Role of PD-L1 Expression in Non-Small Cell Lung Cancer and Their Prognostic Significance according to Clinicopathological Factors and Diagnostic Markers
Abstract
1. Introduction
2. Results
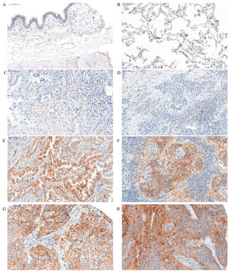
2.1. Comparison of Programmed Death Ligand 1 (PD-L1) Expressions in Non-Small Cell Lung Cancer (NSCLC) Subtypes
2.2. Comparison of PD-L1 with TTF-1, p63 and Ki-67 Antigen Expression Levels
2.3. The Associations between PD-L1 Expression and Clinicopathological Parameters
2.4. The Associations between PD-L1 Expression and Overall Survival (OS)
3. Discussion
4. Materials and Methods
4.1. Patient Cohort
4.2. Tissue Microarrays (TMAs)
4.3. Immunohistochemical Reaction (IHC)
4.4. Evaluation of IHC Reaction
4.5. Real-Time PCR (RT-PCR)
4.6. Statistical Analysis
5. Conclusions
Author Contributions
Funding
Conflicts of Interest
References
- Dela Cruz, C.S.; Tanoue, L.T.; Matthay, R.A. Lung Cancer: epidemiology, etiology and prevention. Clin. Chest. Med. 2011, 32, 1–61. [Google Scholar] [CrossRef] [PubMed]
- Kanitkar, A.A.; Schwartz, A.G.; George, J.; Soubani, A.O. Causes of death in long-term survivors of non-small cell lung cancer: A regional Surveillance, Epidemiology, and End Results study. Ann. Thorac. Med. 2018, 13, 76–81. [Google Scholar] [PubMed]
- Glatzel-Plucinska, N.; Piotrowska, A.; Grzegrzolka, J.; Olbromski, M.; Rzechonek, A.; Dziegiel, P.; Podhorska-Okolow, M. SATB1 Level Correlates with Ki-67 Expression and Is a Positive Prognostic Factor in Non-small Cell Lung Carcinoma. Anticancer Res. 2018, 38, 723–736. [Google Scholar] [PubMed]
- Lin, G.; Fan, X.; Zhu, W.; Huang, C.; Zhuang, W.; Xu, H. Prognostic significance of PD-L1 expression and tumor infiltrating lymphocyte in surgically resectable non-small cell lung cancer Patient characteristics. Oncotarget 2017, 8, 83986–83994. [Google Scholar] [PubMed]
- Parra, E.R.; Villalobos, P.; Mino, B.; Rodriguez-Canales, J. Comparison of Different Antibody Clones for Immunohistochemistry Detection of Programmed Cell Death Ligand 1 (PD-L1) on Non-Small Cell Lung Carcinoma. Appl. Immunohistochem. Mol. Morphol. 2018, 26, 83–93. [Google Scholar] [CrossRef]
- Shimoji, M.; Shimizu, S.; Sato, K.; Suda, K.; Kobayashi, Y.; Tomizawa, K.; Takemoto, T.; Mitsudomi, T. Clinical and pathologic features of lung cancer expressing programmed cell death ligand 1 (PD-L1). Lung Cancer 2016, 98, 69–75. [Google Scholar] [CrossRef]
- Shi, X.; Wu, S.; Sun, J.; Liu, Y.; Zeng, X.; Liang, Z. PD-L1 expression in lung adenosquamous carcinomas compared with the more common variants of non-small cell lung cancer. Sci. Rep. 2017, 7, 1–7. [Google Scholar] [CrossRef]
- Sheppard, K.-A.; Fitz, L.J.; Lee, J.M.; Benander, C.; George, J.A.; Wooters, J.; Qiu, Y.; Jussif, J.M.; Carter, L.L.; Wood, C.R.; et al. PD-1 inhibits T-cell receptor induced phosphorylation of the ZAP70/CD3ζ signalosome and downstream signaling to PKCθ. FEBS Lett. 2004, 574, 37–41. [Google Scholar] [CrossRef]
