An Ovine Model for Percutaneous Pulmonary Artery Laser Denervation: Perivascular Innervation and Ablation Lesion Characteristics
Abstract
1. Introduction
2. Results
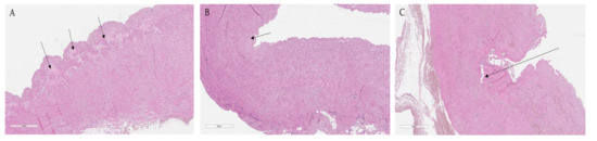
2.1. Pulmonary Artery Nerve Distribution in Experimental Large Animals and Humans
2.2. Ovine Pulmonary Artery Laser Denervation and Lesion Histological Evaluation
2.2.1. Necropsy Findings
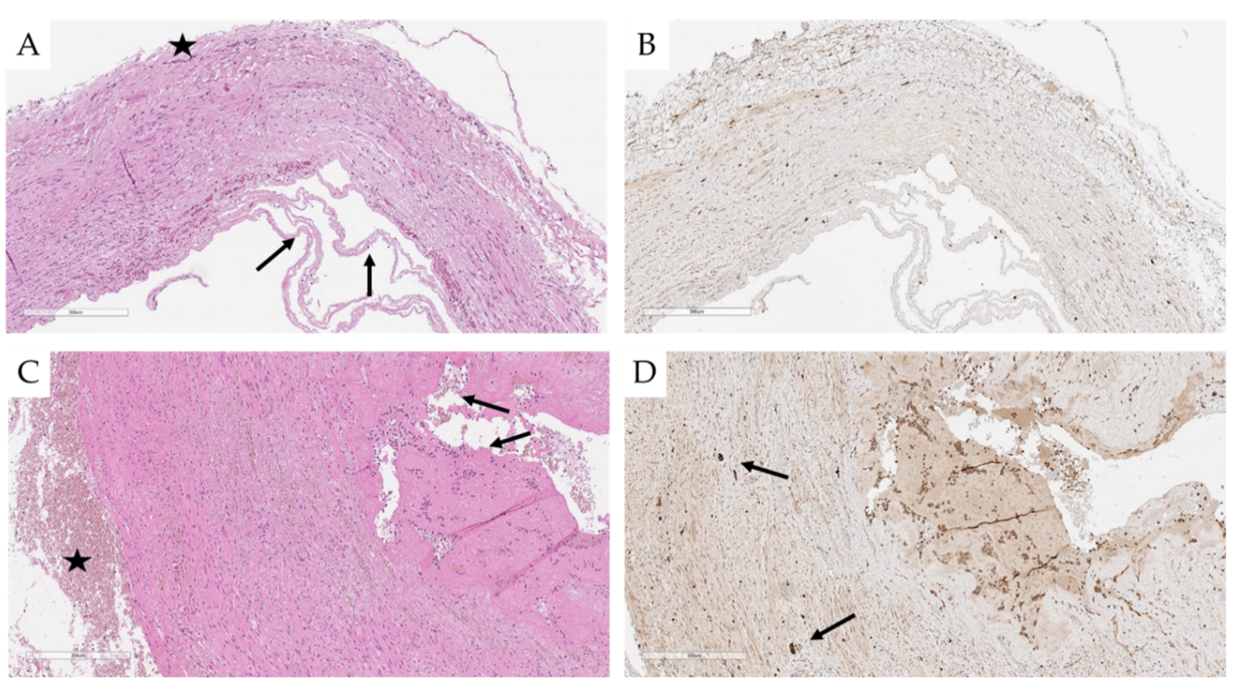
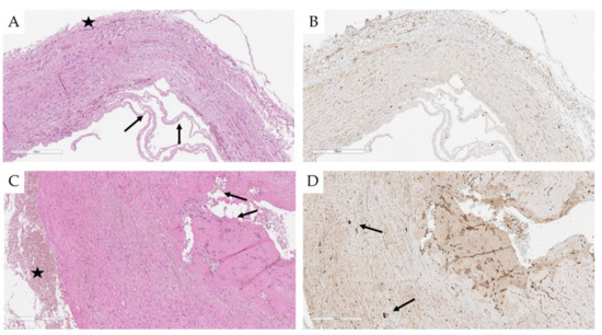
2.2.2. Histological and Immunohistochemical Changes Post PADN Using Laser Energy
2.2.3. Laser Lesion Safety
3. Discussion
4. Limitations
5. Materials and Methods
5.1. Ovine, Porcine, and Human Pulmonary Artery Nerve Distribution Evaluation
5.2. Ovine Pulmonary Artery Laser Denervation and Histological Evaluation
5.3. Statistical Analysis
6. Conclusions
Author Contributions
Funding
Institutional Review Board Statement
Informed Consent Statement
Data Availability Statement
Acknowledgments
Conflicts of Interest
References
- Hansmann, G. Pulmonary Hypertension in Infants, Children, and Young Adults. J. Am. Coll. Cardiol. 2017, 69, 2551–2569. [Google Scholar] [CrossRef]
- Galiè, N.; Channick, R.N.; Frantz, R.P.; Grünig, E.; Jing, Z.C.; Moiseeva, O.; Preston, I.R.; Pulido, T.; Safdar, Z.; Tamura, Y.; et al. Risk Stratification and Medical Therapy of Pulmonary Arterial Hypertension. Eur. Respir. J. 2019, 53, 1801889. [Google Scholar] [CrossRef] [PubMed]
- Chen, S.-L.; Zhang, H.; Xie, D.-J.; Zhang, J.; Zhou, L.; Rothman, A.M.K.; Stone, G.W. Hemodynamic, Functional, and Clinical Responses to Pulmonary Artery Denervation in Patients with Pulmonary Arterial Hypertension of Different Causes: Phase II Results from the Pulmonary Artery Denervation-1 Study. Circ. Cardiovasc. Interv. 2015, 8, e002837. [Google Scholar] [CrossRef]
- Zhang, H.; Zhang, J.; Chen, M.; Xie, D.-J.; Kan, J.; Yu, W.; Li, X.-B.; Xu, T.; Gu, Y.; Dong, J.; et al. Pulmonary Artery Denervation Significantly Increases 6-Min Walk Distance for Patients with Combined Pre- and Post-Capillary Pulmonary Hypertension Associated with Left Heart Failure: The PADN-5 Study. JACC Cardiovasc. Interv. 2019, 12, 274–284. [Google Scholar] [CrossRef] [PubMed]
- Romanov, A.; Cherniavskiy, A.; Novikova, N.; Edemskiy, A.; Ponomarev, D.; Shabanov, V.; Losik, D.; Elesin, D.; Stenin, I.; Mikheenko, I.; et al. Pulmonary Artery Denervation for Patients with Residual Pulmonary Hypertension after Pulmonary Endarterectomy. J. Am. Coll. Cardiol. 2020, 76, 916–926. [Google Scholar] [CrossRef] [PubMed]
