Distinct Differentiation Characteristics of Endothelium Determine Its Ability to Form Pseudo-Embryos in Tomato Ovules
Abstract
1. Introduction
2. Results
2.1. Development of Ovules after Fertilization in Normal Tomato
2.2. Development of Unfertilized Ovules in Transgenic Tomato
2.3. Normal Tomato, the Phase of Two-Cellular Proembryo
2.4. Normal Tomato, Phase of 8-Cellular Proembryo
2.5. Normal Tomato, Phase of Early Multicellular Embryo
2.6. Normal Tomato, Phase of Globular-Shaped Embryo
2.7. Normal Tomato, Phase of Torpedo-Shaped Embryo
2.8. Transgenic Tomato, Beginning of Endothelium Proliferation in an Unfertilized Ovule
2.9. Transgenic Tomato, Phase of Maximal Size of Pseudo-Embryo in Unfertilized Ovule
2.10. Transgenic Tomato, Beginning of Pseudo-Embryo Degradation in Unfertilized Ovule
3. Discussion
3.1. First Stages of Ovule Development
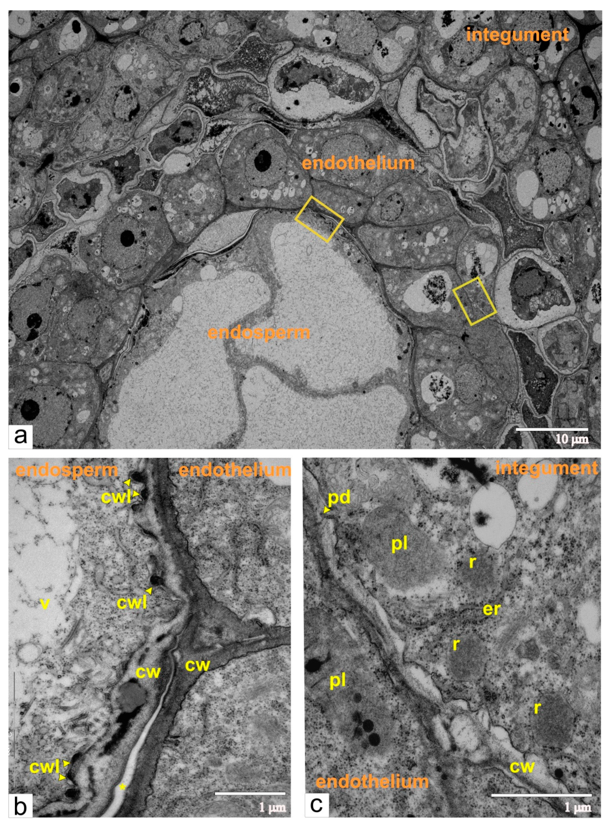
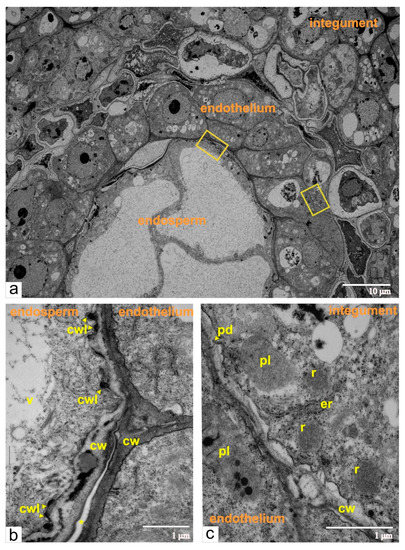
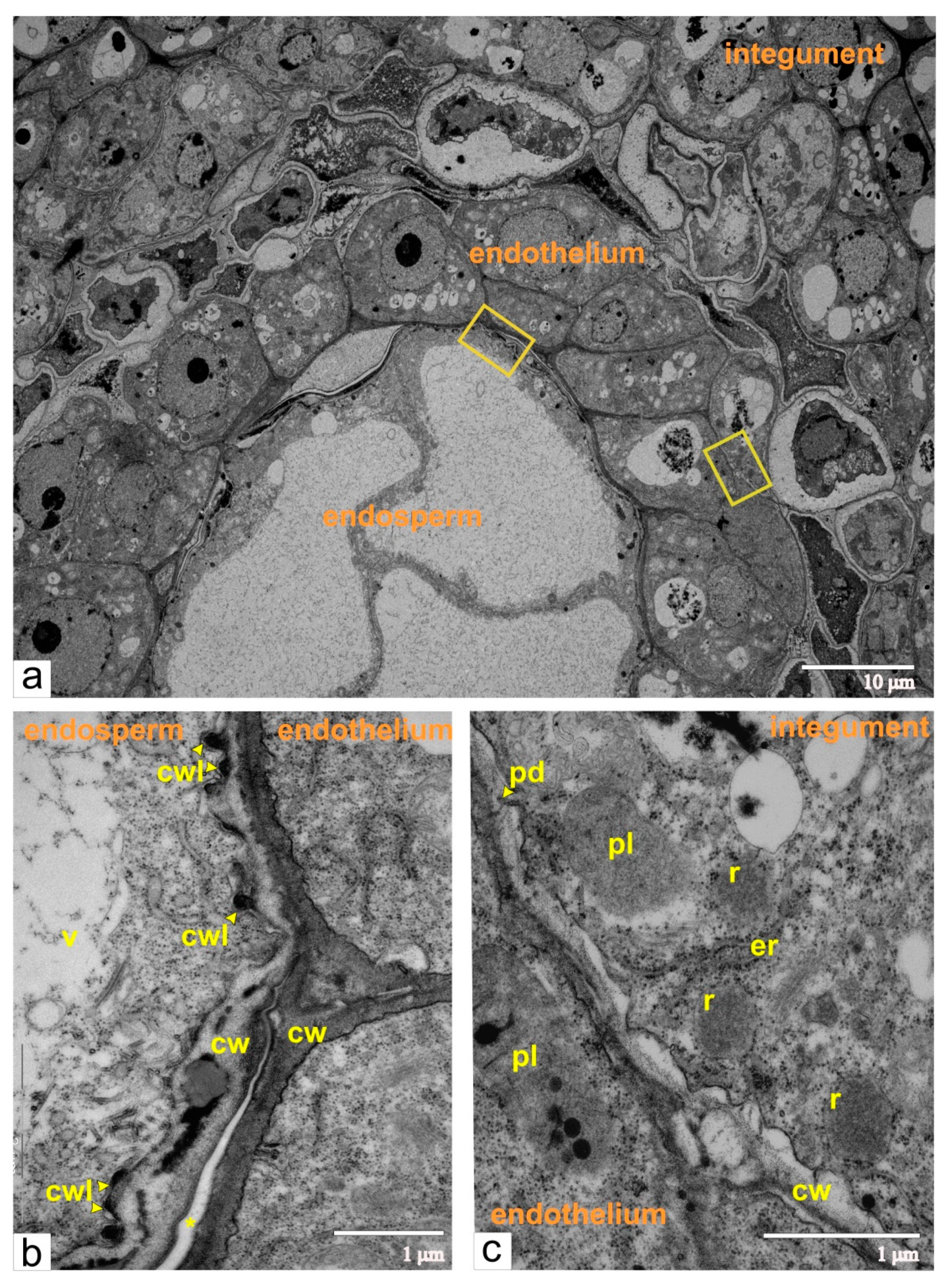
3.2. Dissociation of Endothelium from Integument
3.3. Interconnection between Endothelium and Endosperm
3.4. Detachment of Endothelium from Endosperm
3.5. PCD of the Integument of Tomato Ovules
3.6. Formation of Pseudo-Embryo
4. Materials and Methods
4.1. Plant Material
4.2. Light Microscopy and Conventional Electron Microscopy
4.3. Staining of Cell Walls and Nuclei
4.4. Cytophotometry and Statistical Analysis
4.5. Staining of Callose
5. Conclusions
Author Contributions
Funding
Acknowledgments
Conflicts of Interest
Abbreviations
| ER | Endoplasmic reticulum |
| PCD | Programmed cell death |
| PBS | Phosphate buffer saline |
References
- Cooper, D.C.; Brink, R.A. Seed collapse following matings between diploid and tetraploid races of Lycopersicon pimpinellifolium. Genetics 1945, 30, 376–401. [Google Scholar] [PubMed]
- Rappaport, J.; Satina, S.; Blakeslee, A.F. Extracts of ovular tumors and their inhibition of embryo growth in Datura. Am. J. Bot. 1950, 37, 586–595. [Google Scholar] [CrossRef]
- Satina, S.; Rappaport, J.; Blakeslee, A.F. Ovular tumors connected with incompatible crosses in Datura. Am. J. Bot. 1950, 37, 576–586. [Google Scholar] [CrossRef]
- Lin, S.; Splittstoesser, W.E.; George, W.L. A comparison of normal seeds and pseudo-embryos produced in partenocarpic fruits of “Severianin” tomato. HortScience 1983, 19, 45–53. [Google Scholar]
