Morphofunctional State and Circadian Rhythms of the Liver under the Influence of Chronic Alcohol Intoxication and Constant Lighting
Abstract
1. Introduction
2. Results
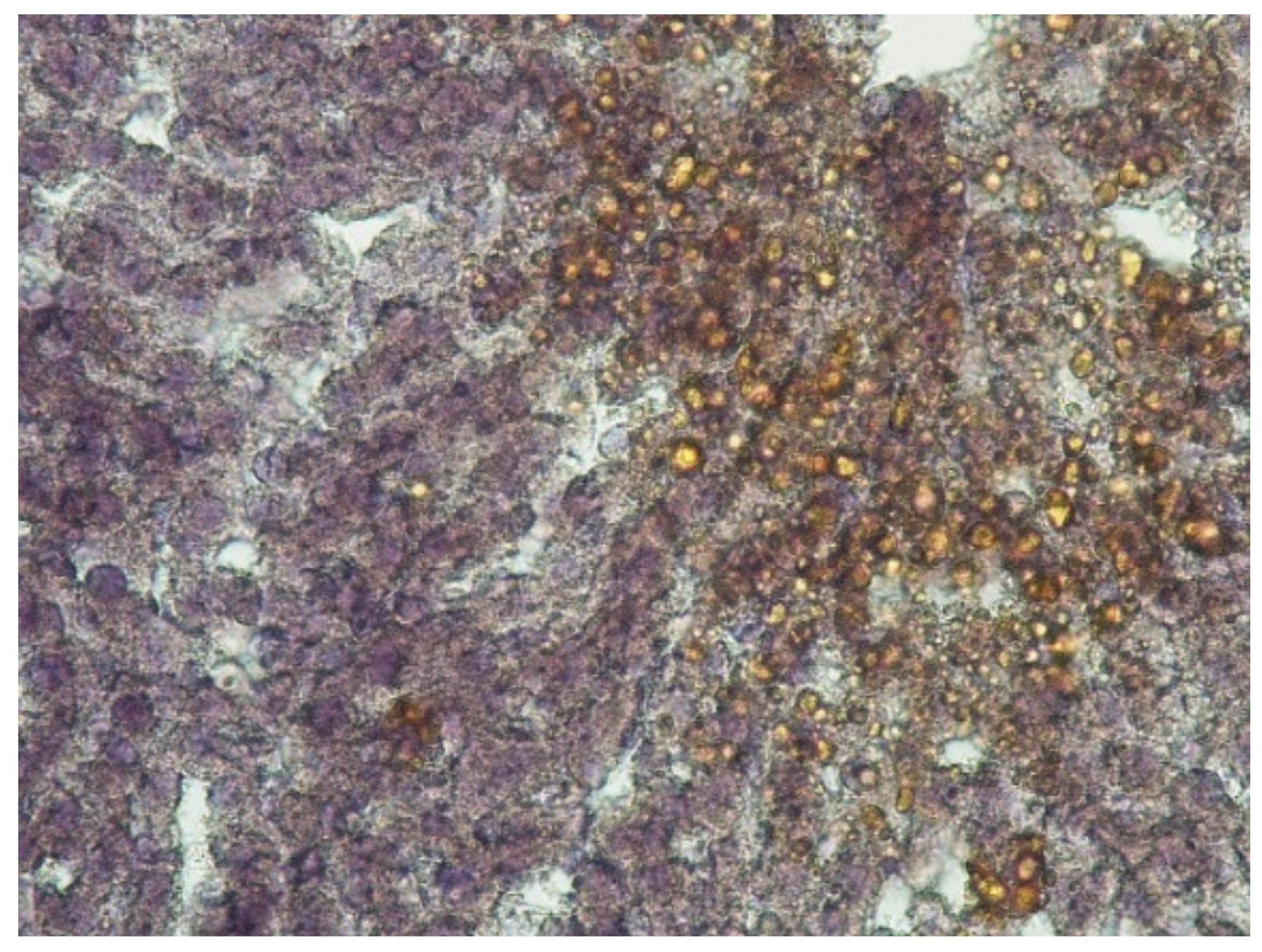
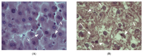
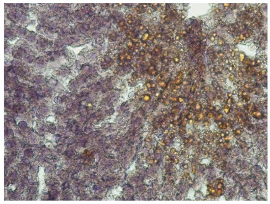
2.1. Influence of Constant Lighting and CAI on the Morphofunctional Condition of the Liver
2.2. Study of the Diurnal Dynamics of Cross-Sectional Areas of Nuclei, Areas of Cells, and NCR
2.3. Influence of Constant Lighting and CAI on Several Biochemical Parameters
2.4. Influence of Constant Lighting and CAI on the Organization of the Circadian Rhythms of Several Biochemical Parameters
2.5. Influence of Constant Illumination and CAI on Gene Expression
2.6. Influence of Constant Lighting and CAI on the Organization of Circadian Rhythms for the Expression of Several Genes
3. Discussion
4. Materials and Methods
4.1. Object of the Study
4.2. Design of Study
4.3. Morphological, Morphometric and Histochemical Methods
4.4. Immunohistochemical Methods
- Ki-67—Rabbit polyclonal (Cloud-Clone Corp., Katy, TX, USA), 1:300;
- Per2—Rabbit polyclonal (Cloud-Clone Corp., Katy, TX, USA), 1:200;
- Bmal1—Rabbit polyclonal (Cloud-Clone Corp., Katy, TX, USA), 1:200;
- p53—Rabbit polyclonal (Cloud-Clone Corp., Katy, TX, USA), 1:200;
- Adh5—Rabbit polyclonal (Cloud-Clone Corp., Katy, TX, USA), 1:300.
