Immunohistological Expression of SOX-10 in Triple-Negative Breast Cancer: A Descriptive Analysis of 113 Samples
Abstract
1. Introduction
2. Results
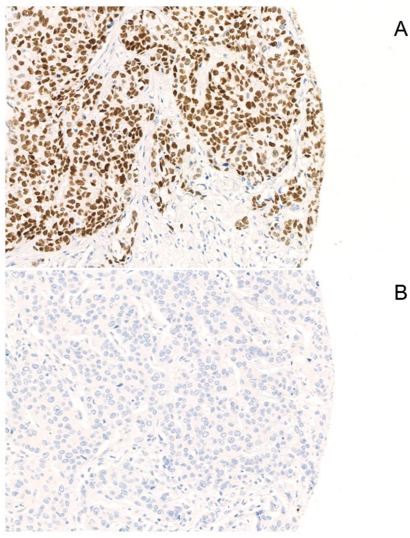
2.1. SOX-10 Positivity Is Associated with Low Tumor Size at First Diagnosis
2.2. SOX-10-Positive Cases Show a Higher Proportion of CD117 and Vimentin Positivity
2.3. Higher Proportion of TP53 Mutations and Lower Proportion of PIK3K Pathway Alterations in SOX-10-Positive Patients
2.4. Survival Analysis
3. Discussion
4. Materials and Methods
4.1. Patient Characteristics
4.2. Immunohistochemistry
4.3. Semiconductor-Based Panel Sequencing
4.4. Statistical Analysis
5. Conclusions
Supplementary Materials
Author Contributions
Funding
Acknowledgments
Conflicts of Interest
References
- Tudrej, K.B.; Czepielewska, E.; Kozlowska-Wojciechowska, M. SOX10-MITF pathway activity in melanoma cells. Arch. Med. Sci. 2017, 13, 1493–1503. [Google Scholar] [CrossRef] [PubMed]
- Gambichler, T.; Petig, A.L.; Stockfleth, E.; Stucker, M. Expression of SOX10, ABCB5 and CD271 in melanocytic lesions and correlation with survival data of patients with melanoma. Clin. Exp. Dermatol. 2016, 41, 709–716. [Google Scholar] [CrossRef] [PubMed]
- Plaza, J.A.; Bonneau, P.; Prieto, V.; Sangueza, M.; Mackinnon, A.; Suster, D.; Bacchi, C.; Estrozi, B.; Kazakov, D.; Kacerovska, D.; et al. Desmoplastic melanoma: An updated immunohistochemical analysis of 40 cases with a proposal for an additional panel of stains for diagnosis. J. Cutan. Pathol. 2016, 43, 313–323. [Google Scholar] [CrossRef] [PubMed]
- Miettinen, M.; McCue, P.A.; Sarlomo-Rikala, M.; Biernat, W.; Czapiewski, P.; Kopczynski, J.; Thompson, L.D.; Lasota, J.; Wang, Z.; Fetsch, J.F. Sox10—A marker for not only schwannian and melanocytic neoplasms but also myoepithelial cell tumors of soft tissue: A systematic analysis of 5134 tumors. Am. J. Surg. Pathol. 2015, 39, 826–835. [Google Scholar] [CrossRef] [PubMed]
- Lezcano, C.; Ho, J.; Seethala, R.R. Sox10 and DOG1 Expression in Primary Adnexal Tumors of the Skin. Am. J. Dermatopathol. 2017, 39, 896–902. [Google Scholar] [CrossRef]
- Yin, H.; Qin, C.; Zhao, Y.; Du, Y.; Sheng, Z.; Wang, Q.; Song, Q.; Chen, L.; Liu, C.; Xu, T. SOX10 is over-expressed in bladder cancer and contributes to the malignant bladder cancer cell behaviors. Clin. Transl. Oncol. 2017, 19, 1035–1044. [Google Scholar] [CrossRef]
- Nelson, E.R.; Sharma, R.; Argani, P.; Cimino-Mathews, A. Utility of Sox10 labeling in metastatic breast carcinomas. Hum. Pathol. 2017, 67, 205–210. [Google Scholar] [CrossRef]
- Kato, M.; Nishihara, H.; Hayashi, H.; Kimura, T.; Ishida, Y.; Wang, L.; Tsuda, M.; Tanino, M.A.; Tanaka, S. Clinicopathological evaluation of Sox10 expression in diffuse-type gastric adenocarcinoma. Med. Oncol. 2017, 34, 8. [Google Scholar] [CrossRef]
