/ANO1 inhibits apoptosis via downregulation of Bim expression. Clin. Cancer Res. 2017, 23, 7324–7332. [Google Scholar] [CrossRef] [PubMed] [Green Version]
- Hu, C.; Zhang, R.; Jiang, D. TMEM16A as a potential biomarker in the diagnosis and prognosis of lung cancer. Arch. Iran. Med. 2019, 22, 32–38. [Google Scholar] [PubMed]
- Wang, H.; Yao, F.; Luo, S.; Ma, K.; Liu, M.; Bai, L.; Chen, S.; Song, C.; Wang, T.; Du, Q.; et al. A mutual activation loop between the Ca(2+)-activated chloride channel TMEM16A and EGFR/STAT3 signaling promotes breast cancer tumorigenesis. Cancer Lett. 2019, 455, 48–59. [Google Scholar] [CrossRef] [PubMed]
- Yu, Y.; Cao, J.; Wu, W.; Zhu, Q.; Tang, Y.; Zhu, C.; Dai, J.; Li, Z.; Wang, J.; Xue, L.; et al. Genome-wide copy number variation analysis identified ANO1 as a novel oncogene and prognostic biomarker in esophageal squamous cell cancer. Carcinogenesis 2019, 40, 1198–1208. [Google Scholar] [CrossRef]
- Zhang, C.; Liu, J.; Han, Z.; Cui, X.; Peng, D.; Xing, Y. Inhibition of TMEM16A suppresses growth and induces apoptosis in hepatocellular carcinoma. Int. J. Clin. Oncol. 2020, 25, 1145–1154. [Google Scholar] [CrossRef] [PubMed]
- Liu, Z.; Zhang, S.; Hou, F.; Zhang, C.; Gao, J.; Wang, K. Inhibition of Ca(2+)-activated chloride channel ANO1 suppresses ovarian cancer through inactivating PI3K/Akt signaling. Int. J. Cancer 2019, 144, 2215–2226. [Google Scholar] [CrossRef]
- Ardeleanu, C.; Arsene, D.; Hinescu, M.; Andrei, F.; Gutu, D.; Luca, L.; Popescu, L.M. Pancreatic expression of DOG1: A novel gastrointestinal stromal tumor (GIST) biomarker. Appl. Immunohistochem. Mol. Morphol. 2009, 17, 413–418. [Google Scholar] [CrossRef]
- Li, Y.; Zhang, J.; Hong, S. ANO1 as a marker of oral squamous cell carcinoma and silencing ANO1 suppresses migration of human SCC-25 cells. Med. Oral Patol. Oral Cir. Bucal 2014, 19, e313–e319. [Google Scholar] [CrossRef]
- Liu, F.; Cao, Q.H.; Lu, D.J.; Luo, B.; Lu, X.F.; Luo, R.C.; Wang, X.G. TMEM16A overexpression contributes to tumor invasion and poor prognosis of human gastric cancer through TGF-beta signaling. Oncotarget 2015, 6, 11585–11599. [Google Scholar] [CrossRef]
- Liu, W.; Lu, M.; Liu, B.; . Huang, K. Wang. Inhibition of Ca(2+)-activated Cl(-) channel ANO1/TMEM16A expression suppresses tumor growth and invasiveness in human prostate carcinoma. Cancer Lett. 2012, 326, 41–51. [Google Scholar] [CrossRef]
- Sahin, S.; Ekinci, O.; Seckin, S.; Dursun, A. The diagnostic and prognostic utility of DOG1 expression on gastrointestinal stromal tumors. Turk. Patoloji Derg. 2017, 33, 1–8. [Google Scholar] [PubMed] [Green Version]
