Pachymic Acid Attenuated Doxorubicin-Induced Heart Failure by Suppressing miR-24 and Preserving Cardiac Junctophilin-2 in Rats
Abstract
:1. Introduction
2. Results
2.1. Cardiac Hypertrophy and Function
2.2. Cardiac Architecture and Ultrastructure
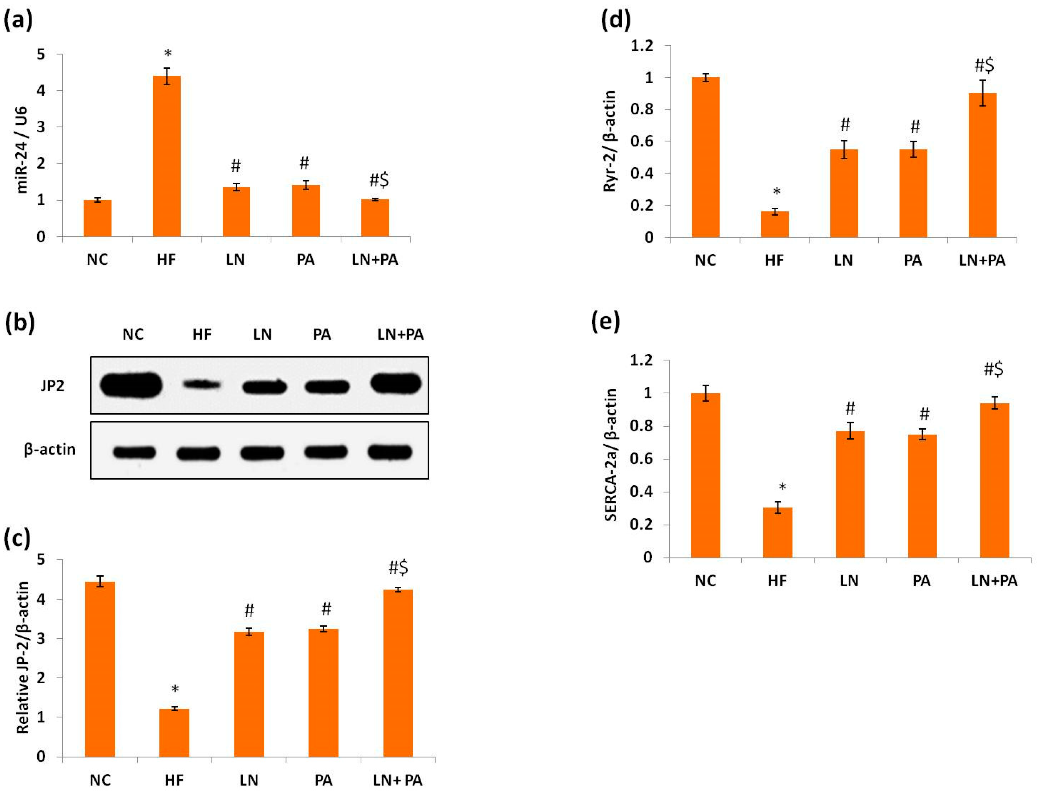
2.3. miR 24 and LCC-RyR Signaling
3. Discussion
4. Materials and Methods
4.1. Drugs
4.2. Animals and Experimental Design
4.3. Echocardiography
4.4. Sampling
4.5. Biochemical Analyses
4.5.1. ELISA of Serum BNP
4.5.2. RT-PCR Cardiac Expression of miR-24-3, RYR-2 and SERCA-2a
4.5.3. WB-Cardiac JP-2
4.6. Histopathology
4.7. Transmission Electron Microscopy (TEM)
4.8. Statistical Analysis
Author Contributions
Funding
Institutional Review Board Statement
Informed Consent Statement
Data Availability Statement
Acknowledgments
Conflicts of Interest
References
- Ferreira, J.P.; Kraus, S.; Mitchell, S.; Perel, P.; Piñeiro, D.; Chioncel, O.; Colque, R.; De Boer, R.A.; Gomez-Mesa, J.E.; Grancelli, H.; et al. World Heart Federation Roadmap for Heart Failure. Glob. Heart 2019, 14, 197–214. [Google Scholar] [CrossRef]
- Malik, A.; Brito, D.; Chhabra, L. Congestive Heart Failure (CHF). In StatPearls [Internet]; StatPearls Publishing: Treasure Island, FL, USA, 2021. [Google Scholar]
- Mitry, M.A.; Edwards, J.G. Doxorubicin induced heart failure: Phenotype and molecular mechanisms. IJC Heart Vasc. 2015, 10, 17–24. [Google Scholar] [CrossRef] [Green Version]
- Eisner, D.A.; Caldwell, J.; Kistamas, K.; Trafford, A.W. Calcium and Excitation-Contraction Coupling in the Heart. Circ. Res. 2017, 121, 181–195. [Google Scholar] [CrossRef]
- Guo, A.; Wang, Y.; Chen, B.; Wang, Y.; Yuan, J.; Zhang, L.; Hall, D.; Wu, J.; Shi, Y.; Zhu, Q.; et al. E-C coupling structural protein junctophilin-2 encodes a stress-adaptive transcription regulator. Science 2018, 362, 1359. [Google Scholar] [CrossRef] [PubMed]
- Xu, M.; Wu, H.-D.; Li, R.-C.; Zhang, H.-B.; Wang, M.; Tao, J.; Feng, X.-H.; Guo, Y.-B.; Li, S.-F.; Lai, S.-T.; et al. Mir-24 regulates junctophilin-2 expression in cardiomyocytes. Circ. Res. 2012, 111, 837–841. [Google Scholar] [CrossRef] [PubMed] [Green Version]
- Wang, S.; Zhou, Y.; Luo, Y.; Kan, R.; Chen, J.; Xuan, H.; Wang, C.; Chen, J.; Xu, T.; Li, D. SERCA2a ameliorates cardiomyocyte T-tubule remodeling via the calpain/JPH2 pathway to improve cardiac function in myocardial ischemia/reperfusion mice. Sci. Rep. 2021, 11, 1–13. [Google Scholar] [CrossRef]
