Parental SIRT1 Overexpression Attenuate Metabolic Disorders Due to Maternal High-Fat Feeding
Abstract
1. Introduction
2. Results
2.1. SIRT1 Overexpression Reduced Body Weight and Visceral Fat Mass in Dams and Sires
2.2. The Effects of Parental SIRT1 Overexpression on Anthropometric and Metabolic Profiles in Offspring
2.3. Maternal SIRT1 Overexpression Improved Adipocyte Morphology in MHF Offspring
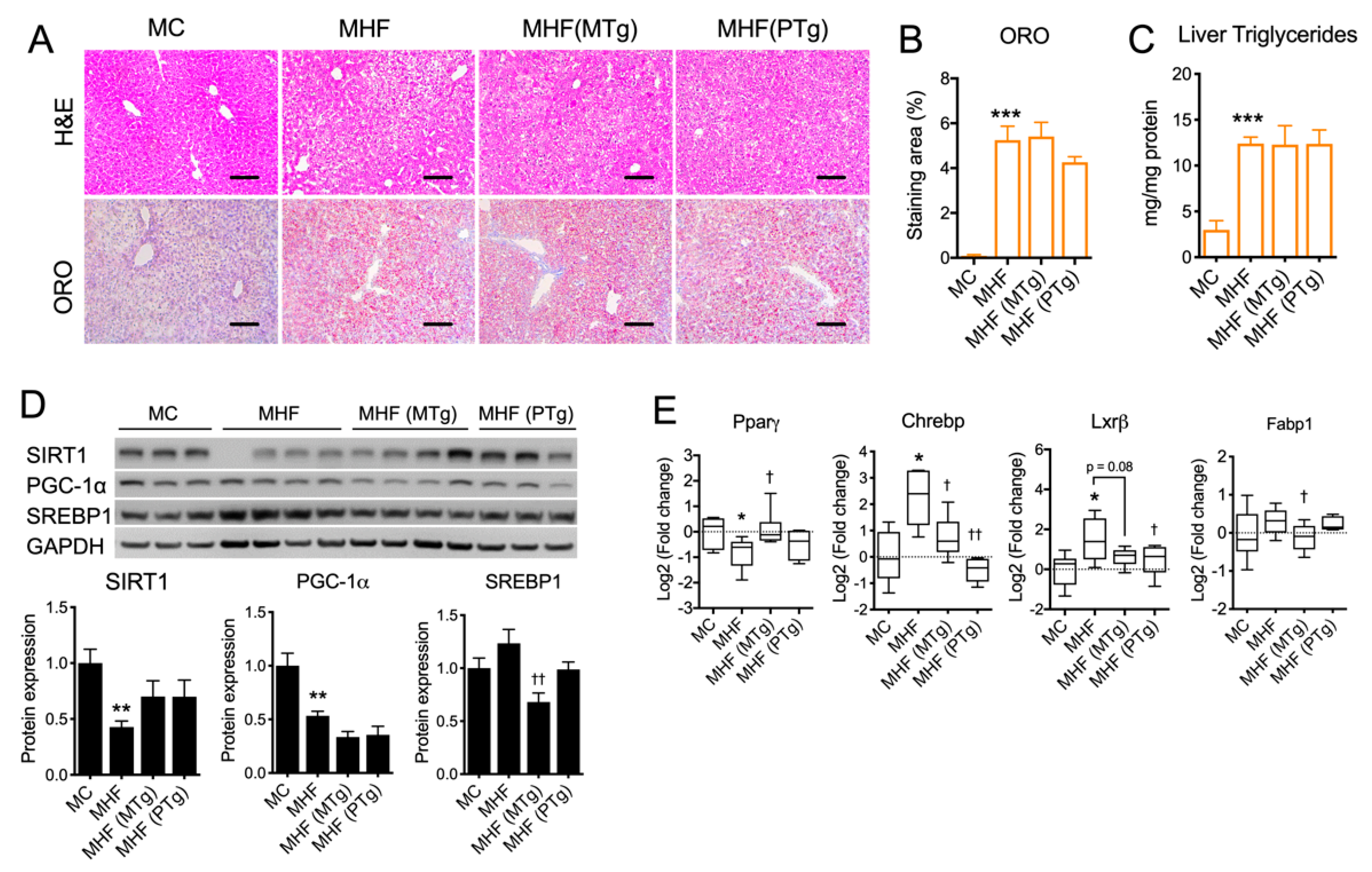
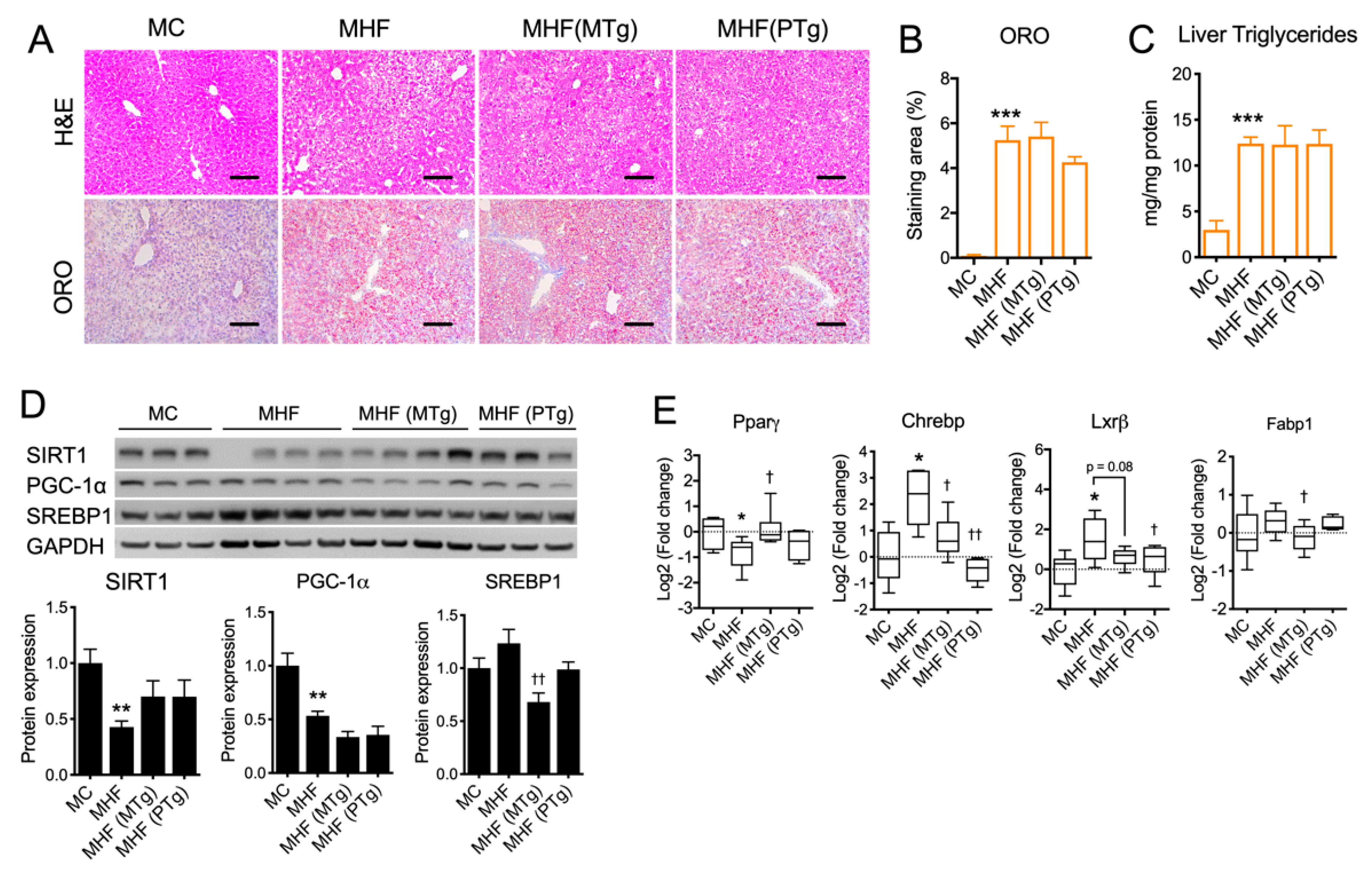
2.4. Parental SIRT1 Overexpression Attenuated Liver Lipogenesis Markers but not Steatosis in MHF Offspring
2.5. Parental SIRT1 Overexpression Suppressed Hepatic Inflammation in MHF Offspring
2.6. Parental SIRT1 Overexpression Suppressed Global Methylation in MHF Offspring Liver
3. Discussion
4. Materials and Methods
4.1. Animals
4.2. Milk Intake Estimation
4.3. Intraperitoneal Glucose Tolerance Test (IPGTT)
4.4. Tissue Collection
4.5. Protein and Lipid Extraction
4.6. Blood Insulin, Free Fatty Acid and Triglyceride Assay
4.7. Histological Analysis
4.8. Quantitative RT-PCR
4.9. Immunoblotting
4.10. Global DNA Methylation Analysis
4.11. Statistical Analysis
Supplementary Materials
Author Contributions
Funding
Acknowledgments
Conflicts of Interest
Abbreviations
| ACEC | Animal Care and Ethics Committee |
| Akt | Protein kinase B |
| AMPK | AMP kinase |
| AUC | Area under the curve |
| BGL | Blood glucose level |
| CAT | Catalase |
| ChREBP | Carbohydrate response-element-binding protein |
| DNMT | DNA methyltransferase |
| Epi | Epididymal |
| FABP | Fatty acid binding protein |
| GLUT | Glucose transporter |
| GPO-PAP | glycerine phosphate oxidase peroxidase |
| GPX | Glutathione peroxidase |
| HFD | High-fat diet |
| HOMA-IR | Homeostatic Model Assessment of Insulin Resistance |
| IPGTT | Intraperitoneal glucose tolerance test |
| MCP-1 | Macrophage chemotactic protein 1 |
| MHF | Maternal high-fat diet consumption |
| MTg | Maternal SIRT1 overexpression |
| NOX | NADPH oxidase |
| NPY | Neuropeptide Y |
| Ob-Rb | Leptin receptor |
| PGC-1α | Peroxisome proliferator-activated receptor gamma coactivator 1-α |
| POMC | Proopiomelanocortin |
| PPAR | Peroxisome proliferator-activated receptors |