- Mazzucato, A.; Taddei, A.R.; Soressi, G.P. The parthenocarpic fruit (pat) mutant tomato (Lycopersicon esculentum Mill.) sets seedless fruits and has aberrant anther and ovule development. Development 1998, 125, 107–114. [Google Scholar] [PubMed]
- Kataoka, K.; Uemachi, A.; Yazawa, S. Fruit growth and pseudo-embryo development affected by uniconazole, an ihibitor of gibberellin biosynthesis, in pat-2 and auxin-induced parthenocarpic tomato fruits. Sci. Hortic. 2003, 98, 9–16. [Google Scholar] [CrossRef]
- Serrani, J.C.; Fos, M.; Atarés, A.; García-Martínez, J.L. Effect of gibberellin and auxin on parthenocarpic fruit growth induction in the cv Micro-Tom of tomato. J. Plant Growth Reg. 2007, 26, 211–221. [Google Scholar] [CrossRef]
- Chaban, I.; Khaliluev, M.; Baranova, E.; Kononenko, N.; Dolgov, S.; Smirnova, E. Abnormal development of floral meristem triggers defective morphogenesis of generative system in transgenic tomatoes. Protoplasma 2018, 255, 1597–1611. [Google Scholar] [CrossRef]
- Khaliluev, M.R.; Chaban, I.A.; Kononenko, N.V.; Baranova, E.N.; Dolgov, S.V.; Kharchenko, P.N.; Polyakov, V.Y. Abnormal floral meristem development in transgenic tomato plants do not depend on the expression of genes encoding defense-related PR-proteins and antimicrobial peptides. Russ. J. Dev. Biol. 2014, 45, 22–33. [Google Scholar] [CrossRef]
- Gietl, C.; Schmid, M. Ricinosomes: An organelle for developmentally regulated programmed cell death in senescing plant tissues. Naturwissenschaften 2001, 88, 49–58. [Google Scholar] [CrossRef]
- De Bono, A.G.; Greenwood, J.S. Characterization of programmed cell death in the endosperm cells of tomato seed: Two distinct death programs. Can. J. Bot. 2006, 84, 791–804. [Google Scholar] [CrossRef]
- Senatore, A.; Trobacher, C.P.; Greenwood, J.S. Ricinosomes predict programmed cell death leading to anther dehiscence in tomato. Plant Physiol. 2009, 149, 775–790. [Google Scholar] [CrossRef] [PubMed]
- Bakker, M.E.; Gerritsen, A.F.; Van Der Schaaf, P.J. Development of oil and mucilage cells in Cinnamomum burmanni. An ultrastructural study. Acta Bot. Neerl. 1991, 40, 339–356. [Google Scholar] [CrossRef]
- Figueiredo, R.; Duarte, P.; Pereira, S.; Pissarra, J. The embryo sac of Cynara cardunculus: Ultrastructure of the development and localisation of the aspartic proteinase cardosin B. Sex. Plant Reprod. 2006, 19, 93–101. [Google Scholar] [CrossRef]
- Kolczyk, J.; Stolarczyk, P.; Płachno, B.J. Comparative anatomy of ovules in Galinsoga, Solidago and Ratibida (Asteraceae). Acta Biol. Crac. Ser. Bot. 2014, 56, 115–125. [Google Scholar] [CrossRef]
