Abstract
Powdery mildew caused by Blumeria graminis f. sp. tritici (Bgt) is one of many severe diseases that threaten bread wheat (Triticum aestivum L.) yield and quality worldwide. The discovery and deployment of powdery mildew resistance genes (Pm) can prevent this disease epidemic in wheat. In a previous study, we transferred the powdery mildew resistance gene Pm57 from Aegilops searsii into common wheat and cytogenetically mapped the gene in a chromosome region with the fraction length (FL) 0.75–0.87, which represents 12% segment of the long arm of chromosome 2Ss#1. In this study, we performed RNA-seq using RNA extracted from leaf samples of three infected and mock-infected wheat-Ae. searsii 2Ss#1 introgression lines at 0, 12, 24, and 48 h after inoculation with Bgt isolates. Then we designed 79 molecular markers based on transcriptome sequences and physically mapped them to Ae. searsii chromosome 2Ss#1- in seven intervals. We used these markers to identify 46 wheat-Ae. searsii 2Ss#1 recombinants induced by ph1b, a deletion mutant of pairing homologous (Ph) genes. After analyzing the 46 ph1b-induced 2Ss#1L recombinants in the region where Pm57 is located with different Bgt-responses, we physically mapped Pm57 gene on the long arm of 2Ss#1 in a 5.13 Mb genomic region, which was flanked by markers X67593 (773.72 Mb) and X62492 (778.85 Mb). By comparative synteny analysis of the corresponding region on chromosome 2B in Chinese Spring (T. aestivum L.) with other model species, we identified ten genes that are putative plant defense-related (R) genes which includes six coiled-coil nucleotide-binding site-leucine-rich repeat (CNL), three nucleotide-binding site-leucine-rich repeat (NL) and a leucine-rich receptor-like repeat (RLP) encoding proteins. This study will lay a foundation for cloning of Pm57, and benefit the understanding of interactions between resistance genes of wheat and powdery mildew pathogens.
1. Introduction
Common wheat (Triticum aestivum L., 2n = 6x = 42, AABBDD) is the most widely grown food crop, a cash crop with world trade greater than that of all other crops combined, and also a worldwide staple food, providing valuable plant protein for humans. Wheat is susceptible to more than 30 diseases, of which powdery mildew, caused by the fungus Blumeria graminis f. sp. tritici (Bgt), can lead to severe yield losses and grain quality degradation in a relatively short period of time [1,2,3]. Development and deployment of wheat varieties with resistance to powdery mildew is considered the most effective, economical, and environmentally friendly way to control losses caused by this disease [4,5]. Currently, up to 89 resistance genes/alleles, Pm1 to Pm65, are cataloged [6,7,8,9,10,11]. Some of these resistance genes, such as Pm8 derived from Secale cereale L. (2n = 2x = 14, RR), and Pm21, from Dasypyrum villosum (L.) P. Candargy (2n = 2x = 14, VV), have been used in wheat breeding programs worldwide [12,13,14,15]. However, up to now, only a few powdery mildew resistance (Pm) genes have been used successfully in wheat cultivars because of deleterious traits associated with these genes, especially those derived from wild relatives of wheat [9]. Further with the emergence of novel viral Bgt isolates have led to a continuous breakdown of Pm gene resistance widely deployed in wheat cultivars. Thus, the discovery, identification, and deployment of new and effective Pm genes are vital for successful wheat production.
Isolation of plant resistance genes (R-genes) benefits the understanding of the molecular mechanisms involved in R-gene-mediated disease resistance and accelerates the discovery of more R-genes. Since the first R-gene Hm1 was cloned from Zea mays in 1992, the number of cloned R-genes has increased steadily [16,17]. This knowledge and germplasm will help us to design resistance crop varieties for the future [18,19,20,21,22]. Currently, map-based positional cloning, in which the genomic location and R-gene sequence are identified through closely linked molecular markers, is recognized as a conventional and efficient way by which many R-genes were isolated successfully. One crucial step in map-based cloning procedures is to generate high density physical and genetic maps in the target gene region [21,23]. This method is usually expensive and time-consuming, particularly for the genes in partially/less sequenced or complex polyploid genomes such as wheat [24]. Mapping alien genes from wild relatives of wheat is a challenge due to the rare homoeologous recombination between alien chromosomes from wild species and their homoeologous counterparts in wheat, which was strictly controlled by pairing homoeologous (Ph) genes in hexaploid wheat, limited genome sequence references, and alien genome-specific molecular markers [25,26,27]. Availability of increased reference sequences from common wheat (AABBDD) and its progenitor species T. turgidum ssp. dicoccoides (Körn. ex Asch. & Graebner) Thell. (2n = 4x = 28, AABB), T. urartu Tumanian ex Gandilyan (2n = 2x = 14, AA), and Ae. tauschii Coss. (2n = 2x = 14, DD), together with advances in RNA sequencing (RNA-seq) and bulked segregant RNA-seq (BSR-seq) have greatly enhanced the pace of conventional map-based cloning of R-genes from wheat relatives [28,29,30,31,32,33,34,35]. For example, up till now at least five cataloged Pm genes including Pm2, Pm3b, Pm8, Pm21, Pm60 have been cloned. Gene Pm3b from hexaploid wheat, Pm21 from D. villosum and Pm60 from T. urartu were isolated using map-based cloning strategy or integrated with other gene cloning approaches such as cloning through isolation and sequencing of flow-sorted mutant chromosome (MutChromSeq), or rapid cloning through R-gene enrichment and sequencing (RenSeq) which captures the nucleotide-binding leucine-rich repeats (NLR) R-genes [36,37,38,39,40,41].
Transcriptome sequencing or RNA-seq can provide extensive data pre and post-pathogen infection for the analysis and has been widely used to discover R-genes and reveal the transcriptional expression pattern of genes involved in pathogen-defense responsive pathways in crops including hexaploid wheat [28,32,42,43,44,45]. For example, Stpk-V, a putative serine/threonine-protein kinase gene derived from D. villosum against powdery mildew was successfully cloned and characterized based on integrating microarray analysis of transcriptomes before and after Bgt-inoculation with physical mapping of chromosomal segment locating Pm21 [44]. Further RNA-seq has also been used to develop molecular markers for diagnosing chromosomes, chromosome segments or genes in wild relatives [46,47].
Pm57, a gene conferring resistance to powdery mildew, was derived from Ae. searsii Feldman & Kislev ex Hammer (2n = 2x = 14, SsSs), one of the S-genome diploid species belonging to the section Sitopsis (Jaub. & Spach) Zhuk. [48]. We previously transferred this gene into common wheat based on ph1b-induced homoeologous recombination between wheat and Ae. searsii, and located the gene at the long arm of chromosome 2Ss#1 at an interval of fraction length (FL) 0.75–0.87 by comparison of the chromosome recombination breakpoints of the resistant and susceptible recombinants [7]. In the current study, we have performed RNA-seq using Chinese Spring (CS)-Ae. searsii introgression lines to develop 2Ss#1 specific markers and identified ph1b-induced 2Ss#1 recombinants to physically map Pm57 into a small genomic region.
2. Results
2.1. RNA-seq Quantity, Sequence Assembly, and Differential Expression Gene (DEGs) Analysis
A total of 94.88–111.83 × 106 high-quality reads, which constituted 10.19–16.35 Gb of the cDNA sequences were generated for each sample in this study. Sequencing quality scores, Q30, which infers a base call accuracy of 99.90%, were more than 93.49% for each sample, signifying that RNA-seq quality in the study is sufficient for subsequent sequence assembly. The high-quality reads were further assembled into 71,313 unigenes (46.87 Gb) of 331 bp median length, ranging from 201 to 63,334 bp in length, using the short-read assembly software Trinity [49].