- Ogo, T. Transthoracic Pulmonary Artery Denervation: New Insight into Autonomic Nervous System in Pulmonary Arterial Hypertension. Arterioscler. Thromb. Vasc. Biol. 2019, 39, 979–981. [Google Scholar] [CrossRef]
- Goncharova, N.S.; Moiseeva, O.M.; Condori Leandro, H.I.; Zlobina, I.S.; Berezina, A.V.; Malikov, K.N.; Tashkhanov, D.M.; Lebedev, D.S.; Mikhaylov, E.N. Electrical Stimulation-Guided Approach to Pulmonary Artery Catheter Ablation in Patients with Idiopathic Pulmonary Arterial Hypertension: A Pilot Feasibility Study with a 12-Month Follow-Up. BioMed Res. Int. 2020, 2020, 8919515. [Google Scholar] [CrossRef] [PubMed]
- Condori Leandro, H.I.; Vakhrushev, A.D.; Goncharova, N.S.; Korobchenko, L.E.; Koshevaya, E.G.; Mitrofanova, L.B.; Andreeva, E.M.; Moiseeva, O.M.; Lebedev, D.S.; Mikhaylov, E.N. Stimulation Mapping of the Pulmonary Artery for Denervation Procedures: An Experimental Study. J. Cardiovasc. Transl. Res. 2021, 14, 546–555. [Google Scholar] [CrossRef]
- Rothman, A.M.K.; Vachiery, J.-L.; Howard, L.S.; Mikhail, G.W.; Lang, I.M.; Jonas, M.; Kiely, D.G.; Shav, D.; Shabtay, O.; Avriel, A.; et al. Intravascular Ultrasound Pulmonary Artery Denervation to Treat Pulmonary Arterial Hypertension (TROPHY1): Multicenter, Early Feasibility Study. JACC Cardiovasc. Interv. 2020, 13, 989–999. [Google Scholar] [CrossRef] [PubMed]
- Kiuchi, M.G.; Andrea, B.R.; Da Silva, G.R.; Coelho, S.B.P.; Paz, L.M.R.; Chen, S.; Souto, G.L.L. Pulmonary Artery Ablation to Treat Pulmonary Arterial Hypertension: A Case Report. J. Med. Case Rep. 2015, 9, 284. [Google Scholar] [CrossRef]
- Chen, S.-L.; Zhang, Y.-J.; Zhou, L.; Xie, D.-J.; Zhang, F.-F.; Jia, H.-B.; Wong, S.S.; Kwan, T.W. Percutaneous Pulmonary Artery Denervation Completely Abolishes Experimental Pulmonary Arterial Hypertension in Vivo. EuroIntervention 2013, 9, 269–276. [Google Scholar] [CrossRef]
- Rothman, A.M.K.; Arnold, N.D.; Chang, W.; Watson, O.; Swift, A.J.; Condliffe, R.; Elliot, C.A.; Kiely, D.G.; Suvarna, S.K.; Gunn, J.; et al. Pulmonary Artery Denervation Reduces Pulmonary Artery Pressure and Induces Histological Changes in an Acute Porcine Model of Pulmonary Hypertension. Circ. Cardiovasc. Interv. 2015, 8, e002569. [Google Scholar] [CrossRef]
- Kummer, W. Pulmonary Vascular Innervation and Its Role in Responses to Hypoxia: Size Matters! Proc. Am. Thorac. Soc. 2011, 8, 471–476. [Google Scholar] [CrossRef] [PubMed]
- Allen, K.M.; Wharton, J.; Polak, J.M.; Haworth, S.G. A Study of Nerves Containing Peptides in the Pulmonary Vasculature of Healthy Infants and Children and of Those with Pulmonary Hypertension. Br. Heart J. 1989, 62, 353–360. [Google Scholar] [CrossRef]