- Musiał, K.; Płachno, B.J.; Świątek, P.; Marciniuk, J. Anatomy of ovary and ovule in dandelions (Taraxacum, Asteraceae). Protoplasma 2013, 250, 715–722. [Google Scholar] [CrossRef]
- Płachno, B.J.; Kurczyńska, E.; Świątek, P. Integument cell differentiation in dandelions (Taraxacum, Asteraceae, Lactuceae) with special attention paid to plasmodesmata. Protoplasma 2016, 253, 1365–1372. [Google Scholar] [CrossRef]
- Płachno, B.J.; Świątek, P.; Kozieradzka-Kiszkurno, M.; Szeląg, Z.; Stolarczyk, P. Integument cell gelatinisation—The fate of the integumentary cells in Hieracium and Pilosella (Asteraceae). Protoplasma 2017, 254, 2287–2294. [Google Scholar] [CrossRef]
- Chevalier, C.; Bourdon, M.; Pirrello, J.; Cheniclet, C.; Gévaudan, F.; Frangne, N. Endoreduplication and fruit growth in tomato: Evidence in favour of the karyoplasmic ratio theory. J. Exp. Bot. 2013, 10, 2731–2746. [Google Scholar] [CrossRef]
- Gorquet, B.; van Heusden, A.W.; Lindhout, P. Parthenocarpic fruit development in tomato. Plant Biol. 2005, 7, 131–139. [Google Scholar] [CrossRef]
- Serrani, J.C.; Ruiz-Rivero, O.; Fos, M.; García-Martínez, J.L. Auxin-induced fruit-set in tomato is mediated in part by gibberellins. Plant J. 2008, 56, 922–934. [Google Scholar] [CrossRef] [PubMed]
- De Jong, M.; Mariani, C.; Vriezen, W.H. The role of auxin and gibberellin in tomato fruit set. J. Exp. Bot. 2009, 60, 1523–1532. [Google Scholar] [CrossRef] [PubMed]
- Lozano, R.; Giménez, E.; Cara, B.; Capel, J.; Angosto, T. Genetic analysis of reproductive development in tomato. Int. J. Dev. Biol. 2009, 53, 1635–1648. [Google Scholar] [CrossRef] [PubMed]
- Kapil, R.N.; Tiwari, S.C. The integumentary tapetum. Bot. Rev. 1978, 44, 457–490. [Google Scholar] [CrossRef]
- Newcomb, W. The development of the embryo sac of sunflower Helianthus annuus after fertilization. Can. J. Bot. 1973, 51, 879–890. [Google Scholar] [CrossRef]
- Went, J.L. Integumentary tapetum in Impatiens walleriana ovules. In Some Aspects and Actual Orientations in Plant Embryology, 3rd ed.; Lebegue, A., Paré, J., Bugnicourt, M., Eds.; Universite Picardie: Amiens, France, 1990; pp. 271–279. [Google Scholar]
- Azzi, L.; Deluche, C.; Gévaudant, F.; Frangne, N.; Delmas, F.; Hernould, M.; Chevalier, C. Fruit growth-related genes in tomato. J. Exp. Bot. 2015, 66, 1075–1086. [Google Scholar] [CrossRef]
