Efficacy for Whitlockite for Augmenting Spinal Fusion
Abstract
:1. Introduction
2. Results
2.1. Morphology and Composition Analysis
2.2. Porous Structure and Surface Area
2.3. Thermogravimetry and Differential Thermal Analysis
2.4. Ion Release
2.5. The Effects of WH Bone Grafts on Cell Viability and Proliferation
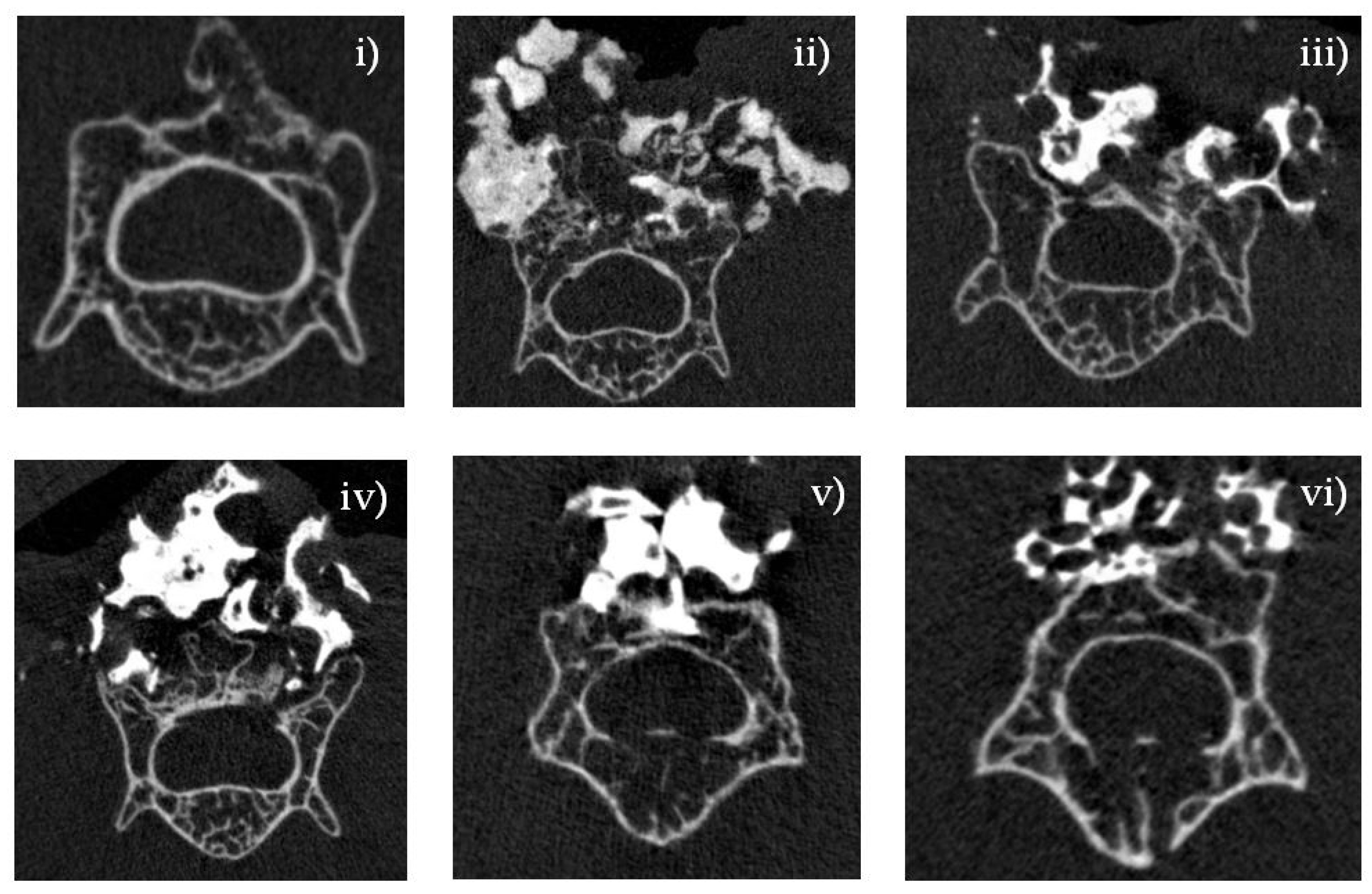
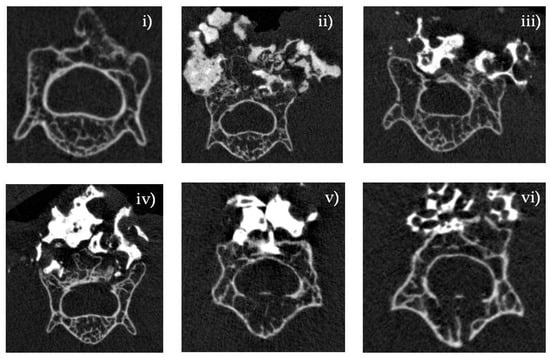
2.6. Micro-CT Analysis: In Vivo Experiment
2.7. Histological Analysis: In Vivo Experiment
2.8. Immunohistochemical Analysis: In Vivo Experiment
3. Discussion
4. Materials and Methods
4.1. Synthetic Bone Grafts
4.2. Characterization of Bone Grafts
4.2.1. Scanning Electron Microscopy
4.2.2. X-ray Diffractometer
4.2.3. Porosity
4.2.4. Assessment of the Surface Area of Bone Graft Products
4.2.5. Thermogravimetry and Differential Thermal Analysis
4.2.6. Ion Release of the Bone Graft
4.3. Cell Viability of Bone Graft
CCK8 Assay
4.4. In Vivo Experiment with Bone Grafts
4.4.1. Animal Experiment
4.4.2. Micro-CT Analysis
4.4.3. Histology and Immunohistochemistry
4.5. Statistical Analysis
5. Conclusions
Supplementary Materials
Author Contributions
Funding
Institutional Review Board Statement
Informed Consent Statement
Conflicts of Interest
References
- Montenegro, T.S.; Elia, C.; Hines, K.; Buser, Z.; Wilson, J.; Ghogawala, Z.; Kurpad, S.N.; Sciubba, D.M.; Harrop, J.S. Are lumbar fusion guidelines followed? A survey of north american spine surgeons. Neurospine 2021, 18, 389–396. [Google Scholar] [CrossRef]
- Glassman, S.D.; Polly, D.W.; Bono, C.M.; Burkus, K.; Dimar, J.R. Outcome of lumbar arthrodesis in patients sixty-five years of age or older. J. Bone Joint Surg Am. 2009, 91, 783–790. [Google Scholar] [CrossRef]
- Lee, C.H.; Son, D.W.; Lee, S.H.; Lee, J.S.; Sung, S.K.; Lee, S.W.; Song, G.S. Radiological and clinical outcomes of anterior cervical discectomy and fusion in older patients: A comparative analysis of young-old patients (ages 65–74 years) and middle-old patients (over 75 years). Neurospine 2020, 17, 156–163. [Google Scholar] [CrossRef] [PubMed] [Green Version]
- Laurencin, C.; Khan, Y.; El-Amin, S.F. Bone graft substitutes. Expert Rev. Med. Devices 2006, 3, 49–57. [Google Scholar] [CrossRef]
- Ito, Z.; Imagama, S.; Kanemura, T.; Hachiya, Y.; Miura, Y.; Kamiya, M.; Yukawa, Y.; Sakai, Y.; Katayama, Y.; Wakao, N.; et al. Bone union rate with autologous iliac bone versus local bone graft in posterior lumbar interbody fusion (plif): A multicenter study. Eur. Spine J. 2013, 22, 1158–1163. [Google Scholar] [CrossRef] [PubMed] [Green Version]
