Insights into the Action Mechanism of the Antimicrobial Peptide Lasioglossin III
Abstract
1. Introduction
2. Results
2.1. Binding of LL-III to Model Membranes
2.2. Conformational Changes of LL-III upon Binding
2.3. The Effects of LL-III on the Membranes’ Microstructure and Thermotropic Properties
2.4. The Influence of LL-III Binding on the Hydration and Dynamics of the Lipid Head Groups
2.5. The Effect of the Peptide on the Membrane Permeability
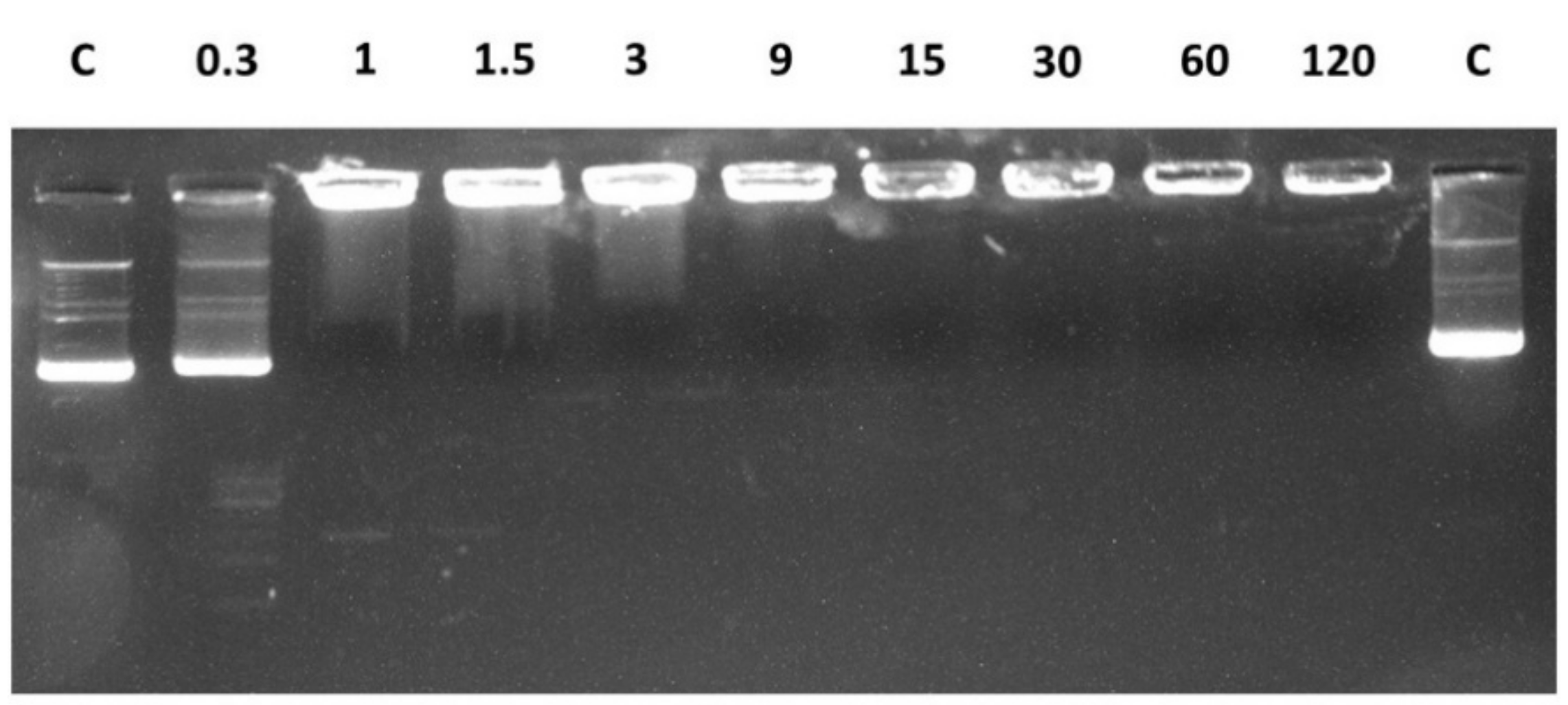
2.6. Peptide Binding to Plasmidic DNA
3. Discussion
4. Materials and Methods
4.1. Materials
4.2. Vesicles Preparation
4.3. Circular Dichroism Spectroscopy (CD)
4.4. Differential Scanning Calorimetry (DSC)
4.5. Steady-State Fluorescence Spectroscopy
4.5.1. Binding Experiments
4.5.2. Emission Spectra of the Laurdan Probe
4.5.3. Fluorescence Anisotropy
4.6. Entrapment of CF in LUVs and Leakage Measurements
Author Contributions
Funding
Institutional Review Board Statement
Informed Consent Statement
Data Availability Statement
Acknowledgments
Conflicts of Interest
Abbreviations
| AMPs | Antimicrobial peptides |
| CD | Circular Dichroism |
| CF | 5-Carboxyfluorescein |
| DPPC | 1,2-dipalmitoyl-sn-glycero-3-phosphocholine |
| DPPG | 1,2-dipalmitoyl-sn-glycero-3-phosphoglycerol |
| DPH | 1,6-Diphenyl-1,3,5-hexatriene |
| DSC | Differential Scanning Calorimetry |
| L/P | Lipid-to-peptide mole ratio |
| LUVs | Large unilamellar vesicles |
| MLVs | Multilamellar vesicles |
| POPC | 1-palmitoyl-2-oleoyl-sn-glycero-3-phosphocholine |
| POPG | 1-palmitoyl-2-oleoyl-sn-glycero-3-rac-phosphoglycerol |
Appendix A

References
- Wang, G. Post-Translational Modifications of Natural Antimicrobial Peptides and Strategies for Peptide Engineering. Curr. Biotechnol. E 2012, 1, 72–79. [Google Scholar] [CrossRef]
- Zasloff, M. Antimicrobial Peptides of Multicellular Organisms: My Perspective. In Antimicrobial Peptides; Matsuzaki, K., Ed.; Advances in Experimental Medicine and Biology; Springer: Singapore, 2019; Volume 1117, pp. 3–6. ISBN 9789811335877. [Google Scholar]
- Fan, L.; Sun, J.; Zhou, M.; Zhou, J.; Lao, X.; Zheng, H.; Xu, H. DRAMP: A Comprehensive Data Repository of Antimicrobial Peptides. Sci. Rep. 2016, 6, 24482. [Google Scholar] [CrossRef]
- Wang, X.; Wang, G. Insights into Antimicrobial Peptides from Spiders and Scorpions. Protein Pept. Lett. 2016, 23, 707–721. [Google Scholar] [CrossRef]
- Lei, J.; Sun, L.; Huang, S.; Zhu, C.; Li, P.; He, J.; Mackey, V.; Coy, D.H.; He, Q. The Antimicrobial Peptides and Their Potential Clinical Applications. Am. J. Transl. Res. 2019, 11, 3919–3931. [Google Scholar] [PubMed]
- Hancock, R.E.W.; Sahl, H.-G. Antimicrobial and Host-Defense Peptides as New Anti-Infective Therapeutic Strategies. Nat. Biotechnol. 2006, 24, 1551–1557. [Google Scholar] [CrossRef]