- Zeng, X.; Pan, D.; Wu, H.; Chen, H.; Yuan, W.; Zhou, J.; Shen, Z.; Chen, S. Transcriptional activation of ANO1 promotes gastric cancer progression. Biochem. Biophys. Res. Commun. 2019, 512, 131–136. [Google Scholar] [CrossRef] [PubMed]
- Lee, C.H.; Liang, C.W.; Espinosa, I. The utility of discovered on gastrointestinal stromal tumor 1 (DOG1) antibody in surgical pathology-the GIST of it. Adv. Anat. Pathol. 2010, 17, 222–232. [Google Scholar] [CrossRef] [PubMed]
- Carles, A.; Millon, R.; Cromer, A.; Ganguli, G.; Lemaire, F.; Young, J.; Wasylyk, C.; Muller, D.; Schultz, I.; Rabouel, Y.; et al. Head and neck squamous cell carcinoma transcriptome analysis by comprehensive validated differential display. Oncogene 2006, 25, 1821–1831. [Google Scholar] [CrossRef] [PubMed]
- Bergmann, F.; Andrulis, M.; Hartwig, W.; Penzel, R.; Gaida, M.M.; Herpel, E.; Schirmacher, P.; Mechtersheimer, G. Discovered on gastrointestinal stromal tumor 1 (DOG1) is expressed in pancreatic centroacinar cells and in solid-pseudopapillary neoplasms--novel evidence for a histogenetic relationship. Hum. Pathol. 2011, 42, 817–823. [Google Scholar] [CrossRef]
- Almaça, J.; Tian, Y.; Aldehni, F.; Ousingsawat, J.; Kongsuphol, P.; Rock, J.R.; Harfe, B.D.; Schreiber, R.; Kunzelmann, K. TMEM16 proteins produce volume-regulated chloride currents that are reduced in mice lacking TMEM16A. J. Biol. Chem. 2009, 284, 28571–28578. [Google Scholar] [CrossRef]
- Kunzelmann, K.; Kongsuphol, P.; Aldehni, F.; Tian, Y.; Ousingsawat, J.; Warth, R.; Schreiber, R. Bestrophin and TMEM16-Ca2+ activated Cl− channels with different functions. Cell Calcium 2009, 46, 233–241. [Google Scholar] [CrossRef]
- Ousingsawat, J.; Martins, J.R.; Schreiber, R.; Rock, J.R.; Harfe, B.D.; Kunzelmann, K. Loss of TMEM16A causes a defect in epithelial Ca2+-dependent chloride transport. J. Biol. Chem. 2009, 284, 28698–28703. [Google Scholar] [CrossRef]
- Chênevert, J.; Duvvuri, U.; Chiosea, S.; Dacic, S.; Cieply, K.; Kim, J.; Shiwarski, D.; Seethala, R.R. DOG1: A novel marker of salivary acinar and intercalated duct differentiation. Mod. Pathol. 2012, 25, 919–929. [Google Scholar] [CrossRef]
- Schmitt, A.C. DOG1, p63, and S100 protein: A novel immunohistochemical panel in the differential diagnosis of oncocytic salivary gland neoplasms in fine-needle aspiration cell blocks. J. Am. Soc. Cytopathol. 2014, 3, 303–308. [Google Scholar] [CrossRef]
- Raboh, A.N.M.; Hakim, S.A. Diagnostic role of DOG1 and p63 immunohistochemistry in salivary gland carcinomas. Int. J. Clin. Exp. Pathol. 2015, 8, 9214–9222. [Google Scholar]
