Characterization of Glutathione Peroxidase 4 in Rat Oocytes, Preimplantation Embryos, and Selected Maternal Tissues during Early Development and Implantation
Abstract
1. Introduction
2. Results
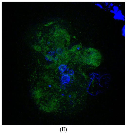
2.1. Immunofluorescent Analysis (IFA)
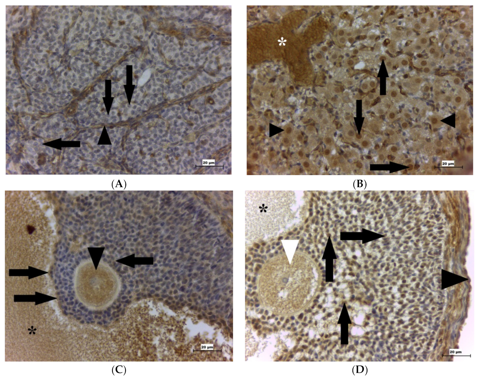
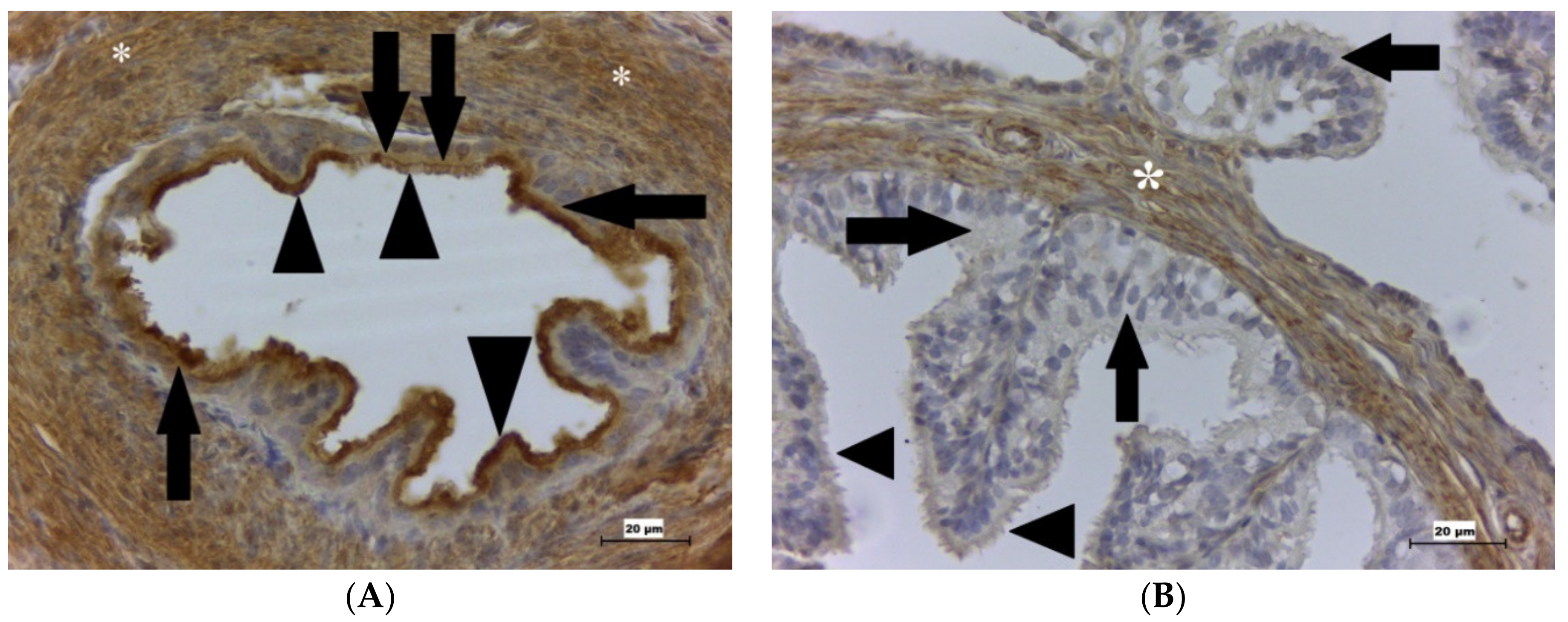
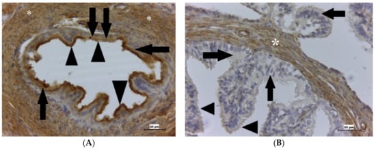
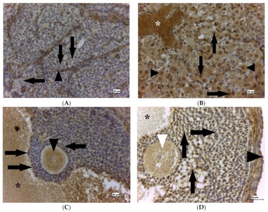
2.2. Immunohistochemistry
2.3. Western Blot Analysis
3. Discussion
4. Materials and Methods
4.1. Animals
4.2. Isolation of the Oocytes and Preimplantation Embryos
4.3. Immunofluorescent Analysis (IFA)
4.4. Immunohistochemistry (IHC)
4.5. Western Blot (WB)
5. Conclusions
Author Contributions
Funding
Institutional Review Board Statement
Informed Consent Statement
Data Availability Statement
Acknowledgments
Conflicts of Interest
Abbreviations
| BSA | Bovine serum albumin |
| cGPx4 | Cytosolic/cellular glutathione peroxidase 4 |
| Cys | Cysteine |
| D1–D5 | Corresponding day of pregnancy |
| FITC | Fluorescein-5-isothiocyanate |
| GPx | Glutathione peroxidase |
| GPx4 | Glutathione peroxidase 4 |
| H2O2 | Hydrogen peroxide |
| IFA | Immunofluorescent analysis |
| IHC | Immunohistochemistry |
| IgG | Immunoglobulin G |
| mGPx4 | Mitochondrial glutathione peroxidase 4 |
| nGPx4 | Nuclear/sperm nucleus-associated glutathione peroxidase 4 |
| O/PE | Oocytes/preimplantation embryos |
| OS | Oxidative stress |
| PBS | Phosphate buffer saline |
| ROS | Reactive oxygen species |
| RT | Room temperature |
| Sec | Selenocysteine |
| WB | Western blot |
References
- Sarkar, S.; Gupta, P. Socio-Demographic Correlates of Women′s Infertility and Treatment Seeking Behavior in India. J. Reprod. Infertil. 2016, 17, 123–132. [Google Scholar]
- Boivin, J.; Bunting, L.; Collins, J.A.; Nygren, K.G. International estimates of infertility prevalence and treatment-seeking: Potential need and demand for infertility medical care. Hum. Reprod. 2007, 22, 1506–1512. [Google Scholar] [CrossRef]
- Agarwal, A.; Hamada, A.; Esteves, S.C. Insight into oxidative stress in varicocele-associated male infertility: Part 1. Nat. Rev. Urol. 2012, 9, 678–690. [Google Scholar] [CrossRef] [PubMed]
- Thomson, R.L.; Spedding, S.; Buckley, J.D. Vitamin D in the aetiology and management of polycystic ovary syndrome. Clin. Endocrinol. 2012, 77, 343–350. [Google Scholar] [CrossRef]
- Murphy, D.; Orger, E.; Termuhlen, A.; Shannon, S.; Warren, K.; Quinn, G.P. Why healthcare providers should focus on the fertility of AYA cancer survivors: It′s not too late. Front. Oncol. 2013, 3. [Google Scholar] [CrossRef] [PubMed]
- Zegers-Hochschild, F.; Adamson, G.D.; Dyer, S.; Racowsky, C.; de Mouzon, J.; Sokol, R.; Rienzi, L.; Sunde, A.; Schmidt, L.; Cooke, I.D.; et al. The International Glossary on Infertility and Fertility Care, 2017. Hum. Reprod. 2017, 32, 1786–1801. [Google Scholar] [CrossRef] [PubMed]