| PTg | Paternal SIRT1 overexpression |
| ROS | Reactive oxygen species |
| Rp | Retroperitoneal |
| SIRT | Silent information regulator |
| SOD | Superoxide dismutase |
| SREBP | Acetylated sterol regulatory element binding proteins |
| Tg | Transgenic |
| TGF-β | Transforming growth factor beta |
| TNFα | Tumour necrosis factor alpha |
| WAT | White adipose tissue |
| WT | Wildtype |
References
- WHO. Owerweight and Obesity Factsheet; WHO: Geneva, Switzerland, 2015. [Google Scholar]
- ABS. Australian Health Survey: Biomedical Results for Chronic Diseases, 2011–2012; Australian Bureau of Statistics: Canberra, Australia, 2013.
- Rodgers, A.B.; Morgan, C.P.; Leu, N.A.; Bale, T.L. Transgenerational epigenetic programming via sperm microRNA recapitulates effects of paternal stress. Proc. Natl. Acad. Sci. USA 2015, 112, 13699–13704. [Google Scholar] [CrossRef] [PubMed]
- Nguyen, L.T.; Chen, H.; Pollock, C.A.; Saad, S. Sirtuins—mediators of maternal obesity-induced complications in offspring? FASEB J. 2016, 30, 1383–1390. [Google Scholar] [CrossRef] [PubMed]
- Vaziri, H.; Dessain, S.K.; Eaton, E.N.; Imai, S.-I.; Frye, R.A.; Pandita, T.K.; Guarente, L.; Weinberg, R.A. hSIR2SIRT1 functions as an NAD-dependent p53 deacetylase. Cell 2001, 107, 149–159. [Google Scholar] [CrossRef]
- Cohen, H.Y.; Miller, C.; Bitterman, K.J.; Wall, N.R.; Hekking, B.; Kessler, B.; Howitz, K.T.; Gorospe, M.; de Cabo, R.; Sinclair, D.A. Calorie Restriction Promotes Mammalian Cell Survival by Inducing the SIRT1 Deacetylase. Science 2004, 305, 390. [Google Scholar] [CrossRef] [PubMed]
- Bordone, L.; Cohen, D.; Robinson, A.; Motta, M.C.; Van Veen, E.; Czopik, A.; Steele, A.D.; Crowe, H.; Marmor, S.; Luo, J. SIRT1 transgenic mice show phenotypes resembling calorie restriction. Aging Cell 2007, 6, 759–767. [Google Scholar] [CrossRef] [PubMed]
- Hubbard, B.P.; Sinclair, D.A. Small molecule SIRT1 activators for the treatment of aging and age-related diseases. Trends Pharmacol. Sci. 2014, 35, 146–154. [Google Scholar] [CrossRef] [PubMed]
- Nguyen, L.T.; Chen, H.; Zaky, A.; Pollock, C.; Saad, S. SIRT1 overexpression attenuates offspring metabolic and liver disorders as a result of maternal high-fat feeding. J. Physiol. 2019, 597, 467–480. [Google Scholar] [CrossRef]
