Granulin: An Invasive and Survival-Determining Marker in Colorectal Cancer Patients
Abstract
1. Introduction
2. Results
2.1. Patients’ Characteristics
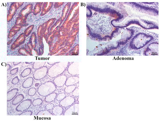
2.2. Expression and Localization of Granulin in Colon Cancer Tissue, Corresponding Healthy Mucosa and Colorectal Adenomas
2.3. Influence of Granulin on Migration and Invasion of HCT-116 Cells In Vitro
2.4. Impact of Granulin on Survival
3. Discussion
4. Material and Methods
4.1. Patients and Tissue Samples
4.2. Isolation of Total RNA and Quantitative Real-Time PCR
4.3. Immunohistochemistry
4.4. Western Blot
4.5. Cell Culture and Transfection
4.6. Cell Migration and Invasion Assays
4.7. Statistics
Author Contributions
Funding
Institutional Review Board Statement
Informed Consent Statement
Data Availability Statement
Conflicts of Interest
References
- Brenner, H.; Kloor, M.; Pox, C.P. Colorectal cancer. Lancet 2014, 383, 1490–1502. [Google Scholar] [CrossRef]
- Ferlay, J.; Shin, H.R.; Bray, F.; Forman, D.; Mathers, C.; Parkin, D.M. Estimates of worldwide burden of cancer in 2008: GLOBOCAN 2008. Int. J. Cancer 2010, 127, 2893–2917. [Google Scholar] [CrossRef]
- Greenlee, R.T.; Murray, T.; Bolden, S.; Wingo, P.A. Cancer statistics, 2000. CA Cancer J. Clin. 2000, 50, 7–33. [Google Scholar] [CrossRef] [PubMed]
- Wilkinson, N.; Scott-Conner, C.E. Surgical therapy for colorectal adenocarcinoma. Gastroenterol. Clin. N. Am. 2008, 37, 253–267. [Google Scholar] [CrossRef] [PubMed]
- Miller, K.D.; Nogueira, L.; Mariotto, A.B.; Rowland, J.H.; Yabroff, K.R.; Alfano, C.M.; Jemal, A.; Kramer, J.L.; Siegel, R.L. Cancer treatment and survivorship statistics, 2019. CA Cancer J. Clin. 2019, 69, 363–385. [Google Scholar] [CrossRef] [PubMed]
- Denlinger, C.S.; Barsevick, A.M. The challenges of colorectal cancer survivorship. J. Natl. Compr. Cancer Netw. 2009, 7, 883–894. [Google Scholar] [CrossRef] [PubMed]
- Emmertsen, K.J.; Laurberg, S.; Jess, P.; Madsen, M.R.; Nielsen, H.J.; Ovesen, A.U.; Salomon, S.; Nielsen, K.T.; Vilandt, J.; Rectal Cancer Function Study Group. Impact of bowel dysfunction on quality of life after sphincter-preserving resection for rectal cancer. J. Br. Surg. 2013, 100, 1377–1387. [Google Scholar] [CrossRef]
- Gebremedhn, E.G.; Shortland, P.J.; Mahns, D.A. The incidence of acute oxaliplatin-induced neuropathy and its impact on treatment in the first cycle: A systematic review. BMC Cancer 2018, 18, 410. [Google Scholar] [CrossRef]
- Hurwitz, H.; Fehrenbacher, L.; Novotny, W.; Cartwright, T.; Hainsworth, J.; Heim, W.; Berlin, J.; Baron, A.; Griffing, S.; Holmgren, E.; et al. Bevacizumab plus irinotecan, fluorouracil, and leucovorin for metastatic colorectal cancer. N. Engl. J. Med. 2004, 350, 2335–2342. [Google Scholar] [CrossRef]
- Tol, J.; Punt, C.J. Monoclonal antibodies in the treatment of metastatic colorectal cancer: A review. Clin. Ther. 2010, 32, 437–453. [Google Scholar] [CrossRef]
- Gout, S.; Huot, J. Role of cancer microenvironment in metastasis: Focus on colon cancer. Cancer Microenviron. 2008, 1, 69–83. [Google Scholar] [CrossRef]
- Yang, J.; Weinberg, R.A. Epithelial-mesenchymal transition: At the crossroads of development and tumor metastasis. Dev. Cell 2008, 14, 818–829. [Google Scholar] [CrossRef]
- Soleimani, A.; Rahmani, F.; Ferns, G.A.; Ryzhikov, M.; Avan, A.; Hassanian, S.M. Role of the NF-kappaB signaling pathway in the pathogenesis of colorectal cancer. Gene 2019, 726, 144132. [Google Scholar] [CrossRef] [PubMed]
