Resolution of Two Steps in Botulinum Neurotoxin Serotype A1 Light Chain Localization to the Intracellular Plasma Membrane
Abstract
:1. Introduction
2. Results
2.1. Properties of A1 and A3
2.2. Variations in 17 N-Terminal Amino Acid Sequences (N) of BoNT/A3 Deposited in NCBI

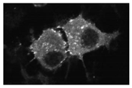
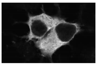
2.3. Unique Intracellular Localizations of A1, A3LM, and A3V in N2As
2.4. Contributions of A1-N and A1-LHD in Targeting A1 on the Plasma Membrane
2.5. The LHD of A Defines Affinity for the Plasma Membrane
2.6. Association with Plasma Membrane Correlates with BoNT/A Potency
3. Discussion
4. Materials and Methods
4.1. Sequence and Structural Alignment
4.2. Construction of LC/A and LC/A-Chimera Expression Plasmids
4.3. Live-Cell Imaging
4.4. Generation of a Recombinant Gene for Expression of BoNT/A3V
4.5. Production of BoNT/A3V
4.6. Mouse Bioassay
4.7. Western Blot
4.8. Structural Alignment
5. Conclusions
Supplementary Materials
Author Contributions
Funding
Acknowledgments
Conflicts of Interest
References
- Schiavo, G.; Matteoli, M.; Montecucco, C. Neurotoxins Affecting Neuroexocytosis. Physiol. Rev. 2000, 80, 717–766. [Google Scholar] [CrossRef] [PubMed]
- Johnson, E.A.; Bradshaw, M. Clostridium botulinum and its neurotoxins: A metabolic and cellular perspective. Toxicon 2001, 39, 1703–1722. [Google Scholar] [CrossRef]
- Aoki, K.R.; Guyer, B. Botulinum toxin type A and other botulinum toxin serotypes: A comparative review of biochemical and pharmacological actions. Eur. J. Neurol. 2001, 8, 21–29. [Google Scholar] [CrossRef] [PubMed]
- Singh, B.R. Scientific and Therapeutic Aspects of Botulinum Toxic; Lippincott Williams & Wilkins: Philadelphia, PA, USA, 2002; Volume 2015, p. 14. [Google Scholar]
- Singh, B.R.; DasGupta, B. Conformational changes associated with the nicking and activation of botulinum neurotoxin type E. Biophys. Chem. 1990, 38, 123–130. [Google Scholar] [CrossRef]
- Schiavo, G.; Rossetto, O.; Santucci, A.; Dasgupta, B.R.; Montecucco, C. Botulinum neurotoxins are zinc proteins. J. Biol. Chem. 1992, 267, 23479–23483. [Google Scholar] [CrossRef]
- Südhof, T.C.; Rothman, J.E. Membrane Fusion: Grappling with SNARE and SM Proteins. Science 2009, 323, 474–477. [Google Scholar] [CrossRef] [PubMed] [Green Version]
- Binz, T.; Sikorra, S.; Mahrhold, S. Clostridial Neurotoxins: Mechanism of SNARE Cleavage and Outlook on Potential Substrate Specificity Reengineering. Toxins 2010, 2, 665–682. [Google Scholar] [CrossRef] [Green Version]
- Henkel, J.S.; Baldwin, M.R.; Barbieri, J.T. Toxins from bacteria. Exp. Suppl. 2010, 100, 1–29. [Google Scholar] [CrossRef]
- Brunger, A.T.; A Breidenbach, M.; Jin, R.; Fischer, A.; Santos, J.S.; Montal, M. Botulinum Neurotoxin Heavy Chain Belt as an Intramolecular Chaperone for the Light Chain. PLOS Pathog. 2007, 3, e113–e114. [Google Scholar] [CrossRef] [Green Version]
- Chen, S.; Kim, J.-J.P.; Barbieri, J.T. Mechanism of Substrate Recognition by Botulinum Neurotoxin Serotype, A.J. Biol. Chem. 2007, 282, 9621–9627. [Google Scholar] [CrossRef] [Green Version]
- Peck, M.W.; Smith, T.J.; Anniballi, F.; Austin, J.W.; Bano, L.; Bradshaw, M.; Cuervo, P.; Cheng, L.W.; Derman, Y.; Dorner, B.G.; et al. Historical Perspectives and Guidelines for Botulinum Neurotoxin Subtype Nomenclature. Toxins 2017, 9, 38. [Google Scholar] [CrossRef]
