Potentiating Hemorrhage in a Periadolescent Rat Model of Closed-Head Traumatic Brain Injury Worsens Hyperexcitability but Not Behavioral Deficits
Abstract
1. Introduction
2. Results
2.1. CCI with Prominent Hemorrhage
2.2. EEG Features
2.3. Behavioral Testing
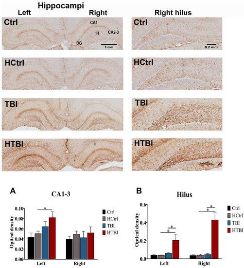
2.4. Histological Analyses
3. Discussion
4. Materials and Methods
4.1. Animals and Experimental Design
4.2. Closed-Head Traumatic Brain Injury Induction
4.3. Surgical Electrode Implantation and Continuous Long-Term EEG Recording
4.4. Behavioral Panels
4.5. Histological Analyses
4.6. Statistical Analysis
Supplementary Materials
Author Contributions
Funding
Institutional Review Board Statement
Informed Consent Statement
Data Availability Statement
Conflicts of Interest
References
- GBD 2016 Traumatic Brain Injury and Spinal Cord Injury Collaborators. Global, regional, and national burden of traumatic brain injury and spinal cord injury, 1990–2016: A systematic analysis for the Global Burden of Disease Study 2016. Lancet Neurol. 2019, 18, 56–87. [Google Scholar] [CrossRef]
- Semple, B.D.; Zamani, A.; Rayner, G.; Shultz, S.R.; Jones, N.C. Affective, neurocognitive and psychosocial disorders associated with traumatic brain injury and post-traumatic epilepsy. Neurobiol. Dis. 2019, 123, 27–41. [Google Scholar] [CrossRef] [PubMed]
- Dadas, A.; Janigro, D. Breakdown of blood brain barrier as a mechanism of post-traumatic epilepsy. Neurobiol. Dis. 2019, 123, 20–26. [Google Scholar] [CrossRef] [PubMed]
- Frey, L.C. Epidemiology of posttraumatic epilepsy: A critical review. Epilepsia 2003, 44, 11–17. [Google Scholar] [CrossRef] [PubMed]
- Pitkanen, A.; Immonen, R. Epilepsy related to traumatic brain injury. Neurotherapeutics 2014, 11, 286–296. [Google Scholar] [CrossRef]
- Taylor, C.A.; Bell, J.M.; Breiding, M.J.; Xu, L. Traumatic Brain Injury-Related Emergency Department Visits, Hospitalizations, and Deaths—United States, 2007 and 2013. MMWR Surveill. Summ. 2017, 66, 1–16. [Google Scholar] [CrossRef]
- Hwang, S.Y.; Ong, J.W.; Ng, Z.M.; Foo, C.Y.; Chua, S.Z.; Sri, D.; Lee, J.H.; Chong, S.-L. Long-term outcomes in children with moderate to severe traumatic brain injury: A single-centre retrospective study. Brain Inj. 2019, 33, 1420–1424. [Google Scholar] [CrossRef]
- Keret, A.; Bennett-Back, O.; Rosenthal, G.; Gilboa, T.; Shweiki, M.; Shoshan, Y.; Benifla, M. Posttraumatic epilepsy: Long-term follow-up of children with mild traumatic brain injury. J. Neurosurg. Pediatrics 2017, 20, 64–70. [Google Scholar] [CrossRef]
- Shakkour, Z.; Habashy, K.J.; Berro, M.; Takkoush, S.; Abdelhady, S.; Koleilat, N.; Eid, A.H.; Zibara, K.; Obeid, M.; Shear, D.; et al. Drug Repurposing in Neurological Disorders: Implications for Neurotherapy in Traumatic Brain Injury. Neuroscientist 2020. [Google Scholar] [CrossRef]
- Statler, K.D.; Scheerlinck, P.; Pouliot, W.; Hamilton, M.; White, H.S.; Dudek, F.E. A potential model of pediatric posttraumatic epilepsy. Epilepsy Res. 2009, 86, 221–223. [Google Scholar] [CrossRef] [PubMed]
- Pitkänen, A.; Bolkvadze, T. Head Trauma and Epilepsy. In Jasper’s Basic Mechanisms of the Epilepsies, 4th ed.; Noebels, J., Avoli, M., Rogawski, M., Olsen, R., Delgado-Escueta, A., Eds.; 2012. Available online: https://www.ncbi.nlm.nih.gov/books/NBK98197/ (accessed on 25 May 2021).