- Soleimani, A.; Pashirzad, M.; Avan, A.; Ferns, G.A.; Khazaei, M.; Hassanian, S.M. Role of the transforming growth factor-beta signaling pathway in the pathogenesis of colorectal cancer. J. Cell. Biochem. 2019, 120, 8899–8907. [Google Scholar] [CrossRef] [PubMed]
- Bateman, A.; Bennett, H.P. The granulin gene family: From cancer to dementia. BioEssays 2009, 31, 1245–1254. [Google Scholar] [CrossRef] [PubMed]
- Liu, C.J.; Bosch, X. Progranulin: A growth factor, a novel TNFR ligand and a drug target. Pharmacol. Ther. 2012, 133, 124–132. [Google Scholar] [CrossRef] [PubMed]
- Bhandari, V.; Bateman, A. Structure and chromosomal location of the human granulin gene. Biochem. Biophys. Res. Commun. 1992, 188, 57–63. [Google Scholar] [CrossRef]
- Kessenbrock, K.; Frohlich, L.; Sixt, M.; Lammermann, T.; Pfister, H.; Bateman, A.; Belaaouaj, A.; Ring, J.; Ollert, M.; Fassler, R.; et al. Proteinase 3 and neutrophil elastase enhance inflammation in mice by inactivating antiinflammatory progranulin. J. Clin. Investig. 2008, 118, 2438–2447. [Google Scholar] [CrossRef]
- Suh, H.S.; Choi, N.; Tarassishin, L.; Lee, S.C. Regulation of progranulin expression in human microglia and proteolysis of progranulin by matrix metalloproteinase-12 (MMP-12). PLoS ONE 2012, 7, e35115. [Google Scholar] [CrossRef]
- Xu, D.; Suenaga, N.; Edelmann, M.J.; Fridman, R.; Muschel, R.J.; Kessler, B.M. Novel MMP-9 substrates in cancer cells revealed by a label-free quantitative proteomics approach. Mol. Cell. Proteom. 2008, 7, 2215–2228. [Google Scholar] [CrossRef]
- Zhu, J.; Nathan, C.; Jin, W.; Sim, D.; Ashcroft, G.S.; Wahl, S.M.; Lacomis, L.; Erdjument-Bromage, H.; Tempst, P.; Wright, C.D.; et al. Conversion of proepithelin to epithelins: Roles of SLPI and elastase in host defense and wound repair. Cell 2002, 111, 867–878. [Google Scholar] [CrossRef]
- Lee, C.W.; Stankowski, J.N.; Chew, J.; Cook, C.N.; Lam, Y.W.; Almeida, S.; Carlomagno, Y.; Lau, K.F.; Prudencio, M.; Gao, F.B.; et al. The lysosomal protein cathepsin L is a progranulin protease. Mol. Neurodegener. 2017, 12, 55. [Google Scholar] [CrossRef] [PubMed]
- Arechavaleta-Velasco, F.; Perez-Juarez, C.E.; Gerton, G.L.; Diaz-Cueto, L. Progranulin and its biological effects in cancer. Med. Oncol. 2017, 34, 194. [Google Scholar] [CrossRef]
- Jian, J.; Konopka, J.; Liu, C. Insights into the role of progranulin in immunity, infection, and inflammation. J. Leukoc. Biol. 2013, 93, 199–208. [Google Scholar] [CrossRef]
- Tangkeangsirisin, W.; Serrero, G. PC cell-derived growth factor (PCDGF/GP88, progranulin) stimulates migration, invasiveness and VEGF expression in breast cancer cells. Carcinogenesis 2004, 25, 1587–1592. [Google Scholar] [CrossRef]
- Cheung, P.F.; Yip, C.W.; Wong, N.C.; Fong, D.Y.; Ng, L.W.; Wan, A.M.; Wong, C.K.; Cheung, T.T.; Ng, I.O.; Poon, R.T.; et al. Granulin-epithelin precursor renders hepatocellular carcinoma cells resistant to natural killer cytotoxicity. Cancer Immunol. Res. 2014, 2, 1209–1219. [Google Scholar] [CrossRef] [PubMed]
- Cheung, S.T.; Wong, S.Y.; Leung, K.L.; Chen, X.; So, S.; Ng, I.O.; Fan, S.T. Granulin-epithelin precursor overexpression promotes growth and invasion of hepatocellular carcinoma. Clin. Cancer Res. 2004, 10, 7629–7636. [Google Scholar] [CrossRef]
- Han, J.J.; Yu, M.; Houston, N.; Steinberg, S.M.; Kohn, E.C. Progranulin is a potential prognostic biomarker in advanced epithelial ovarian cancers. Gynecol. Oncol. 2011, 120, 5–10. [Google Scholar] [CrossRef]
