Expression Profile of the Chromosome 14 MicroRNA Cluster (C14MC) Ortholog in Equine Maternal Circulation throughout Pregnancy and Its Potential Implications
Abstract
1. Introduction
2. Results
2.1. Equine C24MC Expression in Serum
2.2. Gene Ontology Analysis for the Differnetially Expressed miRNAs
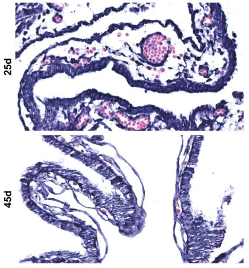
2.3. Localization of a Member of Equine C24MC in Equine Extra-Embryonic Membranes and 25 d Embryos
3. Discussion
4. Material and Methods
4.1. Animal Use
4.2. Serum Collection and Preparation
4.3. MiRNA Extraction, cDNA Synthesis, and RT-qPCR
4.4. Target Prediction for the miRNA Which Were Highly Expressed during Early Pregnancy (25 and 45 d)
4.5. Eca-miR-409-3p Localization by In Situ Hybridization
4.6. Data Analysis
Author Contributions
Funding
Conflicts of Interest
References
- Bartel, D.P. MicroRNAs: Genomics, biogenesis, mechanism, and function. Cell 2004, 116, 281–297. [Google Scholar] [CrossRef]
- Krol, J.; Sobczak, K.; Wilczynska, U.; Drath, M.; Jasinska, A.; Kaczynska, D.; Krzyzosiak, W.J. Structural features of microRNA (miRNA) precursors and their relevance to miRNA biogenesis and small interfering RNA/short hairpin RNA design. J. Biol. Chem. 2004, 279, 42230–42239. [Google Scholar] [CrossRef] [PubMed]
- Cheng, A.M.; Byrom, M.W.; Shelton, J.; Ford, L.P. Antisense inhibition of human miRNAs and indications for an involvement of miRNA in cell growth and apoptosis. Nucleic Acids Res. 2005, 33, 1290–1297. [Google Scholar] [CrossRef] [PubMed]
- Bueno, M.J.; Perez de Castro, I.; Malumbres, M. Control of cell proliferation pathways by microRNAs. Cell Cycle 2008, 7, 3143–3148. [Google Scholar] [CrossRef]
- Ardekani, A.M.; Naeini, M.M. The Role of MicroRNAs in Human Diseases. Avicenna J. Med. Biotechnol. 2010, 2, 161–179. [Google Scholar]
- Ventura, W.; Koide, K.; Hori, K.; Yotsumoto, J.; Sekizawa, A.; Saito, H.; Okai, T. Placental expression of microRNA-17 and-19b is down-regulated in early pregnancy loss. Eur. J. Obstet. Gynecol. Reprod. Biol. 2013, 169, 28–32. [Google Scholar] [CrossRef]
- Zhao, Z.; Moley, K.H.; Gronowski, A.M. Diagnostic potential for miRNAs as biomarkers for pregnancy-specific diseases. Clin. Biochem. 2013, 46, 953–960. [Google Scholar] [CrossRef]
- Kotlabova, K.; Doucha, J.; Hromadnikova, I. Placental-specific microRNA in maternal circulation—Identification of appropriate pregnancy-associated microRNAs with diagnostic potential. J. Reprod. Immunol. 2011, 89, 185–191. [Google Scholar] [CrossRef]
- Lai, X.; Vera, J. MicroRNA Clusters. In Encyclopedia of Systems Biology; Dubitzky, W., Wolkenhauer, O., Cho, K.-H., Yokota, H., Eds.; Springer: New York, NY, USA, 2013; pp. 1310–1314. [Google Scholar]
- Weber, M.J. New human and mouse microRNA genes found by homology search. FEBS J. 2005, 272, 59–73. [Google Scholar] [CrossRef]