- Zhou, D.; Bai, F.; Zhang, X.; Hu, M.; Zhao, G.; Zhao, Z.; Liu, R. SOX10 is a novel oncogene in hepatocellular carcinoma through Wnt/beta-catenin/TCF4 cascade. Tumour Biol. J. Int. Soc. Oncodev. Biol. Med. 2014, 35, 9935–9940. [Google Scholar] [CrossRef]
- Zhao, Y.; Liu, Z.G.; Tang, J.; Zou, R.F.; Chen, X.Y.; Jiang, G.M.; Qiu, Y.F.; Wang, H. High expression of Sox10 correlates with tumor aggressiveness and poor prognosis in human nasopharyngeal carcinoma. OncoTargets Ther. 2016, 9, 1671–1677. [Google Scholar] [CrossRef]
- Kwon, A.Y.; Heo, I.; Lee, H.J.; Kim, G.; Kang, H.; Heo, J.H.; Kim, T.H.; An, H.J. Sox10 expression in ovarian epithelial tumors is associated with poor overall survival. Virchows Arch. Int. J. Pathol. 2016, 468, 597–605. [Google Scholar] [CrossRef] [PubMed]
- Zhong, W.D.; Qin, G.Q.; Dai, Q.S.; Han, Z.D.; Chen, S.M.; Ling, X.H.; Fu, X.; Cai, C.; Chen, J.H.; Chen, X.B.; et al. SOXs in human prostate cancer: Implication as progression and prognosis factors. BMC Cancer 2012, 12, 248. [Google Scholar] [CrossRef] [PubMed]
- Ivanov, S.V.; Panaccione, A.; Nonaka, D.; Prasad, M.L.; Boyd, K.L.; Brown, B.; Guo, Y.; Sewell, A.; Yarbrough, W.G. Diagnostic SOX10 gene signatures in salivary adenoid cystic and breast basal-like carcinomas. Br. J. Cancer 2013, 109, 444–451. [Google Scholar] [CrossRef] [PubMed]
- Hsieh, M.S.; Lee, Y.H.; Chang, Y.L. SOX10-positive salivary gland tumors: A growing list, including mammary analogue secretory carcinoma of the salivary gland, sialoblastoma, low-grade salivary duct carcinoma, basal cell adenoma/adenocarcinoma, and a subgroup of mucoepidermoid carcinoma. Hum. Pathol. 2016, 56, 134–142. [Google Scholar] [CrossRef] [PubMed]
- Lebeau, A.; Kriegsmann, M.; Burandt, E.; Sinn, H.P. Invasive breast cancer: The current WHO classification. Der Pathol. 2014, 35, 7–17. [Google Scholar] [CrossRef] [PubMed]
- Harbhajanka, A.; Chahar, S.; Miskimen, K.; Silverman, P.; Harris, L.; Williams, N.; Varadan, V.; Gilmore, H. Clinicopathological, immunohistochemical and molecular correlation of neural crest transcription factor SOX10 expression in triple-negative breast carcinoma. Hum. Pathol. 2018, 80, 163–169. [Google Scholar] [CrossRef]
- Cimino-Mathews, A.; Subhawong, A.P.; Elwood, H.; Warzecha, H.N.; Sharma, R.; Park, B.H.; Taube, J.M.; Illei, P.B.; Argani, P. Neural crest transcription factor Sox10 is preferentially expressed in triple-negative and metaplastic breast carcinomas. Hum. Pathol. 2013, 44, 959–965. [Google Scholar] [CrossRef]
- Pomp, V.; Leo, C.; Mauracher, A.; Korol, D.; Guo, W.; Varga, Z. Differential expression of epithelial-mesenchymal transition and stem cell markers in intrinsic subtypes of breast cancer. Breast Cancer Res. Treat. 2015, 154, 45–55. [Google Scholar] [CrossRef]
