Non-Coding RNAs Participate in the Regulation of CRY-DASH in the Growth and Early Development of Saccharina japonica (Laminariales, Phaeophyceae)
Abstract
1. Introduction
2. Results
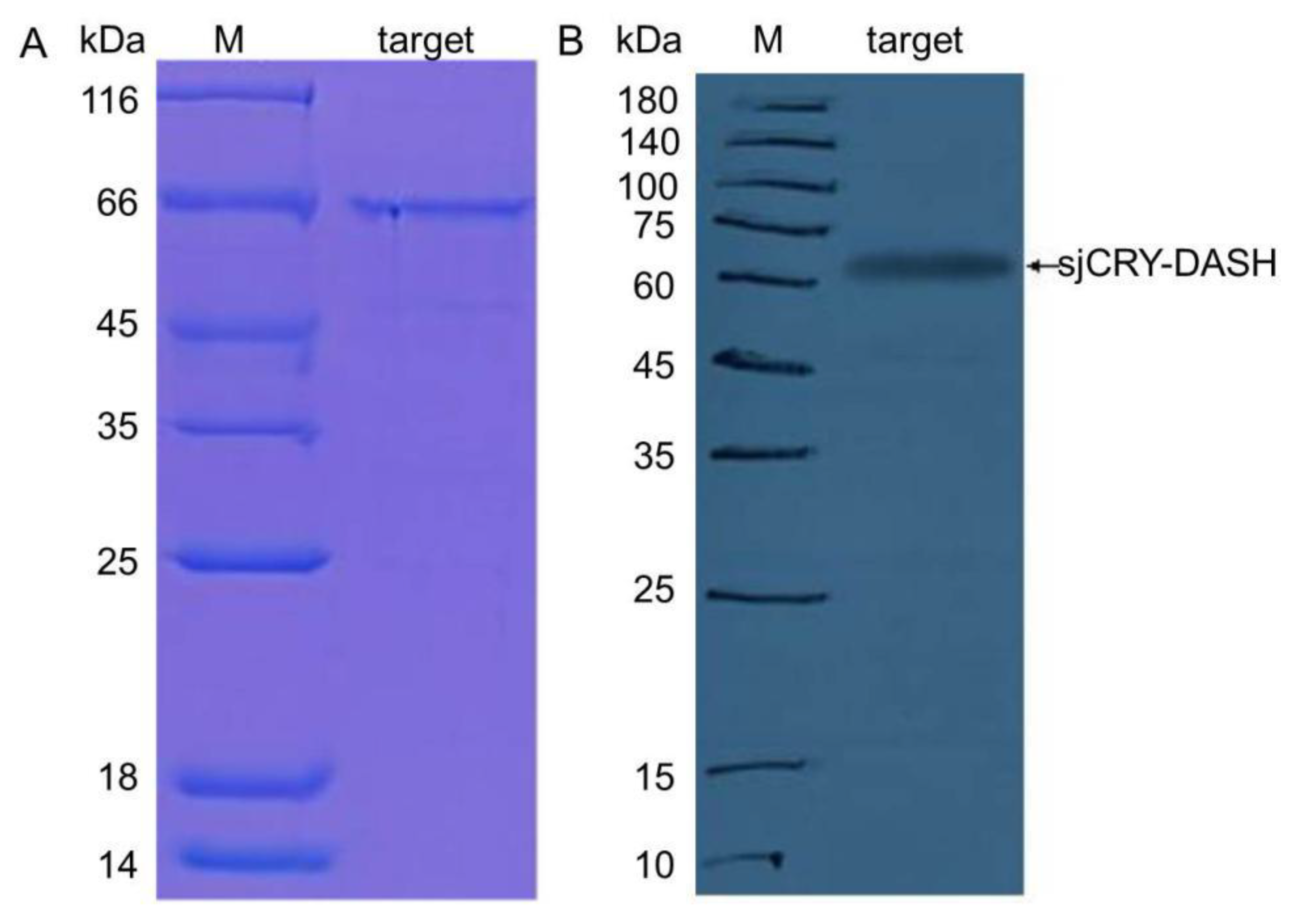
2.1. Characterization of CRY-DASH in S. japonica
2.2. sjCRY-DASH Transcription is Rapidly Upregulated by Blue Light
2.3. Photoperiod Affects the Circadian Oscillation of sjCRY-DASH
2.4. Temperature Effects the Expression of sjCRY-DASH
2.5. SjCRY-DASH Is Negatively Regulated by Novel-m3234-5p
2.6. LincRNAs Regulate sjCRY-DASH via Trans-Acting mechanisms
2.7. Identification of the Candidate Competing Endogenous RNAs of sjCRY-DASH
3. Discussion
4. Materials and Methods
4.1. Sample Collection and Treatment with Various Conditions
4.2. RNA Preparation and cDNA Synthesis
4.3. Cloning of CRY-DASH from S. japonica
4.4. Heterologous Expression and Purification of sjCRY-DASH
4.5. Small RNA Library Preparation and Sequencing
4.6. Long Non-Coding RNA Library Preparation and Sequencing
4.7. miRNA-sjCRY-DASH-lncRNA Association Analysis
4.8. Quantitative Real-Time PCR Analysis
Supplementary Materials
Author Contributions
Funding
Conflicts of Interest
References
- Ozturk, N. Phylogenetic and functional classification of the photolyase/cryptochrome family. Photochem. Photobiol. 2017, 93, 104–111. [Google Scholar] [CrossRef]
- Schelvis, J.P.; Gindt, Y.M. A review of spectroscopic and biophysical-chemical studies of the complex of cyclobutane pyrimidine dimer photolyase and cryptochrome DASH with substrate DNA. Photochem. Photobiol. 2017, 93, 26–36. [Google Scholar] [CrossRef]
- Sancar, A. Structure and function of DNA photolyase and cryptochrome blue-light photoreceptors. Chem. Rev. 2003, 103, 2203–2237. [Google Scholar] [CrossRef]
- Kneuttinger, A.C.; Kashiwazaki, G.; Prill, S.; Heil, K.; Müller, M.; Carell, T. Formation and direct repair of UV-induced dimeric DNA pyrimidine lesions. Photochem. Photobiol. 2014, 90, 1–14. [Google Scholar] [CrossRef] [PubMed]
- Cashmore, A.R.; Jarillo, J.A.; Wu, Y.J.; Liu, D.M. Cryptochromes: Blue light receptors for plants and animals. Science 1999, 284, 760–765. [Google Scholar] [CrossRef] [PubMed]
- Cashmore, A.R. Cryptochromes: Enabling plants and animals to determine circadian time. Cell 2003, 114, 537–543. [Google Scholar] [CrossRef] [PubMed]
