Human MIKO-1, a Hybrid Protein That Regulates Macrophage Function, Suppresses Lung Fibrosis in a Mouse Model of Bleomycin-Induced Interstitial Lung Disease
Abstract
:1. Introduction
2. Results
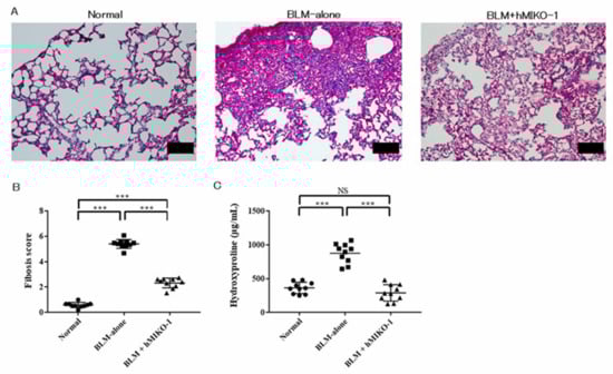
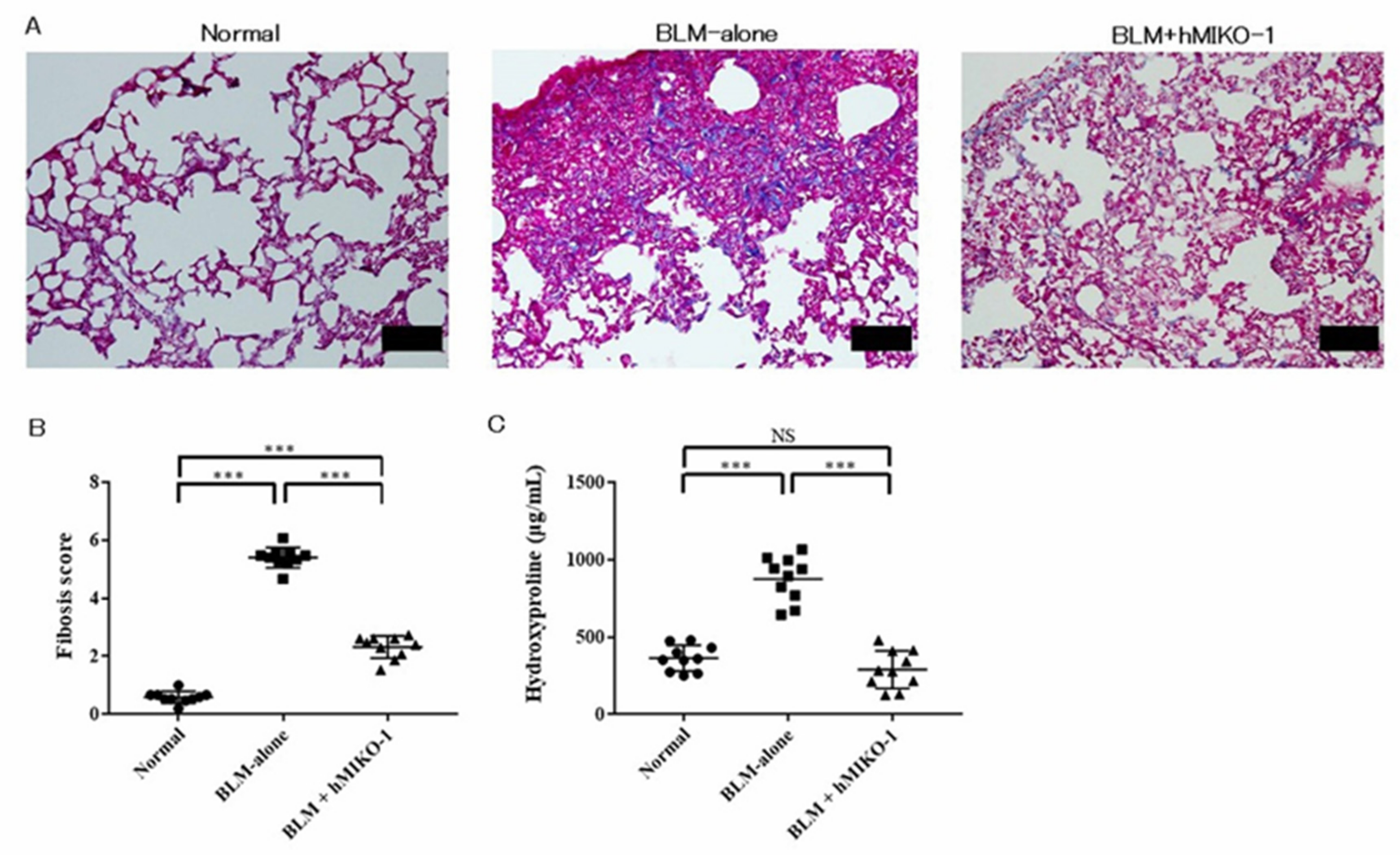
2.1. hMIKO-1 Effectively Reduced Fibrosis in ILD Lung
2.2. hMIKO-1 Regulated the Genes Associated with the Anti-Inflammatory and Anti-Fibrotic Effects in ILD
2.3. hMIKO-1 Suppressed the Polarity of Mouse Macrophages to M2 Dominance In Vitro
3. Discussion
4. Materials and Methods
4.1. Ethics
4.2. Human MIKO-1
4.3. Animal Models and Surgical Procedure
4.4. Preparation of Mouse Macrophages and Co-Culture with hMIKO-1
4.5. Flow Cytometry
4.6. Enzyme-Linked Immunosorbent Assays
4.7. In Vitro Analysis of Murine Macrophages via qRT-PCR
4.8. Histological Evaluation and Assessment of the Fibrotic Area
4.9. Hydroxyproline Assay
4.10. qRT-PCR Analysis of the Lung In Vivo
4.11. Statistical Analysis
5. Conclusions
Supplementary Materials
Author Contributions
Funding
Institutional Review Board Statement
Data Availability Statement
Acknowledgments
Conflicts of Interest
References
- American Thoracic Society. Idiopathic pulmonary fibrosis: Diagnosis and treatment. International consensus statement. American Thoracic Society (ATS), and the European Respiratory Society (ERS). Am. J. Respir. Crit. Care Med. 2000, 161, 646–664. [Google Scholar] [CrossRef] [PubMed]
- Richeldi, L.; Collard, H.R.; Jones, M.G. Idiopathic pulmonary fibrosis. Lancet 2017, 389, 1941–1952. [Google Scholar] [CrossRef]
- Nicholson, A.G.; Colby, T.V.; Wells, A.U. Histopathological approach to patterns of interstitial pneumonia in patient with connective tissue disorders. Sarcoidosis Vasc. Diffuse Lung Dis. 2002, 19, 10–17. [Google Scholar] [PubMed]
- Tansey, D.; Wells, A.U.; Colby, T.V.; Ip, S.; Nikolakoupolou, A.; du Bois, R.M.; Hansell, D.M.; Nicholson, A.G. Variations in histological patterns of interstitial pneumonia between connective tissue disorders and their relationship to prognosis. Histopathology 2004, 44, 585–596. [Google Scholar] [CrossRef]
- Knoll, R.; Schultze, J.L.; Schulte-Schrepping, J. Monocytes and macrophages in COVID-19. Front. Immunol. 2021, 12, 720109. [Google Scholar] [CrossRef] [PubMed]
- Seeliger, B.; Prasse, A. Immunomodulation in autoimmune interstitial lung disease. Respiration 2020, 99, 819–829. [Google Scholar] [CrossRef] [PubMed]