Pairwise comparison of the unigenes in CS at 0 h post-inoculation (hpi) using Bgt isolates (RNA-seq library referred as A-CS) and at 12–48 hpi (RNA-seq library referred as M-CS) to those in line 2011-400 carrying Pm57 (A-400 for a RNA-seq library at 0 hpi, and M-400 for a library at 12–48 hpi). Based on the threshold of reads per kilobase per million mapped reads (RPKM) value of (A-400 or M-400) > 0.1 & (A-CS and M-CS) = 0, a total of 6,444 (9.04%) DEGs were selected as candidate unigenes specific to the CS-Ae. searsii disomic 2Ss#1 addition line (2011-400 with accession ID TA3581) which were uniquely presented in 2011-400, but absent in CS (Supplementary Table S1). The 3,587 (5.03%) DEGs shared by the three CS-Ae. searsii 2Ss#1 introgression line (2011-400, 89-88, and 89-69) with a threshold of RPKM value of (A-400 or M-400) > 0.1 & (A-88 or M-88) > 0.1 & (A-69 or M-69) > 0.1 were selected as candidates specific to 2Ss#1 segment of FL0.67–0.87 on the long arm of chromosome 2Ss#1 where the Pm57 gene is mapped (Supplementary Table S2). Comparing the unigenes of all three Pm57 lines (2011-400, 89-88, and 89-69) against those of CS (Supplementary Tables S1 and S2), 500 candidate DEGs were selected for the design of specific PCR primers for chromosome 2Ss#1 and 2Ss#1 long-arm segment of FL0.67–0.87.
2.2. Validation of DEGs by Quantitative RT-PCR (qRT-PCR)
To validate the DEGs based on RNA-seq analysis, 10 Bgt-infection induced DEGs described as “plant disease resistance-related protein” in the protein family (Pfam) database were further evaluated by qRT-PCR in the Bgt-resistant recombinants 89-88 and 89-69, and susceptible CS. Primer pairs were designed for qRT-PCR for each of the 10 DEGs (Supplementary Table S3). The qRT-PCR results (Figure 1, left side of each graph) showed that expression levels of seven (comp181267_c0, comp69335_c0, comp45021_c0, comp53009_c0, comp23383_c0, comp57561_c0 and comp70653_c0) of ten DEGs reached to a maximum at 24 hpi. One gene (comp33120_c0) was highest at 12 hpi. The unigene comp61771_c0 caused significant up-regulation at 12 hpi and 48 hpi, whereas comp65225_c0 was up-regulated at three time points (12, 24 and 48 hpi) in resistant lines, but down-regulated in the susceptible CS (Figure 1, Supplementary Table S4). Although gene expression levels of line 89-69 evaluated by qRT-PCR were not exactly the same as those identified based on RNA-seq analyses, gene comp61771_co of line 89-69, which showed highest expression levels at 24 and 48 hpi based on qRT-PCR, was identified to show maximum expression level at 24 hpi by RNA-seq analysis, but expression patterns of the remaining nine genes were consistent with those of line 89-69 (Figure 1, right side of each graph). These results of RNA-seq and qRT-PCR analyses confirmed the robustness and reproducibility of this study.
Figure 1.
Validation of RNA sequencing results by qRT-PCR. Gene expression displaying on the left side of each graph resulted from qRT-PCR using specific primer pairs listed in Supplementary Table S3; gene expression of line 89-69 (in red color) on the right side of each graph was based on analysis of RNA sequencing data in each photo.
2.3. Chromosome Fraction Length Interval Assignment of Chromosome 2Ss#1-Specific Markers
Chromosome 2Ss#1 was divided into 9 FLs by comparing recombination breakpoints of CS, disomic 2Ss#1 addition line 2011-400, and six other 2Ss#1 recombinants (Table 1), which includes four intervals of short-arm fraction length (SFL) SFL0.82–1.00, SFL0.70–0.82, SFL0.35–0.70 and SFLC-0.35 and five intervals of the long-arm fraction length (LFL) LFLC-0.64, LFL0.64–0.67, LFL0.67–0.72, LFL0.72–0.87 and LFL0.87–1.00 (Figure 2). PCR analysis of 500 primers pairs on the recombinants led to the assignment of 79 molecular markers into seven of the nine FLs (Supplementary Table S5). 27 molecular markers were located at LFL0.72–0.87, where Pm57 was mapped, of which 3 makers (X139470, X10122 and X33705–1) were unstable, thus not used in subsequent physical mapping of Pm57. The other markers were mapped to SFL0.82–1.00 (7), SFL0.35–0.70 (9), SFLC-0.35 (3), LFLC-0.64 (19), LFL0.64–0.67 (3), and LFL0.87–1.00 (11) on chromosome 2Ss#1. No specific markers could be mapped to two intervals, SFL0.70–0.82 and LFL0.67–0.72, of chromosome 2Ss#1 in this study (Figure 2 and Figure 3).
Table 1.
List of plant materials used in this study.
Figure 2.
Physical mapping of Ae. searsii chromosome 2Ss#1 specific molecular markers to different fraction length intervals. Numbers on the left of each chromosome represent the fraction length (FL) of recombination. Lines 89-88, 89-69, 89–346, and 89–185 carried Pm57, which mapped the gene at LFL0.72–0.87; Marker names located at each interval are in the red boxes on the right of chromosome 2Ss#1; Chromatin of Ae. searsii is displayed in green color and wheat in red color. No specific markers were found at SFL0.70–0.82 and LFL0.67–0.72 of 2Ss#1. Markers X23241 and X216815 underlined are used for subsequent selection of putative recombinants in the F2 segregating population.
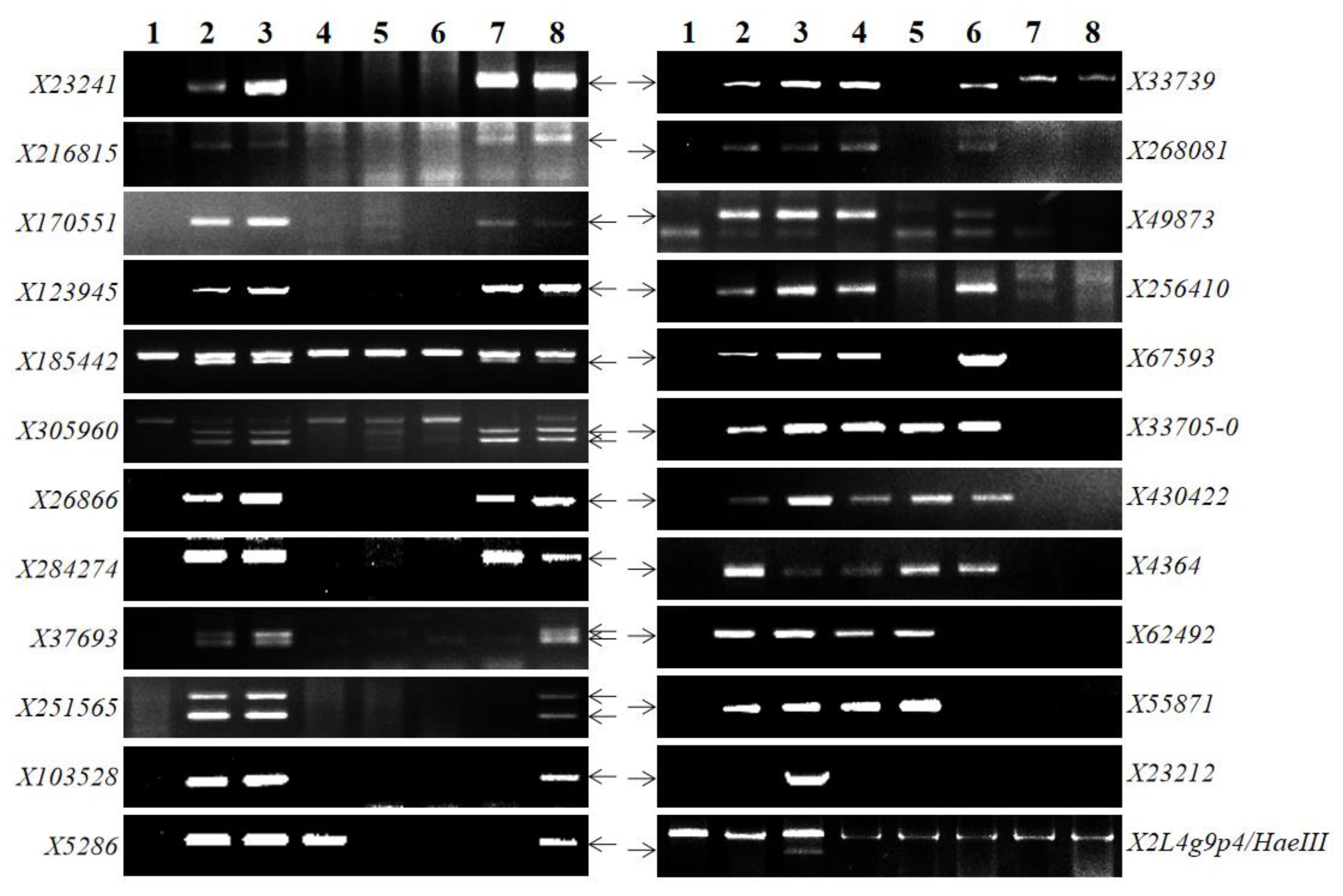
Figure 3.