- Rodgers, K.M.; Dudek, F.E.; Barth, D.S. Progressive, Seizure-Like, Spike-Wave Discharges Are Common in Both Injured and Uninjured Sprague-Dawley Rats: Implications for the Fluid Percussion Injury Model of Post-Traumatic Epilepsy. J. Neurosci. 2015, 35, 9194–9204. [Google Scholar] [CrossRef] [PubMed]
- Ritter, A.C.; Wagner, A.K.; Fabio, A.; Pugh, M.J.; Walker, W.C.; Szaflarski, J.P.; Zafonte, R.D.; Brown, A.W.; Hammond, F.M.; Bushnik, T.; et al. Incidence and risk factors of posttraumatic seizures following traumatic brain injury: A Traumatic Brain Injury Model Systems Study. Epilepsia 2016, 57, 1968–1977. [Google Scholar] [CrossRef]
- Xu, T.; Yu, X.; Ou, S.; Liu, X.; Yuan, J.; Huang, H.; Yang, J.; He, L.; Chen, Y. Risk factors for posttraumatic epilepsy: A systematic review and meta-analysis. Epilepsy Behav. 2017, 67, 1–6. [Google Scholar] [CrossRef]
- Kim, J.A.; Boyle, E.J.; Wu, A.C.; Cole, A.J.; Staley, K.J.; Zafar, S.; Cash, S.S.; Westover, M.B. Epileptiform activity in traumatic brain injury predicts post-traumatic epilepsy. Ann. Neurol. 2018, 83, 858–862. [Google Scholar] [CrossRef]
- Siller-Matula, J.M.; Plasenzotti, R.; Spiel, A.; Quehenberger, P.; Jilma, B. Interspecies differences in coagulation profile. Thromb. Haemost. 2008, 100, 397–404. [Google Scholar] [CrossRef]
- Bouilleret, V.; Ridoux, V.; Depaulis, A.; Marescaux, C.; Nehlig, A.; La Salle, G.L.G. Recurrent seizures and hippocampal sclerosis following intrahippocampal kainate injection in adult mice: Electroencephalography, histopathology and synaptic reorganization similar to mesial temporal lobe epilepsy. Neuroscience 1999, 89, 717–729. [Google Scholar] [CrossRef]
- Sofroniew, M.V. Astrogliosis. Cold Spring Harb. Perspect. Biol. 2014, 7, a020420. [Google Scholar] [CrossRef]
- Robel, S.; Buckingham, S.C.; Boni, J.L.; Campbell, S.L.; Danbolt, N.C.; Riedemann, T.; Sutor, B.; Sontheimer, H. Reactive astrogliosis causes the development of spontaneous seizures. J. Neurosci. 2015, 35, 3330–3345. [Google Scholar] [CrossRef]
- Robel, S.; Sontheimer, H. Glia as drivers of abnormal neuronal activity. Nat. Neurosci. 2016, 19, 28–33. [Google Scholar] [CrossRef]
- Shandra, O.; Winemiller, A.R.; Heithoff, B.P.; Munoz-Ballester, C.; George, K.K.; Benko, M.J.; Zuidhoek, I.A.; Besser, M.N.; Curley, D.E.; Edwards, G.F., 3rd; et al. Repetitive Diffuse Mild Traumatic Brain Injury Causes an Atypical Astrocyte Response and Spontaneous Recurrent Seizures. J. Neurosci. 2019, 39, 1944–1963. [Google Scholar] [CrossRef]
- Smith, D.; Rau, T.; Poulsen, A.; MacWilliams, Z.; Patterson, D.; Kelly, W.; Poulsen, D. Convulsive seizures and EEG spikes after lateral fluid-percussion injury in the rat. Epilepsy Res. 2018, 147, 87–94. [Google Scholar] [CrossRef] [PubMed]
