Natural Killer T Cells Are Involved in Atherosclerotic Plaque Instability in Apolipoprotein-E Knockout Mice
Abstract
:1. Introduction
2. Results
2.1. Animal Characteristics
2.2. αGC-Induced iNKT Cell Accumulation in Aortic Tissues
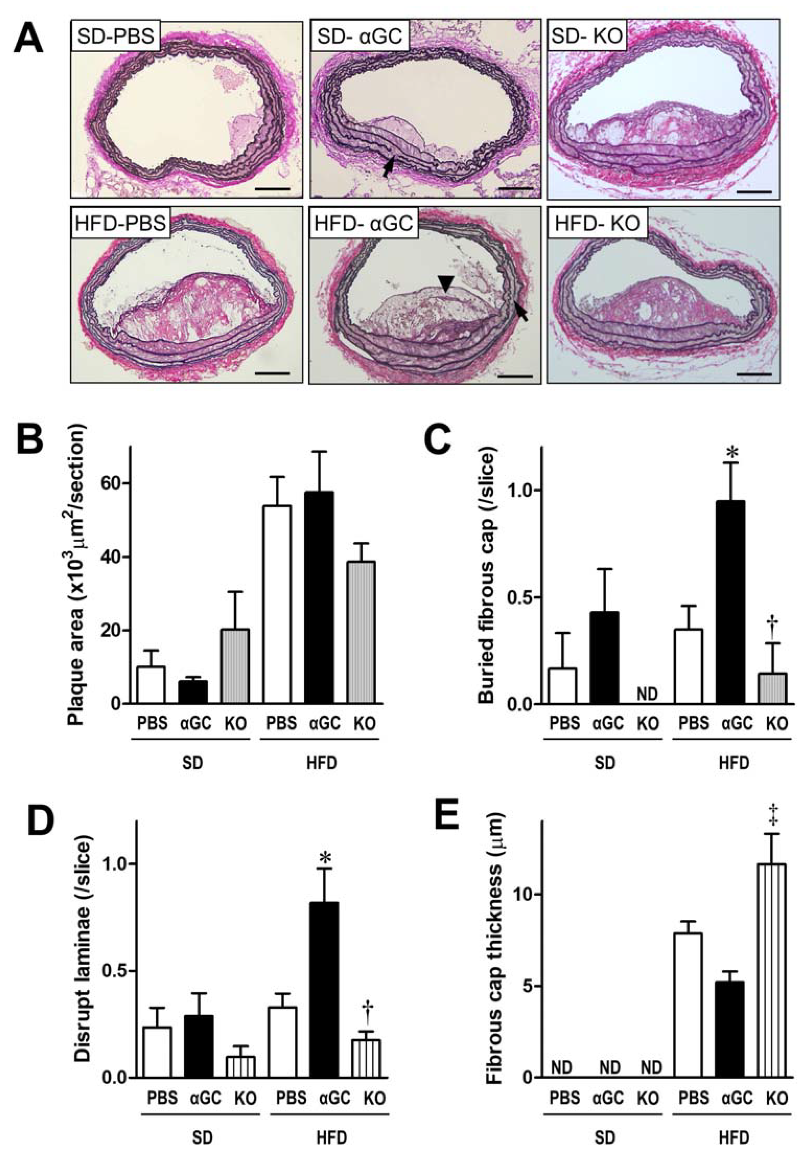
2.3. Atherosclerotic Plaque Instability
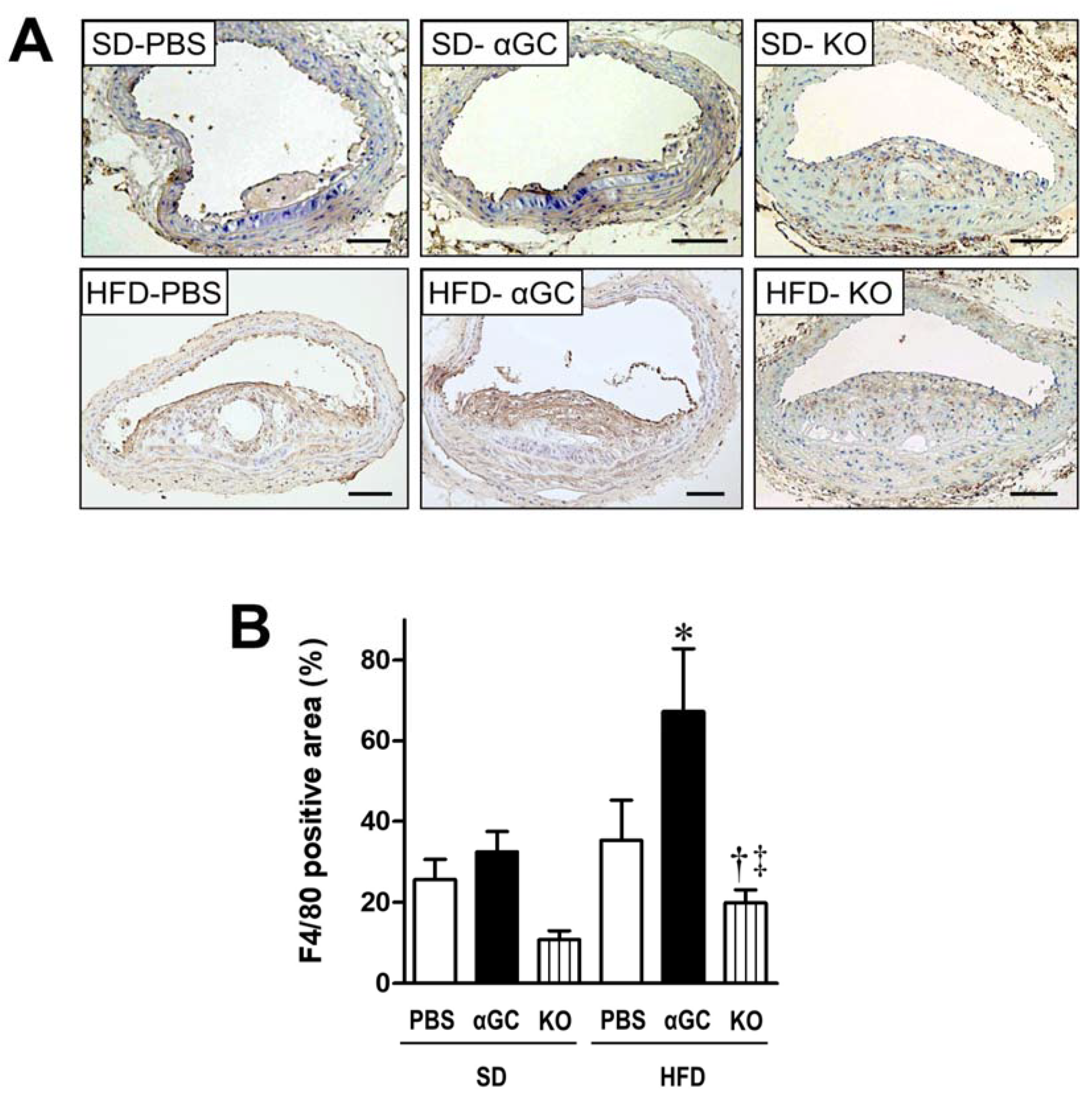
2.4. Inflammation and MMP in Aortic Tissues
3. Discussion
4. Materials and Methods
4.1. Experimental Mice
4.2. Blood Chemistry
4.3. Histomorphometric Analysis
4.4. Quantitative Reverse Transcriptase PCR
4.5. Statistical Analysis
Supplementary Materials
Author Contributions
Funding
Institutional Review Board Statement
Informed Consent Statement
Data Availability Statement
Acknowledgments
Conflicts of Interest
Abbreviations
| αGC | α-galactosylceramide |
| apoE | apolipoprotein E |
| HDL | high-density lipoprotein |
| HFD | high-fat diet |
| IFN-γ | interferon-γ |
| IL-4 | interleukin-4 |
| iNKT cell | invariant natural killer T cell |
| MHC | major histocompatibility complex |
| MMP | matrix metalloproteinase |
| NK cell | natural killer cell |
| RANTES | regulated upon activation, normal T cell expressed and secreted |
| SD | standard diet |
| SMC | smooth muscle cell |
| TCR | T cell receptor |
| Th1 | T helper type 1 |
References
- Fuster, V.; Stein, B.; Ambrose, J.A.; Badimon, L.; Badimon, J.J.; Chesebro, J.H. Atherosclerotic plaque rupture and thrombosis. Evolving concepts. Circulation 1990, 82 (Suppl. S3), II47–II59. [Google Scholar] [PubMed]
- Hansson, G.K.; Libby, P.; Tabas, I. Inflammation and plaque vulnerability. J. Intern. Med. 2015, 278, 483–493. [Google Scholar] [CrossRef]
- Poznyak, A.V.; Bezsonov, E.E.; Popkova, T.V.; Starodubova, A.V.; Orekhov, A.N. Immunity in atherosclerosis: Focusing on T and B cells. Int. J. Mol. Sci. 2021, 22, 8379. [Google Scholar] [CrossRef] [PubMed]
- Van Kaer, L. NKT cells: T lymphocytes with innate effector functions. Curr. Opin. Immunol. 2007, 19, 354–364. [Google Scholar] [CrossRef] [PubMed]
- Nakai, Y.; Iwabuchi, K.; Fujii, S.; Ishimori, N.; Dashtsoodol, N.; Watano, K.; Mishima, T.; Iwabuchi, C.; Tanaka, S.; Bezbradica, J.S.; et al. Natural killer T cells accelerate atherogenesis in mice. Blood 2004, 104, 2051–2059. [Google Scholar] [CrossRef] [PubMed]