- Wang, G.; Li, X.; Wang, Z. APD3: The Antimicrobial Peptide Database as a Tool for Research and Education. Nucleic Acids Res. 2016, 44, D1087–D1093. [Google Scholar] [CrossRef] [PubMed]
- Zasloff, M. Antimicrobial Peptides of Multicellular Organisms. Nature 2002, 415, 389–395. [Google Scholar] [CrossRef]
- Toke, O. Antimicrobial Peptides: New Candidates in the Fight against Bacterial Infections. Biopolymers 2005, 80, 717–735. [Google Scholar] [CrossRef]
- Matsuzaki, K. Antimicrobial Peptides: Basics for Clinical Application; Springer: Berlin, Germany, 2019; ISBN 9789811335877. [Google Scholar]
- Brogden, K.A. Antimicrobial Peptides: Pore Formers or Metabolic Inhibitors in Bacteria? Nat. Rev. Microbiol. 2005, 3, 238–250. [Google Scholar] [CrossRef] [PubMed]
- Park, C.B.; Yi, K.-S.; Matsuzaki, K.; Kim, M.S.; Kim, S.C. Structure-Activity Analysis of Buforin II, a Histone H2A-Derived Antimicrobial Peptide: The Proline Hinge Is Responsible for the Cell-Penetrating Ability of Buforin II. Proc. Natl. Acad. Sci. USA 2000, 97, 8245–8250. [Google Scholar] [CrossRef]
- Čeřovský, V.; Buděšínský, M.; Hovorka, O.; Cvačka, J.; Voburka, Z.; Slaninová, J.; Borovičková, L.; Fučík, V.; Bednárová, L.; Votruba, I.; et al. Lasioglossins: Three Novel Antimicrobial Peptides from the Venom of the Eusocial Bee Lasioglossum Laticeps (Hymenoptera: Halictidae). ChemBioChem 2009, 10, 2089–2099. [Google Scholar] [CrossRef]
- Bandyopadhyay, S.; Lee, M.; Sivaraman, J.; Chatterjee, C. Model Membrane Interaction and DNA-Binding of Antimicrobial Peptide Lasioglossin II Derived from Bee Venom. Biochem. Biophys. Res. Commun. 2013, 430, 1–6. [Google Scholar] [CrossRef] [PubMed]
- Vrablikova, A.; Czernekova, L.; Cahlikova, R.; Novy, Z.; Petrik, M.; Imran, S.; Novak, Z.; Krupka, M.; Cerovsky, V.; Turanek, J.; et al. Lasioglossins LLIII Affect the Morphogenesis of Candida Albicans and Reduces the Duration of Experimental Vaginal Candidiasis in Mice: Lasioglossins in Candida Infection. Microbiol. Immunol. 2017, 61, 474–481. [Google Scholar] [CrossRef] [PubMed]
- Slaninová, J.; Mlsová, V.; Kroupová, H.; Alán, L.; Tůmová, T.; Monincová, L.; Borovičková, L.; Fučík, V.; Čeřovský, V. Toxicity Study of Antimicrobial Peptides from Wild Bee Venom and Their Analogs toward Mammalian Normal and Cancer Cells. Peptides 2012, 33, 18–26. [Google Scholar] [CrossRef]
- Slaninová, J.; Putnová, H.; Borovičková, L.; Šácha, P.; Čeřovský, V.; Monincová, L.; Fučík, V. The Antifungal Effect of Peptides from Hymenoptera Venom and Their Analogs. Open Life Sci. 2011, 6, 150–159. [Google Scholar] [CrossRef]