- Pardoll, D.M. The blockade of immune Slide checkpoints in cancer immunotherapy. Nat Rev Cancer. 2012, 12, 252–264. [Google Scholar] [CrossRef]
- Ribas, A.; Tumeh, P.C. Tumeh The future of cancer therapy: Selecting patients who respond to PD-1/L1 blockade. Clin. Cancer Res. 2014, 20, 4982–4984. [Google Scholar] [CrossRef]
- Kim, H.; Jung, H.K.; Kwon, H.J.; Park, S.Y.; Park, Y.; Park, E.; Chung, J.-H. Clinicopathological analysis and prognostic significance of programmed cell death-ligand 1 protein and mRNA expression in non-small cell lung cancer. PLoS ONE 2018, 13, e0198634. [Google Scholar] [CrossRef] [PubMed]
- Mino-Kenudson, M.; Mino-Kenudson, M. Programmed cell death ligand-1 (PD-L1) expression by immunohistochemistry: could it be predictive and/or prognostic in non-small cell lung cancer? Cancer Biol. Med. 2016, 13, 157–170. [Google Scholar] [CrossRef] [PubMed]
- Konishi, J.; Yamazaki, K.; Azuma, M.; Kinoshita, I.; Dosaka-Akita, H.; Nishimura, M. B7-H1 expression on non-small cell lung cancer cells and its relationship with tumor-infiltrating lymphocytes and their PD-1 expression. Clin. Cancer Res. 2004, 10, 5094–5100. [Google Scholar] [CrossRef] [PubMed]
- Mu, C.-Y.; Huang, J.-A.; Chen, Y.; Chen, C.; Zhang, X.-G. High expression of PD-L1 in lung cancer may contribute to poor prognosis and tumor cells immune escape through suppressing tumor infiltrating dendritic cells maturation. Med. Oncol. 2011, 28, 682–688. [Google Scholar] [CrossRef]
- Chen, Y.; Wang, L.; Zhu, H.; Li, X.; Zhu, Y.; Yin, Y.; Lü, F.; Wang, Z.; Qu, J. Relationship between programmed death-ligand 1 and clinicopathological characteristics in non-small cell lung cancer patients. Chin. Med. Sci. J. 2013, 28, 147–151. [Google Scholar] [CrossRef]
- Velcheti, V.; Schalper, K.A.; Carvajal, D.E.; Anagnostou, V.K.; Syrigos, K.N.; Sznol, M.; Herbst, R.S.; Gettinger, S.N.; Chen, L.; Rimm, D.L. Programmed death ligand-1 expression in non-small cell lung cancer. Lab. Investig. 2014, 94, 107–116. [Google Scholar] [CrossRef]
- D’Incecco, A.; Andreozzi, M.; Ludovini, V.; Rossi, E.; Capodanno, A.; Landi, L.; Tibaldi, C.; Minuti, G.; Salvini, J.; Coppi, E.; et al. PD-1 and PD-L1 expression in molecularly selected non-small-cell lung cancer patients. Br. J. Cancer 2015, 112, 95–102. [Google Scholar] [CrossRef] [PubMed]
- Azuma, K.; Ota, K.; Kawahara, A.; Hattori, S.; Iwama, E.; Harada, T.; Matsumoto, K.; Takayama, K.; Takamori, S.; Kage, M.; et al. Association of PD-L1 overexpression with activating EGFR mutations in surgically resected nonsmall-cell lung cancer. Ann. Oncol. Off. J. Eur. Soc. Med. Oncol. 2014, 25, 1935–1940. [Google Scholar] [CrossRef]
