HPV Virus Transcriptional Status Assessment in a Case of Sinonasal Carcinoma
Abstract
:1. Introduction
2. Case Presentation
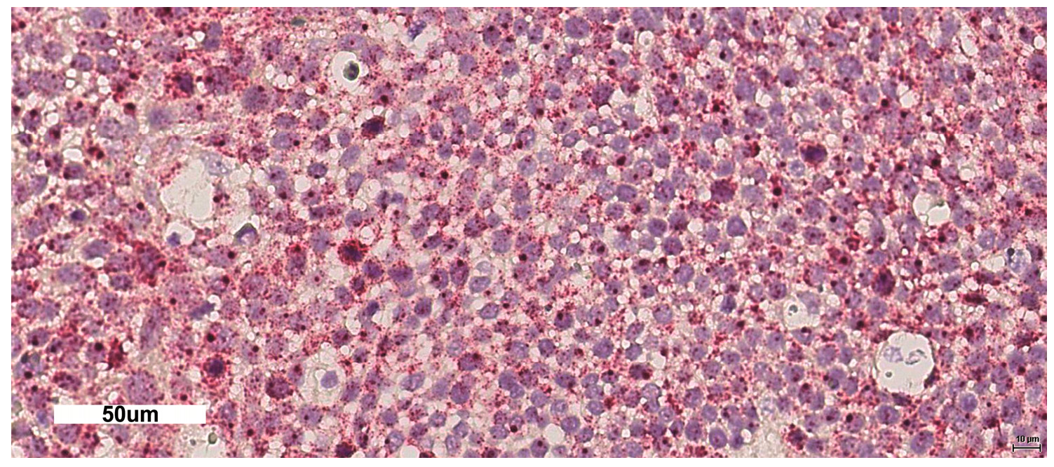
3. Results
4. Discussion
5. Materials and Methods
5.1. p16INK4a Immunohistochemistry
5.2. HPV Genotyping
5.3. RNAscope®
6. Conclusions
Acknowledgments
Author Contributions
Conflicts of Interest
Abbreviations
| HPV | Human Papilloma Virus | 
| OSCC | Oral Squamous Cell Carcinoma | 
| OPSCC | Oropharyngeal Squamous Cell Carcinoma | 
| FFPE | Formalin Fixed Paraffin Embedded | 
| ISH | In Situ Hybridization | 
| FDA | Food and Drug Administration | 
| ICH | Immunohistochemistry | 
| HR | High Risk | 
| UV | Ultraviolet | 
References
- El-Naggar, A.K.; Chan, J.K.C.; Grandis, J.R.; Takata, T.; Slootweg, P.J. WHO Classification of Head and Neck Tumours; IARC: Lyon, France, 2017. [Google Scholar]
- Larque, A.B.; Hakim, S.; Ordi, J.; Nadal, A.; Diaz, A.; del Pino, M.; Marimon, L.; Alobid, I.; Cardesa, A.; Alos, L. High-risk human papillomavirus is transcriptionally active in a subset of sinonasal squamous cell carcinomas. Mod. Pathol. 2014, 27, 343–351. [Google Scholar] [CrossRef] [PubMed]
- Thompson, L.D.; Franchi, A. New tumor entities in the 4th edition of the World Health Organization classification of head and neck tumors: Nasal cavity, paranasal sinuses and skull base. Virchows Arch. 2017, 1–16. [Google Scholar] [CrossRef] [PubMed]
- Laco, J.; Sieglová, K.; Vošmiková, H.; Dundr, P.; Němejcová, K.; Michálek, J.; Čelakovský, P.; Chrobok, V.; Mottl, R.; Mottlová, A.; et al. The presence of high-risk human papillomavirus (HPV) E6/E7 mRNA transcripts in a subset of sinonasal carcinomas is evidence of involvement of HPV in its etiopathogenesis. Virchows Arch. 2015, 467, 405–415. [Google Scholar] [CrossRef] [PubMed]
- Bishop, J.A.; Guo, T.W.; Smith, D.F.; Wang, H.; Ogawa, T.; Pai, S.I.; Westra, W.H. Human Papillomavirus-related Carcinomas of the Sinonasal Tract. Am. J. Surg. Pathol. 2013, 37, 185–192. [Google Scholar] [CrossRef] [PubMed]
- Alos, L.; Moyano, S.; Nadal, A.; Alobid, I.; Blanch, J.L.; Ayala, E.; Lloveras, B.; Quint, W.; Cardesa, A.; Ordi, J. Human papillomaviruses are identified in a subgroup of sinonasal squamous cell carcinomas with favorable outcome. Cancer 2009, 115, 2701–2709. [Google Scholar] [CrossRef] [PubMed]
- Romanczuk, H.; Howley, P.M. Disruption of either the E1 or the E2 regulatory gene of human papillomavirus type 16 increases viral immortalization capacity. Proc. Natl. Acad. Sci. USA 1992, 89, 3159–3163. [Google Scholar] [CrossRef] [PubMed]
- Arias-Pulido, H.; Peyton, C.L.; Joste, N.E.; Vargas, H.; Wheeler, C.M. Human papillomavirus type 16 integration in cervical carcinoma in situ and in invasive cervical cancer. J. Clin. Microbiol. 2006, 44, 1755–1762. [Google Scholar] [CrossRef] [PubMed]
