Heat-Induced Interactions between Whey Protein and Inulin and Changes in Physicochemical and Antioxidative Properties of the Complexes
Abstract
1. Introduction
2. Results and Discussion
2.1. Changes in Browning Intensity of Whey Protein and Inulin Mixture after Heating
2.2. Changes in Free Amino Groups Content of Whey Protein and Inulin Mixture after Heating
2.3. Changes in Zeta-Potential of Whey Protein and Inulin Mixture after Heating
2.4. Changes in Surface Hydrophobicity of Whey Protein and Inulin Mixture after Heating
2.5. Changes in Antioxidative Properties of Whey Protein and Inulin Mixture after Heating
2.5.1. Changes in 2,2-Diphenyl-1-Picrylhydrazyl (DPPH) Scavenging Ability
2.5.2. Changes in 2,2′-Azinobis(2-Ethylbenzothiazoline-6-Sulfonate) (ABTS) Scavenging Ability
2.5.3. Changes in Oxygen Radical Absorbance Capacity (ORAC) Values
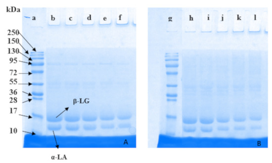
2.6. Changes in Protein Profile Composition of Whey Protein and Inulin Mixture after Heating
2.7. Changes in Structures of Whey Protein and Inulin Mixture after Heating
3. Materials and Methods
3.1. Materials
3.2. Dry-Heated Whey Protein and Inulin Mixture Preparation
3.3. Browning Intensity Measurements
3.4. Free Amino Acid Content Determination
3.5. Zeta-Potential Determination
3.6. Surface Hydrophobicity Measurement
3.7. Antioxidative Properties Assay
3.7.1. 2,2-Diphenyl-1-Picrylhydrazyl (DPPH) and 2,2′-Azinobis(2-Ethylbenzothiazoline-6-Sulfonate) (ABTS) Radical Scavenging Abilities
3.7.2. Oxygen Radical Absorbance Capacity (ORAC)
3.8. Sodium Dodecyl Sulfate Polyacrylamide Gel Electrophoresis (SDS-PAGE)
3.9. Fourier Transform Infrared (FT-IR) and Far-ultraviolet Circular Dichroism (Far-UV CD) Spectroscopies
3.10. Statistical Analysis
4. Conclusions
Supplementary Materials
Author Contributions
Funding
Conflicts of Interest
References
- Medrano, A.; Abirached, C.; Panizzolo, L.; Moyna, P.; Añón, M.C. The effect of glycation on foam and structural properties of β-lactoglobulin. Food Chem. 2009, 113, 127–133. [Google Scholar] [CrossRef]
- Siddique, M.A.B.; Maresca, P.; Pataro, G.; Ferrari, G. Effect of pulsed light treatment on structural and functional properties of whey protein isolate. Food Res. Int. 2016, 87, 189–196. [Google Scholar] [CrossRef] [PubMed]
- Sun, W.W.; Yu, S.J.; Yang, X.Q.; Wang, J.M.; Guo, J.; Guo, R. Fluorescence Spectra Analysis of Whey Protein Isolate-Dextran Conjugate. Spectrosc. Spect. Anal. 2011, 31, 3307–3310. [Google Scholar]
- Mulcahy, E.M.; Park, C.W.; Drake, M.; Mulvihill, D.M.; O’Mahony, J.A. Enhancement of the functional properties of whey protein by conjugation with maltodextrin under dry-heating conditions. Int. J. Dairy Technol. 2018, 71, 216–225. [Google Scholar] [CrossRef]
- Qi, P.X.; Xiao, Y.P.; Wickham, E.D. Changes in physical, chemical and functional properties of whey protein isolate (WPI) and sugar beet pectin (SBP) conjugates formed by controlled dry-heating. Food Hydrocoll. 2017, 69, 86–96. [Google Scholar] [CrossRef]
- Wang, W.Q.; Bao, Y.H.; Chen, Y. Characteristics and antioxidant activity of water-soluble Maillard reaction products from interactions in a whey protein isolate and sugars system. Food Chem. 2013, 139, 355–361. [Google Scholar] [CrossRef]
