The Clinical Spectrum and Disease Course of DRAM2 Retinopathy
Abstract
1. Introduction
2. Results
2.1. Characteristics of Slovenian Patients with DRAM2 Retinopathy
2.1.1. Genetic Findings
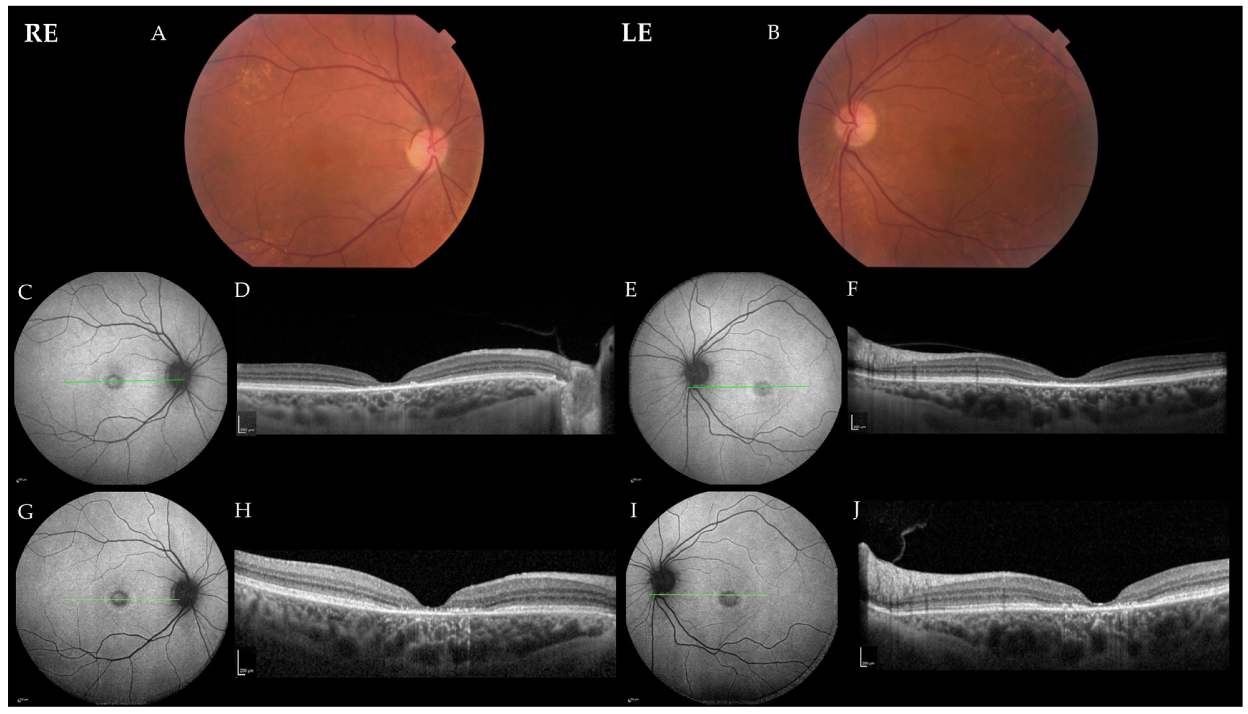
2.1.2. Clinical Findings
2.2. Review of Previously Published Cases with Variant in DRAM2
2.2.1. Genetic Findings
2.2.2. Clinical Characteristics
2.2.3. Slit-Lamp Findings
2.2.4. OCT Characteristics
2.2.5. FAF Characteristics
2.2.6. ERG Characteristics
2.2.7. Genotype-Phenotype Correlations
3. Discussion
3.1. Disease Onset
3.2. Visual Acuity
3.3. Fundus Appearance
3.4. OCT
3.5. FAF
3.6. ERG
3.7. Genotype–Phenotype Correlations
3.8. Immunological Component of Retinal Dystrophies
4. Materials and Methods
4.1. Evaluation of Slovenian DRAM2 Patients
4.1.1. Genetic and Bioinformatic Analysis
4.1.2. Clinical Examination
4.2. Review of Previously Published Cases with Variant in DRAM2
4.3. Genotype–Phenotype Analysis
5. Conclusions
Author Contributions
Funding
Institutional Review Board Statement
Informed Consent Statement
Data Availability Statement
Conflicts of Interest
Abbreviations
| IRD | Inherited retinal dystrophy |
| RPE | Retinal pigment epithelium |
| DRAM2 | DNA-damage regulated autophagy modulator 2 |
| gnomAD | Genome Aggregation Database |
| dbSNP | Single Nucleotide Polymorphism Database |
| ACMG/AMP | American College of Medical Genetics and Genomics and the Association for Molecular Pathology |
| BE | Both eyes |
| BCVA | Best corrected visual acuity |
| FAF | Fundus autofluorescence imaging |
| OCT | Optical coherence tomography |
| MS | Mean sensitivity |
| RE | Right eye |
| LE | Left eye |
| ERG | Electroretinography |
| PERG | Pattern electroretinography |
| mfERG | Multifocal electroretinography |
| ffERG | Full-field electroretinography |
| MRI | Magnetic resonance imaging |
| PET-CT | Positron emission tomography and computed tomography |
| ZIC4 | Zinc Finger Protein 4 |
| ANA | Antinuclear antibody |
| MMF | Mycophenolate Mofetil |
| ISe | Inner segment ellipsoid |
| CRD | Cone-rod dystrophy |
| RCD | Rod-cone dystrophy |
| CD | Cone-dystrophy |
| RP | Retinitis pigmentosa |
| PTC | Premature termination codon |
| NMD | Nonsense mediated decay |
| UCSC | University of California Santa Cruz |
| BWA | Burrows-Wheeler aligner |
| GATK | Genome Analysis Toolkit |
| CONIFER | Copy Number Inference Form Exome Reads |
| VEP | Variant Effect Predictor |
References
- Karali, M.; Banfi, S. Inherited Retinal Dystrophies: The role of gene expression regulators. Int. J. Biochem. Cell Biol. 2015, 61, 115–119. [Google Scholar] [CrossRef] [PubMed]
- Olivares-González, L.; Velasco, S.; Campillo, I.; Rodrigo, R. Retinal Inflammation, Cell Death and Inherited Retinal Dystrophies. Int. J. Mol. Sci. 2021, 22, 2096. [Google Scholar] [CrossRef] [PubMed]
- Gill, J.S.; Georgiou, M.; Kalitzeos, A.; Moore, A.T. Progressive cone and cone-rod dystrophies: Clinical features, molecular genetics and prospects for therapy. Br. J. Ophthalmol. 2019, 103, 711–720. [Google Scholar] [CrossRef] [PubMed]
- Chen, T.C.; Huang, D.S.; Lin, C.W.; Yang, C.H.; Yang, C.M.; Wang, V.Y.; Lin, J.W.; Luo, A.C.; Hu, F.R.; Chen, P.L. Genetic characteristics and epidemiology of inherited retinal degeneration in Taiwan. NPJ Genomic Med. 2021, 6, 16. [Google Scholar] [CrossRef]
- RetNet. Retinal Information Network. Available online: https://sph.uth.edu/retnet/home.htm (accessed on 31 May 2022).
- Azhati, B.; Maolakuerban, N.; Ma, T.; Li, X.; Rexiati, M. Up-regulation of DRAM2 promotes tolerance of bladder transitional cell carcinoma to gemcitabine. Arch. Med. Sci. 2020, 16, 1207–1217. [Google Scholar] [CrossRef]