- Van Kaer, L. α-Galactosylceramide therapy for autoimmune diseases: Prospects and obstacles. Nat. Rev. Immunol. 2005, 5, 31–42. [Google Scholar] [CrossRef] [PubMed]
- Andoh, Y.; Fujii, S.; Iwabuchi, K.; Yokota, T.; Inoue, N.; Nakai, Y.; Mishima, T.; Yamashita, T.; Nakagawa, T.; Kitabatake, A.; et al. Lower prevalence of circulating natural killer T cells in patients with angina: A potential novel marker for coronary artery disease. Coron. Artery Dis. 2006, 17, 523–528. [Google Scholar] [CrossRef] [PubMed]
- Johnson, J.; Carson, K.; Williams, H.; Karanam, S.; Newby, A.; Angelini, G.; George, S.; Jackson, C. Plaque rupture after short periods of fat feeding in the apolipoprotein E-knockout mouse: Model characterization and effects of pravastatin treatment. Circulation 2005, 111, 1422–1430. [Google Scholar] [CrossRef] [Green Version]
- Doddapattar, P.; Jain, M.; Dhanesha, N.; Lentz, S.R.; Chauhan, A.K. Fibronectin containing extra domain A induces plaque destabilization in the innominate artery of aged apolipoprotein E–deficient mice. Arterioscler. Thromb. Vasc. Biol. 2018, 38, 500–508. [Google Scholar] [CrossRef] [PubMed] [Green Version]
- Ni, M.; Chen, W.Q.; Zhang, Y. Animal models and potential mechanisms of plaque destabilisation and disruption. Heart 2009, 95, 1393–1398. [Google Scholar] [CrossRef]
- Poznyak, A.V.; Grechko, A.V.; Wetzker, R.; Orekhov, A.N. In search for genes related to atherosclerosis and dyslipidemia using animal models. Int. J. Mol. Sci. 2020, 21, 2097. [Google Scholar] [CrossRef] [PubMed] [Green Version]
- Rosenfeld, M.E.; Polinsky, P.; Virmani, R.; Kauser, K.; Rubanyi, G.; Schwartz, S.M. Advanced atherosclerotic lesions in the innominate artery of the apoE knockout mouse. Arterioscler. Thromb. Vasc. Biol. 2000, 20, 2587–2592. [Google Scholar] [CrossRef] [PubMed] [Green Version]
- Johnson, J.L.; Jackson, C.L. Atherosclerotic plaque rupture in the apolipoprotein E knockout mouse. Atherosclerosis 2001, 154, 399–406. [Google Scholar] [CrossRef]
- Amento, E.P.; Ehsani, N.; Palmer, H.; Libby, P. Cytokines and growth factors positively and negatively regulate interstitial collagen gene expression in human vascular smooth muscle cells. Arterioscler. Thromb. Vasc. Biol. 1991, 11, 1223–1230. [Google Scholar] [CrossRef] [Green Version]
