First Report of the Potential Bovine Spongiform Encephalopathy (BSE)-Related Somatic Mutation E211K of the Prion Protein Gene (PRNP) in Cattle
Abstract
1. Introduction
2. Results
2.1. Sample Preparation
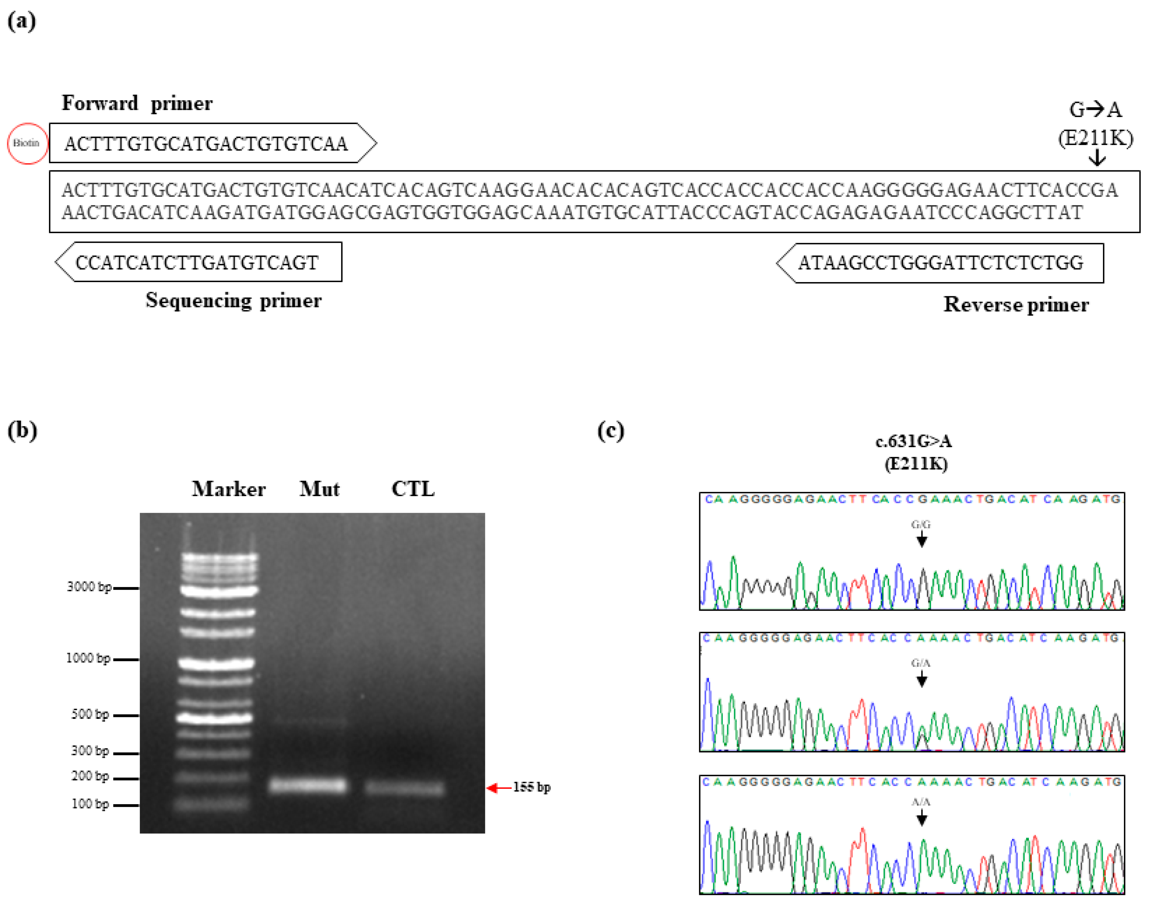
2.2. Validation of the Inspection Tool
2.3. Investigation of K211 Somatic Mutation of Bovine PRNP Gene in Korean Cattle
2.4. In Silico Estimation of the Deleterious Effect of K211 Somatic Mutation of Bovine Prion Protein
3. Discussion
4. Materials and Methods
4.1. Ethics Statement
4.2. Genomic DNA Extraction
4.3. PCR
4.4. Site-Directed Mutagenesis
4.5. Sanger Sequencing
4.6. Pyrosequencing
4.7. Statistical Analysis
4.8. In Silico Estimation of the Impact of E211K Somatic Mutation of the Bovine Prion Protein
5. Conclusions
Supplementary Materials
Author Contributions
Funding
Acknowledgments
Conflicts of Interest
Abbreviations
| APP | amyloid precursor protein |
| AQ | allele quantification |
| BSE | bovine spongiform encephalopathy |
| BVPrP | bank vole prion protein |
| PrPSc | abnormal prion protein |
| UK | United Kingdom |
| CJD | Creutzfeldt–Jakob disease |
| GSS | Gerstmann–Straussler–Scheinker syndrome |
| FFI | fatal familial insomnia |
| MARK4 | microtubule affinity-regulating kinase 4 |
| NCSTN | nicastrin |
| PRNP | prion protein gene |
| PCR | polymerase chain reaction |
| PMCA | protein misfolding cyclic amplification |
| SD | standard deviation |
| SORL1 | sortilin-related receptor |
References
- Prusiner, S.B. The prion diseases. Brain Pathol. 1998, 8, 499–513. [Google Scholar] [CrossRef] [PubMed]
- Prusiner, S.B. Prions. Proc. Natl. Acad. Sci. USA 1998, 95, 13363–13383. [Google Scholar] [CrossRef] [PubMed]
- Jeong, B.H.; Jin, H.T.; Carp, R.I.; Kim, Y.S. Bovine spongiform encephalopathy (BSE)-associated polymorphisms of the prion protein (PRNP) gene in Korean native cattle. Anim. Genet. 2013, 44, 356–357. [Google Scholar] [CrossRef]
- Kim, Y.C.; Jeong, B.H. Bovine spongiform encephalopathy (BSE) associated polymorphisms of the prion-like protein gene (PRND) in Korean dairy cattle and Hanwoo. J. Dairy Res. 2018, 85, 7–11. [Google Scholar] [CrossRef]
- Kim, Y.C.; Jeong, B.H. Lack of germline mutation at codon 211 of the prion protein gene (PRNP) in Korean native cattle—Short communication. Acta Vet. Hung. 2017, 65, 147–152. [Google Scholar] [CrossRef] [PubMed]
- Kim, Y.C.; Jeong, B.H. First report of prion-related protein gene (PRNT) polymorphisms in cattle. Vet. Rec. 2018, 182, 717. [Google Scholar] [CrossRef] [PubMed]