- Schmid, M.; Simpson, D.; Gietl, C. Programmed cell death in castor bean endosperm is associated with the accumulation and release of a cysteine endopeptidase from ricinosomes. Proc. Nat. Acad. Sci. USA 1999, 96, 14159–14164. [Google Scholar] [CrossRef]
- Greenwood, J.S.; Helm, M.; Gietl, C. Ricinosomes and endosperm transfer cell structure in programmed cell death of the nucellus during Ricinus seed development. Proc. Nat. Acad. Sci. USA 2005, 102, 2238–2243. [Google Scholar] [CrossRef]
- Lombardi, L.; Casani, S.; Ceccarelli, N.; Galleschi, L.; Picciarelli, P.; Lorenzi, R. Programmed cell death of the nucellus during Sechium edule Sw. seed development is associated with activation of caspase-like proteases. J. Exp. Bot. 2007, 58, 2949–2958. [Google Scholar] [CrossRef][Green Version]
- Radchuk, V.; Weier, D.; Radchuk, R.; Weschke, W.; Weber, H. Development of maternal seed tissue in barley is mediated by regulated cell expansion and cell disintegration and coordinated with endosperm growth. J. Exp. Bot. 2010, 62, 1217–1227. [Google Scholar] [CrossRef]
- López-Fernández, M.P.; Maldonado, S. Programmed cell death during quinoa perisperm development. J. Exp. Bot. 2013, 64, 3313–3325. [Google Scholar] [CrossRef] [PubMed]
- Kopcinska, J.; Łotocka, B.; Kowalczyk, K.; Kobryn, J. Seed development in Solanum murikatum Aiton. Acta Biol. Crac. Ser. Bot. 2004, 46, 121–132. [Google Scholar]
- Pérez-Pastrana, J.; Islas-Flores, I.; Bárány, I.; Álvarez-López, D.; Canto-Flick, A.; Canto-Canché, B.; Peña-Yam, L.; Muñoz-Ramírez, L.; Avilés-Viñas, S.; Testillano, P.S.; et al. Development of the ovule and seed of Habanero chili pepper (Capsicum chinense Jacq.): Anatomical characterization and immunocytochemical patterns of pectin methyl-esterification. J. Plant Physiol. 2018, 230, 1–12. [Google Scholar] [CrossRef] [PubMed]
- Chen, X.Y.; Kim, J.Y. Callose synthesis in higher plants. Plant Signal. Behav. 2009, 4, 489–492. [Google Scholar] [CrossRef]
- Nishikawa, S.I.; Zinkl, G.M.; Swanson, R.J.; Maruyama, D.; Preuss, D. Callose (β-1,3 glucan) is essential for Arabidopsis pollen wall patterning, but not tube growth. BMC Plant Biol. 2005, 5, 22. [Google Scholar] [CrossRef]
- Ünal, M.; Vardar, F.; Ayturk, Ö. Callose in plant sexual reproduction. In Current Progress in Biological Research; Silva-Opps, M., Ed.; IntechOpen: Rijeka, Croatia, 2013; Volume 14, pp. 319–343. [Google Scholar]
- Kolczyk, J.; Stolarczyk, P.; Płachno, B.J. Ovule structure of scotch thistle Onopordum acanthium L. (Cynareae, Asteraceae). Acta Biol. Crac. Ser. Bot. 2016, 58, 19–28. [Google Scholar] [CrossRef]