- Bai, S.; Tian, B.; Li, A.; Yao, Q.; Zhang, G.; Li, F. MicroRNA-125b promotes tumor growth and suppresses apoptosis by targeting DRAM2 in retinoblastoma. Eye 2016, 30, 1630–1638. [Google Scholar] [CrossRef]
- Wudu, M.; Ren, H.; Hui, L.; Jiang, J.; Zhang, S.; Xu, Y.; Wang, Q.; Su, H.; Jiang, X.; Dao, R.; et al. DRAM2 acts as an oncogene in non-small cell lung cancer and suppresses the expression of p53. J. Exp. Clin. Cancer Res. 2019, 38, 72. [Google Scholar] [CrossRef]
- DRAM2. DNA damage regulated autophagy modulator 2 [Homo sapiens (human)]. NCBI (National Center for Biotechnology Information, U.S. National Libary of Medicine). Available online: https://www.ncbi.nlm.nih.gov/gene/128338 (accessed on 29 April 2022).
- Park, S.M.; Kim, K.; Lee, E.J.; Kim, B.K.; Lee, T.J.; Seo, T.; Jang, I.S.; Lee, S.H.; Kim, S.; Lee, J.H.; et al. Reduced expression of DRAM2/TMEM77 in tumor cells interferes with cell death. Biochem. Biophys. Res. Commun. 2009, 390, 1340–1344. [Google Scholar] [CrossRef]
- Yoon, J.H.; Her, S.; Kim, M.; Jang, I.S.; Park, J. The expression of damage-regulated autophagy modulator 2 (DRAM2) contributes to autophagy induction. Mol. Biol. Rep. 2012, 39, 1087–1093. [Google Scholar] [CrossRef]
- El-Asrag, M.E.; Sergouniotis, P.I.; McKibbin, M.; Plagnol, V.; Sheridan, E.; Waseem, N.; Abdelhamed, Z.; McKeefry, D.; Van Schil, K.; Poulter, J.A. Biallelic mutations in the autophagy regulator DRAM2 cause retinal dystrophy with early macular involvement. Am. J. Hum. Genet. 2015, 96, 948–954. [Google Scholar] [CrossRef][Green Version]
- Sergouniotis, P.I.; McKibbin, M.; Robson, A.G.; Bolz, H.J.; De Baere, E.; Müller, P.L.; Heller, R.; El-Asrag, M.E.; Van Schil, K.; Plagnol, V.; et al. Disease Expression in Autosomal Recessive Retinal Dystrophy Associated with Mutations in the DRAM2 Gene. Investig. Ophthalmol. Vis. Sci. 2015, 56, 8083–8090. [Google Scholar] [CrossRef]
- Birtel, J.; Eisenberger, T.; Gliem, M.; Müller, P.L.; Herrmann, P.; Betz, C.; Zahnleiter, D.; Neuhaus, C.; Lenzner, S.; Holz, F.G.; et al. Clinical and genetic characteristics of 251 consecutive patients with macular and cone/cone-rod dystrophy. Sci. Rep. 2018, 8, 4824. [Google Scholar] [CrossRef] [PubMed]
- Abad-Morales, V.; Burés-Jelstrup, A.; Navarro, R.; Ruiz-Nogales, S.; Méndez-Vendrell, P.; Corcóstegui, B.; Pomares, E. Characterization of the cone-rod dystrophy retinal phenotype caused by novel homozygous DRAM2 mutations. Exp. Eye Res. 2019, 187, 107752. [Google Scholar] [CrossRef] [PubMed]
- Kuniyoshi, K.; Hayashi, T.; Kameya, S.; Katagiri, S.; Mizobuchi, K.; Tachibana, T.; Kubota, D.; Sakuramoto, H.; Tsunoda, K.; Fujinami, K.; et al. Clinical Course and Electron Microscopic Findings in Lymphocytes of Patients with DRAM2-Associated Retinopathy. Int. J. Mol. Sci. 2020, 21, 1331. [Google Scholar] [CrossRef] [PubMed]
- Biswas, P.; Villanueva, A.L.; Soto-Hermida, A.; Duncan, J.L.; Matsui, H.; Borooah, S.; Kurmanov, B.; Richard, G.; Khan, S.Y.; Branham, K.; et al. Deciphering the genetic architecture and ethnographic distribution of IRD in three ethnic populations by whole genome sequence analysis. PLoS Genet. 2021, 17, e1009848. [Google Scholar] [CrossRef]
- Richards, S.; Aziz, N.; Bale, S.; Bick, D.; Das, S.; Gastier-Foster, J.; Grody, W.W.; Hegde, M.; Lyon, E.; Spector, E.; et al. Standards and guidelines for the interpretation of sequence variants: A joint consensus recommendation of the American College of Medical Genetics and Genomics and the Association for Molecular Pathology. Genet. Med. 2015, 17, 405–424. [Google Scholar] [CrossRef]