- van Rooij, E.; Sutherland, L.B.; Liu, N.; Williams, A.H.; McAnally, J.; Gerard, R.D.; Richardson, J.A.; Olson, E.N. A signature pattern of stress-responsive microRNAs that can evoke cardiac hypertrophy and heart failure. Proc. Natl. Acad. Sci. USA 2006, 103, 18255–18260. [Google Scholar] [CrossRef] [Green Version]
- Fiedler, J.; Jazbutyte, V.; Kirchmaier, B.C.; Gupta, S.K.; Lorenzen, J.; Hartmann, D.; Galuppo, P.; Kneitz, S.; Pena, J.T.; Sohn-Lee, C.; et al. MicroRNA-24 Regulates Vascularity After Myocardial Infarction. Circulation 2011, 124, 720–730. [Google Scholar] [CrossRef] [PubMed] [Green Version]
- Qian, L.; Van Laake, L.W.; Huang, Y.; Liu, S.; Wendland, M.F.; Srivastava, D. miR-24 inhibits apoptosis and represses Bim in mouse cardiomyocytes. J. Exp. Med. 2011, 208, 549–560. [Google Scholar] [CrossRef] [Green Version]
- Guo, C.; Deng, Y.; Liu, J.; Qian, L. Cardiomyocyte-specific role of miR-24 in promoting cell survival. J. Cell. Mol. Med. 2014, 19, 103–112. [Google Scholar] [CrossRef]
- Wang, J.; Huang, W.; Xu, R.; Nie, Y.; Cao, X.; Meng, J.; Xu, X.; Hu, S.; Zheng, Z. MicroRNA-24 regulates cardiac fibrosis after myocardial infarction. J. Cell. Mol. Med. 2012, 16, 2150–2160. [Google Scholar] [CrossRef]
- Zhang, C.-S.; Shao, K.; Liu, C.-W.; Li, C.-J.; Yu, B.-T. Hypoxic preconditioning BMSCs-exosomes inhibit cardiomyocyte apoptosis after acute myocardial infarction by upregulating microRNA-24. Eur. Rev. Med. Pharmacol. Sci. 2019, 23, 6691–6699. [Google Scholar] [PubMed]
- Li, R.-C.; Tao, J.; Guo, Y.-B.; Wu, H.-D.; Liu, R.-F.; Bai, Y.; Lv, Z.-Z.; Luo, G.-Z.; Li, L.-L.; Wang, M.; et al. In Vivo Suppression of MicroRNA-24 Prevents the Transition toward Decompensated Hypertrophy in Aortic-Constricted Mice. Circ. Res. 2013, 112, 601–605. [Google Scholar] [CrossRef] [PubMed]
- Li, X.; Xu, G.; Wei, S.; Zhang, B.; Yao, H.; Chen, Y.; Liu, W.; Wang, B.; Zhao, J.; Gao, Y. Lingguizhugan decoction attenuates doxorubicin-induced heart failure in rats by improving TT-SR microstructural remodeling. BMC Complement. Altern. Med. 2019, 19, 1–11. [Google Scholar] [CrossRef] [PubMed] [Green Version]
- Wang, L.-Y.; Shen, H.; Yang, Q.; Min, J.; Wang, Q.; Xi, W.; Yin, L.; Le, S.-G.; Zhang, Y.-F.; Xiao, J.; et al. LncRNA-LINC00472 contributes to the pathogenesis of atrial fibrillation (Af) by reducing expression of JP2 and RyR2 via miR-24. Biomed. Pharmacother. 2019, 120, 109364. [Google Scholar] [CrossRef] [PubMed]
