Spontaneous and Engineered Large Animal Models of Neurofibromatosis Type 1
Abstract
1. Introduction
2. Spontaneous Models of Neurofibromatosis
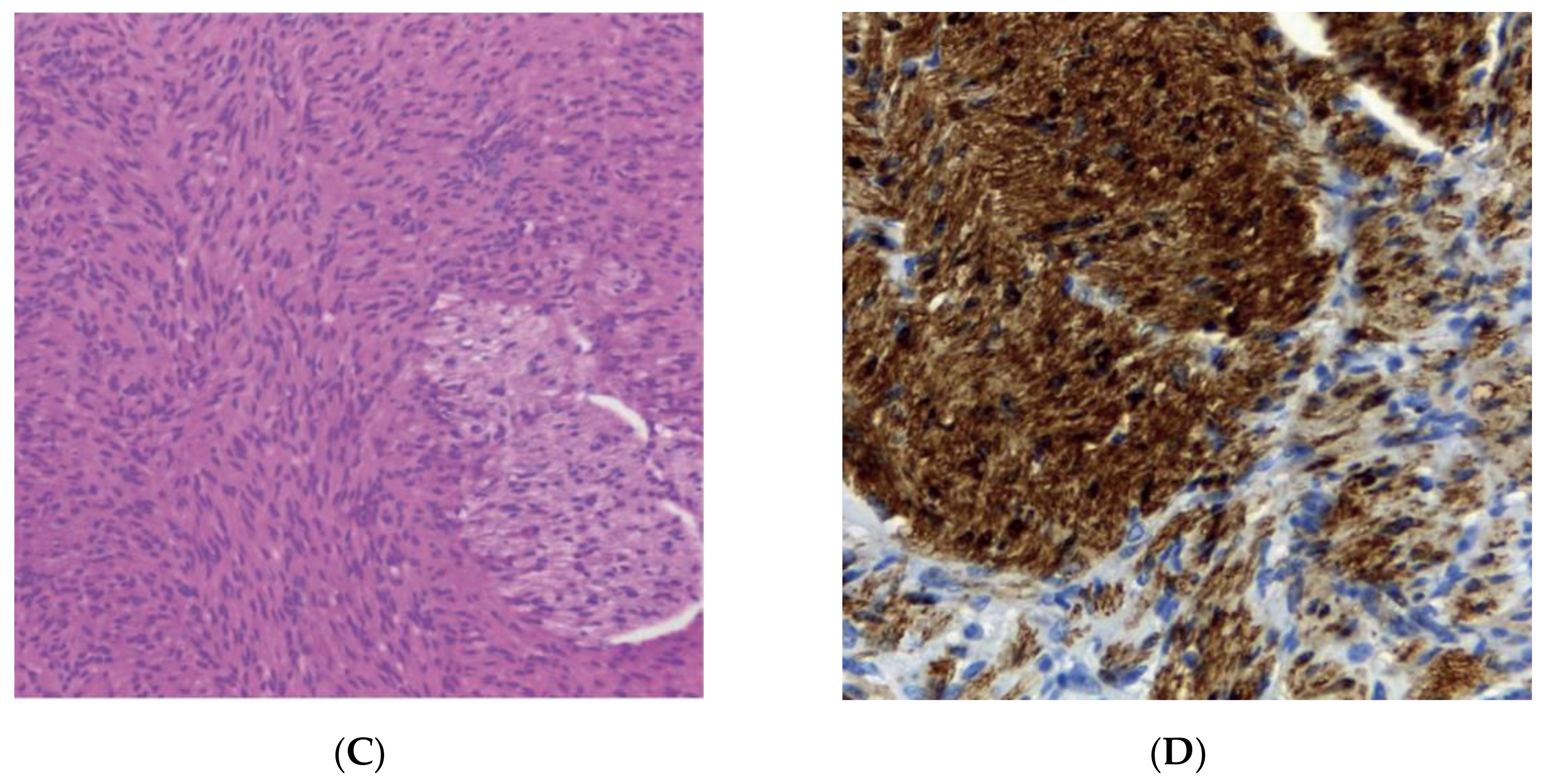
2.1. Cattle
2.2. Dogs
2.3. Other Spontaneous Animal Models
3. Genetically Engineered Models of NF1
3.1. NF1 Genetically Engineered Rodent Models (NF1-GERMs)
3.2. NF1 Genetically Engineered Swine Models
4. Conclusions
Author Contributions
Funding
Institutional Review Board Statement
Informed Consent Statement
Data Availability Statement
Conflicts of Interest
References
- Gutmann, D.H.; Ferner, R.E.; Listernick, R.H.; Korf, B.R.; Wolters, P.L.; Johnson, K.J. Neurofibromatosis type 1. Nat. Rev. Dis. Prim. 2017, 3, 17004. [Google Scholar] [CrossRef]
- Kresak, J.; Walsh, M. Neurofibromatosis: A Review of NF1, NF2, and Schwannomatosis. J. Pediatr. Genet. 2016, 5, 98–104. [Google Scholar] [CrossRef]
- Smith, M.J.; Isidor, B.; Beetz, C.; Williams, S.G.; Bhaskar, S.S.; Richer, W.; O’Sullivan, J.; Anderson, B.; Daly, S.B.; Urquhart, J.E.; et al. Mutations in LZTR1 add to the complex heterogeneity of schwannomatosis. Neurology 2015, 84, 141–147. [Google Scholar] [CrossRef] [PubMed]
- Jouhilahti, E.-M.; Peltonen, S.; Heape, A.M.; Peltonen, J. The pathoetiology of neurofibromatosis 1. Am. J. Pathol. 2011, 178, 1932–1939. [Google Scholar] [CrossRef] [PubMed]
- Monroe, C.L.; Dahiya, S.; Gutmann, D.H. Dissecting Clinical Heterogeneity in Neurofibromatosis Type 1. Annu. Rev. Pathol. Mech. Dis. 2017, 12, 53–74. [Google Scholar] [CrossRef] [PubMed]
- De Schepper, S.; Maertens, O.; Callens, T.; Naeyaert, J.-M.; Lambert, J.; Messiaen, L. Somatic Mutation Analysis in NF1 Café au lait Spots Reveals Two NF1 Hits in the Melanocytes. J. Investig. Dermatol. 2008, 128, 1050–1053. [Google Scholar] [CrossRef] [PubMed]
- Kluwe, L.; Friedrich, R.; Mautner, V.F. Loss of NF1 allele in Schwann cells but not in fibroblasts derived from an NF1-associated neurofibroma. Genes Chromosom. Cancer 1999, 24, 283–285. [Google Scholar] [CrossRef]
- Pemov, A.; Li, H.; Patidar, R.; Hansen, N.F.; Sindiri, S.; Hartley, S.W.; Wei, J.S.; Elkahloun, A.; Chandrasekharappa, S.C.; Boland, J.F.; et al. The primacy of NF1 loss as the driver of tumorigenesis in neurofibromatosis type 1-associated plexiform neurofibromas. Oncogene 2017. [Google Scholar] [CrossRef]
- Ferner, R.E.; Gutmann, D.H. Neurofibromatosis type 1 (NF1): Diagnosis and management. Handb. Clin. Neurol. 2013, 115, 939–955. [Google Scholar] [CrossRef]
- Martin, S.; Wolters, P.; Baldwin, A.; Gillespie, A.; Dombi, E.; Walker, K.; Widemann, B. Social-emotional functioning of children and adolescents with neurofibromatosis type 1 and plexiform neurofibromas: Relationships with cognitive, disease, and environmental variables. J. Pediatr. Psychol. 2012, 37, 713–724. [Google Scholar] [CrossRef]
- Reilly, K.M.; Kim, A.; Blakely, J.; Ferner, R.E.; Gutmann, D.H.; Legius, E.; Miettinen, M.M.; Lor Randall, R.; Ratner, N.; Jumbé, N.L.; et al. Neurofibromatosis Type 1–Associated MPNST State of the Science: Outlining a Research Agenda for the Future. JNCI 2017, 109, 6–11. [Google Scholar] [CrossRef]
- Gross, A.M.; Wolters, P.L.; Dombi, E.; Baldwin, A.; Whitcomb, P.; Fisher, M.J.; Weiss, B.; Kim, A.; Bornhorst, M.; Shah, A.C.; et al. Selumetinib in Children with Inoperable Plexiform Neurofibromas. N. Engl. J. Med. 2020, 1430–1442. [Google Scholar] [CrossRef] [PubMed]
- Lauchle, J.O.; Kim, D.; Le, D.T.; Akagi, K.; Crone, M.; Krisman, K.; Warner, K.; Bonifas, J.M.; Li, Q.; Coakley, K.M.; et al. Response and resistance to MEK inhibition in leukaemias initiated by hyperactive Ras. Nature 2009, 461, 411–414. [Google Scholar] [CrossRef] [PubMed]
- Johannessen, C.M.; Johnson, B.W.; Williams, S.M.G.; Chan, A.W.; Reczek, E.E.; Lynch, R.C.; Rioth, M.J.; McClatchey, A.; Ryeom, S.; Cichowski, K. TORC1 Is Essential for NF1-Associated Malignancies. Curr. Biol. 2008, 18, 56–62. [Google Scholar] [CrossRef] [PubMed]
- Brossier, N.M.; Carroll, S.L. Genetically engineered mouse models shed new light on the pathogenesis of neurofibromatosis type I-related neoplasms of the peripheral nervous system. Brain Res Bull 2012, 88, 58–71. [Google Scholar] [CrossRef] [PubMed]
- Denayer, T.; Stöhr, T.; Van Roy, M. Animal models in translational medicine: Validation and prediction. New Horizons Transl. Med. 2014, 2, 5–11. [Google Scholar] [CrossRef]