- Yilmaz, G.; Biswas-Fiss, E.E.; Biswas, S.B. Genetic variations in the DNA replication origins of human papillomavirus family correlate with their oncogenic potential. Biochim. Biophys. Acta Gen. Subj. 2018, 1862, 979–990. [Google Scholar] [CrossRef] [PubMed]
- Moody, C.A.; Laimins, L.A. Human papillomavirus oncoproteins: Pathways to transformation. Nat. Rev. Cancer 2010, 10, 550–560. [Google Scholar] [CrossRef] [PubMed]
- Schiller, J.T.; Day, P.M.; Kines, R.C. Current understanding of the mechanism of HPV infection. Gynecol. Oncol. 2010, 118, S12–S17. [Google Scholar] [CrossRef] [PubMed]
- Salem, F.; Rosenblum, M.K.; Jhanwar, S.C.; Kancherla, P.; Ghossein, R.A.; Carlson, D.L. Teratocarcinosarcoma of the nasal cavity and paranasal sinuses: Report of 3 cases with assessment for chromosome 12p status. Hum. Pathol. 2008, 39, 605–609. [Google Scholar] [CrossRef] [PubMed]
- Kumar, S.; Perlman, E.; Pack, S.; Davis, M.; Zhang, H.; Meltzer, P.; Tsokos, M. Absence of EWS/FLI1 fusion in olfactory neuroblastomas indicates these tumors do not belong to the Ewing’s sarcoma family. Hum. Pathol. 1999, 30, 1356–1360. [Google Scholar] [CrossRef]
- Taxy, J.B.; Bharani, N.K.; Mills, S.E.; Frierson, H.F.; Gould, V.E. The spectrum of olfactory neural tumors. A light-microscopic immunohistochemical and ultrastructural analysis. Am. J. Surg. Pathol. 1986, 10, 687–695. [Google Scholar] [CrossRef] [PubMed]
- Lewis, J.S. Sinonasal Squamous Cell Carcinoma: A Review with Emphasis on Emerging Histologic Subtypes and the Role of Human Papillomavirus. Head Neck Pathol. 2016, 10, 60–67. [Google Scholar] [CrossRef] [PubMed]
- Hwang, S.J.; Ok, S.; Lee, H.-M.; Lee, E.; Park, I.-H. Human papillomavirus-related carcinoma with adenoid cystic-like features of the inferior turbinate: A case report. Auris Nasus Larynx 2015, 42, 53–55. [Google Scholar] [CrossRef] [PubMed]
- El-Mofty, S.K.; Lu, D.W. Prevalence of high-risk human papillomavirus DNA in nonkeratinizing (cylindrical cell) carcinoma of the sinonasal tract: A distinct clinicopathologic and molecular disease entity. Am. J. Surg. Pathol. 2005, 29, 1367–1372. [Google Scholar] [CrossRef] [PubMed]
- Gloghini, A.; Volpi, C.C.; Gualeni, A.V.; Cortelazzi, B.; Perrone, F.; Pilotti, S. Defining the Better Algorithm for the Accurate Identification of Hpv Status Among Oropharyngeal Squamous-Cell Carcinoma. Results From a Pilot Study. WCRJ 2015, 2, 2–6. [Google Scholar]
- Volpi, C.C.; Ciniselli, C.M.; Gualeni, A.V.; Plebani, M.; Alfieri, S.; Verderio, P.; Locati, L.; Perrone, F.; Quattrone, P.; Carbone, A.; et al. In situ hybridization detection methods for HPV16 E6/E7 mRNA in identifying transcriptionally active HPV infection of oropharyngeal carcinoma: An updating. Hum. Pathol. 2017. [Google Scholar] [CrossRef] [PubMed]
- Qureishi, A.; Winter, S. Letter to editor: Current and future techniques for human papilloma virus (HPV) testing in oropharyngeal squamous cell carcinoma. Eur. Arch. Oto-Rhino-Laryngol. 2017, 274, 4259. [Google Scholar] [CrossRef] [PubMed]