- Mao, Y.; Li, W.; Chen, K.; Xie, Y.; Liu, Q.; Yao, M.; Duan, W.; Zhou, X.; Liang, R.; Tao, M.; et al. B7-H1 and B7-H3 are independent predictors of poor prognosis in patients with non-small cell lung cancer. Oncotarget 2015, 6, 3452–3461. [Google Scholar] [CrossRef] [PubMed]
- Cooper, W.A.; Tran, T.; Vilain, R.E.; Madore, J.; Selinger, C.I.; Kohonen-Corish, M.; Yip, P.Y.; Yu, B.; O’Toole, S.A.; McCaughan, B.C.; et al. PD-L1 expression is a favorable prognostic factor in early stage non-small cell carcinoma. Lung Cancer 2015, 89, 181–188. [Google Scholar] [CrossRef]
- Boland, J.M.; Kwon, E.D.; Harrington, S.M.; Wampfler, J.A.; Tang, H.; Yang, P.; Aubry, M.C. Tumor B7-H1 and B7-H3 Expression in Squamous Cell Carcinoma of the Lung. Clin. Lung Cancer 2013, 14, 157–163. [Google Scholar] [CrossRef] [PubMed]
- Kim, M.-Y.; Koh, J.; Kim, S.; Go, H.; Jeon, Y.K.; Chung, D.H. Clinicopathological analysis of PD-L1 and PD-L2 expression in pulmonary squamous cell carcinoma: Comparison with tumor-infiltrating T cells and the status of oncogenic drivers. Lung Cancer 2015, 88, 24–33. [Google Scholar] [CrossRef] [PubMed]
- Yang, C.-Y.; Lin, M.-W.; Chang, Y.-L.; Wu, C.-T.; Yang, P.-C. Programmed cell death-ligand 1 expression in surgically resected stage I pulmonary adenocarcinoma and its correlation with driver mutations and clinical outcomes. Eur. J. Cancer 2014, 50, 1361–1369. [Google Scholar] [CrossRef]
- Schmidt, L.H.; Kümmel, A.; Görlich, D.; Mohr, M.; Bröckling, S.; Mikesch, J.H.; Grünewald, I.; Marra, A.; Schultheis, A.M.; Wardelmann, E.; et al. PD-1 and PD-L1 expression in NSCLC indicate a favorable prognosis in defined subgroups. PLoS ONE 2015, 10, 1–15. [Google Scholar] [CrossRef] [PubMed]
- Remmele, W.; Stegner, H.E. [Recommendation for uniform definition of an immunoreactive score (IRS) for immunohistochemical estrogen receptor detection (ER-ICA) in breast cancer tissue]. Pathologe 1987, 8, 138–140. [Google Scholar] [PubMed]
- Ettinger, D.S.; Wood, D.E.; Aisner, D.L.; Akerley, W.; Bauman, J.; Chirieac, L.R.; D’Amico, T.A.; DeCamp, M.M.; Dilling, T.J.; Dobelbower, M.; et al. Non-Small Cell Lung Cancer, Version 5.2017, NCCN Clinical Practice Guidelines in Oncology. J. Natl. Compr. Canc. Netw. 2017, 15, 504–535. [Google Scholar] [CrossRef] [PubMed]
- Herbst, R.S.; Baas, P.; Perez-Gracia, J.L.; Felip, E.; Kim, D.-W.; Han, J.-Y.; Molina, J.; Kim, J.-H.; Arvis, C.D.; Ahn, M.-J.; et al. P2.41 (also presented as PD1.06): Pembrolizumab vs Docetaxel for Previously Treated NSCLC (KEYNOTE-010): Archival vs New Tumor Samples for PD-L1 Assessment: Track: Immunotherapy. J. Thorac. Oncol. 2016, 11, S242–S243. [Google Scholar] [CrossRef] [PubMed]
- Reck, M.; Rodríguez-Abreu, D.; Robinson, A.G.; Hui, R.; Csőszi, T.; Fülöp, A.; Gottfried, M.; Peled, N.; Tafreshi, A.; Cuffe, S.; et al. Pembrolizumab versus Chemotherapy for PD-L1–Positive Non–Small-Cell Lung Cancer. N. Engl. J. Med. 2016, 375, 1823–1833. [Google Scholar] [CrossRef] [PubMed]