- Cesarovic, N.; Lipiski, M.; Falk, V.; Emmert, M.Y. Animals in Cardiovascular Research. Eur. Heart J. 2020, 41, 200–203. [Google Scholar] [CrossRef] [PubMed]
- Hearse, D.J.; Sutherland, F.J. Experimental Models for the Study of Cardiovascular Function and Disease. Pharmacol. Res. 2000, 41, 597–603. [Google Scholar] [CrossRef] [PubMed]
- Spannbauer, A.; Traxler, D.; Zlabinger, K.; Gugerell, A.; Winkler, J.; Mester-Tonczar, J.; Lukovic, D.; Müller, C.; Riesenhuber, M.; Pavo, N.; et al. Large Animal Models of Heart Failure with Reduced Ejection Fraction (HFrEF). Front. Cardiovasc. Med. 2019, 6, 117. [Google Scholar] [CrossRef]
- Emmert, M.Y.; Weber, B.; Behr, L.; Sammut, S.; Frauenfelder, T.; Wolint, P.; Scherman, J.; Bettex, D.; Grünenfelder, J.; Falk, V.; et al. Transcatheter Aortic Valve Implantation Using Anatomically Oriented, Marrow Stromal Cell-Based, Stented, Tissue-Engineered Heart Valves: Technical Considerations and Implications for Translational Cell-Based Heart Valve Concepts. Eur. J. Cardiothorac. Surg. 2014, 45, 61–68. [Google Scholar] [CrossRef][Green Version]
- Rudner, X.L.; Berkowitz, D.E.; Booth, J.V.; Funk, B.L.; Cozart, K.L.; D’Amico, E.B.; El-Moalem, H.; Page, S.O.; Richardson, C.D.; Winters, B.; et al. Subtype Specific Regulation of Human Vascular Alpha(1)-Adrenergic Receptors by Vessel Bed and Age. Circulation 1999, 100, 2336–2343. [Google Scholar] [CrossRef]
- Wharton, J.; Haworth, S.G.; Polak, J.M. Postnatal Development of the Innervation and Paraganglia in the Porcine Pulmonary Arterial Bed. J. Pathol. 1988, 154, 19–27. [Google Scholar] [CrossRef]
- Garland, C.J.; Keatinge, W.R. Adrenergic Innervation and Sensitivity to Vasoconstrictor Hormones of Inner Muscle of Sheep Pulmonary Artery. Artery 1982, 10, 440–453. [Google Scholar] [PubMed]
- Knight, D.S.; Ellison, J.P.; Hibbs, R.G.; Hyman, A.L.; Kadowitz, P.J. A Light and Electron Microscopic Study of the Innervation of Pulmonary Arteries in the Cat. Anat. Rec. 1981, 201, 513–521. [Google Scholar] [CrossRef] [PubMed]
- Condori Leandro, H.I.; Vakhrushev, A.D.; Korobchenko, L.E.; Koshevaya, E.G.; Mitrofanova, L.B.; Goncharova, N.S.; Andreeva, E.M.; Mikhaylov, E.N.; Lebedev, D.S. Acute effects of laser myocardial ablation in ex vivo and in vivo. J. Arrhythmol. 2021, 28, 47–54. [Google Scholar] [CrossRef]
- Sagerer-Gerhardt, M.; Haider, W.; Matiasek, K.; Weber, H.P. Catheter based renal sympathetic denervation by segmental endoluminal laser radiation in a pig model: Anatomical and histopathological results. J. Vet. Sci. Anim. Husb. 2021, 9, 103. [Google Scholar]
