Reorganization of Thalamic Inputs to Lesioned Cortex Following Experimental Traumatic Brain Injury
Abstract
1. Introduction
2. Results
2.1. Mortality
2.2. ChR2-eYFP Opsin Traced VPL/VPM Axonal Projections to S1
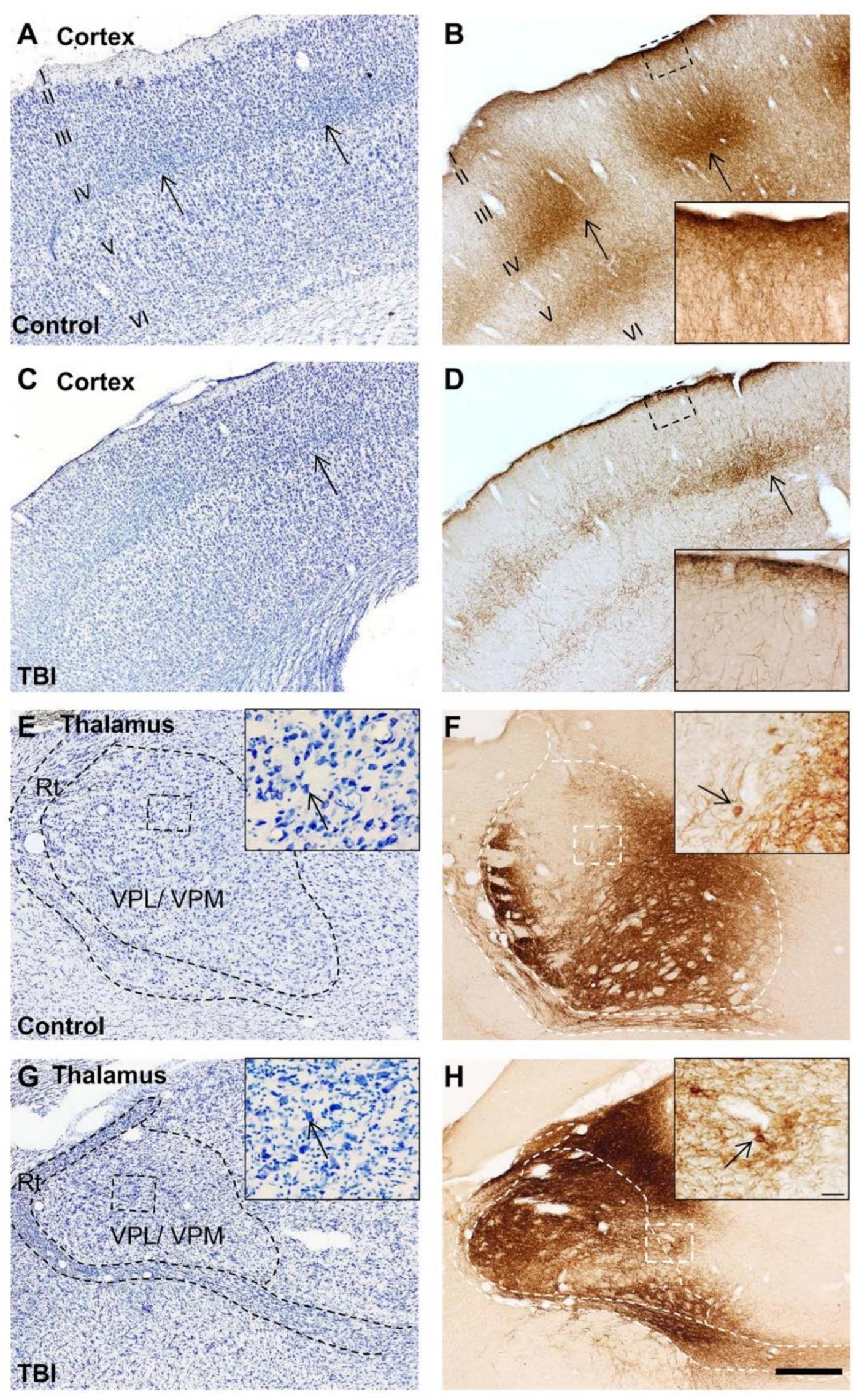
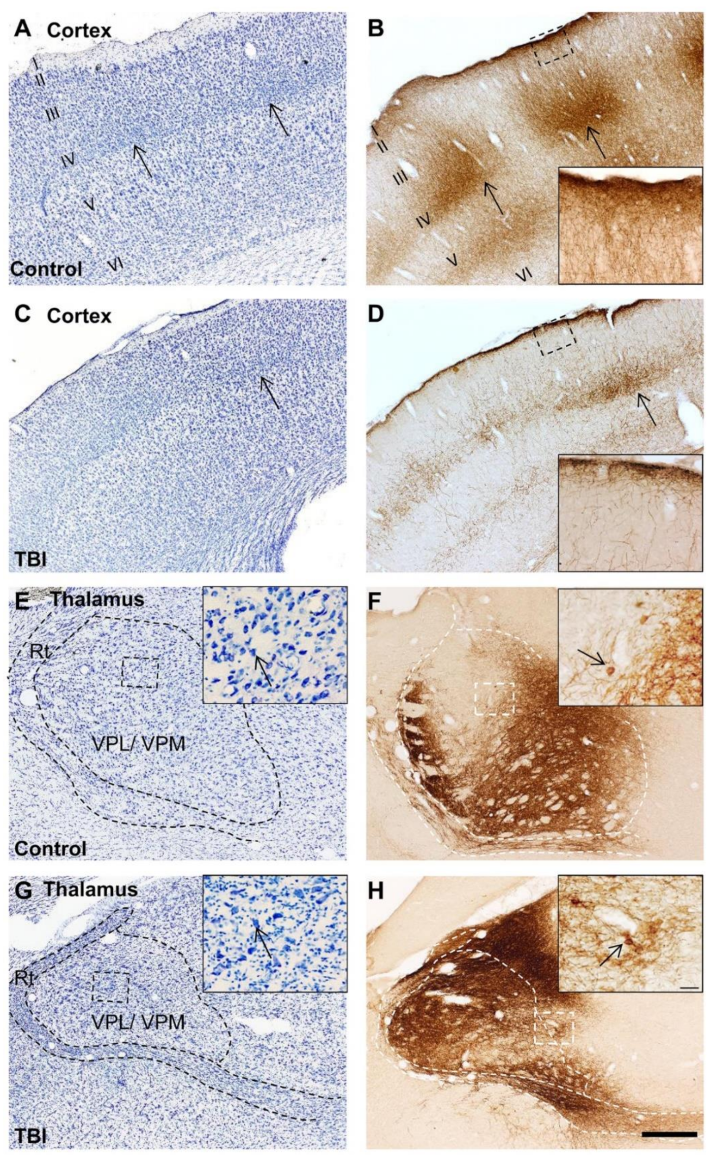
2.2.1. Location of the Viral Injection and Opsin Expression in the Thalamus
2.2.2. ChR2-eYFP Expression in the Cortex after TBI
2.3. PHA-L Tracer Confirmed ChR2-eYFP-Traced VPL/VPM Thalamocortical Tracks
2.3.1. Location of Tracer Injection
2.3.2. Cortical Expression of the PHA-L Tracer
2.4. Changes in the Density of ChR2-eYFP-Expressing Fibers in the Cortex after TBI
2.5. Changes in the Orientation and Anisotropy of ChR2-eYFP-Expressing Fibers in the Cortex after TBI
2.6. Increased Beta Activity in TBI Rats following Optical Stimulation
3. Discussion
3.1. The Overall Spatial Distribution of Thalamo-Cortical Axonal Terminals in the Cortex Is Not Altered by TBI
3.2. TBI Does Not Alter the Laminar-Specificity of Thalamo-Cortical Axonal Terminals, but Rather Changes Their Orientation
3.3. The Density of the Thalamo-Cortical Projections in the Cortex Was Reduced Following TBI
3.4. Thalamo-Cortical Network Demonstrates Signs of Hyperexcitability Following TBI
3.5. Limitations and Future Direction
3.6. Conclusions
4. Materials and Methods
4.1. Animals and Study Design
4.2. Induction of Traumatic Brain Injury
4.3. Viral-Mediated Opsin Transduction and Optogenetic Stimulation in the Thalamus
4.3.1. Viral Injection
4.3.2. Optical Cannula Placement and Implantation of Cortical Screw Electrodes
4.3.3. In Vivo Optogenetic Stimulation and Video-EEG Monitoring
4.3.4. Analysis of In Vivo EEG Recording
4.4. Tissue Processing and Immunohistochemistry for the Validation of Ch2-eYFP Opsin Expression
4.4.1. Tissue Processing
4.4.2. Immunostaining of ChR2-eYFP-Labeled Fibers
4.5. Identification and Analysis of ChR2-eYFP Axonal Projection Terminals
4.5.1. Outlining the Cortical Layers and Identification of Axonal Projection Cortical Targets
4.5.2. Analysis of the Density of ChR2-eYFP-Expressing Fibers
4.6. Confirmation of the ChR2-eYFP-Traced Tracts and Cortical Targets Using Phaseolus Vulgaris-Leucoagglutinin (PHA-L)
4.6.1. Injection of PHA-L
4.6.2. PHA-L Immunohistochemistry
4.7. Nematic Tensor-Based Concept (FibrilTool) Analysis of Fiber Orientation and Anisotropy
4.8. Statistical Analysis
Supplementary Materials
Author Contributions
Funding