- Kamel, R.M. Management of the infertile couple: An evidence-based protocol. Reprod. Biol. Endocrinol. 2010, 8. [Google Scholar] [CrossRef]
- Bisht, S.; Faiq, M.; Tolahunase, M.; Dada, R. Oxidative stress and male infertility. Nat. Rev. Urol. 2017, 14, 470–485. [Google Scholar] [CrossRef]
- Lenaz, G. Mitochondria and Reactive Oxygen Species. Which Role in Physiology and Pathology? Adv. Exp. Med. Biol. 2012, 942, 93–136. [Google Scholar] [PubMed]
- Li, R.; Jia, Z.; Trush, M.A. Defining ROS in Biology and Medicine. React. Oxyg. Species Apex 2016, 1, 9–21. [Google Scholar] [CrossRef] [PubMed]
- Noubade, R.; Wong, K.; Ota, N.; Rutz, S.; Eidenschenk, C.; Valdez, P.A.; Ding, J.B.; Peng, I.; Sebrell, A.; Caplazi, P.; et al. NRROS negatively regulates reactive oxygen species during host defence and autoimmunity. Nature 2014, 509, 235–239. [Google Scholar] [CrossRef]
- Talalay, P. Chemoprotection against cancer by induction of Phase 2 enzymes. Biofactors 2000, 12, 5–11. [Google Scholar] [CrossRef]
- Kurutas, E.B. The importance of antioxidants which play the role in cellular response against oxidative/nitrosative stress: Current state. Nutr. J. 2016, 15. [Google Scholar] [CrossRef] [PubMed]
- Yoboue, E.D.; Rimessi, A.; Anelli, T.; Pinton, P.; Sitia, R. Regulation of Calcium Fluxes by GPX8, a Type-II Transmembrane Peroxidase Enriched at the Mitochondria-Associated Endoplasmic Reticulum Membrane. Antioxid. Redox Signal. 2017, 27, 583–595. [Google Scholar] [CrossRef] [PubMed]
- Molavian, H.; Tonekaboni, A.M.; Kohandel, M.; Sivaloganathan, S. The Synergetic Coupling among the Cellular Antioxidants Glutathione Peroxidase/Peroxiredoxin and Other Antioxidants and its Effect on the Concentration of H2O2. Sci. Rep. 2015, 5. [Google Scholar] [CrossRef]
- Tosatto, S.C.; Bosello, V.; Fogolari, F.; Mauri, P.; Roveri, A.; Toppo, S.; Flohe, L.; Ursini, F.; Maiorino, M. The catalytic site of glutathione peroxidases. Antioxid. Redox Signal. 2008, 10, 1515–1526. [Google Scholar] [CrossRef]
- Brigelius-Flohe, R.; Maiorino, M. Glutathione peroxidases. Biochim. Biophys. Acta BBA Gen. Subj. 2013, 1830, 3289–3303. [Google Scholar] [CrossRef]
- Brigelius-Flohe, R.; Flohe, L. Regulatory Phenomena in the Glutathione Peroxidase Superfamily. Antioxid. Redox Signal. 2020, 33, 498–516. [Google Scholar] [CrossRef]
- Imai, H.; Nakagawa, Y. Biological significance of phospholipid hydroperoxide glutathione peroxidase (PHGPx, GPx4) in mammalian cells. Free Radic. Biol. Med. 2003, 34, 145–169. [Google Scholar] [CrossRef]
- Noblanc, A.; Kocer, A.; Chabory, E.; Vernet, P.; Saez, F.; Cadet, R.; Conrad, M.; Drevet, J.R. Glutathione Peroxidases at Work on Epididymal Spermatozoa: An Example of the Dual Effect of Reactive Oxygen Species on Mammalian Male Fertilizing Ability. J. Androl. 2011, 32, 641–650. [Google Scholar] [CrossRef] [PubMed]