- Nguyen, L.T.; Chen, H.; Mak, C.; Zaky, A.; Pollock, C.; Saad, S. SRT1720 attenuates obesity and insulin resistance but not liver damage in the offspring due to maternal and postnatal high-fat diet consumption. Am. J. Physiol.-Endocrinol. Metab. 2018, 315, E196–E203. [Google Scholar] [CrossRef]
- Qiao, L.; Guo, Z.; Bosco, C.; Guidotti, S.; Wang, Y.; Wang, M.; Parast, M.; Schaack, J.; Hay, W.W.; Moore, T.R. Maternal High Fat Feeding Increases Placenta Lipoprotein Lipase Activity by Reducing Sirt1 Expression in Mice. Diabetes 2015, db141627. [Google Scholar]
- Luo, L.-L.; Chen, X.-C.; Fu, Y.-C.; Xu, J.-J.; Li, L.; Lin, X.-H.; Xiang, Y.-F.; Zhang, X.-M. The effects of caloric restriction and a high-fat diet on ovarian lifespan and the expression of SIRT1 and SIRT6 proteins in rats. Aging Clin. Exp. Res. 2012, 24, 125–133. [Google Scholar] [CrossRef]
- Zhou, X.-L.; Xu, J.-J.; Ni, Y.-H.; Chen, X.-C.; Zhang, H.-X.; Zhang, X.-M.; Liu, W.-J.; Luo, L.-L.; Fu, Y.-C. SIRT1 activator (SRT1720) improves the follicle reserve and prolongs the ovarian lifespan of diet-induced obesity in female mice via activating SIRT1 and suppressing mTOR signaling. J. Ovarian Res. 2014, 7, 97. [Google Scholar] [CrossRef] [PubMed]
- Di Emidio, G.; Falone, S.; Vitti, M.; D’Alessandro, A.M.; Vento, M.; Di Pietro, C.; Amicarelli, F.; Tatone, C. SIRT1 signalling protects mouse oocytes against oxidative stress and is deregulated during aging. Hum. Reprod. 2014, 29, 2006–2017. [Google Scholar] [CrossRef] [PubMed]
- Zhang, T.; Zhou, Y.; Li, L.; Wang, H.-H.; Ma, X.-S.; Qian, W.-P.; Shen, W.; Schatten, H.; Sun, Q.-Y. SIRT1, 2, 3 protect mouse oocytes from postovulatory aging. Aging (Albany N. Y.) 2016, 8, 685–694. [Google Scholar] [CrossRef] [PubMed]
- Chang, H.-C.; Guarente, L. SIRT1 and other sirtuins in metabolism. Trends Endocrinol. Metab. 2014, 25, 138–145. [Google Scholar] [CrossRef]
- Lagouge, M.; Argmann, C.; Gerhart-Hines, Z.; Meziane, H.; Lerin, C.; Daussin, F.; Messadeq, N.; Milne, J.; Lambert, P.; Elliott, P. Resveratrol improves mitochondrial function and protects against metabolic disease by activating SIRT1 and PGC-1α. Cell 2006, 127, 1109–1122. [Google Scholar] [CrossRef]