- Bolkvadze, T.; Pitkanen, A. Development of post-traumatic epilepsy after controlled cortical impact and lateral fluid-percussion-induced brain injury in the mouse. J. Neurotrauma 2012, 29, 789–812. [Google Scholar] [CrossRef]
- Sharma, S.; Puttachary, S.; Thippeswamy, A.; Kanthasamy, A.G.; Thippeswamy, T. Status epilepticus: Behavioral and electroencephalography Seizure Correlates in Kainate experimental Models. Front. Neurol. 2018, 9, 7. [Google Scholar] [CrossRef]
- Assi, L.; Saklawi, Y.; Karam, P.E.; Obeid, M. Treatable Genetic Metabolic Epilepsies. Curr. Treat. Options Neurol. 2017, 19, 30. [Google Scholar] [CrossRef]
- Obeid, M.; Wyllie, E.; Rahi, A.C.; Mikati, M.A. Approach to pediatric epilepsy surgery: State of the art, Part I: General principles and presurgical workup. Eur. J. Paediatr. Neurol. 2009, 13, 102–114. [Google Scholar] [CrossRef] [PubMed]
- Staley, K.; Hellier, J.L.; Dudek, F.E. Do interictal spikes drive epileptogenesis? Neuroscientist 2005, 11, 272–276. [Google Scholar] [CrossRef]
- White, A.; Williams, P.A.; Hellier, J.L.; Clark, S.; Dudek, F.E.; Staley, K.J. EEG spike activity precedes epilepsy after kainate-induced status epilepticus. Epilepsia 2010, 51, 371–383. [Google Scholar] [CrossRef]
- Staley, K.J.; White, A.; Dudek, F.E. Interictal spikes: Harbingers or causes of epilepsy? Neurosci. Lett. 2011, 497, 247–250. [Google Scholar] [CrossRef]
- Hunt, R.F.; Scheff, S.W.; Smith, B.N. Posttraumatic epilepsy after controlled cortical impact injury in mice. Exp. Neurol. 2009, 215, 243–252. [Google Scholar] [CrossRef]
- Carmichael, S.T.; Chesselet, M.F. Synchronous neuronal activity is a signal for axonal sprouting after cortical lesions in the adult. J. Neurosci. 2002, 22, 6062–6070. [Google Scholar] [CrossRef]
- Bugay, V.; Bozdemir, E.; Vigil, F.A.; Holstein, D.M.; Chun, S.H.; Elliot, W.; Sprague, C.J.; Cavazos, J.E.; Zamora, D.O.; Rule, G.; et al. A mouse model of repetitive blast traumatic brain injury reveals post-trauma seizures and increased neuronal excitability. J. Neurotrauma 2020, 37, 248–261. [Google Scholar] [CrossRef]
- Kelly, K.M.; Miller, E.R.; Lepsveridze, E.; Kharlamov, E.A.; McHedlishvili, Z. Posttraumatic seizures and epilepsy in adult rats after controlled cortical impact. Epilepsy Res. 2015, 117, 104–116. [Google Scholar] [CrossRef]
- Shultz, S.R.; Cardamone, L.; Liu, Y.R.; Hogan, R.E.; Maccotta, L.; Wright, D.K.; Zheng, P.; Koe, A.; Gregoire, M.-C.; Williams, J.P.; et al. Can structural or functional changes following traumatic brain injury in the rat predict epileptic outcome? Epilepsia 2013, 54, 1240–1250. [Google Scholar] [CrossRef]
- Cotter, D.; Kelso, A.; Neligan, A. Genetic biomarkers of posttraumatic epilepsy: A systematic review. Seizure 2017, 46, 53–58. [Google Scholar] [CrossRef]
