The Expression of BNP, ET-1, and TGF-β1 in Myocardium of Rats with Ventricular Arrhythmias
Abstract
1. Introduction
2. Results
2.1. Electrocardiogram Tracings of Rats Exhibiting VA Induced by BaCl2 Solution
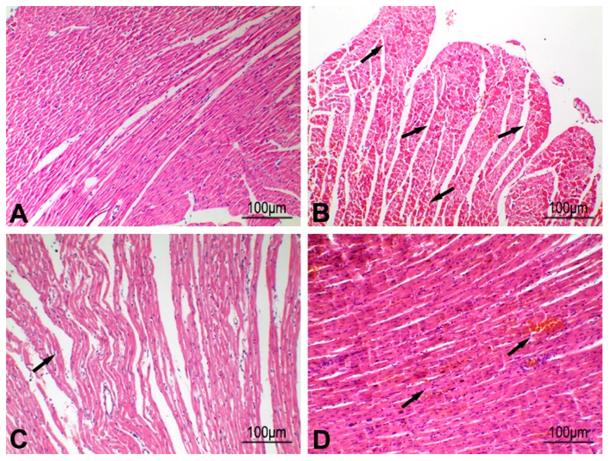
2.2. Hemodynamic and Histologic Changes in the Left Ventricle of Rats with VA
2.3. Increased Expression of ET-1 and BNP in Myocardial Tissues after VA
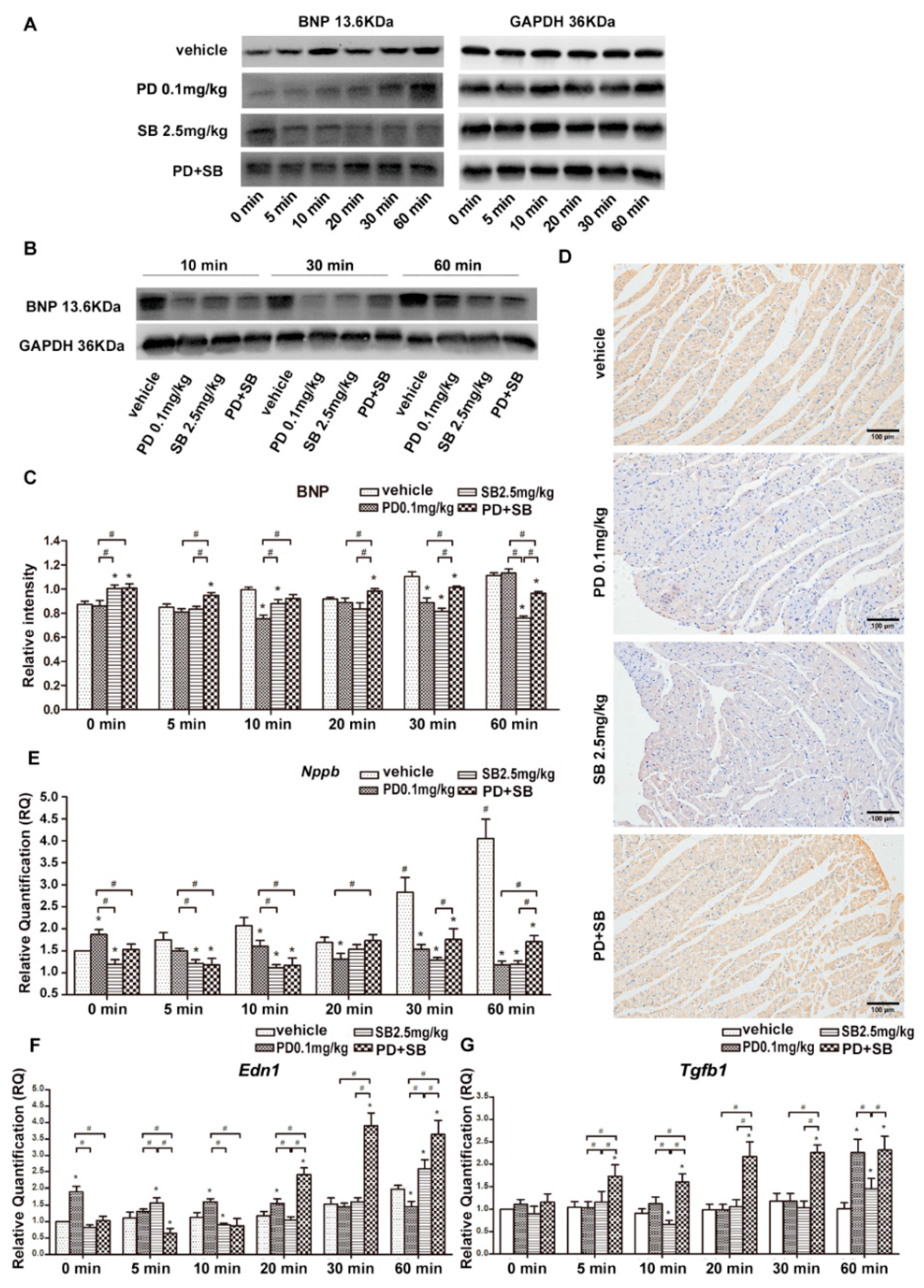
2.4. PD142893 and SB431542 Inhibited BNP Expression in the Myocardium
3. Discussion
4. Materials and Methods
4.1. Animals and Induction of Cardiac Arrhythmias by BaCl2
4.2. Western Blot
4.3. H-E and IHC Staining
4.4. Quantitative Real-Time Quantification Polymerase Chain Reaction
4.5. Statistical Analysis
5. Conclusions
Supplementary Materials
Author Contributions
Funding
Acknowledgments
Conflicts of Interest
Abbreviations
| VA | Ventricular arrhythmia |
| SCD | Sudden cardiac death |
| BNP | Brain natriuretic peptide |
| ET-1 | Endothelin-1 |
| TGF-β1 | Transforming growth factor beta 1 |
| IHC | Immunohistochemistry |
| qPCR | Quantitative polymerase chain reaction |
| Nppb | BNP mRNA |
| Edn1 | ET-1 mRNA |
| Tgfb1 | TGF-β1 mRNA |
| VT | Ventricular tachycardia |
| VF | Ventricular fibrillation |
| ECG | Electrocardiogram |
| LVSP | Left ventricular systolic pressure |
| LVEDP | Left ventricular end-diastolic pressure |
| LVDP | Left ventricular developed pressure |
| GAPDH | Glyceraldehyde-3-phosphate dehydrogenase |
| ETA | Endothelin receptor type A |
| ETB | Endothelin receptor type B |
| cDNA | Complementary DNA |
References
- Kuriachan, V.P.; Sumner, G.L.; Mitchell, L.B. Sudden cardiac death. Curr. Probl. Cardiol. 2015, 40, 133–200. [Google Scholar] [CrossRef] [PubMed]
- Wang, H.; Yao, Q.; Zhu, S.; Zhang, G.; Wang, Z.; Li, Z.; Sun, R.; Lu, C.; Li, C.; Pu, J. The autopsy study of 553 cases of sudden cardiac death in Chinese adults. Heart Vessels 2014, 29, 486–495. [Google Scholar] [CrossRef] [PubMed]
- Cho, J.H.; Zhang, R.; Aynaszyan, S.; Holm, K.; Goldhaber, J.I.; Marban, E.; Cingolani, E. Ventricular arrhythmias underlie sudden death in rats with heart failure and preserved ejection fraction. Circ. Arrhythm. Electrophysiol. 2018, 11, e6452. [Google Scholar] [CrossRef] [PubMed]
- Wu, J.; Wu, Q.; Dai, W.; Kong, J.; Lv, J.; Yu, X.; Wang, X.; Wang, D. Serum lipid feature and potential biomarkers of lethal ventricular tachyarrhythmia (LVTA) induced by myocardial ion channel diseases: A rat model study. Int. J. Legal Med. 2018, 132, 439–448. [Google Scholar] [CrossRef]
- Chen, J.H.; Michiue, T.; Ishikawa, T.; Maeda, H. Pathophysiology of sudden cardiac death as demonstrated by molecular pathology of natriuretic peptides in the myocardium. Forensic Sci. Int. 2012, 223, 342–348. [Google Scholar] [CrossRef]