- Casal, M.; Haskins, M. Large animal models and gene therapy. Eur. J. Hum. Genet. 2006, 14, 266–272. [Google Scholar] [CrossRef]
- Flisikowski, K.; Flisikowska, T.; Sikorska, A.; Perkowska, A.; Kind, A.; Schnieke, A.; Switonski, M. Germline gene polymorphisms predisposing domestic mammals to carcinogenesis. Vet. Comp. Oncol. 2017, 15, 289–298. [Google Scholar] [CrossRef]
- Sartin, E.A.; Doran, S.E.; Riddell, M.G.; Herrera, G.A.; Tennyson, G.S.; D’Andrea, G.; Whitley, R.D.; Collins, F.S. Characterization of naturally occurring cutaneous neurofibromatosis in Holstein cattle: A disorder resembling neurofibromatosis type 1 in humans. Am. J. Pathol. 1994, 145, 1168–1174. [Google Scholar]
- Hoon-Hanks, L.L.; Frank, C.B.; Edmondson, E.F. Primary Meningeal Rhabdomyosarcoma of the Spinal Cord of a Young Dog with Neuromelanocytosis and Multiple Cutaneous Neurofibromas. J. Comp. Pathol. 2018, 165, 57–61. [Google Scholar] [CrossRef] [PubMed]
- Whitelaw, C.B.A.; Sheets, T.P.; Lillico, S.G.; Telugu, B.P. Engineering large animal models of human disease. J. Pathol. 2016, 238, 247–256. [Google Scholar] [CrossRef] [PubMed]
- Watson, A.L.; Carlson, D.F.; Largaespada, D.A.; Hackett, P.B.; Fahrenkrug, S.C. Engineered swine models of cancer. Front. Genet. 2016, 7, 78. [Google Scholar] [CrossRef] [PubMed]
- Walters, E.M.; Wells, K.D.; Bryda, E.C.; Schommer, S.; Prather, R.S. Swine models, genomic tools and services to enhance our understanding of human health and diseases. Lab Anim. 2017, 46, 167–172. [Google Scholar] [CrossRef] [PubMed]
- Schook, L.B.; Collares, T.V.; Darfour-Oduro, K.A.; De, A.K.; Rund, L.A.; Schachtschneider, K.M.; Seixas, F.K. Unraveling the Swine Genome: Implications for Human Health. Annu. Rev. Anim. Biosci. 2015, 3, 219–244. [Google Scholar] [CrossRef]
- Flisikowska, T.; Kind, A.; Schnieke, A. Genetically modified pigs to model human diseases. J. Appl. Genet. 2014, 55, 53–64. [Google Scholar] [CrossRef]
- Kurome, M.; Geistlinger, L.; Kessler, B.; Zakhartchenko, V.; Klymiuk, N.; Wuensch, A.; Richter, A.; Baehr, A.; Kraehe, K.; Burkhardt, K.; et al. Factors influencing the efficiency of generating genetically engineered pigs by nuclear transfer: Multi-factorial analysis of a large data set. BMC Biotechnol. 2013, 13, 43. [Google Scholar] [CrossRef] [PubMed]
- Schook, L.B.; Collares, T.V.; Hu, W.; Liang, Y.; Rodrigues, F.M.; Rund, L.A.; Schachtschneider, K.M.; Seixas, F.K.; Singh, K.; Wells, K.D.; et al. A Genetic Porcine Model of Cancer. PLoS ONE 2015, 10, e0128864. [Google Scholar] [CrossRef]
- Yum, S.-Y.; Yoon, K.-Y.; Lee, C.-I.; Lee, B.-C.; Jang, G. Transgenesis for pig models. J. Vet. Sci. 2016, 17, 261–268. [Google Scholar] [CrossRef]
- Isakson, S.H.; Rizzardi, A.E.; Coutts, A.W.; Carlson, D.F.; Kirstein, M.N.; Fisher, J.; Vitte, J.; Williams, K.B.; Pluhar, G.E.; Dahiya, S.; et al. Genetically engineered minipigs model the major clinical features of human neurofibromatosis type 1. Commun. Biol. 2018, 1, 158. [Google Scholar] [CrossRef]
- White, K.A.; Quelle, D.E.; Weimer, J.M. A porcine model of neurofibromatosis type 1 that mimics the human disease. JCI Insight 2018, 3, e120402. [Google Scholar] [CrossRef]
- Riccardi, V.M.; Womack, J.E.; Jacks, T. Neurofibromatosis and Related Tumors. Am. J. Path. 1994, 145, 994. [Google Scholar] [PubMed]
- Schöniger, S.; Summers, B.A. Localized, Plexiform, Diffuse, and Other Variants of Neurofibroma in 12 Dogs, 2 Horses, and a Chicken. Vet. Pathol. 2009, 46, 904–915. [Google Scholar] [CrossRef] [PubMed]
- Veazey, R.S.; Angel, K.L.; Snider, T.G.; Lopez, M.K.; Taylor, H.W. Malignant Schwannoma in a goat. J. Vet. Diagn. Investig. 1993, 5, 454–458. [Google Scholar] [CrossRef] [PubMed]
- Ramírez, G.A.; Herráez, P.; Rodríguez, F.; Godhino, A.; Andrada, M.; Espinosa de los Monteros, A. Malignant Peripheral Nerve Sheath Tumour (Malignant Schwannoma) in the Diaphragm of a Goat. J. Comp. Pathol. 2007, 137, 137–141. [Google Scholar] [CrossRef]
- Williamson, L.H.; Farrell, R.L. Intracranial schwannoma in a horse. Cornell Vet. 1990, 80, 135–141. [Google Scholar]
- Meat, C.; Prefecture, K. Cutaneous plexiform schwannoma in a pig. J. Comp. Pathol. 1993, 109, 231–240. [Google Scholar]
- Resende, T.P.; Pereira, C.E.R.; Vannucci, F.A.; Araujo, F.S.; Santos, J.L.; Cassali, G.D.; Damasceno, K.A.; Guedes, R.M.C. Malignant peripheral nerve sheath tumour in a sow. Acta Vet. Scand. 2015, 57, 56. [Google Scholar] [CrossRef]