Institutional Review Board Statement
Informed Consent Statement
Data Availability Statement
Acknowledgments
Conflicts of Interest
References
- Dixon, K.J. Pathophysiology of traumatic brain injury. Phys. Med. Rehabil. Clin. N. Am. 2017, 28, 215–225. [Google Scholar] [CrossRef] [PubMed]
- Hayes, J.P.; Bigler, E.D.; Verfaellie, M. Traumatic brain injury as a disorder of brain connectivity. J. Int. Neuropsychol. Soc. 2016, 22, 120–137. [Google Scholar] [CrossRef]
- Kraus, M.F.; Susmaras, T.; Caughlin, B.P.; Walker, C.J.; Sweeney, J.A.; Little, D.M. White matter integrity and cognition in chronic traumatic brain injury: A diffusion tensor imaging study. Brain 2007, 130, 2508–2519. [Google Scholar] [CrossRef] [PubMed]
- Niogi, S.N.; Mukherjee, P.; Ghajar, J.; Johnson, C.; Kolster, R.A.; Sarkar, R.; Lee, H.; Meeker, M.; Zimmerman, R.D.; Manley, G.T.; et al. Extent of microstructural white matter injury in postconcussive syndrome correlates with impaired cognitive reaction time: A 3T diffusion tensor imaging study of mild traumatic brain injury. AJNR Am. J. Neuroradiol. 2008, 29, 967–973. [Google Scholar] [CrossRef] [PubMed]
- Yasuno, F.; Matsuoka, K.; Kitamura, S.; Kiuchi, K.; Kosaka, J.; Okada, K.; Tanaka, S.; Shinkai, T.; Taoka, T.; Kishimoto, T. Decision-making deficit of a patient with axonal damage after traumatic brain injury. Brain Cogn. 2014, 84, 63–68. [Google Scholar] [CrossRef]
- Bramlett, H.M.; Dietrich, W.D. Long-term consequences of traumatic brain injury: Current status of potential mechanisms of injury and neurological outcomes. J. Neurotrauma 2015, 32, 1834–1848. [Google Scholar] [CrossRef]
- Van, K.C.; Lyeth, B.G. Lateral (parasagittal) fluid percussion model of traumatic brain injury. Methods Mol. Biol. 2016, 1462, 231–251. [Google Scholar]
- Thompson, H.J.; Lifshitz, J.; Marklund, N.; Grady, M.S.; Graham, D.I.; Hovda, D.A.; McIntosh, T.K. Lateral fluid percussion brain injury: A 15-year review and evaluation. J. Neurotrauma 2005, 22, 42–75. [Google Scholar] [CrossRef]
- Mac Donald, C.L.; Dikranian, K.; Song, S.K.; Bayly, P.V.; Holtzman, D.M.; Brody, D.L. Detection of traumatic axonal injury with diffusion tensor imaging in a mouse model of traumatic brain injury. Exp. Neurol. 2007, 205, 116–131. [Google Scholar] [CrossRef]
- Li, S.; Sun, Y.; Shan, D.; Feng, B.; Xing, J.; Duan, Y.; Dai, J.; Lei, H.; Zhou, Y. Temporal profiles of axonal injury following impact acceleration traumatic brain injury in rats—A comparative study with diffusion tensor imaging and morphological analysis. Int. J. Legal Med. 2013, 127, 159–167. [Google Scholar] [CrossRef]