- Zhang, H.-B.; Li, R.-C.; Xu, M.; Xu, S.-M.; Lai, Y.-S.; Wu, H.-D.; Xie, X.-J.; Gao, W.; Ye, H.; Zhang, Y.-Y.; et al. Ultrastructural uncoupling between T-tubules and sarcoplasmic reticulum in human heart failure. Cardiovasc. Res. 2013, 98, 269–276. [Google Scholar] [CrossRef] [Green Version]
- Cai, Z.Y.; Sheng, Z.X.; Yao, H. Pachymic acid ameliorates sepsis-induced acute kidney injury by suppressing inflammation and activating the Nrf2/HO-1 pathway in rats. Eur. Rev. Med. Pharmacol. Sci. 2017, 21, 1924–1931. [Google Scholar] [PubMed]
- Mandrup, C.M.; Egelund, J.; Nyberg, M.; Slingsby, M.H.; Andersen, C.B.; Løgstrup, S.; Bangsbo, J.; Suetta, C.; Stallknecht, B.M.; Hellsten, Y. Effects of high-intensity training on cardiovascular risk factors in premenopausal and postmenopausal women. Am. J. Obstet. Gynecol. 2017, 216, 384.e1–384.e11. [Google Scholar] [CrossRef] [Green Version]
- Pang, Y.; Zhu, S.; Pei, H. Pachymic acid protects against cerebral ischemia/reperfusion injury by the PI3K/Akt signaling pathway. Metab. Brain Dis. 2020, 35, 673–680. [Google Scholar] [CrossRef]
- Jiang, G.-P.; Liao, Y.-J.; Huang, L.-L.; Zeng, X.-J.; Liao, X.-H. Effects and molecular mechanism of pachymic acid on ferroptosis in renal ischemia reperfusion injury. Mol. Med. Rep. 2020, 23, 1. [Google Scholar] [CrossRef]
- Elsherbiny, N.; Salama, M.F.; Said, E.; El-Sherbiny, M.; Al-Gayyar, M. Crocin protects against doxorubicin-induced myocardial toxicity in rats through down-regulation of inflammatory and apoptic pathways. Chem. Interact. 2016, 247, 39–48. [Google Scholar] [CrossRef]
- Ma, S.; Li, X.; Dong, L.; Zhu, J.; Zhang, H.; Jia, Y. Protective effect of Sheng-Mai Yin, a traditional Chinese preparation, against doxorubicin-induced cardiac toxicity in rats. BMC Complement. Altern. Med. 2016, 16, 1–10. [Google Scholar] [CrossRef] [Green Version]
- Boyd, A.; Stoodley, P.; Richards, D.; Hui, R.; Harnett, P.; Vo, K.; Marwick, T.; Thomas, L. Anthracyclines induce early changes in left ventricular systolic and diastolic function: A single centre study. PLoS ONE 2017, 12, e0175544. [Google Scholar] [CrossRef] [Green Version]
- Huang, W.-P.; Yin, W.-H.; Chen, J.-S.; Huang, P.-H.; Chen, J.-W.; Lin, S.-J. Fenofibrate attenuates doxorubicin-induced cardiac dysfunction in mice via activating the eNOS/EPC pathway. Sci. Rep. 2021, 11, 1–11. [Google Scholar] [CrossRef]
- Ghonim, S.; Voges, I.; Gatehouse, P.; Keegan, J.; Gatzoulis, M.A.; Kilner, P.J.; Babu-Narayan, S.V. Myocardial Architecture, Mechanics, and Fibrosis in Congenital Heart Disease. Front. Cardiovasc. Med. 2017, 4, 30. [Google Scholar] [CrossRef] [Green Version]