- Chen, J.H.; Michiue, T.; Ishikawa, T.; Maeda, H. Molecular pathology of natriuretic peptides in the myocardium with special regard to fatal intoxication, hypothermia, and hyperthermia. Int. J. Legal Med. 2012, 126, 747–756. [Google Scholar] [CrossRef]
- Lu, R.; Ma, N.; Jiang, Z.; Mei, J. Endothelin-1 is associated with dilatation of the left atrium and can be an independent predictor of atrial fibrillation after mitral valve surgery. Interact. Cardiovasc. Thorac. Surg. 2018, 26, 66–70. [Google Scholar] [CrossRef]
- Wang, Z.; Li, S.; Lai, H.; Zhou, L.; Meng, G.; Wang, M.; Lai, Y.; Wang, Z.; Chen, H.; Zhou, X.; et al. Interaction between endothelin-1 and left stellate ganglion activation: Apotential mechanism of malignant ventricular arrhythmia during myocardial ischemia. Oxid. Med. Cell Longev. 2019, 2019, 6508328. [Google Scholar] [CrossRef]
- Liang, F.; Atakilit, A.; Gardner, D.G. Integrin dependence of brain natriuretic peptide gene promoter activation by mechanical strain. J. Biol. Chem. 2000, 275, 20355–20360. [Google Scholar] [CrossRef]
- Levine, Y.C.; Rosenberg, M.A.; Mittleman, M.; Samuel, M.; Methachittiphan, N.; Link, M.; Josephson, M.E.; Buxton, A.E. B-type natriuretic peptide is a major predictor of ventricular tachyarrhythmias. Heart Rhythm 2014, 11, 1109–1116. [Google Scholar] [CrossRef]
- Scott, P.A.; Barry, J.; Roberts, P.R.; Morgan, J.M. Brain natriuretic peptide for the prediction of sudden cardiac death and ventricular arrhythmias: A meta-analysis. Eur. J. Heart Fail. 2009, 11, 958–966. [Google Scholar] [CrossRef] [PubMed]
- Karppinen, S.; Rapila, R.; Makikallio, K.; Hanninen, S.L.; Rysa, J.; Vuolteenaho, O.; Tavi, P. Endothelin-1 signalling controls early embryonic heart rate in vitro and in vivo. Acta Physiol. 2014, 210, 369–380. [Google Scholar] [CrossRef] [PubMed]
- Liu, L.; Wu, L.; Zheng, L.; Ding, L.; Chen, G.; Fan, X.; Yao, Y. Associations between multiple circulating biomarkers and the presence of atrial fibrillation in hypertrophic cardiomyopathy with or without left ventricular outflow tract obstruction. Int. Heart J. 2019, 60, 327–335. [Google Scholar] [CrossRef] [PubMed]
- Liang, F.; Gardner, D.G. Mechanical strain activates BNP gene transcription through a p38/NF-kappaB-dependent mechanism. J. Clin. Investig. 1999, 104, 1603–1612. [Google Scholar] [CrossRef]
- Chen, Y.; Yao, F.; Chen, S.; Huang, H.; Wu, L.; He, J.; Dong, Y. Endogenous BNP attenuates cardiomyocyte hypertrophy induced by Ang II via p38 MAPK/Smad signaling. Pharmazie 2014, 69, 833–837. [Google Scholar]
