Identification of VEGF Signaling Inhibition-Induced Glomerular Injury in Rats through Site-Specific Urinary Biomarkers
Abstract
:1. Introduction
2. Results
2.1. Pharmacological Profile of ABT-123
2.2. Toxicity Profile of ABT-123 in Rats
2.3. Glomerular Ultrastructural Changes in Rats Treated with ABT-123
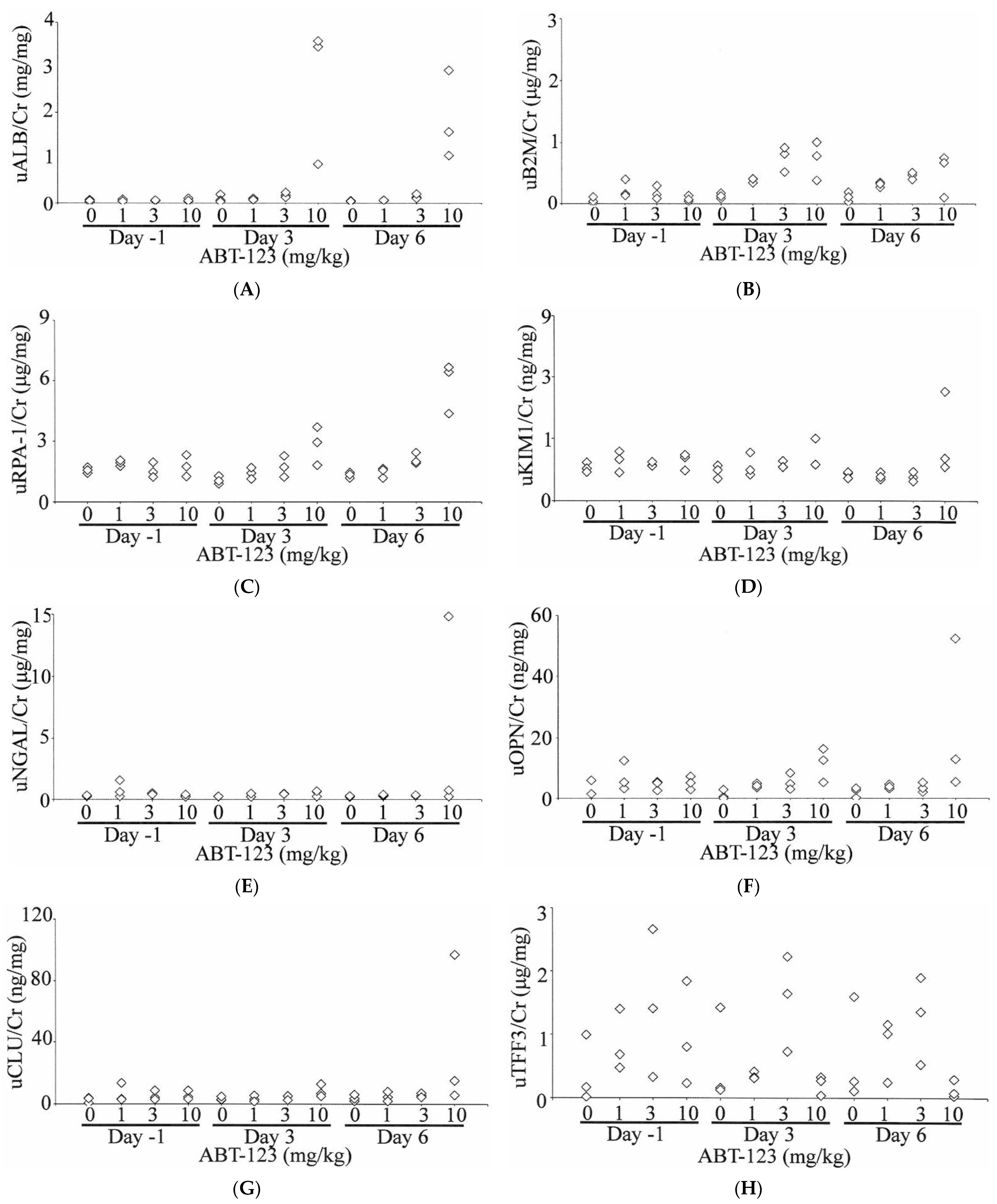
2.4. Urinary Biomarker Changes in Rats Treated with ABT-123
2.5. Gene Expression Changes in Rats Treated with ABT-123
3. Discussion
4. Materials and Methods
4.1. In Vitro and In Vivo Pharmacology
4.2. Animals, Treatment, and Sample Collection
4.3. Clinical Pathology and Histopathology Assessment
4.4. Electron Microscopic Assessment of the Kidney
4.5. Urinary Biomarker Analysis
4.6. Laser Capture Microdissection and Microarray Analysis
4.7. Statistical Analysis
Supplementary Materials
Author Contributions
Funding
Institutional Review Board Statement
Informed Consent Statement
Data Availability Statement
Acknowledgments
Conflicts of Interest
References
- Simons, M.; Gordon, E.; Claesson-Welsh, L. Mechanisms and regulation of endothelial VEGF receptor signalling. Nat. Rev. Mol. Cell Biol. 2016, 17, 611–625. [Google Scholar] [CrossRef] [PubMed]
- Estrada, C.C.; Maldonado, A.; Mallipattu, S.K. Therapeutic Inhibition of VEGF Signaling and Associated Nephrotoxicities. J. Am. Soc. Nephrol. 2019, 30, 187–200. [Google Scholar] [CrossRef] [PubMed] [Green Version]
- Cosmai, L.; Gallieni, M.; Liguigli, W.; Porta, C. Renal toxicity of anticancer agents targeting vascular endothelial growth factor (VEGF) and its receptors (VEGFRs). J. Nephrol. 2017, 30, 171–180. [Google Scholar] [CrossRef] [PubMed]