- Giliberto, L.; Perrotta, G.; Pallara, P.; Weller, J.L.; Fraser, P.D.; Bramley, P.M.; Fiore, A.; Tavazza, M.; Giuliano, G. Manipulation of the blue light photoreceptor cryptochrome 2 in tomato affects vegetative development, flowering time, and fruit antioxidant content. Plant Physiol. 2005, 137, 199–208. [Google Scholar] [CrossRef] [PubMed]
- Tagua, V.G.; Pausch, M.; Eckel, M.; Gutiérrez, G.; Miralles-Durán, A.; Sanz, C.; Eslava, A.; Pokorny, R.; Corrochano, L.; Batschauer, A. Fungal cryptochrome with DNA repair activity reveals an early stage in cryptochrome evolution. Proc. Natl. Acad. Sci. USA 2015, 112, 15130–15135. [Google Scholar] [CrossRef]
- Kleine, T.; Lockhart, P.; Batschauer, A. An Arabidopsis protein closely related to Synechocystis cryptochrome is targeted to organelles. Plant J. 2003, 35, 93–103. [Google Scholar] [CrossRef]
- Fortunato, A.E.; Annunziata, R.; Jaubert, M.; Bouly, J.P.; Falciatore, A. Dealing with light: The widespread and multitasking cryptochrome/photolyase family in photosynthetic organisms. J. Plant Physiol. 2015, 172, 42–54. [Google Scholar] [CrossRef]
- Chaves, I.; Pokorny, R.; Byrdin, M.; Hoang, N.; Ritz, T.; Brettel, K.; Essen, L.O.; van der Horst, G.T.; Batschauer, A.; Ahmad, M. The cryptochromes: Blue light photoreceptors in plants and animals. Annu. Rev. Plant Biol. 2011, 62, 335–364. [Google Scholar] [CrossRef] [PubMed]
- Veluchamy, S.; Rollins, J.A. A CRY-DASH-type photolyase/cryptochrome from Sclerotinia sclerotiorum mediates minor UV-A-specific effects on development. Fungal Genet. Biol. 2008, 45, 1265–1276. [Google Scholar] [CrossRef] [PubMed]
- Castrillo, M.; García-Martínez, J.; Avalos, J. Light-dependent functions of the Fusarium fujikuroi CryD DASH cryptochrome in development and secondary metabolism. Appl. Environ. Microbiol. 2013, 79, 2777–2788. [Google Scholar] [CrossRef] [PubMed]
- Wang, F.; Song, X.; Dong, X.; Zhang, J.; Dong, C. DASH-type cryptochromes regulate fruiting body development and secondary metabolism differently than CmWC-1 in the fungus Cordyceps militaris. Appl. Microbiol. Biotechnol. 2017, 101, 4645–4657. [Google Scholar] [CrossRef] [PubMed]
- Vass, I.Z.; Kós, P.B.; Knoppová, J.; Komenda, J.; Vass, I. The cry-DASH cryptochrome encoded by the sll1629 gene in the cyanobacterium Synechocystis PCC 6803 is required for Photosystem II repair. J. Photochem. Photobiol. Biol. 2014, 130, 318–326. [Google Scholar] [CrossRef]
- Heijde, M.; Zabulon, G.; Corellou, F.; Ishikawa, T.; Brazard, J.; Usman, A.; Sanchez, F.; Plaza, P.; Martin, M.; Todo, T.; et al. Characterization of two members of the cryptochrome/photolyase family from Ostreococcus tauri provides insights into the origin and evolution of cryptochromes. Plant Cell Environ. 2010, 33, 1614–1626. [Google Scholar] [CrossRef]