- Becker, K.; Kegler, K.; von Altrock, A.; Kuchelmeister, K.; Baumgärtner, W.; Wohlsein, P. Cutaneous Pigmented Neurofibroma in a Pig – Morphology and Immunohistochemical Profile. J. Comp. Pathol. 2019, 168, 25–29. [Google Scholar] [CrossRef]
- Meyerholz, D.K.; Ofori-Amanfo, G.K.; Leidinger, M.R.; Goeken, J.A.; Khanna, R.; Sieren, J.C.; Darbro, B.W.; Quelle, D.E.; Weimer, J.M. Immunohistochemical Markers for Prospective Studies in Neurofibromatosis-1 Porcine Models. J. Histochem. Cytochem. 2017, 65, 607–618. [Google Scholar] [CrossRef] [PubMed]
- Stilwell, J.M.; Rissi, D.R. Pathology and immunohistochemistry of a malignant nerve sheath tumor in a pig: Case report and brief review of the literature. J. Vet. Diagn. Investig. 2019, 31, 122–127. [Google Scholar] [CrossRef] [PubMed]
- Rodriguez, F.J.; Folpe, A.L.; Giannini, C.; Perry, A. Pathology of peripheral nerve sheath tumors: Diagnostic overview and update on selected diagnostic problems. Acta Neuropathol. 2012, 123, 295–319. [Google Scholar] [CrossRef] [PubMed]
- Grossi, A.B.; Agerholm, J.S.; Christensen, K.; Jensen, H.E.; Leifsson, P.S.; Bendixen, C.; Karlskov-Mortensen, P.; Fredholm, M. A hereditary disposition for bovine peripheral nerve sheath tumors in Danish Holstein cattle. Acta Vet. Scand. 2014, 56, 85. [Google Scholar] [CrossRef]
- Innes, J.R.M.; Saunders, L.Z. Comparative Neuropathology; Academic Press: Cambridge, MA, USA, 2016. [Google Scholar]
- Monlux, A.W.; David, C.L. Multiple schwannomas of cattle (nerve sheath tumors; multiple neurilemmomas; neurofibromatosis). Am. J. Vet. Res. 1953, 14, 499–509. [Google Scholar] [PubMed]
- Canfield, P. A Light Microscopic Study of Bovine Peripheral Nerve Sheath Tumours. Vet. Pathol. 1978, 15, 283–291. [Google Scholar] [CrossRef]
- Canfield, P. The ultrastructure of bovine peripheral nerve sheath tumours. Vet. Pathol. 1978, 15, 292–300. [Google Scholar] [CrossRef]
- Tanimoto, T.; Ohtsuki, Y. A solitary schwannoma in the cecum of a cow. Vet. Pathol. 1992, 29, 81–83. [Google Scholar] [CrossRef] [PubMed]
- Mitcham, S.A.; Kasari, T.R.; Parent, J.M.; Naylor, J.M. Intracranial Schwannoma in a Cow. Can. Vet. J. 1984, 25, 138. [Google Scholar] [PubMed]
- Miranda, I.C.; Taylor, K.R.; Castleman, W.; de Lahunta, A.; Summers, B.A.; Miller, A.D. Schwannosis in Three Foals and a Calf. Vet. Pathol. 2019, 56, 783–788. [Google Scholar] [CrossRef]
- Omi, K.; Kitano, Y.; Agawa, H.; Kadota, K. An immunohistochemical study of peripheral neuroblastoma, ganglioneuroblastoma, anaplastic ganglioglioma, schwannoma and neurofibroma in cattle. J. Comp. Pathol. 1994, 111, 1–14. [Google Scholar] [CrossRef]
- Doughty, F.R. Incidence of Neurofibroma in Cattle in Abattoirs in New South Wales. Aust. Vet. J. 1977, 53, 280–281. [Google Scholar] [CrossRef]
- Simon, J.; Brewer, R. Multiple neurofibromatosis in a cow and calf. J. Am. Vet. Med. Assoc. 1963, 142, 1102–1104. [Google Scholar]
- Doughty, F.R. The Pathology, Histopathology and Ultrastructure of Neurofibromata in Cattle; University of Sydney: Sydney, Australia, 1973. [Google Scholar]
- De Sousa Lima, T.; De Oliveira Filho, R.B.; De Sousa, M.S.; Alves Dos Santos, N.T.; Guedes Sampaio, R.A.; Lucena, R.B. Cytological, histopathological, histochemical, and immunohistochemical findings of multiple cutaneous nodules in a bovine. Semin. Agrar. 2019, 40, 3781–3788. [Google Scholar] [CrossRef]
- Nielsen, A.B.; Jensen, H.E.; Leifsson, P.S. Immunohistochemistry for 2′,3′-Cyclic Nucleotide-3′-Phosphohydrolase in 63 Bovine Peripheral Nerve Sheath Tumors. Vet. Pathol. 2011, 48, 796–802. [Google Scholar] [CrossRef] [PubMed]
- Dammann, I.; Dammann, I.; Dammann, I.; Wemheuer, W.M.; Wrede, A.; Wemheuer, W.E.; Campe, A.; Petschenka, J.; Schulze-Sturm, U.; Hahmann, U.; et al. Unexpected high frequency of neurofibroma in the celiac ganglion of German cattle. Vet. Res. 2020, 51, 1–13. [Google Scholar] [CrossRef]
- Slanina, L.; Konrád, V.; Vajda, V.; Lojda, L.; Zibrín, M.; Tomajková, E.; Sokol, J.; Lehocký, J.; Skarda, R.; Mad’ar, J. [Congenital neurofibromatosis of the skin in calves]. Dtsch. Tierarztl. Wochenschr. 1978, 85, 41–45. [Google Scholar] [PubMed]
- Murcia, P.R.; Delhon, G.; González, M.J.; Vilas, M.; Ramos-Vara, J.A.; De Las Heras, M.; Nordhausen, R.W.; Uzal, F.A. Cluster of cases of malignant schwannoma in cattle. Vet. Rec. 2008, 163, 331–335. [Google Scholar] [CrossRef]
