Optomechanical Processing of Silver Colloids: New Generation of Nanoparticle–Polymer Composites with Bactericidal Effect
Abstract
1. Introduction
2. Theoretical Background
3. Results and Discussion
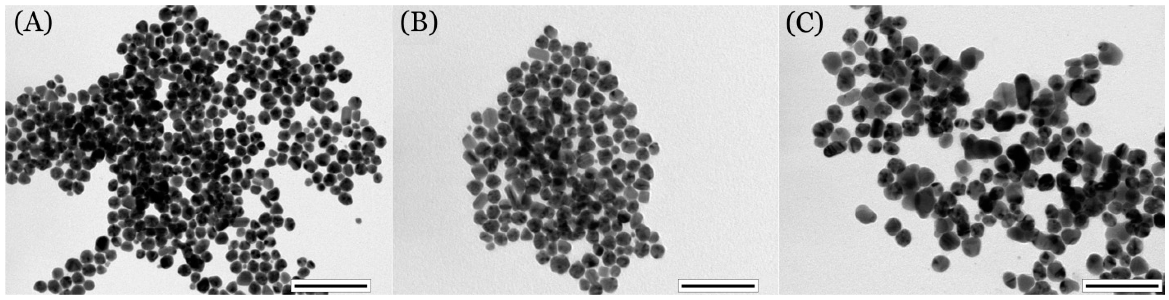
3.1. Characterization of AgNPs Colloids
3.2. Laser Immobilization and Surface Characterization of Polymers
3.3. Antibacterial Potency of AgNPs Decorated PET
3.4. Mechanism of AgNPs Incorporation into Polymers
3.4.1. Radiation Pressure and Absorption Cross Section
3.4.2. Local Temperature of Ag Nanoparticles
3.4.3. Increase of Temperature of AgNP Colloid on Macroscopic Level
4. Experimental
4.1. Materials, Apparatus and Procedures
4.2. Materials, Apparatus and Procedures
5. Conclusions and Future Perspectives
Author Contributions
Funding
Institutional Review Board Statement
Informed Consent Statement
Data Availability Statement
Acknowledgments
Conflicts of Interest
References
- Jiang, Z.J.; Liu, C.Y.; Sun, L.W. Catalytic properties of silver nanoparticles supported on silica spheres. J. Phys. Chem. B 2005, 109, 1730–1735. [Google Scholar] [CrossRef]
- Eisa, W.H.; Zayed, M.F.; Anis, B.; Abbas, L.M.; Ali, S.S.M.; Mostafa, A.M. Clean production of powdery silver nanoparticles using zingiber officinale: The structural and catalytic properties. J. Clean Prod. 2019, 241, 118398. [Google Scholar] [CrossRef]
- Shimoga, G.; Shin, E.-J.; Kim, S.-Y. Silver nanoparticles incorporated pvc films: Evaluation of structural, thermal, dielectric and catalytic properties. Polimeros 2019, 29, 29. [Google Scholar] [CrossRef]
- Huy, T.Q.; Huyen, P.T.M.; Le, A.-T.; Tonezzer, M. Recent advances of silver nanoparticles in cancer diagnosis and treatment. Anti-Cancer Agents Med. Chem. 2019, 20, 1276–1287. [Google Scholar] [CrossRef] [PubMed]
- Polivkova, M.; Hubacek, T.; Staszek, M.; Svorcik, V.; Siegel, J. Antimicrobial treatment of polymeric medical devices by silver nanomaterials and related technology. Int. J. Mol. Sci. 2017, 18, 419. [Google Scholar] [CrossRef] [PubMed]
- Marassi, V.; Di Cristo, L.; Smith, S.G.J.; Ortelli, S.; Blosi, M.; Costa, A.L.; Reschiglian, P.; Volkov, Y.; Prina-Mello, A. Silver nanoparticles as a medical device in healthcare settings: A five-step approach for candidate screening of coating agents. R. Soc. Open Sci. 2018, 5, 171113. [Google Scholar] [CrossRef] [PubMed]
- Liu, Y.; Zhang, D.; Alocilja, E.C.; Chakrabartty, S. Biomolecules detection using a silver-enhanced gold nanoparticle-based biochip. Nanoscale Res. Lett. 2010, 5, 533–538. [Google Scholar] [CrossRef]
- Ling, D.; Li, H.; Xi, W.; Wang, Z.; Bednarkiewicz, A.; Dibaba, S.T.; Shi, L.; Sun, L. Heterodimers made of metal-organic frameworks and upconversion nanoparticles for bioimaging and ph-responsive dual-drug delivery. J. Mater. Chem. B 2020, 8, 1316–1325. [Google Scholar] [CrossRef]