- Mac Donald, C.L.; Dikranian, K.; Bayly, P.; Holtzman, D.; Brody, D. Diffusion tensor imaging reliably detects experimental traumatic axonal injury and indicates approximate time of injury. J. Neurosci. 2007, 27, 11869–11876. [Google Scholar] [CrossRef]
- Niskanen, J.P.; Airaksinen, A.M.; Sierra, A.; Huttunen, J.K.; Nissinen, J.; Karjalainen, P.A.; Pitkanen, A.; Grohn, O.H. Monitoring functional impairment and recovery after traumatic brain injury in rats by FMRI. J. Neurotrauma 2013, 30, 546–556. [Google Scholar] [CrossRef]
- Kasahara, M.; Menon, D.K.; Salmond, C.H.; Outtrim, J.G.; Taylor Tavares, J.V.; Carpenter, T.A.; Pickard, J.D.; Sahakian, B.J.; Stamatakis, E.A. Altered functional connectivity in the motor network after traumatic brain injury. Neurology 2010, 75, 168–176. [Google Scholar] [CrossRef]
- Fidan, E.; Lewis, J.; Kline, A.E.; Garman, R.H.; Alexander, H.; Cheng, J.P.; Bondi, C.O.; Clark, R.S.; Dezfulian, C.; Kochanek, P.M.; et al. Repetitive mild traumatic brain injury in the developing brain: Effects on long-term functional outcome and neuropathology. J. Neurotrauma 2016, 33, 641–651. [Google Scholar] [CrossRef] [PubMed]
- Reeves, T.M.; Trimmer, P.A.; Colley, B.S.; Phillips, L.L. Targeting Kv1.3 channels to reduce white matter pathology after traumatic brain injury. Exp. Neurol. 2016, 283, 188–203. [Google Scholar]
- Lopez-Bendito, G.; Molnar, Z. Thalamocortical Development: How are we Going to Get there? Nat. Rev. Neurosci. 2003, 4, 276–289. [Google Scholar] [CrossRef]
- Kuramoto, E.; Furuta, T.; Nakamura, K.C.; Unzai, T.; Hioki, H.; Kaneko, T. Two types of thalamocortical projections from the motor thalamic nuclei of the rat: A single neuron-tracing study using viral vectors. Cereb. Cortex 2009, 19, 2065–2077. [Google Scholar] [CrossRef]
- Ekolle Ndode-Ekane, X.; Kharatishvili, I.; Pitkanen, A. Unfolded maps for quantitative analysis of cortical lesion location and extent after traumatic brain injury. J. Neurotrauma 2017, 34, 459–474. [Google Scholar] [CrossRef]
- Huusko, N.; Pitkanen, A. Parvalbumin immunoreactivity and expression of GABAA receptor subunits in the thalamus after experimental TBI. Neuroscience 2014, 267, 30–45. [Google Scholar] [CrossRef] [PubMed]
- Jones, E.G. The Thalamus, 1st ed.; Springer: New York, NY, USA, 1985. [Google Scholar]
