The Effects of Photobiomodulation on Bone Defect Repairing in a Diabetic Rat Model
Abstract
:1. Introduction
2. Results
2.1. Higher Calcium Deposition of D1 Cells Cultured in High Glucose Medium Was Observed after PBMT Treatment
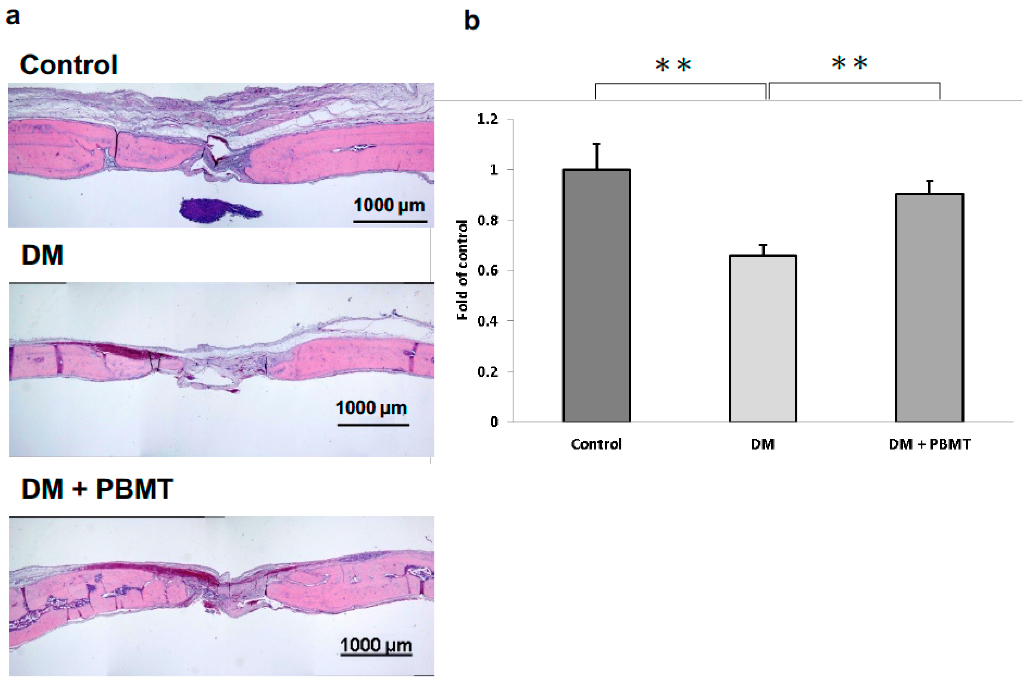
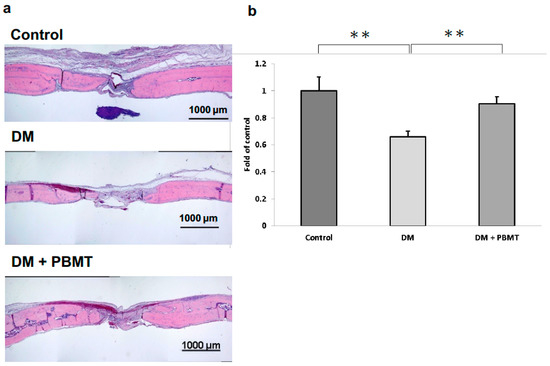
2.2. PBMT Treatment Increased the Healing of DM Calvarial Bone Defects
2.3. No Increase in Osteogenic Factor BMP-2 Expression Was Detected upon PBMT Treatment at Week 12
3. Discussion
4. Materials and Methods
4.1. Cell Culture
4.2. Laser Irradiation
4.3. Alizarin Red S Staining
4.4. Experimental Design
4.5. Experimental Calvarial Defect
4.6. Micro-Computed Tomography (Microct)
4.7. Histomorphological Analysis and Immunostaining of Bone Tissue
4.8. Statistical Analysis
5. Conclusions
Author Contributions
Funding
Institutional Review Board Statement
Informed Consent Statement
Data Availability Statement
Conflicts of Interest
References
- Susan van, D.; Beulens, J.W.; Yvonne, T.; van der, S.; Grobbee, D.E.; Nealb, B. The global burden of diabetes and its complications: An emerging pandemic. Eur. J. Cardiovasc. Prev. Rehabil. 2010, 17, S3–S8. [Google Scholar] [CrossRef]
- Zaccardi, F.; Webb, D.R.; Yates, T.; Davies, M.J. Pathophysiology of type 1 and type 2 diabetes mellitus: A 90-year perspective. Postgrad. Med. J. 2016, 92, 63–69. [Google Scholar] [CrossRef]
- Velloso, L.A.; Eizirik, D.L.; Cnop, M. Type 2 diabetes mellitus—An autoimmune disease? Nat. Rev. Endocrinol. 2013, 9, 750–755. [Google Scholar] [CrossRef]
- Fonseca, V.A. Defining and characterizing the progression of type 2 diabetes. Diabetes Care 2009, 32, S151–S156. [Google Scholar] [CrossRef] [Green Version]
- D’Alessio, D. The role of dysregulated glucagon secretion in type 2 diabetes. Diabetes Obes. Metab. 2011, 13, 126–132. [Google Scholar] [CrossRef]
- Bouillon, R. Diabetic bone disease. Calcif. Tissue. Int. 1991, 49, 155–160. [Google Scholar] [CrossRef]
- Khazai, N.B.; Beck, G.R.; Umpierrez, G.E. Diabetes and fractures: An overshadowed association. Curr. Opin. Endocrinol. Diabetes Obes. 2009, 16, 435–445. [Google Scholar] [CrossRef] [Green Version]
- Strotmeyer, E.S.; Cauley, J.A. Diabetes mellitus, bone mineral density, and fracture risk. Curr. Opin. Endocrinol. Diabetes Obes. 2007, 14, 429–435. [Google Scholar] [CrossRef]
- Janghorbani, M.; Feskanich, D.; Willett, W.C.; Hu, F. Prospective study of diabetes and risk of hip fracture-The Nurses’ Health Study. Diabetes Care 2006, 29, 1573–1578. [Google Scholar] [CrossRef] [PubMed] [Green Version]
- Vestergaard, P. Discrepancies in bone mineral density and fracture risk in patients with type 1 and type 2 diabetes—a meta-analysis. Osteoporos. Int. 2007, 18, 427–444. [Google Scholar] [CrossRef] [PubMed]
- Salerno, M.; Argenziano, A.; Di Maio, S.; Gasparini, N.; Formicola, S.; De Filippo, G.; Tenore, A. Pubertal growth, sexual maturation, and final height in children with IDDM-Effects of age at onset and metabolic control. Diabetes Care 1997, 20, 721–724. [Google Scholar] [CrossRef]