- Canfield, P.J.; Doughty, F.R. A Study of Virus-Like Particles Present in Bovine Nerve Sheath Tumours. Aust. Vet. J. 1980, 56, 257–261. [Google Scholar] [CrossRef]
- Chijiwa, K.; Uchida, K.; Tateyama, S. Immunohistochemical evaluation of canine peripheral nerve sheath tumors and other soft tissue sarcomas. Vet. Pathol. 2004, 41, 307–318. [Google Scholar] [CrossRef]
- Silva, E.O.; Goiozo, P.F.I.; Pereira, L.G.; Headley, S.A.; Bracarense, A.F.R.L. Concomitant Malignant Pulmonary Peripheral Nerve Sheath Tumour and Benign Cutaneous Peripheral Nerve Sheath Tumour in a Dog. J. Comp. Pathol. 2017, 157, 46–50. [Google Scholar] [CrossRef]
- Crucis, A.; Richer, W.; Brugières, L.; Bergeron, C.; Marie-Cardine, A.; Stephan, J.-L.; Girard, P.; Corradini, N.; Munzer, M.; Lacour, B.; et al. Rhabdomyosarcomas in children with neurofibromatosis type I: A national historical cohort. Pediatr. Blood Cancer 2015, 62, 1733–1738. [Google Scholar] [CrossRef]
- De Schepper, S.; Boucneau, J.M.A.; Westbroek, W.; Mommaas, M.; Onderwater, J.; Messiaen, L.; Naeyaert, J.-M.A.D.; Lambert, J.L.W. Neurofibromatosis Type 1 Protein and Amyloid Precursor Protein Interact in Normal Human Melanocytes and Colocalize with Melanosomes. J. Investig. Dermatol. 2006, 126, 653–659. [Google Scholar] [CrossRef]
- Brower, A.; Salamat, S.; Crawford, J.; Manley, P. Unilateral Limb Enlargement in a Dog with a Malignant Peripheral Nerve Sheath Tumor. Vet. Pathol. 2005, 42, 353–356. [Google Scholar] [CrossRef]
- Miettinen, M.M.; Antonescu, C.R.; Fletcher, C.D.; Kim, A.; Lazar, A.J.; Quezado, M.M.; Reilly, K.M.; Stemmer-Rachamimov, A.; Stewart, D.R.; Viskochil, D.; et al. Histopathologic evaluation of atypical neurofibromatous tumors and their transformation into malignant peripheral nerve sheath tumor in patients with neurofibromatosis 1—A consensus overview. Hum. Pathol. 2017, 67, 1–10. [Google Scholar] [CrossRef]
- Roberts, N.J.; Zhang, L.; Janku, F.; Collins, A.; Bai, R.; Staedtke, V.; Rusk, A.W.; Tung, D.; Miller, M.; Roix, J.; et al. Intratumoral injection of Clostridium novyi-NT spores induces antitumor responses. Sci. Transl. Med. 2014, 6. [Google Scholar] [CrossRef]
- Schmale, M.C.; Hensley, G.; Udey, L.R. Neurofibromatosis, von Recklinghausen’s disease, multiple schwannomas, malignant schwannomas. Multiple schwannomas in the bicolor damselfish, Pomacentrus partitus (pisces, pomacentridae). Am. J. Pathol. 1983, 112, 238–241. [Google Scholar] [PubMed]
- Lacson, J.; Riccardi, V.; Morizot, D. Possible genetic etiology of damselfish neurofibromatosis: Genetic differentiation of bicolor damselfish (Pomacentrus partitus) populations. Neurofibromatosis 1987, 1, 253–259. [Google Scholar]
- Schmale, M.C.; Hensley, G.T. Transmissibility of a neurofibromatosis-like disease in bicolor damselfish. Cancer Res. 1988, 48, 3828–3833. [Google Scholar] [PubMed]
- Jacks, T.; Shih, T.S.; Schmitt, E.M.; Bronson, R.T.; Bernards, A.; Weinberg, R.A. Tumour predisposition in mice heterozygous for a targeted mutation in Nf1. Nat. Genet. 1994, 7, 353–361. [Google Scholar] [CrossRef]
- Brannan, C.I.; Perkins, A.S.; Vogel, K.S.; Ratner, N.; Nordlund, M.L.; Reid, S.W.; Buchberg, A.M.; Jenkins, N.A.; Parada, L.F.; Copeland, N.G. Targeted disruption of the neurofibromatosis type-1 gene leads to developmental abnormalities in heart and various neural crest-derived tissues. Genes Dev. 1994, 8, 1019–1029. [Google Scholar] [CrossRef]
- Cichowski, K.; Shih, T.S.; Schmitt, E.; Santiago, S.; Reilly, K.; McLaughlin, M.E.; Bronson, R.T.; Jacks, T. Mouse models of tumor development in neurofibromatosis type 1. Science 1999, 286, 2172–2176. [Google Scholar] [CrossRef]
- Vogel, K.S.; Klesse, L.J.; Velasco-Miguel, S.; Meyers, K.; Rushing, E.J.; Parada, L.F. Mouse Tumor Model for Neurofibromatosis Type 1. Science 1999, 286, 2176–2179. [Google Scholar] [CrossRef]
- Beert, E.; Brems, H.; Daniëls, B.; De Wever, I.; Van Calenbergh, F.; Schoenaers, J.; Debiec-Rychter, M.; Gevaert, O.; De Raedt, T.; Van Den Bruel, A.; et al. Atypical neurofibromas in neurofibromatosis type 1 are premalignant tumors. Genes Chromosom. Cancer 2011, 50, 1021–1032. [Google Scholar] [CrossRef]
- Zhang, M.; Wang, Y.; Jones, S.; Sausen, M.; McMahon, K.; Sharma, R.; Wang, Q.; Belzberg, A.J.; Chaichana, K.; Gallia, G.L.; et al. Somatic mutations of SUZ12 in malignant peripheral nerve sheath tumors. Nat. Genet. 2014, 46, 1170–1172. [Google Scholar] [CrossRef]