4.5. Biochemical Methods
4.6. Methods for Statistical Processing
5. Conclusions
Author Contributions
Funding
Institutional Review Board Statement
Informed Consent Statement
Data Availability Statement
Conflicts of Interest
References
- Rehm, J. The risks associated with alcohol use and alcoholism. Alcohol Res. Health 2011, 34, 135–143. [Google Scholar]
- Seitz, H.K.; Neuman, M.G. The History of Alcoholic Liver Disease: From an Unrecognized Disease to One of the Most Frequent Diseases in Hepatology. J. Clin. Med. 2021, 10, 858. [Google Scholar] [CrossRef] [PubMed]
- Forger, D.B. Biological Clocks, Rhythms, and Oscillations. In The Theory of Biological Timekeeping; MIT Press: Cambridge, MA, USA, 2017. [Google Scholar]
- McKenna, H.; Van Der Horst, G.T.J.; Reiss, I.; Martin, D. Clinical chronobiology: A timely consideration in critical care medicine. Crit. Care 2018, 22, 124. [Google Scholar] [CrossRef] [PubMed]
- Walker, W.H.; Walton, J.C.; DeVries, A.C.; Nelson, R.J. Circadian rhythm disruption and mental health. Transl. Psychiatry 2020, 10, 28. [Google Scholar] [CrossRef] [PubMed]
- Eckel-Mahan, K.; Sassone-Corsi, P. Metabolism and the circadian clock converge. Physiol. Rev. 2013, 93, 107–135. [Google Scholar] [CrossRef]
- Roenneberg, T.; Merrow, M. The Circadian Clock and Human Health. Curr. Biol. 2016, 26, R432–R443. [Google Scholar] [CrossRef]
- Panda, S. Circadian physiology of metabolism. Science 2016, 354, 1008–1015. [Google Scholar] [CrossRef]
- Zimmet, P.; Alberti, K.G.M.M.; Stern, N.; Bilu, C.; El-Osta, A.; Einat, H.; Kronfeld-Schor, N. The Circadian Syndrome: Is the Metabolic Syndrome and much more! J. Intern. Med. 2019, 286, 181–191. [Google Scholar] [CrossRef]
- Foster, R.G.; Roenneberg, T. Human responses to the geophysical daily, annual and lunar cycles. Curr. Biol. 2008, 18, R784–R794. [Google Scholar] [CrossRef]
- Michel, S.; Meijer, J.H. From clock to functional pacemaker. Eur. J. Neurosci. 2020, 51, 482–493. [Google Scholar] [CrossRef]
- Jasser, S.A.; Blask, D.E.; Brainard, G.C. Light during darkness and cancer: Relationships in circadian photoreception and tumor biology. Cancer Causes Control 2006, 17, 515–523. [Google Scholar] [CrossRef]
- Fonken, L.K.; Workman, J.L.; Walton, J.C.; Weil, Z.M.; Morris, J.S.; Haim, A.; Nelson, R.J. Light at night increases body mass by shifting the time of food intake. Proc. Natl. Acad. Sci. USA 2010, 107, 18664–18669. [Google Scholar] [CrossRef]
- Verlande, A.; Masri, S. Circadian Clocks and Cancer: Timekeeping Governs Cellular Metabolism. Trends Endocrinol. Metab. 2019, 30, 445–458. [Google Scholar] [CrossRef] [PubMed]
- Anisimov, V.N. Light desynchronosis and health. Light Eng. 2019, 27, 3. [Google Scholar] [CrossRef]
- Leng, Y.; Musiek, E.S.; Hu, K.; Cappuccio, F.P.; Yaffe, K. Association between circadian rhythms and neurodegenerative diseases. Lancet Neurol. 2019, 18, 307–318. [Google Scholar] [CrossRef]
- Kim, P.; Oster, H.; Lehnert, H. Coupling the Circadian Clock to Homeostasis: The Role of Period in Timing Physiology. Endocr. Rev. 2019, 40, 66–95. [Google Scholar] [CrossRef] [PubMed]
- Shi, D.; Chen, J.; Wang, J.; Yao, J.; Huang, Y.; Zhang, G.; Bao, Z. Circadian Clock Genes in the Metabolism of Non-alcoholic Fatty Liver Disease. Front Physiol. 2019, 10, 423. [Google Scholar] [CrossRef]