- Cremers, F.P.M.; Lee, W.; Collin, R.W.J.; Allikmets, R. Clinical spectrum, genetic complexity and therapeutic approaches for retinal disease caused by ABCA4 mutations. Prog. Retin. Eye Res. 2020, 79, 100861. [Google Scholar] [CrossRef]
- Fakin, A.; Robson, A.G.; Chiang, J.P.; Fujinami, K.; Moore, A.T.; Michaelides, M.; Holder, G.E.; Webster, A.R. The Effect on Retinal Structure and Function of 15 Specific ABCA4 Mutations: A Detailed Examination of 82 Hemizygous Patients. Investig. Ophthalmol. Vis. Sci. 2016, 57, 5963–5973. [Google Scholar] [CrossRef]
- Rahman, N.; Georgiou, M.; Khan, K.N.; Michaelides, M. Macular dystrophies: Clinical and imaging features, molecular genetics and therapeutic options. Br. J. Ophthalmol. 2020, 104, 451–460. [Google Scholar] [CrossRef]
- Otsuka, Y.; Oishi, A.; Miyata, M.; Oishi, M.; Hasegawa, T.; Numa, S.; Ikeda, H.O.; Tsujikawa, A. Wavelength of light and photophobia in inherited retinal dystrophy. Sci. Rep. 2020, 10, 14798. [Google Scholar] [CrossRef]
- Fishman, G.A.; Pulluru, P.; Alexander, K.R.; Derlacki, D.J.; Gilbert, L.D. Prolonged rod dark adaptation in patients with cone-rod dystrophy. Am. J. Ophthalmol. 1994, 118, 362–367. [Google Scholar] [CrossRef]
- Steinberg, J.S.; Fleckenstein, M.; Holz, F.G.; Schmitz-Valckenberg, S. Foveal Sparing of Reticular Drusen in Eyes with Early and Intermediate Age-Related Macular Degeneration. Investig. Ophthalmol. Vis. Sci. 2015, 56, 4267–4274. [Google Scholar] [CrossRef] [PubMed]
- van Huet, R.A.; Bax, N.M.; Westeneng-Van Haaften, S.C.; Muhamad, M.; Zonneveld-Vrieling, M.N.; Hoefsloot, L.H.; Cremers, F.P.; Boon, C.J.; Klevering, B.J.; Hoyng, C.B. Foveal sparing in Stargardt disease. Investig. Ophthalmol. Vis. Sci. 2014, 55, 7467–7478. [Google Scholar] [CrossRef] [PubMed]
- Albertos-Arranz, H.; Sánchez-Sáez, X.; Martínez-Gil, N.; Pinilla, I.; Coco-Martin, R.M.; Delgado, J.; Cuenca, N. Phenotypic Differences in a PRPH2 Mutation in Members of the Same Family Assessed with OCT and OCTA. Diagnostics 2021, 11, 777. [Google Scholar] [CrossRef] [PubMed]
- Fakin, A.; Jarc-Vidmar, M.; Glavač, D.; Bonnet, C.; Petit, C.; Hawlina, M. Fundus autofluorescence and optical coherence tomography in relation to visual function in Usher syndrome type 1 and 2. Vis. Res. 2012, 75, 60–70. [Google Scholar] [CrossRef]
- Bax, N.M.; Valkenburg, D.; Lambertus, S.; Klevering, B.J.; Boon, C.J.F.; Holz, F.G.; Cremers, F.P.M.; Fleckenstein, M.; Hoyng, C.B.; Lindner, M. Foveal Sparing in Central Retinal Dystrophies. Investig. Ophthalmol. Vis. Sci. 2019, 60, 3456–3467. [Google Scholar] [CrossRef]
- Boulanger-Scemama, E.; Mohand-Saïd, S.; El Shamieh, S.; Démontant, V.; Condroyer, C.; Antonio, A.; Michiels, C.; Boyard, F.; Saraiva, J.P.; Letexier, M.; et al. Phenotype Analysis of Retinal Dystrophies in Light of the Underlying Genetic Defects: Application to Cone and Cone-Rod Dystrophies. Int. J. Mol. Sci. 2019, 20, 4854. [Google Scholar] [CrossRef]
- Fakin, A.; Šuštar, M.; Brecelj, J.; Bonnet, C.; Petit, C.; Zupan, A.; Glavač, D.; Jarc-Vidmar, M.; Battelino, S.; Hawlina, M. Double Hyperautofluorescent Rings in Patients with USH2A-Retinopathy. Genes 2019, 10, 956. [Google Scholar] [CrossRef]
- Lima, L.H.; Zett, C.; Kniggendorf, V.; Marianelli, B.; de Carvalho, R.A.P.; Farah, M.E.; Sallum, J.M.F. Progressive expansion of the hyperautofluorescent ring in cone-rod dystrophy patients. Ophthalmic. Genet. 2018, 39, 492–499. [Google Scholar] [CrossRef]
- Wang, N.K.; Chou, C.L.; Lima, L.H.; Cella, W.; Tosi, J.; Yannuzzi, L.A.; Tsang, S.H. Fundus autofluorescence in cone dystrophy. Doc. Ophthalmol. 2009, 119, 141–144. [Google Scholar] [CrossRef][Green Version]
- Nong, E.; Lee, W.; Merriam, J.E.; Allikmets, R.; Tsang, S.H. Disease progression in autosomal dominant cone-rod dystrophy caused by a novel mutation (D100G) in the GUCA1A gene. Doc. Ophthalmol. 2014, 128, 59–67. [Google Scholar] [CrossRef] [PubMed]
