The Alternaria alternata Mycotoxin Alternariol Suppresses Lipopolysaccharide-Induced Inflammation
Abstract
1. Introduction
2. Results
2.1. Alternariol Suppresses Innate Immune Responses in Human Lung Epithelial and Mouse Macrophage Cell Lines
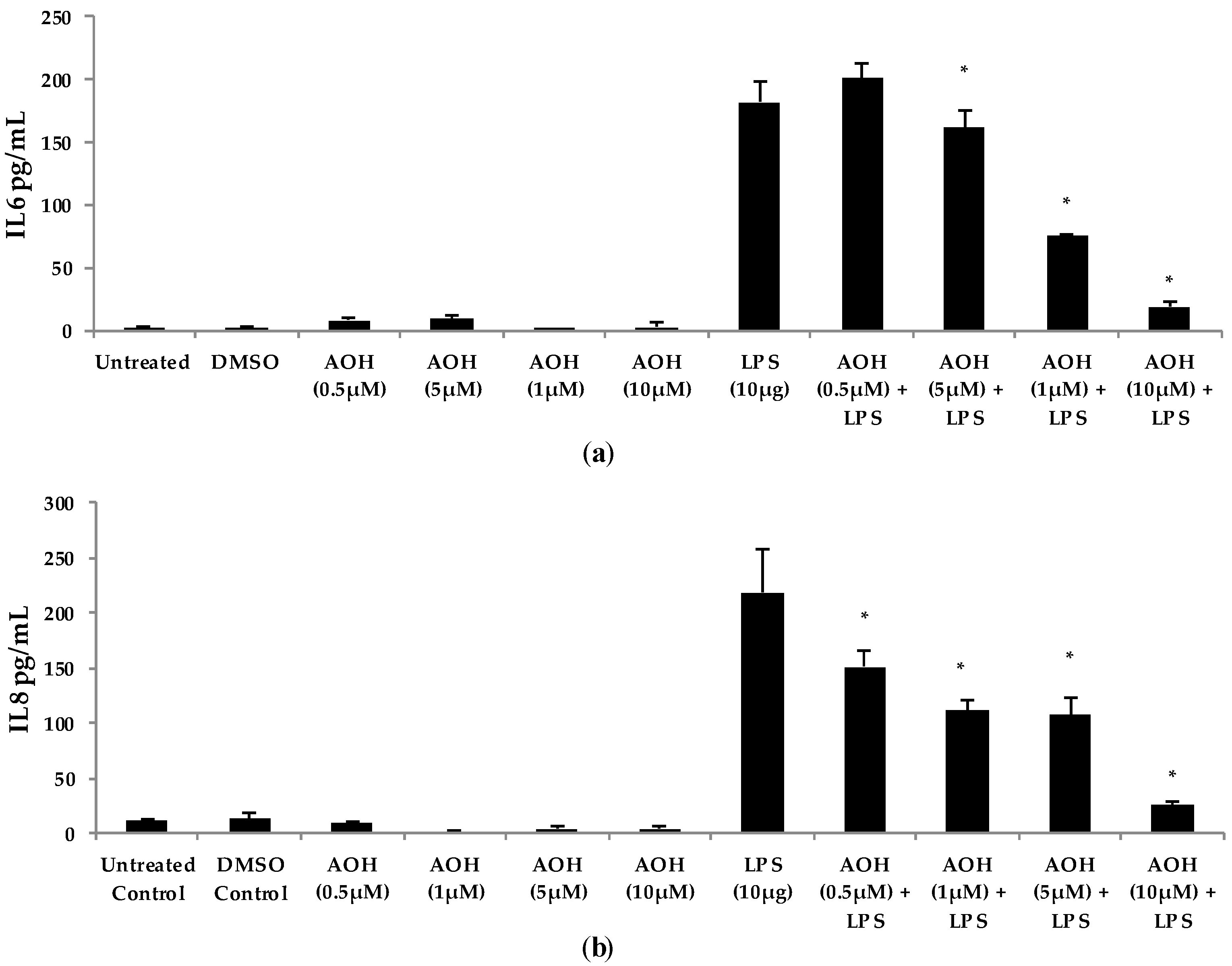
2.2. Dose-Dependent Analysis of Alternariol (AOH) and Lipopolysaccharide (LPS)
2.3. Cell Morphology Alterations in Response to AOH
2.4. AOH Inhibits Cell Proliferation and Has Minimal Effects on Cell Death in BEAS-2B Cells
2.5. AOH Causes Cell Cycle Arrest in Lung Epithelium
2.6. Aryl Hydrocarbon Receptor Analysis and Mechanism of AOH-Induced Immune Suppression
3. Discussion
4. Materials and Methods
4.1. Materials
4.2. Cell Culture and Cell Lines
4.3. Quantification of Protein Levels of Cytokines and Chemokines
4.4. Quantitatification of Gene Expression
4.5. Analysis of Cell Death and Proliferation
4.6. Microscopy
4.7. RNA Silencing
4.8. Statistical Analysis
5. Conclusions
Acknowledgments
Author Contributions
Conflicts of Interest
Appendix A
| AOH Dose | Time | IL6 (Protein) | IL6 (Gene) | IL8 (Protein) | IL8 (Gene) |
|---|---|---|---|---|---|
| 25, 50, 100 μM | 6 h | No Induction | Downregulation | No Induction | Downregulation |
| 25, 50, 100 μM | 12 h | No Induction | Downregulation | No Induction | Downregulation |
| 25, 50, 100 μM | 24 h | No Induction | Downregulation | No Induction | Downregulation |
| Gene Primer Name | Primer Sequence |
|---|---|
| Human AHR_F | 5′ TGGTTGTGATGCCAAAGGAAG 3′ |
| Human AHR_R | 5′ GACCCAAGTCCATCGGTTGTT 3′ |
| Human CYP1A1_F | 5′ GAACCTTCCCTGATCCTTGTG 3′ |
| Human CYP1A1_R | 5′ CCCTGATTACCCAGAATACCAG 3′ |
| Human Caspase1_F | 5′ GTTCCTGGTGTTCATGTCTCA 3′ |
| Human Caspase1_R | 5′ CCTACTGAATCTTTAAACCACACC 3′ |
| Human IL6_F | 5′ GACAGCCACTCACCTCTT 3′ |
| Human IL6_R | 5′ TGTTTTCTGCCAGTGCC 3′ |
| Human IL8_F | 5′ TCCTGATTTCTGCAGCTCTG 3′ |
| Human IL8_R | 5′ GTCCACTCTCAATCACTCTCAG 3′ |
| Human MCP-1/CCL2_F | 5′ TGTCCCAAAGAAGCTGTGATC 3′ |
| Human MCP-1/CCL2_R | 5′ ATTCTTGGGTTGTGGAGTGAG 3′ |



Abbreviations
| AhR | Aryl hydrocarbon Receptor |
| ARNT | Aryl hydrocarbon Receptor Nuclear Translocator |
| AOH | Alternariol |
| AME | Alternariol Monomethyl ether |
| BEAS-2B | Bronchial Lung Epithelial Cells |
| CCL2 | Chemokine (C–C motif) Ligand 2 |
| cDNA | Complementary DNA |
| CDK1 | Cyclin-Dependent Kinase 1 |
| DMSO | Dimethyl Sulfoxide |
| DPBS | Dulbecco’s Phosphate-Buffered Saline |
| DNA | Deoxyribonucleic Acid |
| ELISA | Enzyme-Linked Immunosorbent Assay |
| FBS | Fetal Bovine Serum |
| GAPDH | Glyceraldehyde 3-Phosphate Dehydrogenase |
| HT29 | Human Adenocarcinoma Cells |