- Viaene, A.N.; Petrof, I.; Sherman, S.M. Synaptic properties of thalamic input to layers 2/3 and 4 of primary somatosensory and auditory cortices. J. Neurophysiol. 2011, 105, 279–292. [Google Scholar] [CrossRef] [PubMed]
- Lifshitz, J.; Kelley, B.J.; Povlishock, J.T. Perisomatic thalamic axotomy after diffuse traumatic brain injury is associated with atrophy rather than cell death. J. Neuropathol. Exp. Neurol. 2007, 66, 218–229. [Google Scholar] [CrossRef]
- Lifshitz, J.; Lisembee, A.M. Neurodegeneration in the somatosensory cortex after experimental diffuse brain injury. Brain Struct. Funct. 2012, 217, 49–61. [Google Scholar] [CrossRef]
- Huttunen, J.K.; Airaksinen, A.M.; Barba, C.; Colicchio, G.; Niskanen, J.P.; Shatillo, A.; Sierra Lopez, A.; Ndode-Ekane, X.E.; Pitkanen, A.; Grohn, O.H. Detection of hyperexcitability by functional magnetic resonance imaging after experimental traumatic brain injury. J. Neurotrauma 2018, 35, 2708–2717. [Google Scholar] [CrossRef] [PubMed]
- Bragin, A.; Li, L.; Almajano, J.; Alvarado-Rojas, C.; Reid, A.Y.; Staba, R.J.; Engel, J., Jr. Pathologic electrographic changes after experimental traumatic brain injury. Epilepsia 2016, 57, 735–745. [Google Scholar] [CrossRef] [PubMed]
- Rodgers, K.M.; Dudek, F.E.; Barth, D.S. Progressive, seizure-like, spike-wave discharges are common in both injured and uninjured sprague-dawley rats: Implications for the fluid percussion injury model of post-traumatic epilepsy. J. Neurosci. 2015, 35, 9194–9204. [Google Scholar] [CrossRef] [PubMed]
- Lee, J.H.; Durand, R.; Gradinaru, V.; Zhang, F.; Goshen, I.; Kim, D.S.; Fenno, L.E.; Ramakrishnan, C.; Deisseroth, K. Global and local fMRI signals driven by neurons defined optogenetically by type and wiring. Nature 2010, 465, 788–792. [Google Scholar] [CrossRef] [PubMed]
- Turner, B.H.; Herkenham, M. Thalamoamygdaloid projections in the rat: A test of the amygdala’s role in sensory processing. J. Comp. Neurol. 1991, 313, 295–325. [Google Scholar] [CrossRef]
- Pitkänen, A. Connectivity of the Rat Amygdaloid Complex. In The Amygdala.; Aggleton, J.P., Ed.; Oxford University Press: New York, NY, USA, 2000; pp. 31–115. [Google Scholar]
- DeNardo, L.A.; Berns, D.S.; DeLoach, K.; Luo, L. Connectivity of mouse somatosensory and prefrontal cortex examined with trans-synaptic tracing. Nat. Neurosci. 2015, 18, 1687–1697. [Google Scholar] [CrossRef]