- Imai, H.; Hirao, F.; Sakamoto, T.; Sekine, K.; Mizukura, Y.; Saito, M.; Kitamoto, T.; Hayasaka, M.; Hanaoka, K.; Nakagawa, Y. Early embryonic lethality caused by targeted disruption of the mouse PHGPx gene. Biochem. Biophys. Res. Commun. 2003, 305, 278–286. [Google Scholar] [CrossRef]
- Schneider, M.; Forster, H.; Boersma, A.; Seiler, A.; Wehnes, H.; Sinowatz, F.; Neumuller, C.; Deutsch, M.J.; Walch, A.; de Angelis, M.H.; et al. Mitochondrial glutathione peroxidase 4 disruption causes male infertility. FASEB J. 2009, 23, 3233–3242. [Google Scholar] [CrossRef]
- Pfeifer, H.; Conrad, M.; Roethlein, D.; Kyriakopoulos, A.; Brielmeier, M.; Bornkamm, G.W.; Behne, D. Identification of a specific sperm nuclei selenoenzyme necessary for protamine thiol cross-linking during sperm maturation. FASEB J. 2001, 15, 1236–1238. [Google Scholar] [CrossRef]
- Conrad, M.; Moreno, S.G.; Sinowatz, F.; Ursini, F.; Kolle, S.; Roveri, A.; Brielmeier, M.; Wurst, W.; Maiorino, M.; Bornkamm, G.W. The nuclear form of phospholipid hydroperoxide glutathione peroxidase is a protein thiol peroxidase contributing to sperm chromatin stability. Mol. Cell. Biol. 2005, 25, 7637–7644. [Google Scholar] [CrossRef]
- Liang, H.; Yoo, S.E.; Na, R.; Walter, C.A.; Richardson, A.; Ran, Q. Short form glutathione peroxidase 4 is the essential isoform required for survival and somatic mitochondrial functions. J. Biol. Chem. 2009, 284, 30836–30844. [Google Scholar] [CrossRef] [PubMed]
- Yant, L.J.; Ran, Q.T.; Rao, L.; Van Remmen, H.; Shibatani, T.; Belter, J.G.; Motta, L.; Richardson, A.; Prolla, T.A. The selenoprotein GPX4 is essential for mouse development and protects from radiation and oxidative damage insults. Free Radic. Biol. Med. 2003, 34, 496–502. [Google Scholar] [CrossRef]
- Ballesteros-Guzman, A.K.; Carrasco-Legleu, C.E.; Levario-Carrillo, M.; Chavez-Corral, D.V.; Sanchez-Ramirez, B.; Marinelarena-Carrillo, E.O.; Guerrero-Salgado, F.; Reza-Lopez, S.A. Prepregnancy Obesity, Maternal Dietary Intake, and Oxidative Stress Biomarkers in the Fetomaternal Unit. Biomed Res. Int. 2019, 2019, 5070453. [Google Scholar] [CrossRef] [PubMed]
- Peng, X.G.; Lin, Y.; Li, J.L.; Liu, M.C.; Wang, J.L.; Li, X.Y.; Liu, J.J.; Jia, X.W.; Jing, Z.C.; Huang, Z.Z.; et al. Evaluation of Glutathione Peroxidase 4 role in Preeclampsia. Sci. Rep. 2016, 6. [Google Scholar] [CrossRef]
- Tsukamoto, S.; Tatsumi, T. Degradation of maternal factors during preimplantation embryonic development. J. Reprod. Dev. 2018, 64, 217–222. [Google Scholar] [CrossRef]
- Wai, T.; Teoli, D.; Shoubridge, E.A. The mitochondrial DNA genetic bottleneck results from replication of a subpopulation of genomes. Nat. Genet. 2008, 40, 1484–1488. [Google Scholar] [CrossRef]