- De Raedt, T.; Beert, E.; Pasmant, E.; Luscan, A.; Brems, H.; Ortonne, N.; Helin, K.; Hornick, J.L.; Mautner, V.; Kehrer-Sawatzki, H.; et al. PRC2 loss amplifies Ras-driven transcription and confers sensitivity to BRD4-based therapies. Nature 2014, 514, 247–251. [Google Scholar] [CrossRef] [PubMed]
- Bajenaru, M.L.; Hernandez, M.R.; Perry, A.; Zhu, Y.; Parada, L.F.; Garbow, J.R.; Gutmann, D.H. Optic Nerve Glioma in Mice Requires Astrocyte Nf1 Gene Inactivation and Nf1 Brain Heterozygosity. Cancer Res. 2003, 63, 3001–3004. [Google Scholar]
- Zheng, H.; Chang, L.; Patel, N.; Yang, J.; Lowe, L.; Burns, D.K.; Zhu, Y. Induction of abnormal proliferation by nonmyelinating schwann cells triggers neurofibroma formation. Cancer Cell 2008, 13, 117–128. [Google Scholar] [CrossRef] [PubMed]
- Mayes, D.A.; Rizvi, T.A.; Cancelas, J.A.; Kolasinski, N.T.; Ciraolo, G.M.; Stemmer-Rachamimov, A.O.; Ratner, N. Perinatal or adult Nf1 inactivation using tamoxifen-inducible PlpCre each cause neurofibroma formation. Cancer Res. 2011, 71, 4675–4685. [Google Scholar] [CrossRef] [PubMed]
- Zhu, Y.; Ghosh, P.; Charnay, P.; Burns, D.K.; Parada, L.F. Neurofibromas in NF1: Schwann cell origin and role of tumor environment. Science 2002, 296, 920–922. [Google Scholar] [CrossRef] [PubMed]
- Wu, J.; Williams, J.P.; Rizvi, T.A.; Kordich, J.J.; Witte, D.; Meijer, D.; Stemmer-Rachamimov, A.O.; Cancelas, J.A.; Ratner, N. Plexiform and Dermal Neurofibromas and Pigmentation Are Caused by Nf1 Loss in Desert Hedgehog-Expressing Cells. Cancer Cell 2008, 13, 105–116. [Google Scholar] [CrossRef] [PubMed]
- Chaney, K.E.; Perrino, M.R.; Kershner, L.J.; Patel, A.V.; Wu, J.; Choi, K.; Rizvi, T.A.; Dombi, E.; Szabo, S.; Largaespada, D.A.; et al. Cdkn2a Loss in a Model of Neurofibroma Demonstrates Stepwise Tumor Progression to Atypical Neurofibroma and MPNST. Cancer Res. 2020, 80, 4720–4730. [Google Scholar] [CrossRef] [PubMed]
- Le, L.Q.; Shipman, T.; Burns, D.K.; Parada, L.F. Cell of Origin and Microenvironment Contribution for NF1-Associated Dermal Neurofibromas. Cell Stem Cell 2009, 4, 453–463. [Google Scholar] [CrossRef]
- Chen, Z.; Mo, J.; Brosseau, J.P.; Shipman, T.; Wang, Y.; Liao, C.P.; Cooper, J.M.; Allaway, R.J.; Gosline, S.J.C.; Guinney, J.; et al. Spatiotemporal loss of NF1 in schwann cell lineage leads to different types of cutaneous neurofibroma susceptible to modification by the hippo pathway. Cancer Discov. 2019, 9, 114–129. [Google Scholar] [CrossRef]
- Radomska, K.J.; Coulpier, F.; Gresset, A.; Schmitt, A.; Debbiche, A.; Lemoine, S.; Wolkenstein, P.; Vallat, J.M.; Charnay, P.; Topilko, P. Cellular origin, tumor progression, and pathogenic mechanisms of cutaneous neurofibromas revealed by mice with Nf1 knockout in boundary cap cells. Cancer Discov. 2019, 9, 130–147. [Google Scholar] [CrossRef]
- Rhodes, S.D.; He, Y.; Smith, A.; Jiang, L.; Lu, Q.; Mund, J.; Li, X.; Bessler, W.; Qian, S.; Dyer, W.; et al. Cdkn2a (Arf) loss drives NF1-associated atypical neurofibroma and malignant transformation. Hum. Mol. Genet. 2019, 28, 2752–2762. [Google Scholar] [CrossRef]
- Le, D.T.; Kong, N.; Zhu, Y.; Lauchle, J.O.; Aiyigari, A.; Braun, B.S.; Wang, E.; Kogan, S.C.; Le Beau, M.M.; Parada, L.; et al. Somatic inactivation of Nf1 in hematopoietic cells results in a progressive myeloproliferative disorder. Blood 2004, 103, 4243–4250. [Google Scholar] [CrossRef] [PubMed]
- Bajaj, A.; Li, Q.F.; Zheng, Q.; Pumiglia, K. Loss of NF1 Expression in Human Endothelial Cells Promotes Autonomous Proliferation and Altered Vascular Morphogenesis. PLoS ONE 2012, 7. [Google Scholar] [CrossRef]
- Wang, W.; Nyman, J.S.; Ono, K.; Stevenson, D.A.; Yang, X.; Elefteriou, F. Mice lacking Nf1 in osteochondroprogenitor cells display skeletal dysplasia similar to patients with neurofibromatosis type I. Hum. Mol. Genet. 2011, 20, 3910–3924. [Google Scholar] [CrossRef] [PubMed]
- Dombi, E.; Baldwin, A.; Marcus, L.J.; Fisher, M.J.; Weiss, B.; Kim, A.; Whitcomb, P.; Martin, S.; Aschbacher-Smith, L.E.; Rizvi, T.A.; et al. Activity of Selumetinib in Neurofibromatosis Type 1—Related Plexiform Neurofibromas. N. Engl. J. Med. 2016, 375, 2550–2560. [Google Scholar] [CrossRef] [PubMed]