- Brunelle, S.A.; Hazard, E.S.; Sotka, E.E.; Dolah, F.M.V. Characterization of a dinoflagellate cryptochrome blue-light receptor with a possible role in circadian control of the cell cycle. J. Phycol. 2007, 43, 509–518. [Google Scholar] [CrossRef]
- Juhas, M.; Zadow, A.; Spexard, M.; Schmidt, M.; Kottke, T.; Büchel, C. A novel cryptochrome in the diatom Phaeodactylum tricornutum influences the regulation of light-harvesting protein levels. FEBS J. 2014, 281, 2299–2311. [Google Scholar] [CrossRef]
- Dring, M.J. Chromatic adaptation of photosynthesis in benthic marine algae: An examination of its ecological significance using a theoretical model. Limnol. Oceanogr. 1981, 26, 271–284. [Google Scholar] [CrossRef]
- Liu, F.; Wang, W.; Sun, X.; Liang, Z.; Wang, F. Conserved and novel heat stress-responsive micro RNAs were identified by deep sequencing in Saccharina japonica (Laminariales, Phaeophyta). Plant Cell Environ. 2015, 38, 1357–1367. [Google Scholar] [CrossRef]
- Sánchez-Retuerta, C.; Suaréz-López, P.; Henriques, R. Under a new light: Regulation of light-dependent pathways by non-coding RNAs. Front. Plant Sci. 2018, 9, 962. [Google Scholar] [CrossRef] [PubMed]
- Huang, A.; He, L.; Wang, G. Identification and characterization of microRNAs from Phaeodactylum tricornutum by high-throughput sequencing and bioinformatics analysis. BMC Genom. 2011, 12, 337. [Google Scholar] [CrossRef] [PubMed]
- Tarver, J.E.; Cormier, A.; Pinzón, N.; Taylor, R.S.; Carré, W.; Strittmatter, M.; Seitz, H.; Coelho, S.M.; Cock, J.M. microRNAs and the evolution of complex multicellularity: Identification of a large, diverse complement of microRNAs in the brown alga Ectocarpus. Nucleic Acids Res. 2015, 43, 6384–6398. [Google Scholar] [CrossRef] [PubMed]
- Cock, J.M.; Liu, F.; Duan, D.; Bourdareau, S.; Lipinska, A.P.; Coelho, S.M.; Tarver, J.E. Rapid evolution of microRNA loci in the brown algae. Genome Biol. Evol. 2017, 9, 740–749. [Google Scholar] [CrossRef] [PubMed]
- Cormier, A.; Avia, K.; Sterck, L.; Derrien, T.; Wucher, V.; Andres, G.; Monsoor, M.; Godfroy, O.; Lipinska, A.; Van de Peer, Y.; et al. Re-annotation, improved large-scale assembly and establishment of a catalogue of noncoding loci for the genome of the model brown alga Ectocarpus. New Phytol. 2017, 214, 219–232. [Google Scholar] [CrossRef]