- Sun, Y.; Hayakawa, S.; Puangmanee, S.; Izumori, K. Chemical properties and antioxidative activity of glycated α-lactalbumin with a rare sugar, D-allose, by Maillard reaction. Food Chem. 2006, 95, 509–517. [Google Scholar] [CrossRef]
- Pauline, P.; Gaëlle, A.; Joëlle, G.P.; Catherine, F.; Alain, L.B.; Carole, P. Influence of inulin on bread: Kinetics and physico-chemical indicators of the formation of volatile compounds during baking. Food Chem. 2010, 119, 1474–1484. [Google Scholar]
- Oliver, C.M.; Melton, L.D.; Stanley, R.A. Functional properties of caseinate glycoconjugates prepared by controlled heating in the ‘dry’ state. J. Sci. Food Agric. 2010, 86, 732–740. [Google Scholar] [CrossRef]
- Jing, H.; Yap, M.; Wong, P.Y.Y.; Kitts, D.D. Comparison of Physicochemical and Antioxidant Properties of Egg-White Proteins and Fructose and Inulin Maillard Reaction Products. Food Bioprocess. Technol. 2011, 4, 1489–1496. [Google Scholar] [CrossRef]
- Do Carmo, E.L.; Teodoro, R.A.R.; Campelo, P.H.; Figueiredo, J.D.; Botrel, D.A.; Fernandes, R.V.D.; Borges, S.V. The use of different temperatures and inulin: Whey protein isolate ratios in the spray drying of beetroot juice. J. Food Process. Preserv. 2019. [Google Scholar] [CrossRef]
- Ru, Q.; Wang, Y.; Lee, J.; Ding, Y.; Huang, Q. Turbidity and rheological properties of bovine serum albumin/pectin coacervates: Effect of salt concentration and initial protein/polysaccharide ratio. Carbohydr. Polym. 2012, 88, 838–846. [Google Scholar] [CrossRef]
- Geng, X.; Cui, B.; Li, Y.; Jin, W.; An, Y.; Zhou, B.; Ye, T.; He, L.; Liang, H.; Wang, L. Preparation and characterization of ovalbumin and carboxymethyl cellulose conjugates via glycosylation. Food Hydrocoll. 2014, 37, 86–92. [Google Scholar] [CrossRef]
- Kutzli, I.; Gibis, M.; Baier, S.K.; Weiss, J. Formation of Whey Protein Isolate (WPI)-Maltodextrin Conjugates in Fibers Produced by Needleless Electrospinning. J. Agric. Food Chem. 2018, 66, 10283–10291. [Google Scholar] [CrossRef] [PubMed]
- Mu, M.; Pan, X.; Yao, P.; Jiang, M. Acidic solution properties of beta-casein-graft-dextran copolymer prepared through Maillard reaction. J. Colloid Interface Sci. 2006, 301, 98–106. [Google Scholar] [CrossRef] [PubMed]
- Qi, P.X.; Xiao, Y.; Wickham, E.D. Stabilization of whey protein isolate (WPI) through interactions with sugar beet pectin (SBP) induced by controlled dry-heating. Food Hydrocoll. 2017, 67, 1–13. [Google Scholar] [CrossRef]
- Van Boekel, M.A. Kinetic aspects of the Maillard reaction: A critical review. Nahrung 2001, 45, 150–159. [Google Scholar] [CrossRef]
- Rufián-Henares, J.Á.; Guerra-Hernandez, E.; García-Villanova, B. Colour measurement as indicator for controlling the manufacture and storage of enteral formulas. Food Control. 2006, 17, 489–493. [Google Scholar] [CrossRef]
- De Oliveira, F.C.; Coimbra, J.S.; De Oliveira, E.B.; ZunIga, A.D.; Rojas, E.E. Food Protein-polysaccharide Conjugates Obtained via the Maillard Reaction: A Review. Crit Rev. Food Sci. Nutr. 2016, 56, 1108–1125. [Google Scholar] [CrossRef]
- Nacka, F.; Chobert, J.M.; Burova, T.; Leonil, J.; Haertle, T. Induction of new physicochemical and functional properties by the glycosylation of whey proteins. J. Protein Chem. 1998, 17, 495–503. [Google Scholar] [CrossRef]