- Yamashita, N.; Tokunaga, E.; Kitao, H.; Hisamatsu, Y.; Taketani, K.; Akiyoshi, S.; Okada, S.; Aishima, S.; Morita, M.; Maehara, Y. Vimentin as a poor prognostic factor for triple-negative breast cancer. J. Cancer Res. Clin. Oncol. 2013, 139, 739–746. [Google Scholar] [CrossRef]
- Thike, A.A.; Iqbal, J.; Cheok, P.Y.; Chong, A.P.; Tse, G.M.; Tan, B.; Tan, P.; Wong, N.S.; Tan, P.H. Triple negative breast cancer: Outcome correlation with immunohistochemical detection of basal markers. Am. J. Surg. Pathol. 2010, 34, 956–964. [Google Scholar] [CrossRef]
- Rastelli, F.; Biancanelli, S.; Falzetta, A.; Martignetti, A.; Casi, C.; Bascioni, R.; Giustini, L.; Crispino, S. Triple-negative breast cancer: Current state of the art. Tumori J. 2010, 96, 875–888. [Google Scholar] [CrossRef]
- Cancer Genome Atlas Network. Comprehensive molecular portraits of human breast tumours. Nature 2012, 490, 61–70. [Google Scholar] [CrossRef] [PubMed]
- Balko, J.M.; Giltnane, J.M.; Wang, K.; Schwarz, L.J.; Young, C.D.; Cook, R.S.; Owens, P.; Sanders, M.E.; Kuba, M.G.; Sanchez, V.; et al. Molecular profiling of the residual disease of triple-negative breast cancers after neoadjuvant chemotherapy identifies actionable therapeutic targets. Cancer Discov. 2014, 4, 232–245. [Google Scholar] [CrossRef] [PubMed]
- Kriegsmann, M.; Endris, V.; Wolf, T.; Pfarr, N.; Stenzinger, A.; Loibl, S.; Denkert, C.; Schneeweiss, A.; Budczies, J.; Sinn, P.; et al. Mutational profiles in triple-negative breast cancer defined by ultradeep multigene sequencing show high rates of PI3K pathway alterations and clinically relevant entity subgroup specific differences. Oncotarget 2014, 5, 9952–9965. [Google Scholar] [CrossRef] [PubMed]
- Greenup, R.; Buchanan, A.; Lorizio, W.; Rhoads, K.; Chan, S.; Leedom, T.; King, R.; McLennan, J.; Crawford, B.; Kelly Marcom, P.; et al. Prevalence of BRCA mutations among women with triple-negative breast cancer (TNBC) in a genetic counseling cohort. Ann. Surg. Oncol. 2013, 20, 3254–3258. [Google Scholar] [CrossRef]
- Cerami, E.; Gao, J.; Dogrusoz, U.; Gross, B.E.; Sumer, S.O.; Aksoy, B.A.; Jacobsen, A.; Byrne, C.J.; Heuer, M.L.; Larsson, E.; et al. The cBio cancer genomics portal: An open platform for exploring multidimensional cancer genomics data. Cancer Discov. 2012, 2, 401–404. [Google Scholar] [CrossRef]
- Riemenschnitter, C.; Teleki, I.; Tischler, V.; Guo, W.; Varga, Z. Stability and prognostic value of Slug, Sox9 and Sox10 expression in breast cancers treated with neoadjuvant chemotherapy. Springerplus 2013, 2, 695. [Google Scholar] [CrossRef][Green Version]
- Tozbikian, G.H.; Zynger, D.L. A combination of GATA3 and SOX10 is useful for the diagnosis of metastatic triple negative breast Cancer. Hum. Pathol. 2018. [Google Scholar] [CrossRef]