- Hamamoto, Y.; Harada, H.; Kohara, M.; Honma, K.; Nakatsuka, S.I.; Morii, E. Usefulness of immunohistochemistry to distinguish between secretory carcinoma and acinic cell carcinoma in the salivary gland. Med. Mol. Morphol. 2021, 54, 23–30. [Google Scholar] [CrossRef] [PubMed]
- Hsieh, M.S.; Jeng, Y.M.; Jhuang, Y.L.; Chou, Y.H.; Lin, C.Y. Carbonic anhydrase VI: A novel marker for salivary serous acinar differentiation and its application to discriminate acinic cell carcinoma from mammary analogue secretory carcinoma of the salivary gland. Histopathology 2016, 68, 641–647. [Google Scholar] [CrossRef] [PubMed]
- Hsieh, M.S.; Chou, Y.H.; Yeh, A.J.; Chang, Y.L. Papillary-cystic pattern is characteristic in mammary analogue secretory carcinomas but is rarely observed in acinic cell carcinomas of the salivary gland. Virchows Arch. 2015, 467, 145–153. [Google Scholar] [CrossRef]
- Khurram, S.A.; Sultan-Khan, J.; Atkey, N.; Speight, P.M. Cytogenetic and immunohistochemical characterization of mammary analogue secretory carcinoma of salivary glands. Oral Surg. Oral Med. Oral Pathol. Oral Radiol. 2016, 122, 731–742. [Google Scholar] [CrossRef]
- Khurram, S.A.; Speight, P.M. Characterisation of DOG-1 Expression in Salivary Gland Tumours and Comparison with Myoepithelial Markers. Head Neck Pathol. 2019, 13, 140–148. [Google Scholar] [CrossRef]
- Naous, R.; Zhang, S.; Valente, A.; Stemmer, M.; Khurana, K.K. Utility of Immunohistochemistry and ETV6 (12p13) Gene Rearrangement in Identifying Secretory Carcinoma of Salivary Gland among Previously Diagnosed Cases of Acinic Cell Carcinoma. Pathol. Res. Int. 2017, 2017, 1497023. [Google Scholar] [CrossRef] [PubMed]
- Owosho, A.; Tyler, D.; Adesina, O.; Odujoko, O.; Summersgill, K. NR4A3 (NOR-1) Immunostaining Shows Better Performance than DOG1 Immunostaining in Acinic Cell Carcinoma of Salivary Gland: A Preliminary Study. J. Oral Maxillofac. Res. 2021, 12, e4. [Google Scholar] [CrossRef]
- Said-Al-Naief, N.; Carlos, R.; Vance, G.H.; Miller, C.; Edwards, P.C. Combined DOG1 and Mammaglobin Immunohistochemistry Is Comparable to ETV6-breakapart Analysis for Differentiating Between Papillary Cystic Variants of Acinic Cell Carcinoma and Mammary Analogue Secretory Carcinoma. Int. J. Surg. Pathol. 2017, 25, 127–140. [Google Scholar] [CrossRef]
- Skaugen, J.M.; Seethala, R.R.; Chiosea, S.I.; Landau, M.S. Evaluation of NR4A3 immunohistochemistry (IHC) and fluorescence in situ hybridization and comparison with DOG1 IHC for FNA diagnosis of acinic cell carcinoma. Cancer Cytopathol. 2021, 129, 104–113. [Google Scholar] [CrossRef] [PubMed]
- Stevens, T.M.; Kovalovsky, A.O.; Velosa, C.; Shi, Q.; Dai, Q.; Owen, R.P.; Bell, W.C.; Wei, S.; Althof, P.A.; Sanmann, J.N.; et al. Mammary analog secretory carcinoma, low-grade salivary duct carcinoma, and mimickers: A comparative study. Mod. Pathol. 2015, 28, 1084–1100. [Google Scholar] [CrossRef] [PubMed]