- Dong, M.; Yeh, F.; Tepp, W.H.; Dean, C.; Johnson, E.A.; Janz, R.; Chapman, E.R. SV2 Is the Protein Receptor for Botulinum Neurotoxin A. Science 2006, 312, 592–596. [Google Scholar] [CrossRef]
- Schengrund, C.-L.; Dasgupta, B.R.; Ringler, N.J. Binding of Botulinum and Tetanus Neurotoxins to Ganglioside GT1b and Derivatives Thereof. J. Neurochem. 1991, 57, 1024–1032. [Google Scholar] [CrossRef] [PubMed]
- Rummel, A. Double Receptor Anchorage of Botulinum Neurotoxins Accounts for their Exquisite Neurospecificity. Curr. Top. Microbiol. Immunol. 2012, 364, 61–90. [Google Scholar] [CrossRef]
- Pirazzini, M.; Rossetto, O.; Eleopra, R.; Montecucco, C. Botulinum Neurotoxins: Biology, Pharmacology, and Toxicology. Pharmacol. Rev. 2017, 69, 200–235. [Google Scholar] [CrossRef] [PubMed]
- Hoch, D.H.; Romero-Mira, M.; Ehrlich, B.; Finkelstein, A.; DasGupta, B.R.; Simpson, L.L. Channels formed by botulinum, tetanus, and diphtheria toxins in planar lipid bilayers: Relevance to translocation of proteins across membranes. Proc. Natl. Acad. Sci. USA 1985, 82, 1692–1696. [Google Scholar] [CrossRef] [PubMed] [Green Version]
- Falnes, P.Ø.; Olsnes, S. Cell-mediated Reduction and Incomplete Membrane Translocation of Diphtheria Toxin Mutants with Internal Disulfides in the A Fragment. J. Biol. Chem. 1995, 270, 20787–20793. [Google Scholar] [CrossRef] [Green Version]
- Zuverink, M.; Chen, C.; Przedpelski, A.; Blum, F.C.; Barbieri, J.T. A Heterologous Reporter Defines the Role of the Tetanus Toxin Interchain Disulfide in Light-Chain Translocation. Infect. Immun. 2015, 83, 2714–2724. [Google Scholar] [CrossRef] [Green Version]
- Tehran, D.A.; Pirazzini, M.; Leka, O.; Mattarei, A.; Lista, F.; Binz, T.; Rossetto, O.; Montecucco, C. Hsp90 is involved in the entry of clostridial neurotoxins into the cytosol of nerve terminals. Cell. Microbiol. 2017, 19, e12647. [Google Scholar] [CrossRef] [PubMed] [Green Version]
- Fernandez-Salas, E.; Steward, L.E.; Ho, H.; Garay, P.E.; Sun, S.W.; Gilmore, M.A.; Ordas, J.V.; Wang, J.; Francis, J.; Aoki, K.R. Plasma membrane localization signals in the light chain of botulinum neurotoxin. Proc. Natl. Acad. Sci. USA 2004, 101, 3208–3213. [Google Scholar] [CrossRef] [PubMed] [Green Version]
- Schiavo, G.; Rossetto, O.; Catsicas, S.; De Laureto, P.P.; Dasgupta, B.R.; Benfenati, F.; Montecucco, C. Identification of the nerve terminal targets of botulinum neurotoxin serotypes A, D, and E. J. Biol. Chem. 1993, 268, 23784–23787. [Google Scholar] [CrossRef]
- Pellett, S.; Bradshaw, M.; Tepp, W.H.; Pier, C.L.; Whitemarsh, R.C.M.; Chen, C.; Barbieri, J.T.; Johnson, E.A. The Light Chain Defines the Duration of Action of Botulinum Toxin Serotype A Subtypes. mBio 2018, 9, e00089-18. [Google Scholar] [CrossRef] [PubMed] [Green Version]
- Jacky, B.P.S.; Garay, P.E.; Dupuy, J.; Nelson, J.B.; Cai, B.; Molina, Y.; Wang, J.; Steward, L.E.; Broide, R.S.; Francis, J.; et al. Identification of Fibroblast Growth Factor Receptor 3 (FGFR3) as a Protein Receptor for Botulinum Neurotoxin Serotype A (BoNT/A). PLOS Pathog. 2013, 9, e1003369. [Google Scholar] [CrossRef] [Green Version]