| IL-1β | Interleukin-1 β |
| IL6 | Interleukin 6 |
| IL8 | Interleukin 8 |
| IgE | Immunoglobulin E |
| LDH | Lactate Dehydrogenase |
| LPS | Lipopolysaccharide |
| MTT | 3-(4,5-dimethylthiazol-2-yl)-2,5-Diphenyltetrazolium Bromide |
| MN | Micronucleus Assay |
| MLC | Mouse Lymphoma Cell Line |
| PBS | Phosphate-Buffered Saline |
| RNA | Ribonucleic Acid |
| ROS | Reactive Oxygen Species |
| siRNA | Small Interfering RNA |
| TCDD | 2,3,7,8-Tetrachlorodibenzo-p-Dioxin |
| TGF-β | Transforming Growth Factor β |
| TNF-α | Tumor Necrosis Factor α |
| qRT-PCR | Quantitative Real-Time Reverse Transcription-Polymerase Chain Reaction |
| XRE | Xenobiotic Response Element |
References
- Dang, H.X.; Pryor, B.; Peever, T.; Lawrence, C.B. The Alternaria genomes database: A comprehensive resource for a fungal genus comprised of saprophytes, plant pathogens, and allergenic species. BMC Genom. 2015, 16, 239. [Google Scholar] [CrossRef] [PubMed]
- Van Leeuwen, W.S. Bronchial asthma in relation to climate. Proc. R. Soc. Med. 1924, 17, 19–26. [Google Scholar] [PubMed]
- Sanchez, H.; Bush, R.K. A review of Alternaria alternata sensitivity. Rev. Iberoam. Micol. 2001, 18, 56–59. [Google Scholar] [PubMed]
- Hedayati, M.T.; Arabzadehmoghadam, A.; Hajheydari, Z. Specific IgE against Alternaria alternata in atopic dermatitis and asthma patients. Eur. Rev. Med. Pharmacol. Sci. 2009, 13, 187–191. [Google Scholar] [PubMed]
- Hong, S.G.; Cramer, R.A.; Lawrence, C.B.; Pryor, B.M. Alt a 1 allergen homologs from Alternaria and related taxa: Analysis of phylogenetic content and secondary structure. Fungal Genet. Biol. 2005, 42, 119–129. [Google Scholar] [CrossRef] [PubMed]
- Kobayashi, T.; Iijima, K.; Radhakrishnan, S.; Mehta, V.; Vassallo, R.; Lawrence, C.B.; Cyong, J.C.; Pease, L.R.; Oguchi, K.; Kita, H. Asthma-related environmental fungus, Alternaria, activates dendritic cells and produces potent Th2 adjuvant activity. J. Immunol. 2009, 182, 2502–2510. [Google Scholar] [CrossRef] [PubMed]
- Auger, P.L.; Gourdeau, P.; Miller, J.D. Clinical experience with patients suffering from a chronic fatigue–like syndrome and repeated upper respiratory infections in relation to airborne molds. Am. J. Ind. Med. 1994, 25, 41–42. [Google Scholar] [CrossRef] [PubMed]
- Corrier, D.E. Mycotoxicosis: Mechanisms of immunosuppression. Vet. Immunol. Immunopathol. 1991, 30, 73–87. [Google Scholar] [CrossRef]
- Streit, E.; Schwab, C.; Sulyok, M.; Naehrer, K.; Krska, R.; Schatzmayr, G. Multi-mycotoxin screening reveals the occurrence of 139 different secondary metabolites in feed and feed ingredients. Toxins 2013, 5, 504–523. [Google Scholar] [CrossRef] [PubMed]