- Iwasaki, T.; Suzuki, T. Ultrastructural alterations of the myocardium induced by doxorubicin. Virchows Arch. B Cell Pathol. Incl. Mol. Pathol. 1991, 60, 35–39. [Google Scholar] [CrossRef] [PubMed]
- Manring, H.R.; Dorn, L.E.; Ex-Willey, A.; Accornero, F.; Ackermann, M.A. At the heart of inter- and intracellular signaling: The intercalated disc. Biophys. Rev. 2018, 10, 961–971. [Google Scholar] [CrossRef]
- Beavers, D.L.; Landstrom, A.P.; Chiang, D.Y.; Wehrens, X.H. Emerging roles of junctophilin-2 in the heart and implications for cardiac diseases. Cardiovasc. Res. 2014, 103, 198–205. [Google Scholar] [CrossRef] [PubMed] [Green Version]
- Guo, A.; Zhang, C.; Wei, S.; Chen, B.; Song, L.-S. Emerging mechanisms of T-tubule remodelling in heart failure. Cardiovasc. Res. 2013, 98, 204–215. [Google Scholar] [CrossRef] [PubMed] [Green Version]
- Hanna, A.; Lam, A.; Tham, S.; Dulhunty, A.; Beard, N.A. Adverse Effects of Doxorubicin and Its Metabolic Product on Cardiac RyR2 and SERCA2A. Mol. Pharmacol. 2014, 86, 438–449. [Google Scholar] [CrossRef] [Green Version]
- Zhang, F.; Zhang, X.-F.; Wang, B.-C.; Liu, H.-Y.; Li, C.-Y.; Liu, Z.-H.; Zhang, G.-W.; Lü, H.; Chi, C.; Wang, F. Pachymic acid, a novel compound for anti-rejection: Effect in rats following cardiac allograft transplantation. Chin. Med. J. 2009, 122, 2898–2902. [Google Scholar]
- Zhao, Y.; Wang, C.; Hong, X.; Miao, J.; Liao, Y.; Hou, F.F.; Zhou, L.; Liu, Y. Wnt/β-catenin signaling mediates both heart and kidney injury in type 2 cardiorenal syndrome. Kidney Int. 2019, 95, 815–829. [Google Scholar] [CrossRef]
- Polegato, B.F.; Minicucci, M.F.; Azevedo, P.S.; Carvalho, R.F.; Chiuso-Minicucci, F.; Pereira, E.J.; Paiva, S.A.R.; Zornoff, L.A.M.; Okoshi, M.P.; Matsubara, B.B. Acute doxorubicin-induced cardiotoxicity is associated with matrix met-alloproteinase-2 alterations in rats. Cell. Physiol. Biochem. 2015, 35, 1924–1933. [Google Scholar] [CrossRef] [PubMed]
- Lang, R.M.; Badano, L.P.; Mor-Avi, V.; Afilalo, J.; Armstrong, A.; Ernande, L.; Flachskampf, F.A.; Foster, E.; Goldstein, S.A.; Kuznetsova, T.; et al. Recommendations for Cardiac Chamber Quantification by Echocardiography in Adults: An Update from the American Society of Echocardiography and the European Association of Cardiovascular Imaging. J. Am. Soc. Echocardiogr. 2015, 28, 1–39. [Google Scholar] [CrossRef] [PubMed] [Green Version]