- Mitrofanova, L.B.; Gorshkov, A.N.; Lebedev, D.S.; Mikhaylov, E.N. Evidence of Specialized Tissue in Human Interatrial Septum: Histological, Immunohistochemical and Ultrastructural Findings. PLoS ONE 2014, 9, e113343. [Google Scholar] [CrossRef] [PubMed]





| Parameter | Nerve Variable | Pig | Sheep | Human | Pair Comparison (p) | ||
|---|---|---|---|---|---|---|---|
| Pig-Human | Sheep-Human | Pig-Sheep | |||||
| PA Trunk | Layer innervation | Perivascular adipose, adventitia | Perivascular adipose, adventitia | Perivascular adipose | - | - | - |
| Nerve diameter | 35.12 ± 4.27 | 45.43 ± 6.28 | 118.97 ± 10.38 | <0.001 | 0.001 | NS | |
| Nerve distribution density, Units/cm2 | 48.07 ± 6.34 | 52.15 ± 11.54 | 11.66 ± 4.35 | 0.002 | 0.013 | NS | |
| Mean depth of nerves from the intima | 1541.02 ± 118.49 | 1785.84 ± 104.3 | 2404.68 ± 613.06 | NS | NS | NS | |
| PA Bifurcation | Layer innervation | Perivascular adipose, adventitia | Perivascular adipose, adventitia, media | Perivascular adipose | - | - | - |
| Nerve diameter | 31.82 ± 5.83 | 45.33 ± 8.15 | 139.18 ± 30.89 | 0.011 | 0.022 | NS | |
| Nerve distribution density, Units/cm2 | 91.59 ± 26.74 | 58.57 ± 8.41 | 23.49 ± 6.01 | 0.042 | 0.012 | NS | |
| Mean depth of nerves from the intima | 1338.92 ± 175.83 | 1515.32 ± 131.69 | 3126.19 ± 664.07 | 0.035 | 0.049 | NS | |
| Right PA | Layer innervation | Perivascular adipose, adventitia | Perivascular adipose, adventitia, media | Perivascular adipose | - | - | - |
| Nerve diameter | 41.36 ± 8.55 | 39.4 ± 6.66 | 140.84 ± 9.01 | <0.001 | <0.001 | NS | |
| Nerve distribution density, Units/cm2 | 63.5 ± 11.36 | 64.55 ± 7.05 | 18.04 ± 4.34 | 0.007 | 0.001 | NS | |
| Mean depth of nerves from the intima | 1059.39 ± 168.45 | 780.5 ± 140.51 | 3605.4 ± 1021.56 | 0.07 | 0.03 | NS | |
| Left PA | Layer innervation | Perivascular adipose, adventitia | Perivascular adipose, adventitia, media | Perivascular adipose | - | - | - |
| Nerve diameter | 55.94 ± 4.76 | 43.17 ± 5.59 | 132.61 ± 9.98 | 0.002 | <0.001 | NS | |
| Nerve distribution density, Units/cm2 | 52.9 ± 30.54 | 57.47 ± 7.65 | 18.49 ± 6.28 | NS | 0.004 | NS | |
| Mean depth of nerves from the intima | 1277.12 ± 158.76 | 916.24 ± 121.93 | 2268.99 ± 342.85 | NS | 0.006 | NS | |
| Parameter | PA Trunk | PA Bifurcation | Left PA | Right PA | ||||
|---|---|---|---|---|---|---|---|---|
| Laser Setup (W–Time) | Ablation Sessions | Laser Setup (W–Time) | Ablation Sessions | Laser Setup (W–Time) | Ablation Sessions | Laser Setup (W–Time) | Ablation Sessions | |