- Sunita, P.; Palaniswamy, M. A bio-inspired approach of formulation and evaluation of aegle marmelos fruit extract mediated silver nanoparticle gel and comparison of its antibacterial activity with antiseptic cream. Eur. J. Integr. Med. 2020, 33, 101025. [Google Scholar]
- Bu, Y.; Zhang, S.; Cai, Y.; Yang, Y.; Ma, S.; Huang, J.; Yang, H.; Ye, D.; Zhou, Y.; Xu, W.; et al. Fabrication of durable antibacterial and superhydrophobic textiles via in situ synthesis of silver nanoparticle on tannic acid-coated viscose textiles. Cellulose 2019, 26, 2109–2122. [Google Scholar] [CrossRef]
- Sharma, P.; Pant, S.; Rai, S.; Yadav, R.B.; Dave, V. Green synthesis of silver nanoparticle capped with allium cepa and their catalytic reduction of textile dyes: An ecofriendly approach. J. Polym. Environ. 2018, 26, 1795–1803. [Google Scholar] [CrossRef]
- Svorcik, V.; Kolska, Z.; Siegel, J.; Slepicka, P. “Short” dithiol and au nanoparticles grafting on plasma treated polyethyleneterephthalate. J. Nano Res. 2013, 25, 40–48. [Google Scholar] [CrossRef]
- Svorcik, V.; Kolska, Z.; Kvitek, O.; Siegel, J.; Reznickova, A.; Rezanka, P.; Zaruba, K. “Soft and rigid” dithiols and au nanoparticles grafting on plasma-treated polyethyleneterephthalate. Nanoscale Res. Lett. 2011, 6, 607. [Google Scholar] [CrossRef]
- Svatora, R.; Darveau, S.; Exstrom, C. Stability of gold nanoparticle-based films deposited on plasma-etched borosilicate glass via a layer-by-layer physisorption technique. Abstr. Pap. Am. Chem. S. 2015, 249, 1155. [Google Scholar]
- Yu, J.; Liao, F.; Liu, F.; Gu, F.; Zeng, H. Surface-enhanced fluorescence in metal nanoparticle-doped polymer nanofibers via waveguiding excitation. Appl. Phys. Lett. 2017, 110, 163101. [Google Scholar] [CrossRef]
- Firestein, K.L.; Kvashnin, D.G.; Sheveyko, A.N.; Sukhorukova, I.V.; Kovalskii, A.M.; Matveev, A.T.; Lebedev, O.I.; Sorokin, P.B.; Golberg, D.; Shtansky, D.V. Structural analysis and atomic simulation of ag/bn nanoparticle hybrids obtained by ag ion implantation. Mater. Des. 2016, 98, 167–173. [Google Scholar] [CrossRef]
- Nguyenova, H.Y.; Vokata, B.; Zaruba, K.; Siegel, J.; Kolska, Z.; Svorcik, V.; Slepicka, P.; Reznickova, A. Silver nanoparticles grafted onto pet: Effect of preparation method on antibacterial activity. React. Funct. Polym. 2019, 145, 104376. [Google Scholar] [CrossRef]
- Baei, P.; Jalili-Firoozinezhad, S.; Rajabi-Zeleti, S.; Tafazzoli-Shadpour, M.; Baharvand, H.; Aghdami, N. Electrically conductive gold nanoparticle-chitosan thermosensitive hydrogels for cardiac tissue engineering. Mater. Sci. Eng. C 2016, 63, 131–141. [Google Scholar] [CrossRef]
- Siegel, J.; Lyutakov, O.; Polívková, M.; Staszek, M.; Hubáček, T.; Švorčík, V. Laser-assisted immobilization of colloid silver nanoparticles on polyethyleneterephthalate. Appl. Surf. Sci. 2017, 420, 661–668. [Google Scholar] [CrossRef]
- Dienerowitz, M.; Mazilu, M.; Dholakia, K. Optical manipulation of nanoparticles: A review. J. Nanophotonics 2008, 2, 021875. [Google Scholar] [CrossRef]