- Huang, R.; Ding, J.; Gao, K.; de Carvalho, M.H.C.; Bowler, C.; Tirichine, L.; Lin, X. A potential role for epigenetic processes in the acclimation response to elevated pCO2 in the model diatom Phaeodactylum tricornutum. Front. Microbiol. 2018, 9, 3342. [Google Scholar] [CrossRef]
- Facella, P.; Lopez, L.; Chiappetta, A.; Bitonti, M.B.; Giuliano, G.; Perrotta, G. CRY-DASH gene expression is under the control of the circadian clock machinery in tomato. FEBS Lett. 2006, 580, 4618–4624. [Google Scholar] [CrossRef]
- Müller, N.; Wenzel, S.; Zou, Y.; Künzel, S.; Sasso, S.; Weiß, D.; Prager, K.; Grossman, A.; Kottke, T.; Mittag, M. A plant cryptochrome controls key features of the Chlamydomonas circadian clock and its life cycle. Plant Physiol. 2017, 174, 185–201. [Google Scholar] [CrossRef]
- Shalit-Kaneh, A.; Kumimoto, R.W.; Filkov, V.; Harmer, S.L. Multiple feedback loops of the Arabidopsis circadian clock provide rhythmic robustness across environmental conditions. Proc. Natl. Acad. Sci. USA 2018, 115, 7147–7152. [Google Scholar] [CrossRef]
- Pasquinelli, A.E. MicroRNAs and their targets: Recognition, regulation and an emerging reciprocal relationship. Nat. Rev. Genet. 2012, 13, 271–282. [Google Scholar] [CrossRef]
- Deniz, E.; Erman, B. Long noncoding RNA (lincRNA), a new paradigm in gene expression control. Funct. Integr. Genom. 2017, 17, 135–143. [Google Scholar] [CrossRef] [PubMed]
- Meng, X.; Zhang, P.; Chen, Q.; Wang, J.; Chen, M. Identification and characterization of ncRNA-associated ceRNA networks in Arabidopsis leaf development. BMC Genom. 2018, 19, 607. [Google Scholar] [CrossRef] [PubMed]
- Daiyasu, H.; Ishikawa, T.; Kuma, K.; Iwai, S.; Todo, T.; Toh, H. Identification of cryptochrome DASH from vertebrates. Genes Cells 2004, 9, 479–495. [Google Scholar] [CrossRef] [PubMed]
- Huang, Y.; Baxter, R.; Smith, B.S.; Partch, C.L.; Colbert, C.L.; Deisenhofer, J. Crystal structure of cryptochrome 3 from Arabidopsis thaliana and its implications for photolyase activity. Proc. Natl. Acad. Sci. USA 2006, 103, 17701–17706. [Google Scholar] [CrossRef]
- Deng, Y.; Yao, J.; Wang, X.; Guo, H.; Duan, D. Transcriptome sequencing and comparative analysis of Saccharina japonica (Laminariales, Phaeophyceae) under blue light induction. PLoS ONE 2012, 7, e39704. [Google Scholar] [CrossRef]
- Casero, D.; Sandoval, S.; Seet, C.S.; Scholes, J.; Zhu, Y.; Ha, V.L.; Luong, A.; Parekh, C.; Crooks, G.M. Long non-coding RNA profiling of human lymphoid progenitor cells reveals transcriptional divergence of B cell and T cell lineages. Nat. Immunol. 2015, 16, 1282–1291. [Google Scholar] [CrossRef]