- Massaad, E.; Fatima, N.; Kiapour, A.; Hadzipasic, M.; Shankar, G.M.; Shin, J.H. Polyetheretherketone versus titanium cages for posterior lumbar interbody fusion: Meta-analysis and review of the literature. Neurospine 2020, 17, 125–135. [Google Scholar] [CrossRef]
- Shimokawa, N.; Sato, H.; Matsumoto, H.; Takami, T. Complex revision surgery for cervical deformity or implant failure. Neurospine 2020, 17, 543–553. [Google Scholar] [CrossRef] [PubMed]
- Haws, B.E.; Khechen, B.; Patel, D.V.; Yoo, J.S.; Guntin, J.A.; Cardinal, K.L.; Ahn, J.; Singh, K. Impact of iliac crest bone grafting on postoperative outcomes and complication rates following minimally invasive transforaminal lumbar interbody fusion. Neurospine 2019, 16, 772–779. [Google Scholar] [CrossRef]
- Parrish, J.M.; Jenkins, N.W.; Cha, E.D.K.; Lynch, C.P.; Geoghegan, C.E.; Mohan, S.; Jadczak, C.N.; Matichak, D.P.; Singh, K. Patient-reported outcomes measurement information system physical function validation for use in anterior cervical discectomy and fusion: A 2-year follow-up study. Neurospine 2021, 18, 155–162. [Google Scholar] [CrossRef] [PubMed]
- Makino, T.; Tsukazaki, H.; Ukon, Y.; Tateiwa, D.; Yoshikawa, H.; Kaito, T. The biological enhancement of spinal fusion for spinal degenerative disease. Int. J. Mol. Sci. 2018, 19, 2430. [Google Scholar] [CrossRef] [Green Version]
- Gruskin, E.; Doll, B.A.; Futrell, F.W.; Schmitz, J.P.; Hollinger, J.O. Demineralized bone matrix in bone repair: History and use. Adv. Drug Deliv. Rev. 2012, 64, 1063–1077. [Google Scholar] [CrossRef] [PubMed]
- Arner, J.W.; Santrock, R.D. A historical review of common bone graft materials in foot and ankle surgery. Foot Ankle. Spec. 2014, 7, 143–151. [Google Scholar] [CrossRef]
- Gao, Y.; Li, J.; Cui, H.; Zhang, F.; Sun, Y.; Li, Z.; Ding, W.; Shen, Y.; Zhang, W. Comparison of intervertebral fusion rates of different bone graft materials in extreme lateral interbody fusion. Medicine 2019, 98, e17685. [Google Scholar] [CrossRef] [PubMed]
- Schlickewei, W.; Schlickewei, C. The use of bone substitutes in the treatment of bone defects—The clinical view and history. Macromol. Symp. 2007, 253, 10–23. [Google Scholar] [CrossRef]
- Bansal, S.; Chauhan, V.; Sharma, S.; Maheshwari, R.; Juyal, A.; Raghuvanshi, S. Evaluation of hydroxyapatite and beta-tricalcium phosphate mixed with bone marrow aspirate as a bone graft substitute for posterolateral spinal fusion. Indian J. Orthop. 2009, 43, 234–239. [Google Scholar]
- Jeong, J.; Kim, J.H.; Shim, J.H.; Hwang, N.S.; Heo, C.Y. Bioactive calcium phosphate materials and applications in bone regeneration. Biomater. Res. 2019, 23, 4. [Google Scholar] [CrossRef] [PubMed] [Green Version]