- Deshmukh, S.K.; Verekar, S.A.; Bhave, S.V. Endophytic fungi: A reservoir of antibacterials. Front. Microbiol. 2014, 5, 715. [Google Scholar] [CrossRef] [PubMed]
- Lou, J.; Fu, L.; Peng, Y.; Zhou, L. Metabolites from Alternaria fungi and their bioactivities. Molecules 2013, 18, 5891–5935. [Google Scholar] [CrossRef] [PubMed]
- Panel, E.; Chain, F. Scientific opinion on the risks for animal and public health related to the presence of Alternaria toxins in feed and food. EFSA J. 2011, 9, 2407. [Google Scholar] [CrossRef]
- Fleck, S.C.; Burkhardt, B.; Pfeiffer, E.; Metzler, M. Alternaria toxins: Altertoxin II is a much stronger mutagen and DNA strand breaking mycotoxin than alternariol and its methyl ether in cultured mammalian cells. Toxicol. Lett. 2012, 214, 27–32. [Google Scholar] [CrossRef] [PubMed]
- Bashyal, B.P.; Wellensiek, B.P.; Ramakrishnan, R.; Faeth, S.H.; Ahmad, N.; Gunatilaka, L. Altertoxins with potent anti-HIV activity from Alternaria tenuissima QUE1Se, a fungal endophyte of Quercus emoryi. Bioorg. Med. Chem. 2014, 22, 6112–6116. [Google Scholar] [CrossRef] [PubMed]
- Ostry, V. Alternaria mycotoxins: An overview of chemical characterization, producers, toxicity, analysis and occurrence in foodstuffs. World Mycotoxin J. 2008, 1, 175–188. [Google Scholar] [CrossRef]
- Solhaug, A.; Holme, J.A.; Haglund, K.; Dendele, B.; Sergent, O.; Pestka, J.; Lagadic-Gossmann, D.; Eriksen, G.S. Alternariol induces abnormal nuclear morphology and cell cycle arrest in murine RAW 264.7 macrophages. Toxicol. Lett. 2013, 219, 8–17. [Google Scholar] [CrossRef] [PubMed]
- Lehmann, L.; Wagner, J.; Metzler, M. Estrogenic and clastogenic potential of the mycotoxin alternariol in cultured mammalian cells. Food Chem. Toxicol. 2005, 44, 398–408. [Google Scholar] [CrossRef] [PubMed]
- Solhaug, A.; Vines, L.L.; Ivanova, L.; Spilsberg, B.; Holme, J.A.; Pestka, J.; Collins, A.; Eriksen, G.S. Mechanisms involved in alternariol-induced cell cycle arrest. Mutat. Res. 2012, 738, 1–11. [Google Scholar] [CrossRef] [PubMed]
- Tiessen, C.; Fehr, M.; Schwarz, C.; Baechler, S.; Domnanich, K.; Böttler, U.; Pahlke, G.; Marko, D. Modulation of the cellular redox status by the Alternaria toxins alternariol and alternariol monomethyl ether. Toxicol. Lett. 2013, 216, 23–30. [Google Scholar] [CrossRef] [PubMed]
- Nguyen, N.T.; Hanieh, H.; Nakahama, T.; Kishimoto, T. The roles of aryl hydrocarbon receptor in immune responses. Int. Immunol. 2013, 25, 335–343. [Google Scholar] [CrossRef] [PubMed]