- Yang, Z.; Gagarin, D.; St Laurent, G., 3rd; Hammell, N.; Toma, I.; Hu, C.A.; Iwasa, A.; McCaffrey, T.A. Cardiovascular inflammation and lesion cell apoptosis: A novel connection via the interferon-inducible immunoproteasome. Arterioscler. Thromb. Vasc. Biol. 2009, 29, 1213–1219. [Google Scholar] [CrossRef] [PubMed]
- Zhou, M.; Zhang, Y.; Ardans, J.A.; Wahl, L.M. Interferon-γ differentially regulates monocyte matrix metalloproteinase-1 and -9 through tumor necrosis factor-α and caspase 8. J. Biol. Chem. 2003, 278, 45406–45413. [Google Scholar] [CrossRef] [Green Version]
- Oviedo-Orta, E.; Bermudez-Fajardo, A.; Karanam, S.; Benbow, U.; Newby, A.C. Comparison of MMP-2 and MMP-9 secretion from T helper 0, 1 and 2 lymphocytes alone and in coculture with macrophages. Immunology 2008, 124, 42–50. [Google Scholar] [CrossRef] [PubMed]
- Shapiro, S.D.; Campbell, E.J.; Kobayashi, D.K.; Welgus, H.G. Immune modulation of metalloproteinase production in human macrophages. Selective pretranslational suppression of interstitial collagenase and stromelysin biosynthesis by interferon-γ. J. Clin. Investig. 1990, 86, 1204–1210. [Google Scholar] [CrossRef] [PubMed] [Green Version]
- Van Puijvelde, G.H.M.; Kuiper, J. NKT cells in cardiovascular diseases. Eur. J. Pharmacol. 2017, 816, 47–57. [Google Scholar] [CrossRef] [PubMed]
- Libby, P.; Pasterkamp, G. Requiem for the ‘vulnerable plaque’. Eur. Heart J. 2015, 36, 2984–2987. [Google Scholar] [CrossRef] [Green Version]
- Tabas, I. 2016 Russell Ross memorial lecture in vascular biology: Molecular-cellular mechanisms in the progression of atherosclerosis. Arterioscler. Thromb. Vasc. Biol. 2017, 37, 183–189. [Google Scholar] [CrossRef] [Green Version]
- Tabas, I.; Bornfeldt, K.E. Intracellular and intercellular aspects of macrophage immunometabolism in atherosclerosis. Circ. Res. 2020, 126, 1209–1227. [Google Scholar] [CrossRef] [PubMed]
- Ohmura, K.; Ishimori, N.; Ohmura, Y.; Tokuhara, S.; Nozawa, A.; Horii, S.; Andoh, Y.; Fujii, S.; Iwabuchi, K.; Onoé, K.; et al. Natural killer T cells are involved in adipose tissues inflammation and glucose intolerance in diet-induced obese mice. Arterioscler. Thromb. Vasc. Biol. 2010, 30, 193–199. [Google Scholar] [CrossRef] [PubMed]