- Livak, K.J.; Schmittgen, T.D. Analysis of relative gene expression data using real-time quantitative PCR and the 2−ΔΔC(T) Method. Methods 2001, 25, 402–408. [Google Scholar] [CrossRef]











| lncRNA_id | Classification | Target | Correlation |
|---|---|---|---|
| TCONS_00043396 | LincRNA | SjCRY-DASH | 0.999986 |
| TCONS_00017519 | LincRNA | SjCRY-DASH | 0.999975 |
| TCONS_00009907 | LincRNA | SjCRY-DASH | 0.999995 |
| TCONS_00008371 | LincRNA | SjCRY-DASH | 0.999993 |
| TCONS_00008286 | LincRNA | SjCRY-DASH | 0.999996 |
| TCONS_00006247 | LincRNA | SjCRY-DASH | 0.999996 |
| TCONS_00002718 | LincRNA | SjCRY-DASH | 0.999996 |
| TCONS_00001280 | LincRNA | SjCRY-DASH | 0.999998 |
| TCONS_00043393 | LincRNA | SjCRY-DASH | 0.99999 |
| microRNA | Target | Target_Region (3′ → 5′) | Pairing (5′ → 3′) | miRNA_Sequence (5′ → 3′) |
|---|---|---|---|---|
| novel-m3234-5p | MRNA_015181_1 | AGGUGGGGCCGGAAGUACCU | ||||x||||||x||x||||x | UCCAGCCCGGCGUUGAUGGC |
| novel-m3234-5p | MRNA_002832_2 | AGGUACGGUCGCAACAACCG | ||||xx||o||||||x|||| | UCCAGCCCGGCGUUGAUGGC |
| novel-m3234-5p | MRNA_011802_2 | AGGGCGGGUCGAAACUACUG | |||x||||o||x||||||o| | UCCAGCCCGGCGUUGAUGGC |
| novel-m3234-5p | MRNA_016177_1 | AGGUCGAGCCGCUGCUACAG | ||||||x|||||xo||||x| | UCCAGCCCGGCGUUGAUGGC |
| novel-m3234-5p | MRNA_009453_1 | GGGCGGGGCCGCAGCUACCG | o||xx||||||||o|||||| | UCCAGCCCGGCGUUGAUGGC |
| novel-m3234-5p | MRNA_016908_2 | AGGUCGUGCCGCAACAACGA | ||||||x||||||||x||xx | UCCAGCCCGGCGUUGAUGGC |
| novel-m3234-5p | MRNA_015275_1 | AGGUCGGGCCGGAACGACGA | |||||||||||x|||x||xx | UCCAGCCCGGCGUUGAUGGC |
| novel-m3234-5p | MRNA_015277_1 | GGGCGGGGCCGCAGCUACCG | o||xx||||||||o|||||| | UCCAGCCCGGCGUUGAUGGC |
| novel-m3234-5p | MRNA_004590_1 | AGCUUGUGCCGCAACUACUG | ||x|o|x|||||||||||o| | UCCAGCCCGGCGUUGAUGGC |
| novel-m3234-5p | MRNA_000829_2 | AGGCAGGGCCGCAACAACCC | |||xx||||||||||x|||x | UCCAGCCCGGCGUUGAUGGC |
| novel-m3234-5p | MRNA_023160_1 | CGGUCGGGCCGCAACUGCUA | x|||||||||||||||o|ox | UCCAGCCCGGCGUUGAUGGC |
| novel-m3234-5p | MRNA_019284_2 | AGGACAGGCCGCAACUUCCA | |||x|x||||||||||x||x | UCCAGCCCGGCGUUGAUGGC |
| novel-m3234-5p | MRNA_002345_1 | AGGUCGAGCCGCAACAGCCG | ||||||x||||||||xo||| | UCCAGCCCGGCGUUGAUGGC |
| novel-m3234-5p | MRNA_011058_1 | AGGUGGGGACGCAGGUACCG | ||||x|||x||||ox||||| | UCCAGCCCGGCGUUGAUGGC |