- Jamidi, S.K.; Hu, J.; Aphivatanasiri, C.; Tsang, J.Y.; Poon, I.K.; Li, J.J.; Chan, S.K.; Cheung, S.Y.; Tse, G.M. SOX10 as a sensitive marker for triple negative breast cancer. Histopathology 2020. [Google Scholar] [CrossRef]
- Laurent, E.; Begueret, H.; Bonhomme, B.; Veillon, R.; Thumerel, M.; Velasco, V.; Brouste, V.; Hoppe, S.; Fournier, M.; Grellety, T.; et al. SOX10, GATA3, GCDFP15, Androgen Receptor, and Mammaglobin for the Differential Diagnosis Between Triple-negative Breast Cancer and TTF1-negative Lung Adenocarcinoma. Am. J. Surg. Pathol. 2019, 43, 293–302. [Google Scholar] [CrossRef] [PubMed]
- Aphivatanasiri, C.; Li, J.; Chan, R.; Jamidi, S.K.; Tsang, J.Y.; Poon, I.K.; Shao, Y.; Tong, J.; To, K.F.; Chan, S.K.; et al. Combined SOX10 GATA3 is most sensitive in detecting primary and metastatic breast cancers: A comparative study of breast markers in multiple tumors. Breast Cancer Res. Treat. 2020. [Google Scholar] [CrossRef] [PubMed]
- Qazi, M.S.; McGregor, S.M. Combined use of SOX10 and GATA3 in mammary carcinoma. Pathol. Res. Pract. 2020, 216, 152801. [Google Scholar] [CrossRef]
- Yoon, E.C.; Wilson, P.; Zuo, T.; Pinto, M.; Cole, K.; Harigopal, M. High frequency of p16 and SOX10 coexpression but not androgen receptor expression in triple-negative breast cancers. Hum. Pathol. 2020, 102, 13–22. [Google Scholar] [CrossRef] [PubMed]
- Hammond, M.E.; Hayes, D.F.; Dowsett, M.; Allred, D.C.; Hagerty, K.L.; Badve, S.; Fitzgibbons, P.L.; Francis, G.; Goldstein, N.S.; Hayes, M.; et al. American Society of Clinical Oncology/College Of American Pathologists guideline recommendations for immunohistochemical testing of estrogen and progesterone receptors in breast cancer. J. Clin. Oncol. Off. J. Am. Soc. Clin. Oncol. 2010, 28, 2784–2795. [Google Scholar] [CrossRef] [PubMed]
- Wolff, A.C.; Hammond, M.E.; Hicks, D.G.; Dowsett, M.; McShane, L.M.; Allison, K.H.; Allred, D.C.; Bartlett, J.M.; Bilous, M.; Fitzgibbons, P.; et al. Recommendations for human epidermal growth factor receptor 2 testing in breast cancer: American Society of Clinical Oncology/College of American Pathologists clinical practice guideline update. Arch. Pathol. Lab. Med. 2014, 138, 241–256. [Google Scholar] [CrossRef]
- Kriegsmann, M.; Muley, T.; Harms, A.; Tavernar, L.; Goldmann, T.; Dienemann, H.; Herpel, E.; Warth, A. Differential diagnostic value of CD5 and CD117 expression in thoracic tumors: A large scale study of 1465 non-small cell lung cancer cases. Diagn. Pathol. 2015, 10, 210. [Google Scholar] [CrossRef]
- Elsawaf, Z.; Sinn, H.P.; Rom, J.; Bermejo, J.L.; Schneeweiss, A.; Aulmann, S. Biological subtypes of triple-negative breast cancer are associated with distinct morphological changes and clinical behaviour. Breast 2013, 22, 986–992. [Google Scholar] [CrossRef]


| Variables | Overall Cohort | SOX-10 | p Value | |
|---|---|---|---|---|
| Positive | Negative | |||
| Overall cases, n (%) | 113 (100) | 46 (41) | 67 (59) | / |