- Igarashi, T.; Teramoto, K.; Ishida, M.; Hanaoka, J.; Daigo, Y. Scoring of PD-L1 expression intensity on pulmonary adenocarcinomas and the correlations with clinicopathological factors. ESMO Open 2016, 1, e000083. [Google Scholar] [CrossRef] [PubMed]
- Li, B.; Huang, X.; Fu, L. Impact of smoking on efficacy of PD-1/PD-L1 inhibitors in non-small cell lung cancer patients: a meta-analysis. Onco. Targets. Ther. 2018, 11, 3691–3696. [Google Scholar] [CrossRef]
- Kametaka, A.; Takagi, M.; Hayakawa, T.; Haraguchi, T.; Hiraoka, Y.; Yoneda, Y. Interaction of the chromatin compaction-inducing domain (LR domain) of Ki-67 antigen with HP1 proteins. Genes Cells 2002, 7, 1231–1242. [Google Scholar] [CrossRef]
- Endl, E.; Kausch, I.; Baack, M.; Knippers, R.; Gerdes, J.; Scholzen, T. The expression of Ki-67, MCM3, and p27 defines distinct subsets of proliferating, resting, and differentiated cells. J. Pathol. 2001, 195, 457–462. [Google Scholar] [CrossRef]
- Scholzen, T.; Endl, E.; Wohlenberg, C.; van der Sar, S.; Cowell, I.G.; Gerdes, J.; Singh, P.B. The Ki-67 protein interacts with members of the heterochromatin protein 1 (HP1) family: a potential role in the regulation of higher-order chromatin structure. J. Pathol. 2002, 196, 135–144. [Google Scholar] [CrossRef] [PubMed]
- Zhang, M.; Li, G.; Wang, Y.; Zhao, S.; Haihong, P.; Zhao, H.; Wang, Y. Expression in lung cancer and its correlation with driver mutations: A meta-analysis. Sci. Rep. 2017, 7, 1–10. [Google Scholar] [CrossRef] [PubMed]
- Takada, K.; Okamoto, T.; Shoji, F.; Shimokawa, M.; Akamine, T.; Takamori, S.; Katsura, M.; Suzuki, Y.; Fujishita, T.; Toyokawa, G.; et al. Clinical significance of PD-L1 protein expression in surgically resected primary lung adenocarcinoma. J. Thorac. Oncol. 2016, 11, 1879–1890. [Google Scholar] [CrossRef] [PubMed]
- Perea, F.; Sanchez-Palencia, A.; Gomez-Morales, M.; Bernal, M.; Concha, A.; Garcia, M.M.; Gonzalez-Ramirez, A.R.; Kerick, M.; Martin, J.; Garrido, F.; et al. HLA class I loss and PD-L1 expression in lung cancer: Impact on T-cell infiltration and immune escape. Oncotarget 2018, 9, 4120–4133. [Google Scholar] [CrossRef] [PubMed]
- Galoczova, M.; Coates, P.; Vojtesek, B. STAT3, stem cells, cancer stem cells and p63. Cell. Mol. Biol. Lett. 2018, 23, 12. [Google Scholar] [CrossRef] [PubMed]
- Sun, J.-M.; Zhou, W.; Choi, Y.-L.; Choi, S.-J.; Kim, S.E.; Wang, Z.; Dolled-Filhart, M.; Emancipator, K.; Wu, D.; Weiner, R.; et al. Prognostic Significance of PD-L1 in Patients with Non–Small Cell Lung Cancer: A Large Cohort Study of Surgically Resected Cases. J. Thorac. Oncol. 2016, 11, 1003–1011. [Google Scholar] [CrossRef] [PubMed]
