Abstract
Labeling of proteins with deuterium (2H) is often necessary for structural biology techniques, such as neutron crystallography, NMR spectroscopy, and small-angle neutron scattering. Perdeuteration in which all protium (1H) atoms are replaced by deuterium is a costly process. Typically, expression hosts are grown in a defined medium with heavy water as the solvent, which is supplemented with a deuterated carbon source. Escherichia coli, which is the most widely used host for recombinant protein production, can utilize several compounds as a carbon source. Glycerol-d8 is often used as a carbon source for deuterium labelling due to its lower cost compered to glucose-d7. In order to expand available options for recombinant protein deuteration, we investigated the possibility of producing a deuterated carbon source in-house. E. coli can utilize pyruvate as a carbon source and pyruvate-d3 can be made by a relatively simple procedure. To circumvent the very poor growth of E. coli in minimal media with pyruvate as sole carbon source, adaptive laboratory evolution for strain improvement was applied. E. coli strains with enhanced growth in minimal pyruvate medium was subjected to whole genome sequencing and the genetic changes were revealed. One of the evolved strains was adapted for the widely used T7 RNA polymerase overexpression systems. Using the improved strain E. coli DAP1(DE3) and in-house produced deuterated carbon source (pyruvic acid-d4 and sodium pyruvate-d3), we produce deuterated (>90%) triose-phosphate isomerase, at quantities sufficient enough for large volume crystal production and subsequent analysis by neutron crystallography.
1. Introduction
Deuterium (D or 2H) is a naturally occurring stable isotope of hydrogen (H, 1H, or protium) [1]. D and H have the largest mass ratio among stable isotopes of the same element giving rise to differences in physico-chemical properties that can be exploited in various techniques to gain information on structural aspects of biomolecules. For example, protein labelling with deuterium is used in small-angle neutron scattering (SANS), neutron reflectometry, nuclear magnetic resonance (NMR) spectroscopy, and neutron crystallography. Deuterium labelling in SANS can be used for contrast variation [2], while it provides increased sensitivity and simplified spectra for protein NMR [3]. Neutron crystallography is a complementary technique to X-ray crystallography that provides structural information about hydrogen positions in proteins [4,5]. As approximately one-half of all atoms in a protein are H atoms, information on their 3D positions are of importance to reveal details of hydrogen bonding and protonation state. Such information is crucial to understanding substrate recognition and catalysis at the atomic level. X-rays interact with electrons, whereas neutrons interact with atomic nuclei. For X-rays, the scattering length is a linear function of the atomic number. Thus, light elements such as hydrogen scatter scarcely and are in general very poorly resolved in X-ray structures of proteins, unless they are determined at ultrahigh-resolution (<0.8 Å). The nuclear scattering lengths of C, D, N, O, and S are roughly comparable in magnitude [4]. However, the most abundant hydrogen isotope, protium, has a negative scattering length that leads to signal cancellation of positive scattering neighboring atoms, and a large incoherent cross-section giving rise to a significant background in collected neutron crystallography data [6]. Therefore, when H is exchanged for D, the quality of the diffraction data drastically improves. In order to reach close to complete deuteration of a protein (perdeuteration), the organism producing the protein of interest is grown in a heavy water (D2O)-based defined growth medium supplemented with a deuterated carbon source. Current price for D2O and deuterated carbon source (typically glucose-d7 or glycerol-d8) is high, thus perdeuteration in a larger scale is not always a realizable option. Moreover, growth of microorganisms in deuterated growth medium is slow, and may result in poor biomass yield and require long adaptation procedures [7,8].
Escherichia coli is the most common expression host used for recombinant protein production. E. coli can utilize a wide variety of sugars, organic acids, and other organic compounds as sole carbon source [9]. The three-carbon compound pyruvate (CH3COCOO−) is a terminal product of glycolysis and a starting substrate for the tricarboxylic acid cycle. E. coli can use pyruvate as sole carbon and energy source [10]. Pyruvate is metabolized via the gluconeogenesis pathway to generate glucose and by the tricarboxylic acid cycle to produce amino acids. During anaerobic growth, it is a precursor for the generation of fermentation products like, acetate, ethanol, and L-lactate. A straightforward procedure for the production of sodium pyruvate-d3 has been reported previously [11]. In this procedure, the methyl protons of pyruvic acid are exchanged by incubation with D2O, after which a mild base (sodium bicarbonate) is used to convert pyruvic acid-d4 to the sodium salt, which facilitates subsequent isolation of the product and subsequent recrystallization. By using this procedure, sodium pyruvate-d3 could in principle be made in-house and used as a deuterated carbon source for growth of E. coli to produce perdeuterated recombinant proteins at a reduced cost. However, the very poor growth of E. coli in minimal media with pyruvate has made this approach less attractive. Here, we applied adaptive laboratory evolution (ALE) with the aim of improving growth of E. coli in a defined minimal medium with pyruvate as carbon source. ALE involves the continued growth of a bacterial population under an appropriate selective pressure [12]. Fitter mutants are selected from random mutations occurring mainly during DNA replication. By continuous growth for many generations, the frequency of a particular mutant in the population will increase in proportion to its fitness. ALE has been used to successfully improve microbial strains for various industrial applications, such as enhanced substrate utilization, improved growth rate and resistance to toxic compounds [13,14,15]. By using this approach, E. coli strains with greatly improved growth rate in deuterated minimal medium with pyruvate as carbon source were obtained and the genetic modifications of such strains is reported. We also report a facile procedure for in-house sodium pyruvate-d3 production for use in subsequent production of perdeuterated recombinant soluble and membrane-proteins.