- Liang, Y.; Ridzon, D.; Wong, L.; Chen, C. Characterization of microRNA expression profiles in normal human tissues. BMC Genom. 2007, 8, 166. [Google Scholar] [CrossRef]
- Ghai, V.; Wang, K. Recent progress toward the use of circulating microRNAs as clinical biomarkers. Arch. Toxicol. 2016, 90, 2959–2978. [Google Scholar] [CrossRef] [PubMed]
- Pritchard, C.C.; Cheng, H.H.; Tewari, M. MicroRNA profiling: Approaches and considerations. Nat. Rev. Genet. 2012, 13, 358–369. [Google Scholar] [CrossRef] [PubMed]
- Gantier, M.P.; McCoy, C.E.; Rusinova, I.; Saulep, D.; Wang, D.; Xu, D.; Irving, A.T.; Behlke, M.A.; Hertzog, P.J.; Mackay, F.; et al. Analysis of microRNA turnover in mammalian cells following Dicer1 ablation. Nucleic Acids Res. 2011, 39, 5692–5703. [Google Scholar] [CrossRef] [PubMed]
- Xourgia, E.; Papazafiropoulou, A.; Melidonis, A. Circulating microRNAs as biomarkers for diabetic neuropathy: A novel approach. World J. Exp. Med. 2018, 8, 18–23. [Google Scholar] [CrossRef] [PubMed]
- Singh, R.; Ramasubramanian, B.; Kanji, S.; Chakraborty, A.R.; Haque, S.J.; Chakravarti, A. Circulating microRNAs in cancer: Hope or hype? Cancer Lett. 2016, 381, 113–121. [Google Scholar] [CrossRef] [PubMed]
- He, Y.; Lin, J.; Kong, D.; Huang, M.; Xu, C.; Kim, T.K.; Etheridge, A.; Luo, Y.; Ding, Y.; Wang, K. Current State of Circulating MicroRNAs as Cancer Biomarkers. Clin. Chem. 2015, 61, 1138–1155. [Google Scholar] [CrossRef]
- Zhou, S.-S.; Jin, J.-P.; Wang, J.-Q.; Zhang, Z.-G.; Freedman, J.H.; Zheng, Y.; Cai, L. miRNAS in cardiovascular diseases: Potential biomarkers, therapeutic targets and challenges. Acta Pharmacol. Sin. 2018, 39, 1073–1084. [Google Scholar] [CrossRef]
- Kaneto, C.M.; Nascimento, J.S.; Prado, M.; Mendonca, L.S.O. Circulating miRNAs as biomarkers in cardiovascular diseases. Eur. Rev. Med. Pharm. Sci. 2019, 23, 2234–2243. [Google Scholar]
- Hackl, M.; Heilmeier, U.; Weilner, S.; Grillari, J. Circulating microRNAs as novel biomarkers for bone diseases—Complex signatures for multifactorial diseases? Mol. Cell. Endocrinol. 2016, 432, 83–95. [Google Scholar] [CrossRef]
- Morales-Prieto, D.M.; Ospina-Prieto, S.; Chaiwangyen, W.; Schoenleben, M.; Markert, U.R. Pregnancy-associated miRNA-clusters. J. Reprod. Immunol. 2013, 97, 51–61. [Google Scholar] [CrossRef]
- Ioannidis, J.; Donadeu, F.X. Circulating microRNA Profiles during the Bovine Oestrous Cycle. PLoS ONE 2016, 11, e0158160. [Google Scholar] [CrossRef] [PubMed]
- Da Silveira, J.C.; Veeramachaneni, D.N.; Winger, Q.A.; Carnevale, E.M.; Bouma, G.J. Cell-secreted vesicles in equine ovarian follicular fluid contain miRNAs and proteins: A possible new form of cell communication within the ovarian follicle. Biol. Reprod. 2012, 86, 71. [Google Scholar] [CrossRef] [PubMed]