- Oda, S.; Kishi, K.; Yang, J.; Chen, S.; Yokofujita, J.; Igarashi, H.; Tanihata, S.; Kuroda, M. Thalamocortical projection from the ventral posteromedial nucleus sends its collaterals to layer I of the primary somatosensory cortex in rat. Neurosci. Lett. 2004, 367, 394–398. [Google Scholar] [CrossRef]
- Landisman, C.E.; Connors, B.W. VPM and PoM Nuclei of the rat somatosensory thalamus: Intrinsic neuronal properties and corticothalamic feedback. Cereb. Cortex 2007, 17, 2853–2865. [Google Scholar] [CrossRef]
- Gerfen, C.R.; Sawchenko, P.E. An anterograde neuroanatomical tracing method that shows the detailed morphology of neurons, their axons and terminals: Immunohistochemical localization of an axonally transported plant lectin, phaseolus vulgaris leucoagglutinin (PHA-L). Brain Res. 1984, 290, 219–238. [Google Scholar] [CrossRef]
- Chmielowska, J.; Carvell, G.E.; Simons, D.J. Spatial organization of thalamocortical and corticothalamic projection systems in the rat SmI barrel cortex. J. Comp. Neurol. 1989, 285, 325–338. [Google Scholar] [CrossRef] [PubMed]
- Alwis, D.S.; Yan, E.B.; Morganti-Kossmann, M.C.; Rajan, R. Sensory cortex underpinnings of traumatic brain injury deficits. PLoS ONE 2012, 7, e52169. [Google Scholar] [CrossRef] [PubMed]
- Hall, K.D.; Lifshitz, J. Diffuse traumatic brain injury initially attenuates and later expands activation of the rat somatosensory whisker circuit concomitant with neuroplastic responses. Brain Res. 2010, 1323, 161–173. [Google Scholar] [CrossRef] [PubMed]
- Dietrich, W.D.; Alonso, O.; Busto, R.; Ginsberg, M.D. Widespread metabolic depression and reduced somatosensory circuit activation following traumatic brain injury in rats. J. Neurotrauma 1994, 11, 629–640. [Google Scholar] [CrossRef] [PubMed]
- Johnstone, V.P.; Shultz, S.R.; Yan, E.B.; O’Brien, T.J.; Rajan, R. The acute phase of mild traumatic brain injury is characterized by a distance-dependent neuronal hypoactivity. J. Neurotrauma 2014, 31, 1881–1895. [Google Scholar] [CrossRef]
- Immonen, R.J.; Kharatishvili, I.; Grohn, H.; Pitkanen, A.; Grohn, O.H. Quantitative MRI predicts long-term structural and functional outcome after experimental traumatic brain injury. Neuroimage 2009, 45, 1–9. [Google Scholar] [CrossRef]
- Kharatishvili, I.; Pitkanen, A. Association of the severity of cortical damage with the occurrence of spontaneous seizures and hyperexcitability in an animal model of posttraumatic epilepsy. Epilepsy Res. 2010, 90, 47–59. [Google Scholar] [CrossRef] [PubMed]