- Thompson, L.D.; Aslam, M.N.; Stall, J.N.; Udager, A.M.; Chiosea, S.; McHugh, J.B. Clinicopathologic and Immunophenotypic Characterization of 25 Cases of Acinic Cell Carcinoma with High-Grade Transformation. Head Neck Pathol. 2016, 10, 152–160. [Google Scholar] [CrossRef] [PubMed] [Green Version]
- Urano, M.; Nagao, T.; Miyabe, S.; Ishibashi, K.; Higuchi, K.; Kuroda, M. Characterization of mammary analogue secretory carcinoma of the salivary gland: Discrimination from its mimics by the presence of the ETV6-NTRK3 translocation and novel surrogate markers. Hum. Pathol. 2015, 46, 94–103. [Google Scholar] [CrossRef] [PubMed]
- Mariano, F.V.; Gómez, C.A.C.; Nascimento, J.D.S.D.; dos Santos, H.T.; Egal, E.S.; Montalli, V.A.M.; Vargas, P.A.; de Almeida, O.P.; Altemani, A. Lysozyme Expression Can be Useful to Distinguish Mammary Analog Secretory Carcinoma from Acinic Cell Carcinoma of Salivary Glands. Head Neck Pathol. 2016, 10, 429–436. [Google Scholar] [CrossRef]
- Hemminger, J.; Iwenofu, O.H. Discovered on gastrointestinal stromal tumours 1 (DOG1) expression in non-gastrointestinal stromal tumour (GIST) neoplasms. Histopathology 2012, 61, 170–177. [Google Scholar] [CrossRef]
- Jung, M.J.; Song, J.S.; Kim, S.Y.; Nam, S.Y.; Roh, J.-L.; Choi, S.-H.; Kim, S.-B.; Cho, K.-J. Finding and Characterizing Mammary Analogue Secretory Carcinoma of the Salivary Gland. Korean J. Pathol. 2013, 47, 36–43. [Google Scholar] [CrossRef]
- Shi, K.; Xin-Quan, L. Pathological features of mammary analogue secretory carcinoma of the salivary gland. Int. J. Clin. Exp. Pathol. 2017, 10, 7460–7465. [Google Scholar]
- Kuwabara, H.; Yamamoto, K.; Terada, T. Hemorrhage of MRI and Immunohistochemical Panels Distinguish Secretory Carcinoma from Acinic Cell Carcinoma. Laryngoscope Investig. Otolaryngol. 2018, 3, 268–274. [Google Scholar] [CrossRef]
- Egger, M.; Davey Smith, G.; Schneider, M.; Minder, C. Bias in meta-analysis detected by a simple, graphical test. BMJ (Clin. Res. Ed.) 1997, 315, 629–634. [Google Scholar] [CrossRef]
- Huedo-Medina, T.B.; Sanchez-Meca, J.; Marìn-Martìnez, F.; Botella, J. Assessing heterogeneity in meta-analysis: Q statistic or I2 index? Psychol. Methods 2006, 11, 193–206. [Google Scholar] [CrossRef]
- Higgins, J.P.; Thompson, S.G.; Deeks, J.J.; Altman, D.G. Measuring inconsistency in meta-analyses. BMJ 2003, 327, 557–560. [Google Scholar] [CrossRef] [PubMed]
- Begg, C.B.; Mazumdar, M. Operating characteristics of a rank correlation test for publication bias. Biometrics 1994, 50, 1088–1101. [Google Scholar] [CrossRef] [PubMed]