Electrophoresis patterns of 79 2Ss#1-specific molecular markers identified in this study. Lanes: 1, CS; 2, CS-Ae. searsii 2Ss#1 disomic addition line (2011-400); 3-6, CS-Ae. searsii 2Ss#1 recombinant 89-88, 89-69, 89–346, and 89–185, which carried Pm57, respectively; 7–8, CS-Ae. searsii 2Ss#1 recombinants 89–152 and 89–378 with no Pm57 genes. The arrows indicate PCR amplification bands of 2Ss#1 specificity while more than a band amplified.
2.4. Development of CS-Ae. searsii Disomic 2Ss#1 Recombinants and Physical Mapping of Pm57
To physically map Pm57 we screened 2280 individuals of an F2 population of TA3809/recombinant 89-88 segregating for Pm57 in a homozygous ph1b background using only two molecular markers, X23241 and X216815, located at LFLC-0.64 and LFL0.64–0.67, respectively, in the long arm of 2Ss#1 (Supplementary Table S6), and Bgt-responsive assay of the individuals. A total of 46 CS-Ae. searsii 2Ss#1 recombinants were identified based on the presence of either or both markers X23241 and X216815 (for Bgt-susceptible individuals), and absence of the markers (for Bgt-resistant plants). These recombinants, which included 28 resistant and 18 susceptible recombinant lines, formed a secondary recombinant population for subsequent physical mapping of Pm57, along with lines 89-88, 2011-400, and CS as checks. All recombinants were genotyped using 28 chromosome 2Ss#1-specific molecular markers, of which 24 markers were located at LFL0.72–0.87 where Pm57 is mapped, and 4 at Pm57 flanking intervals of LFLC-0.64 (1), LFL0.64–0.67 (1), and LFL0.87–1.00 (2), respectively (Table 2, Supplementary Tables S5 and S6). Comparison of molecular marker order at 2Ss#1 interval of LFL0.72–0.87 with the corresponding genomic block of chromosome 2B of T. aestivum revealed collinearity except for markers X26866 and X251565 at current loci 7 and 10, respectively.
Table 2.
Molecular markers used to identify recombinants and physically map Pm57.
Analyses of these 28 markers and the Bgt-responses of the recombinants classified the 46 CS-Ae. searsii recombinants into 21 types with different recombination breakpoints, including 11 types as resistant and 10 types of susceptible recombinants (Figure 4 and Figure 5). Molecular marker analysis showed that resistant recombinant 88R-3-19-1 had the shortest 2Ss#1 genomic region < 9.88 Mb locating Pm57, between markers X67593 at locus 17 (773.72 Mb) and X23212 at locus 23 (783.60 Mb). Bgt-resistant recombinant 88R-5-4-2 was the only one missing the 2Ss#1 segment harboring distal markers X6249 at locus 21 (778.85 Mb) and X55871 at locus 22 (779.34 Mb) (Figure 4). The unique genomic regions shared by all 28 Bgt-resistant recombinants, and absent from all 18 susceptible recombinants, are the genomic regions with markers X33705, X430422/X285619/X205834/X240724, and X4364 at loci 18, 19, and 20, respectively. Thus, Pm57 was physically mapped to a maximum genomic region of 5.13 Mb flanked by markers X67593 (773.72 Mb) at locus 17 and X62492 (778.85 Mb) at locus 21, respectively (Figure 5).
Figure 4.
Electrophoresis patterns of 24 molecular markers at 2Ss#1 interval locating Pm57. Lane 1, Bgt-susceptible control CS; 2-3, Bgt-resistant controls 89-88, and 2011-400; 4-6, Bgt-resistant recombinants of CS-Ae. searsii 2Ss#1, 88R-1-12-2, 88R-3-19-1, and 88R-5-4-2; 7-8, Bgt-susceptible recombinants 88S-18-3-2, and 88S-17-4-1. Arrows indicate 2Ss# 1 specific amplicons.
Figure 5.
Molecular marker and Bgt-response among different CS-Ae. searsii 2Ss#1 recombinant lines. Markers at loci 1-24 are listed in Table 2. Genomic positions are corresponding to chromosome 2B of CS RefSeq v1.1 (IWGSC, 2018). Molecular markers (1-24) sequences, derived unigenes, and fraction length intervals are in Supplementary Table S5. Only 21 recombinant types which include 11 resistant and 10 susceptible recombinants from 46 newly identified CS-Ae. searsii recombinants are displayed (Supplementary Table S6). The chromatin of Ae. searsii is in green color and wheat in red. The genomic region, flanked by markers X67593 at 773.72 Mb at locus 17 and X62492 at 778.85 Mb at locus 21, is shared by all the resistant recombinants, but absent in all susceptible recombinants, thus delimiting Pm57 to the 5.13 Mb genomic region.