- Sohel, M.M.; Hoelker, M.; Noferesti, S.S.; Salilew-Wondim, D.; Tholen, E.; Looft, C.; Rings, F.; Uddin, M.J.; Spencer, T.E.; Schellander, K.; et al. Exosomal and Non-Exosomal Transport of Extra-Cellular microRNAs in Follicular Fluid: Implications for Bovine Oocyte Developmental Competence. PLoS ONE 2013, 8, e78505. [Google Scholar] [CrossRef] [PubMed]
- Liang, J.; Wang, S.; Wang, Z. Role of microRNAs in embryo implantation. Reprod. Biol. Endocrinol. 2017, 15, 90. [Google Scholar] [CrossRef]
- Reza, A.M.M.T.; Choi, Y.-J.; Han, S.G.; Song, H.; Park, C.; Hong, K.; Kim, J.-H. Roles of microRNAs in mammalian reproduction: From the commitment of germ cells to peri-implantation embryos. Biol. Rev. 2019, 94, 415–438. [Google Scholar] [CrossRef]
- Nothnick, W.B. The role of micro-RNAs in the female reproductive tract. Reproduction 2012, 143, 559–576. [Google Scholar] [CrossRef]
- Hayder, H.; O’Brien, J.; Nadeem, U.; Peng, C. MicroRNAs: Crucial regulators of placental development. Reproduction 2018, 155, R259–R271. [Google Scholar] [CrossRef]
- Dini, P.; Daels, P.; Loux, S.C.; Esteller-Vico, A.; Carossino, M.; Scoggin, K.E.; Ball, B.A. Kinetics of the chromosome 14 microRNA cluster ortholog and its potential role during placental development in the pregnant mare. BMC Genom. 2018, 19, 954. [Google Scholar] [CrossRef]
- Prieto, D.M.M.; Markert, U.R. MicroRNAs in pregnancy. J. Reprod. Immunol. 2011, 88, 106–111. [Google Scholar] [CrossRef]
- Tsochandaridis, M.; Nasca, L.; Toga, C.; Levy-Mozziconacci, A. Circulating microRNAs as clinical biomarkers in the predictions of pregnancy complications. BioMed Res. Int. 2015, 2015. [Google Scholar] [CrossRef]
- Cretoiu, D.; Xu, J.; Xiao, J.; Suciu, N.; Cretoiu, S.M. Circulating MicroRNAs as Potential Molecular Biomarkers in Pathophysiological Evolution of Pregnancy. Dis. Markers 2016, 2016, 3851054. [Google Scholar] [CrossRef] [PubMed]
- Ouyang, Y.; Mouillet, J.F.; Coyne, C.B.; Sadovsky, Y. Review: Placenta-specific microRNAs in exosomes—Good things come in nano-packages. Placenta 2014, 35, S69–S73. [Google Scholar] [CrossRef] [PubMed]
- Gebremedhn, S.; Salilew-Wondim, D.; Hoelker, M.; Held-Hoelker, E.; Neuhoff, C.; Tholen, E.; Schellander, K.; Tesfaye, D. Exploring maternal serum microRNAs during early pregnancy in cattle. Theriogenology 2018, 121, 196–203. [Google Scholar] [CrossRef] [PubMed]
- Yang, Q.; Gu, W.W.; Gu, Y.; Yan, N.N.; Mao, Y.Y.; Zhen, X.X.; Wang, J.M.; Yang, J.; Shi, H.J.; Zhang, X.; et al. Association of the peripheral blood levels of circulating microRNAs with both recurrent miscarriage and the outcomes of embryo transfer in an in vitro fertilization process. J. Transl. Med. 2018, 16, 186. [Google Scholar] [CrossRef] [PubMed]