- Du, J.; Yuen, C.-H.; Li, X.; Ding, K.; Du, G.; Lin, Z.; Chan, C.T.; Ng, J. Tailoring optical gradient force and optical scattering and absorption force. Sci. Rep. 2017, 7, 18042. [Google Scholar] [CrossRef] [PubMed]
- Lehmuskero, A.; Johansson, P.; Rubinsztein-Dunlop, H.; Tong, L.M.; Kall, M. Laser trapping of colloidal metal nanoparticles. ACS Nano 2015, 9, 3453–3469. [Google Scholar] [CrossRef] [PubMed]
- Jose Saenz, J. Optical forces laser tractor beams. Nat. Photonics 2011, 5, 514–515. [Google Scholar] [CrossRef]
- Gao, D.; Shi, R.; Huang, Y.; Gao, L. Fano-enhanced pulling and pushing optical force on active plasmonic nanoparticles. Phys. Rev. A 2017, 96, 96. [Google Scholar] [CrossRef]
- Sukhov, S.; Dogariu, A. Negative nonconservative forces: Optical “tractor beams” for arbitrary objects. Phys. Rev. Lett. 2011, 107, 203602. [Google Scholar] [CrossRef] [PubMed]
- Huang, H.; Sivayoganathan, M.; Duley, W.W.; Zhou, Y. Efficient localized heating of silver nanoparticles by low-fluence femtosecond laser pulses. Appl. Surf. Sci. 2015, 331, 392–398. [Google Scholar] [CrossRef]
- Bastus, N.G.; Piella, J.; Puntes, V. Quantifying the sensitivity of multipolar (dipolar, quadrupolar, and octapolar) surface plasmon resonances in silver nanoparticles: The effect of size, composition, and surface coating. Langmuir 2016, 32, 290–300. [Google Scholar] [CrossRef]
- Bruzzone, S.; Malvaldi, M. Local field effects on laser-induced heating of metal nanoparticles. J. Phys. Chem. C 2009, 113, 15805–15810. [Google Scholar] [CrossRef]
- Govorov, A.O.; Richardson, H.H. Generating heat with metal nanoparticles. Nano Today 2007, 2, 30–38. [Google Scholar] [CrossRef]
- Liu, X.; Shan, G.; Yu, J.; Yang, W.; Ren, Z.; Wang, X.; Xie, X.; Chen, H.-J.; Chen, X. Laser heating of metallic nanoparticles for photothermal ablation applications. AIP Adv. 2017, 7, 025308. [Google Scholar] [CrossRef]
- Qiu, J.; Wei, W.D. Surface plasmon-mediated photothermal chemistry. J. Phys. Chem. C 2014, 118, 20735–20749. [Google Scholar] [CrossRef]
- Liu, L.; Peng, P.; Hu, A.; Zou, G.; Duley, W.W.; Zhou, Y.N. Highly localized heat generation by femtosecond laser induced plasmon excitation in ag nanowires. Appl. Phys. Lett. 2013, 102, 073107. [Google Scholar] [CrossRef]
- Popov, A.K.; Brummer, J.; Tanke, R.S.; Taft, G.; Loth, M.; Langlois, R.; Wruck, A.; Schmitz, R. Synthesis of isolated silver nanoparticles and their aggregates manipulated by light. Laser Phys. Lett. 2006, 3, 546–552. [Google Scholar] [CrossRef][Green Version]
- Siegel, J.; Sulakova, P.; Kaimlova, M.; Svorcik, V.; Hubacek, T. Underwater laser treatment of pet: Effect of processing parameters on surface morphology and chemistry. Appl. Sci. Basel 2018, 8, 2389. [Google Scholar] [CrossRef]
- Malinsky, P.; Siegel, J.; Hnatowicz, V.; Mackova, A.; Svorcik, V. Simulation of rbs spectra with known 3d sample surface roughness. Nucl. Phys. B 2017, 406, 99–103. [Google Scholar] [CrossRef]