2. Results and Discussion
2.1. Adaptation of E. coli for Growth in Minimal Pyruvate Medium
Growth of E. coli is typically very slow in deuterated minimal media [16]. A reduced growth rate not only increases the time required for protein production, but can be also be problematic when unstable or volatile media components are used. For example, pyruvate tends to slowly dimerize in solution to form parapyruvate, suggesting that long culture incubations would lead to loss of the available carbon source [17]. Thus, the first objective of this work was to obtain a strain with improved growth rate in a defined deuterated minimal medium with unlabeled pyruvate as carbon source (referred here to as D-M9). We used ALE, which is a well-established approach for directed evolution, to find variants with improved competitive fitness for growth in D-M9. The E. coli K-12 strain MG1655 was used as the parental strain for the ALE experiment. Three lineages (named P1, P2, and P3) were subjected to approximately 280 generations of growth in D-M9, comprising a total of 49 subculturings. At the end point of the adaptive evolution, one isolated clone from each lineage was tested for growth in D-M9 media. The P1 and P3 isolates showed the largest improvement in growth compared to the parental strain, while the P2 isolate had only a modest increase in growth rate (Table 1 and Figure S1). The P3 (P3.49.1) isolate had a growth rate of 0.235 ± 0.0004 h−1, more than fourfold that of the parental strain.
Table 1.
Growth rates of parental and evolved E. coli strains.
2.2. Observed Mutations in the Evolved Strains
To find causal mutations that underlie the improved strain performance, chromosomal DNA was extracted from two isolated clones of each lineage at the end point of the adaptive evolution and used for whole-genome resequencing. The observed mutations are reported in Table 2. The P3 lineage had accumulated the highest number of mutations. In addition to resequencing the genomes from pure isolates, we also subjected the population (mixture of clones) to sequencing. We assume that mutations of high frequency are fixed in the population and thus provide adaptation to growth media. Interestingly, there were no mutations directly related to pyruvate metabolism except for one mutation in the ldhA gene encoding D-lactate dehydrogenase of the P3.49.1 strain. The missense mutation changes a conserved glycine at position 78 for alanine. D-lactate dehydrogenase carries out the reduction of pyruvate to D-lactate under anaerobic conditions, but it is also present at aerobic conditions [18]. It has been reported that substitution of the conserved glycine (G78) with alanine in Sporolactobacillus inulinus D-LDH (Lactate Dehydrogenase) results in less than 5% of wild-type enzyme activity [19]. This suggests that in strain P3.49.1, D-LDH is inactivated and may result in an altered metabolic flux that is beneficial to growth on pyruvate.
Table 2.
Mutations identified in selected clones and populations after adaptation in deuterated minimal medium with sodium pyruvate-h3.
Strains P1.49.1, P1.49.2, and P2.49.1 had a duplication (a repetition of 81 nucleotides) in rhlB. This gene encodes RhlB, which is an ATP-dependent RNA helicase that mediates unwinding of double-stranded RNA. Since this mutation was not detected in all of the sequenced lineages, it will not be further discussed.
All analyzed strains had mutations in the rpoS gene encoding the major alternative sigma factor, σS (or sigma 38), which regulates the general stress response and stationary phase gene expression in E. coli [20]. The observed amino acid substitutions in σS are in close proximity to each other suggesting that they have a related effect on σS function. In the strains P1.49.1 and P3.49.1, the substitutions in σS are present in a conserved sequence motif (called motif 2 or region 2) and in P2.49.1 in motif 3. The function of motif 3 is poorly understood [21]. Motif 2 is also present in the other σ70 family of sigma factors RpoD and RpoH [22]. RpoD is the primary sigma factor responsible for gene regulation during the exponential growth phase [23]. RpoH is involved in the heat shock response [24]. This motif is of importance for binding to RNA polymerase (RNAP) via interaction with the β’-subunit (RpoC). Substitutions similar to those we observed here in σS (strains P1.49.1 and P3.49.1) have been made in RpoD (σ70). The variant RpoD show a 15-fold reduced affinity to RNAP compared to the wild-type protein [25]. This suggests that the observed substitutions in the evolved strains could result in reduced affinity of σS to RNAP. Thus, modulating σS activity appear to be beneficial in deuterated conditions. The levels of σS are low in exponential growth but increase several fold upon entry into stationary phase. Many genes in E. coli are positively controlled by σS and several genes are negatively controlled. Thus, altered σS activity may affect expression of hundreds of genes and provide a selective advantage during growth of deuterated media. A functional σS, albeit with reduced activity, seems important as it would be more likely to obtain null mutations completely lacking σS activity.
All analyzed strains had mutations in the ilvG pseudogene. The ilvG gene in E. coli K-12 strains contain a frameshift near the middle of the gene. The observed mutations restore the reading frame of ilvG. The restored ilvG gene encodes acetohydroxyacid synthase II (AHAS II), an enzyme that together with IlvM, catalyzes the biosynthesis of α-aceto-α-hydroxybutyrate for the isoleucine pathway and of α-acetolactate for the valine pathway. Lack of AHAS II is suggested to induce recurrent isoleucine starvation. Thus, rewiring isoleucine metabolism is likely to provide a selective advantage for growth in D-M9. Interestingly, no mutations in the rpoC (encoding RNA polymerase β′-subunit) or the rpoB (encoding RNA polymerase β-subunit) genes were detected. In previous reported ALE experiments, mutations in these genes are most frequently observed, which can be explained by that such mutations lead to large scale transcriptional reprogramming [14,26,27].
2.3. Deuteration of Pyruvate
Several studies have reported H/D exchange of the methyl group of pyruvic acid [11,28,29,30]. Robson and co-workers report the use of strongly basic conditions (2.5 mM NaOD, pH 13.0) in a minimal deuterium-based medium to exchange pyruvate methyl protons for deuterons. Thirty minutes after addition of NaOD, the solution was neutralized and used directly as a growth medium. The in situ nature of this exchange may seem practical, but other reports claim that the use of a strong base such as NaOH (or NaOD) causes pyruvate to dimerize to form parapyruvate [11]. It has been shown that in solutions with a pH of 9 or above, more than 50% of pyruvate dimerizes to form parapyruvate at room temperature [17]. For this reason, we chose not to use strong basic conditions for the H/D exchange. The method of Shchepin and co-workers [11] was chosen because it included subsequent sodium salt formation, which simplifies purification, and increased the amount of purified product obtained. In an effort to reduce the cost associated with the exchange reaction, we halved the ratio of D2O to pyruvic acid in this report (112.5 mL D2O/g of pyruvic acid compared to 225 mL D2O/g pyruvic acid). Under these conditions, the extent of deuteration was nevertheless almost as high as was previously reported [11]. The product was isolated as the sodium salt and recrystallized using the conditions of Shchepin and co-workers [11]. The 13C NMR spectrum of the sodium salt was recorded in D2O with the sodium salt of 3-(trimethylsilyl)-1-propanesulfonic acid, as an internal calibration standard. Under these conditions, pyruvate-d3 and a small amount of pyruvate-d3 hydrate could be observed, in addition to a small amount of another related species, tentatively assigned as either pyruvic acid-d3 or parapyruvate-d5 (Figure 1). It was difficult to identify this species from a comparison with the literature spectrum for the unlabeled sample, because deuteration is known to affect chemical shift, and because the spectra were obtained in different solvents (a mixture of H2O and D2O in one instance, and in 100% D2O in the other) [17]. The deuteration level of sodium pyruvate was calculated using the isotope distribution of the different isotopologues in the mass spectrum, with a calculated deuteration level reaching 90% (the ratio of C3D3O3– to C3D2HO3− to C3DH2O3− was 1:0.33:0.04) (Figure 2).