- Lamia, K.A.; Storch, K.-F.; Weitz, C.J. Physiological significance of a peripheral tissue circadian clock. Proc. Natl. Acad. Sci. USA 2008, 105, 15172–15177. [Google Scholar] [CrossRef]
- Koronowski, K.B.; Kinouchi, K.; Welz, P.-S.; Smith, J.G.; Zinna, V.M.; Shi, J.; Samad, M.; Chen, S.; Magnan, C.N.; Kinchen, J.M.; et al. Defining the Independence of the Liver Circadian Clock. Cell 2019, 177, 1448.e14–1462.e14. [Google Scholar] [CrossRef]
- Li, H.; Zhang, S.; Zhang, W. Endogenous circadian time genes expressions in the liver of mice under constant darkness. BMC Genom. 2020, 21, 224. [Google Scholar] [CrossRef]
- Sinturel, F.; Gos, P.; Petrenko, V.; Hagedorn, C.; Kreppel, F.; Storch, K.-F.; Knutti, D.; Liani, A.; Weitz, C.; Emmenegger, Y.; et al. Circadian hepatocyte clocks keep synchrony in the absence of a master pacemaker in the suprachiasmatic nucleus or other extrahepatic clocks. Genes Dev. 2021, 35, 329–334. [Google Scholar] [CrossRef] [PubMed]
- Bechtold, D.A. Energy-responsive timekeeping. J. Genet. 2008, 87, 447–458. [Google Scholar] [CrossRef]
- Engin, A. Circadian Rhythms in Diet-Induced Obesity. Adv. Exp. Med. Biol. 2017, 960, 19–52. [Google Scholar] [PubMed]
- Westerterp-Plantenga, M.S. Challenging energy balance—during sensitivity to food reward and modulatory factors implying a risk for overweight—During body weight management including dietary restraint and medium-high protein diets. Physiol. Behav. 2020, 221, 112879. [Google Scholar] [CrossRef] [PubMed]
- Fárková, E.; Schneider, J.; Šmotek, M.; Bakštein, E.; Herlesová, J.; Kopřivová, J.; Šrámková, P.; Pichlerová, D.; Fried, M. Weight loss in conservative treatment of obesity in women is associated with physical activity and circadian phenotype: A longitudinal observational study. Biopsychosoc. Med. 2019, 13, 24. [Google Scholar] [CrossRef]
- Tähkämö, L.; Partonen, T.; Pesonen, A.-K. Systematic review of light exposure impact on human circadian rhythm. Chronobiol. Int. 2019, 36, 151–170. [Google Scholar] [CrossRef]
- Aho, V.; Ollila, H.; Kronholm, E.; Bondia-Pons, I.; Soininen, P.; Kangas, A.; Hilvo, M.; Seppälä, I.; Kettunen, J.; Oikonen, M.; et al. Prolonged sleep restriction induces changes in pathways involved in cholesterol metabolism and inflammatory responses. Sci. Rep. 2016, 6, 24828. [Google Scholar] [CrossRef] [PubMed]
- Poggiogalle, E.; Jamshed, H.; Peterson, C.M. Circadian regulation of glucose, lipid, and energy metabolism in humans. Metabolism 2018, 84, 11–27. [Google Scholar] [CrossRef]
- Mota, M.C.; Silva, C.M.; Balieiro, L.C.T.; Fahmy, W.M.; Crispim, C.A. Social jetlag and metabolic control in non-communicable chronic diseases: A study addressing different obesity statuses. Sci. Rep. 2017, 7, 6358. [Google Scholar] [CrossRef]
- Masri, S.; Sassone-Corsi, P. The emerging link between cancer, metabolism, and circadian rhythms. Nat. Med. 2018, 24, 1795–1803. [Google Scholar] [CrossRef]
- Yalçin, M.; El-Athman, R.; Ouk, K.; Priller, J.; Relógio, A. Analysis of the Circadian Regulation of Cancer Hallmarks by a Cross-Platform Study of Colorectal Cancer Time-Series Data Reveals an Association with Genes Involved in Huntington’s Disease. Cancers 2020, 12, 963. [Google Scholar] [CrossRef] [PubMed]