2.5. Comparative Synteny and Genes in Pm57 Candidate Region
For the discovery of putative resistance gene (R-gene) candidates of Pm57, we conducted a synteny comparison with related species using the markers X67593 at 773.72 Mb and X62492 at 778.85 Mb flanking the 5.13 Mb Pm57 genomic region. The 5.13 Mb syntenic region corresponded to genomic regions of 5.13 Mb, 4.48 Mb, 3.64 Mb, 1.79 Mb, and 212.61 kb on chromosomes 2B, 2D, 2H, 2A, and Bd5 from T. aestivum (72 genes), Ae. tauschii (70 genes), Hordeum vulgare (123 genes), T. urartu (42 genes), and Brachypodium distachyon (38 genes), respectively. Though a total of 345 genes were identified in the syntenic blocks in different species where Pm57 mapped only 12 of these genes were annotated as putative R-genes in the PRGdb database (http://prgdb.crg.eu/wiki/Main_Page). Of these 12 R-genes, 8 genes, 4 from T. aestivum (TraesCS2B02G587400, TraesCS2B02G588500, TraesCS2B02G590100 and TraesCS2B02G593900), 2 from Ae. tauschii (AET2Gv21222400 and AET2Gv21227500), and 2 from H. vulgare (HORVU2Hr1G119780 and HORVU2Hr1G119380), are CNL class R-genes encoding proteins with at least a coiled-coil domain, a nucleotide-binding site and a leucine-rich repeat (CC-NB-LRR). The other 2 genes TuG1812G0200005979.01, and TuG1812G0200005980.01 from T. urartu, and one gene TraesCS2B02G593700 from T. aestivum are NL class R-genes encoding proteins consist of nucleotide-binding subdomain at N-terminal and leucine-rich repeat at the C-terminal, but lack of coiled-coil structures. Additionally, one gene AET2Gv21229600 from Ae. tauschii annotated as RLP class R-gene encoding protein contains leucine-rich receptor-like repeat, a transmembrane region of 25AA, and a short cytoplasmic region was also identified in the syntenic region. None of the genes from B. distachyon were annotated as putative R-genes even though up to 38 genes were located in the syntenic blocks (Figure 6, Supplementary Table S7). Of the 8 CNL class R-genes, 3 genes, gene TraesCS2B02G588500 from T. aestivum, AET2Gv21222400 from Ae. tauschii, and HORVU2Hr1G119780 from H. vulgare are all annotated to a putative R-gene PRGDB00189661 (Hv.31127) in class CNL, decreasing the number of CNL class R-genes from 8 to 6 different genes (Figure 6). Moreover, chromosome inversion was identified between markers X67593 and X62492 at chromosome 2H of Hordeum vulgare based on synteny comparison with group 2 chromosomes 2A, 2B, 2D of T. aestivum, 2A of T. urartu, and 2D of Ae. tauschii.
Figure 6.
Comparative analysis of Pm57 syntenic region and R-genes in T. aestivum, Ae. tauschii, T. urartu, H. vulgare. Syntenic blocks on each chromosome are displayed in green. Markers flanking synteny regions are on the left; names, classes, and genomic positions of the R-genes are on the right of each chromosome. Chromosome inversion was observed in this region-based markers X67593 to X62492 at chromosome 2H of H. vulgare when compared with all other species.
3. Discussion
Powdery mildew causes significant losses to wheat production worldwide. Exploring the gene pools of wheat wild relatives for new and durable Bgt-resistance could lead to the development of wheat cultivars with robust powdery mildew resistance. However, mapping, characterization, and finally cloning R-genes derived from hexaploid wheat, which has three closely related and independent genomes (A, B and D), is challenging due a huge genome size estimated at ~17 Gb [32,42,43]. This effort is further complicated if the genes are originating from wheat wild relatives as a result of low wheat-alien homoeologous recombination that is strictly controlled by Ph genes in hexaploid wheat genetic backgrounds. The other limitation is the availability of alien genome-specific molecular markers due to the lack of reference genomic sequences in the wild wheat species.
To deal with these problems of alien gene mapping, we first performed RNA sequencing using three wheat-Ae. searsii chromosome 2Ss#1 introgression lines (TA3581, 89-88, and 89-69) carrying Pm57 and a susceptible control CS, which provided abundant transcriptome sequences for the development of Ae. searsii chromosome 2Ss#1 specific molecular markers. Here we physically mapped 27 markers specific to chromosome 2Ss#1L at the fraction length interval of LFL0.72-0.87 where Pm57 gene is mapped, of which 24 markers were consistent and used for subsequent physical map of Pm57, together with other 4 markers at flanking intervals. Secondly, we constructed a mapping population with a genetic background of homozygous ph1b genes that enhance the homoeologous recombination of chromosome 2Ss#1 with its homoeologous counterpart in wheat. This resulted in the identification of 46 CS-Ae. searsii recombinants, which provide useful materials for subsequent physical mapping of Pm57.
By analysis of 46 ph1b-induced 2Ss#1L recombinants with different Bgt-responses using 24 2Ss#1L molecular markers at the LFL interval where Pm57 is located, and 4 markers at flanking intervals of LFLC-0.64, LFL0.64-0.67, and LFL0.87-1.00, we physically mapped Pm57 to the long arm of 2Ss#1 in a 5.13-Mb genomic region flanked by markers X67593 at 773.72 Mb and X62492 at 778.85 Mb. In this 5.13-Mb genomic region, a total of 12 putative plant defense-related genes (R-genes) were discovered based on comparative synteny analysis of T. aestivum, T. urartu, Ae. tauschii, H. vulgare, and B. distachyon.
Of the 90 cataloged Pm genes, at least five, including Pm2, Pm3b, Pm8, Pm21, and Pm60, have been successfully isolated using different gene cloning approaches. Map-based cloning was used for Pm3b, Pm60, and Pm21; homologous cloning for Pm8, which is homologous locus to Pm3b; an R-gene mutant-located chromosome flow sorting and sequencing (MutChromSeq) for Pm2, and resistance gene enrichment sequencing (RenSeq) and Pacific Biosciences single-molecule real-time sequencing for Pm21 isolation [8,15,36,37,39,41]. Although isolated by different strategies, all the Pm genes currently cloned are coiled-coil, nucleotide-binding site, leucine-rich repeat (CNL) class R-genes, which initiate effector-triggered immunity usually accompanied by local cell death, also known as the hypersensitive response [52,53,54]. In this study, a total of 12 putative R-gene candidates were discovered locating in collinear genomic regions, of which 8 R-genes, including 4 genes from T. aestivum (TraesCS2B02G587400, TraesCS2B02G588500, TraesCS2B02G590100 and TraesCS2B02G593900), 2 from Ae. tauschii (AET2Gv21222400 and AET2Gv21227500), and another two from H. vulgare (HORVU2Hr1G119780 and HORVU2Hr1G119380), are CNL type R-genes, to which all cloned Pm genes belong. Furthermore, three of these CNL type R-genes (TraesCS2B02G588500, AET2Gv21222400 and HORVU2Hr1G119780) are likely homologs (PRGDB00189661, Hv.31127). Thus, these six CNL type R-genes in the syntenic region could be potential candidates for Pm57 for further cloning of Bgt-resistance gene derived from Ae. searsii. Functional validation of Bgt-resistance of these six CNL type R-genes using virus-induced gene silencing (VIGS) technology is under progress.
4. Materials and Methods
4.1. Plant Materials
A total of 9 lines were used in this study, including the wheat landrace CS (TA3808), a CS ph1b mutant stock (TA3809) lacking the Ph1 gene and thereby permitting homoeologous recombination, a CS-Ae. searsii disomic 2Ss#1 addition line (2011-400, accession ID TA3581) where a pair of chromosome 2Ss#1 were added into CS genetic background (CS-DA 2Ss#1), and 6 CS-Ae. searsii disomic 2Ss#1 recombinant stocks [7] (Table 1). The #1 designation is used to distinguish between the same Ae. searsii chromosome derived from different Ae. searsii accessions [55]. All materials, except the CS-Ae. searsii disomic 2Ss#1 recombinant stocks are kindly provided by the Wheat Genetics Resource Center (WGRC) at Kansas State University, USA and maintained at the Experimental Station of Henan Agricultural University, China.
Of the materials listed in Table 1, three wheat-Ae. searsii chromosome 2Ss#1 introgression lines, TA3581, 89-88 and TA5109 (i.e., 89-69) carrying Pm57 highly resistant to powdery mildew and the susceptible control CS, were used for RNA-seq in this study. The recombinant 89-88 had a pair of recombined chromosomes where the distal parts of the short and long arms of 2Ss#1 were replaced by homoeologous segments derived from wheat chromosome 2A (Ti2AS-2Ss#1S·2Ss#1L-2AL). TA5109 (i.e., 89-69) was a recombinant stock with the distal 33% of the 2Ss#1L segment replacing homoeologous parts of wheat 2BL (T2BS·2BL-2Ss#1L) [7].