- Kim, Y.C.; Won, S.Y.; Jeong, B.H. Absence of single nucleotide polymorphisms (SNPs) in the open reading frame (ORF) of the prion protein gene (PRNP) in a large sampling of various chicken breeds. BMC Genomics 2019, 20, 922. [Google Scholar] [CrossRef]
- Won, S.Y.; Kim, Y.C.; Kim, S.K.; Jeong, B.H. The First Report of Genetic and Structural Diversities in the SPRN Gene in the Horse, an Animal Resistant to Prion Disease. Genes 2019, 11, 39. [Google Scholar] [CrossRef] [PubMed]
- Won, S.Y.; Kim, Y.C.; Kim, K.; Kim, A.D.; Jeong, B.H. The First Report of Polymorphisms and Genetic Features of the prion-like Protein Gene (PRND) in a Prion Disease-Resistant Animal, Dog. Int. J. Mol. Sci. 2019, 20, 1404. [Google Scholar] [CrossRef] [PubMed]
- Kim, S.K.; Kim, Y.C.; Won, S.Y.; Jeong, B.H. Potential scrapie-associated polymorphisms of the prion protein gene (PRNP) in Korean native black goats. Sci. Rep. 2019, 9, 15293. [Google Scholar] [CrossRef]
- Kim, Y.C.; Kim, S.K.; Jeong, B.H. Scrapie susceptibility-associated indel polymorphism of shadow of prion protein gene (SPRN) in Korean native black goats. Sci. Rep. 2019, 9, 15261. [Google Scholar] [CrossRef]
- Kim, Y.C.; Jeong, B.H. The first report of polymorphisms and genetic characteristics of the prion protein gene (PRNP) in horses. Prion 2018, 12, 245–252. [Google Scholar] [CrossRef]
- Kim, Y.C.; Jeong, M.J.; Jeong, B.H. The first report of genetic variations in the chicken prion protein gene. Prion 2018, 12, 197–203. [Google Scholar] [CrossRef] [PubMed]
- Collee, J.G.; Bradley, R. BSE: A decade on—Part 2. Lancet 1997, 349, 715–721. [Google Scholar] [CrossRef]
- Collee, J.G.; Bradley, R. BSE: A decade on—Part I. Lancet 1997, 349, 636–641. [Google Scholar] [CrossRef]
- Gurgul, A.; Polak, M.P.; Larska, M.; Slota, E. PRNP and SPRN genes polymorphism in atypical bovine spongiform encephalopathy cases diagnosed in Polish cattle. J. Appl. Genet. 2012, 53, 337–342. [Google Scholar] [CrossRef]
- Costassa, E.V.; Iulini, B.; Mazza, M.; Acutis, P.; Maurella, C.; Meloni, D.; Pautasso, A.; Capucci, L.; Bozzetta, E.; Simmons, M.M.; et al. Pathogenesis and Transmission of Classical and Atypical BSE in Cattle. Food Saf. 2016, 4, 130–134. [Google Scholar] [CrossRef]
- Dudas, S.; Czub, S. Atypical BSE: Current Knowledge and Knowledge Gaps. Food Saf. 2017, 5, 10–13. [Google Scholar] [CrossRef]
- Kovacs, G.G.; Puopolo, M.; Ladogana, A.; Pocchiari, M.; Budka, H.; van Duijn, C.; Collins, S.J.; Boyd, A.; Giulivi, A.; Coulthart, M.; et al. Genetic prion disease: The EUROCJD experience. Hum. Genet. 2005, 118, 166–174. [Google Scholar] [CrossRef]