- Robson, A.G.; Michaelides, M.; Luong, V.A.; Holder, G.E.; Bird, A.C.; Webster, A.R.; Moore, A.T.; Fitzke, F.W. Functional correlates of fundus autofluorescence abnormalities in patients with RPGR or RIMS1 mutations causing cone or cone rod dystrophy. Br. J. Ophthalmol. 2008, 92, 95–102. [Google Scholar] [CrossRef] [PubMed]
- Hadalin, V.; Šuštar, M.; Volk, M.; Maver, A.; Sajovic, J.; Jarc-Vidmar, M.; Peterlin, B.; Hawlina, M.; Fakin, A. Cone Dystrophy Associated with a Novel Variant in the Terminal Codon of the. Genes 2021, 12, 499. [Google Scholar] [CrossRef] [PubMed]
- Neveu, M.M.; Tufail, A.; Dowler, J.G.; Holder, G.E. A comparison of pattern and multifocal electroretinography in the evaluation of age-related macular degeneration and its treatment with photodynamic therapy. Doc. Ophthalmol. 2006, 113, 71–81. [Google Scholar] [CrossRef] [PubMed]
- Galli-Resta, L.; Piccardi, M.; Ziccardi, L.; Fadda, A.; Minnella, A.; Marangoni, D.; Placidi, G.; Resta, G.; Falsini, B. Early detection of central visual function decline in cone-rod dystrophy by the use of macular focal cone electroretinogram. Investig. Ophthalmol. Vis. Sci. 2013, 54, 6560–6569. [Google Scholar] [CrossRef] [PubMed]
- Pierrache, L.H.M.; Messchaert, M.; Thiadens, A.A.H.J.; Haer-Wigman, L.; de Jong-Hesse, Y.; van Zelst-Stams, W.A.G.; Collin, R.W.J.; Klaver, C.C.W.; van den Born, L.I. Extending the Spectrum of EYS-Associated Retinal Disease to Macular Dystrophy. Investig. Ophthalmol. Vis. Sci. 2019, 60, 2049–2063. [Google Scholar] [CrossRef]
- Na, C.H.; Barbhuiya, M.A.; Kim, M.S.; Verbruggen, S.; Eacker, S.M.; Pletnikova, O.; Troncoso, J.C.; Halushka, M.K.; Menschaert, G.; Overall, C.M.; et al. Discovery of noncanonical translation initiation sites through mass spectrometric analysis of protein N termini. Genome Res. 2018, 28, 25–36. [Google Scholar] [CrossRef]
- Abou Tayoun, A.N.; Pesaran, T.; DiStefano, M.T.; Oza, A.; Rehm, H.L.; Biesecker, L.G.; Harrison, S.M. Recommendations for interpreting the loss of function PVS1 ACMG/AMP variant criterion. Hum. Mutat. 2018, 39, 1517–1524. [Google Scholar] [CrossRef]
- Perenthaler, E.; Nikoncuk, A.; Yousefi, S.; Berdowski, W.M.; Alsagob, M.; Capo, I.; van der Linde, H.C.; van den Berg, P.; Jacobs, E.H.; Putar, D.; et al. Loss of UGP2 in brain leads to a severe epileptic encephalopathy, emphasizing that bi-allelic isoform-specific start-loss mutations of essential genes can cause genetic diseases. Acta Neuropathol. 2020, 139, 415–442. [Google Scholar] [CrossRef]
- Zupan, A.; Fakin, A.; Battelino, S.; Jarc-Vidmar, M.; Hawlina, M.; Bonnet, C.; Petit, C.; Glavač, D. Clinical and Haplotypic Variability of Slovenian USH2A Patients Homozygous for the c.11864G>A Nonsense Mutation. Genes 2019, 10, 1015. [Google Scholar] [CrossRef]
- Karousis, E.D.; Mühlemann, O. Nonsense-Mediated mRNA Decay Begins Where Translation Ends. Cold Spring Harb. Perspect. Biol. 2019, 11, a032862. [Google Scholar] [CrossRef] [PubMed]
- Sung, Y.C.; Yang, C.H.; Yang, C.M.; Lin, C.W.; Huang, D.S.; Huang, Y.S.; Hu, F.R.; Chen, P.L.; Chen, T.C. Genotypes Predispose Phenotypes-Clinical Features and Genetic Spectrum of ABCA4-Associated Retinal Dystrophies. Genes 2020, 11, 1421. [Google Scholar] [CrossRef] [PubMed]
- Adamus, G. Importance of Autoimmune Responses in Progression of Retinal Degeneration Initiated by Gene Mutations. Front. Med. 2021, 8, 672444. [Google Scholar] [CrossRef]
- DePristo, M.A.; Banks, E.; Poplin, R.; Garimella, K.V.; Maguire, J.R.; Hartl, C.; Philippakis, A.A.; del Angel, G.; Rivas, M.A.; Hanna, M.; et al. A framework for variation discovery and genotyping using next-generation DNA sequencing data. Nat. Genet. 2011, 43, 491–498. [Google Scholar] [CrossRef] [PubMed]