- Joubes, J.; Chevalier, C. Endoreduplication in higher plants. In The Plant Cell Cycle; Inzé, D., Ed.; Springer: Dordrecht, The Netherlands, 2000; Volume 15, pp. 735–745. [Google Scholar]
- Barow, M. Endopolyploidy in seed plants. BioEssays 2006, 28, 271–281. [Google Scholar] [CrossRef]
- Edgar, B.A.; Orr-Weaver, T.L. Endoreplication cell cycles: More for less. Cell 2001, 105, 297–306. [Google Scholar] [CrossRef]
- Khaliluev, M.R.; Mamonov, A.G.; Smirnov, A.N.; Kharchenko, P.N.; Dolgov, S.V. Expression of genes encoding chitin-binding proteins (PR-4) and hevein-like antimicrobial peptides in transgenic tomato plants enhanced resistance to Phytophthora infestance. Russ. Agric. Sci. 2011, 37, 297–302. [Google Scholar] [CrossRef]
- Oh, D.H.; Lee, S.Y.; Bressan, R.A.; Yun, D.J.; Bohnert, H.J. Intracellular consequences of SOS1 deficiency during salt stress. J. Exp. Bot. 2010, 61, 1205–1213. [Google Scholar] [CrossRef]













© 2019 by the authors. Licensee MDPI, Basel, Switzerland. This article is an open access article distributed under the terms and conditions of the Creative Commons Attribution (CC BY) license (http://creativecommons.org/licenses/by/4.0/).
Share and Cite
Chaban, I.; Baranova, E.; Kononenko, N.; Khaliluev, M.; Smirnova, E. Distinct Differentiation Characteristics of Endothelium Determine Its Ability to Form Pseudo-Embryos in Tomato Ovules. Int. J. Mol. Sci. 2020, 21, 12. https://doi.org/10.3390/ijms21010012
Chaban I, Baranova E, Kononenko N, Khaliluev M, Smirnova E. Distinct Differentiation Characteristics of Endothelium Determine Its Ability to Form Pseudo-Embryos in Tomato Ovules. International Journal of Molecular Sciences. 2020; 21(1):12. https://doi.org/10.3390/ijms21010012
Chicago/Turabian StyleChaban, Inna, Ekaterina Baranova, Neonila Kononenko, Marat Khaliluev, and Elena Smirnova. 2020. "Distinct Differentiation Characteristics of Endothelium Determine Its Ability to Form Pseudo-Embryos in Tomato Ovules" International Journal of Molecular Sciences 21, no. 1: 12. https://doi.org/10.3390/ijms21010012
APA StyleChaban, I., Baranova, E., Kononenko, N., Khaliluev, M., & Smirnova, E. (2020). Distinct Differentiation Characteristics of Endothelium Determine Its Ability to Form Pseudo-Embryos in Tomato Ovules. International Journal of Molecular Sciences, 21(1), 12. https://doi.org/10.3390/ijms21010012