- D’Souza, G.; Kreimer, A.R.; Viscidi, R.; Pawlita, M.; Fakhry, C.; Koch, W.M.; Westra, W.H.; Gillison, M.L. Case–Control Study of Human Papillomavirus and Oropharyngeal Cancer. N. Engl. J. Med. 2007, 356, 1944–1956. [Google Scholar] [CrossRef] [PubMed]
- Ang, K.K.; Harris, J.; Wheeler, R.; Weber, R.; Rosenthal, D.I.; Nguyen-Tân, P.F.; Westra, W.H.; Chung, C.H.; Jordan, R.C.; Lu, C.; et al. Human Papillomavirus and Survival of Patients with Oropharyngeal Cancer. N. Engl. J. Med. 2010, 363, 24–35. [Google Scholar] [CrossRef] [PubMed]
- Combes, J.-D.; Franceschi, S. Role of human papillomavirus in non-oropharyngeal head and neck cancers. Oral Oncol. 2014, 50, 370–379. [Google Scholar] [CrossRef] [PubMed]
- Isayeva, T.; Li, Y.; Maswahu, D.; Brandwein-Gensler, M. Human Papillomavirus in Non-Oropharyngeal Head and Neck Cancers: A Systematic Literature Review. Head Neck Pathol. 2012, 6, 104–120. [Google Scholar] [CrossRef] [PubMed]
- Walter, V.; Yin, X.; Wilkerson, M.D.; Cabanski, C.R.; Zhao, N.; Du, Y.; Ang, M.K.; Hayward, M.C.; Salazar, A.H.; Hoadley, K.A.; et al. Molecular Subtypes in Head and Neck Cancer Exhibit Distinct Patterns of Chromosomal Gain and Loss of Canonical Cancer Genes. PLoS ONE 2013, 8, e56823. [Google Scholar] [CrossRef]
- Kang, H.; Kiess, A.; Chung, C.H. Emerging biomarkers in head and neck cancer in the era of genomics. Nat. Rev. Clin. Oncol. 2015, 12, 11–26. [Google Scholar] [CrossRef] [PubMed]
- Weinberger, P.M.; Yu, Z.; Kountourakis, P.; Sasaki, C.; Haffty, B.G.; Kowalski, D.; Merkley, M.A.; Rimm, D.L.; Camp, R.L.; Psyrri, A. Defining molecular phenotypes of human papillomavirus-associated oropharyngeal squamous cell carcinoma: Validation of three-class hypothesis. Otolaryngol. Head Neck Surg. 2009, 141, 382–389. [Google Scholar] [CrossRef] [PubMed]
- Jung, A.C.; Briolat, J.; Millon, R.; de Reynies, A.; Rickman, D.; Thomas, E.; Abecassis, J.; Clavel, C.; Wasylyk, B. Biological and clinical relevance of transcriptionally active human papillomavirus (HPV) infection in oropharynx squamous cell carcinoma. Int. J. Cancer 2010, 126, 1882–1894. [Google Scholar] [CrossRef] [PubMed]
- Tomar, S.; Graves, C.A.; Altomare, D.; Kowli, S.; Kassler, S.; Sutkowski, N.; Gillespie, M.B.; Creek, K.E.; Pirisi, L. Human papillomavirus status and gene expression profiles of oropharyngeal and oral cancers from European American and African American patients. Head Neck 2016, 38, E694–E704. [Google Scholar] [CrossRef] [PubMed]
- Howley, P.M.; Pfister, H.J. Beta genus papillomaviruses and skin cancer. Virology 2015, 479–480, 290–296. [Google Scholar] [CrossRef] [PubMed]
- Wendel, S.O.; Wallace, N.A. Loss of genome fidelity: Beta HPVs and the DNA damage response. Front. Microbiol. 2017, 8, 2250. [Google Scholar] [CrossRef] [PubMed]