- Li, W.; Zhao, H.; He, Z.; Zeng, M.; Qin, F.; Chen, J. Modification of soy protein hydrolysates by Maillard reaction: Effects of carbohydrate chain length on structural and interfacial properties. Colloids Surf. B Biointerfaces 2016, 138, 70–77. [Google Scholar] [CrossRef] [PubMed]
- Hu, K.; McClements, D.J. Fabrication of surfactant-stabilized zein nanoparticles: A pH modulated antisolvent precipitation method. Food Res. Int. 2014, 64, 329–335. [Google Scholar] [CrossRef]
- Davidovpardo, G.; Joye, I.J.; Espinalruiz, M.; Mcclements, D.J. Effect of Maillard Conjugates on the Physical Stability of Zein Nanoparticles Prepared by Liquid Antisolvent Coprecipitation. J. Agric. Food Chem. 2015, 63, 8510–8518. [Google Scholar] [CrossRef] [PubMed]
- Xue, F.; Li, C.; Zhu, X.; Wang, L.; Pan, S. Comp. studies on the physicochemical properties of soy protein isolate-maltodextrin and soy protein isolate-gum acacia conjugate prepared through Maillard reaction. Food Res. Int. 2013, 51, 490–495. [Google Scholar] [CrossRef]
- Mustapha, N.A.; Ruttarattanamongkol, K.; Ssh, R. The effects of supercritical fluid extrusion process on surface hydrophobicity of whey protein concentrate and its relation to storage and heat stability of concentrated emulsions. Food Res. Int. 2012, 48, 470–477. [Google Scholar] [CrossRef]
- Jiang, J.; Zhang, Z.; Zhao, J.; Liu, Y. The effect of non-covalent interaction of chlorogenic acid with whey protein and casein on physicochemical and radical-scavenging activity of in vitro protein digests. Food Chem. 2018, 268, 334–341. [Google Scholar] [CrossRef]
- Van der Plancken, I.; Van Loey, A.; Hendrickx, M. Effect of moisture content during dry-heating on selected physicochemical and functional properties of dried egg white. J. Agric. Food Chem. 2007, 55, 127–135. [Google Scholar] [CrossRef]
- David-Birman, T.; Raften, G.; Lesmes, U. Effects of thermal treatments on the colloidal properties, antioxidant capacity and in-vitro proteolytic degradation of cricket flour. Food Hydrocoll. 2018, 79, 48–54. [Google Scholar] [CrossRef]
- Benjakul, S.; Lertittikul, W.; Bauer, F. Antioxidant activity of Maillard reaction products from a porcine plasma protein-sugar model system. Food Chem. 2005, 93, 189–196. [Google Scholar] [CrossRef]
- Lertittikul, W.; Benjakul, S.; Tanaka, M. Characteristics and antioxidative activity of Maillard reaction products from a porcine plasma protein-glucose model system as influenced by pH. Food Chem. 2007, 99, 669–677. [Google Scholar] [CrossRef]
- Song, R.; Yang, P.; Wei, R.; Ruan, G. Antioxidative, Antibacterial, and Food Functional Properties of the Half-Fin Anchovy Hydrolysates-Glucose Conjugates Formed via Maillard Reaction. Molecules 2016, 21, 795. [Google Scholar] [CrossRef] [PubMed]
- Ferraro, V.; Madureira, A.R.; Sarmento, B.; Gomes, A.; Pintado, M.E. Study of the interactions between rosmarinic acid and bovine milk whey protein α-Lactalbumin, β-Lactoglobulin and Lactoferrin. Food Res. Int. 2015, 77, 450–459. [Google Scholar] [CrossRef]
- Xu, K.; Yao, P. Stable oil-in-water emulsions prepared from soy protein-dextran conjugates. Langmuir 2009, 25, 9714–9720. [Google Scholar] [CrossRef]