For chromosome interval mapping of 2Ss#1-specific markers, a total of 8 lines, which includes CS, TA3581, 89-88, TA5109, and other 4 wheat-Ae. searsii chromosome 2Ss#1 recombinants with different sizes of 2Ss#1L segments (89–346, 89–185, 89–152 and 89–378), were used to assign molecular markers to different fraction length intervals at chromosome 2Ss#1.
4.2. Construction of cDNA Libraries for Illumina Sequencing
Three wheat-Ae. searsii chromosome 2Ss#1 introgression lines with Bgt-resistance, including TA3581, 89-88 and TA5109 (i.e., 89-69) carrying Pm57 and the susceptible control CS, were used for RNA-seq in this study. Pm57 was mapped at the interval of LFL0.72–0.87 on 2Ss#1, which was shared by these three introgression lines based on comparison of the recombination breakpoints of the lines.
Seedling growing, fresh leaf collection for RNA sample preparation for cDNA library construction follow the procedures described by Li et al. (2019) [56]. Total RNA was extracted from leaves of three wheat-Ae. searsii chromosome 2Ss#1 introgression lines (2011-400, 89-88, and 89-69) carrying Pm57 and the wheat landrace CS at 0, 12, 24, and 48 hpi independently using Trizol reagent (Cat. No. B511311, Sangon Biotech (Shanghai) Co., Ltd.), generating 16 RNA samples, 4 samples at different Bgt-infection time points for each of 4 genotypes. RNA quality and purity were inspected using a Nanodrop spectrophotometer (Thermo Fisher Scientific Inc., Wilmington, USA) and 1% formaldehyde gel electrophoresis. After quality assessments, equal amounts of qualified RNAs at 12, 24, and 48 hpi were combined for each line, thus, producing 4 pools of RNAs referred as M-XX, including M-CS for CS, M-400 for 2Ss#1 addition line 2011-400, M-88, and M-69 for recombinants 89-88 and 89-69, respectively, and 4 RNA samples at 0 hpi referred as A-XX, which includes A-CS, A-400, A-88, and A-69. Moreover, the RNA of line 89-69 at time points 0, 12, 24 and 48 hpi (referred as A-69, C-69, D-69, and F-69, respectively) were used separately for subsequent construction of sequencing cDNA libraries and RNA-seq analysis at various Bgt-infection time points.
Construction of 12 RNA-seq libraries, which includes 4 derived from RNA at 0 hpi (A-CS, A-400, A-88, and A-69), 4 from a mixture of equal amounts of RNA at 12, 24 and 48 hpi (M-CS, M-400, M-88, and M-69) of CS, 2011-400, 89-88, and 89-69, respectively, together with 4 RNA samples from the recombinant 89-69 at 0, 12, 24 and 48 hpi (A-69, C-69, D-69, and F-69), and Illumina RNA sequencing were performed by LC-Bio (Hangzhou), China. The generated paired-end reads were used for downstream sequence assembly using Trinity software [49], and transcriptome data analyses after removal of sequences containing adapters or poly-N above 5%, reads less than 100 bp in length and those of low quality.
4.3. RNA-seq Data Analysis
The assembled sequences were designed as unigenes. Read counts of unigenes were normalized as RPKM. All the unigenes were assigned to chromosomes or chromosome arms based on blastn alignment against wheat reference genomic sequences (Wheat_IWGSC_RefSeq_v1_chromosomes) with a cutoff of expect ≤ 1e-10 and qcov ≧ 75% at URGI BLAST (https://urgi.versailles.inra.fr/blast/blast.php).
Annotation and gene function categories of the unigenes were assigned with a cut off e-value < 10−10 based on Blastp alignment against protein sequences in 6 public databases including NR (NCBI non-reduction protein sequences, https://blast.ncbi.nlm.nih.gov/Blast.cgi?PROGRAM=blastn&PAGE_TYPE=BlastSearch&LINK_LOC=blasthome), Pfam (Protein family, http://pfam.sanger.ac.uk/), UniProtKB/Swiss-Prot (a high-quality manually annotated non-redundant protein sequence database, http://www.uniprot.org/statistics/Swiss-Prot), KEGG (Kyoto encyclopedia of genes and genomes, http://www.kegg.jp/), COG (Clusters of orthologous groups of proteins) and GO (Gene Ontology, http://www.geneontology.org/), and PRGdb (Plant resistance gene database) (http://prgdb.org; http://prgdb.crg.eu/wiki) [57].
4.4. Validations of RNA-seq Data by Quantitative RT-PCR
cDNA from Bgt-inoculated seedling leaves of CS, 89-88, and 89-69 at time points 0, 12, 24 and 48 hpi were used to validate RNA-seq data by quantitative RT-PCR (qRT-PCR). Total RNA was isolated using Trizol reagent (Cat. No. B511311, Sangon Biotech (Shanghai) Co., Ltd., China). A total of 1–2 µg RNA of each sample was used to synthesize first-strand cDNA using a Thermo Scientific RevertAid First-Strand cDNA Synthesis Kit (Cat. no. K1622, Thermo Fisher Scientific Inc., USA) following the manufacturer’s instructions. The reverse transcription product was checked by PCR using GAPDH primer sets.
10 DEGs, shared by all introgression lines carrying Pm57 in the RNA-seq analysis, were randomly selected to validate gene expression patterns by SYBR Green real-time RT-PCR using QuantiNova SYBR Green PCR Kit (Cat. no. 208054, Qiagen, USA). The qRT-PCR reaction mixture contained 200 ng cDNA templates, 0.67 μM primer sets, and 1× QuantiNova SYBR Green PCR Master Mix. qRT-PCR amplification was performed on Bio-Rad iQ5 Real-Time PCR System (Bio-Rad Laboratories, Inc., USA) under conditions as follows: 95 °C, 5 min, 40 cycles at 95 °C, 10 s, 60 °C, 30 s for cycle threshold (Ct) value calculation. A melting curve was performed 1 cycle at 95 °C, 15 s, 60 °C, 1 min, 71 cycles at 60 °C, 15 s. Amplified products were finally maintained at 16 °C, 10 min. Each reaction was repeated three times with three biological replicates. The actin gene of wheat was used as the endogenous control and the expression level changes of each gene were calculated according to the method of Livak et al. (2001) [58]. Sequences of the primer sets of the selected and actin gene were designed using the software Primer Premier 5 (PREMIER Biosoft, CA, USA) and were listed in Supplementary Table S3.
4.5. Molecular Marker Analysis
Genomic DNA (gDNA) was isolated from 5–10 cm segments of young leaves with a DNeasy Plant Mini Kit (Qiagen, Cat No. 69104) following the instruction guide. PCR primer pairs specific for 2Ss#1 were designed based on RNA-seq sequences of 2Ss#1 which uniquely presented in 2011-400 but in CS, and sequences shared by three 2Ss#1 introgression lines 2011-400, 89-88, and 89-69. The PCR reaction mixture preparation and PCR amplification by “Touch-down 63” followed Li et al. (2019) and Liu et al. (2017) [7,59], respectively. PCR products were resolved in 1.5% agarose gels and visualized by ethidium bromide staining by a Tanon 2500 Gel Imaging System (Tanon Science & Technology Co., Ltd., Shanghai, China).