- Cummins, J.M. Mitochondria: Potential roles in embryogenesis and nucleocytoplasmic transfer. Hum. Reprod. Update 2001, 7, 217–228. [Google Scholar] [CrossRef] [PubMed][Green Version]
- Lee, H.S.; Ma, H.; Juanes, R.C.; Tachibana, M.; Sparman, M.; Woodward, J.; Ramsey, C.; Xu, J.; Kang, E.J.; Amato, P.; et al. Rapid Mitochondrial DNA Segregation in Primate Preimplantation Embryos Precedes Somatic and Germline Bottleneck. Cell Rep. 2012, 1, 506–515. [Google Scholar] [CrossRef] [PubMed]
- Dumollard, R.; Duchen, M.; Carroll, J. The role of mitochondrial function in the oocyte and embryo. Curr. Top. Dev. Biol. 2007, 77, 21–49. [Google Scholar]
- Kankofer, M.; Wawrzykowski, J.; Giergiel, M. Sex- and age-dependent activity of glutathione peroxidase in reproductive organs in pre- and post-pubertal cattle in relation to total antioxidant capacity. Aging Clin. Exp. Res. 2013, 25, 365–370. [Google Scholar] [CrossRef]
- Imai, H.; Matsuoka, M.; Kumagai, T.; Sakamoto, T.; Koumura, T. Lipid Peroxidation-Dependent Cell Death Regulated by GPx4 and Ferroptosis. Curr. Top. Microbiol. 2017, 403, 143–170. [Google Scholar]
- Yoo, S.E.; Chen, L.; Na, R.; Liu, Y.; Rios, C.; Van Remmen, H.; Richardson, A.; Ran, Q. Gpx4 ablation in adult mice results in a lethal phenotype accompanied by neuronal loss in brain. Free Radic. Biol. Med. 2012, 52, 1820–1827. [Google Scholar] [CrossRef]
- Baek, I.J.; Seo, D.S.; Yon, J.M.; Lee, S.R.; Jin, Y.; Nahm, S.S.; Jeong, J.H.; Choo, Y.K.; Kang, J.K.; Lee, B.J.; et al. Tissue expression and cellular localization of phospholipid hydroperoxide glutathione peroxidase (PHGPx) mRNA in male mice. J. Mol. Histol. 2007, 38, 237–244. [Google Scholar] [CrossRef]
- Yang, H.X.; Qazi, I.H.; Pan, B.; Angel, C.; Guo, S.C.; Yang, J.Y.; Zhang, Y.; Ming, Z.; Zeng, C.J.; Meng, Q.Y.; et al. Dietary Selenium Supplementation Ameliorates Female Reproductive Efficiency in Aging Mice. Antioxidants 2019, 8, 634. [Google Scholar] [CrossRef]
- Ceko, M.; Shir, Y.; Ouellet, J.A.; Ware, M.A.; Stone, L.S.; Seminowicz, D.A. Partial Recovery of Abnormal Insula and Dorsolateral Prefrontal Connectivity to Cognitive Networks in Chronic Low Back Pain After Treatment. Hum. Brain Mapp. 2015, 36, 2075–2092. [Google Scholar] [CrossRef] [PubMed]
- Irving-Rodgers, H.F.; Harland, M.L.; Sullivan, T.R.; Rodgers, R.J. Studies of granulosa cell maturation in dominant and subordinate bovine follicles: Novel extracellular matrix focimatrix is co-ordinately regulated with cholesterol side-chain cleavage CYP11A1. Reproduction 2009, 137, 825–834. [Google Scholar] [CrossRef]
- Krest, C.M.; Onderko, E.L.; Yosca, T.H.; Calixto, J.C.; Karp, R.F.; Livada, J.; Rittle, J.; Green, M.T. Reactive Intermediates in Cytochrome P450 Catalysis. J. Biol. Chem. 2013, 288, 17074–17081. [Google Scholar] [CrossRef]