- Zhou, C.; Tang, J.; Sun, H.; Zheng, X.; Li, Z.; Sun, T.; Li, J.; Wang, S.; Zhou, X.; Sun, H.; et al. PD-L1 expression as poor prognostic factor in patients with non-squamous non-small cell lung cancer. Oncotarget 2017, 8, 58457–58468. [Google Scholar] [CrossRef] [PubMed]
- Takada, K.; Okamoto, T.; Toyokawa, G.; Kozuma, Y.; Matsubara, T.; Haratake, N.; Akamine, T.; Takamori, S.; Katsura, M.; Shoji, F.; et al. The expression of PD-L1 protein as a prognostic factor in lung squamous cell carcinoma. Lung Cancer 2017, 104, 7–15. [Google Scholar] [CrossRef]
- Zhou, Z.J.; Zhan, P.; Song, Y. PD-L1 over-expression and survival in patients with non-small cell lung cancer: a meta-analysis. Transl. Lung Cancer Res. 2015, 4, 203–208. [Google Scholar] [CrossRef] [PubMed]
- Wang, A.; Wang, H.Y.; Liu, Y.; Zhao, M.C.; Zhang, H.J.; Lu, Z.Y.; Fang, Y.C.; Chen, X.F.; Liu, G.T. The prognostic value of PD-L1 expression for non-small cell lung cancer patients: A meta-analysis. Eur. J. Surg. Oncol. 2015, 41, 450–456. [Google Scholar] [CrossRef] [PubMed]
- Pan, Z.-K.; Ye, F.; Wu, X.; An, H.-X.; Wu, J.-X. Clinicopathological and prognostic significance of programmed cell death ligand1 (PD-L1) expression in patients with non-small cell lung cancer: a meta-analysis. J. Thorac. Dis. 2015, 7, 462–470. [Google Scholar] [PubMed]
- Zhong, A.; Xing, Y.; Pan, X.; Shi, M.; Xu, H. Prognostic value of programmed cell death-ligand 1 expression in patients with non-small-cell lung cancer: Evidence from an updated meta-analysis. Onco. Targets. Ther. 2015, 8, 3595–3601. [Google Scholar] [CrossRef] [PubMed]
- Dziegiel, P.; Salwa-Zurawska, W.; Zurawski, J.; Wojnar, A.; Zabel, M. Prognostic significance of augmented metallothionein (MT) expression correlated with Ki-67 antigen expression in selected soft tissue sarcomas. Histol. Histopathol. 2005, 20, 83–89. [Google Scholar] [PubMed]




| Clinicopathological Parameter | NSCLC | ||||
|---|---|---|---|---|---|
| n 866 (%) | PD-L1 Expression | ||||
| 0 | 1 | 2 | Chi2test p Value | ||
| <1% | 1–49% | ≥50% | |||
| 584 (67.4%) | 193 (22.3%) | 89 (10.3%) | |||
| Age ≤ 60 | 357 (41.2%) | 240 (27.7%) | 78 (9%) | 39 (4.5%) | 1.000 |
| > 60 | 509 (58.8%) | 344 (39.7%) | 115 (13.3%) | 50 (5.8%) | |
| Sex Male | 640 (73.9%) | 428 (49.4%) | 145 (16.7%) | 67 (7.73%) | <0.0001 |
| Female | 226 (26.1%) | 155 (17.9%) | 48 (5.5%) | 178 (20.6%) | |
| Smoking statusYes | 722 (83.4%) | 483 (55.8%) | 157 (18.1%) | 82 (9.5%) | 0.0107 |
| No | 126 (14.5%) | 101 (11.7%) | 18 (2.1%) | 7 (0.8%) | |
| Histology type AC | 364 (42%) | 252 (29.1%) | 74 (8.5%) | 38 (4.4%) | 0.0522 |
| SCC | 381 (44.0%) | 244 (28.2%) | 95 (11.0%) | 43 (5.0%) | |
| AC and SCC | 32 (3.7%) | 25 (2.9%) | 6 (0.7%) | 1 (0.1%) | |
| Other and Unclassified carcinomas | 57 (6.6%) | 46 (5.3%) | 6 (0.7%) | 5 (0.6%) | |
| LCC | 31 (3.6%) | 16 (1.8%) | 12 (1.4%) | 3 (0.3%) | |
| Tumor size (T) T1 | 216 (24.9%) | 145 (16.7%) | 49 (5.7%) | 22 (2.5%) | 0.9951 |