- Wallace, E.J.; Mathias, J.L.; Ward, L. Diffusion tensor imaging changes following mild, moderate and severe adult traumatic brain injury: A meta-analysis. Brain Imaging Behav. 2018, 12, 1607–1621. [Google Scholar] [CrossRef]
- Presson, N.; Krishnaswamy, D.; Wagener, L.; Bird, W.; Jarbo, K.; Pathak, S.; Puccio, A.M.; Borasso, A.; Benso, S.; Okonkwo, D.O.; et al. Quantifying white matter structural integrity with high-definition fiber tracking in traumatic brain injury. Mil. Med. 2015, 180, 109–121. [Google Scholar] [CrossRef]
- Salo, R.A.; Belevich, I.; Manninen, E.; Jokitalo, E.; Grohn, O.; Sierra, A. Quantification of anisotropy and orientation in 3D electron microscopy and diffusion tensor imaging in injured rat brain. Neuroimage 2018, 172, 404–414. [Google Scholar] [CrossRef]
- Johnstone, V.P.; Wright, D.K.; Wong, K.; O’Brien, T.J.; Rajan, R.; Shultz, S.R. Experimental traumatic brain injury results in long-term recovery of functional responsiveness in sensory cortex but persisting structural changes and sensorimotor, cognitive, and emotional deficits. J. Neurotrauma 2015, 32, 1333–1346. [Google Scholar] [CrossRef] [PubMed]
- Yizhar, O.; Fenno, L.E.; Davidson, T.J.; Mogri, M.; Deisseroth, K. Optogenetics in neural systems. Neuron 2011, 71, 9–34. [Google Scholar] [CrossRef] [PubMed]
- Colella, P.; Ronzitti, G.; Mingozzi, F. Emerging issues in AAV-mediated in vivo gene therapy. Mol. Ther. Methods Clin. Dev. 2017, 8, 87–104. [Google Scholar] [CrossRef]
- Webster, K.M.; Sun, M.; Crack, P.; O’Brien, T.J.; Shultz, S.R.; Semple, B.D. Inflammation in epileptogenesis after traumatic brain injury. J. Neuroinflammation 2017, 14, 10–016. [Google Scholar] [CrossRef] [PubMed]
- Ramlackhansingh, A.F.; Brooks, D.J.; Greenwood, R.J.; Bose, S.K.; Turkheimer, F.E.; Kinnunen, K.M.; Gentleman, S.; Heckemann, R.A.; Gunanayagam, K.; Gelosa, G.; et al. Inflammation after trauma: Microglial activation and traumatic brain injury. Ann. Neurol. 2011, 70, 374–383. [Google Scholar] [CrossRef] [PubMed]
- Ndode-Ekane, X.E.; Matthiesen, L.; Banuelos-Cabrera, I.; Palminha, C.A.P.; Pitkanen, A. T-cell infiltration into the perilesional cortex is long-lasting and associates with poor somatomotor recovery after experimental traumatic brain injury. Restor. Neurol. Neurosci. 2018, 36, 485–501. [Google Scholar] [CrossRef] [PubMed]
- Nayak, S.; Herzog, R.W. Progress and prospects: Immune responses to viral vectors. Gene Ther. 2010, 17, 295–304. [Google Scholar] [CrossRef]