- Englander, J.; Bushnik, T.; Duong, T.T.; Cifu, D.X.; Zafonte, R.; Wright, J.; Hughes, R.; Bergman, W. Analyzing risk factors for late posttraumatic seizures: A prospective, multicenter investigation. Arch. Phys. Med. Rehabil. 2003, 84, 365–373. [Google Scholar] [CrossRef]
- Fedele, D.E.; Gouder, N.; Guttinger, M.; Gabernet, L.; Scheurer, L.; Rulicke, T.; Crestani, F.; Boison, D. Astrogliosis in epilepsy leads to overexpression of adenosine kinase, resulting in seizure aggravation. Brain 2005, 128, 2383–2395. [Google Scholar] [CrossRef]
- Devinsky, O.; Vezzani, A.; Najjar, S.; De Lanerolle, N.C.; Rogawski, M.A. Glia and epilepsy: Excitability and inflammation. Trends Neurosci. 2013, 36, 174–184. [Google Scholar] [CrossRef]
- Abdelmalik, P.A.; Burnham, W.M.; Carlen, P.L. Increased seizure susceptibility of the hippocampus compared with the neocortex of the immature mouse brain in vitro. Epilepsia 2005, 46, 356–366. [Google Scholar] [CrossRef]
- Golarai, G.; Greenwood, A.C.; Feeney, D.M.; Connor, J.A. Physiological and structural evidence for hippocampal involvement in persistent seizure susceptibility after traumatic brain injury. J. Neurosci. 2001, 21, 8523–8537. [Google Scholar] [CrossRef]
- Glushakov, A.V.; Glushakova, O.Y.; Doré, S.; Carney, P.R. Animal Models of Posttraumatic Seizures and Epilepsy. Methods Mol. Biol. 2016, 1462, 481–519. [Google Scholar] [PubMed]
- Obeid, M.; Frank, J.; Medina, M.; Finckbone, V.; Bliss, R.; Bista, B.; Majmudar, S.; Hurst, D.; Strahlendorf, H.; Strahlendorf, J. Neuroprotective effects of leptin following kainic acid-induced status epilepticus. Epilepsy Behav. 2010, 19, 278–283. [Google Scholar] [CrossRef]
- Lapinlampi, N.; Andrade, P.; Paananen, T.; Hämäläinen, E.; Ekolle Ndode-Ekane, X.; Puhakka, N.; Pitkänen, A. Postinjury weight rather than cognitive or behavioral impairment predicts development of posttraumatic epilepsy after lateral fluid-percussion injury in rats. Epilepsia 2020, 61, 2035–2052. [Google Scholar] [CrossRef] [PubMed]
- Sun, G.; Miaoa, Z.; Ye, Y.; Zhao, P.; Fan, L.; Bao, Z.; Tu, Y.; Li, C.; Chao, H.; Xu, X.; et al. Curcumin alleviates neuroinflammation, enhances hippocampal neurogenesis, and improves spatial memory after traumatic brain injury. Brain Res. Bull. 2020, 162, 84–85. [Google Scholar] [CrossRef] [PubMed]
- Dawish, H.; Mahmood, A.; Schallert, T.; Chopp, M.; Therrien, B. Mild traumatic brain injury (MTBI) leads to spatial learning deficits. Brain Inj. 2012, 26, 151–165. [Google Scholar] [CrossRef]
- Levesque, M.; Avoli, M.; Bernard, C. Animal models of temporal lobe epilepsy following systemic chemoconvulsant administration. J. Neurosci. Methods 2016, 260, 45–52. [Google Scholar] [CrossRef]
- Sarkisian, M.R. Overview of the current animal models for human seizure and epileptic disorders. Epilepsy Behav. 2001, 2, 201–216. [Google Scholar] [CrossRef] [PubMed]