- Molenaar, P.; O’Reilly, G.; Sharkey, A.; Kuc, R.E.; Harding, D.P.; Plumpton, C.; Gresham, G.A.; Davenport, A.P. Characterization and localization of endothelin receptor subtypes in the human atrioventricular conducting system and myocardium. Circ. Res. 1993, 72, 526–538. [Google Scholar] [CrossRef]
- Liang, F.; Lu, S.; Gardner, D.G. Endothelin-dependent and -independent components of strain-activated brain natriuretic peptide gene transcription require extracellular signal regulated kinase and p38 mitogen-activated protein kinase. Hypertension 2000, 35, 188–192. [Google Scholar] [CrossRef]
- Peng, H.; Carretero, O.A.; Peterson, E.L.; Rhaleb, N.E. Ac-SDKP inhibits transforming growth factor-beta1-induced differentiation of human cardiac fibroblasts into myofibroblasts. Am. J. Physiol. Heart Circ. Physiol. 2010, 298, H1357–H1364. [Google Scholar] [CrossRef]
- Mackovicova, K.; Gazova, A.; Kucerova, D.; Gajdacova, B.; Klimas, J.; Ochodnicky, P.; Goncalvesova, E.; Kyselovic, J.; Krenek, P. Enalapril decreases cardiac mass and fetal gene expression without affecting the expression of endothelin-1, transforming growth factor beta-1, or cardiotrophin-1 in the healthy normotensive rat. Can. J. Physiol. Pharmacol. 2011, 89, 197–205. [Google Scholar] [CrossRef]
- Soman, S.; Rajamanickam, C.; Rauf, A.A.; Madambath, I. Molecular mechanisms of the antiglycative and cardioprotective activities of Psidium guajava leaves in the rat diabetic myocardium. Pharm. Biol. 2016, 54, 3078–3085. [Google Scholar] [CrossRef]
- Xia, W.; Huang, Y.; He, J.; Chen, Y. Effect of acute hypoxia on expression of brain natriuretic peptide in neonatal rat cardiomyocytes. Chin. J. Pathophys. 2012, 28, 852–857. [Google Scholar]
- Yi, R.; Xiangyu, G.; Min, S. The expression of transforming growth factor-beta1 in myocardial tissue and concentration of serum B-type natriuretic peptide in myocardial remodeling of Sprague-Dawley rats treated with carvedilol. Eur. Rev. Med. Pharmacol. Sci. 2017, 21, 4975–4982. [Google Scholar] [PubMed]
- Golukhova, E.Z.; Gromova, O.; Grigoryan, M.; Merzlyakov, V.; Shumkov, K.; Bockeria, L.; Serebruany, V.L. Noninvasive predictors of malignant arrhythmias. Cardiology 2016, 135, 36–42. [Google Scholar] [CrossRef] [PubMed]
- Sudoh, T.; Kangawa, K.; Minamino, N.; Matsuo, H. A new natriuretic peptide in porcine brain. Nature 1988, 332, 78–81. [Google Scholar] [CrossRef]
- Lepojarvi, E.S.; Huikuri, H.V.; Piira, O.P.; Kiviniemi, A.M.; Miettinen, J.A.; Kentta, T.; Ukkola, O.; Perkiomaki, J.S.; Tulppo, M.P.; Junttila, M.J. Biomarkers as predictors of sudden cardiac death in coronary artery disease patients with preserved left ventricular function (ARTEMIS study). PLoS ONE 2018, 13, e203363. [Google Scholar] [CrossRef]