- Hareendran, S.; Balakrishnan, B.; Sen, D.; Kumar, S.; Srivastava, A.; Jayandharan, G.R. Adeno-associated virus (AAV) vectors in gene therapy: Immune challenges and strategies to circumvent them. Rev. Med. Virol. 2013, 23, 399–413. [Google Scholar] [CrossRef]
- Asokan, A.; Schaffer, D.V.; Samulski, R.J. The AAV vector toolkit: Poised at the clinical crossroads. Mol. Ther. 2012, 20, 699–708. [Google Scholar] [CrossRef] [PubMed]
- Begic, D.; Hotujac, L.; Jokic-Begic, N. Electroencephalographic comparison of veterans with combat-related post-traumatic stress disorder and healthy subjects. Int. J. Psychophysiol. 2001, 40, 167–172. [Google Scholar] [CrossRef]
- Paz, J.T.; Davidson, T.J.; Frechette, E.S.; Delord, B.; Parada, I.; Peng, K.; Deisseroth, K.; Huguenard, J.R. Closed-loop optogenetic control of thalamus as a tool for interrupting seizures after cortical injury. Nat. Neurosci. 2013, 16, 64–70. [Google Scholar] [CrossRef] [PubMed]
- Little, D.M.; Kraus, M.F.; Joseph, J.; Geary, E.K.; Susmaras, T.; Zhou, X.J.; Pliskin, N.; Gorelick, P.B. Thalamic integrity underlies executive dysfunction in traumatic brain injury. Neurology 2010, 74, 558–564. [Google Scholar] [CrossRef] [PubMed]
- Kharatishvili, I.; Nissinen, J.P.; McIntosh, T.K.; Pitkanen, A. A model of posttraumatic epilepsy induced by lateral fluid-percussion brain injury in rats. Neuroscience 2006, 140, 685–697. [Google Scholar] [CrossRef]
- McIntosh, T.K.; Vink, R.; Noble, L.; Yamakami, I.; Fernyak, S.; Soares, H.; Faden, A.L. Traumatic brain injury in the rat: Characterization of a lateral fluid-percussion model. Neuroscience 1989, 28, 233–244. [Google Scholar] [CrossRef]
- Petrosyan, H.A.; Alessi, V.; Singh, V.; Hunanyan, A.S.; Levine, J.M.; Arvanian, V.L. Transduction efficiency of neurons and glial cells by AAV-1, -5, -9, -rh10 and -hu11 serotypes in rat spinal cord following contusion injury. Gene Ther. 2014, 21, 991–1000. [Google Scholar] [CrossRef] [PubMed]
- Zhang, F.; Gradinaru, V.; Adamantidis, A.R.; Durand, R.; Airan, R.D.; de Lecea, L.; Deisseroth, K. Optogenetic interrogation of neural circuits: Technology for probing mammalian brain structures. Nat. Protoc. 2010, 5, 439–456. [Google Scholar] [CrossRef] [PubMed]
- Paxinos, G.; Watson, C. The Rat Brain in Stereotaxic Coordinates, 7th ed.; Elsevier Inc.: Amsterdam, The Netherlands, 2007. [Google Scholar]