- Ellis, G.L.; Auclair, P.L. Tumors of the salivary glands. In AFIP Atlas of Tumor Pathology, 4th Series, Fascicle 9; ARP Press: Silver Spring, MD, USA, 2008; pp. 204–225. [Google Scholar]
- Yang, Y.D.; Cho, H.; Koo, J.Y.; Tak, M.H.; Cho, Y.; Shim, W.S.; Park, S.P.; Lee, J.; Lee, B.; Kim, B.M.; et al. TMEM16A confers receptor-activated calcium-dependent chloride conductance. Nature 2008, 455, 1210–1215. [Google Scholar] [CrossRef] [PubMed]


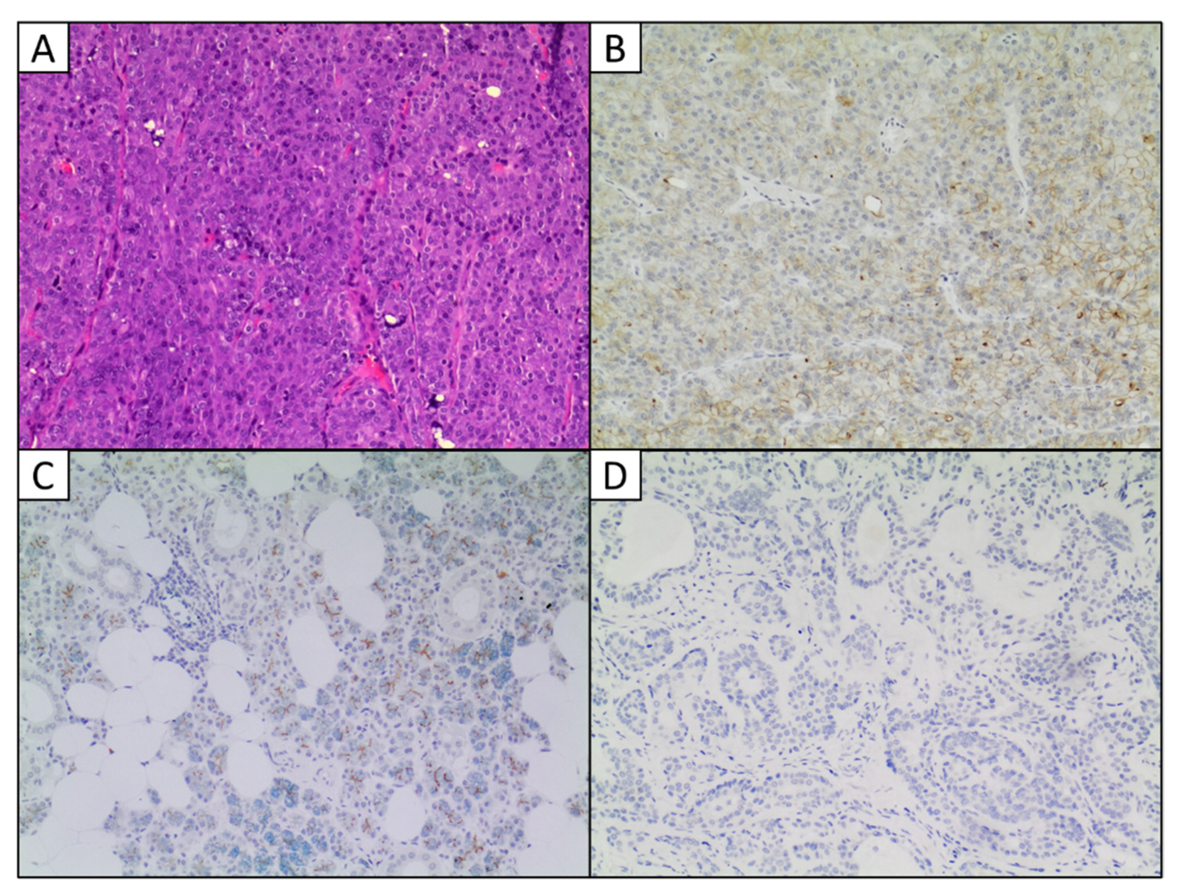
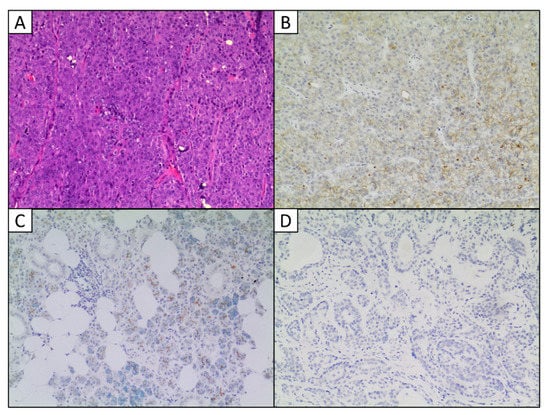
![]() |
| Author | Year | Country | ACC | Age (y/o) | Sex (% M) | Tumor Size (cm) | Distant Metastasis (n. of Cases) | Follow Up (m) | Outcome | DOG1 Expression (%) |
|---|---|---|---|---|---|---|---|---|---|---|
| Chenevert [29] | 2012 | USA | 28 | 28/28 (100) | ||||||
| Raboh [31] | 2015 | Egypt | 9 | 9/9 (100) | ||||||
| Hamamoto [32] | 2020 | Japan | 8 | 59.8 | 25 | 4.1 | 1 | 93.4 | Alive: 3 Dead: 2 NA: 3 | 8/8 (100) |
| Hsieh [33] | 2016 | Taiwan | 28 | 28/28 (100) | ||||||
| Hsieh [34] | 2015 | Taiwan | 21 | 42 | 50 | 3 | 12 | 26 | 20/21 (95.2) | |
| Khurram [35] | 2016 | UK | 31 | 46 | 47.6 | 31/31 (100) | ||||
| Khurram [36] | 2019 | UK | 15 | 14/15 (93.3) | ||||||
| Naous [37] | 2017 | USA | 15 | 49.3 | 33.3 | 14/15 (93.3) | ||||
| Owosho [38] | 2021 | USA | 6 | 54 | 0 | 2.9 | 5/6 (83.3) | |||
| Said-Al-Naief [39] | 2017 | USA | 14 | 55 | 28.5 | 4 | 16 | Alive 13 Dead 1 | 11/14 (78.6) | |
| Schmitt [30] | 2014 | USA | 37 | 32/37 (86.5) | ||||||
| Skaugen [40] | 2021 | USA | 11 | 66 | 63.6 | 9/11 (81.8) | ||||
| Stevens [41] | 2015 | USA | 13 | 63 | 44.4 | 13/13 (100) | ||||
| Thompson [42] | 2016 | USA | 25 | 63.2 | 36 | 3.9 | 22 | Alive 6 Dead 16 Lost to FU 3 | 20/25 (80) | |
| Urano [43] | 2014 | Japan | 6 | 63 | 50 | 2.4 | 1 | 10.5 | Alive 5 Dead 1 | 3/6 (50) |
| Viviane Mariano [44] | 2016 | Brazil | 17 | 46.2 | 14/17 (82.4) | |||||
| Hemminger [45] | 2011 | USA | 5 | 4/5 (80) | ||||||
| Jung [46] | 2013 | Korea | 6 | 44.1 | 2.57 | 50 | Alive 6 Dead 0 | 3/6 (50) | ||
| Shi [47] | 2017 | China | 30 | 29/30 (96.7) | ||||||
| Kuwabara [48] | 2018 | Japan | 8 | 55.5 | 12.5 | 2 | 8/8 (100) |
| Author | Clone | Dilution | Manufacturer |
|---|---|---|---|
| Chenevert [29] | Clone 1.1 | 1:50 | Zeta Co, Sierra Madre, CA |
| Raboh [31] | Clone 1.1 | NA | Thermo scientific |
| Hamamoto [32] | SP31 | RTU | Roche |
| Hsieh [33] | SP31 | RTU | Roche Ventana |
| Hsieh [34] | SP31 | RTU | Roche Ventana |
| Khurram [35] | NA | 1:100 | Leica Microsystems |
| Khurram [36] | Mouse monoclonal | 1:250 | DAKO |
| Naous [37] | SP31 | RTU | Cell Marque |
| Owosho [38] | SP31 | 1:50 | Thermo Fisher Scientific |