- Di Martino, E.; Provenzani, A.; Vitulo, P.; Polidori, P. Systematic review and meta-analysis of pirfenidone, nintedanib, and pamrevlumab for the treatment of idiopathic pulmonary fibrosis. Ann. Pharmacother. 2021, 55, 723–731. [Google Scholar] [CrossRef]
- Odink, K.; Cerletti, N.; Brüggen, J.; Clerc, R.G.; Tarcsay, L.; Zwadlo, G.; Gerhards, G.; Schlegel, R.; Sorg, C. Two calcium-binding proteins in infiltrate macrophages of rheumatoid arthritis. Nature 1987, 330, 80–82. [Google Scholar] [CrossRef]
- Ryckman, C.; Vandal, K.; Rouleau, P.; Talbot, M.; Tessier, P.A. Proinflammatory activities of S100: Proteins S100A8, S100A9, and S100A8/A9 induce neutrophil chemotaxis and adhesion. J. Immunol. 2003, 170, 3233–3242. [Google Scholar] [CrossRef]
- Imamichi, T.; Uchida, I.; Wahl, S.M.; McCartney-Francis, N. Expression and cloning of migration inhibitory factor-related protein (MRP)8 and MRP14 in arthritis-susceptible rats. Biochem. Biophys. Res. Commun. 1993, 194, 819–825. [Google Scholar] [CrossRef]
- Foell, D.; Wittkowski, H.; Ren, Z.; Turton, J.; Pang, G.; Daebritz, J.; Ehrchen, J.; Heidemann, J.; Borody, T.; Roth, J.; et al. Phagocyte-specific S100 proteins are released from affected mucosa and promote immune responses during inflammatory bowel disease. J. Pathol. 2008, 216, 183–192. [Google Scholar] [CrossRef] [PubMed]
- Tibble, J.A.; Bjarnason, I. Non-invasive investigation of inflammatory bowel disease. World J. Gastroenterol. 2001, 7, 460–465. [Google Scholar] [CrossRef] [PubMed]
- Lou, Y.; Zheng, Y.; Fan, B.; Zhang, L.; Zhu, F.; Wang, X.; Chen, Z.; Tan, X.; Wei, Q. Serum levels of interleukins and S100A8/A9 correlate with clinical severity in patients with dermatomyositis-associated interstitial lung disease. BMC Pulm. Med. 2020, 20, 196. [Google Scholar] [CrossRef] [PubMed]
- Okada, K.; Arai, S.; Nakase, H.; Kohno, H.; Nakamura, F.; Takeda, M.; Toda, Y.; Itoh, H.; Adachi, S.; Ikemoto, M. Autocrine pathways involving S100A8 and/or S100A9 that are postulated to regulate the immunological functions of macrophages in rats. Biochem. Biophys. Res. Commun. 2015, 456, 415–420. [Google Scholar] [CrossRef]
- Okada, K.; Arai, S.; Itoh, H.; Adachi, S.; Hayashida, M.; Nakase, H.; Ikemoto, M. CD68 on rat macrophages binds tightly to S100A8 and S100A9 and helps to regulate the cells’ immune functions. J. Leukoc. Biol. 2016, 100, 1093–1104. [Google Scholar] [CrossRef]
- Okada, K.; Itoh, H.; Kamikubo, Y.; Adachi, S.; Ikemoto, M. Establishment of S100A8 transgenic rats to understand innate property of S100A8 and its immunological role. Inflammation 2018, 41, 59–72. [Google Scholar] [CrossRef]