- Oliva, R.; Mukherjee, S.K.; Fetahaj, Z.; Möbitz, S.; Winter, R. Perturbation of Liquid Droplets of P-Granule Protein LAF-1 by the Antimicrobial Peptide LL-III. Chem. Commun. 2020, 56, 11577–11580. [Google Scholar] [CrossRef]
- Teixeira, V.; Feio, M.J.; Bastos, M. Role of Lipids in the Interaction of Antimicrobial Peptides with Membranes. Prog. Lipid Res. 2012, 51, 149–177. [Google Scholar] [CrossRef]
- Stillwell, W. An Introduction to Biological Membranes From Bilayers to Rafts; Elsevier: Amsterdam, The Netherlands; Boston, MA, USA; Heidelberg, Germany, 2013; ISBN 978-0-08-093128-9. [Google Scholar]
- Travkova, O.G.; Moehwald, H.; Brezesinski, G. The Interaction of Antimicrobial Peptides with Membranes. Adv. Colloid Interface Sci. 2017, 247, 521–532. [Google Scholar] [CrossRef]
- Ran, S.; Downes, A.; Thorpe, P.E. Increased Exposure of Anionic Phospholipids on the Surface of Tumor Blood Vessels. Cancer Res. 2002, 62, 6132–6140. [Google Scholar] [PubMed]
- Oliva, R.; Del Vecchio, P.; Stellato, M.I.; D’Ursi, A.M.; D’Errico, G.; Paduano, L.; Petraccone, L. A Thermodynamic Signature of Lipid Segregation in Biomembranes Induced by a Short Peptide Derived from Glycoprotein Gp36 of Feline Immunodeficiency Virus. Biochim. Biophys. Acta BBA Biomembr. 2015, 1848, 510–517. [Google Scholar] [CrossRef] [PubMed]
- Reed, J.; Reed, T.A. A Set of Constructed Type Spectra for the Practical Estimation of Peptide Secondary Structure from Circular Dichroism. Anal. Biochem. 1997, 254, 36–40. [Google Scholar] [CrossRef]
- Amon, M.A.; Ali, M.; Bender, V.; Hall, K.; Aguilar, M.-I.; Aldrich-Wright, J.; Manolios, N. Kinetic and Conformational Properties of a Novel T-Cell Antigen Receptor Transmembrane Peptide in Model Membranes. J. Pept. Sci. 2008, 14, 714–724. [Google Scholar] [CrossRef]
- Oliva, R.; Del Vecchio, P.; Grimaldi, A.; Notomista, E.; Cafaro, V.; Pane, K.; Schuabb, V.; Winter, R.; Petraccone, L. Membrane Disintegration by the Antimicrobial Peptide (P)GKY20: Lipid Segregation and Domain Formation. Phys. Chem. Chem. Phys. 2019, 21, 3989–3998. [Google Scholar] [CrossRef] [PubMed]
- Pizzo, E.; Oliva, R.; Morra, R.; Bosso, A.; Ragucci, S.; Petraccone, L.; Del Vecchio, P.; Di Maro, A. Binding of a Type 1 RIP and of Its Chimeric Variant to Phospholipid Bilayers: Evidence for a Link between Cytotoxicity and Protein/Membrane Interactions. Biochim. Biophys. Acta BBA Biomembr. 2017, 1859, 2106–2112. [Google Scholar] [CrossRef]
- Oliva, R.; Chino, M.; Lombardi, A.; Nastri, F.; Notomista, E.; Petraccone, L.; Del Vecchio, P. Similarities and Differences for Membranotropic Action of Three Unnatural Antimicrobial Peptides. J. Pept. Sci. 2020, 26. [Google Scholar] [CrossRef] [PubMed]