- Nilsson, M.; Zheng, M.H.; Tagil, M. The composite of hydroxyapatite and calcium sulphate: A review of preclinical evaluation and clinical applications. Expert Rev. Med. Devices 2013, 10, 675–684. [Google Scholar] [CrossRef]
- Kim, K.H.; Park, J.Y.; Park, H.S.; Kim, K.S.; Chin, D.K.; Cho, Y.E.; Kuh, S.U. The influences of different ratios of biphasic calcium phosphate and collagen augmentation on posterior lumbar spinal fusion in rat model. Yonsei Med. J. 2017, 58, 407–414. [Google Scholar] [CrossRef] [Green Version]
- Yoshikawa, H.; Myoui, A. Bone tissue engineering with porous hydroxyapatite ceramics. J. Artif. Organs 2005, 8, 131–136. [Google Scholar] [CrossRef]
- Thorpe, A.A.; Creasey, S.; Sammon, C.; Le Maitre, C.L. Hydroxyapatite nanoparticle injectable hydrogel scaffold to support osteogenic differentiation of human mesenchymal stem cells. Eur. Cell Mater. 2016, 32, 1–23. [Google Scholar] [CrossRef]
- Bertazzo, S.; Zambuzzi, W.F.; Campos, D.D.; Ogeda, T.L.; Ferreira, C.V.; Bertran, C.A. Hydroxyapatite surface solubility and effect on cell adhesion. Colloids Surf. B Biointerfaces 2010, 78, 177–184. [Google Scholar] [CrossRef]
- Batool, S.; Liaqat, U.; Hussain, Z.; Sohail, M. Synthesis, characterization and process optimization of bone whitlockite. Nanomaterials 2020, 10, 1856. [Google Scholar] [CrossRef]
- Horch, H.H.; Sader, R.; Pautke, C.; Neff, A.; Deppe, H.; Kolk, A. Synthetic, pure-phase beta-tricalcium phosphate ceramic granules (cerasorb) for bone regeneration in the reconstructive surgery of the jaws. Int. J. Oral. Maxillofac. Surg. 2006, 35, 708–713. [Google Scholar] [CrossRef] [PubMed]
- Jang, H.L.; Jin, K.; Lee, J.; Kim, Y.; Nahm, S.H.; Hong, K.S. Revisiting whitlockite, the second most abundant biomineral in bone: Nanocrystal synthesis in physiologically relevant conditions and biocompatibility evaluation. ACS Nano 2014, 8, 634–641. [Google Scholar] [CrossRef] [PubMed]
- Wang, C.; Jeong, K.J.; Park, H.J.; Lee, M.; Ryu, S.C.; Hwang, D.Y.; Nam, K.H.; Han, I.H.; Lee, J. Synthesis and formation mechanism of bone mineral, whitlockite nanocrystals in tri-solvent system. J. Colloid Interface Sci. 2020, 569, 1–11. [Google Scholar] [CrossRef]
- Jang, H.L.; Lee, H.K.; Jin, K.; Ahn, H.Y.; Lee, H.E.; Nam, K.T. Phase transformation from hydroxyapatite to the secondary bone mineral, whitlockite. J. Mater. Chem. B 2015, 3, 1342–1349. [Google Scholar] [CrossRef]