- Swamydas, M.; Nguyen, D.; Allen, L.D.; Eddy, J.; Dreau, D. Progranulin stimulated by LPA promotes the migration of aggressive breast cancer cells. Cell Commun. Adhes. 2011, 18, 119–130. [Google Scholar] [CrossRef]
- Selmy, M.A.; Ibrahim, G.H.; El Serafi, T.I.; Ghobeish, A.A. Evaluation of urinary proepithelin as a potential biomarker for bladder cancer detection and prognosis in Egyptian patients. Cancer Biomark. 2010, 7, 163–170. [Google Scholar] [CrossRef]
- Bose, D.; Zimmerman, L.J.; Pierobon, M.; Petricoin, E.; Tozzi, F.; Parikh, A.; Fan, F.; Dallas, N.; Xia, L.; Gaur, P.; et al. Chemoresistant colorectal cancer cells and cancer stem cells mediate growth and survival of bystander cells. Br. J. Cancer 2011, 105, 1759–1767. [Google Scholar] [CrossRef]
- Pan, Y.; Cheung, S.T.; Tong, J.H.M.; Tin, K.Y.; Kang, W.; Lung, R.W.M.; Wu, F.; Li, H.; Ng, S.S.M.; Mak, T.W.C.; et al. Granulin epithelin precursor promotes colorectal carcinogenesis by activating MARK/ERK pathway. J. Transl. Med. 2018, 16, 150. [Google Scholar] [CrossRef]
- Yang, D.; Wang, L.L.; Dong, T.T.; Shen, Y.H.; Guo, X.S.; Liu, C.Y.; Liu, J.; Zhang, P.; Li, J.; Sun, Y.P. Progranulin promotes colorectal cancer proliferation and angiogenesis through TNFR2/Akt and ERK signaling pathways. Am. J. Cancer Res. 2015, 5, 3085–3097. [Google Scholar] [PubMed]
- He, Z.; Ismail, A.; Kriazhev, L.; Sadvakassova, G.; Bateman, A. Progranulin (PC-cell-derived growth factor/acrogranin) regulates invasion and cell survival. Cancer Res. 2002, 62, 5590–5596. [Google Scholar] [PubMed]
- Lu, R.; Serrero, G. Mediation of estrogen mitogenic effect in human breast cancer MCF-7 cells by PC-cell-derived growth factor (PCDGF/granulin precursor). Proc. Natl. Acad. Sci. USA 2001, 98, 142–147. [Google Scholar] [CrossRef]
- He, Z.; Bateman, A. Progranulin gene expression regulates epithelial cell growth and promotes tumor growth in vivo. Cancer Res. 1999, 59, 3222–3229. [Google Scholar] [PubMed]
- Cenik, B.; Sephton, C.F.; Kutluk Cenik, B.; Herz, J.; Yu, G. Progranulin: A proteolytically processed protein at the crossroads of inflammation and neurodegeneration. J. Biol. Chem. 2012, 287, 32298–32306. [Google Scholar] [CrossRef] [PubMed]
- Cuevas-Antonio, R.; Cancino, C.; Arechavaleta-Velasco, F.; Andrade, A.; Barron, L.; Estrada, I.; Fernandez, R.L.; Olguin, V.; Ruiz, S.; Imani, F.; et al. Expression of progranulin (Acrogranin/PCDGF/Granulin-Epithelin Precursor) in benign and malignant ovarian tumors and activation of MAPK signaling in ovarian cancer cell line. Cancer Investig. 2010, 28, 452–458. [Google Scholar] [CrossRef]
- Ho, J.C.; Ip, Y.C.; Cheung, S.T.; Lee, Y.T.; Chan, K.F.; Wong, S.Y.; Fan, S.T. Granulin-epithelin precursor as a therapeutic target for hepatocellular carcinoma. Hepatology 2008, 47, 1524–1532. [Google Scholar] [CrossRef]
- Yeh, J.E.; Kreimer, S.; Walker, S.R.; Emori, M.M.; Krystal, H.; Richardson, A.; Ivanov, A.R.; Frank, D.A. Granulin, a novel STAT3-interacting protein, enhances STAT3 transcriptional function and correlates with poorer prognosis in breast cancer. Genes Cancer 2015, 6, 153–168. [Google Scholar] [CrossRef]
- Wong, N.C.; Cheung, P.F.; Yip, C.W.; Chan, K.F.; Ng, I.O.; Fan, S.T.; Cheung, S.T. Antibody against granulin-epithelin precursor sensitizes hepatocellular carcinoma to chemotherapeutic agents. Mol. Cancer Ther. 2014, 13, 3001–3012. [Google Scholar] [CrossRef] [PubMed]