- Frank, B.S.; Urban, T.T.; Lewis, K.; Tong, S.; Cassidy, C.; Mitchell, M.B.; Nichols, C.S.; Davidson, J.A. Circulating biomarkers of left ventricular hypertrophy in pediatric coarctation of the aorta. Congenit. Heart Dis. 2019, 14, 446–453. [Google Scholar] [CrossRef]
- Sergeeva, I.A.; Christoffels, V.M. Regulation of expression of atrial and brain natriuretic peptide, biomarkers for heart development and disease. Biochim. Biophys. Acta 2013, 1832, 2403–2413. [Google Scholar] [CrossRef]
- Chang, P.; Zhang, M.; Zhang, X.; Li, G.; Hu, H.; Wu, J.; Wang, X.; Yang, Z.; Zhang, J.; Chen, W.; et al. B-type natriuretic peptide attenuates endoplasmic reticulum stress in H9c2 cardiomyocytes underwent hypoxia/reoxygenation injury under high glucose/high fat conditions. Peptides 2019, 111, 103–111. [Google Scholar] [CrossRef]
- Cao, Z.P.; Zhang, Y.; Mi, L.; Luo, X.Y.; Tian, M.H.; Zhu, B.L. The expression of B-type natriuretic peptide after CaCl2-induced arrhythmias in rats. Am. J. Forensic Med. Pathol. 2016, 37, 133–140. [Google Scholar] [CrossRef]
- Atas, E.; Kismet, E.; Kesik, V.; Karaoglu, B.; Aydemir, G.; Korkmazer, N.; Demirkaya, E.; Karslioglu, Y.; Yurttutan, N.; Unay, B.; et al. Cardiac troponin-I, brain natriuretic peptide and endothelin-1 levels in a rat model of doxorubicin-induced cardiac injury. J. Cancer Res. Ther. 2015, 11, 882–886. [Google Scholar] [CrossRef]
- Ju, C.; Ye, M.; Li, F. Plasma brain natriuretic peptide, endothelin-1, and matrix metalloproteinase 9 expression and significance in type 2 diabetes mellitus patients with ischemic heart disease. Med. Sci. Monit. 2015, 21, 2094–2099. [Google Scholar] [CrossRef] [PubMed][Green Version]
- Dhaun, N.; Webb, D.J. Endothelins in cardiovascular biology and therapeutics. Nat. Rev. Cardiol. 2019, 16, 491–502. [Google Scholar] [CrossRef] [PubMed]
- Zheng, L.H.; Sun, W.; Yao, Y.; Hou, B.B.; Qiao, Y.; Zhang, S. Associations of big endothelin-1 and C-reactive protein in atrial fibrillation. J. Geriatr. Cardiol. 2016, 13, 465–470. [Google Scholar] [PubMed]
- Falk, M.; Huhn, R.; Behmenburg, F.; Ritz-Timme, S.; Mayer, F. Biomechanical stress in myocardial infarctions: Can endothelin-1 and growth differentiation factor 15 serve as immunohistochemical markers? Int. J. Legal. Med. 2018, 132, 509–518. [Google Scholar] [CrossRef]
- Kolettis, T.M. Ventricular tachyarrhythmias during acute myocardial infarction: The role of endothelin-1. Life Sci. 2014, 118, 136–140. [Google Scholar] [CrossRef]