- Jang, H.L.; Zheng, G.B.; Park, J.; Kim, H.D.; Baek, H.R.; Lee, H.K.; Lee, K.; Han, H.N.; Lee, C.K.; Hwang, N.S.; et al. In vitro and in vivo evaluation of whitlockite biocompatibility: Comparative study with hydroxyapatite and beta-tricalcium phosphate. Adv. Healthc. Mater. 2016, 5, 128–136. [Google Scholar] [CrossRef]
- Zhou, D.; Qi, C.; Chen, Y.X.; Zhu, Y.J.; Sun, T.W.; Chen, F.; Zhang, C.Q. Comparative study of porous hydroxyapatite/chitosan and whitlockite/chitosan scaffolds for bone regeneration in calvarial defects. Int. J. Nanomed. 2017, 12, 2673–2687. [Google Scholar] [CrossRef] [Green Version]
- Yang, Y.; Wang, H.; Yang, H.; Zhao, Y.; Guo, J.; Yin, X.; Ma, T.; Liu, X.; Li, L. Magnesium-based whitlockite bone mineral promotes neural and osteogenic activities. ACS Biomater. Sci. Eng. 2020, 6, 5785–5796. [Google Scholar] [CrossRef] [PubMed]
- Cheng, H.; Chabok, R.; Guan, X.; Chawla, A.; Li, Y.; Khademhosseini, A.; Jang, H.L. Synergistic interplay between the two major bone minerals, hydroxyapatite and whitlockite nanoparticles, for osteogenic differentiation of mesenchymal stem cells. Acta Biomater. 2018, 69, 342–351. [Google Scholar] [CrossRef]
- Jin, Y.-Z.; Zheng, G.-B.; Jang, H.L.; Lee, K.M.; Lee, J.H. Whitlockite promotes bone healing in rabbit ilium defect model. J. Med. Biol. Eng. 2019, 39, 944–951. [Google Scholar] [CrossRef]
- Kim, H.D.; Jang, H.L.; Ahn, H.Y.; Lee, H.K.; Park, J.; Lee, E.S.; Lee, E.A.; Jeong, Y.H.; Kim, D.G.; Nam, K.T.; et al. Biomimetic whitlockite inorganic nanoparticles-mediated in situ remodeling and rapid bone regeneration. Biomaterials 2017, 112, 31–43. [Google Scholar] [CrossRef] [PubMed]
- Kuboki, Y.; Takita, H.; Kobayashi, D.; Tsuruga, E.; Inoue, M.; Murata, M.; Nagai, N.; Dohi, Y. Bmp-induced osteogenesis on the surface of hydroxyapatite with geometrically feasible and nonfeasible structures: Topology of osteogenesis. J. Biomed. Mater. Res. 1998, 39, 190–199. [Google Scholar] [CrossRef]
- Henkel, J.; Woodruff, M.A.; Epari, D.R.; Steck, R.; Glatt, V.; Dickinson, I.C.; Choong, P.F.; Schuetz, M.A.; Hutmacher, D.W. Bone regeneration based on tissue engineering conceptions—A 21st century perspective. Bone Res. 2013, 1, 216–248. [Google Scholar] [CrossRef] [Green Version]
- Scotchford, C.; Vickers, M.; Ali, S. The isolation and characterization of magnesium whitlockite crystals from human articular cartilage. Osteoarthr. Cartil. 1995, 3, 79–94. [Google Scholar] [CrossRef] [Green Version]
- Staiger, M.P.; Pietak, A.M.; Huadmai, J.; Dias, G. Magnesium and its alloys as orthopedic biomaterials: A review. Biomaterials 2006, 27, 1728–1734. [Google Scholar] [CrossRef]