- Keshavarzian, A.; Holmes, E.W.; Patel, M.; Iber, F.; Fields, J.Z.; Pethkar, S. Leaky gut in alcoholic cirrhosis: A possible mechanism for alcohol-induced liver damage. Am. J. Gastroenterol. 1999, 94, 200–207. [Google Scholar] [CrossRef] [PubMed]
- Delcò, F.; Tchambaz, L.; Schlienger, R.; Drewe, J.; Krähenbühl, S. Dose adjustment in patients with liver disease. Drug Saf. 2005, 28, 529–545. [Google Scholar] [CrossRef] [PubMed]
- Swanson, G.; Forsyth, C.B.; Tang, Y.; Shaikh, M.; Zhang, L.; Turek, F.W.; Keshavarzian, A. Role of intestinal circadian genes in alcohol-induced gut leakiness. Alcohol. Clin. Exp. Res. 2011, 35, 1305–1314. [Google Scholar] [CrossRef] [PubMed]
- Summa, K.C.; Voigt, R.M.; Forsyth, C.B.; Shaikh, M.; Cavanaugh, K.; Tang, Y.; Vitaterna, M.H.; Song, S.; Turek, F.W.; Keshavarzian, A. Disruption of the Circadian Clock in Mice Increases Intestinal Permeability and Promotes Alcohol-Induced Hepatic Pathology and Inflammation. PLoS ONE 2013, 8, e67102. [Google Scholar]
- Bailey, S.M. Emerging role of circadian clock disruption in alcohol-induced liver disease. Am. J. Physiol. Liver Physiol. 2018, 315, G364–G373. [Google Scholar] [CrossRef]
- Rosenwasser, A.M. Chronobiology of ethanol: Animal models. Alcohol 2015, 49, 311–319. [Google Scholar] [CrossRef]
- Davis, B.T.; Voigt, R.M.; Shaikh, M.; Forsyth, C.B.; Keshavarzian, A. Circadian Mechanisms in Alcohol Use Disorder and Tissue Injury. Alcohol Clin. Exp. Res. 2018, 42, 668–677. [Google Scholar] [CrossRef]
- Forsyth, C.B.; Voigt, R.M.; Shaikh, M.; Tang, Y.; Cederbaum, A.I.; Turek, F.W.; Keshavarzian, A. Role for intestinal CYP2E1 in alcohol-induced circadian gene-mediated intestinal hyperpermeability. Am. J. Physiol. Liver Physiol. 2013, 305, G185–G195. [Google Scholar] [CrossRef]
- An, L.; Wang, X.; Cederbaum, A.I. Cytokines in alcoholic liver disease. Arch. Toxicol. 2012, 86, 1337–1348. [Google Scholar] [CrossRef]
- Kawaratani, H.; Tsujimoto, T.; Douhara, A.; Takaya, H.; Moriya, K.; Namisaki, T.; Noguchi, R.; Yoshiji, H.; Fujimoto, M.; Fukui, H. The effect of inflammatory cytokines in alcoholic liver disease. Mediat. Inflamm. 2013, 2013, 495156. [Google Scholar] [CrossRef] [PubMed]
- Haas, S.; Straub, R.H. Disruption of rhythms of molecular clocks in primary synovial fibroblasts of patients with osteoarthritis and rheumatoid arthritis, role of IL-1β/TNF. Arthritis Res. Ther. 2012, 14, R122. [Google Scholar] [CrossRef] [PubMed]
- Lopez, M.; Meier, D.; Müller, A.; Franken, P.; Fujita, J.; Fontana, A. Tumor necrosis factor and transforming growth factor β regulate clock genes by controlling the expression of the cold inducible RNA-binding protein (CIRBP). J. Biol. Chem. 2014, 289, 2736–2744. [Google Scholar] [CrossRef] [PubMed]
- Li, W.; Li, L.; Hui, L. Cell Plasticity in Liver Regeneration. Trends Cell Biol. 2020, 30, 329–338. [Google Scholar] [CrossRef]
- Junatas, K.L.; Tonar, Z.; Kubíková, T.; Liška, V.; Pálek, R.; Mik, P.; Králíčková, M.; Witter, K. Stereological analysis of size and density of hepatocytes in the porcine liver. J. Anat. 2017, 230, 575–588. [Google Scholar] [CrossRef]