- Herigstad, B.; Hamilton, M.; Heersink, J. How to optimize the drop plate method for enumerating bacteria. J. Microbiol. Methods 2001, 44, 121–129. [Google Scholar] [CrossRef]
- Polívková, M.; Štrublová, V.; Hubáček, T.; Rimpelová, S.; Švorčík, V.; Siegel, J. Surface characterization and antibacterial response of silver nanowire arrays supported on laser-treated polyethylene naphthalate. Mater. Sci. Eng. C 2017, 72, 512–518. [Google Scholar] [CrossRef]
- Elashnikov, R.; Radocha, M.; Panov, I.; Rimpelova, S.; Ulbrich, P.; Michalcova, A.; Svorcik, V.; Lyutakov, O. Porphyrin-silver nanoparticles hybrids: Synthesis, characterization and antibacterial activity. Mater. Sci. Eng. C 2019, 102, 192–199. [Google Scholar] [CrossRef]
- Pišlová, M.; Kolářová, K.; Vokatá, B.; Brož, A.; Ulbrich, P.; Bačáková, L.; Kolská, Z.; Švorčík, V. A new way to prepare gold nanoparticles by sputtering—sterilization, stability and other properties. Mater. Sci. Eng. C 2020, 115, 111087. [Google Scholar] [CrossRef]
- Siegel, J.; Polivkova, M.; Staszek, M.; Kolarova, K.; Rimpelova, S.; Svorcik, V. Nanostructured silver coatings on polyimide and their antibacterial response. Mater. Lett. 2015, 145, 87–90. [Google Scholar] [CrossRef]
- Staszek, M.; Siegel, J.; Kolarova, K.; Rimpelova, S.; Svorcik, V. Formation and antibacterial action of pt and pd nanoparticles sputtered into liquid. Micro Nano Lett. 2014, 9, 778–781. [Google Scholar] [CrossRef]
- Chernousova, S.; Epple, M. Silver as antibacterial agent: Ion, nanoparticle, and metal. Angew. Chem. Int. Ed. 2013, 52, 1636–1653. [Google Scholar] [CrossRef] [PubMed]
- Zhang, T.; Wang, L.; Chen, Q.; Chen, C. Cytotoxic potential of silver nanoparticles. Yonsei Med. J. 2014, 55, 283–291. [Google Scholar] [CrossRef] [PubMed]
- Park, E.-J.; Yi, J.; Kim, Y.; Choi, K.; Park, K. Silver nanoparticles induce cytotoxicity by a trojan-horse type mechanism. Toxicol. Vitr. 2010, 24, 872–878. [Google Scholar] [CrossRef] [PubMed]
- Peterbauer, T.; Yakunin, S.; Siegel, J.; Hering, S.; Fahrner, M.; Romanin, C.; Heitz, J. Dynamics of spreading and alignment of cells cultured in vitro on a grooved polymer surface. J. Nanomater. 2011, 2011. [Google Scholar] [CrossRef]
- Estevez, M.B.; Raffaelli, S.; Mitchell, S.G.; Faccio, R.; Alborés, S. Biofilm eradication using biogenic silver nanoparticles. Molecules 2020, 25, 2023. [Google Scholar] [CrossRef]
- Liu, Y.; Shi, L.; Su, L.; van der Mei, H.C.; Jutte, P.C.; Ren, Y.; Busscher, H.J. Nanotechnology-based antimicrobials and delivery systems for biofilm-infection control. Chem. Soc. Rev. 2019, 48, 428–446. [Google Scholar] [CrossRef]
- Fujii, M. Fundamental correction of mie’s scattering theory for the analysis of the plasmonic resonance of a metal nanosphere. Phys. Rev. A 2014, 89, 033805. [Google Scholar] [CrossRef]
- van de Hulst, H.C. Light Scattering by Small Particles, 2nd ed.; Dover Publications: New York, NY, USA, 1981; pp. 18–68. [Google Scholar]