- Qiu, H.; Liu, W.; Lan, T.; Pan, W.; Chen, X.; Wu, H.; Xu, D. Salvianolate reduces atrial fibrillation through suppressing atrial interstitial fibrosis by inhibiting TGF-beta1/Smad2/3 and TXNIP/NLRP3 inflammasome signaling pathways in post-MI rats. Phytomedicine 2018, 51, 255–265. [Google Scholar] [CrossRef]
- Kornej, J.; Ueberham, L.; Schmidl, J.; Husser, D.; Adams, V.; Hindricks, G.; Bollmann, A. Addition of TGF-beta1 to existing clinical risk scores does not improve prediction for arrhythmia recurrences after catheter ablation of atrial fibrillation. Int. J. Cardiol. 2016, 221, 52–54. [Google Scholar] [CrossRef]
- Su, Z.; Wei, G.; Wei, L.; Liu, J.; Li, X. Effects of rhBNP on myocardial fibrosis after myocardial infarction in rats. Int. J. Clin. Exp. Pathol. 2015, 8, 6407–6415. [Google Scholar]
- Moilanen, A.M.; Rysa, J.; Mustonen, E.; Serpi, R.; Aro, J.; Tokola, H.; Leskinen, H.; Manninen, A.; Levijoki, J.; Vuolteenaho, O.; et al. Intramyocardial BNP gene delivery improves cardiac function through distinct context-dependent mechanisms. Circ. Heart Fail. 2011, 4, 483–495. [Google Scholar] [CrossRef]
- Perez, A.L.; Grodin, J.L.; Wu, Y.; Hernandez, A.F.; Butler, J.; Metra, M.; Felker, G.M.; Voors, A.A.; McMurray, J.J.; Armstrong, P.W.; et al. Increased mortality with elevated plasma endothelin-1 in acute heart failure: An ASCEND-HF biomarker substudy. Eur. J. Heart Fail. 2016, 18, 290–297. [Google Scholar] [CrossRef]
- Lewicka, E.; Dudzinska-Gehrmann, J.; Dabrowska-Kugacka, A.; Zagozdzon, P.; Stepnowska, E.; Lizewska, A.; Kozlowski, D.; Raczak, G. Plasma biomarkers as predictors of recurrence of atrial fibrillation. Pol. Arch. Med. Wewn 2015, 125, 424–433. [Google Scholar] [CrossRef] [PubMed]
- Kerkela, R.; Ilves, M.; Pikkarainen, S.; Tokola, H.; Ronkainen, V.P.; Majalahti, T.; Leppaluoto, J.; Vuolteenaho, O.; Ruskoaho, H. Key roles of endothelin-1 and p38 MAPK in the regulation of atrial stretch response. Am. J. Physiol. Regul. Integr. Comp. Physiol. 2011, 300, R140–R149. [Google Scholar] [CrossRef] [PubMed][Green Version]
- Cao, Z.P.; Xue, J.J.; Zhang, Y.; Tian, M.H.; Xiao, Y.; Jia, Y.Q.; Zhu, B.L. Differential expression of B-type natriuretic peptide between left and right ventricles, with particular regard to sudden cardiac death. Mol. Med. Rep. 2017, 16, 4763–4769. [Google Scholar] [CrossRef] [PubMed]
- Zografos, T.; Maniotis, C.; Katsivas, A.; Katritsis, D. Relationship between brain natriuretic peptides and recurrence of atrial fibrillation after successful direct current cardioversion: A meta-analysis. Pacing Clin. Electrophysiol. 2014, 37, 1530–1537. [Google Scholar] [CrossRef] [PubMed]
- Isaka, M.; Kudo, A.; Imamura, M.; Kawakami, H.; Yasuda, K. Endothelin receptors, localized in sympathetic nerve terminals of the heart, modulate norepinephrine release and reperfusion arrhythmias. Basic Res. Cardiol. 2007, 102, 154–162. [Google Scholar] [CrossRef]