- Wu, J.; Dombi, E.; Jousma, E.; Scott Dunn, R.; Lindquist, D.; Schnell, B.M.; Kim, M.O.; Kim, A.; Widemann, B.C.; Cripe, T.P.; et al. Preclincial testing of Sorafenib and RAD001 in the Nf flox/flox;DhhCre mouse model of plexiform neurofibroma using magnetic resonance imaging. Pediatr. Blood Cancer 2012, 58, 173–180. [Google Scholar] [CrossRef]
- Kim, A.; Dombi, E.; Tepas, K.; Fox, E.; Martin, S.; Wolters, P.; Balis, F.M.; Jayaprakash, N.; Turkbey, B.; Muradyan, N.; et al. Phase I trial and pharmacokinetic study of sorafenib in children with neurofibromatosis type I and plexiform neurofibromas. Pediatr. Blood Cancer 2013, 60, 396–401. [Google Scholar] [CrossRef] [PubMed]
- Li, H.; Velasco-Miguel, S.; Vass, W.C.; Parada, L.F.; DeClue, J.E. Epidermal Growth Factor Receptor Signaling Pathways Are Associated with Tumorigenesis in the Nf1: p53 mouse tumor model. Cancer Res. 2002, 62, 4507–4513. [Google Scholar]
- Albritton, K.H.; Rankin, C.; Coffin, C.M.; Ratner, N.; Budd, G.T.; Schuetze, S.M.; Randall, R.L.; Declue, J.E.; Borden, E.C. Phase II study of erlotinib in metastatic or unresectable malignant peripheral nerve sheath tumors (MPNST). J. Clin. Oncol. 2006, 24, 9518. [Google Scholar] [CrossRef]
- Nupan, M.M.T.; Van Meerbeke, A.V.; Cabra, C.A.L.; Gomez, P.M.H. Cognitive and behavioral disorders in children with neurofibromatosis type 1. Front. Pediatr. 2017, 5, 227. [Google Scholar] [CrossRef]
- Li, W.; Cui, Y.; Kushner, S.A.; Brown, R.A.M.; Jentsch, J.D.; Frankland, P.W.; Cannon, T.D.; Silva, A.J. The HMG-CoA reductase inhibitor lovastatin reverses the learning and attention deficits in a mouse model of Neurofibromatosis Type 1. Curr. Biol. 2005, 15, 1961–1967. [Google Scholar] [CrossRef]
- Silva, A.J.; Frankland, P.W.; Marowitz, Z.; Friedman, E.; Lazlo, G.; Cioffi, D.; Jacks, T.; Bourtchuladze, R. A mouse model for the learning and memory deficits associated with neurofibromatosis type I. Nat. Genet. 1997, 15, 281–284. [Google Scholar] [CrossRef] [PubMed]
- Costa, R.M.; Federov, N.B.; Kogan, J.H.; Murphy, G.G.; Stern, J.; Ohno, M.; Kucherlapati, R.; Jacks, T.; Silva, A.J. Mechanism for the learning deficits in a mouse model of neurofibromatosis type 1. Nature 2002, 415, 526–530. [Google Scholar] [CrossRef] [PubMed]
- Payne, J.M.; Barton, B.; Ullrich, N.J.; Cantor, A.; Hearps, S.J.C.; Cutter, G.; Rosser, T.; Walsh, K.S.; Gioia, G.A.; Wolters, P.L.; et al. Randomized placebo-controlled study of lovastatin in children with neurofibromatosis type 1. Neurology 2016, 87, 2575–2584. [Google Scholar] [CrossRef] [PubMed]
- Al Dahhan, N.Z.; De Felice, F.G.; Munoz, D.P. Potentials and Pitfalls of Cross-Translational Models of Cognitive Impairment. Front. Behav. Neurosci. 2019, 13, 48. [Google Scholar] [CrossRef] [PubMed]
- Dischinger, P.S.; Tovar, E.A.; Essenburg, C.J.; Madaj, Z.B.; Gardner, E.E.; Callaghan, M.E.; Turner, A.N.; Challa, A.K.; Kempston, T.; Eagleson, B.; et al. NF1 deficiency correlates with estrogen receptor signaling and diminished survival in breast cancer. NPJ Breast Cancer 2018, 4, 1–14. [Google Scholar] [CrossRef]
- Swindle, M.M.; Makin, A.; Herron, A.J.; Clubb, F.J.; Frazier, K.S. Swine as Models in Biomedical Research and Toxicology Testing. Vet. Pathol. 2012, 49, 344–356. [Google Scholar] [CrossRef]
- Gutierrez, K.; Dicks, N.; Glanzner, W.G.; Agellon, L.B.; Bordignon, V. Efficacy of the porcine species in biomedical research. Front. Genet. 2015, 6, 1–9. [Google Scholar] [CrossRef]
- Koczkowska, M.; Chen, Y.; Callens, T.; Gomes, A.; Sharp, A.; Johnson, S.; Hsiao, M.C.; Chen, Z.; Balasubramanian, M.; Barnett, C.P.; et al. Genotype-Phenotype Correlation in NF1: Evidence for a More Severe Phenotype Associated with Missense Mutations Affecting NF1 Codons 844–848. Am. J. Hum. Genet. 2018, 102, 69–87. [Google Scholar] [CrossRef]
- Tan, W.; Carlson, D.F.; Lancto, C.A.; Garbe, J.R.; Webster, D.A.; Hackett, P.B.; Fahrenkrug, S.C. Efficient nonmeiotic allele introgression in livestock using custom endonucleases. Proc. Natl. Acad. Sci. USA 2013, 110, 16526–16531. [Google Scholar] [CrossRef]
- Maertens, O.; Brems, H.; Vandesompele, J.; De Raedt, T.; Heyns, I.; Rosenbaum, T.; De Schepper, S.; De Paepe, A.; Mortier, G.; Janssens, S.; et al. Comprehensive NF1 screening on cultured Schwann cells from neurofibromas. Hum. Mutat. 2006, 27, 1030–1040. [Google Scholar] [CrossRef] [PubMed]