- Tarantino, G.; Vincenzo, C.; Domenico, C. Nonalcoholic fatty liver disease: A challenge from mechanisms to therapy. Clin. Med. 2020, 9, 15. [Google Scholar] [CrossRef]
- Rowell, R.J.; Quentin, M.A. An overview of the genetics, mechanisms and management of NAFLD and ALD. Clin. Med. 2015, 15, s77–s82. [Google Scholar] [CrossRef]
- Shetty, A.; Hsu, J.W.; Manka, P.P. Role of the Circadian Clock in the Metabolic Syndrome and Nonalcoholic Fatty Liver Disease. Dig. Dis. Sci. 2018, 63, 3187–3206. [Google Scholar] [CrossRef]
- Miyaoka, Y.; Ebato, K.; Kato, H.; Arakawa, S.; Shimizu, S.; Miyajima, A. Hypertrophy and unconventional cell division of hepatocytes underlie liver regeneration. Curr. Biol. 2012, 22, 1166–1175. [Google Scholar] [CrossRef]
- Abbasoglu, O.; Berker, M.; Ayhan, A.; Palaoglu, S.; Sayek, I. The effect of the pineal gland on liver regeneration in rats. J. Hepatol. 1995, 23, 578–581. [Google Scholar] [CrossRef]
- Liang, R.; Nickkholgh, A.; Hoffmann, K.; Kern, M.; Schneider, H.; Sobirey, M.; Zorn, M.; Büchler, M.W.; Schemmer, P. Melatonin protects from hepatic reperfusion injury through inhibition of IKK and JNK pathways and modification of cell proliferation. J. Pineal Res. 2009, 46, 8–14. [Google Scholar] [CrossRef]
- Yanko, R. The combined influence of the intermittent normobaric hypoxia and melatonin on morphofunctional activity of the rat’s liver parenchyma. Bull. Taras Shevchenko Natl. Univ. Kyiv-Probl. Physiol. Funct. Regul. 2018, 25, 36–40. [Google Scholar]
- Wilkinson, P.D.; Duncan, A.W. Differential Roles for Diploid and Polyploid Hepatocytes in Acute and Chronic Liver Injury. In Seminars in Liver Disease; Thieme Medical Publishers: New York, NY, USA, 2020. [Google Scholar]
- Wilkinson, P.; Alencastro, F.; Delgado, E.; Leek, M.P.; Weirich, M.P.; Otero, P.A.; Roy, N.; Brown, W.K.; Oertel, M.; Duncan, A.W. Polyploid hepatocytes facilitate adaptation and regeneration to chronic liver injury. Am. J. Pathol. 2019, 189, 1241–1255. [Google Scholar] [CrossRef]
- Matsumoto, T.; Wakefield, L.; Peters, A.; Peto, M.; Spellman, P.; Grompe, M. Proliferative polyploid cells give rise to tumors via ploidy reduction. Nat. Commun. 2021, 12, 646. [Google Scholar] [CrossRef] [PubMed]
- Kreutz, C.; MacNelly, S.; Follo, M.; Wäldin, A.; Binninger-Lacour, P.; Timmer, J.; Bartolomé-Rodríguez, M.M. Hepatocyte ploidy is a diversity factor for liver homeostasis. Front Physiol. 2017, 8, 862. [Google Scholar] [CrossRef] [PubMed]
- Kobayashi, T.; Saito, Y.; Ohtake, Y.; Maruko, A.; Yamamoto, Y.; Yamamoto, F.; Kuwahara, Y.; Fukumoto, M.; Fukumoto, M.; Ohkubo, Y. Effect of aging on norepinephrine-related proliferative response in primary cultured periportal and perivenous hepatocytes. Am. J. Physiol. Liver Physiol. 2012, 303, G861–G869. [Google Scholar] [CrossRef][Green Version]
- Lang, F. Mechanisms and significance of cell volume regulation. J Am Coll. Nutr. 2007, 26, 613S–623S. [Google Scholar] [CrossRef]
- Corona-Pérez, A.; Díaz-Muñoz, M.; Rodríguez, I.S.; Cuevas, E.; Martínez-Gómez, M.; Castelán, F.; Rodríguez-Antolín, J.; Nicolás-Toledo, L. High sucrose intake ameliorates the accumulation of hepatic triacylglycerol promoted by restraint stress in young rats. Lipids 2015, 50, 1103–1113. [Google Scholar] [CrossRef]