- Lloyd, S.; Mead, S.; Collinge, J. Genetics of prion disease. Top. Curr. Chem. 2011, 305, 1–22. [Google Scholar]
- Uttley, L.; Carroll, C.; Wong, R.; Hilton, D.A.; Stevenson, M. Creutzfeldt-Jakob disease: A systematic review of global incidence, prevalence, infectivity, and incubation. Lancet Infect. Dis. 2020, 20, e2–e10. [Google Scholar] [CrossRef]
- Jeong, B.H.; Kim, Y.S. Genetic studies in human prion diseases. J. Korean Med. Sci. 2014, 29, 623–632. [Google Scholar] [CrossRef] [PubMed]
- Alzualde, A.; Moreno, F.; Martínez-Lage, P.; Ferrer, I.; Gorostidi, A.; Otaegui, D.; Blázquez, L.; Atares, B.; Cardoso, S.; López de Munain, A. Somatic mosaicism in a case of apparently sporadic Creutzfeldt-Jakob disease carrying a de novo D178N mutation in the PRNP gene. Am. J. Med. Genet. Part B Neuropsychiatr. Genet. 2010, 153, 1283–1291. [Google Scholar] [CrossRef] [PubMed]
- Kojović, M.; Glavač, D.; Ožek, B.; Zupan, A.; Popović, M. De novo P102L mutation in a patient with Gerstmann-Sträussler-Scheinker disease. Eur. J. Neurol. 2011, 18, e152–e153. [Google Scholar] [CrossRef]
- Nicholson, E.M.; Brunelle, B.W.; Richt, J.A.; Kehrli, M.E., Jr.; Greenlee, J.J. Identification of a heritable polymorphism in bovine PRNP associated with genetic transmissible spongiform encephalopathy: Evidence of heritable BSE. PLoS ONE 2008, 3, e2912. [Google Scholar] [CrossRef]
- Greenlee, J.J.; Smith, J.D.; West Greenlee, M.H.; Nicholson, E.M. Clinical and pathologic features of H-type bovine spongiform encephalopathy associated with E211K prion protein polymorphism. PLoS ONE 2012, 7, e38678. [Google Scholar] [CrossRef]
- Moore, S.J.; West Greenlee, M.H.; Smith, J.D.; Vrentas, C.E.; Nicholson, E.M.; Greenlee, J.J. A Comparison of Classical and H-Type Bovine Spongiform Encephalopathy Associated with E211K Prion Protein Polymorphism in Wild-Type and EK211 Cattle Following Intracranial Inoculation. Front. Vet. Sci. 2016, 3, 78. [Google Scholar] [CrossRef]
- Adzhubei, I.; Jordan, D.M.; Sunyaev, S.R. Predicting functional effect of human missense mutations using PolyPhen-2. Curr. Protoc. Hum. Genet. 2013, 76, 7–20. [Google Scholar] [CrossRef]
- Tang, H.; Thomas, P.D. PANTHER-PSEP: Predicting disease-causing genetic variants using position-specific evolutionary preservation. Bioinformatics 2016, 32, 2230–2232. [Google Scholar] [CrossRef]
- Kumagai, S.; Daikai, T.; Onodera, T. Bovine Spongiform Encephalopathy—A Review from the Perspective of Food Safety. Food Saf. 2019, 7, 21–47. [Google Scholar] [CrossRef]