- Gironi, B.; Oliva, R.; Petraccone, L.; Paolantoni, M.; Morresi, A.; Del Vecchio, P.; Sassi, P. Solvation Properties of Raft-like Model Membranes. Biochim. Biophys. Acta BBA Biomembr. 2019, 1861, 183052. [Google Scholar] [CrossRef]
- Lúcio, A.D.; Vequi-Suplicy, C.C.; Fernandez, R.M.; Lamy, M.T. Laurdan Spectrum Decomposition as a Tool for the Analysis of Surface Bilayer Structure and Polarity: A Study with DMPG, Peptides and Cholesterol. J. Fluoresc. 2010, 20, 473–482. [Google Scholar] [CrossRef]
- Wimley, W.C. Describing the Mechanism of Antimicrobial Peptide Action with the Interfacial Activity Model. ACS Chem. Biol. 2010, 5, 905–917. [Google Scholar] [CrossRef] [PubMed]
- Wimley, W.C.; Hristova, K. The Mechanism of Membrane Permeabilization by Peptides: Still an Enigma. Aust. J. Chem. 2020, 73, 96. [Google Scholar] [CrossRef] [PubMed]
- Yau, W.-M.; Wimley, W.C.; Gawrisch, K.; White, S.H. The Preference of Tryptophan for Membrane Interfaces. Biochemistry 1998, 37, 14713–14718. [Google Scholar] [CrossRef] [PubMed]
- Phambu, N.; Almarwani, B.; Alwadai, A.; Phambu, E.N.; Faciane, N.; Marion, C.; Sunda-Meya, A. Calorimetric and Spectroscopic Studies of the Effects of the Cell Penetrating Peptide Pep-1 and the Antimicrobial Peptide Combi-2 on Vesicles Mimicking Escherichia Coli Membrane. Langmuir 2017, 33, 12908–12915. [Google Scholar] [CrossRef] [PubMed]
- Wadhwani, P.; Epand, R.F.; Heidenreich, N.; Bürck, J.; Ulrich, A.S.; Epand, R.M. Membrane-Active Peptides and the Clustering of Anionic Lipids. Biophys. J. 2012, 103, 265–274. [Google Scholar] [CrossRef]
- Epand, R.F.; Maloy, W.L.; Ramamoorthy, A.; Epand, R.M. Probing the “Charge Cluster Mechanism” in Amphipathic Helical Cationic Antimicrobial Peptides. Biochemistry 2010, 49, 4076–4084. [Google Scholar] [CrossRef] [PubMed]
- Gautier, R.; Douguet, D.; Antonny, B.; Drin, G. HELIQUEST: A Web Server to Screen Sequences with Specific-Helical Properties. Bioinformatics 2008, 24, 2101–2102. [Google Scholar] [CrossRef] [PubMed]
- Hope, M.J.; Bally, M.B.; Webb, G.; Cullis, P.R. Production of Large Unilamellar Vesicles by a Rapid Extrusion Procedure. Characterization of Size Distribution, Trapped Volume and Ability to Maintain a Membrane Potential. Biochim. Biophys. Acta BBA Biomembr. 1985, 812, 55–65. [Google Scholar] [CrossRef]
- MacDonald, R.C.; MacDonald, R.I.; Menco, B.P.M.; Takeshita, K.; Subbarao, N.K.; Hu, L. Small-Volume Extrusion Apparatus for Preparation of Large, Unilamellar Vesicles. Biochim. Biophys. Acta BBA Biomembr. 1991, 1061, 297–303. [Google Scholar] [CrossRef]
- Biltonen, R.L.; Lichtenberg, D. The Use of Differential Scanning Calorimetry as a Tool to Characterize Liposome Preparations. Chem. Phys. Lipids 1993, 64, 129–142. [Google Scholar] [CrossRef]