- Kull, S.; Schulz, K.M.; Strotmeier, J.W.N.; Kirchner, S.; Schreiber, T.; Bollenbach, A.; Dabrowski, P.W.; Nitsche, A.; Kalb, S.; Dorner, M.B.; et al. Isolation and Functional Characterization of the Novel Clostridium botulinum Neurotoxin A8 Subtype. PLoS ONE 2015, 10, e0116381. [Google Scholar] [CrossRef] [PubMed] [Green Version]
- Smith, T.J.; Lou, J.; Geren, I.N.; Forsyth, C.M.; Tsai, R.; LaPorte, S.L.; Tepp, W.H.; Bradshaw, M.; Johnson, E.A.; Smith, L.A.; et al. Sequence Variation within Botulinum Neurotoxin Serotypes Impacts Antibody Binding and Neutralization. Infect. Immun. 2005, 73, 5450–5457. [Google Scholar] [CrossRef] [Green Version]
- Jacobson, M.J.; Lin, G.; Tepp, W.; Dupuy, J.; Stenmark, P.; Stevens, R.C.; Johnson, E.A. Purification, Modeling, and Analysis of Botulinum Neurotoxin Subtype A5 (BoNT/A5) from Clostridium botulinum Strain A661222. Appl. Environ. Microbiol. 2011, 77, 4217–4222. [Google Scholar] [CrossRef] [Green Version]
- Whitemarsh, R.C.M.; Tepp, W.H.; Johnson, E.A.; Pellett, S. Persistence of Botulinum Neurotoxin A Subtypes 1-5 in Primary Rat Spinal Cord Cells. PLoS ONE 2014, 9, e90252. [Google Scholar] [CrossRef] [Green Version]
- Pellett, S.; Tepp, W.H.; Whitemarsh, R.C.; Bradshaw, M.; Johnson, E.A. In vivo onset and duration of action varies for botulinum neurotoxin A subtypes 1-5. Toxicon 2015, 107, 37–42. [Google Scholar] [CrossRef] [Green Version]
- Chen, S.; Barbieri, J.T. Association of Botulinum Neurotoxin Serotype A Light Chain with Plasma Membrane-bound SNAP-25. J. Biol. Chem. 2011, 286, 15067–15072. [Google Scholar] [CrossRef] [Green Version]
- Leka, O.; Wu, Y.; Li, X.; Kammerer, R.A. Crystal structure of the catalytic domain of botulinum neurotoxin subtype A3. J. Biol. Chem. 2021, 296, 100684. [Google Scholar] [CrossRef]
- Shiryev, S.A.; Papadopoulos, J.S.; Schäffer, A.A.; Agarwala, R. Improved BLAST searches using longer words for protein seeding. Bioinformatics 2007, 23, 2949–2951. [Google Scholar] [CrossRef] [Green Version]
- Breidenbach, M.A.; Brunger, A. Substrate recognition strategy for botulinum neurotoxin serotype A. Nat. Cell Biol. 2004, 432, 925–929. [Google Scholar] [CrossRef]
- Tepp, W.H.; Lin, G.; Johnson, E.A. Purification and Characterization of a Novel Subtype A3 Botulinum Neurotoxin. Appl. Environ. Microbiol. 2012, 78, 3108–3113. [Google Scholar] [CrossRef] [PubMed] [Green Version]
- Reed, L.; Muench, H. A simple method of estimating fifty percent endpoints. Am. J. Hyg. 1938, 27, 493–497. [Google Scholar]
- Blum, F.C.; Chen, C.; Kroken, A.; Barbieri, J.T. Tetanus Toxin and Botulinum Toxin A Utilize Unique Mechanisms to Enter Neurons of the Central Nervous System. Infect. Immun. 2012, 80, 1662–1669. [Google Scholar] [CrossRef] [PubMed] [Green Version]
- Zhang, Y.; Deng, Q.; Barbieri, J.T. Intracellular Localization of Type III-delivered Pseudomonas ExoS with Endosome Vesicles. J. Biol. Chem. 2007, 282, 13022–13032. [Google Scholar] [CrossRef] [PubMed] [Green Version]
- Heo, S.; Diering, G.H.; Na, C.H.; Nirujogi, R.S.; Bachman, J.L.; Pandey, A.; Huganir, R.L. Identification of long-lived synaptic proteins by proteomic analysis of synaptosome protein turnover. Proc. Natl. Acad. Sci. USA 2018, 115, E3827–E3836. [Google Scholar] [CrossRef] [Green Version]
- The UniProt Consortium. UniProt: The universal protein knowledgebase in 2021. Nucleic Acids Res. 2021, 49, D480–D489. [Google Scholar]