- Vásquez, B.; Sandoval, C.; Smith, R.L.; Del Sol, M. Effects of early and late adverse experiences on morphological characteristics of Sprague-Dawley rat liver subjected to stress during adulthood. Int. J. Clin. Exp. Pathol. 2014, 7, 4627–4635. [Google Scholar]
- Fu, J.; Ma, S.; Li, X.; An, S.; Li, T.; Guo, K.; Lin, M.; Qu, W.; Dong, X.; Han, X.; et al. Long-term stress with hyperglucocorticoidemia-induced hepatic steatosis with VLDL overproduction is dependent on both 5-HT2 receptor and 5-HT synthesis in liver. Int. J. Biol. Sci. 2016, 12, 219–234. [Google Scholar] [CrossRef]
- Konstandi, M.; Shah, Y.M.; Matsubara, T.; Gonzalez, F.J. Role of PPARα and HNF4α in stress-mediated alterations in lipid homeostasis. PLoS ONE. 2013, 8, e70675. [Google Scholar] [CrossRef]
- Schott, M.B.; Rasineni, K.; Weller, S.G.; Schulze, R.J.; Sletten, A.C.; Casey, C.A.; McNiven, M.A. β-Adrenergic induction of lipolysis in hepatocytes is inhibited by ethanol exposure. J. Biol. Chem. 2017, 292, 11815–11828. [Google Scholar] [CrossRef]
- Rodrigues, F.M.; Adélio, J.I.; Santana, V.O.; De Marco Ornelas, E.; de Souza, R.R.; Cardoso, C.G.; Da Veiga, G.L.; Fonseca, F.L.A.; Maifrino, L.B.M. Physical exercise alters hepatic morphology of low-density lipoprotein receptor knockout ovariectomized mice. Med. Mol. Morphol. 2019, 52, 15–22. [Google Scholar] [CrossRef] [PubMed]
- Tsomaia, K.; Patarashvili, L.; Karumidze, N.; Bebiashvili, I.; Azmaipharashvili, E.; Modebadze, I. Liver structural transformation after partial hepatectomy and repeated partial hepatectomy in rats: A renewed view on liver regeneration. World J. Gastroenterol. 2020, 26, 3899–3916. [Google Scholar] [CrossRef] [PubMed]
- Tobari, M.; Hashimoto, E.; Kabutake, A. Genderspecific clinicopathological features in nonalcoholic steatohepatitis. Gastroenterology 2007, 132, 815. [Google Scholar]
- Uchiyama, Y. Rhythms in morphology and function of hepatocytes. J. Gastroenterol. Hepatol. 1990, 5, 321–333. [Google Scholar] [CrossRef] [PubMed]
- Idrovo, J.-P.; Shults, J.A.; Curtis, B.J.; Chen, M.M.; Kovacs, E.J. Alcohol Intoxication and the Postburn Gastrointestinal Hormonal Response. J. Burn. Care Res. 2019, 40, 785–791. [Google Scholar] [CrossRef]
- Cheng, Q.; Li, Y.W.; Yang, C.F.; Zhong, Y.J.; Li, L. Ethanol-induced hepatic insulin resistance is ameliorated by methyl ferulic acid through the PI3K/AKT signaling pathway. Front. Pharmacol. 2019, 10, 949. [Google Scholar] [CrossRef] [PubMed]
- Lin, Y.; Ying, Y.Y.; Li, S.X.; Wang, S.J.; Gong, Q.H.; Li, H. Association between alcohol consumption and metabolic syndrome among Chinese adults. Public Health Nutr. 2021, 24, 4582–4590. [Google Scholar] [CrossRef]
- Haller, E.W.; Wittmers, L.E. Ethanol-induced hypothermia and hyperglycemia in genetically obese mice. Life Sci. 1989, 44, 1377–1385. [Google Scholar] [CrossRef]
- Müssig, K.; Schleicher, E.D.; Häring, H.-U.; Riessen, R. Satisfactory outcome after severe ethanol-induced lactic acidosis and hypoglycemia. J. Emerg. Med. 2008, 34, 337–338. [Google Scholar] [CrossRef]