- Hosseini, M.K.; Gunel, T.; Gumusoglu, E.; Benian, A.; Aydinli, K. MicroRNA expression profiling in placenta and maternal plasma in early pregnancy loss. Mol. Med. Rep. 2018, 17, 4941–4952. [Google Scholar] [CrossRef] [PubMed]
- Zhang, S.; Sun, Q.; Jiang, X.; Gao, F. Clinical significance of expression of hsa-mir-1247 and hsa-mir-1269a in ectopic pregnancy due to salpingitis. Exp. Ther. Med. 2018, 15, 4901–4905. [Google Scholar] [CrossRef] [PubMed]
- Kontomanolis, E.N.; Kalagasidou, S.; Fasoulakis, Z. MicroRNAs as Potential Serum Biomarkers for Early Detection of Ectopic Pregnancy. Cureus 2018, 10, e2344. [Google Scholar] [CrossRef]
- Enquobahrie, D.A.; Abetew, D.F.; Sorensen, T.K.; Willoughby, D.; Chidambaram, K.; Williams, M.A. Placental microRNA expression in pregnancies complicated by preeclampsia. Am. J. Obstet. Gynecol. 2011, 204, 178.e12–178.e21. [Google Scholar] [CrossRef]
- Awamleh, Z.; Gloor, G.B.; Han, V.K.M. Placental microRNAs in pregnancies with early onset intrauterine growth restriction and preeclampsia: Potential impact on gene expression and pathophysiology. BMC Med Genom. 2019, 12, 91. [Google Scholar] [CrossRef]
- Loux, S.C.; Fernandes, C.B.; Dini, P.; Wang, K.; Wu, X.; Baxter, D.; Scoggin, K.E.; Troedsson, M.H.T.; Squires, E.L.; Ball, B.A. Small RNA (sRNA) expression in the chorioallantois, endometrium and serum of mares following experimental induction of placentitis. Reprod. Fertil. Dev. 2019, 31, 1141–1156. [Google Scholar] [CrossRef]
- Wommack, J.C.; Trzeciakowski, J.P.; Miranda, R.C.; Stowe, R.P.; Ruiz, R.J. Micro RNA clusters in maternal plasma are associated with preterm birth and infant outcomes. PLoS ONE 2018, 13, e0199029. [Google Scholar] [CrossRef] [PubMed]
- Miura, K.; Miura, S.; Yamasaki, K.; Higashijima, A.; Kinoshita, A.; Yoshiura, K.-I.; Masuzaki, H. Identification of Pregnancy-Associated MicroRNAs in Maternal Plasma. Clin. Chem. 2010, 56, 1767–1771. [Google Scholar] [CrossRef] [PubMed]
- Schratt, G.M.; Tuebing, F.; Nigh, E.A.; Kane, C.G.; Sabatini, M.E.; Kiebler, M.; Greenberg, M.E. A brain-specific microRNA regulates dendritic spine development. Nature 2006, 439, 283–289. [Google Scholar] [CrossRef]
- Landgraf, P.; Rusu, M.; Sheridan, R.; Sewer, A.; Iovino, N.; Aravin, A.; Pfeffer, S.; Rice, A.; Kamphorst, A.O.; Landthaler, M.; et al. A mammalian microRNA expression atlas based on small RNA library sequencing. Cell 2007, 129, 1401–1414. [Google Scholar] [CrossRef] [PubMed]
- Williams, Z.; Ben-Dov, I.Z.; Elias, R.; Mihailovic, A.; Brown, M.; Rosenwaks, Z.; Tuschl, T. Comprehensive profiling of circulating microRNA via small RNA sequencing of cDNA libraries reveals biomarker potential and limitations. Proc. Natl. Acad. Sci. USA 2013, 110, 4255–4260. [Google Scholar] [CrossRef]