Figure 1.
13C NMR spectrum of sodium pyruvate-d3 in D2O with 1% (w/w) 3-(trimethylsilyl)-1-propanesulfonic acid, sodium salt (DSS) (reference)(x-axis: chemical shift (ppm); y-axis: intensity of signal). Peaks at 181.261 and 96.420 ppm indicate presence of pyruvate hydrate. Peaks at 181.9, 184.9, 206.0, and 50.0 ppm indicate possible presence of parapyruvate (dimer). Peaks between 29.1 and 28.2 ppm indicate Cd3 signal of sodium pyruvate-d3.
Figure 2.
High resolution mass spectrum of the deuterated sodium pyruvate: m/z calculated for C3D3O3– [M–H]–: 90.03; found: 90.03; calculated for C3D2HO3– [M–H]–: 89.02; found: 89.02; calculated for C3DH2O3– [M–H]–: 88.02; found: 88.01.
2.4. Production of Perdeuterated Proteins in the Pyruvate Adapted Strain
Currently, one of the most widely used bacterial protein-producing systems uses the bacteriophage T7 polymerase that recognizes the T7 promoter [31]. To enable protein production by T7 RNA polymerase promoter-based plasmids in the evolved strain P3.49.1, it was lysogenized with the λ bacteriophage DE3 that carries the T7 gene 1 encoding the T7 RNA polymerase under control of the isopropyl β-D-1-thiogalactopyranoside (IPTG) inducible lacUV5 promoter. The resulting strain was named DAP1(DE3) (Deuterium Adapted Pyruvate strain 1) and was used for recombinant protein production. Three test proteins were produced; a superfolding derivative of green fluorescent protein (sfGFP), Leishmania mexicana triosephosphate isomerase (TIM), which is a key enzyme in glycolysis that catalyzes the interconversion of glyceraldehyde 3-phosphate and dihydroxyacetone phosphate and the outer membrane protein F (OmpF) of E. coli. TIM is a very well-studied enzyme, but some details on its catalytic mechanism remains to be resolved [32]. Here, we used a site-directed mutant (E97Q) of a residue that is situated close to the active site to enable future neutron crystallographic studies. The E97Q TIM variant was produced in DAP1(DE3) grown in DD-M9 supplemented with recrystallized sodium pyruvate-d3 as the sole carbon source. After protein production and purification, we obtained approximately 18 mg deuterated TIM variant E97Q from cells grown in 1 l medium. The deuteration level was estimated by intact mass analysis by mass spectrometry to approximately 97% (Table 3). As a comparison, using DD-M9 but with glycerol-d8 as sole carbon source typically yields 25 to 37 mg of purified deuterated TIM [33]. Thus, using E. coli DAPI(DE3), the deuterated TIM variant E97Q could be produced in quantities and levels of D incorporation appropriate for large volume crystal growth and subsequent analysis by neutron crystallography.
Table 3.
Intact mass MS analysis of proteins isolated from cells grown in DD-M9 (recrystallized pyruvate-d3).
The method employed to prepare sodium pyruvate-d3 required 932 mL of heavy water per 5 g of purified pyruvate-d3. The heavy water was recovered from the reaction mixture by distillation and a small amount (50–100 mL) was utilized for re-crystallization of the product. The remaining heavy water can be recycled by distillation in a rotary evaporator and may be used for other purposes as illustrated in Figure 3. Recycling by this procedure typically yields 96−98% D2O [34]. We tested if the recycled heavy water can be used to prepare growth media for deuterated protein production. By using sfGFP as a reporter of protein production, we did not observe reduced sfGFP levels in media prepared from recycled heavy water (Figure 4). Interestingly, recycled D-M9 yielded higher amount of sfGFP, which could be due to that the recycled heavy water contained a higher fraction of light water compared to the regular D-M9 medium.
Figure 3.
Framework of production of sodium pyruvate-d3, and deuteration of recombinant proteins. Deuterated pyruvic acid is produced by boiling pyruvic acid in D2O. This solution can be immediately used as base for growth medium or sodium pyruvate-d3 can be recrystallized. The heavy water (D2O) used in pyruvate deuteration could be used for subsequent labelling procedures (A) or used as solvent for growth media (B).
Figure 4.
Protein production using E. coli DAP1(DE3). Absolute fluorescence intensities (arbitrary units) in cells harvested at different time points after inducing expression of the gene encoding sfGFP. E. coli DAP1(DE3) was grown at 37 °C in D-M9 and D-M9 prepared with recycled D2O. Protein expression was induced at an OD600 of ~1. Each histogram represents three biological replicates. Error bars represents the standard error of the mean.
An alternative procedure to conserve heavy water would be to produce perdeuterated pyruvic acid in situ. To test this procedure, we omitted the isolation and recrystallization steps from the methods to prepare pyruvic acid-d4 and used this solution as base for preparation of the growth medium. When TIM was produced in DAP1(DE3) from a 0.5 L culture, 14 mg of 98% deuterated TIM (Table 4) was obtained.
Table 4.
Intact mass MS analysis of proteins isolated from cells grown in DD-M9 (in situ perdeuterated pyruvic acid).