- Liu, L.; Li, X.; Zhu, Y.; Bora, A.F.M.; Zhao, Y.; Du, L.; Li, D.; Bi, W. Effect of microencapsulation with Maillard reaction products of whey proteins and isomaltooligosaccharide on the survival of Lactobacillus rhamnosus. Lwt-Food Sci. Technol. 2016, 73, 37–43. [Google Scholar] [CrossRef]
- Gu, F.L.; Jin, M.K.; Abbas, S.; Zhang, X.M.; Xia, S.Q.; Chen, Z.X. Structure and antioxidant activity of high molecular weight Maillard reaction products from casein–glucose. Food Chem. 2010, 120, 505–511. [Google Scholar] [CrossRef]
- Jia, Z.; Zheng, M.; Tao, F.; Chen, W.; Huang, G.; Jiang, J. Effect of covalent modification by (−)-epigallocatechin-3-gallate on physicochemical and functional properties of whey protein isolate. Lwt-Food Sci. Technol. 2016, 66, 305–310. [Google Scholar] [CrossRef]
- Liu, Y.; Zhao, G.; Zhaoa, M.; Yang, B. Improvement of functional properties of peanut protein isolate by conjugation with dextran through Maillard reaction. Food Chem. 2012, 131, 901–906. [Google Scholar] [CrossRef]
- Guo, M.; Wang, H.; Wang, C. Interactions between whey protein and inulin in a model system. J. Food Sci. Technol. 2018, 55, 4051–4058. [Google Scholar] [CrossRef] [PubMed]
- Jiang, Z.; Wang, L.; Che, H.; Tian, B. Effects of temperature and pH on angiotensin-I-converting enzyme inhibitory activity and physicochemical properties of bovine casein peptide in aqueous Maillard reaction system. Lwt-Food Sci. Technol. 2014, 59, 35–42. [Google Scholar] [CrossRef]
- Gao, F.; Zhang, X.; Wang, J.; Sun, X.; Wang, C. Systematical characterization of functional and antioxidative properties of heat-induced polymerized whey proteins. Food Sci. Biotechnol. 2018, 27, 1619–1626. [Google Scholar] [CrossRef]
- Hernã, n.-L.B.; Dã, v.A.; Bartolomãc, B.; Amigo, L. Preparation of antioxidant enzymatic hydrolysates from alpha-lactalbumin and beta-lactoglobulin. Identification of active peptides by HPLC-MS/MS. J. Agric. Food Chem. 2005, 53, 588–593. [Google Scholar]










© 2019 by the authors. Licensee MDPI, Basel, Switzerland. This article is an open access article distributed under the terms and conditions of the Creative Commons Attribution (CC BY) license (http://creativecommons.org/licenses/by/4.0/).
Share and Cite
Wang, C.; Wang, H.; Sun, X.; Sun, Y.; Guo, M. Heat-Induced Interactions between Whey Protein and Inulin and Changes in Physicochemical and Antioxidative Properties of the Complexes. Int. J. Mol. Sci. 2019, 20, 4089. https://doi.org/10.3390/ijms20174089
Wang C, Wang H, Sun X, Sun Y, Guo M. Heat-Induced Interactions between Whey Protein and Inulin and Changes in Physicochemical and Antioxidative Properties of the Complexes. International Journal of Molecular Sciences. 2019; 20(17):4089. https://doi.org/10.3390/ijms20174089
Chicago/Turabian StyleWang, Cuina, Hao Wang, Xiaomeng Sun, Yuxue Sun, and Mingruo Guo. 2019. "Heat-Induced Interactions between Whey Protein and Inulin and Changes in Physicochemical and Antioxidative Properties of the Complexes" International Journal of Molecular Sciences 20, no. 17: 4089. https://doi.org/10.3390/ijms20174089
APA StyleWang, C., Wang, H., Sun, X., Sun, Y., & Guo, M. (2019). Heat-Induced Interactions between Whey Protein and Inulin and Changes in Physicochemical and Antioxidative Properties of the Complexes. International Journal of Molecular Sciences, 20(17), 4089. https://doi.org/10.3390/ijms20174089