- Matsuda, F.; Inoue, N.; Manabe, N.; Ohkura, S. Follicular Growth and Atresia in Mammalian Ovaries: Regulation by Survival and Death of Granulosa Cells. J. Reprod. Dev. 2012, 58, 44–50. [Google Scholar] [CrossRef] [PubMed]
- Wang, S.J.; Liu, B.R.; Liu, W.J.; Xiao, Y.; Zhang, H.L.; Yang, L.G. The effects of melatonin on bovine uniparental embryos development in vitro and the hormone secretion of COCs. PeerJ 2017, 5, e3485. [Google Scholar] [CrossRef] [PubMed]
- Li, R.; Albertini, D.F. The road to maturation: Somatic cell interaction and self-organization of the mammalian oocyte. Nat. Rev. Mol. Cell Biol. 2013, 14, 141–152. [Google Scholar] [CrossRef]
- Choi, J.; Jo, M.; Lee, E.; Choi, D. Induction of apoptotic cell death via accumulation of autophagosomes in rat granulosa cells. Fertil. Steril. 2011, 95, 1482–1486. [Google Scholar] [CrossRef]
- Jiang, J.Y.; Cheung, C.K.M.; Wang, Y.F.; Tsang, B.K. Regulation of cell death and cell survival gene expression during ovarian follicular development and atresia. Front. Biosci. 2003, 8, D222–D237. [Google Scholar] [PubMed]
- Koli, R.; Chowdary, H.; Gupta, S.; Williams, J.; Agarwal, A.; Combelles, C. Correlation between the dynamics of total antioxidant capacity (TAC) and glutathione peroxidase (GPx) activity and the sizes of bovine antral follicles and follicle dominance. Fertil. Steril. 2007, 88, S303. [Google Scholar] [CrossRef]
- Carbone, M.C.; Tatone, C.; Delle Monache, S.; Marci, R.; Caserta, D.; Colonna, R.; Amicarelli, F. Antioxidant enzymatic defences in human follicular fluid: Characterization and age-dependent changes. Mol. Hum. Reprod. 2003, 9, 639–643. [Google Scholar] [CrossRef] [PubMed]
- Fang, Y.; Zhang, J.L.; Li, Y.H.; Guo, X.F.; Li, J.J.; Zhong, R.Z.; Zhang, X.S. Melatonin-induced demethylation of antioxidant genes increases antioxidant capacity through ROR alpha in cumulus cells of prepubertal lambs. Free Radic. Biol. Med. 2019, 131, 173–183. [Google Scholar] [CrossRef] [PubMed]
- Huang, Z.Q.; Pang, Y.W.; Hao, H.S.; Du, W.H.; Zhao, X.M.; Zhu, H.B. Effects of epigallocatechin-3-gallate on bovine oocytes matured in vitro. Asian Aust. J. Anim. Sci. 2018, 31, 1420–1430. [Google Scholar] [CrossRef]
- Dalto, B.D.; Tsoi, S.; Audet, I.; Dyck, M.K.; Foxcroft, G.R.; Matte, J.J. Gene expression of porcine blastocysts from gilts fed organic or inorganic selenium and pyridoxine. Reproduction 2015, 149, 31–42. [Google Scholar] [CrossRef]
- Ma, Y.L.; Lindemann, M.D.; Pierce, J.L.; Unrine, J.M.; Cromwell, G.L. Effect of inorganic or organic selenium supplementation on reproductive performance and tissue trace mineral concentrations in gravid first-parity gilts, fetuses, and nursing piglets. J. Anim. Sci. 2014, 92, 5540–5550. [Google Scholar] [CrossRef][Green Version]