| T2 | 374 (43.2%) | 248 (28.6%) | 89 (10.3%) | 37 (4.3%) | |
| T3 | 182 (21%) | 121 (14.0%) | 42 (4.8%) | 19 (2.2%) | |
| T4 | 94 (10.9%) | 70 (8.1 %) | 13 (1.5%) | 11 (1.3%) | |
| Lymph nodes (N) N0 | 574 (66.3%) | 403 (46.5%) | 116 (13.4%) | 55 (6.4%) | 0.5176 |
| N1 | 151 (17.4%) | 89 (10.3%) | 46 (5.3%) | 16 (1.8%) | |
| N2–3 | 141 (16.3%) | 92 (10.6%) | 31 (3.6%) | 18 (2.1%) | |
| Metastasis (M) M0 | 858 (99.0%) | 578 (66.7%) | 191 (22.1%) | 89 (10.3%) | 0.9987 |
| M1b | 8 (0.9%) | 6 (0.7%) | 2 (0.2%) | 0 (0%) | |
| Stage I | 315 (36.4%) | 224 (25.9%) | 67 (7.7%) | 24 (2.8%) | 0.8046 |
| II | 289 (33.4%) | 187 (21.6%) | 71 (8.2%) | 31 (3.6%) | |
| III–IV | 262 (30.3%) | 173 (20.0%) | 55 (6.4%) | 34 (3.9%) | |
| Grade of malignancy (G) G1 | 52 (6.0 %) | 47 (5.4%) | 4 (0.5%) | 1 (0.1%) | 0.0114 |
| G2 | 667 (77.0%) | 456 (52.6%) | 148 (17.1%) | 64 (7.3%) | |
| G3 | 147 (17.0%) | 83 (9.6%) | 41 (4.7%) | 24 (2.7%) | |
| Clinicopathological Parameters | NSCLC | AC | SCC |
|---|---|---|---|
| P value (U-Mann–Whitney Test) | |||
| Lymph nodes | |||
| N0 vs. N1 | 0.0079 | 0.0143 | 0.0917 |
| N0 vs. N2 N1 vs. N2 | 0.1088 0.2081 | 0.0347 0.3080 | 0.4296 0.1496 |
| Tumor size | |||
| T1 vs. T2 T1 vs. T3–4 | 0.4382 0.3519 | 0.3644 0.2667 | 0.4032 0.4995 |
| T2 vs. T3–4 | 0.2735 | 0.3638 | 0.3984 |
| Stage | |||
| I vs. II I vs. III–IV II vs. III–IV | 0.0730 0.0800 0.9259 | 0.0628 0.0651 0.9507 | 0.5288 0.3834 0.7438 |
| Mean Value ± SD | |||
| Lymph nodes | |||
| N0 | 0.39 ± 0.65 | 0.35 ± 0.63 | 0.45 ± 0.69 |
| N1 N2 | 0.51 ± 0.68 0.47 ± 0.71 | 0.56 ± 0.73 0.50 ± 0.73 | 0.53 ± 0.66 0.44 ± 0.71 |
| Tumor size | |||
| T1 T2 | 0.43 ± 0.67 0.43 ± 0.66 | 0.44 ± 0.69 0.41 ± 0.68 | 0.47 ± 0.68 0.45 ± 0.66 |
| T3–4 | 0.41 ± 0.67 | 0.37 ± 0.63 | 0.50 ± 0.73 |
| Stage | |||
| I II III–IV | 0.36 ± 0.62 0.46 ± 0.68 0.46 ± 0.71 | 0.31 ± 0.59 0.46 ± 0.70 0.46 ± 0.72 | 0.42 ± 0.65 0.47 ± 0.67 0.52 ± 0.75 |
| Clinicopathological Parameter | NSCLC | AC | SCC | |||
|---|---|---|---|---|---|---|
| Univariate analysis HR (95% CI) p | Multivariate analysis HR (95% CI) p | Univariate analysis HR (95% CI) p | Multivariate analysis HR (95% CI) p | Univariate analysis HR (95% CI) p | Multivariate analysis HR (95% CI) p | |
| Age ≤60 vs. >60 | 1.33 (1.12–1.61) 0.0017 | 1.41 (1.16–1.70) 0.0003 | 1.40 (1.07–1.84) 0.0150 | 1.68 (1.27–2.22) 0.0002 | 1.22 (0.90–1.63) 0.1937 | |
| Sex Male vs. Female | 1.15 (0.94–1.40) 0.1823 | 1.82 (1.35–2.44) <0.0001 | 1.70 (1.27–2.22) 0.0007 | 1.15 (0.80–1.62) 0.4502 | ||
| Smoking history yes vs. no | 1.27 (0.97–1.63) 0.0683 | 1.50 (1.02–2.21) 0.0387 | 1.43 (0.95–2.13) 0.0762 | 1.87 (1.41–2.48) <0.0001 | 1.25 (0.78–2.01) 0.3602 | |
| pT T1–T2 vs. T3–T4 | 1.86 (1.55–2.22) <0.0001 | 1.56 (1.25–1.92) <0.0001 | 2.04 (1.54–2.71) <0.0001 | 1.60 (1.14–2.24) 0.0052 | 1.75 (1.33–2.32) <0.0001 | 1.55 (1.11–2.16) 0.0102 |