| Sheep №1 | 20 W, 20 s | 6 | 20 W, 20 s | 2 | 10 W, 30 s | 4 | 15 W, 20 s | 5 |
| Sheep №2 | 20 W, 25 s | 3 | 20 W, 25 s | 3 | 30 W, 20 s | 2 | 30 W, 20 s | 3 |
| Sheep №3 | 20 W, 35 s | 3 | 20 W, 35 s | 2 | 20 W, 35 s | 5 | 20 W, 35 s | 4 |
| Grade | Histology Findings | Comment |
|---|---|---|
| Grade III | Hemorrhages at any depth of the media, in the adventitia and adipose tissue (with a diameter more than 800 µm). Dissections of the artery wall with a depth of more than 50% of the media thickness. Coagulation necrosis of perivascular adventitia and adipose tissue with/without damage to nerve fibers. | A total transmural lesion that involves all possible neural structures within the artery wall and/or in the adventitia. |
| Grade II | Focal hemorrhages at any depth of the media, in the adventitia and adipose tissue (with a diameter of 200–800 µm). Focal necrosis of the intima and the inner third of the media and (depth up to 10% of the thickness of the media layer). Absence of damage in the form of necrosis in the adventitia and adipose tissue. Dissections of the artery wall with a depth of up to 50% of the media thickness. | A non-transmural lesion that involves part of neural structures within the artery wall or in the adventitia. |
| Grade I | Focal edema of the inner third of the media and extending to a depth of up to 10% of the PA wall thickness. Small-focal hemorrhages at any depth of the media and in the adventitia (up to 200 µm in diameter). Absence of damage in the form of necrosis in the adventitia and adipose tissue. | A PA wall lesion without any evidence of nerve damage. |
| Number of Lesions | Grade | Power |
|---|---|---|
| 1 | III | 10 W |
| 1 | III | 15 W |
| 8 | I | 20 W |
| 7 | III | 20 W |
| 6 | II | 20 W |
| 1 | III | 30 W |
| 1 | II | 30 W |
| Total: 25 | I-8 II-7 III-10 | 20/30 W 20/30 W 10/15/20/30 W |
| Parameter | Histology Findings | Power Setting |
|---|---|---|
| Safe | No evidence of any collateral damage. PA wall dissection is seen only microscopically, if present. | ≤20 W |
| Unsafe | Clear evidence of extravascular damage: hemorrhages in the lungs, atrial of the ventricular myocardium. Macroscopically severe PA wall dissection. | 20 W and 30 W |
| № | Sex | Age | Disease | Cause of Death | Concomitant Cardiovascular Disease | Medications |
|---|---|---|---|---|---|---|
| 1 | M | 60 | Small cell lung cancer | Hemorrhage | Arterial hypertension | ACEi, diuretic, BB |