- Mayes, D.A.; Rizvi, T.A.; Titus-Mitchell, H.; Oberst, R.; Ciraolo, G.M.; Vorhees, C.V.; Robinson, A.P.; Miller, S.D.; Cancelas, J.A.; Stemmer-Rachamimov, A.O.; et al. Nf1 loss and Ras hyperactivation in oligodendrocytes induce NOS-driven defects in myelin and vasculature. Cell Rep. 2013, 4, 1197–1212. [Google Scholar] [CrossRef] [PubMed]
- Lopez-Juarez, A.; Titus, H.E.; Silbak, S.H.; Pressler, J.W.; Rizvi, T.A.; Bogard, M.; Bennett, M.R.; Ciraolo, G.; Williams, M.T.; Vorhees, C.V.; et al. Oligodendrocyte Nf1 Controls Aberrant Notch Activation and Regulates Myelin Structure and Behavior. Cell Rep. 2017, 19, 545–557. [Google Scholar] [CrossRef]
- Wolters, P.L.; Burns, K.M.; Martin, S.; Baldwin, A.; Dombi, E.; Toledo-Tamula, M.A.; Dudley, W.N.; Gillespie, A.; Widemann, B.C. Pain interference in youth with neurofibromatosis type 1 and plexiform neurofibromas and relation to disease severity, social-emotional functioning, and quality of life. Am. J. Med. Genet. Part A 2015, 167, 2103–2113. [Google Scholar] [CrossRef] [PubMed]
- Osum, S.H.; Coutts, A.W.; Duerre, D.J.; Tschida, B.R.; Kirstein, M.N.; Fisher, J.; Bell, W.R.; Delpuech, O.; Smith, P.D.; Widemann, B.C.; et al. Selumetinib normalizes Ras/MAPK signaling in clinically relevant Neurofibromatosis type 1 minipig tissues in vivo. Neuro-Oncol. Adv. 2021, in press. [Google Scholar] [CrossRef]
- Banerji, U.; Camidge, D.R.; Verheul, H.M.W.; Agarwal, R.; Sarker, D.; Kaye, S.B.; Desar, I.M.E.; Timmer-Bonte, J.N.H.; Eckhardt, S.G.; Lewis, K.D.; et al. The first-in-human study of the hydrogen sulfate (hyd-sulfate) capsule of the MEK1/2 inhibitor AZD6244 (ARRY-142886): A phase I open-label multicenter trial in patients with advanced cancer. Clin. Cancer Res. 2010, 16, 1613–1623. [Google Scholar] [CrossRef]
- Dymond, A.W.; Howes, C.; Pattison, C.; So, K.; Mariani, G.; Savage, M.; Mair, S.; Ford, G.; Martin, P. Metabolism, Excretion, and Pharmacokinetics of Selumetinib, an MEK1/2 inhibitor, in Healthy Adult Male Subjects. Clin. Ther. 2016, 38, 2447–2458. [Google Scholar] [CrossRef]
- Banerjee, A.; Jakacki, R.I.; Onar-Thomas, A.; Wu, S.; Nicolaides, T.; Young Poussaint, T.; Fangusaro, J.; Phillips, J.; Perry, A.; Turner, D.; et al. A phase i trial of the MEK inhibitor selumetinib (AZD6244) in pediatric patients with recurrent or refractory low-grade glioma: A Pediatric Brain Tumor Consortium (PBTC) study. Neuro. Oncol. 2017, 19, 1135–1144. [Google Scholar] [CrossRef] [PubMed]
- Benetou, V.; Lagiou, A.; Lagiou, P. Chemoprevention of cancer: Current evidence and future prospects. F1000Research 2015, 4, 916. [Google Scholar] [CrossRef] [PubMed]
- Staedtke, V.; Gray-Bethke, T.; Riggins, G.J.; Bai, R.-Y. Preventative Effect of Mebendazole against Malignancies in Neurofibromatosis 1. Genes 2020, 11, 762. [Google Scholar] [CrossRef] [PubMed]
- Uthoff, J.; Larson, J.; Sato, T.S.; Hammond, E.; Schroeder, K.E.; Rohret, F.; Rogers, C.S.; Quelle, D.E.; Darbro, B.W.; Khanna, R.; et al. Longitudinal phenotype development in a minipig model of neurofibromatosis type 1. Sci. Rep. 2020, 10. [Google Scholar] [CrossRef]
- Bellampalli, S.S.; Khanna, R. Towards a neurobiological understanding of pain in neurofibromatosis type 1. Pain 2019, 160, 1007–1018. [Google Scholar] [CrossRef]
- Khanna, R.; Moutal, A.; White, K.A.; Chefdeville, A.; Negrao de Assis, P.; Cai, S.; Swier, V.J.; Bellampalli, S.S.; Giunta, M.D.; Darbro, B.W.; et al. Assessment of nociception and related quality-of-life measures in a porcine model of neurofibromatosis type 1. Pain 2019, 160, 2473–2486. [Google Scholar] [CrossRef]
- Hodgdon, K.E.; Hingtgen, C.M.; Nicol, G.D. Dorsal root ganglia isolated from Nf1+/− mice exhibit increased levels of mRNA expression of voltage-dependent sodium channels. Neuroscience 2012, 206, 237–244. [Google Scholar] [CrossRef]
- O’Brien, D.E.; Brenner, D.S.; Gutmann, D.H.; Gereau IV, R.W. Assessment of Pain and Itch Behavior in a Mouse Model of Neurofibromatosis Type 1. J. Pain 2013, 14, 628–637. [Google Scholar] [CrossRef]
- Wang, Y.; Nicol, G.D.; Clapp, D.W.; Hingtgen, C.M. Sensory Neurons From Nf1 Haploinsufficient Mice Exhibit Increased Excitability. J. Neurophysiol. 2005, 94, 3670–3676. [Google Scholar] [CrossRef]
- Plotkin, S.R.; Bredella, M.A.; Cai, W.; Kassarjian, A.; Harris, G.J.; Esparza, S.; Merker, V.L.; Munn, L.L.; Muzikansky, A.; Askenazi, M.; et al. Quantitative assessment of whole-body tumor burden in adult patients with neurofibromatosis. PLoS ONE 2012, 7, e35711. [Google Scholar] [CrossRef] [PubMed]