- Purushotham, A.; Schug, T.T.; Xu, Q.; Surapureddi, S.; Guo, X.; Li, X. Hepatocyte-specific deletion of SIRT1 alters fatty acid metabolism and results in hepatic steatosis and inflammation. Cell Metab. 2009, 9, 327–338. [Google Scholar] [CrossRef]
- Nguyen, L.T.; Chen, H.; Pollock, C.; Saad, S. SIRT1 reduction is associated with sex-specific dysregulation of renal lipid metabolism and stress responses in offspring by maternal high-fat diet. Sci. Rep. 2017, 7, 1–13. [Google Scholar] [CrossRef]
- Sasaki, T.; Kim, H.J.; Kobayashi, M.; Kitamura, Y.I.; Yokota-Hashimoto, H.; Shiuchi, T.; Minokoshi, Y.; Kitamura, T. Induction of hypothalamic Sirt1 leads to cessation of feeding via agouti-related peptide. Endocrinology 2010, 151, 2556–2566. [Google Scholar] [CrossRef]
- Oben, J.A.; Mouralidarane, A.; Samuelsson, A.-M.; Matthews, p.J.; Morgan, M.L.; Mckee, C.; Soeda, J.; Fernandez-Twinn, D.S.; Martin-Gronert, M.S.; Ozanne, S.E. Maternal obesity during pregnancy and lactation programs the development of offspring non-alcoholic fatty liver disease in mice. J. Hepatol. 2010, 52, 913–920. [Google Scholar] [CrossRef]
- Borengasser, S.J.; Kang, P.; Faske, J.; Gomez-Acevedo, H.; Blackburn, M.L.; Badger, T.M.; Shankar, K. High fat diet and in utero exposure to maternal obesity disrupts circadian rhythm and leads to metabolic programming of liver in rat offspring. PLoS ONE 2014, 9, e84209. [Google Scholar] [CrossRef]
- Ables, G.P. Update on pparγ and nonalcoholic Fatty liver disease. PPAR Res. 2012, 2012, 912351. [Google Scholar] [CrossRef] [PubMed][Green Version]
- Kim, H.-I.; Ahn, Y.-H. Role of Peroxisome Proliferator-Activated Receptor-γ in the Glucose-Sensing Apparatus of Liver and β-Cells. Diabetes 2004, 53, S60–S65. [Google Scholar] [CrossRef] [PubMed]
- Cagnone, G.L.M.; Tsai, T.-S.; Makanji, Y.; Matthews, P.; Gould, J.; Bonkowski, M.S.; Elgass, K.D.; Wong, A.S.A.; Wu, L.E.; McKenzie, M.; et al. Restoration of normal embryogenesis by mitochondrial supplementation in pig oocytes exhibiting mitochondrial DNA deficiency. Sci. Rep. 2016, 6, 23229. Available online: https://www.nature.com/articles/srep23229#supplementary-information (accessed on 2 October 2020). [CrossRef] [PubMed]