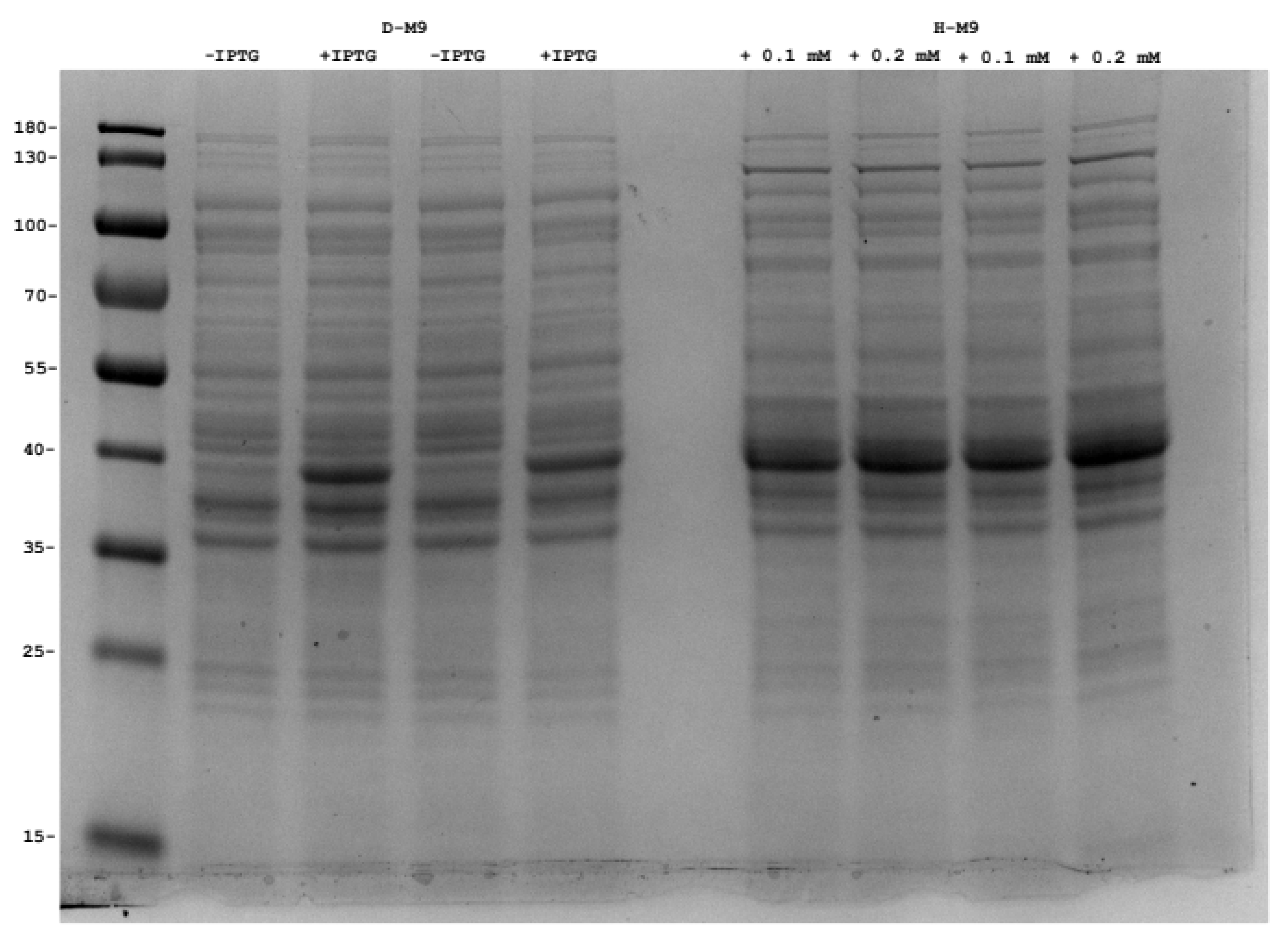
Production of membrane proteins usually have more inherent problems compared to expression of cytoplasmic proteins [35]. In order to show that the evolved strain DAP1(DE3) can be used to perdeuterate not only soluble proteins, we produced the outer membrane protein OmpF of E. coli. To facilitate future studies with OmpF variants, the native ompF gene was deleted and replaced with a kanamycin resistance cassette. The ompF gene was expressed from a plasmid and produced OmpF with an N-terminal extension consisting of His6, spacer, and a protease-cleavage sequence. Small-scale test expression was done in deuterated and non-deuterated M9 medium. SDS-PAGE analysis indicate that similar levels of OmpF is obtained in the D-M9 medium with pyruvate-h3 compared to M9 medium with pyruvate-h3. (Figure 5). Taken together, these experiments show that E. coli DA1(DE3) is suitable for production of recombinant perdeuterated proteins using in-house produced sodium pyruvate-d3.
Figure 5.
SDS-PAGE analysis of OmpF production. Whole cell fraction of E. coli DAP1(DE3) (ΔompF) expressing ompF cultured cultured at 37 °C in D-M9 and H-M9. Two different concentrations (0.1 or 0.2 mM) of the inducer IPTG was used in H-M9 media. For the D-M9 media 0.1 mM IPTG was used. The culture grown in H-M9 was induced at an OD600 of 0.5 and the D-M9 culture at 1.5. Cells were harvested 8 (H-M9) and 15 (D-M9) hours after induction. Each condition was done with two biological replicates and the samples were loaded at cultured volume equivalents. The right lane was loaded with a molecular size marker ladder (kDa). Recombinant OmpF has a predicted mass of 39.5 kDa.