- Meynert, A.M.; Ansari, M.; FitzPatrick, D.R.; Taylor, M.S. Variant detection sensitivity and biases in whole genome and exome sequencing. BMC Bioinform. 2014, 15, 247. [Google Scholar] [CrossRef] [PubMed]
- McCulloch, D.L.; Marmor, M.F.; Brigell, M.G.; Hamilton, R.; Holder, G.E.; Tzekov, R.; Bach, M. ISCEV Standard for full-field clinical electroretinography (2015 update). Doc. Ophthalmol. Adv. Ophthalmol. 2015, 130, 1–12. [Google Scholar] [CrossRef] [PubMed]
- Hood, D.C.; Bach, M.; Brigell, M.; Keating, D.; Kondo, M.; Lyons, J.S.; Marmor, M.F.; McCulloch, D.L.; Palmowski-Wolfe, A.M. ISCEV standard for clinical multifocal electroretinography (mfERG) (2011 edition). Doc. Ophthalmol. Adv. Ophthalmol. 2012, 124, 1–13. [Google Scholar] [CrossRef] [PubMed]
- Bach, M.; Brigell, M.G.; Hawlina, M.; Holder, G.E.; Johnson, M.A.; McCulloch, D.L.; Meigen, T.; Viswanathan, S. ISCEV standard for clinical pattern electroretinography (PERG): 2012 update. Doc. Ophthalmol. Adv. Ophthalmol. 2013, 126, 1–7. [Google Scholar] [CrossRef]








| Patient ID | Genotype | Age at Onset (Years) | Presentation | Age at the First and Last Exam (Years) | BCVA (Snellen Decimal) | Slit Lamp Findings | OCT Characteristics | FAF Characteristics | Visual Field (Octopus G2 Top, MS) | ERG Characteristics |
|---|---|---|---|---|---|---|---|---|---|---|
| RE; LE | ||||||||||
| Patient 1 | c.3G > A (p.Met1?) VUS | 35 | 1 month of relatively rapid deterioration of vision, pericentral visual loss, photopsia | 35; 37 | 1.0; 1.0 0.6; 0.5 | 1+ to 2+ cells in the vitreous fluid, absent foveal reflex, granular appearance of the macula, parafoveal yellow dots | Loss of photoreceptor layers in the parafoveal region, relative foveal sparing Loss of photoreceptors (ISe) in the foveal and perifoveal regions | Poorly demarcated hypoAF and hyperAF lesions in the macula More widespread hypoAF and hyperAF lesions | Loss of central sensitivity; MS: RE 25 dB, LE 22 dB Worse on follow-up; MS: RE 17 dB, LE 16 dB | Abnormal mfERG and PERG; reduced rod-specific response, delayed cone-specific response on ffERG (cone–rod dystrophy); Worsening: reduced responses on mfERG; undetectable rod-specific responses and severely delayed cone-specific responses on ffERG |
| Patient 2 | c.3G > A (p.Met1?) VUS c.737T > C (p.Leu246Pro) VUS | 59 | 2-year worsening of vision, photophobia | 61; 63 | 0.2; 0.2 0.2; 0.2 | Absent foveal reflex, narrow blood vessels, granular appearance of the macula, yellow dots around the vascular arcades | Absent photoreceptors in the fovea, pigment clumping | Central hypoAF and hyperAF ring | Loss of central sensitivity; MS: RE 27 dB, LE 26 dB worse on follow up, MS: BE 24 dB | Abnormal mfERG; ffERG normal (macular dystrophy) |
| Amino Acid Change | Nucleotide Change | Exon | VEP Annotation | ACMG Classification | Null Variant | gnomAD Allele Frequency | Patient (Reference) |
|---|---|---|---|---|---|---|---|
| p.Met1? | c.3G > A | 3 | Start loss | VUS | No | 0.00006369 | 1, 2 (this report) |
| p.Trp3del | c.8_10delGGT | 3 | In-frame deletion | Likely pathogenic | No | 0.0001240 | 3 [16] |
| p.Val16Ala | c.47T > C | 3 | Missense | VUS | No | 0.000003977 | 4 [14] |
| p.Ala22del | c.64_66del | 3 | In-frame deletion | Likely pathogenic | No | 0 | 5 [12,13] |
| p.Tyr27His | c.79T > C | 3 | Missense | VUS | No | 0 | 6 [12,13] |
| p.Ser44Asn | c.131G > A | 3 | Missense | Likely pathogenic | No | 0.00003186 | 7 [12,13] |
| p.Gly47Valfs*3 | c.140delG | 4 | Nonsense | Pathogenic | Yes | 0.00001196 | 8–18 [12,13] |