- Janghorbani, M.; Van Dam, R.M.; Willett, W.C.; Hu, F.B. Systematic review of type 1 and type 2 diabetes mellitus and risk of fracture. Am. J. Epidemiol. 2007, 166, 495–505. [Google Scholar] [CrossRef]
- Retzepi, M.; Donos, N. The effect of diabetes mellitus on osseous healing. Clin. Oral Implants Res. 2010, 21, 673–681. [Google Scholar] [CrossRef]
- Wu, Y.Y.; Xiao, E.; Graves, D.T. Diabetes mellitus related bone metabolism and periodontal disease. Int. J. Oral Sci. 2015, 7, 63–72. [Google Scholar] [CrossRef] [Green Version]
- Retzepi, M.; Lewis, M.P.; Donos, N. Effect of diabetes and metabolic control on de novo bone formation following guided bone regeneration. Clin. Oral Implants Res. 2010, 21, 71–79. [Google Scholar] [CrossRef] [PubMed]
- Devaraj, S.; Cheung, A.T.; Jialal, I.; Griffen, S.C.; Nguyen, D.; Glaser, N.; Aoki, T. Evidence of increased inflammation and microcirculatory abnormalities in patients with type 1 diabetes and their role in microvascular complications. Diabetes 2007, 56, 2790–2796. [Google Scholar] [CrossRef] [PubMed] [Green Version]
- Wu, J.Y.; Wang, Y.H.; Wang, G.J.; Ho, M.L.; Wang, C.Z.; Yeh, M.L.; Chen, C.H. Low-power GaAlAs laser irradiation promotes the proliferation and osteogenic differentiation of stem cells via IGF1 and BMP2. PLoS ONE 2012, 7, e44027. [Google Scholar] [CrossRef] [PubMed]
- Jayasree, R.S.; Gupta, A.K.; Rathinam, K.; Mohanan, P.V.; Mohanty, M. The influence of photodynamic therapy on the wound healing process in rats. J. Biomater. Appl. 2001, 15, 176–186. [Google Scholar] [CrossRef]
- Stein, A.; Benayahu, D.; Maltz, L.; Oron, U. Low-level laser irradiation promotes proliferation and differentiation of human osteoblasts in vitro. Photomed. Laser Surg. 2005, 23, 161–166. [Google Scholar] [CrossRef]
- Taniguchi, D.; Dai, P.; Hojo, T.; Yamaoka, Y.; Kubo, T.; Takamatsu, T. Low-energy laser irradiation promotes synovial fibroblast proliferation by modulating p15 subcellular localization. Lasers Surg. Med. 2009, 41, 232–239. [Google Scholar] [CrossRef] [PubMed]
- Gao, X.; Xing, D. Molecular mechanisms of cell proliferation induced by low power laser irradiation. J. Biomed. Sci. 2009, 16, 4. [Google Scholar] [CrossRef] [Green Version]
- Shefer, G.; Partridge, T.A.; Heslop, L.; Gross, J.G.; Oron, U.; Halevy, O. Low-energy laser irradiation promotes the survival and cell cycle entry of skeletal muscle satellite cells. J. Cell Sci. 2002, 115, 1461–1469. [Google Scholar] [CrossRef]
- Pires Oliveira, D.A.; de Oliveira, R.F.; Zangaro, R.A.; Soares, C.P. Evaluation of low-level laser therapy of osteoblastic cells. Photomed. Laser Surg. 2008, 26, 401–404. [Google Scholar] [CrossRef] [PubMed]
- Stein, E.; Koehn, J.; Sutter, W.; Wendtlandt, G.; Wanschitz, F.; Thurnher, D. Initial effects of low-level laser therapy on growth and differentiation of human osteoblast-like cells. Wien. Klin. Wochenschr. 2008, 120, 112–117. [Google Scholar] [CrossRef] [PubMed]
- Barushka, O.; Yaakobi, T.; Oron, U. Effect of low-energy laser (He-Ne) irradiation on the process of bone repair in the rat tibia. Bone 1995, 16, 47–55. [Google Scholar] [PubMed]