- Okada, K.; Ikemoto, M. A New Hybrid Protein Is a Novel Regulator for Experimental Colitis in Rats. Inflammation 2022, 45, 180–195. [Google Scholar] [CrossRef]
- Rao, L.Z.; Wang, Y.; Zhang, L.; Wu, G.; Wang, F.X.; Chen, L.M.; Sun, F.; Jia, S.; Zhang, S.; Yu, Q.; et al. IL-24 deficiency protects mice against bleomycin-induced pulmonary fibrosis by repressing IL-4-induced M2 program in macrophages. Cell Death Differ. 2021, 28, 1270–1283. [Google Scholar] [CrossRef]
- Pan, L.; Lu, Y.; Li, Z.; Tan, Y.; Yang, H.; Ruan, P.; Li, R. Ginkgo biloba extract EGb761 attenuates bleomycin-induced experimental pulmonary fibrosis in mice by regulating the balance of M1/M2 macrophages and nuclear factor kappa B (NF-κB)-mediated cellular apoptosis. Med. Sci. Monit. 2020, 26, e922634. [Google Scholar] [CrossRef]
- Yao, Y.; Wang, Y.; Zhang, Z.; He, L.; Zhu, J.; Zhang, M.; He, X.; Cheng, Z.; Ao, Q.; Cao, Y.; et al. chop deficiency protects mice against bleomycin-induced pulmonary fibrosis by attenuating M2 macrophage production. Mol. Ther. 2016, 24, 915–925. [Google Scholar] [CrossRef]
- Hussell, T.; Bell, T.J. Alveolar macrophages: Plasticity in a tissue-specific context. Nat. Rev. Immunol. 2014, 14, 81–93. [Google Scholar] [CrossRef] [PubMed]
- Gibbons, M.A.; MacKinnon, A.C.; Ramachandran, P.; Dhaliwal, K.; Duffin, R.; Phythian-Adams, A.T.; van Rooijen, N.; Haslett, C.; Howie, S.E.; Simpson, A.J.; et al. Ly6Chi monocytes direct alternatively activated profibrotic macrophage regulation of lung fibrosis. Am. J. Respir. Crit. Care Med. 2011, 184, 569–581. [Google Scholar] [CrossRef]
- Enomoto, Y.; Suzuki, Y.; Hozumi, H.; Mori, K.; Kono, M.; Karayama, M.; Furuhashi, K.; Fujisawa, T.; Enomoto, N.; Nakamura, Y.; et al. Clinical significance of soluble CD163 in polymyositis-related or dermatomyositis-related interstitial lung disease. Arthritis Res. Ther. 2017, 19, 9. [Google Scholar] [CrossRef]
- Matsuda, S.; Kotani, T.; Kuwabara, H.; Suzuka, T.; Kiboshi, T.; Fukui, K.; Ishida, T.; Fujiki, Y.; Shiba, H.; Hata, K.; et al. CCL2 produced by CD68+/CD163+ macrophages as a promising clinical biomarker of microscopic polyangiitis-interstitial lung disease. Rheumatology 2021, 60, 4643–4653. [Google Scholar] [CrossRef] [PubMed]
- Zubkova, E.S.; Dergilev, K.V.; Beloglazova, I.B.; Molokotina, Y.D.; Boldyreva, M.A.; Tsokolaeva, Z.I.; Stafeev, I.S.; Menshikov, M.Y.; Parfyonova, Y.V. Features of the population of mouse peritoneal macrophages isolated after stimulation with concanavalin A and thioglycolate. Bull. Exp. Biol. Med. 2021, 171, 532–540. [Google Scholar] [CrossRef] [PubMed]