| p.Gly57Arg | c.169G > C | 4 | Missense | VUS | No | 0 | 19 [12,13] |
| p.Val73_Tyr75del | c.217_225del | 5 | In-frame deletion | Likely pathogenic | No | 0 | 6 [12,13] |
| p.Arg74His | c.221G > A | 5 | Missense | VUS | No | 0.00001066 | 20 [16] |
| p.Gly95Val | c.284G > T | 5 | Missense | VUS | No | 0.00002788 | 4 [14] |
| p.His121Leu | c.362A > T | 6 | Missense | VUS | No | 0 | 21 [12,13] |
| p.Trp165* | c.494G > A | 6 | Nonsense | Pathogenic | Yes | 0.00003637 | 7 [12,13] |
| c.518-1G > A | 7 | Splicing | Likely pathogenic | No | 0.000004001 | 24 [15] | |
| p.Ala210Glufs*16 | c.628_629insAG | 8 | In-frame insertion | Likely pathogenic | No | 0 | 22 [15] |
| p.Tyr226Serfs*2 | c.693 + 2T > A c.677dupA | 8 8 | Splicing Nonsense | Likely pathogenic Likely pathogenic | No Yes | 0 0.00002472 | 25 [15] 26 [17] |
| p.Arg236_Val237insGly | c.707_709dup | 9 | In-frame insertion | Likely pathogenic | No | 0 | 23 [16] |
| p.Leu246Pro | c.737T > C | 9 | Missense | VUS | No | 0.0003508 | 2 (this report), 26 [17] |
| Patient ID | Ref. | Gender | Age at Onset (Years) | Symptoms at Onset | Age at the First and Last Exam (Years) | BCVA (Snellen Decimal) | Fundus Characteristics | OCT Characteristics | FAF Characteristics | ERG Characteristics | |
|---|---|---|---|---|---|---|---|---|---|---|---|
| RE | LE | ||||||||||
| Patient 3 (Kinki-69-1159) p.Trp3del (hom) | [16] | F | Several years before first presentation | Difficulty seeing in dark environments | 42; 71 | 0.05 (42) 0.01 (55) H.M. (71) | 0.1 (42) H.M. (55) H.M. (71) | Yellow dots in the macula, color changes of the RPE (42), sparse pigmentation of the retina (71). | Outer retinal layer loss (66). | N/A | ffERG: rod ERG almost nonrecordable, cone ERG reduced (66) |
| Patient 4 (#119) p.Val16Ala; p.Gly95Val | [14] | N/A | Third decade | Dark adaption difficulties | 53 | 0.6 (53) | 0.03 (53) | Granular macular appearance (53). | N/A | Central thinning of photoreceptor layer, paracentral hyperAF ring (53). | ffERG: reduced dark-adapted and light-adapted responses (53) |
| Patient 5 (BL1) p.Ala22del (hom) | [12,13] | F | 30 | Central visual loss | 40; 44 | 0.1 (44) | 0.1 (44) | Granular macular atrophy, fine yellow dots (44). | Outer retinal layer loss (44). | Enlarging hyperAF ring around central area of hypoAF (40, 44). | mfERG: Severely attenuated (in keeping with macular dysfunction) (30); ffERG: normal (40, 44) |
| Patient 6 (gc17004) p.Tyr27His; p.Val73_Tyr75del | [12,13] | F | 29 | Central visual loss | 30; 39 | 0.05 (39) | 0.01 (39) | Macular photoreceptor loss, normal peripheral retina (29). Granular macular atrophy, yellow dots, mid-peripheral bone–spicule pigmentation (39). | Outer retinal layer loss (38). | Faint, enlarging hyperAF ring around central area of hypoAF (30; 38); peripheral and midperipheral irregular AF (38). | PERG: severe macular dysfunction (30); mfERG: additional delay (30); ffERG: normal (30), abnormal (dark-adapted and light-adapted) (39) |
| Patient 7 (1325) p.Ser44Asn; p.Trp165* | [12,13] | F | 29 | Central visual loss | 29; 47 | 0.1 (47) | 0.1 (47) | Macular photoreceptor loss, normal peripheral retina (29). Maculopathy, mid-peripheral degenerations (35). Central macular atrophy, surrounding granular appearance, mid-peripheral bone-spicule pigmentation (47). | Outer retinal layer loss (47). | Faint hyperAF ring around central area of hypoAF (47). | PERG: undetectable (47); ffERG: undetectable (47) |
| Patient 8 (ES1; IV:10) p.Gly47Valfs*3 (hom) | [12,13] | M | / | Asymptomatic | 19 | 1 (19) | 1 (19) | Within normal limits (19). | Reduced foveal thickness, disruption of the ellipsoid zone perifoveally (19). | N/A | N/A |