- Lagier, R.; Baud, C.A. Magnesium whitlockite, a calcium phosphate crystal of special interest in pathology. Pathol. Res. Pract. 2003, 199, 329–335. [Google Scholar] [CrossRef]
- Orchard, T.S.; Larson, J.C.; Alghothani, N.; Bout-Tabaku, S.; Cauley, J.A.; Chen, Z.; LaCroix, A.Z.; Wactawski-Wende, J.; Jackson, R.D. Magnesium intake, bone mineral density, and fractures: Results from the women’s health initiative observational study. Am. J. Clin. Nutr. 2014, 99, 926–933. [Google Scholar] [CrossRef] [Green Version]
- Wei, J.; Jia, J.; Wu, F.; Wei, S.; Zhou, H.; Zhang, H.; Shin, J.W.; Liu, C. Hierarchically microporous/macroporous scaffold of magnesium-calcium phosphate for bone tissue regeneration. Biomaterials 2010, 31, 1260–1269. [Google Scholar] [CrossRef]
- Campana, V.; Milano, G.; Pagano, E.; Barba, M.; Cicione, C.; Salonna, G.; Lattanzi, W.; Logroscino, G. Bone substitutes in orthopaedic surgery: From basic science to clinical practice. J. Mater. Sci. Mater. Med. 2014, 25, 2445–2461. [Google Scholar] [CrossRef]
- Tang, Z.; Wang, Z.; Qing, F.; Ni, Y.; Fan, Y.; Tan, Y.; Zhang, X. Bone morphogenetic protein smads signaling in mesenchymal stem cells affected by osteoinductive calcium phosphate ceramics. J. Biomed. Mater. Res. A 2015, 103, 1001–1010. [Google Scholar] [CrossRef] [PubMed]









Publisher’s Note: MDPI stays neutral with regard to jurisdictional claims in published maps and institutional affiliations. |
© 2021 by the authors. Licensee MDPI, Basel, Switzerland. This article is an open access article distributed under the terms and conditions of the Creative Commons Attribution (CC BY) license (https://creativecommons.org/licenses/by/4.0/).
Share and Cite
Kwon, S.Y.; Shim, J.H.; Kim, Y.H.; Lim, C.S.; An, S.B.; Han, I. Efficacy for Whitlockite for Augmenting Spinal Fusion. Int. J. Mol. Sci. 2021, 22, 12875. https://doi.org/10.3390/ijms222312875
Kwon SY, Shim JH, Kim YH, Lim CS, An SB, Han I. Efficacy for Whitlockite for Augmenting Spinal Fusion. International Journal of Molecular Sciences. 2021; 22(23):12875. https://doi.org/10.3390/ijms222312875
Chicago/Turabian StyleKwon, Su Yeon, Jung Hee Shim, Yu Ha Kim, Chang Su Lim, Seong Bae An, and Inbo Han. 2021. "Efficacy for Whitlockite for Augmenting Spinal Fusion" International Journal of Molecular Sciences 22, no. 23: 12875. https://doi.org/10.3390/ijms222312875
APA StyleKwon, S. Y., Shim, J. H., Kim, Y. H., Lim, C. S., An, S. B., & Han, I. (2021). Efficacy for Whitlockite for Augmenting Spinal Fusion. International Journal of Molecular Sciences, 22(23), 12875. https://doi.org/10.3390/ijms222312875