- Schreck, I.; Deigendesch, U.; Burkhardt, B.; Marko, D.; Weiss, C. The Alternaria mycotoxins alternariol and alternariol methyl ether induce cytochrome P450 1A1 and apoptosis in murine hepatoma cells dependent on the aryl hydrocarbon receptor. Arch. Toxicol. 2012, 86, 625–632. [Google Scholar] [CrossRef] [PubMed]
- Beischlag, T.V.; Luis, M.J.; Hollingshead, B.D.; Perdew, G.H. The aryl hydrocarbon receptor complex and the control of gene expression. Crit. Rev. Eukaryot. Gene Expr. 2008, 18, 207–250. [Google Scholar] [CrossRef] [PubMed]
- Opal, S.M. Endotoxins and other sepsis triggers. Contrib. Nephrol. 2010, 167, 14–24. [Google Scholar] [CrossRef] [PubMed]
- Martinon, F.; Burns, K.; Tschopp, J. The inflammasome: A molecular platform triggering activation of inflammatory caspases and processing of proIL-β. Mol. Cell. 2002, 10, 417–426. [Google Scholar] [CrossRef]
- Mariathasan, S.; Newton, K.; Monack, D.M.; Vucic, D. Differential activation of the inflammasome by caspase-1 adaptors ASC and Ipaf. Nature 2004, 430, 213–218. [Google Scholar] [CrossRef] [PubMed]
- Vassilev, L.T.; Tovar, C.; Chen, S.; Knezevic, D.; Zhao, X.; Sun, H.; Heimbrook, D.C.; Chen, L. Selective small-molecule inhibitor reveals critical mitotic functions of human CDK1. Proc. Natl. Acad. Sci. USA 2006, 103, 10660–10665. [Google Scholar] [CrossRef] [PubMed]
- Grover, S. The Role of the Alternaria Secondary Metabolite Alternariol in Inflammation. Master’s Thesis, Virginia Tech University, Blacksburg, VA, USA, 2017. [Google Scholar]











© 2017 by the authors. Licensee MDPI, Basel, Switzerland. This article is an open access article distributed under the terms and conditions of the Creative Commons Attribution (CC BY) license (http://creativecommons.org/licenses/by/4.0/).
Share and Cite
Grover, S.; Lawrence, C.B. The Alternaria alternata Mycotoxin Alternariol Suppresses Lipopolysaccharide-Induced Inflammation. Int. J. Mol. Sci. 2017, 18, 1577. https://doi.org/10.3390/ijms18071577
Grover S, Lawrence CB. The Alternaria alternata Mycotoxin Alternariol Suppresses Lipopolysaccharide-Induced Inflammation. International Journal of Molecular Sciences. 2017; 18(7):1577. https://doi.org/10.3390/ijms18071577
Chicago/Turabian StyleGrover, Shivani, and Christopher B. Lawrence. 2017. "The Alternaria alternata Mycotoxin Alternariol Suppresses Lipopolysaccharide-Induced Inflammation" International Journal of Molecular Sciences 18, no. 7: 1577. https://doi.org/10.3390/ijms18071577
APA StyleGrover, S., & Lawrence, C. B. (2017). The Alternaria alternata Mycotoxin Alternariol Suppresses Lipopolysaccharide-Induced Inflammation. International Journal of Molecular Sciences, 18(7), 1577. https://doi.org/10.3390/ijms18071577