- Coussens, M.; Maresh, J.G.; Yanagimachi, R.; Maeda, G.; Allsopp, R. Sirt1 Deficiency Attenuates Spermatogenesis and Germ Cell Function. PLoS ONE 2008, 3, e1571. [Google Scholar] [CrossRef]
- Michels, K.B.; Harris, H.R.; Barault, L. Birthweight, maternal weight trajectories and global DNA methylation of LINE-1 repetitive elements. PLoS ONE 2011, 6, e25254. [Google Scholar] [CrossRef]
- Glastras, S.J.; Chen, H.; Tsang, M.; Teh, R.; McGrath, R.T.; Zaky, A.; Chen, J.; Wong, M.G.; Pollock, C.A.; Saad, S. The renal consequences of maternal obesity in offspring are overwhelmed by postnatal high fat diet. PLoS ONE 2017, 12, e0172644. [Google Scholar] [CrossRef]
- Glastras, S.; Tsang, M.; Teh, R.; Chen, H.; McGrath, R.; Zaky, A.; Pollock, C.; Saad, S. Maternal Obesity Promotes Diabetic Nephropathy in Rodent Offspring. Sci. Rep. 2015, 6, 27769. [Google Scholar] [CrossRef]
- Firestein, R.; Blander, G.; Michan, S.; Oberdoerffer, P.; Ogino, S.; Campbell, J.; Bhimavarapu, A.; Luikenhuis, S.; de Cabo, R.; Fuchs, C.; et al. The SIRT1 deacetylase suppresses intestinal tumorigenesis and colon cancer growth. PLoS ONE 2008, 3, e2020. [Google Scholar] [CrossRef]
- Ying, F.; Cai, Y.; Cai, Y.; Wang, Y.; Tang, E.H.C. Prostaglandin E receptor subtype 4 regulates lipid droplet size and mitochondrial activity in murine subcutaneous white adipose tissue. FASEB J. Off. Publ. Fed. Am. Soc. Exp. Biol. 2017, 31, 4023–4036. [Google Scholar] [CrossRef]





| Group | MC | MHF | MHF (MTg) | MHF (PTg) |
|---|---|---|---|---|
| n | 16 | 20 | 12 | 23 |
| BW | 8.26 | 11.59 *** | 9.33 ††† | 9.87 ††† |
| SEM | 0.04 | 0.04 | 0.09 | 0.06 |
| EpiWAT (g) | 0.024 | 0.131 *** | 0.073 ††† | 0.092 ††† |
| SEM | 0.000 | 0.002 | 0.002 | 0.001 |
| EpiWAT (%BW) | 0.292 | 1.120 *** | 0.771 ††† | 0.920 †† |
| SEM | 0.004 | 0.012 | 0.021 | 0.007 |
| RpWAT (g) | 0.0061 | 0.0289 *** | 0.0182 †† | 0.0277 |
| SEM | 0.0001 | 0.0003 | 0.0005 | 0.0004 |
| RpWAT (%BW) | 0.073 | 0.249 *** | 0.195 † | 0.280 |
| SEM | 0.002 | 0.003 | 0.005 | 0.004 |
| Liver (g) | 0.400 | 0.648 *** | 0.521 †† | 0.479 ††† |