- Sumlin, B.J.; Heinson, W.R.; Chakrabarty, R.K. Retrieving the aerosol complex refractive index using pymiescatt: A mie computational package with visualization capabilities. J. Quant. Spectros. Radiat. Transf. 2018, 205, 127–134. [Google Scholar] [CrossRef]
- Stahrenberg, K.; Herrmann, T.; Wilmers, K.; Esser, N.; Richter, W.; Lee, M.J.G. Optical properties of copper and silver in the energy range 2.5-9.0 ev. Phys. Rev. B 2001, 64, 115111. [Google Scholar] [CrossRef]
- Zensen, C.; Villadsen, N.; Winterer, F.; Keiding, S.R.; Lohmueller, T. Pushing nanoparticles with light—A femtonewton resolved measurement of optical scattering forces. Appl. Photonics 2016, 1, 026102. [Google Scholar] [CrossRef]
- Marago, O.M.; Jones, P.H.; Gucciardi, P.G.; Volpe, G.; Ferrari, A.C. Optical trapping and manipulation of nanostructures. Nat. Nanotechnol. 2013, 8, 807–819. [Google Scholar] [CrossRef]
- Rajabpour, A.; Seif, R.; Arabha, S.; Heyhat, M.M.; Merabia, S.; Hassanali, A. Thermal transport at a nanoparticle-water interface: A molecular dynamics and continuum modeling study. J. Chem. Phys. 2019, 150, 114701. [Google Scholar] [CrossRef] [PubMed]
- Merabia, S.; Shenogin, S.; Joly, L.; Keblinski, P.; Barrat, J.-L. Heat transfer from nanoparticles: A corresponding state analysis. Proc. Natl. Acad. Sci. USA 2009, 106, 15113–15118. [Google Scholar] [CrossRef] [PubMed]
- Hu, M.; Keblinski, P.; Schelling, P.K. Kapitza conductance of silicon-amorphous polyethylene interfaces by molecular dynamics simulations. Phys. Rev. B 2009, 79, 104305. [Google Scholar] [CrossRef]
- Ziade, E.; Goni, M.; Sato, T.; Czubarow, P.; Schmidt, A.J. Thermal conductance of nanoscale langmuir-blodgett films. Appl. Phys. Lett. 2015, 107, 221603. [Google Scholar] [CrossRef]
- Putnam, S.A.; Cahill, D.G.; Ash, B.J.; Schadler, L.S. High-precision thermal conductivity measurements as a probe of polymer/nanoparticle interfaces. J. Appl. Phys. 2003, 94, 6785–6788. [Google Scholar] [CrossRef]
- Sandell, S.; Maire, J.; Chavez-Angel, E.; Sotomayor Torres, C.M.; Kristiansen, H.; Zhang, Z.; He, J. Enhancement of thermal boundary conductance of metal-polymer system. Nanomaterials 2020, 10, 670. [Google Scholar] [CrossRef]
- Kosky, P.; Balmer, R.; Keat, W.; Wise, G. Mechanical Engineering. In Exploring Engineering, 3rd ed.; Kosky, P., Balmer, R., Keat, W., Wise, G., Eds.; Academic Press: Boston, FL, USA, 2013; pp. 259–281. [Google Scholar]


















| Polymer | Laser Fluence (mJ cm−2) | Element Concentration (at. %) | |||
|---|---|---|---|---|---|
| Ag | C | O | N | ||
| PET | 0 | - | 86.4 | 13.6 | - |
| 14 | 11.3 | 72.3 | 16.4 | - | |
| 22 | 13.5 | 70.9 | 15.6 | - | |
| PEN | 0 | - | 77.8 | 22.2 | - |
| 14 | 7.3 | 70.1 | 22.6 | - | |
| 22 | 7.5 | 72.2 | 20.3 | - | |
| PEEK | 0 | - | 86.4 | 13.6 | - |
| 14 | 11.3 | 72.3 | 16.4 | - | |
| 22 | 13.5 | 70.9 | 15.6 | - | |