- Harrison, J.H.; Lazo, J.S. High dose continuous infusion of bleomycin in mice: A new model for drug-induced pulmonary fibrosis. J. Pharmacol. Exp. Ther. 1987, 243, 1185–1194. [Google Scholar]
- Lee, S.H.; Lee, E.J.; Lee, S.Y.; Kim, J.H.; Shim, J.J.; Shin, C.; In, K.H.; Kang, K.H.; Uhm, C.S.; Kim, H.K.; et al. The effect of adipose stem cell therapy on pulmonary fibrosis induced by repetitive intratracheal bleomycin in mice. Exp. Lung Res. 2014, 40, 117–125. [Google Scholar] [CrossRef]
- Hübner, R.H.; Gitter, W.; El Mokhtari, N.E.; Mathiak, M.; Both, M.; Bolte, H.; Freitag-Wolf, S.; Bewig, B. Standardized quantification of pulmonary fibrosis in histological samples. Biotechniques 2008, 44, 507–517. [Google Scholar] [CrossRef]





Publisher’s Note: MDPI stays neutral with regard to jurisdictional claims in published maps and institutional affiliations. |
© 2022 by the authors. Licensee MDPI, Basel, Switzerland. This article is an open access article distributed under the terms and conditions of the Creative Commons Attribution (CC BY) license (https://creativecommons.org/licenses/by/4.0/).
Share and Cite
Kotani, T.; Ikemoto, M.; Matsuda, S.; Masutani, R.; Takeuchi, T. Human MIKO-1, a Hybrid Protein That Regulates Macrophage Function, Suppresses Lung Fibrosis in a Mouse Model of Bleomycin-Induced Interstitial Lung Disease. Int. J. Mol. Sci. 2022, 23, 9669. https://doi.org/10.3390/ijms23179669
Kotani T, Ikemoto M, Matsuda S, Masutani R, Takeuchi T. Human MIKO-1, a Hybrid Protein That Regulates Macrophage Function, Suppresses Lung Fibrosis in a Mouse Model of Bleomycin-Induced Interstitial Lung Disease. International Journal of Molecular Sciences. 2022; 23(17):9669. https://doi.org/10.3390/ijms23179669
Chicago/Turabian StyleKotani, Takuya, Masaki Ikemoto, Shogo Matsuda, Ryota Masutani, and Tohru Takeuchi. 2022. "Human MIKO-1, a Hybrid Protein That Regulates Macrophage Function, Suppresses Lung Fibrosis in a Mouse Model of Bleomycin-Induced Interstitial Lung Disease" International Journal of Molecular Sciences 23, no. 17: 9669. https://doi.org/10.3390/ijms23179669
APA StyleKotani, T., Ikemoto, M., Matsuda, S., Masutani, R., & Takeuchi, T. (2022). Human MIKO-1, a Hybrid Protein That Regulates Macrophage Function, Suppresses Lung Fibrosis in a Mouse Model of Bleomycin-Induced Interstitial Lung Disease. International Journal of Molecular Sciences, 23(17), 9669. https://doi.org/10.3390/ijms23179669