| Said-Al-Naief [39] | SP31 | RTU | Ventana |
| Schmitt [30] | SP31 | 1:40 | Cell Marque |
| Skaugen [40] | SP31 | 1:50 | Thermo Fisher Scientific |
| Stevens [41] | SP31 | RTU | Cell Marque |
| Thompson [42] | SP31 | 1:50 | Cell Marque |
| Urano [43] | SP31 | 1:1 | Nichirei |
| Viviane Mariano [44] | DOG1.1 | RTU | Abcam |
| Hemminger [45] | clone K9 | 1:100 | Leica Microsystems |
| Jung [46] | Rabbit polyclonal | 1:200 | Spring Science |
| Shi [47] | SP31 | NA | MXB |
| Kuwabara [48] | SP31 | 1:50 | Thermo Scientific |
| K | N | Overall Rate of Expression (95% CI) | Q | I2 | |
|---|---|---|---|---|---|
| DOG1 | 20 | 333 | 55% (95% CI = 0.43–0.58) | Q = 3.12 | I2 = 0.00 |
| Author | DOG1 Expression (%) | Cut-Off Value |
|---|---|---|
| Chenevert [29] | 28/28 (100) | Cases were considered as ‘negative’ if <2% of the tumor expressed DOG1, as ‘focal’ if between 2 and 50%, and as ‘diffuse’ if >50% had staining |
| Raboh [31] | 9/9 (100) | The staining intensity was scored as weak 1+, moderate 2+, and strong 3+. The staining of normal serous acini was used as 2+, more intense staining was graded 3+ and less intense as 1+. |
| Hamamoto [32] | 8/8 (100) | The tumor cells of the ACC cases generally showed strong DOG1 staining intensity on the apical side, but strong cytoplasmic staining was detected in some ACC cases, especially in areas with a solid pattern. |
| Hsieh [33] | 28/28 (100) | Most cases of ACC showed a diffuse (>50% cells) staining, with a mixed apical staining (more frequently observed) and a cytoplasmic staining pattern |
| Hsieh [34] | 20/21 (95.2) | Most cases of ACC showed a diffuse (>50% cells) staining, with a mixed apical staining (more frequently observed) and a cytoplasmic staining pattern |
| Khurram [35] | 31/31 (100) | Strong apical/luminal DOG1 staining was seen in normal acini, although occasional cells demonstrated lateral and basal expression. Staining was stronger in serous acini compared to mucus and focally intercalated ducts showed positive luminal reactivity. |
| Khurram [36] | 14/15 (93.3) | Strong apical/luminal DOG1 staining was seen in normal acini, although occasional cells demonstrated lateral and basal expression. Staining was stronger in serous acini compared to mucus and focally intercalated ducts showed positive luminal reactivity. |
| Naous [37] | 14/15 (93.3) | NA |
| Owosho [38] | 5/6 (83.3) | NA |
| Said-Al-Naief [39] | 11/14 (78.6) | NA |
| Schmitt [30] | 32/37 (86.5) | Immunostaining was graded as weak (1+), moderate (2+), and intense (3+). |
| Skaugen [40] | 9/11 (81.8) | Staining was semiquantitatively scored for intensity (0, 1+, 2+, 3+) and extent (<1%, 1–25%, 26–50%, 51–75%, 76–100%) |