4.6. Powdery Mildew Response Assay
Powdery mildew assays were conducted by using a mixture of Bgt isolates (composite) collected in the Henan Province and were kindly provided by Yuli Song in Henan Academy of Agricultural Sciences. The Bgt composite was inoculated after the first leaf of each seedling had fully unfolded and maintained in a controlled greenhouse with a daily cycle of 14 h light at 22 ± 2 °C and 10 h of darkness at 18 ± 2 °C. Powdery mildew infection types (IT) were scored 7–10 days post-inoculation, when the susceptible controls were heavily infected. A 0–4 IT scale was used, where 0 = no visible symptoms; 0; = hypersensitive necrotic flecks; 1 = small and sparse conidial development; 2 = colonies with moderately developed hyphae, but few conidia; 3 = colonies with well-developed hyphae and abundant conidia, but colonies not joined; and 4 = colonies with well-developed hyphae and abundant conidia with mostly overlapping colonies. Plants with ITs 0–2 were considered resistant, whereas those with ITs 3–4 were susceptible [5,60].
4.7. Identification of CS-Ae. searsii 2Ss#1 Recombinants and Physical Mapping of Pm57
The CS-ph1b mutant stock TA3809 was crossed with the 89-88 recombinant, which had a pair of recombined chromosomes where the distal parts of the short and long arms of 2Ss#1 were replaced by homoeologous segments derived from wheat chromosome 2A (Ti2AS-2Ss#1S·2Ss#1L-2AL), to generate F1 hybrids that contained a monosomic recombined chromosome Ti2AS-2Ss#1S·2Ss#1L-2AL in a homozygous ph1b background. The F2 segregating population derived from self-pollinated F1 hybrids were used for selection of 2Ss#1 recombinants using 2Ss#1-specific molecular markers X23241 (488.87 Mb) and X216815 (658.61 Mb), which located at 2Ss#1 intervals of LFLC-0.64 and LFL0.67–0.72 neighboring to the centromere, respectively.
After completing Bgt-responsive assays of the recombinants, Bgt-resistant F2 individuals lacking either or both of the markers X23241 and X216815, should contain the new interstitially recombined chromosome (Ti2AS.2AL-2Ss#1L-2AL), and the Bgt-susceptible, presenting either or both of the markers, were selected to compose a secondary mapping population for further mapping of Pm57 using more markers at the interval of LFL0.72–0.87, where Pm57 mapped based on the RNA-seq sequences.
Supplementary Materials
Supplementary materials can be found at https://www.mdpi.com/1422-0067/21/1/322/s1. Table S1 List of unigenes of specifically expressed in 2011-400; Table S2 List of unigenes shared by all three Pm57 carrying lines; Table S3 List of genes and primers for qRT-PCR; Table S4 Results of qRT-PCR; Table S5 List of molecular markers of Ae. searsii chromosome 2Ss#1 specificity and derived transcriptome unigenes used in this study; Table S6 List of CS-Ae. searsii 2Ss#1 recombinants newly identified, their molecular markers presenting, and response to Bgt-infection; Table S7 Collineary analysis of Pm57 mapped genomic region with related species.
Author Contributions
W.L. and H.L. conceptualized the experiments and designed the methodology; Z.D., X.T., C.M. and Q.X. performed the data curation and formal analysis; Z.D., X.T., C.M., Q.X., B.W., Q.C., H.L., B.F. and S.K.S. performed the investigation; W.L. supervised the experiment; W.L. and H.L. wrote the original manuscript; B.F. and S.K.S. contributed to the revision of the manuscript. All authors commented and approved the final version. All authors have read and agreed to the published version of the manuscript.
Funding
This research was financially supported by National Natural Science Foundation of China (No. 31571658, No. 31801361 and No. 31971887), the State Key Laboratory of Crop Genetics and Germplasm Enhancement at Nanjing Agricultural University, China (No. ZW2011002), National Key Laboratory of Wheat and Maize Crop Science at Henan Agricultural University, China (No. 39990022), and the Scientific and Technological Research Project of Henan Province of China (No. 192102110011).
Acknowledgments
We thank Yuli Song (Institute of Plant Protection, Henan Academy of Agricultural Sciences, China) for providing Bgt isolates collected in Henan Province, and Jon Raupp (Kansas Wheat Innovation Center, Kansas State University, USA) for critical reading and amending of the manuscript.
Conflicts of Interest
The authors declare no conflict of interest.
Abbreviations
| Bgt | Blumeria graminis f. sp. tritici |
| FL | fraction length |
| CNL | coiled-coil nucleotide-binding site-leucine-rich repeat |
| DEG | differential expression gene |
| SFL | short-arm fraction length |
| LFL | long-arm fraction length |
| RPKM | reads per kilobase per million mapped reads |
| IT | infection types |
| VIGS | virus-induced gene silencing |
References
- Fried, P.; Mackenzie, D.; Nelson, R. Yield loss caused by Erysiphe graminis f. sp. tritici on single culms of “Chancellor” wheat and four multilines. J. Plant Dis. Prot. 1981, 88, 256–264. [Google Scholar]
- Conner, R.; Kuzyk, A.; Su, H. Impact of powdery mildew on the yield of soft white spring wheat cultivars. Can. J. Plant Sci. 2003, 83, 725–728. [Google Scholar] [CrossRef]
- Morgounov, A.; Tufan, H.; Sharma, R.; Akin, B.; Bagci, A.; Braun, H.; Kaya, Y.; Keser, M.; Payne, T.; Sonder, K.; et al. Global incidence of wheat rusts and powdery mildew during 1969–2010 and durability of resistance of winter wheat variety Bezostaya 1. Eur. J. Plant Pathol. 2012, 132, 323–340. [Google Scholar] [CrossRef]
- Bennett, F. Resistance to powdery mildew in wheat: A review of its use in agriculture and breeding programs. Plant Pathol. 1984, 33, 279–300. [Google Scholar] [CrossRef]
- Wang, Z.L.; Li, L.H.; He, Z.H.; Duan, X.Y.; Zhou, Y.L.; Chen, X.M.; Lillemo, M.; Singh, R.P.; Wang, H.; Xia, X.C. Seedling and adult plant resistance to powdery mildew in Chinese bread wheat cultivars and lines. Plant Dis. 2005, 89, 457–463. [Google Scholar] [CrossRef]
- McIntosh, R.; Dubcovsky, J.; Rogers, W.; Morris, C. Catalogue of gene symbols for wheat. 2017. Supplement. Ann. Wheat Newsl. 2017, 53, 107–128. [Google Scholar]
- Liu, W.X.; Koo, D.; Xia, Q.; Li, C.X.; Bai, F.Q.; Song, Y.L.; Friebe, B.; Gill, B.S. Homoeologous recombination-based transfer and molecular cytogenetic mapping of powdery mildew-resistant gene Pm57 from Aegilops searsii into wheat. Theor. Appl. Genet. 2017, 130, 841–848. [Google Scholar] [CrossRef]