- Takaoka, M.; Nagata, D.; Kihara, S.; Shimomura, I.; Kimura, Y.; Tabata, Y.; Saito, Y.; Nagai, R.; Sata, M. Periadventitial adipose tissue plays a critical role in vascular remodeling. Circ. Res. 2009, 105, 906–911. [Google Scholar] [CrossRef] [PubMed]
- Saito, A.; Ishimori, N.; Tokuhara, S.; Homma, T.; Nishikawa, M.; Iwabuchi, K.; Tsutsui, H. Activation of invariant natural killer T cells by α-galactosylceramide attenuates the development of angiotensin II-mediated abdominal aortic aneurysm in obese ob/ob mice. Front. Cardiovasc. Med. 2021, 8, 659418. [Google Scholar] [CrossRef] [PubMed]
- Nakajima, T.; Yokota, T.; Shingu, Y.; Yamada, A.; Iba, Y.; Ujihira, K.; Wakasa, S.; Ooka, T.; Takada, S.; Shirakawa, R.; et al. Impaired mitochondrial oxidative phosphorylation capacity in epicardial adipose tissue is associated with decreased concentration of adiponectin and severity of coronary atherosclerosis. Sci. Rep. 2019, 9, 3535. [Google Scholar] [CrossRef]
- Kamijuku, H.; Nagata, Y.; Jiang, X.; Ichinohe, T.; Tashiro, T.; Mori, K.; Taniguchi, M.; Hase, K.; Ohno, H.; Shimaoka, T.; et al. Mechanism of NKT cell activation by intranasal coadministration of α-galactosylceramide, which can induce cross-protection against influenza viruses. Mucosal Immunol. 2008, 1, 208–218. [Google Scholar] [CrossRef] [Green Version]
- Barral, P.; Sanchez-Nino, M.D.; van Rooijen, N.; Cerundolo, V.; Batista, F.D. The location of splenic NKT cells favours their rapid activation by blood-borne antigen. EMBO J. 2012, 31, 2378–2390. [Google Scholar] [CrossRef]
- Cui, J.; Shin, T.; Kawano, T.; Sato, H.; Kondo, E.; Toura, I.; Kaneko, Y.; Koseki, H.; Kanno, M.; Taniguchi, M. Requirement for Vα14 NKT cells in IL-12-mediated rejection of tumors. Science 1997, 278, 1623–1626. [Google Scholar] [CrossRef] [PubMed]
- Jackson, C.L.; Bennett, M.; Biessen, E.A.L.; Johnson, J.; Krams, R. Assessment of unstable atherosclerosis in mice. Arterioscler. Thromb. Vasc. Biol. 2007, 27, 714–720. [Google Scholar] [CrossRef] [PubMed] [Green Version]




| SD-PBS (n = 6) | SD-αGC (n = 7) | SD-KO (n = 3) | HFD-PBS (n = 21) | HFD-αGC (n = 21) | HFD-KO (n = 9) | |
|---|---|---|---|---|---|---|
| Body weight, g | 26.0 ± 0.7 | 25.8 ± 0.6 | 30.8 ± 1.6 *† | 27.0 ± 0.5 | 26.0 ± 0.6 | 26.6 ± 0.5 |