3. Materials and Methods
3.1. Strains and Growth Conditions
Escherichia coli K-12 MG1655 [36] was used as the parental strain. Bacteria were revived from glycerol stocks by streaking onto Lysogeny broth (LB) with 1.5% agar (LA) and incubation at 37 °C. Media were supplemented when needed with 50 µg/mL kanamycin. LB, NaCl 10 g/L, Difco yeast extract 5 g/L, Difco tryptone 10 g/L, made up with H2O, pH 7.6, was used as a rich medium. The M9 minimal medium (referred to as H-M9) consisted of Na2HPO4 • 2H2O, 42.7 mM, KH2PO4 22 mM, NaCl 8.6 mM, NH4Cl 107 mM, MgSO4 • 7 H2O 1 mM, CaCl2 0.1 mM, thiamine HCl, 2 mg/L, FeCl3 • 6H2O 0.018 mM, sodium pyruvate (Sigma-Aldrich, Stockholm, Sweden) 5–10 g/L as sole carbon source. To induce expression of recombinant protein 0.5 mM IPTG was added to the growth media. When deuterated media were prepared, all solutions were made freshly in heavy water (D2O, 99.8% D-atom, Sigma-Aldrich, Stockholm, Sweden y) and then filtered with 0.22 µm sterile filter (VWR—vacuum filtration unit, VWR Stockholm, Sweden). It is important to note that deuterated media should not be autoclaved. The deuterated media that contained non-labelled sodium pyruvate is referred to as D-M9. Media with labelled sodium pyruvate-d3 is referred to as DD-M9. All salts used in D-M9 and DD-M9 were the same as in M9, but instead of Na2HPO4 • 2H2O, anhydrous Na2HPO4 was used. An appropriate amount of sodium pyruvate was dissolved in H2O or D2O just before the start of growth experiments. For perdeuterated protein production, the stock solution of IPTG was prepared in heavy water. Plates and liquid cultures were incubated at 37 °C.
3.2. Sodium Pyruvate-d3 Production
Pyruvate-d3 was made using a modification of a previously published procedure, [11]. Pyruvic acid (6.00 g, 68.1 mmol) and D2O (675 mL) were heated to refluxing temperature of 100 °C for 5.5 h. The mixture was allowed to cool to room temperature and sodium bicarbonate (5.43 g, 64.6 mmol) was added slowly with constant stirring. The solvent was removed under reduced pressure and the resulting solid was recrystallized using a mixture of the recovered D2O from the reaction and absolute ethanol (in a ratio of 1:3.75) to afford sodium pyruvate-d3 as a white solid (3.62 g, 50% yield, 90% D by mass spectrometry (MS)). 13C NMR (D2O with 1% (w/w) 3-(trimethylsilyl)-1-propanesulfonic acid, sodium salt, 100 MHz) δ 28.7 (m), 172.7, 207.9. HRMS (ESI–) m/z calculated for C3D3O3 [M–Na]– as 90.03; found: 90.03. Deuteration: 90% by MS: isotope distribution: d1 1.0%, d2 16.2%, d3 72.7%.
3.3. In Situ Deuteration of Pyruvic Acid
A total of 3.5 g of pyruvic acid was mixed with 500 mL D2O and heated to refluxing temperature of 100 °C for 5.5 h, and mixture was prepared as outlined above. Mixture was allowed to cool to room temperature. All M9 medium components were dissolved in this solution and pD was adjusted to 7.64 by adding NaOD (99.5% D) (Sigma Aldrich, Stockholm, Sweden). This solution was immediately used to set up bacterial growth cultures.
3.4. Growth Experiments
Overnight bacterial cultures were set-up by inoculating a few colonies from an LA plate of the appropriate strain into 25 mL H-M9, and incubated over-night at 37 °C, 200 rpm. The over-night cultures were diluted approximately 20 times to an optical density at 600 nm (OD600) of 0.1. This was done by harvesting an appropriate amount of culture by centrifugation (8 min at 8000× g at 20 °C), after which the supernatant was carefully removed and the pellet was suspended in 25 mL D-M9 medium. The cultures were then incubated at 37 °C. Growth rate experiments were performed by measuring the OD600 of duplicate cultures over several time points at cell densities between 0.05 and 2. The specific growth rate μ was calculated as the slope of the linear best-fit line through a plot of ln (OD600) versus time (hours). The generation time (or doubling), td, is equal to ln2/μ.
3.5. ALE and Strain Isolation
The parental strain E. coli MG1655 (K-12) was streaked on an LA plate and incubated overnight at 37 °C. The following day, a few colonies were used to inoculate 25 mL H-M9 in a 250 mL baffled Erlenmeyer flask that was incubated at 37 °C, 200 rpm until the culture reached an OD600 of 3. The culture was centrifuged for 8 min at 8000× g, the supernatant was removed and the cell pellet suspended in 15 mL D-M9 (10 g/L sodium pyruvate-h3), and divided into equal parts (5 mL) in three TPP TubeSpin bioreactor 50 mL tubes, at 37 °C inclined at a 45° angle with shaking at 200 rpm. The cultures are referred to as three separate population lineages (P1, P2, and P3). The batch cultures were grown until they reached approximately OD600 = 3, then the exact OD600 was recorded and used to estimate the number of generations passed from day one. Next, each lineage was used to inoculate 5 mL fresh D-M9. Cultures were manually transferred to fresh medium. Cultures before the third subculturing started at an OD600 of 0.1 (1:30 dilution), after this time point, they started at an OD600 of 0.05 (1:60 dilution). Subculturing was carried out every 48 h for three subculturings, and after that for every day. For every three subcultures, 660 µL of culture was mixed with 340 µL of 86% glycerol and stored at −82 °C. Samples of each culture was regularly inspected for contamination by streaking for single colonies on LA plates. After ALE, single colonies (clones) were isolated by repeatedly (three times) streaking and incubating on H-M9 agar (supplemented with 10 mg/mL pyruvate). Finally, single colonies were used to streak a bacterial lawn on LA plates, which was later used to prepare a glycerol stock for long-term freezer storage.
3.6. Whole-Genome DNA Sequencing
Illumina sequencing technology was used for whole genome shot-gun sequencing. Genomic RNA-free DNA was purified using the DNeasy Blood and Tissue Kit (Qiagen, Hilden, Germany) according to the manufacturer’s instructions. Illumina sequencing was done at GATC Eurofins Genomics (Konstanz, Germany). Genome sequencer Illumina HiSeq was used with 2 × 150 bp paired-end read output. Approximately 10 million reads per sample were mapped using CLC genomics workbench (Version 11, Qiagen, Hilden, Germany) to the reference genome sequence of E. coli MG1655 (Genbank entry code: U00096.3), obtained from the NCBI genome repository. Observed differences were compared to the parental strain from our laboratory stocked MG1655 strain, which was previously sequenced [16].