- Fujihara, N.A.; Hiraki, K.R.; Marques, M.M. Irradiation at 780 nm increases proliferation rate of osteoblasts independently of dexamethasone presence. Lasers Surg. Med. 2006, 38, 332–336. [Google Scholar] [CrossRef] [PubMed]
- Kazancioglu, H.O.; Ezirganli, S.; Aydin, M.S. Effects of laser and ozone therapies on bone healing in the calvarial defects. J. Craniofac. Surg. 2013, 24, 2141–2146. [Google Scholar] [CrossRef] [PubMed]
- Nascimento, S.B.; Cardoso, C.A.; Ribeiro, T.P.; Almeida, J.D.; Albertini, R.; Munin, E.; Arisawa, E.A. Effect of low-level laser therapy and calcitonin on bone repair in castrated rats: A densitometric study. Photomed. Laser Surg. 2010, 28, 45–49. [Google Scholar] [CrossRef] [Green Version]
- Ninomiya, T.; Miyamoto, Y.; Ito, T.; Yamashita, A.; Wakita, M.; Nishisaka, T. High-intensity pulsed laser irradiation accelerates bone formation in metaphyseal trabecular bone in rat femur. J. Bone Miner. Metab. 2003, 21, 67–73. [Google Scholar] [CrossRef]
- Pretel, H.; Lizarelli, R.F.; Ramalho, L.T. Effect of low-level laser therapy on bone repair: Histological study in rats. Lasers Surg. Med. 2007, 39, 788–796. [Google Scholar] [CrossRef]
- Barbosa, D.; de Souza, R.A.; Xavier, M.; da Silva, F.F.; Arisawa, E.Â.L.; Villaverde, A.G.J.B. Effects of low-level laser therapy (PBMT) on bone repair in rats: Optical densitometry analysis. Lasers Med. Sci. 2013, 28, 651–656. [Google Scholar] [CrossRef]
- Da Silva, R.V.; Camilli, J.A. Repair of bone defects treated with autogenous bone graft and low-power laser. J. Craniofac. Surg. 2006, 17, 297–301. [Google Scholar] [CrossRef]
- Wu, J.Y.; Chen, C.H.; Wang, C.Z.; Ho, M.L.; Yeh, M.L.; Wang, Y.H. Low-power laser irradiation suppresses inflammatory response of human adipose-derived stem cells by modulating intracellular cyclic AMP level and NF-kappaB activity. PLoS ONE 2013, 8, e54067. [Google Scholar] [CrossRef]
- Lee, K.T.D.; Chiang, M.H.; Chen, P.H.; Ho, M.L.; Lee, H.Z.; Lee, H.E.; Wang, Y.H. The effect of low-level laser irradiation on hyperglycemia-induced inflammation in human gingival fibroblasts. Lasers Med. Sci. 2019, 34, 913–920. [Google Scholar] [CrossRef]
- Pinheiro, A.L.; Soares, L.G.; Barbosa, A.F.; Ramalho, L.M.; dos Santos, J.N. Does LED phototherapy influence the repair of bone defects grafted with MTA, bone morphogenetic proteins, and guided bone regeneration? A description of the repair process on rodents. Lasers Med. Sci. 2012, 27, 1013–1024. [Google Scholar] [CrossRef] [PubMed]
- Amid, R.; Kadkhodazadeh, M.; Ahsaie, M.G.; Hakakzadeh, A. Effect of low level laser therapy on proliferation and differentiation of the cells contributing in bone regeneration. J. Lasers Med. Sci. 2014, 5, 163–170. [Google Scholar]
- Prados-Frutos, J.C.; Rodriguez-Molinero, J.; Prados-Privado, M.; Torres, J.H.; Rojo, R. Lack of clinical evidence on low-level laser therapy (PBMT) on dental titanium implant: A systematic review. Lasers Med. Sci. 2016, 31, 383–392. [Google Scholar] [CrossRef]