| Age at first diagnosis, median years (min–max) | 53 (28–90) | 53 (31–83) | 58 (28–90) | 0.221 |
| Subtype, n (%) | n.a. | |||
| No special type (NST) | 109 (96) | 44 (96) | 65 (97) | |
| Invasive lobular carcinoma (ILC) | 4 (4) | 2 (4) | 2 (3) | |
| T stage, n (%) | 0.039 1 | |||
| pT1 | 46 (41) | 24 (52) | 22 (33) | |
| pT2 | 54 (48) | 17 (37) | 37 (55) | |
| pT3 | 6 (5) | 3 (7) | 3 (4) | |
| pT4 | 7 (6) | 2 (4) | 5 (8) | |
| N stage, n (%) | 0.407 2 | |||
| pN0 | 66 (58) | 29 (63) | 37 (55) | |
| pN1 | 22 (19) | 9 (20) | 13 (19) | |
| pN2 | 13 (12) | 4 (9) | 9 (13) | |
| pN3 | 10 (9) | 3 (7) | 7 (10) | |
| pNX | 2 (2) | 1 (2) | 1 (1) | |
| Clinical stage, n (%) | 0.385 3 | |||
| I | 36 (32) | 18 (39) | 18 (27) | |
| II | 53 (47) | 19 (41) | 34 (51) | |
| III | 17 (15) | 6 (13) | 11 (16) | |
| IV | 7 (6) | 3 (7) | 4 (6) | |
| Grading | 0.622 4 | |||
| 1 | 1 (1) | 0 (0) | 1 (1) | |
| 2 | 16 (14) | 6 (13) | 10 (15) | |
| 3 | 96 (95) | 40 (87) | 56 (84) | |
| Lymphangiosis, n (%) | 0.093 | |||
| yes | 50 (44) | 16 (35) | 34 (51) | |
| no | 63 (56) | 30 (65) | 33 (49) | |
| Lymphocytic stroma, n (%) | 0.741 5 | |||
| absent | 18 (16) | 6 (13) | 12 (18) | |
| mild | 34 (30) | 15 (33) | 19 (28) | |
| prominent | 57 (50) | 24 (52) | 33 (49) | |
| NA | 4 (4) | 1 (2) | 3 (5) | |
| Variable | Overall Cohort | SOX-10 | p Value * | |
|---|---|---|---|---|
| Positive | Negative | |||
| Overall cases, n (%) | 113 (100) | 46 (41) | 67 (59) | |
| AR, n (%) | n.a. | |||
| positive | 8 (7) | 0 (0) | 8 (12) | |
| negative | 105 (93) | 46 (100) | 59 (88) | |
| BCL2, n (%) | 0.778 | |||
| positive | 16 (14) | 6 (13) | 10 (15) | |
| negative | 97 (86) | 40 (97) | 57 (85) | |
| CD117, n (%) | 0.012 | |||
| positive | 18 (16) | 12 (26) | 6 (9) | |
| negative | 92 (81) | 32 (70) | 60 (90) | |
| NA | 3 (3) | 2 (4) | 1 (1) | |
| EGFR, n (%) | 0.101 | |||
| positive | 40 (35) | 12 (26) | 28 (42) | |
| negative | 72 (64) | 33 (72) | 39 (58) | |
| NA | 1 (1) | 1 (2) | 0 (0) | |
| p53, n (%) | 0.219 | |||
| positive | 56 (50) | 26 (57) | 30 (45) | |
| negative | 57 (50) | 20 (43) | 37 (55) | |
| Vimentin, n (%) | <0.001 | |||
| positive | 44 (39) | 31 (67) | 13 (19) | |
| negative | 66 (58) | 13 (28) | 53 (79) | |
| NA | 3 (3) | 2 (4) | 1 (1) | |
| Variable | Overall Cohort # | SOX-10 # | p Value * | |
|---|---|---|---|---|
| Positive | Negative | |||
| Overall cases, n (%) | 113 (100) | 46 (41) | 67 (59) | / |
| TP53, n (%) | 0.005 | |||
| mutated | 61 (54/84) | 32 (70/97) | 29 (43/73) | |
| wild type | 12 (11/16) | 1 (2/3) | 11 (16/28) | |
| NA | 40 (35) | 13 (28) | 27 (40) | |
| PIK3CA, n (%) | 0.002 | |||
| mutated | 17 (15/23) | 2 (4/6) | 15 (22/38) | |
| wild type | 56 (50/77) | 31 (67/94) | 25 (37/63) | |
| NA | 40 (35) | 13 (28) | 27 (40) | |
| PIK3K pathway, n (%) | 0.001 | |||