| Stevens [41] | 13/13 (100) | NA |
| Thompson [42] | 20/25 (80) | Luminal DOG1 staining was considered positive and was assessed as a percentage of the respective (LG vs. HG) component being analyzed |
| Urano [43] | 3/6 (50) | NA |
| Viviane Mariano [44] | 14/17 (82.4) | (a) Apical–luminal, (b) mixed membranous and cytoplasmic, (c) cytoplasmic. In the mixed pattern, the membranous component did not exhibit the apical–luminal staining. |
| Hemminger [45] | 4/5 (80) | DOG1 immunopositivity was scored quantitatively for the percentage of positive tumor cells staining (%: 0, ≤10, ≤25, ≤50, >50), intensity (0, negative; 1+, weak staining ⁄ trace, 2+, moderate staining; 3+, strong staining) and subcellular location (cytoplasmic, membranous and luminal). |
| Jung [46] | 3/6 (50) | NA |
| Shi [47] | 29/30 (96.7) | NA |
| Kuwabara [48] | 8/8 (100) | DOG1 was expressed in apical-luminal region |
Publisher’s Note: MDPI stays neutral with regard to jurisdictional claims in published maps and institutional affiliations. |
© 2022 by the authors. Licensee MDPI, Basel, Switzerland. This article is an open access article distributed under the terms and conditions of the Creative Commons Attribution (CC BY) license (https://creativecommons.org/licenses/by/4.0/).
Share and Cite
Fiorentino, V.; Straccia, P.; Tralongo, P.; Musarra, T.; Pierconti, F.; Martini, M.; Fadda, G.; Rossi, E.D.; Larocca, L.M. DOG1 as an Immunohistochemical Marker of Acinic Cell Carcinoma: A Systematic Review and Meta-Analysis. Int. J. Mol. Sci. 2022, 23, 9711. https://doi.org/10.3390/ijms23179711
Fiorentino V, Straccia P, Tralongo P, Musarra T, Pierconti F, Martini M, Fadda G, Rossi ED, Larocca LM. DOG1 as an Immunohistochemical Marker of Acinic Cell Carcinoma: A Systematic Review and Meta-Analysis. International Journal of Molecular Sciences. 2022; 23(17):9711. https://doi.org/10.3390/ijms23179711
Chicago/Turabian StyleFiorentino, Vincenzo, Patrizia Straccia, Pietro Tralongo, Teresa Musarra, Francesco Pierconti, Maurizio Martini, Guido Fadda, Esther Diana Rossi, and Luigi Maria Larocca. 2022. "DOG1 as an Immunohistochemical Marker of Acinic Cell Carcinoma: A Systematic Review and Meta-Analysis" International Journal of Molecular Sciences 23, no. 17: 9711. https://doi.org/10.3390/ijms23179711
APA StyleFiorentino, V., Straccia, P., Tralongo, P., Musarra, T., Pierconti, F., Martini, M., Fadda, G., Rossi, E. D., & Larocca, L. M. (2022). DOG1 as an Immunohistochemical Marker of Acinic Cell Carcinoma: A Systematic Review and Meta-Analysis. International Journal of Molecular Sciences, 23(17), 9711. https://doi.org/10.3390/ijms23179711