| PA 6,6 | 0 | - | 75.0 | 12.5 | 12.5 |
| 14 | 0.5 | 77.5 | 12.4 | 9.6 | |
| 22 | 3.6 | 73.4 | 12.5 | 10.5 | |
| PI | 0 | - | 75.8 | 17.3 | 6.9 |
| 14 | 8.8 | 68.9 | 18.9 | 5.4 | |
| 22 | 11.3 | 67.8 | 18.1 | 2.8 | |
| Polymer | laser Fluence (mJ cm−2) | Concentration of Ag ions (μg/L) | |
|---|---|---|---|
| 3 h | 24 h | ||
| PET | 14 | 0.36 | 0.56 |
| 22 | 0.87 | 1.34 | |
| PEN | 14 | 0.48 | 0.72 |
| 22 | 0.57 | 0.84 | |
| PEEK | 14 | 0.28 | 0.31 |
| 22 | 0.45 | 0.66 | |
| PA 6,6 | 14 | 0.07 | 0.13 |
| 22 | 0.14 | 0.19 | |
| PI | 14 | 0.13 | 0.34 |
| 22 | 0.20 | 0.44 | |
| Conductance (MW m−2 K−1) | Polymer | Crystal | Object | Ref. |
|---|---|---|---|---|
| 69.3 ± 17.1 | PVAc, Le phase | Si | film | [57] |
| 74.9 ± 18.1 | PVAc, Le phase | Si | film | [57] |
| 80.8 ± 9.4 | PVAc, Le phase | Au | film | [57] |
| 93.6 ± 18.0 | PVAc, Le phase | Au | film | [57] |
| 30.0 ± 10.0 | PMMA | Al2O3 | nanoparticle | [58] |
| 26.0 ± 13.0 | PMMA | Al2O3 | nanoparticle | [58] |
| 59.0 | PMMA | Si/Au | film | [59] |
| 115.0 | PMMA | Si/Ti/Au | film | [59] |
Publisher’s Note: MDPI stays neutral with regard to jurisdictional claims in published maps and institutional affiliations. |
© 2020 by the authors. Licensee MDPI, Basel, Switzerland. This article is an open access article distributed under the terms and conditions of the Creative Commons Attribution (CC BY) license (http://creativecommons.org/licenses/by/4.0/).
Share and Cite
Siegel, J.; Kaimlová, M.; Vyhnálková, B.; Trelin, A.; Lyutakov, O.; Slepička, P.; Švorčík, V.; Veselý, M.; Vokatá, B.; Malinský, P.; et al. Optomechanical Processing of Silver Colloids: New Generation of Nanoparticle–Polymer Composites with Bactericidal Effect. Int. J. Mol. Sci. 2021, 22, 312. https://doi.org/10.3390/ijms22010312
Siegel J, Kaimlová M, Vyhnálková B, Trelin A, Lyutakov O, Slepička P, Švorčík V, Veselý M, Vokatá B, Malinský P, et al. Optomechanical Processing of Silver Colloids: New Generation of Nanoparticle–Polymer Composites with Bactericidal Effect. International Journal of Molecular Sciences. 2021; 22(1):312. https://doi.org/10.3390/ijms22010312
Chicago/Turabian StyleSiegel, Jakub, Markéta Kaimlová, Barbora Vyhnálková, Andrii Trelin, Oleksiy Lyutakov, Petr Slepička, Václav Švorčík, Martin Veselý, Barbora Vokatá, Petr Malinský, and et al. 2021. "Optomechanical Processing of Silver Colloids: New Generation of Nanoparticle–Polymer Composites with Bactericidal Effect" International Journal of Molecular Sciences 22, no. 1: 312. https://doi.org/10.3390/ijms22010312
APA StyleSiegel, J., Kaimlová, M., Vyhnálková, B., Trelin, A., Lyutakov, O., Slepička, P., Švorčík, V., Veselý, M., Vokatá, B., Malinský, P., Šlouf, M., Hasal, P., & Hubáček, T. (2021). Optomechanical Processing of Silver Colloids: New Generation of Nanoparticle–Polymer Composites with Bactericidal Effect. International Journal of Molecular Sciences, 22(1), 312. https://doi.org/10.3390/ijms22010312