- Eremina, V.; Sood, M.; Haigh, J.; Nagy, A.; Lajoie, G.; Ferrara, N.; Gerber, H.P.; Kikkawa, Y.; Miner, J.H.; Quaggin, S.E. Glomerular-specific alterations of VEGF-A expression lead to distinct congenital and acquired renal diseases. J. Clin. Investig. 2003, 111, 707–716. [Google Scholar] [CrossRef] [Green Version]
- Sugimoto, H.; Hamano, Y.; Charytan, D.; Cosgrove, D.; Kieran, M.; Sudhakar, A.; Kalluri, R. Neutralization of circulating vascular endothelial growth factor (VEGF) by anti-VEGF antibodies and soluble VEGF receptor 1 (sFlt-1) induces proteinuria. J. Biol. Chem. 2003, 278, 12605–12608. [Google Scholar] [CrossRef] [Green Version]
- Eremina, V.; Jefferson, J.A.; Kowalewska, J.; Hochster, H.; Haas, M.; Weisstuch, J.; Richardson, C.; Kopp, J.B.; Kabir, M.G.; Backx, P.H.; et al. VEGF inhibition and renal thrombotic microangiopathy. N. Engl. J. Med. 2008, 358, 1129–1136. [Google Scholar] [CrossRef]
- Wu, S.; Kim, C.; Baer, L.; Zhu, X. Bevacizumab increases risk for severe proteinuria in cancer patients. J. Am. Soc. Nephrol. 2010, 21, 1381–1389. [Google Scholar] [CrossRef] [Green Version]
- Izzedine, H.; Escudier, B.; Lhomme, C.; Pautier, P.; Rouvier, P.; Gueutin, V.; Baumelou, A.; Derosa, L.; Bahleda, R.; Hollebecque, A.; et al. Kidney diseases associated with anti-vascular endothelial growth factor (VEGF): An 8-year observational study at a single center. Medicine 2014, 93, 333–339. [Google Scholar] [CrossRef]
- Baek, S.H.; Kim, H.; Lee, J.; Kim, D.K.; Oh, K.H.; Kim, Y.S.; Han, J.S.; Kim, T.M.; Lee, S.H.; Joo, K.W. Renal adverse effects of sunitinib and its clinical significance: A single-center experience in Korea. Korean J. Intern. Med. 2014, 29, 40–48. [Google Scholar] [CrossRef]
- Avastin (Bevacizumab) [Product Insert]; Genentech: South San Francisco, CA, USA, 2009.