- The UniProt Consortium. UniProt: A worldwide hub of protein knowledge. Nucleic Acids Res. 2019, 47, D506–D515. [Google Scholar]
- Dirck, A.T.; Whyte, M.; Hudson, A.W. HHV-7 U21 exploits Golgi quality control carriers to reroute class I MHC molecules to lysosomes. Mol. Biol. Cell 2020, 31, 196–208. [Google Scholar] [CrossRef]
- Heap, J.T.; Pennington, O.J.; Cartman, S.T.; Minton, N.P. A modular system for Clostridium shuttle plasmids. J. Microbiol. Methods 2009, 78, 79–85. [Google Scholar] [CrossRef] [PubMed]
- Bradshaw, M.; Tepp, W.H.; Whitemarsh, R.C.M.; Pellett, S.; Johnson, E.A. Holotoxin Activity of Botulinum Neurotoxin Subtype A4 Originating from a Nontoxigenic Clostridium botulinum Expression System. Appl. Environ. Microbiol. 2014, 80, 7415–7422. [Google Scholar] [CrossRef] [PubMed] [Green Version]
- Malizio, C.J.; Goodnough, M.C.; Johnson, E.A. Purification of Clostridium botulinum Type A Neurotoxin. In Bacterial Toxins; Humana Press: Totowa, NJ, USA, 2000; Volume 145, pp. 27–39. [Google Scholar]
- Moberg, L.J.; Sugiyama, H. Affinity chromatography purification of type A botulinum neurotoxin from crystalline toxic complex. Appl. Environ. Microbiol. 1978, 35, 878–880. [Google Scholar] [CrossRef] [PubMed] [Green Version]






| LC/A3-A1 Chimeras 1 | Designation |
|---|---|
| LC/A1 | A1 |
| LC/A3V(A1 1–17) | A3V(A1-N) |
| LC/A3V(A1 268–357) | A3V(A1-LHD) |
| LC/A3V(A1 1–17, A1 268–357) | A3V(A1-N, LHD) |
| Light chain localization | ![]() | ![]() | ![]() |
| BoNT variant | BoNT/A1 | BoNT/A3LM | BoNT/A3V |
| Potency pg/LD50 | 5–10 pg/LD50 | 17 pg/LD50 | 100 pg/LD50 |
| References | [28,34] | [34] | this study |
Publisher’s Note: MDPI stays neutral with regard to jurisdictional claims in published maps and institutional affiliations. |
© 2021 by the authors. Licensee MDPI, Basel, Switzerland. This article is an open access article distributed under the terms and conditions of the Creative Commons Attribution (CC BY) license (https://creativecommons.org/licenses/by/4.0/).
Share and Cite
Gardner, A.; Tepp, W.H.; Bradshaw, M.; Barbieri, J.T.; Pellett, S. Resolution of Two Steps in Botulinum Neurotoxin Serotype A1 Light Chain Localization to the Intracellular Plasma Membrane. Int. J. Mol. Sci. 2021, 22, 11115. https://doi.org/10.3390/ijms222011115
Gardner A, Tepp WH, Bradshaw M, Barbieri JT, Pellett S. Resolution of Two Steps in Botulinum Neurotoxin Serotype A1 Light Chain Localization to the Intracellular Plasma Membrane. International Journal of Molecular Sciences. 2021; 22(20):11115. https://doi.org/10.3390/ijms222011115
Chicago/Turabian StyleGardner, Alexander, William H. Tepp, Marite Bradshaw, Joseph T. Barbieri, and Sabine Pellett. 2021. "Resolution of Two Steps in Botulinum Neurotoxin Serotype A1 Light Chain Localization to the Intracellular Plasma Membrane" International Journal of Molecular Sciences 22, no. 20: 11115. https://doi.org/10.3390/ijms222011115
APA StyleGardner, A., Tepp, W. H., Bradshaw, M., Barbieri, J. T., & Pellett, S. (2021). Resolution of Two Steps in Botulinum Neurotoxin Serotype A1 Light Chain Localization to the Intracellular Plasma Membrane. International Journal of Molecular Sciences, 22(20), 11115. https://doi.org/10.3390/ijms222011115