| altered | 20 (18/27) | 3 (7/9) | 17 (25/43) | |
| not altered | 53 (47/73) | 30 (65/91) | 23 (34/58) | |
| NA | 40 (35) | 13 (28) | 27 (40) | |
| Cell cycle pathway, n (%) | 0.249 | |||
| altered | 13 (12/18) | 4 (9/12) | 9 (13/23) | |
| not altered | 60 (53/82) | 29 (63/88) | 31 (46/78) | |
| NA | 40 (35) | 13 (28) | 27 (40) | |
| MAPK pathway, n (%) | 0.805 | |||
| altered | 6 (5/8) | 3 (7/9) | 3 (4/8) | |
| not altered | 67 (59/92) | 30 (65/91) | 37 (55/93) | |
| NA | 40 (35) | 13 (28) | 27 (40) | |
| Variable | DFS | DDFS | OS | |||
|---|---|---|---|---|---|---|
| HR (CI95) | p Value | HR (CI95) | p Value | HR (CI95) | p Value | |
| Age (<50 years vs. ≥50 years) | 1.124 (0.653–0.1935) | 0.673 | 1.075 (0.554–2.085) | 0.830 | 0.729 (0.316–1.683) | 0.459 |
| Stage (I–IV) | 2.428 (1.747–3.374) | <0.001 | 2.111 (1.479–3.013) | <0.001 | 3.172 (2.042–4.929) | <0.001 |
| Grading (G1 */G2 vs. G3) | 2.289 (0.693–7.556) | 0.174 | 1.383 (0.402–4.760) | 0.607 | 0.802 (0.173–3.730) | 0.779 |
| SOX-10 (negative vs. positive) | 1.168 (0.692–1.970) | 0.562 | 1.078 (0.574–2.023) | 0.815 | 0.865 (0.380–1.969) | 0.730 |
© 2020 by the authors. Licensee MDPI, Basel, Switzerland. This article is an open access article distributed under the terms and conditions of the Creative Commons Attribution (CC BY) license (http://creativecommons.org/licenses/by/4.0/).
Share and Cite
Kriegsmann, K.; Flechtenmacher, C.; Heil, J.; Kriegsmann, J.; Mechtersheimer, G.; Aulmann, S.; Weichert, W.; Sinn, H.-P.; Kriegsmann, M. Immunohistological Expression of SOX-10 in Triple-Negative Breast Cancer: A Descriptive Analysis of 113 Samples. Int. J. Mol. Sci. 2020, 21, 6407. https://doi.org/10.3390/ijms21176407
Kriegsmann K, Flechtenmacher C, Heil J, Kriegsmann J, Mechtersheimer G, Aulmann S, Weichert W, Sinn H-P, Kriegsmann M. Immunohistological Expression of SOX-10 in Triple-Negative Breast Cancer: A Descriptive Analysis of 113 Samples. International Journal of Molecular Sciences. 2020; 21(17):6407. https://doi.org/10.3390/ijms21176407
Chicago/Turabian StyleKriegsmann, Katharina, Christa Flechtenmacher, Jörg Heil, Jörg Kriegsmann, Gunhild Mechtersheimer, Sebastian Aulmann, Wilko Weichert, Hans-Peter Sinn, and Mark Kriegsmann. 2020. "Immunohistological Expression of SOX-10 in Triple-Negative Breast Cancer: A Descriptive Analysis of 113 Samples" International Journal of Molecular Sciences 21, no. 17: 6407. https://doi.org/10.3390/ijms21176407
APA StyleKriegsmann, K., Flechtenmacher, C., Heil, J., Kriegsmann, J., Mechtersheimer, G., Aulmann, S., Weichert, W., Sinn, H.-P., & Kriegsmann, M. (2020). Immunohistological Expression of SOX-10 in Triple-Negative Breast Cancer: A Descriptive Analysis of 113 Samples. International Journal of Molecular Sciences, 21(17), 6407. https://doi.org/10.3390/ijms21176407