- Klohonatz, K.M.; Cameron, A.D.; Hergenreder, J.R.; da Silveira, J.C.; Belk, A.D.; Veeramachaneni, D.N.; Bouma, G.J.; Bruemmer, J.E. Circulating miRNAs as Potential Alternative Cell Signaling Associated with Maternal Recognition of Pregnancy in the Mare. Biol. Reprod. 2016, 95, 124. [Google Scholar] [CrossRef]
- Urdinguio, R.G.; Fernandez, A.F.; Lopez-Nieva, P.; Rossi, S.; Huertas, D.; Kulis, M.; Liu, C.G.; Croce, C.M.; Calin, G.A.; Esteller, M. Disrupted microRNA expression caused by Mecp2 loss in a mouse model of Rett syndrome. Epigenetics 2010, 5, 656–663. [Google Scholar] [CrossRef]
- Wu, T.; Lin, Y.; Xie, Z. MicroRNA-1247 inhibits cell proliferation by directly targeting ZNF346 in childhood neuroblastoma. Biol. Res. 2018, 51, 13. [Google Scholar] [CrossRef]
- Klein, C. Pregnancy Recognition and Implantation of the Conceptus in the Mare. Adv. Anat. Embryol. Cell Biol. 2015, 216, 165–188. [Google Scholar]
- Busk, P.K. A tool for design of primers for microRNA-specific quantitative RT-qPCR. BMC Bioinform. 2014, 15, 29. [Google Scholar] [CrossRef]
- Dini, P.; Loux, S.C.; Scoggin, K.E.; Esteller-Vico, A.; Squires, E.L.; Troedsson, M.H.T.; Daels, P.; Ball, B.A. Identification of Reference Genes for Analysis of microRNA Expression Patterns in Equine Chorioallantoic Membrane and Serum. Mol. Biotechnol. 2018, 60, 62–73. [Google Scholar] [CrossRef] [PubMed]
- Bellingham, S.A.; Shambrook, M.; Hill, A.F. Quantitative Analysis of Exosomal miRNA via qPCR and Digital PCR. Methods Mol. Biol. 2017, 1545, 55–70. [Google Scholar] [PubMed]
- Salone, V.; Rederstorff, M. Stem-loop RT-PCR based quantification of small non-coding RNAs. Methods Mol. Biol. 2015, 1296, 103–108. [Google Scholar] [PubMed]
- Thomas, P.D.; Campbell, M.J.; Kejariwal, A.; Mi, H.; Karlak, B.; Daverman, R.; Diemer, K.; Muruganujan, A.; Narechania, A. PANTHER: A library of protein families and subfamilies indexed by function. Genome Res. 2003, 13, 2129–2141. [Google Scholar] [CrossRef] [PubMed]
- Dennis, G.; Sherman, B.T.; Hosack, D.A.; Yang, J.; Gao, W.; Lane, H.C.; Lempicki, R.A. DAVID: Database for annotation, visualization, and integrated discovery. Genome Biol. 2003, 4, R60. [Google Scholar] [CrossRef]
- Wang, Z.; Yang, B. MicroRNA expression Detection Methods; Springer: Berlin/Heidelberg, Germany, 2009. [Google Scholar]
- Vandesompele, J.; De Preter, K.; Pattyn, F.; Poppe, B.; Van Roy, N.; De Paepe, A.; Speleman, F. Accurate normalization of real-time quantitative RT-PCR data by geometric averaging of multiple internal control genes. Genome Biol. 2002, 3, Research0034. [Google Scholar] [CrossRef]
- Greiner, M.; Pfeiffer, D.; Smith, R. Principles and practical application of the receiver-operating characteristic analysis for diagnostic tests. Prev. Vet. Med. 2000, 45, 23–41. [Google Scholar] [CrossRef]