| pN N0 vs. N+ | 1.83 (1.53–2.18) <0.0001 | 1.50 (1.20–1.87) 0.0004 | 2.21 (1.69–2.88) <0.0001 | 1.75 (1.20–2.51) 0.0029 | 1.51 (1.16–1.99) 0.0025 | 1.34 (0.95–1.85) 0.0882 |
| Grade G1 vs. G2–G3 | 1.13 (0.79–1.65) 0.4862 | 1.17 (0.80–1.71) 0.3768 | 0.76 (0.35–1.64) 0.5012 | |||
| Stage I–II vs. III–IV | 2.20 (1.84–2.63) <0.0001 | 1.40 (1.08–1.82) 0.0088 | 2.35 (1.80–3.10) <0.0001 | 1.38 (0.89–2.07) 0.1322 | 1.87 (1.41–2.48) <0.0001 | 1.30 (0.86–1.95) 0.1973 |
| Ki-67 <25% vs. ≥25% | 0.96 (0.80–1.13) 0.6355 | 1.01 (0.73–1.38) 0.9410 | 0.91 (0.68–1.19) 0.4798 | |||
| p63 <25% vs. ≥25% | 0.83 (071–1.01) 0.0512 | 0.82 (0.67–0.96) 0.0215 | 0.90 (0.63–1.32) 0.6228 | 0.68 (0.47–0.98) 0.0371 | ||
| TTF-1 <25% vs. ≥25% | 0.98 (0.82–1.19) 0.1572 | 0.81 (0.59–1.10) 0.1807 | 1.42 (0.93–2.16) 0.0912 | |||
| PD-L1 0–1 vs. >1 | 1.18 (0.90–1.56) 0.1975 | 1.54 (1.03–2.30) 0.0322 | 1.46 (0.98–2.20) 0.0649 | 1.07 (0.70–1.63) 0.7082 | ||
© 2019 by the authors. Licensee MDPI, Basel, Switzerland. This article is an open access article distributed under the terms and conditions of the Creative Commons Attribution (CC BY) license (http://creativecommons.org/licenses/by/4.0/).
Share and Cite
Pawelczyk, K.; Piotrowska, A.; Ciesielska, U.; Jablonska, K.; Glatzel-Plucinska, N.; Grzegrzolka, J.; Podhorska-Okolow, M.; Dziegiel, P.; Nowinska, K. Role of PD-L1 Expression in Non-Small Cell Lung Cancer and Their Prognostic Significance according to Clinicopathological Factors and Diagnostic Markers. Int. J. Mol. Sci. 2019, 20, 824. https://doi.org/10.3390/ijms20040824
Pawelczyk K, Piotrowska A, Ciesielska U, Jablonska K, Glatzel-Plucinska N, Grzegrzolka J, Podhorska-Okolow M, Dziegiel P, Nowinska K. Role of PD-L1 Expression in Non-Small Cell Lung Cancer and Their Prognostic Significance according to Clinicopathological Factors and Diagnostic Markers. International Journal of Molecular Sciences. 2019; 20(4):824. https://doi.org/10.3390/ijms20040824
Chicago/Turabian StylePawelczyk, Konrad, Aleksandra Piotrowska, Urszula Ciesielska, Karolina Jablonska, Natalia Glatzel-Plucinska, Jedrzej Grzegrzolka, Marzenna Podhorska-Okolow, Piotr Dziegiel, and Katarzyna Nowinska. 2019. "Role of PD-L1 Expression in Non-Small Cell Lung Cancer and Their Prognostic Significance according to Clinicopathological Factors and Diagnostic Markers" International Journal of Molecular Sciences 20, no. 4: 824. https://doi.org/10.3390/ijms20040824
APA StylePawelczyk, K., Piotrowska, A., Ciesielska, U., Jablonska, K., Glatzel-Plucinska, N., Grzegrzolka, J., Podhorska-Okolow, M., Dziegiel, P., & Nowinska, K. (2019). Role of PD-L1 Expression in Non-Small Cell Lung Cancer and Their Prognostic Significance according to Clinicopathological Factors and Diagnostic Markers. International Journal of Molecular Sciences, 20(4), 824. https://doi.org/10.3390/ijms20040824