| Patient 9 (ES1; IV:7) p.Gly47Valfs*3 (hom) | [12,13] | M | 22 | Central visual loss | 23 | 0.6 (23) | 0.6 (23) | Irregular foveal reflex (23). | Outer retinal layer loss (23). | N/A | N/A |
| Patient 10 (ES1; IV:9) p.Gly47Valfs*3 (hom) | [12,13] | F | 22 | Central visual loss | 21; 25 | 0.1 (25) | 0.1 (25) | Granular macular atrophy with yellow dots (25). | Reduced foveal thickness (21). Outer retinal layer loss (25). | HyperAF ring around central area of hypoAF (25). | N/A |
| Patient 11 (ES1; IV:8) p.Gly47Valfs*3 (hom) | [12,13] | F | 21 | Central visual loss | 24 | 0.2 (21) | 0.2 (21) | Granular macular atrophy with yellow dots (24). | Outer retinal layer loss (24). | N/A | N/A |
| Patient 12 (ES1; IV:11) p.Gly47Valfs*3 (hom) | [12,13] | F | 27 | Central visual loss | 29 | 0.1 (29) | 0.1 (29) | Granular macular atrophy with yellow dots (29). | Outer retinal layer loss (29). | N/A | N/A |
| Patient 13 (ES1; IV:6) p.Gly47Valfs*3 (hom) | [12,13] | F | 26 | Central visual loss | 32 | 0.2 (32) | 0.2 (32) | Granular macular atrophy with yellow dots, more widespread pigment clumping and irregular reflex extending beyond the macula (32). | Outer retinal layer loss (26). | N/A | N/A |
| Patient 14 (ES1; III:4) p.Gly47Valfs*3 (hom) | [12,13] | M | 23 | Central visual loss | 56 | 0.01 (56) | 0.01 (56) | Central granular macular atrophy, yellow dots, pigment clumping and mid-peripheral bone–spicule pigmentation (56). | N/A | N/A | N/A |
| Patient 15 (ES1; III:13) p.Gly47Valfs*3 (hom) | [12,13] | M | 25 | Central visual loss | 46 | 0.01 (46) | 0.01 (46) | Central macular atrophy, pigment clumping, surrounding granular appearance, and mid-peripheral bone–spicule pigmentation (46). | N/A | N/A | N/A |
| Patient 16 (ES1; III:5) p.Gly47Valfs*3 (hom) | [12,13] | F | 28 | Central visual loss | 51 | 0.1 (51) | 0.1 (51) | Central macular atrophy, surrounding granular appearance, pigment clumping in LE and minimal peripheral changes (51). | N/A | N/A | N/A |
| Patient 17 (ES1; III:6) p.Gly47Valfs*3 (hom) | [12,13] | M | 25 | Central visual loss | 37 | 0.05 (37) | 0.05 (37) | Granular macular atrophy with yellow dots (37). | Outer retinal layer loss (37). | N/A | PERG: severely subnormal (37); ffERG: normal (37) |
| Patient 18 (ES; III:1) p.Gly47Valfs*3 (hom) | [12,13] | M | 16 | Central visual loss | 48 | 0.005 (48) | 0.005 (48) | Central macular atrophy, pigment clumping, surrounding granular appearance and heavy mid-peripheral bone–spicule pigmentation (48). | N/A | N/A | N/A |
| Patient 19 (PCI1) p.Gly57Arg (hom) | [12,13] | F | 35 | Central visual loss | 43 | 0.3 (43) | 0.4 (43) | Central macular atrophy, surrounding granular appearance (43). | Outer retinal layer loss (43). | HyperAF ring around central area of hypoAF (43). | ffERG: normal (normal dark-adapted, borderline light-adapted responses) (42) |
| Patient 20 (Kinki-12-1022) p.Arg74His (hom) | [16] | M | 36 | Reduction of visual acuity. | 42; 71 | 0.2 (36) 0.03 (55) H.M. (71) | 0.09 (36) 0.03 (55) H.M. (71) | Macular and mid-peripheral RPE degeneration (42). Diffuse retinal degeneration, bone–spicule pigmentation (71). | Outer retinal layer loss (71). | Mosaic pattern with hyperAF and hypoAF (71). | ffERG: dark-adapted ERG nonrecordable, light-adapted ERG reduced (51) |
| Patient 21 (gc4728) p.His121Leu (hom) | [12,13] | M | 34 | Central visual loss | 34; 47 | 0.05 (47) | 0.05 (47) | Macular photoreceptor loss, normal peripheral retina (34). Central macular atrophy, pigment clumping, yellow dots, mid-peripheral bone–spicule pigmentation (47). | Outer retinal layer loss (44). | Faint, enlarging hyperAF ring around central area of hypoAF (37;45); midperipheral irregular AF (45). | PERG: severe macular dysfunction (34); mfERG: additional delay (47); ffERG: normal (34) abnormal (dark- and light-adapted responses) (47) |