- Hagiwara, K.; Sato, Y.; Yamakawa, Y.; Hara, H.; Tobiume, M.; Okemoto-Nakamura, Y.; Sata, T.; Horiuchi, M.; Shibata, H.; Ono, F. Tracking and clarifying differential traits of classical- and atypical L-type bovine spongiform encephalopathy prions after transmission from cattle to cynomolgus monkeys. PLoS ONE 2019, 14, e0216807. [Google Scholar] [CrossRef]
- Beck, J.A.; Poulter, M.; Campbell, T.A.; Uphill, J.B.; Adamson, G.; Geddes, J.F.; Revesz, T.; Davis, M.B.; Wood, N.W.; Collinge, J.; et al. Somatic and germline mosaicism in sporadic early-onset Alzheimer’s disease. Hum. Mol. Genet. 2004, 13, 1219–1224. [Google Scholar] [CrossRef]
- Nicolas, G.; Acuna-Hidalgo, R.; Keogh, M.J.; Quenez, O.; Steehouwer, M.; Lelieveld, S.; Rousseau, S.; Richard, A.C.; Oud, M.S.; Marguet, F.; et al. Somatic variants in autosomal dominant genes are a rare cause of sporadic Alzheimer’s disease. Alzheimers Dement. 2018, 14, 1632–1639. [Google Scholar] [CrossRef] [PubMed]
- Van Keulen, L.; Schreuder, B.; Meloen, R.; Poelen-Van Den Berg, M.; Mooij-Harkes, G.; Vromans, M.; Langeveld, J.P.M. Immumohistochemical detection and localization of prion protein in brain tissue of sheep with natural scrapie. Vet. Pathol. 1995, 32, 299–308. [Google Scholar] [CrossRef] [PubMed]
- Watts, J.C.; Giles, K.; Bourkas, M.E.; Patel, S.; Oehler, A.; Gavidia, M.; Bhardwaj, S.; Lee, J.; Prusiner, S.B. Towards authentic transgenic mouse models of heritable PrP prion diseases. Acta Neuropathol. 2016, 132, 593–610. [Google Scholar] [CrossRef] [PubMed]
- Friedman-Levi, Y.; Meiner, Z.; Canello, T.; Frid, K.; Kovacs, G.G.; Budka, H.; Avrahami, D.; Gabizon, R. Fatal prion disease in a mouse model of genetic E200K Creutzfeldt-Jakob disease. PLoS Pathog. 2011, 7, e1006294. [Google Scholar] [CrossRef]



| Inspection Site | Sex | Hanwoo | Holstein | |
|---|---|---|---|---|
| Brain | Medulla oblongata | Male | 5 | 5 |
| Female | 5 | 5 | ||
| Cerebellum | Male | 3 | ||
| Female | 3 | |||
| Cortex | Male | 3 | ||
| Female | 3 | |||
| Thalamus | Male | 3 | ||
| Female | 3 | |||
| Peripheral blood | NA | 5 | 5 | |
| Skin tissue | NA | 5 | 5 | |
| Purpose | Name | Sequence | Size | Annealing Temperature | |
|---|---|---|---|---|---|
| Site-directed mutagenesis | Round 1 | F1_F | ATGGTGAAAAGCCACATAGGCAG | 652 bp | 55 °C |
| F1_R | CCATCATCTTGATGTCAGTTTtGGTGAAGTTCTC | ||||
| Round 1 | F2_F | GAGAACTTCACCaAAACTGACATCAAGATGATGG | 204 bp | 55 °C | |
| F2_R | GATAATGAAAACAGGAAGGTTGCCCC | ||||
| Round 2 | F1_F | ATGGTGAAAAGCCACATAGGCAG | 820 bp | 55 °C | |