- Hanley, J.A.; McNeil, B.J. The meaning and use of the area under a receiver operating characteristic (ROC) curve. Radiology 1982, 143, 29–36. [Google Scholar] [CrossRef]
- Swets, J.A. Measuring the accuracy of diagnostic systems. Science 1988, 240, 1285–1293. [Google Scholar] [CrossRef]







| eca-miR-134-5p | eca-miR-370-3p | eca-miR-379-5p | eca-miR-382-5p | eca-miR-411-3p | eca-miR-411-5p | eca-miR-412-3p | eca-miR-412-5p | eca-miR-432-5p | eca-miR-433-3p | hsa-miR-1247-3p | eca-miR-409-3p | |
|---|---|---|---|---|---|---|---|---|---|---|---|---|
| eca-miR-127-5p | 0.448 ** | 0.713 ** | 0.307 * | 0.348 * | 0.527 ** | 0.428 ** | 0.493 ** | 0.101 | 0.163 | 0.405 ** | 0.310 * | 0.101 |
| eca-miR-134-5p | 1 | 0.236 | 0.482 ** | 0.520 ** | 0.255 | 0.882 ** | 0.326 * | 0.079 | 0.23 | 0.597 ** | 0.614 ** | 0.313 * |
| eca-miR-370-3p | 1 | 0.236 | 0.261 | 0.499 ** | 0.241 | 0.512 ** | 0.207 | 0.282 * | 0.296 * | 0.208 | 0.21 | |
| eca-miR-379-5p | 1 | 0.560 ** | 0.259 | 0.562 ** | 0.511 ** | 0.251 | 0.242 | 0.253 | 0.303 * | 0.510 ** | ||
| eca-miR-382-5p | 1 | 0.498 ** | 0.641 ** | 0.393 ** | 0.053 | 0.295* | 0.385 ** | 0.357 ** | 0.211 | |||
| eca-miR-411-3p | 1 | 0.314 * | 0.457 ** | 0.074 | 0.122 | 0.289 * | 0.162 | 0.157 | ||||
| eca-miR-411-5p | 1 | 0.362 ** | 0.058 | 0.326 * | 0.634 ** | 0.636 ** | 0.246 | |||||
| eca-miR-412-3p | 1 | 0.287 | 0.187 | 0.073 | 0.063 | 0.468 ** | ||||||
| eca-miR-412-5p | 1 | −0.012 | 0.208 | 0.239 | 0.135 | |||||||
| eca-miR-432-5p | 1 | 0.236 | 0.316 * | 0.461 ** | ||||||||
| eca-miR-433-3p | 1 | 0.919 ** | 0.053 | |||||||||
| esa-miR-1247-3p | 1 | 0.108 |
| MiRNA ID | Accession ID * | Mature Sequence | Forward Primer |
|---|---|---|---|
| eca-miR-127-5p | MIMAT0004604 | cugaagcucagagggcucugau | ctgaagctcagagggct |
| eca-miR-134-5p | MIMAT0013127 | ugugacugguugaccagagggg | gcagtgtgactggttgac |
| eca-miR-323-3p | MIMAT0013132 | cacauuacacggucgaccucu | gcagcacattacacggt |
| eca-miR-323-5p | MIMAT0013131 | aggugguccguggcgcguucgc | ccgtggcgcgtt |
| eca-miR-369-3p | MIMAT0013141 | aauaauacaugguugaucuuu | cagcgcagaataatacatggt |
| eca-miR-370-3p | MIMAT0013142 | gccugcugggguggaaccuggu | cctgctggggtgga |
| eca-miR-370-5p | MIMAT0026483 | caggucacgucucugcaguuac | cagcaggtcacgtctct |
| eca-miR-379-5p | MIMAT0013147 | ugguagacuauggaacguagg | cagtggtagactatggaacg |
| eca-miR-382-5p | MIMAT0013150 | gaaguuguucgugguggauucg | aggaagttgttcgtggtg |
| eca-miR-3958-3p | MIMAT0034486 | cagauauugcacgguugaucucuu | gcagatattgcacggttga |
| eca-miR-3958-5p | MIMAT0019275 | agguuguccgugauguauuugc | agaggttgtccgtgatgt |
| eca-miR-409-3p | MIMAT0013152 | gaauguugcucggugaaccccu | aggaatgttgctcggtga |
| eca-miR-411-3p | MIMAT0013154 | uauguaacacgguccacuaacc | cagtatgtaacacggtccac |