- Izzedine, H.; Massard, C.; Spano, J.P.; Goldwasser, F.; Khayat, D.; Soria, J.C. VEGF signalling inhibition-induced proteinuria: Mechanisms, significance and management. Eur. J. Cancer 2010, 46, 439–448. [Google Scholar] [CrossRef] [Green Version]
- D’Amico, G.; Bazzi, C. Pathophysiology of proteinuria. Kidney Int. 2003, 63, 809–825. [Google Scholar] [CrossRef] [Green Version]
- Dieterle, F.; Sistare, F.; Goodsaid, F.; Papaluca, M.; Ozer, J.S.; Webb, C.P.; Baer, W.; Senagore, A.; Schipper, M.J.; Vonderscher, J.; et al. Renal biomarker qualification submission: A dialog between the FDA-EMEA and Predictive Safety Testing Consortium. Nat. Biotechnol. 2010, 28, 455–462. [Google Scholar] [CrossRef]
- Amin, R.P.; Vickers, A.E.; Sistare, F.; Thompson, K.L.; Roman, R.J.; Lawton, M.; Kramer, J.; Hamadeh, H.K.; Collins, J.; Grissom, S.; et al. Identification of putative gene based markers of renal toxicity. Environ. Health Perspect. 2004, 112, 465–479. [Google Scholar] [CrossRef]
- Food Drug Administration Center for Drugs Evaluation Research. Review of Qualification Data for Biomarkers of Nephrotoxicity Submitted by the Predictive Safety Testing Consortium; Food Drug Administration Center for Drugs Evaluation Research: Silver Spring, MD, USA, 2009. [Google Scholar]
- Food Drug Administration Center for Drugs Evaluation Research. Review of Qualification Data for Biomarkers of Nephrotoxicity Submitted by the ILSI-HESI Nephrotoxicity Working Group; Food Drug Administration Center for Drugs Evaluation Research: Silver Spring, MD, USA, 2010. [Google Scholar]
- Dieterle, F.; Perentes, E.; Cordier, A.; Roth, D.R.; Verdes, P.; Grenet, O.; Pantano, S.; Moulin, P.; Wahl, D.; Mahl, A.; et al. Urinary clusterin, cystatin C, beta2-microglobulin and total protein as markers to detect drug-induced kidney injury. Nat. Biotechnol. 2010, 28, 463–469. [Google Scholar] [CrossRef]
- Yu, Y.; Jin, H.; Holder, D.; Ozer, J.S.; Villarreal, S.; Shughrue, P.; Shi, S.; Figueroa, D.J.; Clouse, H.; Su, M.; et al. Urinary biomarkers trefoil factor 3 and albumin enable early detection of kidney tubular injury. Nat. Biotechnol. 2010, 28, 470–477. [Google Scholar] [CrossRef]
- Vaidya, V.S.; Ozer, J.S.; Dieterle, F.; Collings, F.B.; Ramirez, V.; Troth, S.; Muniappa, N.; Thudium, D.; Gerhold, D.; Holder, D.J.; et al. Kidney injury molecule-1 outperforms traditional biomarkers of kidney injury in preclinical biomarker qualification studies. Nat. Biotechnol. 2010, 28, 478–485. [Google Scholar] [CrossRef] [Green Version]
- Phillips, J.A.; Holder, D.J.; Ennulat, D.; Gautier, J.C.; Sauer, J.M.; Yang, Y.; McDuffie, E.; Sonee, M.; Gu, Y.Z.; Troth, S.P.; et al. Rat Urinary Osteopontin and Neutrophil Gelatinase-Associated Lipocalin Improve Certainty of Detecting Drug-Induced Kidney Injury. Toxicol. Sci. 2016, 151, 214–223. [Google Scholar] [CrossRef] [Green Version]