- Buraschi, S.; Xu, S.Q.; Stefanello, M.; Moskalev, I.; Morcavallo, A.; Genua, M.; Tanimoto, R.; Birbe, R.; Peiper, S.C.; Gomella, L.G.; et al. Suppression of progranulin expression inhibits bladder cancer growth and sensitizes cancer cells to cisplatin. Oncotarget 2016, 7, 39980–39995. [Google Scholar] [CrossRef] [PubMed]




| Patient Characteristics | n | Median Expression Granulin | IQR | p-Value |
|---|---|---|---|---|
| Gender | 0.192 | |||
| Male | 48 | 0.959 | 0.559–1.694 | |
| Female | 46 | 0.771 | 0.445–1.343 | |
| Age at operation | 0.03 | |||
| <median = 65 years | 40 | 0.753 | 0.435–1.133 | |
| ≥ median = 65 years | 54 | 1.012 | 0.512–1.896 | |
| BMI | 0.733 | |||
| <median = 25.7 kg/m² | 34 | 0.807 | 0.439–1.432 | |
| ≥median = 25.7 kg/m² | 34 | 0.742 | 0.462–1.433 | |
| n/a | 26 | |||
| T-Stage | 0.453 | |||
| T1 | 7 | 1.035 | 0.624–1.659 | |
| T2 | 40 | 0.76 | 0.452–1.246 | |
| T3 | 27 | 0.758 | 0.46–1.753 | |
| T4 | 20 | 0.959 | 0.63–1.818 | |
| N-Stage | 0.851 | |||
| N0 | 44 | 0.755 | 0.466–1.43 | |
| N1 | 22 | 0.882 | 0.619–1.26 | |
| N2 | 28 | 0.877 | 0.458–1.78 | |
| M-Stage | 0.085 | |||
| M0 | 61 | 0.763 | 0.454–1.302 | |
| M1 | 33 | 0.952 | 0.618–1.964 | |
| Tumor grade | 0.386 | |||
| G1 | 1 | n/a | n/a | |
| G2 | 64 | 0.815 | 0.479–1.5 | |
| G3 | 15 | 0.841 | 0.384–1.79 | |
| Resection margin status | 0.088 | |||
| R0 | 90 | 0.801 | 0.462–1.381 | |
| R1 | 3 | 2.676 | 0.953–3.423 | |
| R2 | 1 | n/a | ||
| L-Stage | 0.571 | |||
| L0 | 76 | 0.859 | 0.479–1.597 | |
| L1 | 18 | 0.741 | 0.455–1.34 | |
| V-Stage | 0.24 | |||
| V0 | 85 | 0.801 | 0.462–1.405 | |
| V1 | 9 | 1.189 | 0.605–2.247 | |
| Neoadjuvant therapy | 0.318 | |||
| Yes | 80 | 0.835 | 0.479–1.65 | |
| No | 14 | 0.785 | 0.386–1.22 | |
| Preoperative CEA | 0.394 | |||
| ≥2.5 µg/L | 54 | 0.895 | 0.497–1.469 | |
| <2.5 µg/L | 35 | 0.747 | 0.457–1.659 |
Publisher’s Note: MDPI stays neutral with regard to jurisdictional claims in published maps and institutional affiliations. |
© 2021 by the authors. Licensee MDPI, Basel, Switzerland. This article is an open access article distributed under the terms and conditions of the Creative Commons Attribution (CC BY) license (https://creativecommons.org/licenses/by/4.0/).
Share and Cite
Klupp, F.; Kahlert, C.; Franz, C.; Halama, N.; Schleussner, N.; Wirsik, N.M.; Warth, A.; Schmidt, T.; Ulrich, A.B. Granulin: An Invasive and Survival-Determining Marker in Colorectal Cancer Patients. Int. J. Mol. Sci. 2021, 22, 6436. https://doi.org/10.3390/ijms22126436
Klupp F, Kahlert C, Franz C, Halama N, Schleussner N, Wirsik NM, Warth A, Schmidt T, Ulrich AB. Granulin: An Invasive and Survival-Determining Marker in Colorectal Cancer Patients. International Journal of Molecular Sciences. 2021; 22(12):6436. https://doi.org/10.3390/ijms22126436
Chicago/Turabian StyleKlupp, Fee, Christoph Kahlert, Clemens Franz, Niels Halama, Nikolai Schleussner, Naita M. Wirsik, Arne Warth, Thomas Schmidt, and Alexis B. Ulrich. 2021. "Granulin: An Invasive and Survival-Determining Marker in Colorectal Cancer Patients" International Journal of Molecular Sciences 22, no. 12: 6436. https://doi.org/10.3390/ijms22126436
APA StyleKlupp, F., Kahlert, C., Franz, C., Halama, N., Schleussner, N., Wirsik, N. M., Warth, A., Schmidt, T., & Ulrich, A. B. (2021). Granulin: An Invasive and Survival-Determining Marker in Colorectal Cancer Patients. International Journal of Molecular Sciences, 22(12), 6436. https://doi.org/10.3390/ijms22126436