- Sperk, G.; Lassmann, H.; Baran, H.; Kish, S.J.; Seitelberger, F.; Hornykiewicz, O. Kainic acid induced seizures: Neurochemical and histopathological changes. Neuroscience 1983, 10, 1301–1315. [Google Scholar] [CrossRef]
- Li, Q.; Li, Q.Q.; Jia, J.N.; Cao, S.; Wang, Z.; Wang, X.; Luo, C.; Zhou, H.-H.; Liu, Z.-Q.; Mao, X.-Y. Sodium Valproate Ameliorates Neuronal Apoptosis in a Kainic Acid Model of Epilepsy via Enhancing PKC-Dependent GABA A R γ2 Serine 327 Phosphorylation. Neurochem. Res. 2018, 43, 2343–2352. [Google Scholar] [CrossRef]
- Kandratavicius, L.; Balista, P.A.; Lopes-Aguiar, C.; Ruggiero, R.N.; Umeoka, E.H.; Garcia-Cairasco, N.; Bueno-Junior, L.S.; Leite, J.P. Animal models of epilepsy: Use and limitations. Neuropsychiatr. Dis. Treat. 2014, 10, 1693–1705. [Google Scholar] [CrossRef] [PubMed]
- Shitaka, Y.; Tran, H.T.; Bennett, R.E.; Sanchez, L.; Levy, M.A.; Dikranian, K.; Brody, D.L. Repetitive closed-skull traumatic brain injury in mice causes persistent multifocal axonal injury and microglial reactivity. J. Neuropathol. Exp. Neurol. 2011, 70, 551–567. [Google Scholar] [CrossRef] [PubMed]
- Korkmaz, K.; Gedik, H.S.; Budak, A.B.; Erdem, H.; Lafci, G.; Karakilic, E.; A Nacar, O.; Yildirim, L.; Ankarali, H. Effect of heparin on neuroprotection against spinal cord ischemia and reperfusion in rats. Eur. Rev. Med. Pharmacol. Sci. 2013, 17, 522–530. [Google Scholar] [PubMed]
- Sherwood, N.M.; Timiras, P.S. Stereotaxic Atlas of the Developing Rat Brain; University of California Press: Berkeley, CA, USA, 1970. [Google Scholar]
- Medlej, Y.; Salah, H.; Wadi, L.; Atoui, Z.; Fadlallah, Y.; Asdikian, R.; Khalil, R.B.; Hashash, R.; Obeid, M. Methods in Electrode Implantation and Wiring for Long-Term Continuous EEG Monitoring in Rodent Models of Epilepsy and Behavioral Disturbances. In Psychiatric Disorders; Humana: New York, NY, USA, 2019; pp. 429–439. [Google Scholar]
- Bergstrom, R.A.; Choi, J.H.; Manduca, A.; Shin, H.; Worrell, G.A.; Howe, C.L. Automated identification of multiple seizure-related and interictal epileptiform event types in the EEG of mice. Sci. Rep. 2013, 3, 1483. [Google Scholar] [CrossRef] [PubMed]
- Medlej, Y.; Asdikian, R.; Wadi, L.; Salah, H.; Dosh, L.; Hashash, R.; Karnib, N.; Medlej, M.; Darwish, H.; Kobeissy, F.; et al. Enhanced setup for wired continuous long-term EEG monitoring in juvenile and adult rats: Application for epilepsy and other disorders. BMC Neurosci. 2019, 20, 8. [Google Scholar] [CrossRef] [PubMed]
- Medlej, Y.; Salah, H.; Wadi, L.; Saad, S.; Asdikian, R.; Karnib, N.; Ghazal, D.; Bashir, B.; Allam, J.; Obeid, M. Overview on Emotional Behavioral Testing in Rodent Models of Pediatric Epilepsy. Methods Mol. Biol. 2019, 2011, 345–367. [Google Scholar]
- Salah, H.; Medlej, Y.; Karnib, N.; Darwish, N.; Asdikian, R.; Wehbe, S.; Makki, G.; Obeid, M. Methods in Emotional Behavioral Testing in Immature Epilepsy Rodent Models. Methods Mol. Biol. 2019, 2011, 413–427. [Google Scholar]