- Nissinen, J.; Halonen, T.; Koivisto, E.; Pitkanen, A. A new model of chronic temporal lobe epilepsy induced by electrical stimulation of the amygdala in rat. Epilepsy Res. 2000, 38, 177–205. [Google Scholar] [CrossRef]
- Kemppainen, S.; Jolkkonen, E.; Pitkanen, A. Projections from the posterior cortical nucleus of the amygdala to the hippocampal formation and parahippocampal region in rat. Hippocampus 2002, 12, 735–755. [Google Scholar] [CrossRef] [PubMed]
- Boudaoud, A.; Burian, A.; Borowska-Wykret, D.; Uyttewaal, M.; Wrzalik, R.; Kwiatkowska, D.; Hamant, O. FibrilTool, an imageJ plug-in to quantify fibrillar structures in raw microscopy images. Nat. Protoc. 2014, 9, 457–463. [Google Scholar] [CrossRef]
- RStudio Team. RStudio. Integrated Development for R. RStudio; PBC: Boston, MA, USA, 2016. [Google Scholar]
- Agostinelli, C.; Lund, U. R Package “Circular”: Circular Statistics (Version 0.4-93). 2017. [Google Scholar]







Publisher’s Note: MDPI stays neutral with regard to jurisdictional claims in published maps and institutional affiliations. |
© 2021 by the authors. Licensee MDPI, Basel, Switzerland. This article is an open access article distributed under the terms and conditions of the Creative Commons Attribution (CC BY) license (https://creativecommons.org/licenses/by/4.0/).
Share and Cite
Ndode-Ekane, X.E.; Puigferrat Pérez, M.d.M.; Di Sapia, R.; Lapinlampi, N.; Pitkänen, A. Reorganization of Thalamic Inputs to Lesioned Cortex Following Experimental Traumatic Brain Injury. Int. J. Mol. Sci. 2021, 22, 6329. https://doi.org/10.3390/ijms22126329
Ndode-Ekane XE, Puigferrat Pérez MdM, Di Sapia R, Lapinlampi N, Pitkänen A. Reorganization of Thalamic Inputs to Lesioned Cortex Following Experimental Traumatic Brain Injury. International Journal of Molecular Sciences. 2021; 22(12):6329. https://doi.org/10.3390/ijms22126329
Chicago/Turabian StyleNdode-Ekane, Xavier Ekolle, Maria del Mar Puigferrat Pérez, Rossella Di Sapia, Niina Lapinlampi, and Asla Pitkänen. 2021. "Reorganization of Thalamic Inputs to Lesioned Cortex Following Experimental Traumatic Brain Injury" International Journal of Molecular Sciences 22, no. 12: 6329. https://doi.org/10.3390/ijms22126329
APA StyleNdode-Ekane, X. E., Puigferrat Pérez, M. d. M., Di Sapia, R., Lapinlampi, N., & Pitkänen, A. (2021). Reorganization of Thalamic Inputs to Lesioned Cortex Following Experimental Traumatic Brain Injury. International Journal of Molecular Sciences, 22(12), 6329. https://doi.org/10.3390/ijms22126329