| Blood chemistry | ||||||
| Total cholesterol, mg/dL | 685 ± 19 | 708 ± 96 | 639 ± 47 | 1068 ± 65 | 1001 ± 103 | 961 ± 98 |
| HDL cholesterol, mg/dL | 15 ± 4 | 15 ± 2 | 28 ± 3 | 37 ± 8 | 34 ± 6 | 24 ± 5 |
| Triglyceride, mg/dL | 77 ± 5 | 84 ± 10 | 95 ± 7 | 221 ± 31 | 181 ± 27 | 84 ± 7 ‡ |
| Free fatty acid, mEq/L | 1.31 ± 0.13 | 1.18 ± 0.14 | 0.98 ± 0.14 | 1.37 ± 0.09 | 1.53 ± 0.08 | 0.93 ± 0.04 ‡§ |
| Fasting blood glucose, mg/dL | 67 ± 6 | 82 ± 13 | 89 ± 23 | 69 ± 3 | 65 ± 2 | 135 ± 11 ‡§ |
| IFN-γ, pg/mL ¶ | 0.9 ± 0.4 | 1.3 ± 0.3 | 0.7 ± 0.2 | 29.4 ± 8.0 * | 35.8 ± 7.7 | 0.5 ± 0.2 ‡§ |
Publisher’s Note: MDPI stays neutral with regard to jurisdictional claims in published maps and institutional affiliations. |
© 2021 by the authors. Licensee MDPI, Basel, Switzerland. This article is an open access article distributed under the terms and conditions of the Creative Commons Attribution (CC BY) license (https://creativecommons.org/licenses/by/4.0/).
Share and Cite
Ohmura, Y.; Ishimori, N.; Saito, A.; Yokota, T.; Horii, S.; Tokuhara, S.; Iwabuchi, K.; Tsutsui, H. Natural Killer T Cells Are Involved in Atherosclerotic Plaque Instability in Apolipoprotein-E Knockout Mice. Int. J. Mol. Sci. 2021, 22, 12451. https://doi.org/10.3390/ijms222212451
Ohmura Y, Ishimori N, Saito A, Yokota T, Horii S, Tokuhara S, Iwabuchi K, Tsutsui H. Natural Killer T Cells Are Involved in Atherosclerotic Plaque Instability in Apolipoprotein-E Knockout Mice. International Journal of Molecular Sciences. 2021; 22(22):12451. https://doi.org/10.3390/ijms222212451
Chicago/Turabian StyleOhmura, Yoshinori, Naoki Ishimori, Akimichi Saito, Takashi Yokota, Shunpei Horii, Satoshi Tokuhara, Kazuya Iwabuchi, and Hiroyuki Tsutsui. 2021. "Natural Killer T Cells Are Involved in Atherosclerotic Plaque Instability in Apolipoprotein-E Knockout Mice" International Journal of Molecular Sciences 22, no. 22: 12451. https://doi.org/10.3390/ijms222212451
APA StyleOhmura, Y., Ishimori, N., Saito, A., Yokota, T., Horii, S., Tokuhara, S., Iwabuchi, K., & Tsutsui, H. (2021). Natural Killer T Cells Are Involved in Atherosclerotic Plaque Instability in Apolipoprotein-E Knockout Mice. International Journal of Molecular Sciences, 22(22), 12451. https://doi.org/10.3390/ijms222212451