| 2 | M | 69 | Large cell neuroendocrine lung cancer | Paracancrotic pneumonia | Arterial hypertension | Diuretic, ARB, Antibiotics |
| 3 | M | 70 | Brain glioblastoma | Hemorrhagic cerebral infarction | Arterial hypertension | Dexamethasone, LMWH, ACEi, diuretic, CCB |
| 4 | M | 62 | Brain glioblastoma | Hemorrhage | Atherosclerosis | Dexamethasone, LMWH, |
| 5 | M | 49 | Pancreatic neuroendocrine tumor | Peritonitis | No | Antibiotics |
| 6 | M | 65 | Colon adenocarcinoma | Hemorrhage | Arterial hypertension | Diuretic, Heparin |
| 7 | M | 61 | Brain glioblastoma | Cerebral edema | No | Dexamethasone |
Publisher’s Note: MDPI stays neutral with regard to jurisdictional claims in published maps and institutional affiliations. |
© 2021 by the authors. Licensee MDPI, Basel, Switzerland. This article is an open access article distributed under the terms and conditions of the Creative Commons Attribution (CC BY) license (https://creativecommons.org/licenses/by/4.0/).
Share and Cite
Condori Leandro, H.I.; Koshevaya, E.G.; Mitrofanova, L.B.; Vakhrushev, A.D.; Goncharova, N.S.; Korobchenko, L.E.; Andreeva, E.M.; Lebedev, D.S.; Mikhaylov, E.N. An Ovine Model for Percutaneous Pulmonary Artery Laser Denervation: Perivascular Innervation and Ablation Lesion Characteristics. Int. J. Mol. Sci. 2021, 22, 8788. https://doi.org/10.3390/ijms22168788
Condori Leandro HI, Koshevaya EG, Mitrofanova LB, Vakhrushev AD, Goncharova NS, Korobchenko LE, Andreeva EM, Lebedev DS, Mikhaylov EN. An Ovine Model for Percutaneous Pulmonary Artery Laser Denervation: Perivascular Innervation and Ablation Lesion Characteristics. International Journal of Molecular Sciences. 2021; 22(16):8788. https://doi.org/10.3390/ijms22168788
Chicago/Turabian StyleCondori Leandro, Heber Ivan, Elena G. Koshevaya, Lubov B. Mitrofanova, Aleksandr D. Vakhrushev, Natalia S. Goncharova, Lev E. Korobchenko, Elizaveta M. Andreeva, Dmitry S. Lebedev, and Evgeny N. Mikhaylov. 2021. "An Ovine Model for Percutaneous Pulmonary Artery Laser Denervation: Perivascular Innervation and Ablation Lesion Characteristics" International Journal of Molecular Sciences 22, no. 16: 8788. https://doi.org/10.3390/ijms22168788
APA StyleCondori Leandro, H. I., Koshevaya, E. G., Mitrofanova, L. B., Vakhrushev, A. D., Goncharova, N. S., Korobchenko, L. E., Andreeva, E. M., Lebedev, D. S., & Mikhaylov, E. N. (2021). An Ovine Model for Percutaneous Pulmonary Artery Laser Denervation: Perivascular Innervation and Ablation Lesion Characteristics. International Journal of Molecular Sciences, 22(16), 8788. https://doi.org/10.3390/ijms22168788