- Xu, Y.; Xiao, H.; Luo, H.; Chen, Y.; Zhang, Y.; Tao, L.; Jiang, Y.; Chen, Y.; Shen, X. Inhibitory effects of oxymatrine on TGFbeta1induced proliferation and abnormal differentiation in rat cardiac fibroblasts via the p38MAPK and ERK1/2 signaling pathways. Mol. Med. Rep. 2017, 16, 5354–5362. [Google Scholar] [CrossRef]
- Liu, B.; Li, S.; Su, Y.; Xiong, M.; Xu, Y. Comparative study of the protective effects of terfenadine and amiodarone on barium chloride/aconitine-induced ventricular arrhythmias in rats: A potential role of terfenadine. Mol. Med. Rep. 2014, 10, 3217–3226. [Google Scholar] [CrossRef][Green Version]





| Gene | Species | mRNA | Primer |
|---|---|---|---|
| Nppb | Rattus norvegicus | NM_031545 | Forward: 5′-CTTTTCCTTAATCTGTCGCCG-3′ |
| Reverse: 5′-GTCTCTGAGCCATTTCCTCTG-3′ | |||
| Edn1 | Rattus norvegicus | NM_012548 | Forward: 5′-TGGTGGAGGGAAGAAAACTAAG-3′ |
| Reverse: 5′-CTCTGTAGTCAATGTGCTCGG-3′ | |||
| Tgfb1 | Rattus norvegicus | NM_021578 | Forward: 5′-CCTGAGTGGCTGTCTTTTGA-3′ |
| Reverse: 5′-CGTGGAGTACATTATCTTTGCTG-3′ | |||
| Gapdh | Rattus norvegicus | NM_017008 | Forward: 5′-TCCAGTATGACTCTACCCACG-3′ |
| Reverse: 5′-CACGACATACTCAGCACCAG-3′ |
© 2019 by the authors. Licensee MDPI, Basel, Switzerland. This article is an open access article distributed under the terms and conditions of the Creative Commons Attribution (CC BY) license (http://creativecommons.org/licenses/by/4.0/).
Share and Cite
Tian, M.; Xiao, Y.; Xue, J.; Zhang, Y.; Jia, Y.; Luo, X.; Wang, T.; Zhu, B.; Cao, Z. The Expression of BNP, ET-1, and TGF-β1 in Myocardium of Rats with Ventricular Arrhythmias. Int. J. Mol. Sci. 2019, 20, 5845. https://doi.org/10.3390/ijms20235845
Tian M, Xiao Y, Xue J, Zhang Y, Jia Y, Luo X, Wang T, Zhu B, Cao Z. The Expression of BNP, ET-1, and TGF-β1 in Myocardium of Rats with Ventricular Arrhythmias. International Journal of Molecular Sciences. 2019; 20(23):5845. https://doi.org/10.3390/ijms20235845
Chicago/Turabian StyleTian, Meihui, Ying Xiao, Jiajia Xue, Yuan Zhang, Yuqing Jia, Xinyi Luo, Tianqi Wang, Baoli Zhu, and Zhipeng Cao. 2019. "The Expression of BNP, ET-1, and TGF-β1 in Myocardium of Rats with Ventricular Arrhythmias" International Journal of Molecular Sciences 20, no. 23: 5845. https://doi.org/10.3390/ijms20235845
APA StyleTian, M., Xiao, Y., Xue, J., Zhang, Y., Jia, Y., Luo, X., Wang, T., Zhu, B., & Cao, Z. (2019). The Expression of BNP, ET-1, and TGF-β1 in Myocardium of Rats with Ventricular Arrhythmias. International Journal of Molecular Sciences, 20(23), 5845. https://doi.org/10.3390/ijms20235845