3.7. Lysogenization
In order to test recombinant protein production capabilities, the gene (gene 1) for T7 RNA polymerase was introduced into strains of interest by lysogenizing with the lambda phage DE3 using the λDE3 Lysogenization Kit (Novagen, Darmstadt, Germany) as previously described [16].
3.8. Deletion of ompF
Deletion of and ompF was done using the λ-Red recombinase-mediated gene deletion method [37]. A PCR product harboring 50 bp end sequences homologous to ompF and a chloramphenicol resistance marker was amplified with plasmid pKD3 as template and primers ompF_up (5′-ATTGACGGCAGTGGCAGGTGTCATAAAAAAAACCATGAGGGTAATAAATAGTGTAGGCTGGAGCTGCTTC-3′) and ompF_down (5′-AAACAGGACCAAAGTCCTGTTTTTTCGGCATTTAACAAAGAGGTGTGCTAATGGGAATTAGCCATGGTCC-3′). The PCR product was transformed into the appropriate E. coli strain harboring the λ-Red recombinase expression plasmid pKD46, and subsequently transformants were selected on media plates containing chloramphenicol. Deletion of ompF was verified by amplifying the appropriate chromosomal region using primer pairs and ompF1 (5′-CACTTTCACGGTAGCGAAAC-3′)/ompF2 (5′-CATGACGAGGTTCCATTATGG-3′), and confirming by Sanger DNA sequencing (Eurofins).
3.9. Perdeuteration of TIM
For protein perdeuteration, E. coli DAP1(DE3) was transformed with plasmid pET24a(+)_Lm_TIM (E97Q). Cultures were inoculated and set-up as outlined under “growth experiments”. D-M9 culture was used as inoculum for DD-M9 culture, which was incubated at 37 °C. At an OD600 of 1, IPTG to a final concentration of 0.5 mM was added. Cultures were further incubated for 15 h. Biomass was harvested by centrifugation, the supernatant was carefully removed, and then frozen at −80 °C, until further use. Protein purification was carried as described previously [33]. Intact mass of purified protein was performed on MALDI TOF/TOF mass spectrometer (Bruker Autoflex Speed TOF/TOF MALDI-MS) and compared to hydrogenated protein, to determine the degree of deuteration.
3.10. GFP and OmpF Expression
E. coli DAP1(DE3) was transformed with plasmid pETM14_sfGFP [16]. Cultures were set up as outlined under “growth experiments” in D-M9. Cultures were set-up in D-M9 and D-M9 (R) (recycled heavy water from pyruvate labelling) in triplicates. At an OD600 of 1 IPTG to a final concentration of 0.5 mM was added. At different time points, OD600 was recorded and 1 mL of culture was collected, centrifuged at 8000× g for 8 min at 4 °C. The supernatant was carefully removed, and the cell pellet was suspended in 0.5 mL cold 50 mM Tris, 100 mM NaCl, 10 mM EDTA buffer (pH 8.0). Samples were then diluted 100-fold in 100 mM NaCl, 100 mM sodium-phosphate buffer (pH 7.5) sfGFP fluorescence (excitation 485 nm, emission 510 nm) was measured. Fluorescence was measured using an RF-5301 Spectrofluorophotometer (Shimadzu, Kyoto, Japan) and fluorescence intensity was recorded after subtraction of background fluorescence for the buffer used. E. coli DAP1(DE3) was transformed with plasmid pET-24a(+)_ompF that contains the E. coli ompF gene modified with a coding sequence of a hexa-histidine tag followed by a TEV endopeptidase cleavage recognition sequence placed between the OmpF signal sequence and native OmpF.
4. Conclusions
In this study, we show that high deuterium content (~90%) sodium pyruvate-d3 can be prepared in a conventional chemistry laboratory. In combination, an ALE generated faster growing E. coli strain and sodium pyruvate-d3, TIM variant E97Q was produced and perdeuterated at above 90% with a yield, which according to our experience, is enough for production of crystals for one complete neutron diffraction dataset [33]. Moreover, recycled heavy water obtained from the production of sodium pyruvate-d3 is not toxic to E. coli and does not appear to reduce production of recombinant protein. Using in-house prepared pyruvate-d3 does not reduce costs compared to using media with glycerol-d8 due to recombinant protein yields being lower with pyruvate-d3. However, if the recycled heavy water from the production of sodium pyruvate-d3 is used to prepare growth media, protein perdeuteration can be done at a reduced cost comparable to using glycerol-d8. Moreover, we show that in situ preparation of pyruvic acid-d4, reduces solvent waste, with no apparent reduction in yield or deuteration level of recombinant protein. By using in situ preparation of pyruvic acid-d4, the cost of the growth medium for deuteration is largely equal to the cost of D2O.
Supplementary Materials
The following are available online at https://www.mdpi.com/article/10.3390/ijms22189678/s1.
Author Contributions
Conceptualization, V.K. and C.v.W.; Methodology, A.L., V.K. and C.v.W.; Validation, A.L., V.K. and C.v.W.; Formal analysis, A.L., V.K. and C.v.W.; Investigation, A.L. and V.K.; Resources, C.v.W.; Writing—original draft preparation, A.L., V.K. and C.v.W.; Writing—review and editing, C.v.W.; Visualization, A.L., V.K. and C.v.W.; Supervision, C.v.W.; Project administration, C.v.W.; Funding acquisition, C.v.W. All authors have read and agreed to the published version of the manuscript.
Funding
This research was funded by the financial support to C.v.W. from Carl Tryggers Stiftelse, Erik Philip-Sörensens stiftelse, Jörgen Lindström’s Foundation, and the Swedish Research Council Grant 2019-05578_3.
Institutional Review Board Statement
Not applicable.
Informed Consent Statement
Not applicable.
Data Availability Statement
Data is contained within the article.