| F2_R | GATAATGAAAACAGGAAGGTTGCCCC | ||||
| Pyrosequencing | Amplification | Biotin_PF | ACTTTGTGCATGACTGTGTCAA | 155 bp | 58 °C |
| PR | ATAAGCCTGGGATTCTCTCTGG | ||||
| Sequencing | Seq_R | CCATCATCTTGATGTCAGT | |||
| Sample No. | Breeds | Sex | Inspection Site | * AVG of Detected Mut. (%) | ** STD |
|---|---|---|---|---|---|
| Sample 1 | Hanwoo | Female | Medulla oblongata | 0 | 0 |
| Sample 2 | Hanwoo | Female | Medulla oblongata | 0 | 0 |
| Sample 3 | Hanwoo | Female | Medulla oblongata | 0 | 0 |
| Sample 4 | Hanwoo | Female | Medulla oblongata | 0 | 0 |
| Sample 5 | Hanwoo | Female | Medulla oblongata | 0 | 0 |
| Sample 6 | Hanwoo | Male | Medulla oblongata | 0 | 0 |
| Sample 7 | Hanwoo | Male | Medulla oblongata | 0 | 0 |
| Sample 8 | Hanwoo | Male | Medulla oblongata | 0 | 0 |
| Sample 9 | Hanwoo | Male | Medulla oblongata | 0 | 0 |
| Sample 10 | Hanwoo | Male | Medulla oblongata | 0 | 0 |
| Sample 11 | Holstein | Female | Medulla oblongata | 10 | 4.4 |
| Sample 12 | Holstein | Female | Medulla oblongata | 0 | 0 |
| Sample 13 | Holstein | Female | Medulla oblongata | 0 | 0 |
| Sample 14 | Holstein | Female | Medulla oblongata | 0 | 0 |
| Sample 15 | Holstein | Female | Medulla oblongata | 0 | 0 |
| Sample 16 | Holstein | Male | Medulla oblongata | 28 | 2 |
| Sample 17 | Holstein | Male | Medulla oblongata | 0 | 0 |
| Sample 18 | Holstein | Male | Medulla oblongata | 19.55 | 3.1 |
| Sample 19 | Holstein | Male | Medulla oblongata | 0 | 0 |
| Sample 20 | Holstein | Male | Medulla oblongata | 0 | 0 |
| Sample 21 | Hanwoo | Female | Cerebellum | 0 | 0 |
| Sample 22 | Hanwoo | Female | Cerebellum | 0 | 0 |
| Sample 23 | Hanwoo | Female | Cerebellum | 0 | 0 |
| Sample 24 | Holstein | Male | Cerebellum | 0 | 0 |
| Sample 25 | Holstein | Male | Cerebellum | 0 | 0 |
| Sample 26 | Holstein | Male | Cerebellum | 0 | 0 |
| Sample 27 | Hanwoo | Female | Cortex | 0 | 0 |
| Sample 28 | Hanwoo | Female | Cortex | 0 | 0 |
| Sample 29 | Hanwoo | Female | Cortex | 0 | 0 |
| Sample 30 | Holstein | Male | Cortex | 0 | 0 |
| Sample 31 | Holstein | Male | Cortex | 0 | 0 |
| Sample 32 | Holstein | Male | Cortex | 0 | 0 |
| Sample 33 | Hanwoo | Female | Thalamus | 0 | 0 |
| Sample 34 | Hanwoo | Female | Thalamus | 0 | 0 |
| Sample 35 | Hanwoo | Female | Thalamus | 0 | 0 |
| Sample 36 | Holstein | Male | Thalamus | 0 | 0 |
| Sample 37 | Holstein | Male | Thalamus | 0 | 0 |
| Sample 38 | Holstein | Male | Thalamus | 0 | 0 |
| Sample 39 | Hanwoo | NA | Peripheral blood | 0 | 0 |
| Sample 40 | Hanwoo | NA | Peripheral blood | 0 | 0 |