- Zou, S.; Wang, H.; Li, Y.; Kong, Z.; Tang, D.Z. The NB-LRR gene Pm60 confers powdery mildew resistance in wheat. New Phytol. 2018, 218, 298–309. [Google Scholar] [CrossRef]
- Tan, C.; Li, G.; Cowger, C.; Carver, B.; Xu, X.Y. Characterization of Pm63, a powdery mildew resistance gene in Iranian landrace PI 628024. Theor. Appl. Genet. 2019, 132, 1137–1144. [Google Scholar] [CrossRef]
- Zhang, D.; Zhu, K.; Dong, L.; Liang, Y.; Li, G.Q.; Fang, T.L.; Guo, G.H.; Wu, Q.H.; Xie, J.Z.; Chen, Y.X. Wheat powdery mildew resistance gene Pm64 derived from wild emmer (Triticum turgidum var. dicoccoides) is tightly linked in repulsion with stripe rust resistance gene Yr5. Crop. J. 2018, 7, 761–770. [Google Scholar] [CrossRef]
- Li, G.Q.; Cowger, C.; Wang, X.W.; Carver, B.F.; Xu, X.Y. Characterization of Pm65, a new powdery mildew resistance gene on chromosome 2AL of a facultative wheat cultivar. Theor. Appl. Genet. 2019, 132, 2625–2632. [Google Scholar] [CrossRef]
- Zeller, F.; Fuchs, E. Cytology and disease resistance of 1A/1R and some 1B/1R wheat-rye translocation cultivars. J. Plant Dis. Prot. 1983, 90, 285–296. [Google Scholar]
- Chen, P.; Qi, L.; Zhou, B.; Zhang, S.; Liu, D.J. Development and molecular cytogenetic analysis of wheat–Haynaldia villosa 6VS/6AL translocation lines specifying resistance to powdery mildew. Theor. Appl. Genet. 1995, 91, 1125–1128. [Google Scholar] [CrossRef]
- Luo, P.; Zhang, H.; Shu, K.; Wu, X.; Zhang, H.Q.; Ren, Z.L. The physiological genetic effects of 1BL/1RS translocated chromosome in “stay green” wheat cultivar CN17. Can. J. Plant Sci. 2009, 89, 1–10. [Google Scholar] [CrossRef]
- Xing, L.; Hu, P.; Liu, J.; Witek, K.; Zhou, S.; Xu, J.; Zhou, W.; Gao, L.; Huang, Z.; Zhang, R.; et al. Pm21 from Haynaldia villosa encodes a CC-NBS-LRR protein conferring powdery mildew resistance in wheat. Mol. Plant 2018, 11, 874–878. [Google Scholar] [CrossRef]
- Johal, G.S.; Briggs, S.P. Reductase activity encoded by the HM1 disease resistance gene in maize. Science 1992, 258, 985–987. [Google Scholar] [CrossRef]
- Kourelis, J.; van der Hoo, R. Defended to the nines: 25 years of resistance gene cloning identifies nine mechanisms for R protein function. Plant Cell 2018, 30, 285–299. [Google Scholar] [CrossRef]
- Martin, G.B.; Brommonschenkel, S.H.; Chunwongse, J.; Frary, A.; Ganal, M.W.; Spivey, R.; Wu, T.; Earle, E.D.; Tanksley, S.D. Map-based cloning of a protein kinase gene conferring disease resistance in tomato. Science 1993, 262, 1432–1436. [Google Scholar] [CrossRef]
- Bent, A.F.; Kunkel, B.N.; Dahlbeck, D.; Brown, K.L.; Schmidt, R.; Giraudat, J.; Leung, J.; Staskawicz, B.J. RPS2 of Arabidopsis thaliana: A leucine-rich repeat class of plant disease resistance genes. Science 1994, 265, 1856–1860. [Google Scholar] [CrossRef]
- Song, W.Y.; Wang, G.L.; Chen, L.L.; Kim, H.S.; Pi, L.Y.; Holsten, T.; Gardner, J.; Wang, B.; Zhai, W.X.; Zhu, L.H. A receptor kinase-like protein encoded by the rice disease resistance gene, Xa21. Science 1995, 270, 1804–1806. [Google Scholar] [CrossRef]
- Staskawicz, B.J.; Ausubel, F.M.; Baker, B.J.; Ellis, J.G.; Jones, J.D. Molecular genetics of plant disease resistance. Science 1995, 268, 661–667. [Google Scholar] [CrossRef]
- Periyannan, S. Sustaining global agriculture through rapid detection and deployment of genetic resistance to deadly crop diseases. New Phytol. 2018, 219, 45–51. [Google Scholar] [CrossRef]
- Keller, B.; Feuillet, C.; Yahiaoui, N. Map-based isolation of disease resistance genes from bread wheat: Cloning in a supersize genome. Genet. Res. 2005, 85, 93–100. [Google Scholar] [CrossRef]
- Bevan, M.W.; Uauy, C.; Wulff, B.B.; Zhou, J.; Krasileva, K.; Clark, M.D. Genomic innovation for crop improvement. Nature 2017, 543, 346–354. [Google Scholar] [CrossRef]
- Sears, E.R. Genetic control of chromosome pairing in wheat. Ann. Rev. Genet. 1976, 10, 31–51. [Google Scholar] [CrossRef]
- Martinez-Perez, E.; Moore, G. To check or not to check? The application of meiotic studies to plant breeding. Curr. Opin. Plant Biol. 2008, 11, 222–227. [Google Scholar] [CrossRef]
- Able, J.A.; Crismani, W.; Boden, S.A. Understanding meiosis and the implications for crop improvement. Funct. Plant Biol. 2009, 36, 575–588. [Google Scholar] [CrossRef]
- Wang, Z.; Gerstein, M.; Snyder, M. RNA-Seq: A revolutionary tool for transcriptomics. Nat. Rev. Genet. 2009, 10, 57–63. [Google Scholar] [CrossRef]
- Liu, S.; Yeh, C.T.; Tang, H.M.; Nettleton, D.; Schnable, P.S. Gene mapping via bulked segregant RNA-seq (BSR-Seq). PLoS ONE 2012, 7, e36406. [Google Scholar] [CrossRef]
- Ling, H.; Zhao, S.; Liu, D.; Wang, J.Y.; Sun, H.; Zhang, C.; Fan, H.J.; Li, D.; Dong, L.L.; Tao, Y. Draft genome of the wheat A-genome progenitor Triticum urartu. Nature 2013, 496, 87–90. [Google Scholar] [CrossRef]
- Jia, J.; Zhao, S.; Kong, X.; Li, Y.R.; Zhao, G.Y.; He, W.M.; Appels, R.; Pfeifer, M.; Tao, Y.; Zhang, Y.X. Aegilops tauschii draft genome sequence reveals a gene repertoire for wheat adaptation. Nature 2013, 496, 91–95. [Google Scholar] [CrossRef] [PubMed]
- Zhang, J.C.; Zheng, H.Y.; Li, Y.W.; Li, H.J.; Liu, X.; Qin, H.J.; Dong, L.L.; Wang, D.W. Coexpression network analysis of the genes regulated by two types of resistance responses to powdery mildew in wheat. Sci. Rep. 2016, 6, 23805. [Google Scholar] [CrossRef] [PubMed]
- Avni, R.; Nave, M.; Barad, O.; Baruch, K.; Twardziok, S.O.; Gundlach, H.; Hale, I.; Mascher, M.; Spannagl, M.; Wiebe, K. Wild emmer genome architecture and diversity elucidate wheat evolution and domestication. Science 2017, 357, 93–97. [Google Scholar] [CrossRef]
- Thind, A.; Wicker, T.; Šimková, H.; Fossati, D.; Moullet, O.; Brabant, C.; Vrana, J.; Dolezel, J.; Krattinger, S.G. Rapid cloning of genes in hexaploid wheat using cultivar-specific long-range chromosome assembly. Nat. Biotechnol. 2017, 35, 793–796. [Google Scholar] [CrossRef]
- Keller, B.; Wicker, T.; Krattinger, S.G. Advances in wheat and pathogen genomics: Implications for disease control. Ann. Rev. Phytopathol. 2018, 56, 67–87. [Google Scholar] [CrossRef]