Acknowledgments
Part of this work was carried out using the DEMAX laboratory at the European Spallation Source ERIC as a result of proposal 979E6CS6. The persistent identifier for the isolated sodium pyruvate-d3 sample is 10.17199/k7b8-8f26. We thank Katja Bernfur for Maldi-TOF MS analysis.
Conflicts of Interest
The authors declare no conflict of interest.
Abbreviations
| AHAS II | Acetohydroxyacid synthase II |
| ALE | Adaptive laboratory evolution |
| EDTA | Ethylenediaminetetraacetic acid |
| IPTG | Isopropyl β-D-1-thiogalactopyranoside |
| NMR | Nuclear magnetic resonance |
| OmpF | Outer membrane protein F |
| SANS | Small-angle neutron scattering |
| TIM | Triose-phosphate isomerase from Leishmania mexicana |
| H-M9 | M9 minimal medium with pyruvate as carbon source. |
| D-M9 | M9 minimal medium made up with D2O and pyruvate as carbon source. |
| DD-M9 | M9 minimal medium made up with D2O and deuterated pyruvate as carbon source. |
References
- Berglund, M.; Wieser, M.E. Isotopic compositions of the elements 2009 (IUPAC Technical Report). Pure Appl. Chem. 2011, 83, 397–410. [Google Scholar] [CrossRef]
- Zaccai, N.R.; Sandlin, C.W.; Hoopes, J.T.; Curtis, J.E.; Fleming, P.J.; Fleming, K.G.; Krueger, S. Deuterium labeling together with contrast variation small-angle neutron scattering suggests how Skp captures and releases unfolded outer membrane proteins. Methods Enzymol. 2016, 566, 159–210. [Google Scholar]
- Yu, H. Extending the size limit of protein nuclear magnetic resonance. Proc. Natl. Acad. Sci. USA 1999, 96, 332–334. [Google Scholar] [CrossRef] [PubMed]
- Oksanen, E.; Chen, J.C.; Fisher, S.Z. Neutron crystallography for the study of hydrogen bonds in macromolecules. Molecules 2017, 22, 596. [Google Scholar] [CrossRef]
- Helliwell, J.R. Fundamentals of neutron crystallography in structural biology. Methods Enzymol. 2020, 634, 1–19. [Google Scholar] [PubMed]
- Blakeley, M. Neutron macromolecular crystallography. Crystallogr. Rev. 2009, 15, 157–218. [Google Scholar] [CrossRef]
- Crespi, H.L.; Conard, S.M.; Uphaus, R.A.; Katz, J.J.; Conrad, S.M. Cultivation of microorganisms in heavy water. Ann. N. Y. Acad. Sci. 1960, 84, 648–666. [Google Scholar] [CrossRef] [PubMed]
- Haertlein, M.; Moulin, M.; Devos, J.M.; Laux, V.; Dunne, O.; Forsyth, V.T. Biomolecular deuteration for neutron structural biology and dynamics. Methods Enzymol. 2016, 566, 113–157. [Google Scholar]
- Aidelberg, G.; Towbin, B.D.; Rothschild, D.; Dekel, E.; Bren, A.; Alon, U. Hierarchy of non-glucose sugars in Escherichia coli. BMC Syst. Biol. 2014, 8, 133. [Google Scholar] [CrossRef] [PubMed]
- Cooper, R.A.; Kornberg, H.L. The direct synthesis of phospho enol pyruvate from pyruvate by Escherichia coli. Proc. R. Soc. Lond. Ser. B Boil. Sci. 1967, 168, 263–280. [Google Scholar]
- Shchepin, R.V.; Coffey, A.M.; Waddell, K.W.; Chekmenev, E.Y. Parahydrogen Induced polarization of 1-13C-phospholactate-d 2 for Biomedical imaging with >30,000,000-fold NMR signal enhancement in water. Anal. Chem. 2014, 86, 5601–5605. [Google Scholar] [CrossRef] [PubMed]
- Sandberg, T.E.; Salazar, M.J.; Weng, L.L.; Palsson, B.O.; Feist, A.M. The emergence of adaptive laboratory evolution as an efficient tool for biological discovery and industrial biotechnology. Metab. Eng. 2019, 56, 1–16. [Google Scholar] [CrossRef]
- Atsumi, S.; Wu, T.; Machado, I.M.P.; Huang, W.; Chen, P.-Y.; Pellegrini, M.; Liao, J. Evolution, genomic analysis, and reconstruction of isobutanol tolerance in Escherichia coli. Mol. Syst. Biol. 2010, 6, 449. [Google Scholar] [CrossRef]
- Conrad, T.M.; Frazier, M.; Joyce, A.R.; Cho, B.-K.; Knight, E.M.; Lewis, N.; Landick, R.; Palsson, B.O. RNA polymerase mutants found through adaptive evolution reprogram Escherichia coli for optimal growth in minimal media. Proc. Natl. Acad. Sci. USA 2010, 107, 20500–20505. [Google Scholar] [CrossRef]
- Minty, J.J.; A Lesnefsky, A.; Lin, F.; Chen, Y.; A Zaroff, T.; Veloso, A.B.; Xie, B.; A McConnell, C.; Ward, R.J.; Schwartz, D.R.; et al. Evolution combined with genomic study elucidates genetic bases of isobutanol tolerance in Escherichia coli. Microb. Cell Factories 2011, 10, 18. [Google Scholar] [CrossRef] [PubMed]
- Kelpsas, V.; von Wachenfeldt, C. Strain improvement of Escherichia coli K-12 for recombinant production of deuterated proteins. Sci. Rep. 2019, 9, 17694. [Google Scholar] [CrossRef] [PubMed]
- Margolis, S.A.; Coxon, B. Identification and quantitation of the impurities in sodium pyruvate. Anal. Chem. 1986, 58, 2504–2510. [Google Scholar] [CrossRef]
- Jiang, G.R.; Nikolova, S.; Clark, D.P. Regulation of the ldhA gene, encoding the fermentative lactate dehydrogenase of Escherichia coli. Microbiology 2001, 147, 2437–2446. [Google Scholar] [CrossRef] [PubMed]