| Sample 41 | Hanwoo | NA | Peripheral blood | 0 | 0 |
| Sample 42 | Hanwoo | NA | Peripheral blood | 0 | 0 |
| Sample 43 | Hanwoo | NA | Peripheral blood | 0 | 0 |
| Sample 44 | Holstein | NA | Peripheral blood | 0 | 0 |
| Sample 45 | Holstein | NA | Peripheral blood | 0 | 0 |
| Sample 46 | Holstein | NA | Peripheral blood | 0 | 0 |
| Sample 47 | Holstein | NA | Peripheral blood | 0 | 0 |
| Sample 48 | Holstein | NA | Peripheral blood | 0 | 0 |
| Sample 49 | Hanwoo | NA | Skin tissue | 0 | 0 |
| Sample 50 | Hanwoo | NA | Skin tissue | 0 | 0 |
| Sample 51 | Hanwoo | NA | Skin tissue | 0 | 0 |
| Sample 52 | Hanwoo | NA | Skin tissue | 0 | 0 |
| Sample 53 | Hanwoo | NA | Skin tissue | 0 | 0 |
| Sample 54 | Holstein | NA | Skin tissue | 0 | 0 |
| Sample 55 | Holstein | NA | Skin tissue | 0 | 0 |
| Sample 56 | Holstein | NA | Skin tissue | 0 | 0 |
| Sample 57 | Holstein | NA | Skin tissue | 0 | 0 |
| Sample 58 | Holstein | NA | Skin tissue | 0 | 0 |
| Somatic Mutation | Methods | Score | Prediction |
|---|---|---|---|
| c.631G > A (E211K) | PolyPhen-2 | 0.993 | Probably damaging |
| PANTHER | 361 | Possibly damaging |
© 2020 by the authors. Licensee MDPI, Basel, Switzerland. This article is an open access article distributed under the terms and conditions of the Creative Commons Attribution (CC BY) license (http://creativecommons.org/licenses/by/4.0/).
Share and Cite
Won, S.-Y.; Kim, Y.-C.; Jeong, B.-H. First Report of the Potential Bovine Spongiform Encephalopathy (BSE)-Related Somatic Mutation E211K of the Prion Protein Gene (PRNP) in Cattle. Int. J. Mol. Sci. 2020, 21, 4246. https://doi.org/10.3390/ijms21124246
Won S-Y, Kim Y-C, Jeong B-H. First Report of the Potential Bovine Spongiform Encephalopathy (BSE)-Related Somatic Mutation E211K of the Prion Protein Gene (PRNP) in Cattle. International Journal of Molecular Sciences. 2020; 21(12):4246. https://doi.org/10.3390/ijms21124246
Chicago/Turabian StyleWon, Sae-Young, Yong-Chan Kim, and Byung-Hoon Jeong. 2020. "First Report of the Potential Bovine Spongiform Encephalopathy (BSE)-Related Somatic Mutation E211K of the Prion Protein Gene (PRNP) in Cattle" International Journal of Molecular Sciences 21, no. 12: 4246. https://doi.org/10.3390/ijms21124246
APA StyleWon, S.-Y., Kim, Y.-C., & Jeong, B.-H. (2020). First Report of the Potential Bovine Spongiform Encephalopathy (BSE)-Related Somatic Mutation E211K of the Prion Protein Gene (PRNP) in Cattle. International Journal of Molecular Sciences, 21(12), 4246. https://doi.org/10.3390/ijms21124246