- Yahiaoui, N.; Srichumpa, P.; Dudler, R.; Keller, B. Genome analysis at different ploidy levels allows cloning of the powdery mildew resistance gene Pm3b from hexaploid wheat. Plant J. 2004, 37, 528–538. [Google Scholar] [CrossRef]
- Hurni, S.; Brunner, S.; Buchmann, G.; Herren, G.; Jordan, T.; Krukowski, P.; Wicker, T.; Yahiaoui, N.; Mago, R.; Keller, B. Rye Pm8 and wheat Pm3 are orthologous genes and show evolutionary conservation of resistance function against powdery mildew. Plant J. 2013, 76, 957–969. [Google Scholar] [CrossRef]
- Jupe, F.; Witek, K.; Verweij, W.; Sliwka, J.; Pritchard, L.; Etherington, G.; Maclean, D.; Cock, P.J.; Leggett, R.M.; Bryan, G.J. Resistance gene enrichment sequencing (RenSeq) enables reannotation of the NB-LRR gene family from sequenced plant genomes and rapid mapping of resistance loci in segregating populations. Plant J. 2013, 76, 530–544. [Google Scholar] [CrossRef]
- Sanchez-Martin, J.; Steuernagel, B.; Ghosh, S.; Herren, G.; Hurni, S.; Adamski, N.; Vrana, J.; Kubalakova, M.; Krattinger, S.M.; Wicker, T. Rapid gene isolation in barley and wheat by mutant chromosome sequencing. Genome Biol. 2016, 17, 221. [Google Scholar] [CrossRef]
- Witek, K.; Jupe, F.; Witek, A.; Baker, D.; Clark, M.D.; Jones, J.D. Accelerated cloning of a potato late blight–resistance gene using RenSeq and SMRT sequencing. Nat. Biotechnol. 2016, 34, 656–660. [Google Scholar] [CrossRef]
- He, H.; Zhu, S.; Zhao, R.; Jiang, Z.; Ji, Y.; Ji, J.; Qiu, D.; Li, H.; Bie, T. Pm21, encoding a typical CC-NBS-LRR protein, confers broad-spectrum resistance to wheat powdery mildew disease. Mol. Plant 2018, 11, 879–882. [Google Scholar] [CrossRef] [PubMed]
- Xin, M.; Wang, X.; Peng, H.; Yao, Y.; Xie, C.J.; Han, Y.; Ni, Z.F.; Sun, Q.X. Transcriptome comparison of susceptible and resistant wheat in response to powdery mildew infection. Genom. Proteom. Bioinform. 2012, 10, 94–106. [Google Scholar] [CrossRef] [PubMed]
- Boni, R.; Chauhan, H.; Hensel, G.; Roulin, A.; Sucher, J.; Kumlehn, J.; Brunner, S.; Krattinger, S.G.; Keller, B. Pathogen-inducible Ta-Lr34res expression in heterologous barley confers disease resistance without negative pleiotropic effects. Plant Biotechnol. J. 2017, 16, 245–253. [Google Scholar] [CrossRef] [PubMed]
- Cao, A.; Xing, L.; Wang, X.; Yang, X.; Wang, W.; Sun, Y.; Qian, C.; Ni, J.L.; Chen, Y.P.; Liu, D.J.; et al. Serine/threonine kinase gene Stpk-V, a key member of powdery mildew resistance gene Pm21, confers powdery mildew resistance in wheat. Proc. Natl. Acad. Sci. USA 2011, 108, 7727–7732. [Google Scholar] [CrossRef]
- Zhu, Y.; Li, Y.; Fei, F.; Wang, Z.; Wang, W.; Cao, A.; Liu, Y.; Han, S.; Xing, L.; Wang, H.Y. E3 ubiquitin ligase gene CMPG1–V from Haynaldia villosa L. contributes to powdery mildew resistance in common wheat (Triticum aestivum L.). Plant J. 2015, 84, 154–168. [Google Scholar] [CrossRef]
- Li, S.; Lin, Z.; Liu, C.; Wang, K.; Du, L.P.; Ye, X.G. Development and comparative genomic mapping of Dasypyrum villosum 6V#4S-specific PCR markers using transcriptome data. Theor. Appl. Genet. 2017, 130, 2057–2068. [Google Scholar]
- Wang, K.; Lin, Z.; Wang, L.; Wang, K.; Shi, Q.H.; Du, L.P.; Ye, X.G. Development of a set of PCR markers specific to Aegilops longissima chromosome arms and application in breeding a translocation line. Theor. Appl. Genet. 2018, 131, 13–25. [Google Scholar] [CrossRef]
- Feldman, M.; Kislev, M. Aegilops searsii, a new species of section Sitopsisi (Platystachys). Isr. J. Plant Sci. 1977, 26, 190–201. [Google Scholar]
- Grabherr, M.; Haas, B.; Yassour, M.; Levin, J.; Thompson, D.A.; Amit, I.; Adicoins, X.; Fan, L.; Raychowdhury, R.; Zeng, Q.D. Full-length transcriptome assembly from RNA-Seq data without a reference genome. Nat. Biotechnol. 2011, 29, 644–652. [Google Scholar] [CrossRef]
- Sears, E.R. Genetics society of canada award of excellence lecture an induced mutant with homoeologous pairing in common wheat. Can. J. Genet. Cytol. 1977, 19, 585–593. [Google Scholar] [CrossRef]
- Friebe, B.; Tuleen, N.A.; Gill, B.S. Standard karyotype of Triticum searsii and its relationship with other S-genome species and common wheat. Theor. Appl. Genet. 1995, 91, 248–254. [Google Scholar] [CrossRef] [PubMed]
- Dodds, P.; Rathjen, J. Plant immunity: Towards an integrated view of plant–pathogen interactions. Nat. Rev. Genet. 2010, 11, 539–548. [Google Scholar] [CrossRef] [PubMed]
- Jones, J.; Dang, J. The plant immune system. Nature 2006, 444, 323–329. [Google Scholar] [CrossRef] [PubMed]
- Sekhwal, M.; Li, P.; Lam, I.; Wang, X.; Cloutier, S.; You, F. Disease resistance gene analogs (RGAs) in plants. Int. J. Mol. Sci. 2015, 16, 19248–19290. [Google Scholar] [CrossRef] [PubMed]
- Raupp, W.; Friebe, B.; Gill, B. Suggested guidelines for the nomenclature and abbreviation of the genetic stocks of wheat and its relatives. Wheat Inf. Serv. 1995, 81, 50–55. [Google Scholar]
- Li, H.H.; Dong, Z.J.; Ma, C.; Tian, X.B.; Xiang, Z.G.; Xia, Q.; Ma, P.T.; Liu, W.X. Discovery of powdery mildew resistance gene candidates from Aegilops biuncialis chromosome 2Mb based on transcriptome sequencing. PLoS ONE 2019, 14, e0220089. [Google Scholar] [CrossRef]
- Osuna-Cruz, C.; Paytuvi-Gallart, A.; Di Donato, A.; Sundesha, V.; Andolfo, G.; Cigliano, R.; Sanseverino, W.; Ercolano, M.R. PRGdb 3.0: A comprehensive platform for prediction and analysis of plant disease resistance genes. Nucleic Acids Res. 2017, 46, D1197–D1201. [Google Scholar] [CrossRef]
- Livak, K.; Schmittgen, T. Analysis of relative gene expression data using real-time quantitative PCR and the 2−ΔΔCT method. Methods 2001, 25, 402–408. [Google Scholar] [CrossRef]
- Li, H.H.; Dong, Z.J.; Ma, C.; Tian, X.B.; Qi, Z.J.; Wu, N.; Friebe, B.; Xiang, Z.G.; Xia, Q.; Liu, W.X. Physical mapping of stem rust resistance gene Sr52 from Dasypyrum villosum based on ph1b-induced homoeologous recombination. Int. Mol. Sci. 2019, 20, 4887. [Google Scholar] [CrossRef]
- Shi, Q.; Zhang, X.; Duan, X. Identification of isolates of Blumeria graminis f. sp. tritici. Sci. Agric. Sin. 1987, 20, 64–70. [Google Scholar]
© 2020 by the authors. Licensee MDPI, Basel, Switzerland. This article is an open access article distributed under the terms and conditions of the Creative Commons Attribution (CC BY) license (http://creativecommons.org/licenses/by/4.0/).