- Salah, H.; Abdel Rassoul, R.; Medlej, Y.; Asdikian, R.; Hajjar, H.; Dagher, S.; Darwich, M.; Fakih, C.; Obeid, M. A modified two-way active avoidance test for combined contextual and auditory instrumental conditioning. Front. Behav. Neurosci. 2021, 15, 118. [Google Scholar] [CrossRef]
- Medlej, Y.; Salah, H.; Wadi, L.; Saad, S.; Bashir, B.; Allam, J.; Atoui, Z.; Darwish, N.; Karnib, N.; Darwish, H.; et al. Lestaurtinib (CEP-701) modulates the effects of early life hypoxic seizures on cognitive and emotional behaviors in immature rats. Epilepsy Behav. 2019, 92, 332–340. [Google Scholar] [CrossRef]
- Paxinos, G.; Watson, C. The Rat Brain in Stereotaxic Coordinates; Academic Press: San Diego, CA, USA, 2005. [Google Scholar]







Publisher’s Note: MDPI stays neutral with regard to jurisdictional claims in published maps and institutional affiliations. |
© 2021 by the authors. Licensee MDPI, Basel, Switzerland. This article is an open access article distributed under the terms and conditions of the Creative Commons Attribution (CC BY) license (https://creativecommons.org/licenses/by/4.0/).
Share and Cite
Jalloul, D.; Hajjar, H.; Asdikian, R.; Maawie, M.; Nasrallah, L.; Medlej, Y.; Darwich, M.; Karnib, N.; Lawand, N.; Abdel Rassoul, R.; et al. Potentiating Hemorrhage in a Periadolescent Rat Model of Closed-Head Traumatic Brain Injury Worsens Hyperexcitability but Not Behavioral Deficits. Int. J. Mol. Sci. 2021, 22, 6456. https://doi.org/10.3390/ijms22126456
Jalloul D, Hajjar H, Asdikian R, Maawie M, Nasrallah L, Medlej Y, Darwich M, Karnib N, Lawand N, Abdel Rassoul R, et al. Potentiating Hemorrhage in a Periadolescent Rat Model of Closed-Head Traumatic Brain Injury Worsens Hyperexcitability but Not Behavioral Deficits. International Journal of Molecular Sciences. 2021; 22(12):6456. https://doi.org/10.3390/ijms22126456
Chicago/Turabian StyleJalloul, Dounya, Helene Hajjar, Rita Asdikian, Mariam Maawie, Leila Nasrallah, Yasser Medlej, Mouhamad Darwich, Nabil Karnib, Nada Lawand, Ronza Abdel Rassoul, and et al. 2021. "Potentiating Hemorrhage in a Periadolescent Rat Model of Closed-Head Traumatic Brain Injury Worsens Hyperexcitability but Not Behavioral Deficits" International Journal of Molecular Sciences 22, no. 12: 6456. https://doi.org/10.3390/ijms22126456
APA StyleJalloul, D., Hajjar, H., Asdikian, R., Maawie, M., Nasrallah, L., Medlej, Y., Darwich, M., Karnib, N., Lawand, N., Abdel Rassoul, R., Wang, K. K. W., Kobeissy, F., Darwish, H., & Obeid, M. (2021). Potentiating Hemorrhage in a Periadolescent Rat Model of Closed-Head Traumatic Brain Injury Worsens Hyperexcitability but Not Behavioral Deficits. International Journal of Molecular Sciences, 22(12), 6456. https://doi.org/10.3390/ijms22126456