- Ma, W.; Tan, J.; Matsumoto, H.; Robert, B.; Abrahamson, D.R.; Das, S.K.; Dey, S.K. Adult Tissue Angiogenesis: Evidence for Negative Regulation by Estrogen in the Uterus. Mol. Endocrinol. 2001, 15, 1983–1992. [Google Scholar] [CrossRef] [PubMed]
- Advani, A.; Kelly, D.J.; Advani, S.L.; Cox, A.J.; Thai, K.; Zhang, Y.; White, K.E.; Gow, R.M.; Marshall, S.M.; Steer, B.M.; et al. Role of VEGF in maintaining renal structure and function under normotensive and hypertensive conditions. Proc. Natl. Acad. Sci. USA 2007, 104, 14448–14453. [Google Scholar] [CrossRef] [PubMed] [Green Version]
- Bollée, G.; Patey, N.; Cazajous, G.; Robert, C.; Goujon, J.M.; Fakhouri, F.; Bruneval, P.; Noël, L.H.; Knebelmann, B. Thrombotic microangiopathy secondary to VEGF pathway inhibition by sunitinib. Nephrol. Dial. Transplant. 2009, 24, 682–685. [Google Scholar] [CrossRef] [PubMed] [Green Version]
- Izzedine, H.; Mangier, M.; Ory, V.; Zhang, S.Y.; Sendeyo, K.; Bouachi, K.; Audard, V.; Péchoux, C.; Soria, J.C.; Massard, C.; et al. Expression patterns of RelA and c-mip are associated with different glomerular diseases following anti-VEGF therapy. Kidney Int. 2014, 85, 457–470. [Google Scholar] [CrossRef] [PubMed] [Green Version]
- Kandula, P.; Agarwal, R. Proteinuria and hypertension with tyrosine kinase inhibitors. Kidney Int. 2011, 80, 1271–1277. [Google Scholar] [CrossRef] [PubMed] [Green Version]
- Zhang, S.; Cao, M.; Hou, Z.; Gu, X.; Chen, Y.; Chen, L.; Luo, Y.; Chen, L.; Liu, D.; Zhou, H.; et al. Angiotensin-converting enzyme inhibitors have adverse effects in anti-angiogenesis therapy for hepatocellular carcinoma. Cancer Lett. 2021, 501, 147–161. [Google Scholar] [CrossRef]
- Tojo, A.; Kinugasa, S. Mechanisms of glomerular albumin filtration and tubular reabsorption. Int. J. Nephrol. 2012, 2012, 481520. [Google Scholar] [CrossRef] [Green Version]
- Russo, L.M.; Sandoval, R.M.; McKee, M.; Osicka, T.M.; Collins, A.B.; Brown, D.; Molitoris, B.A.; Comper, W.D. The normal kidney filters nephrotic levels of albumin retrieved by proximal tubule cells: Retrieval is disrupted in nephrotic states. Kidney Int. 2007, 71, 504–513. [Google Scholar] [CrossRef] [Green Version]
- Dickson, L.E.; Wagner, M.C.; Sandoval, R.M.; Molitoris, B.A. The proximal tubule and albuminuria: Really! J. Am. Soc. Nephrol. 2014, 25, 443–453. [Google Scholar] [CrossRef] [Green Version]
- De Zeeuw, D. Albuminuria: A target for treatment of type 2 diabetic nephropathy. In Seminars in Nephrology; WB Saunders: Philadelphia, PA, USA, 2007; Volume 27, pp. 172–181. [Google Scholar] [CrossRef]