| eca-miR-411-5p | MIMAT0003329 | uaguagaccguauagcguacg | cagtagtagaccgtatagcgt |
| eca-miR-412-3p | MIMAT0013155 | uucaccugguccacuagccg | gcagttcacctggtcca |
| eca-miR-412-5p | MIMAT0026557 | uggucgaccaguuggaaaguaau | cagtggtcgaccagttg |
| eca-miR-432-5p | MIMAT0013157 | ucuuggaguaggucauugggugg | cagtcttggagtaggtcattg |
| eca-miR-433-3p | MIMAT0013158 | aucaugaugggcuccucggugu | catgatgggctcctcg |
| eca-miR-485-3p | MIMAT0013160 | gucauacacggcucuccucucu | gcaggtcatacacggct |
| eca-miR-485-5p | MIMAT0013159 | agaggcuggccgugaugaauuc | ggctggccgtgatga |
| eca-miR-487a-5p | MIMAT0026559 | gugguuaucccugcuguguucg | caggtggttatccctgct |
| eca-miR-487b-3p | MIMAT0013162 | aaucguacagggucauccacuu | cagaatcgtacagggtcatc |
| eca-miR-493b-5p | MIMAT0002813 | uuguacaugguaggcuuucauu | gcgcagttgtacatggtag |
| eca-miR-543-3p | MIMAT0013169 | aaacauucgcggugcacuucuu | gcagaaacattcgcggtg |
| hsa-miR-1247-3p | MIMAT0022721 | ccccgggaacgucgagacuggagc | cgggaacgtcgagac |
| hsa-miR-154-5p | MIMAT0000452 | uagguuauccguguugccuucg | gcagtaggttatccgtgttg |
© 2019 by the authors. Licensee MDPI, Basel, Switzerland. This article is an open access article distributed under the terms and conditions of the Creative Commons Attribution (CC BY) license (http://creativecommons.org/licenses/by/4.0/).
Share and Cite
Dini, P.; El-Sheikh Ali, H.; Carossino, M.; C. Loux, S.; Esteller-Vico, A.; E. Scoggin, K.; Daels, P.; A. Ball, B. Expression Profile of the Chromosome 14 MicroRNA Cluster (C14MC) Ortholog in Equine Maternal Circulation throughout Pregnancy and Its Potential Implications. Int. J. Mol. Sci. 2019, 20, 6285. https://doi.org/10.3390/ijms20246285
Dini P, El-Sheikh Ali H, Carossino M, C. Loux S, Esteller-Vico A, E. Scoggin K, Daels P, A. Ball B. Expression Profile of the Chromosome 14 MicroRNA Cluster (C14MC) Ortholog in Equine Maternal Circulation throughout Pregnancy and Its Potential Implications. International Journal of Molecular Sciences. 2019; 20(24):6285. https://doi.org/10.3390/ijms20246285
Chicago/Turabian StyleDini, Pouya, Hossam El-Sheikh Ali, Mariano Carossino, Shavahn C. Loux, A. Esteller-Vico, Kirsten E. Scoggin, Peter Daels, and Barry A. Ball. 2019. "Expression Profile of the Chromosome 14 MicroRNA Cluster (C14MC) Ortholog in Equine Maternal Circulation throughout Pregnancy and Its Potential Implications" International Journal of Molecular Sciences 20, no. 24: 6285. https://doi.org/10.3390/ijms20246285
APA StyleDini, P., El-Sheikh Ali, H., Carossino, M., C. Loux, S., Esteller-Vico, A., E. Scoggin, K., Daels, P., & A. Ball, B. (2019). Expression Profile of the Chromosome 14 MicroRNA Cluster (C14MC) Ortholog in Equine Maternal Circulation throughout Pregnancy and Its Potential Implications. International Journal of Molecular Sciences, 20(24), 6285. https://doi.org/10.3390/ijms20246285