| SEM | 0.004 | 0.005 | 0.012 | 0.004 |
| Liver (%BW) | 4.846 | 5.552 ** | 5.489 | 4.833 †† |
| SEM | 0.050 | 0.032 | 0.085 | 0.029 |
| Milk intake (g) | 0.036 | 0.134 ** | 0.042 †† | 0.095 |
| SEM | 0.005 | 0.005 | 0.008 | 0.004 |
| Blood leptin level | 0.998 | 2.545 * | 4.476 † | 3.667 |
| SEM | 0.042 | 0.211 | 0.246 | 0.453 |
| Fasting BGL (mM) | 10.26 | 13.31 *** | 12.64 | 13.27 |
| SEM | 0.09 | 0.15 | 0.28 | 0.06 |
| IPGTT AUC | 957 | 1636 *** | 1214 † | 1412 |
| SEM | 17 | 89 | 28 | 77 |
| Fasting insulin level (μIU/mL) | 17.40 | 27.03 * | 24.58 | 24.74 |
| SEM | 0.85 | 1.02 | 1.38 | 0.64 |
| HOMA-IR | 7.72 | 15.35 ** | 14.49 | 14.45 |
| SEM | 0.30 | 0.86 | 1.05 | 0.86 |
| Blood triglyceride level (μM) | 0.303 | 1.392 *** | 0.775 † | 0.771 † |
| SEM | 0.014 | 0.092 | 0.090 | 0.082 |
| Blood NEFA level (μM) | 0.272 | 0.944 *** | 0.519 ††† | 0.439 ††† |
| SEM | 0.006 | 0.026 | 0.031 | 0.012 |
© 2020 by the authors. Licensee MDPI, Basel, Switzerland. This article is an open access article distributed under the terms and conditions of the Creative Commons Attribution (CC BY) license (http://creativecommons.org/licenses/by/4.0/).
Share and Cite
Nguyen, L.T.; Saad, S.; Chen, H.; Pollock, C.A. Parental SIRT1 Overexpression Attenuate Metabolic Disorders Due to Maternal High-Fat Feeding. Int. J. Mol. Sci. 2020, 21, 7342. https://doi.org/10.3390/ijms21197342
Nguyen LT, Saad S, Chen H, Pollock CA. Parental SIRT1 Overexpression Attenuate Metabolic Disorders Due to Maternal High-Fat Feeding. International Journal of Molecular Sciences. 2020; 21(19):7342. https://doi.org/10.3390/ijms21197342
Chicago/Turabian StyleNguyen, Long T., Sonia Saad, Hui Chen, and Carol A. Pollock. 2020. "Parental SIRT1 Overexpression Attenuate Metabolic Disorders Due to Maternal High-Fat Feeding" International Journal of Molecular Sciences 21, no. 19: 7342. https://doi.org/10.3390/ijms21197342
APA StyleNguyen, L. T., Saad, S., Chen, H., & Pollock, C. A. (2020). Parental SIRT1 Overexpression Attenuate Metabolic Disorders Due to Maternal High-Fat Feeding. International Journal of Molecular Sciences, 21(19), 7342. https://doi.org/10.3390/ijms21197342