- Ware, L.B.; Johnson, A.C.; Zager, R.A. Renal cortical albumin gene induction and urinary albumin excretion in response to acute kidney injury. Am. J. Physiol. Renal. Physiol. 2011, 300, F628–F638. [Google Scholar] [CrossRef] [Green Version]
- Miyata, T.; Jadoul, M.; Kurokawa, K.; Van Ypersele de Strihou, C. Beta-2 microglobulin in renal disease. J. Am. Soc. Nephrol. 1998, 9, 1723–1735. [Google Scholar] [CrossRef]
- Branten, A.J.; du Buf-Vereijken, P.W.; Klasen, I.S.; Bosch, F.H.; Feith, G.W.; Hollander, D.A.; Wetzels, J.F. Urinary excretion of beta2-microglobulin and IgG predict prognosis in idiopathic membranous nephropathy: A validation study. J. Am. Soc. Nephrol. 2005, 16, 169–174. [Google Scholar] [CrossRef] [PubMed] [Green Version]
- Nishijima, T.; Kurosawa, T.; Tanaka, N.; Kawasaki, Y.; Kikuchi, Y.; Oka, S.; Gatanaga, H. Urinary β2 microglobulin can predict tenofovir disoproxil fumarate-related renal dysfunction in HIV-1-infected patients who initiate tenofovir disoproxil fumarate-containing antiretroviral therapy. AIDS 2016, 30, 1563–1571. [Google Scholar] [CrossRef]
- Dai, Y.; Guo, Y.; Frey, R.R.; Ji, Z.; Curtin, M.L.; Ahmed, A.A.; Albert, D.H.; Arnold, L.; Arries, S.S.; Barlozzari, T.; et al. Thienopyrimidine ureas as novel and potent multitargeted receptor tyrosine kinase inhibitors. J. Med. Chem. 2005, 48, 6066–6083. [Google Scholar] [CrossRef] [PubMed]






| VEGFRs | Non-Related Tyrosine Kinases | Serine/Threonine Kinases | |||
|---|---|---|---|---|---|
| Kinase | IC50 (nM) | Kinase | IC50 (nM) | Kinase | IC50 (nM) |
| VEGFR-1 | 70 | SRC | >50,000 | AKT | >50,000 |
| VEGFR-2 | 24 | IGFR | >50,000 | SGK | 11,000 |
| VEGFR-3 | 54 | INSR | >50,000 | CDC2 | >50,000 |
| LCK | 13,000 | PKA | >50,000 | ||
| EGFR | >50,000 | ||||
| HCK | >50,000 | ||||
| cMET | >50,000 | ||||
| LYN | >20,000 | ||||
| FYN | >50,000 | ||||
| FGR | >50,000 | ||||
| Sequence Code | Sequence Name | Sequence Description | Fold Change in Glomerulus | Fold Change in Kidney | ||
|---|---|---|---|---|---|---|
| Rat #1 | Rat #2 | Rat #1 | Rat #2 | |||
| 1367555_at | Alb | Albumin | −8.15 | −4.78 | −2.20 | −2.90 |
| 1367595_s_at | B2m | Beta-2 microglobulin | 1.11 | 1.13 | −1.06 | −1.23 |
| 1387965_at | Kim1 | Kidney injury molecule 1 | 1.10 | 2.19 | 6.55 | 2.19 |
| 1387011_at | Ngal | Neutrophil gelatinase-associated lipocalin | 1.73 | −1.20 | 2.96 | 4.08 |
| 1367581_a_at | Opn | Osteopontin | 1.82 | 2.30 | 2.79 | 2.90 |
| 1367784_a_at | Clu | Clusterin | 1.30 | 1.67 | 2.80 | 1.48 |
| 1388246_at | Clu | Clusterin | 1.47 | 1.96 | 1.50 | 1.05 |
| 1387218_at | Tff3 | Trefoil factor 3 | −14.96 | −9.34 | −1.11 | −1.21 |
| 1367774_at | GSTa3 | Glutathione S-transferase A3 | 1.26 | −1.77 | −1.17 | 1.03 |
| 1372297_at | GSTa4 | Glutathione S-transferase alpha 4 | −1.50 | −4.49 | −1.29 | −1.09 |