- Chua, E.C.-P.; Shui, G.; Lee, I.T.-G.; Lau, P.; Tan, L.-C.; Yeo, S.C.; Lam, B.D.; Bulchand, S.; Summers, S.A.; Puvanendran, K.; et al. Extensive diversity in circadian regulation of plasma lipids and evidence for different circadian metabolic phenotypes in humans. Proc. Natl. Acad. Sci. USA 2013, 110, 14468–14473. [Google Scholar] [CrossRef]
- Rodd-Henricks, Z.A.; Bell, R.L.; Kuc, K.A.; Murphy, J.M.; McBride, W.J.; Lumeng, L.; Li, T.K. Effects of ethanol exposure on subsequent acquisition and extinction of ethanol self-administration and expression of alcohol-seeking behavior in adult alcohol-preferring (P) rats: I. Periadolescent exposure. Alcohol Clin. Exp. Res. 2002, 26, 1632–1641. [Google Scholar] [CrossRef] [PubMed]
- Smitha, T.; Sharada, P.; Girish, H. Morphometry of the basal cell layer of oral leukoplakia and oral squamous cell carcinoma using computer-aided image analysis. J. Oral Maxillofac. Pathol. 2011, 15, 26–33. [Google Scholar] [CrossRef] [PubMed]
- Broeke, J.; Pérez, J.M.M.; Pascau, J. Image Processing with ImageJ; Packt Publishing: Birmingham, UK, 2015; p. 346. [Google Scholar]
- Cornelissen, G. Cosinor-based rhythmometry. Theor. Biol. Med. Model 2014, 11, 16. [Google Scholar] [CrossRef] [PubMed]






















| Control | EtOH | CL | EtOH + CL | |
|---|---|---|---|---|
| Cross-sectional area of nucleus, μm2 | 41.79 ± 8.13 | 42.65 ± 4.80 | 42.72 ± 5.63 | 35.50 ± 3.01 *** |
| Volume of nuclei, μm3 | 205.90 ± 59.54 | 210.51 ± 35.39 | 211.30 ± 41.67 | 159.59 ± 20.23 ** |
| Nucleus volume to nucleus area ratio (V/A coefficient) | 4.84 ± 0.47 | 4.90 ± 0.27 | 4.90 ± 0.32 | 4.48 ± 0.19 *** |
| Perimeter of nuclei, μm | 14.96 ± 4.78 | 15.34 ± 4.78 | 15.11 ± 3.39 | 9.59 ± 2.49 |
| Mean diameter of nuclei, μm | 7.25 ± 0.91 | 7.34 ± 0.89 | 7.77 ± 0.75 ** | 7.17 ± 0.76 |
| Elongation index of nuclei | 1.23 ± 0.06 | 1.22 ± 0.08 | 1.14 ± 0.05 *** | 1.19 ± 0.07 |
| Coefficient of form | 2.35 ± 0.11 | 2.28 ± 0.15 | 2.35 ± 0.11 | 4.85 ± 0.17 * |
| Contour index | 2.31 ± 0.10 | 2.35 ± 0.13 | 2.31 ± 0.11 | 1.61 ± 0.18 *** |
| Cross-sectional area of cell, μm2 | 185.80 ± 31.95 | 190.10 ± 34.03 | 261.90 ± 55.30 *** | 184.80 ± 21.67 |
| Volume of cell, μm3 | 1926.01 ± 486.21 | 1994.02 ± 510.02 | 3317.21 ± 818.81 *** | 1898.25 ± 326.85 |
| NCR | 0.230 ± 0.056 | 0.233 ± 0.055 | 0.162 ± 0.022 *** | 0.194 ± 0.018 ** |
| Proportion of binuclear hepatocytes, % | 7.44 ± 2.66 | 8.92 ± 3.60 | 4.73 ± 2.03 ** | 6.51 ± 2.56 |
| Area of Nuclei of Hepatocytes, μm2 | ||
|---|---|---|
| Amplitude | Acrophase | |
| Control | 10.03 | 1221 |
| EtOH | 3.73 | 1802 |
| CL | 4.60 | 1136 |
| EtOH + CL | No reliable CR | |
| Area of Hepatocytes, μm2 | ||
| Control | 24.84 | 1013 |
| EtOH | No reliable CR | |
| CL | 40.02 | 1137 |
| EtOH + CL | 16.84 | 1009 |
| NCR | ||
| Control | 0.033 | 1401 |
| EtOH | No reliable CR | |
| CL | No reliable CR | |
| EtOH + CL | 0.017 | 1946 |
| Amplitude | Acrophase | |
|---|---|---|
| Glucose, mmol/L | ||
| Control | 1308 | 1.50 |
| EtOH | 1432 | 2.06 |
| CL | 1206 | 0.70 |
| EtOH + CL | 1001 | 0.45 |
| ALT, U/L | ||
| Control | 208 | 0.80 |
| EtOH | No reliable CR | |
| CL | No reliable CR | |
| EtOH + CL | No reliable CR | |
| AST, U/L | ||
| Control | 1515 | 13.80 |
| EtOH | 1115 | 26.90 |
| CL | 2231 | 17.15 |
| EtOH + CL | No reliable CR | |
| Total Protein, g/L | ||
| Control | 1448 | 6.14 |
| EtOH | 1841 | 8.70 |