- Ladokhin, A.S.; Jayasinghe, S.; White, S.H. How to Measure and Analyze Tryptophan Fluorescence in Membranes Properly, and Why Bother? Anal. Biochem. 2000, 285, 235–245. [Google Scholar] [CrossRef]
- Lakowicz, J.R. (Ed.) Principles of Fluorescence Spectroscopy; Springer: Boston, MA, USA, 2006; ISBN 978-0-387-31278-1. [Google Scholar]
- Oliva, R.; Chino, M.; Pane, K.; Pistorio, V.; De Santis, A.; Pizzo, E.; D’Errico, G.; Pavone, V.; Lombardi, A.; Del Vecchio, P.; et al. Exploring the Role of Unnatural Amino Acids in Antimicrobial Peptides. Sci. Rep. 2018, 8, 8888. [Google Scholar] [CrossRef]
- Stewart, J.C.M. Colorimetric Determination of Phospholipids with Ammonium Ferrothiocyanate. Anal. Biochem. 1980, 104, 10–14. [Google Scholar] [CrossRef]









| System | α-Helix | β-Turn 1 | Random Coil | R2 |
|---|---|---|---|---|
| LL-III in buffer | 15% | 23% | 62% | 0.982 |
| +POPC | 20% | 29% | 51% | 0.986 |
| +POPC/POPG | 89% | 11% | - | 0.990 |
| System | 1 Tp/°C | 1,3 ΔHp/kJ mol−1 | 2 Tm/°C | 2,3 ΔHm/kJ mol−1 |
|---|---|---|---|---|
| DPPC | 33.4 | 2.1 | 40.9 | 34.1 |
| L/P = 50 | 32.2 | 2.0 | 40.9 | 37.5 |
| L/P = 10 | 31.5 | 1.2 | 40.9 | 35.5 |
| DPPC/DPPG | 33.3 | 1.9 | 41.0 | 36.0 |
| L/P = 100 | 33.4 | 0.8 | 41.6 | 37.5 |
| L/P = 50 | - | - | 42.2 | 42.3 |
| L/P = 10 | - | - | 42.1 | 36.2 |
Publisher’s Note: MDPI stays neutral with regard to jurisdictional claims in published maps and institutional affiliations. |
© 2021 by the authors. Licensee MDPI, Basel, Switzerland. This article is an open access article distributed under the terms and conditions of the Creative Commons Attribution (CC BY) license (http://creativecommons.org/licenses/by/4.0/).
Share and Cite
Battista, F.; Oliva, R.; Del Vecchio, P.; Winter, R.; Petraccone, L. Insights into the Action Mechanism of the Antimicrobial Peptide Lasioglossin III. Int. J. Mol. Sci. 2021, 22, 2857. https://doi.org/10.3390/ijms22062857
Battista F, Oliva R, Del Vecchio P, Winter R, Petraccone L. Insights into the Action Mechanism of the Antimicrobial Peptide Lasioglossin III. International Journal of Molecular Sciences. 2021; 22(6):2857. https://doi.org/10.3390/ijms22062857
Chicago/Turabian StyleBattista, Filomena, Rosario Oliva, Pompea Del Vecchio, Roland Winter, and Luigi Petraccone. 2021. "Insights into the Action Mechanism of the Antimicrobial Peptide Lasioglossin III" International Journal of Molecular Sciences 22, no. 6: 2857. https://doi.org/10.3390/ijms22062857
APA StyleBattista, F., Oliva, R., Del Vecchio, P., Winter, R., & Petraccone, L. (2021). Insights into the Action Mechanism of the Antimicrobial Peptide Lasioglossin III. International Journal of Molecular Sciences, 22(6), 2857. https://doi.org/10.3390/ijms22062857