- Zhu, L.; Xu, X.; Wang, L.; Dong, H.; Yu, B. The D-lactate dehydrogenase from Sporolactobacillus inulinus also possessing reversible deamination activity. PLoS ONE 2015, 10, e0139066. [Google Scholar] [CrossRef]
- Landini, P.; Egli, T.; Wolf, J.; Lacour, S. sigma S, a major player in the response to environmental stresses in Escherichia coli: Role, regulation and mechanisms of promoter recognition. Environ. Microbiol. Rep. 2014, 6, 1–13. [Google Scholar] [CrossRef]
- Campbell, E.A.; Muzzin, O.; Chlenov, M.; Sun, J.L.; Olson, C.; Weinman, O.; Trester-Zedlitz, M.L.; Darst, S.A. Structure of the bacterial RNA polymerase promoter specificity σ subunit. Mol. Cell 2002, 9, 527–539. [Google Scholar] [CrossRef]
- Wösten, M. Eubacterial sigma-factors. FEMS Microbiol. Rev. 1998, 22, 127–150. [Google Scholar] [CrossRef]
- Maciąg, A.; Peano, C.; Pietrelli, A.; Egli, T.; De Bellis, G.; Landini, P. In vitro transcription profiling of the σ S subunit of bacterial RNA polymerase: Re-definition of the σS regulon and identification of σS-specific promoter sequence elements. Nucleic Acids Res. 2011, 39, 5338–5355. [Google Scholar] [CrossRef] [PubMed]
- Straus, D.B.; Walter, W.A.; Gross, C.A. The heat shock response of E. coli is regulated by changes in the concentration of σ32. Nature 1987, 329, 348. [Google Scholar] [CrossRef] [PubMed]
- Sharp, M.M.; Chan, C.L.; Lu, C.Z.; Marr, M.T.; Nechaev, S.; Merritt, E.W.; Severinov, K.; Roberts, J.W.; Gross, C.A. The interface of sigma with core RNA polymerase is extensive, conserved, and functionally specialized. Genes Dev. 1999, 13, 3015–3026. [Google Scholar] [CrossRef] [PubMed]
- Tenaillon, O.; Rodríguez-Verdugo, A.; Gaut, R.L.; McDonald, P.; Bennett, A.F.; Long, A.D.; Gaut, B.S. The molecular diversity of adaptive convergence. Science 2012, 335, 457–461. [Google Scholar] [CrossRef] [PubMed]
- Deatherage, D.E.; Kepner, J.L.; Bennett, A.F.; Lenski, R.E.; Barrick, J.E. Specificity of genome evolution in experimental populations of Escherichia coli evolved at different temperatures. Proc. Natl. Acad. Sci. USA 2017, 114, E1904–E1912. [Google Scholar] [CrossRef] [PubMed]
- White, R.H. Stable isotope studies on the biosynthesis of the thiazole moiety of thiamin in Escherichia coli. Biochemistry 1978, 17, 3833–3840. [Google Scholar] [CrossRef]
- Guzman, M.I.; Colussi, A.J.; Hoffmann, M.R. Photogeneration of distant radical pairs in aqueous pyruvic acid glasses. J. Phys. Chem. A 2006, 110, 931–935. [Google Scholar] [CrossRef]
- Robson, S.A.; Takeuchi, K.; Boeszoermenyi, A.; Coote, P.W.; Dubey, A.; Hyberts, S.; Wagner, G.; Arthanari, H. Mixed pyruvate labeling enables backbone resonance assignment of large proteins using a single experiment. Nat. Commun. 2018, 9, 356. [Google Scholar] [CrossRef] [PubMed]
- Studier, F.W.; Moffatt, B.A. Use of bacteriophage T7 RNA polymerase to direct selective high-level expression of cloned genes. J. Mol. Biol. 1986, 189, 113–130. [Google Scholar] [CrossRef]
- Kelpsas, V.; Caldararu, O.; Blakeley, M.P.; Coquelle, N.; Wierenga, R.K.; Ryde, U.; von Wachenfeldt, C.; Oksanen, E. Neutron structures of Leishmania mexicana triosephosphate isomerase in complex with reaction-intermediate mimics shed light on the proton-shuttling steps. IUCrJ 2021, 8 Pt 4, 633–643. [Google Scholar] [CrossRef]
- Kelpšas, V.; Lafumat, B.; Blakeley, M.P.; Coquelle, N.; Oksanen, E.; von Wachenfeldt, C. Perdeuteration, large crystal growth and neutron data collection of Leishmania mexicana triose-phosphate isomerase E65Q variant. Acta Crystallogr. Sect. F Struct. Biol. Cryst. Commun. 2019, 75, 260–269. [Google Scholar] [CrossRef] [PubMed]
- Koruza, K.; Lafumat, B.; Végvári, Á.; Knecht, W.; Fisher, S. Deuteration of human carbonic anhydrase for neutron crystallography: Cell culture media, protein thermostability, and crystallization behavior. Arch. Biochem. Biophys. 2018, 645, 26–33. [Google Scholar] [CrossRef]
- Carpenter, E.P.; Beis, K.; Cameron, A.D.; Iwata, S. Overcoming the challenges of membrane protein crystallography. Curr. Opin. Struct. Biol. 2008, 18, 581–586. [Google Scholar] [CrossRef] [PubMed]
- Blattner, F.R.; Plunkett, G., III; Bloch, C.A.; Perna, N.T.; Burland, V.; Riley, M.; Collado-Vides, J.; Glasner, J.D.; Rode, C.K.; Mayhew, G.F.; et al. The complete genome sequence of Escherichia coli K-12. Science 1997, 277, 1453–1462. [Google Scholar] [CrossRef]
- Datsenko, K.A.; Wanner, B.L. One-step inactivation of chromosomal genes in Escherichia coli K-12 using PCR products. Proc. Natl. Acad. Sci. USA 2000, 97, 6640–6645. [Google Scholar] [CrossRef] [PubMed]
Publisher’s Note: MDPI stays neutral with regard to jurisdictional claims in published maps and institutional affiliations. |
© 2021 by the authors. Licensee MDPI, Basel, Switzerland. This article is an open access article distributed under the terms and conditions of the Creative Commons Attribution (CC BY) license (https://creativecommons.org/licenses/by/4.0/).