- Banister, C.E.; Liu, C.; Pirisi, L.; Creek, K.E.; Buckhaults, P.J. Identification and characterization of HPV-independent cervical cancers. Oncotarget 2017, 8, 13375–13386. [Google Scholar] [CrossRef] [PubMed]
- Wang, H.; Wang, M.X.-M.; Su, N.; Wang, L.-C.; Wu, X.; Bui, S.; Nielsen, A.; Vo, H.-T.; Nguyen, N.; Luo, Y.; et al. RNAscope for In situ Detection of Transcriptionally Active Human Papillomavirus in Head and Neck Squamous Cell Carcinoma. J. Vis. Exp. 2014. [Google Scholar] [CrossRef] [PubMed]
- Mascolo, M.; Ilardi, G.; Romano, M.F.; Celetti, A.; Siano, M.; Romano, S.; Luise, C.; Merolla, F.; Rocco, A.; Vecchione, M.L.; et al. Overexpression of chromatin assembly factor-1 p60, poly(ADP-ribose) polymerase 1 and nestin predicts metastasizing behaviour of oral cancer. Histopathology 2012, 61, 1089–1105. [Google Scholar] [CrossRef] [PubMed]
- Russo, D.; Merolla, F.; Mascolo, M.; Ilardi, G.; Romano, S.; Varricchio, S.; Napolitano, V.; Celetti, A.; Postiglione, L.; Di Lorenzo, P.; et al. FKBP51 Immunohistochemical Expression: A New Prognostic Biomarker for OSCC? Int. J. Mol. Sci. 2017, 18, 443. [Google Scholar] [CrossRef] [PubMed]



© 2018 by the authors. Licensee MDPI, Basel, Switzerland. This article is an open access article distributed under the terms and conditions of the Creative Commons Attribution (CC BY) license (http://creativecommons.org/licenses/by/4.0/).
Share and Cite
Ilardi, G.; Russo, D.; Varricchio, S.; Salzano, G.; Dell’Aversana Orabona, G.; Napolitano, V.; Di Crescenzo, R.M.; Borzillo, A.; Martino, F.; Merolla, F.; et al. HPV Virus Transcriptional Status Assessment in a Case of Sinonasal Carcinoma. Int. J. Mol. Sci. 2018, 19, 883. https://doi.org/10.3390/ijms19030883
Ilardi G, Russo D, Varricchio S, Salzano G, Dell’Aversana Orabona G, Napolitano V, Di Crescenzo RM, Borzillo A, Martino F, Merolla F, et al. HPV Virus Transcriptional Status Assessment in a Case of Sinonasal Carcinoma. International Journal of Molecular Sciences. 2018; 19(3):883. https://doi.org/10.3390/ijms19030883
Chicago/Turabian StyleIlardi, Gennaro, Daniela Russo, Silvia Varricchio, Giovanni Salzano, Giovanni Dell’Aversana Orabona, Virginia Napolitano, Rosa Maria Di Crescenzo, Alessandra Borzillo, Francesco Martino, Francesco Merolla, and et al. 2018. "HPV Virus Transcriptional Status Assessment in a Case of Sinonasal Carcinoma" International Journal of Molecular Sciences 19, no. 3: 883. https://doi.org/10.3390/ijms19030883
APA StyleIlardi, G., Russo, D., Varricchio, S., Salzano, G., Dell’Aversana Orabona, G., Napolitano, V., Di Crescenzo, R. M., Borzillo, A., Martino, F., Merolla, F., Mascolo, M., & Staibano, S. (2018). HPV Virus Transcriptional Status Assessment in a Case of Sinonasal Carcinoma. International Journal of Molecular Sciences, 19(3), 883. https://doi.org/10.3390/ijms19030883
 
        