- Mendieta-Serrano, M.A.; Schnabel, D.; Lomeli, H.; Salas-Vidal, E. Spatial and temporal expression of zebrafish glutathione peroxidase 4 a and b genes during early embryo development. Gene Expr. Patterns 2015, 19, 98–107. [Google Scholar] [CrossRef]
- Brutsch, S.H.; Wang, C.C.; Li, L.; Stender, H.; Neziroglu, N.; Richter, C.; Kuhn, H.; Borchert, A. Expression of inactive glutathione peroxidase 4 leads to embryonic lethality, and inactivation of the Alox15 gene does not rescue such knock-in mice. Antioxid. Redox Signal. 2015, 22, 281–293. [Google Scholar] [CrossRef]
- Luberda, Z. The role of glutathione in mammalian gametes. Reprod. Biol. 2005, 5, 5–17. [Google Scholar] [PubMed]
- El Mouatassim, S.; Guerin, P.; Menezo, Y. Expression of genes encoding antioxidant enzymes in human and mouse oocytes during the final stages of maturation. Mol. Hum. Reprod. 1999, 5, 720–725. [Google Scholar] [CrossRef] [PubMed]
- Meseguer, M.; de los Santos, M.J.; Simon, C.; Pellicer, A.; Remohi, J.; Garrido, N. Effect of sperm glutathione peroxidases 1 and 4 on embryo asymmetry and blastocyst quality in oocyte donation cycles. Fertil. Steril. 2006, 86, 1376–1385. [Google Scholar] [CrossRef] [PubMed]
- Fukui, Y.; Kikuchi, Y.; Kondo, H.; Mizushima, S. Fertilizability and developmental capacity of individually cultured bovine oocytes. Theriogenology 2000, 53, 1553–1565. [Google Scholar] [CrossRef]
- Lapointe, J.; Kimmins, S.; Maclaren, L.A.; Bilodeau, J.F. Estrogen selectively up-regulates the phospholipid hydroperoxide glutathione peroxidase in the oviducts. Endocrinology 2005, 146, 2583–2592. [Google Scholar] [CrossRef] [PubMed]
- Yildiz, S.; Naziroglu, M.; Kaya, I.; Aydilek, N.; Yuce, A. Effects of palm oil on lipid peroxidation, reduced glutathione, glutathione peroxidase, and vitamin A levels in the Corpus uteri, Cornu uteri and Corpus luteum of young and adult female sheep. J. Vet. Med. A 2002, 49, 373–378. [Google Scholar] [CrossRef]
- Ota, H.; Igarashi, S.; Kato, N.; Tanaka, T. Aberrant expression of glutathione peroxidase in eutopic and ectopic endometrium in endometriosis and adenomyosis. Fertil. Steril. 2000, 74, 313–318. [Google Scholar] [CrossRef]
- Garry, M.R.; Kavanagh, T.J.; Faustman, E.M.; Sidhu, J.S.; Liao, R.L.; Ware, C.; Vliet, P.A.; Deeb, S.S. Sensitivity of mouse lung fibroblasts heterozygous for GPx4 to oxidative stress. Free Radic. Biol. Med. 2008, 44, 1075–1087. [Google Scholar] [CrossRef] [PubMed]
- Roland-Zejly, L.; Moisan, V.; St-Pierre, I.; Bilodeau, J.F. Altered placental glutathione peroxidase mRNA expression in preeclampsia according to the presence or absence of labor. Placenta 2011, 32, 161–167. [Google Scholar] [CrossRef]
- Schneider, M.; Weisenhorn, D.M.V.; Seiler, A.; Bornkamm, G.W.; Brielmeler, M.; Conrad, M. Embryonic expression profile of phospholipid hydroperoxide glutathione peroxidase. Gene. Expr. Patterns 2006, 6, 489–494. [Google Scholar] [CrossRef]