| novel-m3234-5p | MRNA_029442_1 | GGGUCGUGCCGCAACUUACG | o|||||x|||||||||xx|| | UCCAGCCCGGCGUUGAUGGC |
| novel-m3234-5p | MRNA_027449_1 | AGGUGGGGCCGCUACCGCCG | ||||x|||||||x||xo||| | UCCAGCCCGGCGUUGAUGGC |
| novel-m3234-5p | MRNA_024988_4 | AGGGAGGGCCGCAACUUCCC | |||xx|||||||||||x||x | UCCAGCCCGGCGUUGAUGGC |
| novel-m3234-5p | MRNA_018753_1 | GGGUCCGGCCGCAUCUACCC | o||||x|||||||x|||||x | UCCAGCCCGGCGUUGAUGGC |
| novel-m3234-5p | MRNA_002528_2 | AGGACGCGCCGCAACUGCCG | |||x||x|||||||||o||| | UCCAGCCCGGCGUUGAUGGC |
| novel-m3234-5p | MRNA_002464_1 | AGGACAGGCCGCGACUACCA | |||x|x||||||o||||||x | UCCAGCCCGGCGUUGAUGGC |
| novel-m3234-5p | MRNA_029364_1 | AGGUGGGGCCGAAGCUAGCG | ||||x||||||x|o|||x|| | UCCAGCCCGGCGUUGAUGGC |
| novel-m3234-5p | MRNA_028783_4 | AGGUCGGGUCGCAACUACGA | ||||||||o|||||||||xx | UCCAGCCCGGCGUUGAUGGC |
| novel-m3234-5p | MRNA_015378_1 | AGGUCGAGCCGUAACUAGUG | ||||||x||||o|||||xo| | UCCAGCCCGGCGUUGAUGGC |
| novel-m3234-5p | MRNA_028906_3 | AGCUAGGGCCGCUGCUACCG | ||x|x|||||||xo|||||| | UCCAGCCCGGCGUUGAUGGC |
© 2020 by the authors. Licensee MDPI, Basel, Switzerland. This article is an open access article distributed under the terms and conditions of the Creative Commons Attribution (CC BY) license (http://creativecommons.org/licenses/by/4.0/).
Share and Cite
Yang, X.; Li, L.; Wang, X.; Yao, J.; Duan, D. Non-Coding RNAs Participate in the Regulation of CRY-DASH in the Growth and Early Development of Saccharina japonica (Laminariales, Phaeophyceae). Int. J. Mol. Sci. 2020, 21, 309. https://doi.org/10.3390/ijms21010309
Yang X, Li L, Wang X, Yao J, Duan D. Non-Coding RNAs Participate in the Regulation of CRY-DASH in the Growth and Early Development of Saccharina japonica (Laminariales, Phaeophyceae). International Journal of Molecular Sciences. 2020; 21(1):309. https://doi.org/10.3390/ijms21010309
Chicago/Turabian StyleYang, Xiaoqi, Lu Li, Xiuliang Wang, Jianting Yao, and Delin Duan. 2020. "Non-Coding RNAs Participate in the Regulation of CRY-DASH in the Growth and Early Development of Saccharina japonica (Laminariales, Phaeophyceae)" International Journal of Molecular Sciences 21, no. 1: 309. https://doi.org/10.3390/ijms21010309
APA StyleYang, X., Li, L., Wang, X., Yao, J., & Duan, D. (2020). Non-Coding RNAs Participate in the Regulation of CRY-DASH in the Growth and Early Development of Saccharina japonica (Laminariales, Phaeophyceae). International Journal of Molecular Sciences, 21(1), 309. https://doi.org/10.3390/ijms21010309