- Dombi, E.; Ardern-Holmes, S.L.; Babovic-Vuksanovic, D.; Barker, F.G.; Connor, S.; Evans, D.G.; Fisher, M.J.; Goutagny, S.; Harris, G.J.; Jaramillo, D.; et al. Recommendations for imaging tumor response in neurofibromatosis clinical trials. Neurology 2013, 81, S33–S40. [Google Scholar] [CrossRef]
- Vagge, A.; Camicione, P.; Pellegrini, M.; Gatti, G.; Capris, P.; Severino, M.; Di Maita, M.; Panarello, S.; Traverso, C.E. Role of visual evoked potentials and optical coherence tomography in the screening for optic pathway gliomas in patients with neurofibromatosis type I. Eur. J. Ophthalmol. 2020. [Google Scholar] [CrossRef]
- Paré, B.; Deschênes, L.T.; Pouliot, R.; Dupré, N.; Gros-Louis, F. An Optimized Approach to Recover Secreted Proteins from Fibroblast Conditioned-Media for Secretomic Analysis. Front. Cell. Neurosci. 2016, 10, 70. [Google Scholar] [CrossRef] [PubMed]
- Conrad, M.S.; Sutton, B.P.; Dilger, R.N.; Johnson, R.W. An In Vivo Three-Dimensional Magnetic Resonance Imaging-Based Averaged Brain Collection of the Neonatal Piglet (Sus scrofa). PLoS ONE 2014, 9, e107650. [Google Scholar] [CrossRef]
- Sieren, J.C.; Meyerholz, D.K.; Wang, X.-J.; Davis, B.T.; Newell, J.D.; Hammond, E.; Rohret, J.A.; Rohret, F.A.; Struzynski, J.T.; Goeken, J.A.; et al. Development and translational imaging of a TP53 porcine tumorigenesis model. J. Clin. Investig. 2014, 124, 4052–4066. [Google Scholar] [CrossRef] [PubMed]
- Piscitelli, O.; Digilio, M.C.; Capolino, R.; Longo, D.; di Ciommo, V. Neurofibromatosis type 1 and cerebellar T2-hyperintensities: The relationship to cognitive functioning. Dev. Med. Child Neurol. 2012, 54, 49–51. [Google Scholar] [CrossRef] [PubMed]








| Genotype | Cell Type | Phenotype | Reference | 
|---|---|---|---|
| GFAP-Cre; Nf1flox/mut | Astrocytes | Optic pathway glioma | [77] | 
| P0A-Cre;Nf1flox/− | Nonmyelinating SCs | Plexiform neurofibroma | [78] | 
| Plp-CreER;Nf1flox/flox | Schwann cell precursors (SCPs) | Plexiform neurofibroma | [79] | 
| Krox20-Cre;Nf1flox/− | SCPs | Plexiform neurofibroma | [80] | 
| Dhh-Cre;Nf1flox/flox | SCPs | Plexiform/cutaneous neurofibroma | [81] | 
| Dhh-Cre;Nf1flox/flox; Ink4a/Arf+/−; Ink4a/Arf−/−; Ink4a/Arfflox/flox | SCPs | atypical neurofibroma, MPNST | [82] | 
| CMV-CreER T2;Rosa26;Nf1flox/− | Skin-derived precursors (SKPs) | Cutaneous neurofibroma | [83] | 
| Hoxb7-Cre;Nf1flox/flox;LacZ | SKPs | Cutaneous/plexiform neurofibroma | [84] | 
| Prss56-Cre;Rosa26-tdTom;Nf1flox/flox | Boundary cap cells | Cutaneous/plexiform neurofibroma | [85] | 
| Postn-Cre;Nf1flox/flox;Arf flox/+ | SCPs | Plexiform neurofibroma, atypical neurofibromatous neoplasms of uncertain biologic potential (ANNUBP), MPNST | [86] | 
| Mx1-Cre; Nf1flox/flox | Bone marrow | JMML | [87] | 
| CAD5-CreERT2/Rosa26-LSL-td-Tomato; Nf1flox/flox | Vascular endothelium | Altered proliferation and morphogenesis | [88] | 
| Col2α1-Cre; Nf1flox/flox | Chondrocytes | Skeletal dysplasia | [89] | 
| Publisher’s Note: MDPI stays neutral with regard to jurisdictional claims in published maps and institutional affiliations. | 
© 2021 by the authors. Licensee MDPI, Basel, Switzerland. This article is an open access article distributed under the terms and conditions of the Creative Commons Attribution (CC BY) license (http://creativecommons.org/licenses/by/4.0/).
Share and Cite
Osum, S.H.; Watson, A.L.; Largaespada, D.A. Spontaneous and Engineered Large Animal Models of Neurofibromatosis Type 1. Int. J. Mol. Sci. 2021, 22, 1954. https://doi.org/10.3390/ijms22041954
Osum SH, Watson AL, Largaespada DA. Spontaneous and Engineered Large Animal Models of Neurofibromatosis Type 1. International Journal of Molecular Sciences. 2021; 22(4):1954. https://doi.org/10.3390/ijms22041954
Chicago/Turabian StyleOsum, Sara H., Adrienne L. Watson, and David A. Largaespada. 2021. "Spontaneous and Engineered Large Animal Models of Neurofibromatosis Type 1" International Journal of Molecular Sciences 22, no. 4: 1954. https://doi.org/10.3390/ijms22041954
APA StyleOsum, S. H., Watson, A. L., & Largaespada, D. A. (2021). Spontaneous and Engineered Large Animal Models of Neurofibromatosis Type 1. International Journal of Molecular Sciences, 22(4), 1954. https://doi.org/10.3390/ijms22041954
 
         
                                                

 
       