| 1386985_at | GSTm1 | Glutathione S-transferase mu 1 | 3.11 | 2.39 | 2.16 | 3.88 |
| Sequence Code | Sequence Name | Sequence Description | Fold Change in Glomerulus | Fold Change in Kidney | ||
|---|---|---|---|---|---|---|
| Rat #1 | Rat #2 | Rat #1 | Rat #2 | |||
| 1373807_at | Vegfa | Vascular endothelial growth factor A | −1.03 | 1.22 | −1.00 | 1.14 |
| 1370081_a_at | Vegfa | Vascular endothelial growth factor A | −1.17 | 1.18 | −1.07 | 1.02 |
| 1380854_at | Vegfb | Vascular endothelial growth factor B | −1.08 | −6.07 | −1.01 | −1.31 |
| 1368463_at | Vegfc | Vascular endothelial growth factor C | −2.46 | −2.76 | −1.48 | −1.25 |
| 1387709_at | Vegfd | Vascular endothelial growth factor D | 1.17 | 1.44 | −1.13 | −1.15 |
| 1368919_at | Pgf | Placental growth factor | 1.66 | 2.28 | −1.17 | 1.20 |
| 1368918_at | Pgf | Placental growth factor | 1.48 | 1.89 | 1.31 | −1.29 |
| 1369087_at | Vegfr-1 | Vegf receptor 1 | −2.94 | −3.29 | −1.60 | −1.13 |
| 1367948_a_at | Vegfr-2 | Vegf receptor 2 | −2.51 | −2.21 | −3.30 | −2.45 |
| 1369216_a_at | Vegfr-3 | Vegf receptor 3 | 2.10 | 1.15 | 1.10 | −1.16 |
Publisher’s Note: MDPI stays neutral with regard to jurisdictional claims in published maps and institutional affiliations. |
© 2021 by the authors. Licensee MDPI, Basel, Switzerland. This article is an open access article distributed under the terms and conditions of the Creative Commons Attribution (CC BY) license (https://creativecommons.org/licenses/by/4.0/).
Share and Cite
Yang, Y.; Kowalkowski, K.; Ciurlionis, R.; Buck, W.R.; Glaser, K.B.; Albert, D.H.; Blomme, E.A.G. Identification of VEGF Signaling Inhibition-Induced Glomerular Injury in Rats through Site-Specific Urinary Biomarkers. Int. J. Mol. Sci. 2021, 22, 12629. https://doi.org/10.3390/ijms222312629
Yang Y, Kowalkowski K, Ciurlionis R, Buck WR, Glaser KB, Albert DH, Blomme EAG. Identification of VEGF Signaling Inhibition-Induced Glomerular Injury in Rats through Site-Specific Urinary Biomarkers. International Journal of Molecular Sciences. 2021; 22(23):12629. https://doi.org/10.3390/ijms222312629
Chicago/Turabian StyleYang, Yi, Kenneth Kowalkowski, Rita Ciurlionis, Wayne R. Buck, Keith B. Glaser, Daniel H. Albert, and Eric A. G. Blomme. 2021. "Identification of VEGF Signaling Inhibition-Induced Glomerular Injury in Rats through Site-Specific Urinary Biomarkers" International Journal of Molecular Sciences 22, no. 23: 12629. https://doi.org/10.3390/ijms222312629
APA StyleYang, Y., Kowalkowski, K., Ciurlionis, R., Buck, W. R., Glaser, K. B., Albert, D. H., & Blomme, E. A. G. (2021). Identification of VEGF Signaling Inhibition-Induced Glomerular Injury in Rats through Site-Specific Urinary Biomarkers. International Journal of Molecular Sciences, 22(23), 12629. https://doi.org/10.3390/ijms222312629