- Natto, Z.S.; Aladmawy, M.; Levi, P.A., Jr.; Wang, H.L. Comparison of the efficacy of different types of lasers for the treatment of peri-implantitis: A systematic review. Int. J. Oral Maxillofac. Implants 2015, 30, 338–345. [Google Scholar] [CrossRef] [Green Version]
- Ren, C.; McGrath, C.; Jin, L.; Zhang, C.; Yanf, Y. The effectiveness of low-level laser therapy as an adjunct to non-surgical periodontal treatment: A meta-analysis. J. Periodontal. Res. 2017, 52, 8–20. [Google Scholar] [CrossRef] [Green Version]
- Slot, D.E.; Jorritsma, K.H.; Cobb, C.M.; Van der Weijden, F.A. The effect of the thermal diode laser (wavelength 808–980 nm) in non-surgical periodontal therapy: A systematic review and meta-analysis. J. Clin. Periodontol. 2014, 41, 681–692. [Google Scholar] [CrossRef] [Green Version]
- Kalemaj, Z.; DebernardI, C.L.; Buti, J. Efficacy of surgical and non-surgical interventions on accelerating orthodontic tooth movement: A systematic review. Eur. J. Oral Implantol. 2015, 8, 9–24. [Google Scholar]
- Ge, M.K.; He, W.L.; Chen, J.; Wen, C.; Yin, X.; Hu, Z.A. Efficacy of low-level laser therapy for accelerating tooth movement during orthodontic treatment: A systematic review and meta-analysis. Lasers Med. Sci. 2015, 30, 1609–1618. [Google Scholar] [CrossRef] [PubMed]
- Hendudari, F.; Piryaei, A.; Hassani, S.N.; Darbandi, H.; Bayat, M. Combined effects of low-level laser therapy and human bone marrow mesenchymal stem cell conditioned medium on viability of human dermal fibroblasts cultured in a high-glucose medium. Lasers Med. Sci. 2016, 31, 749–757. [Google Scholar] [CrossRef] [PubMed]
- Esmaeelinejad, M.; Bayat, M.; Darbandi, H.; Bayat, M.; Mosaffa, N. The effects of low-level laser irradiation on cellular viability and proliferation of human skin fibroblasts cultured in high glucose mediums. Lasers Med. Sci. 2014, 29, 121–129. [Google Scholar] [CrossRef]
- Yildirimturk, S.; Sirin, Y.; Soluk Tekkesin, M.; Gurler, G.; Firat, D. The effects of low-level laser therapy on the healing of bone defects in streptozotocin-induced diabetic rats: A histological and morphometric evaluation. J. Cosmet. Laser Ther. 2017, 19, 397–403. [Google Scholar] [CrossRef]
- Date, T.; Doiguchi, Y.; Nobuta, M.; Shindo, H. Bone morphogenetic protein-2 induces differentiation of multipotent C3H10T1/2 cells into osteoblasts, chondrocytes, and adipocytes in vivo and in vitro. J. Orthop. Sci. 2004, 9, 503–508. [Google Scholar] [CrossRef]
- Parenti, S.I.; Checchi, L.; Fini, M.; Tschon, M. Different doses of low-level laser irradiation modulate the in vitro response of osteoblast-like cells. J. Biomed. Opt. 2014, 19, 108002. [Google Scholar] [CrossRef] [Green Version]
- Pagin, M.T.; de Oliveira, F.A.; Oliveira, R.C.; Sant’Ana, A.C.P.; de Rezende, M.L.R.; Greghi, S.L.A.; Damante, C.A. Laser and light-emitting diode effects on pre-osteoblast growth and differentiation. Lasers Med. Sci. 2014, 29, 55–59. [Google Scholar] [CrossRef]
- Bloise, N.; Ceccarelli, G.; Minzioni, P.; Vercellino, M.; Benedetti, L.; De Angelis, M.G.C. Investigation of low-level laser therapy potentiality on proliferation and differentiation of human osteoblast-like cells in the absence/presence of osteogenic factors. J. Biomed. Opt. 2013, 18, 128006. [Google Scholar] [CrossRef]