| Patient 22 (Fi19/01; I) p.Ala210GlufsTer16 (hom) | [15] | M | 45 | Progressive visual loss, photophobia | 47; 52 | 0.6 (47) 0.05 (52) | 0.5 (47) 0.05 (52) | Macular RPE disturbances (47). Macular RPE atrophy, mild mid-peripheral disturbances (52). | Foveal thinning due to severe atrophy of the photoreceptor and RPE layers (47). | Perifoveal hypoAF granularity (47). Increasing hypoAF with a more marked perifoveal pattern (50). | ffERG: very low responses under dark- and light-adapted conditions (52) |
| Patient 23 (Jikei-176-1241) p.Arg236_Val237insGly (hom) | [16] | F | 19 | Difficulty in night vision (19), reduced visual acuity (37) | 38; 43 | 0.3 (38) 0.2 (43) | 0.6 (38) 0.3 (43) | Fine white dots in the macula (38), granular macular degeneration (43). | Disrupted ellipsoid zone and thinning of the outer retinal layers in the macula (38). | Macular hypoAF surrounded by hyperAF (38), hypoAF in the midperiphery (43). | ffERG: almost nonrecordable dark- and light-adapted responses (43) |
| Patient 24 (Fi19/02; II) c.518-1G > A (hom) | [15] | F | 27 | Progressive visual loss, photophobia | 30; 37 | 0.2 (30) 0.1 (38) | 0.2 (30) 0.1 (38) | RPE disturbances in the macula (which respected the fovea), mild mid-peripheral RPE disturbances, few bone–spicule pigmentations (30). Macular RPE atrophy, disturbances, and bone–spicule pigmentations in the midperiphery (37). | Outer retinal layers loss (30). Complete macular atrophy (especially in the central fovea), increased disturbances in the mid-periphery (37). | Perifoveal hypoAF, mid-peripheral mottled hypoAF (30). Marked macular hypoAF, mid-peripheral disturbances more widespread and severe (37). | N/A |
| Patient 25 (Fi19/03; III) c.693 + 2T > A (hom) | [15] | F | 27 | Visual decline, photophobia | 52; 57 | 0.05 (52) | 0.1 (52) | Macular atrophy, peripheral RPE disturbances, bone–spicule pigmentations (52). Without significant progression (57). | Outer retinal layers loss (52). | Macular and peripheral hypoAF (52). Diffuse RPE disturbances in mid-periphery and periphery (54). | ffERG: complete abolishment of cone and rod function (52) |
Publisher’s Note: MDPI stays neutral with regard to jurisdictional claims in published maps and institutional affiliations. |
© 2022 by the authors. Licensee MDPI, Basel, Switzerland. This article is an open access article distributed under the terms and conditions of the Creative Commons Attribution (CC BY) license (https://creativecommons.org/licenses/by/4.0/).
Share and Cite
Krašovec, T.; Volk, M.; Šuštar Habjan, M.; Hawlina, M.; Vidović Valentinčič, N.; Fakin, A. The Clinical Spectrum and Disease Course of DRAM2 Retinopathy. Int. J. Mol. Sci. 2022, 23, 7398. https://doi.org/10.3390/ijms23137398
Krašovec T, Volk M, Šuštar Habjan M, Hawlina M, Vidović Valentinčič N, Fakin A. The Clinical Spectrum and Disease Course of DRAM2 Retinopathy. International Journal of Molecular Sciences. 2022; 23(13):7398. https://doi.org/10.3390/ijms23137398
Chicago/Turabian StyleKrašovec, Tjaša, Marija Volk, Maja Šuštar Habjan, Marko Hawlina, Nataša Vidović Valentinčič, and Ana Fakin. 2022. "The Clinical Spectrum and Disease Course of DRAM2 Retinopathy" International Journal of Molecular Sciences 23, no. 13: 7398. https://doi.org/10.3390/ijms23137398
APA StyleKrašovec, T., Volk, M., Šuštar Habjan, M., Hawlina, M., Vidović Valentinčič, N., & Fakin, A. (2022). The Clinical Spectrum and Disease Course of DRAM2 Retinopathy. International Journal of Molecular Sciences, 23(13), 7398. https://doi.org/10.3390/ijms23137398