- Maisel, A.S.; Krishnaswamy, P.; Nowak, R.M.; Mccord, J.; Hollander, J.; Duc, P.; Omland, T.; Storrow, A.B.; Abraham, W.T.; Wu, A.H.; et al. Rapid Measurement of B-Type Natriuretic Peptide in the Emergency Diagnosis of Heart Failure. N. Engl. J. Med. 2002, 347, 161–167. [Google Scholar] [CrossRef] [PubMed]





| Gene | miR24 | JP2 | SERCA-2a | RyR2 |
|---|---|---|---|---|
| HW/BW | 0.81 | −0.80 | — | — |
| HW/TL | 0.82 | −0.88 | — | — |
| JP2 | −0.94 | — | — | — |
| SERCA-2a | −0.95 | 0.98 | — | — |
| RyR2 | −0.85 | 0.97 | 0.94 | — |
| BNP | 0.93 | −0.98 | −0.97 | −0.94 |
| Gene | Forward Primer (5′-3′) | Reverse Primer (5′-3′) |
|---|---|---|
| miR-24-3p | CTCTGGCTCAGTTCAGCAG | GAATACCTCGGACCCTGC |
| RyR2 | TGCTGCGAGCCGGG | TGGCGGTGGCGTAGGA |
| SERCA-2a | CTGGCCGACGACAACTTCTC | TGAGGTAGCGGATGAACTGCTT |
| U6 | CTCGCTTCGGCAGCACATA | AACGATTCACGAATTTGCGT |
| β-actin | CTAAGGCCAACCGTGAAAAG | GCCTGGATGGCTACGTACA |
Publisher’s Note: MDPI stays neutral with regard to jurisdictional claims in published maps and institutional affiliations. |
© 2021 by the authors. Licensee MDPI, Basel, Switzerland. This article is an open access article distributed under the terms and conditions of the Creative Commons Attribution (CC BY) license (https://creativecommons.org/licenses/by/4.0/).
Share and Cite
Younis, N.N.; Salama, A.; Shaheen, M.A.; Eissa, R.G. Pachymic Acid Attenuated Doxorubicin-Induced Heart Failure by Suppressing miR-24 and Preserving Cardiac Junctophilin-2 in Rats. Int. J. Mol. Sci. 2021, 22, 10710. https://doi.org/10.3390/ijms221910710
Younis NN, Salama A, Shaheen MA, Eissa RG. Pachymic Acid Attenuated Doxorubicin-Induced Heart Failure by Suppressing miR-24 and Preserving Cardiac Junctophilin-2 in Rats. International Journal of Molecular Sciences. 2021; 22(19):10710. https://doi.org/10.3390/ijms221910710
Chicago/Turabian StyleYounis, Nahla N., Alaa Salama, Mohamed A. Shaheen, and Rana G. Eissa. 2021. "Pachymic Acid Attenuated Doxorubicin-Induced Heart Failure by Suppressing miR-24 and Preserving Cardiac Junctophilin-2 in Rats" International Journal of Molecular Sciences 22, no. 19: 10710. https://doi.org/10.3390/ijms221910710
APA StyleYounis, N. N., Salama, A., Shaheen, M. A., & Eissa, R. G. (2021). Pachymic Acid Attenuated Doxorubicin-Induced Heart Failure by Suppressing miR-24 and Preserving Cardiac Junctophilin-2 in Rats. International Journal of Molecular Sciences, 22(19), 10710. https://doi.org/10.3390/ijms221910710