- Sakai, O.; Yasuzawa, T.; Sumikawa, Y.; Ueta, T.; Imai, H.; Sawabe, A.; Ueshima, S. Role of GPx4 in human vascular endothelial cells, and the compensatory activity of brown rice on GPx4 ablation condition. Pathophysiology 2017, 24, 9–15. [Google Scholar] [CrossRef]
- Toborek, M.; Lee, Y.W.; Garrido, R.; Kaiser, S.; Hennig, B. Unsaturated fatty acids selectively induce an inflammatory environment in human endothelial cells. Am. J. Clin. Nutr. 2002, 75, 119–125. [Google Scholar] [CrossRef] [PubMed]
- Lan, X.W.; Xing, J.; Gao, H.Y.; Li, S.; Quan, L.N.; Jiang, Y.; Ding, S.H.; Xue, Y.W. Decreased Expression of Selenoproteins as a Poor Prognosticator of Gastric Cancer in Humans. Biol. Trace Elem. Res. 2017, 178, 22–28. [Google Scholar] [CrossRef]
- Canli, O.; Alankus, Y.B.; Grootjans, S.; Vegi, N.; Hultner, L.; Hoppe, P.S.; Schroeder, T.; Vandenabeele, P.; Bornkamm, G.W.; Greten, F.R. Glutathione peroxidase 4 prevents necroptosis in mouse erythroid precursors. Blood 2016, 127, 139–148. [Google Scholar] [CrossRef] [PubMed]
- Brigelius-Flohe, R.; Maurer, S.; Lotzer, K.; Bol, G.F.; Kallionpaa, H.; Lehtolainen, P.; Viita, H.; Yla-Herttuala, S. Overexpression of PHGPx inhibits hydroperoxide-induced oxidation, NF kappa B activation and apoptosis and affects oxLDL-mediated proliferation of rabbit aortic smooth muscle cells. Atherosclerosis 2000, 152, 307–316. [Google Scholar] [CrossRef]
- Puglisi, R.; Maccari, I.; Pipolo, S.; Conrad, M.; Mangia, F.; Boitani, C. The nuclear form of glutathione peroxidase 4 is associated with sperm nuclear matrix and is required for proper paternal chromatin decondensation at fertilization. J. Cell Physiol. 2012, 227, 1420–1427. [Google Scholar] [CrossRef] [PubMed]
- Maiorino, M.; Mauri, P.; Roveri, A.; Benazzi, L.; Toppo, S.; Bosello, V.; Ursini, F. Primary structure of the nuclear forms of phospholipid hydroperoxide glutathione peroxidase (PHGPx) in rat spermatozoa. FEBS Lett. 2005, 579, 667–670. [Google Scholar] [CrossRef]
- Rendi, M.H.; Muehlenbachs, A.; Garcia, R.L.; Boyd, K.L.; Ginbson-Corley, K.N. Female reproductive system. In Comparative Anatomy and Histology, 2nd ed.; Treuting, P., Dintzis, S., Montine, K.S., Eds.; Academic Press: Cambridge, MA, USA, 2017; pp. 303–334. ISBN 9780128029190. [Google Scholar]
- Chelikani, P.; Fita, I.; Loewen, P.C. Diversity of structures and properties among catalases. Cell. Mol. Life Sci. 2004, 61, 192–208. [Google Scholar] [CrossRef]
- Sefcikova, Z.; Babel’ova, J.; Cikos, S.; Kovarikova, V.; Burkus, J.; Spirkova, A.; Koppel, J.; Fabian, D. Fipronil causes toxicity in mouse preimplantation embryos. Toxicology 2018, 410, 214–221. [Google Scholar] [CrossRef]