- Eduardo, F.D.P.; Bueno, D.F.; de Freitas, P.M.; Marques, M.M.; Passos-Bueno, M.R.; Eduardo, C.D.P.; Zatz, M. Stem cell proliferation under low intensity laser irradiation: A preliminary study. Lasers Surg. Med. 2008, 40, 433–438. [Google Scholar] [CrossRef]
- De Villiers, J.A.; Houreld, N.N.; Abrahamse, H. Influence of Low Intensity Laser Irradiation on Isolated Human Adipose Derived Stem Cells Over 72 Hours and Their Differentiation Potential into Smooth Muscle Cells Using Retinoic Acid. Stem Cell Rev. Rep. 2011, 7, 869–882. [Google Scholar] [CrossRef]
- Mvula, B.; Mathope, T.; Moore, T.; Abrahamse, H. The effect of low level laser irradiation on adult human adipose derived stem cells. Lasers Med. Sci. 2008, 23, 277–282. [Google Scholar] [CrossRef] [PubMed]
- Renno, A.C.M.; McDonnell, P.A.; Parizotto, N.A.; Laakso, E.L. The effects of laser irradiation on osteoblast and osteosarcoma cell proliferation and differentiation in vitro. Photomed. Laser Surg. 2007, 25, 275–280. [Google Scholar] [CrossRef] [PubMed]
- Oliveira, F.A.; Matos, A.A.; Santesso, M.R.; Tokuhara, C.K.; Leite, A.L.; Bagnato, V.S. Low intensity lasers differently induce primary human osteoblast proliferation and differentiation. J. Photochem. Photobiol. B 2016, 163, 14–21. [Google Scholar] [CrossRef] [PubMed]
- Lee, S.; Shen, J.; Pan, H.C.; Shrestha, S.; Asatrian, G.; Nguyen, A. Defect Healing Induced by Small Molecule Smoothened Agonist. Tissue Eng. Part A 2016, 22, 1357–1366. [Google Scholar] [CrossRef] [PubMed] [Green Version]




Publisher’s Note: MDPI stays neutral with regard to jurisdictional claims in published maps and institutional affiliations. |
© 2021 by the authors. Licensee MDPI, Basel, Switzerland. This article is an open access article distributed under the terms and conditions of the Creative Commons Attribution (CC BY) license (https://creativecommons.org/licenses/by/4.0/).
Share and Cite
Lee, J.-H.; Kong, S.-C.; Chen, C.-H.; Lin, Y.-C.; Lee, K.-T.; Wang, Y.-H. The Effects of Photobiomodulation on Bone Defect Repairing in a Diabetic Rat Model. Int. J. Mol. Sci. 2021, 22, 11026. https://doi.org/10.3390/ijms222011026
Lee J-H, Kong S-C, Chen C-H, Lin Y-C, Lee K-T, Wang Y-H. The Effects of Photobiomodulation on Bone Defect Repairing in a Diabetic Rat Model. International Journal of Molecular Sciences. 2021; 22(20):11026. https://doi.org/10.3390/ijms222011026
Chicago/Turabian StyleLee, Ji-Hua, Su-Chii Kong, Chia-Hsin Chen, Ying-Chun Lin, Kun-Tsung Lee, and Yan-Hsiung Wang. 2021. "The Effects of Photobiomodulation on Bone Defect Repairing in a Diabetic Rat Model" International Journal of Molecular Sciences 22, no. 20: 11026. https://doi.org/10.3390/ijms222011026
APA StyleLee, J.-H., Kong, S.-C., Chen, C.-H., Lin, Y.-C., Lee, K.-T., & Wang, Y.-H. (2021). The Effects of Photobiomodulation on Bone Defect Repairing in a Diabetic Rat Model. International Journal of Molecular Sciences, 22(20), 11026. https://doi.org/10.3390/ijms222011026