| CL | 1046 | 8.06 |
| EtOH + CL | No reliable CR | |
| Albumin, g/L | ||
| Control | 1416 | 9.57 |
| EtOH | 1319 | 3.47 |
| CL | 324 | 9.64 |
| EtOH + CL | No reliable CR | |
| Direct Bilirubin, μmol/L | ||
| Control | 148 | 3.48 |
| EtOH | No reliable CR | |
| CL | No reliable CR | |
| EtOH + CL | No reliable CR | |
| Total Bilirubin, μmol/L | ||
| Control | 2335 | 8.10 |
| EtOH | No reliable CR | |
| CL | No reliable CR | |
| EtOH + CL | No reliable CR | |
| Control | EtOH | CL | EtOH + CL | |
|---|---|---|---|---|
| Ki67, % | 1.0 ± 0.17 | 1.03 ± 0.5 | 1.35 ± 0.56 | 5.73 ± 0.35 *** |
| p53, % | 2.2 ± 0.11 | 4.73 ± 0.14 *** | 3.99 ± 0.13 ** | 3.20 ± 0.12 ** |
| Bmal1, % | 60.76 ± 2.04 | 41.05 ± 2.06 *** | 16.40 ± 1.32 *** | 22.61 ± 1.15 *** |
| Per2, % | 31.13 ± 1.68 | 46.37 ± 1.87 ** | 40.01 ± 3.30 ** | 39.60 ± 0.70 ** |
| Adh5, % | 5.28 ± 0.36 | 23.18 ± 1.30 *** | 5.11 ± 0.4 | 33.55 ± 1.34 *** |
| Amplitude | Acrophase | |
|---|---|---|
| Ki-67, % | ||
| Control | 2214 | 1 |
| EtOH | 1024 | 1.01 |
| CL | No reliable CR | |
| EtOH + CL | No reliable CR | |
| p53, % | ||
| Control | 2048 | 0.35 |
| EtOH | 1342 | 0.6 |
| CL | No reliable CR | |
| EtOH + CL | No reliable CR | |
| Bmal1, % | ||
| Control | 1334 | 6.28 |
| EtOH | No reliable CR | |
| CL | 948 | 6.7 |
| EtOH + CL | No reliable CR | |
| Per2,% | ||
| Control | 402 | 8.04 |
| EtOH | No reliable CR | |
| CL | 1304 | 14.06 |
| EtOH + CL | No reliable CR | |
| Adh5, % | ||
| Control | 913 | 1.19 |
| EtOH | 324 | 9.5 |
| CL | No reliable CR | |
| EtOH + CL | 214 | 8.68 |
Publisher’s Note: MDPI stays neutral with regard to jurisdictional claims in published maps and institutional affiliations. |
© 2021 by the authors. Licensee MDPI, Basel, Switzerland. This article is an open access article distributed under the terms and conditions of the Creative Commons Attribution (CC BY) license (https://creativecommons.org/licenses/by/4.0/).
Share and Cite
Kozlova, M.A.; Kirillov, Y.A.; Makartseva, L.A.; Chernov, I.; Areshidze, D.A. Morphofunctional State and Circadian Rhythms of the Liver under the Influence of Chronic Alcohol Intoxication and Constant Lighting. Int. J. Mol. Sci. 2021, 22, 13007. https://doi.org/10.3390/ijms222313007
Kozlova MA, Kirillov YA, Makartseva LA, Chernov I, Areshidze DA. Morphofunctional State and Circadian Rhythms of the Liver under the Influence of Chronic Alcohol Intoxication and Constant Lighting. International Journal of Molecular Sciences. 2021; 22(23):13007. https://doi.org/10.3390/ijms222313007
Chicago/Turabian StyleKozlova, Maria A., Yuri A. Kirillov, Lyudmila A. Makartseva, Igor Chernov, and David A. Areshidze. 2021. "Morphofunctional State and Circadian Rhythms of the Liver under the Influence of Chronic Alcohol Intoxication and Constant Lighting" International Journal of Molecular Sciences 22, no. 23: 13007. https://doi.org/10.3390/ijms222313007
APA StyleKozlova, M. A., Kirillov, Y. A., Makartseva, L. A., Chernov, I., & Areshidze, D. A. (2021). Morphofunctional State and Circadian Rhythms of the Liver under the Influence of Chronic Alcohol Intoxication and Constant Lighting. International Journal of Molecular Sciences, 22(23), 13007. https://doi.org/10.3390/ijms222313007