- Baran, V.; Solc, P.; Kovarikova, V.; Rehak, P.; Sutovsky, P. Polo-Like Kinase 1 Is Essential for the First Mitotic Division in the Mouse Embryo. Mol. Reprod. Dev. 2013, 80, 522–534. [Google Scholar] [CrossRef] [PubMed]
- Liu, Y.H.; Fan, X.R.; Yue, M.S.; Yue, W.D.; Zhang, X.R.; Zhang, J.W.; Ren, G.Y.; He, J.P. Expression and localization of meiosis-associated protein in gonads of female rats at different stages. Acta Histochem. 2020, 122. [Google Scholar] [CrossRef] [PubMed]
- Feckova, B.; Kimakova, P.; Ilkovicova, L.; Szentpeteriova, E.; Macejova, M.; Kosuth, J.; Zulli, A.; Debeljak, N.; Hudler, P.; Jasek, K.; et al. Methylation of the first exon in the erythropoietin receptor gene does not correlate with its mRNA and protein level in cancer cells. BMC Genet. 2019, 20, 1. [Google Scholar] [CrossRef]






Publisher’s Note: MDPI stays neutral with regard to jurisdictional claims in published maps and institutional affiliations. |
© 2021 by the authors. Licensee MDPI, Basel, Switzerland. This article is an open access article distributed under the terms and conditions of the Creative Commons Attribution (CC BY) license (https://creativecommons.org/licenses/by/4.0/).
Share and Cite
Kreheľová, A.; Kovaříková, V.; Domoráková, I.; Solár, P.; Pastornická, A.; Pavliuk-Karachevtseva, A.; Rybárová, S.; Hodorová, I.; Mihalik, J. Characterization of Glutathione Peroxidase 4 in Rat Oocytes, Preimplantation Embryos, and Selected Maternal Tissues during Early Development and Implantation. Int. J. Mol. Sci. 2021, 22, 5174. https://doi.org/10.3390/ijms22105174
Kreheľová A, Kovaříková V, Domoráková I, Solár P, Pastornická A, Pavliuk-Karachevtseva A, Rybárová S, Hodorová I, Mihalik J. Characterization of Glutathione Peroxidase 4 in Rat Oocytes, Preimplantation Embryos, and Selected Maternal Tissues during Early Development and Implantation. International Journal of Molecular Sciences. 2021; 22(10):5174. https://doi.org/10.3390/ijms22105174
Chicago/Turabian StyleKreheľová, Andrea, Veronika Kovaříková, Iveta Domoráková, Peter Solár, Alena Pastornická, Andriana Pavliuk-Karachevtseva, Silvia Rybárová, Ingrid Hodorová, and Jozef Mihalik. 2021. "Characterization of Glutathione Peroxidase 4 in Rat Oocytes, Preimplantation Embryos, and Selected Maternal Tissues during Early Development and Implantation" International Journal of Molecular Sciences 22, no. 10: 5174. https://doi.org/10.3390/ijms22105174
APA StyleKreheľová, A., Kovaříková, V., Domoráková, I., Solár, P., Pastornická, A., Pavliuk-Karachevtseva, A., Rybárová, S., Hodorová, I., & Mihalik, J. (2021). Characterization of Glutathione Peroxidase 4 in Rat Oocytes, Preimplantation Embryos, and Selected Maternal Tissues during Early Development and Implantation. International Journal of Molecular Sciences, 22(10), 5174. https://doi.org/10.3390/ijms22105174

