Next Article in Journal
Pulses, Healthy, and Sustainable Food Sources for Feeding the Planet
Next Article in Special Issue
Induction of Syndecan-4 by Organic–Inorganic Hybrid Molecules with a 1,10-Phenanthroline Structure in Cultured Vascular Endothelial Cells
Previous Article in Journal
Mesenchymal Stem Cell Therapy for Inflammatory Skin Diseases: Clinical Potential and Mode of Action
 
 
Font Type:
Arial Georgia Verdana
Font Size:
Aa Aa Aa
Line Spacing:
Column Width:
Background:
Article

Phenylarsine Oxide Can Induce the Arsenite-Resistance Mutant PML Protein Solubility Changes

1
Department of Toxicology, School of Medicine and Public health, Zhejiang University, Hangzhou 310058, China
2
Department of Marine Science, Ocean College, Zhejiang University, Hangzhou 310058, China
3
Department of Pharmacology, School of Medicine, Zhejiang University, Hangzhou 310058, China
4
College of Pharmaceutical Sciences, Zhejiang University, Hangzhou 310058, China
*
Author to whom correspondence should be addressed.
These authors contributed equally to this work.
Int. J. Mol. Sci. 2017, 18(2), 247; https://doi.org/10.3390/ijms18020247
Submission received: 4 January 2017 / Revised: 17 January 2017 / Accepted: 18 January 2017 / Published: 25 January 2017

Abstract

:
Arsenic trioxide (As2O3) has recently become one of the most effective drugs for treatment of patient with acute promyelocytic leukemia (APL), and its molecular mechanism has also been largely investigated. However, it has been reported that As2O3 resistant patients are frequently found in relapsed APL after consolidation therapy, which is due to the point mutations in B-box type 2 motifs of promyelocytic leukemia (PML) gene. In the present study, we for the first time establish whether organic arsenic species phenylarsine oxide (PAO) could induce the mutant PML-IV (A216V) protein solubility changes and degradation. Here, three different PML protein variants (i.e., PML-IV, PML-V and mutant PML-A216V) were overexpressed in HEK293T cells and then exposed to PAO in time- and dose-dependent manners. Interestingly, PAO is found to have potential effect on induction of mutant PML-IV (A216V) protein solubility changes and degradation, but no appreciable effects were found following exposure to high concentrations of iAsIII, dimethylarsinous acid (DMAIII) and adriamycin (doxorubicin), even though they cause cell death. Our current data strongly indicate that PAO has good effects on the mutant PML protein solubility changes, and it may be helpful for improving the therapeutic strategies for arsenic-resistant APL treatments in the near future.

Graphical Abstract

1. Introduction

Arsenic trioxide (As2O3) has been widely used in traditional medicine for treatment of various diseases for more than two thousand years [1]. Recently, it has been established as one of the most effective drugs for treatment of patient with acute promyelocytic leukemia (APL), as well as applied to other types of solid malignant tumors and diseases as clinical treatment [2,3].
APL is a subtype of acute myeloid leukemia (AML) with distinctive biological and clinical features that has recently been found to be highly curable by all-trans retinoic acid (ATRA) and As2O3 treatment [4,5]. Additionally, APL is characterized by the reciprocal chromosomal translocation t(15;17)(q22;q21), resulting in the fusion of promyelocytic leukemia (PML) gene to the retinoic acid receptor α (RARα) gene, and, finally, the expression of PML-RARα fusion protein to block cell differentiation. Fortunately, this specific genetic lesion determines the unique response to treatment with As2O3 or all-trans retinoic acid (ATRA), especially As2O3 has dual effects on inducing partial differentiation and apoptosis of APL cells, differently from ATRA [6,7,8].
Indeed, As2O3-induced PML-RARα degradation is the basis of its clinical efficacy in APL [9,10]. Additionally, it has been found that As2O3 directly targeted PML moiety of PML-RARα fusion protein and causes its fusion protein degradation resulting in clinical remission [9,10]. In fact, PML protein contains cysteine-rich zinc binding domains, a RING (R), a B-box type 1 (B1) and a B-box type 2 (B2) motifs, followed by a Coiled-Coil (CC) region, namely (RBCC) [11]. It has already been reported that rapid degradation of PML-RARα fusion protein was considered to be associated with direct interaction of As2O3 by targeting cysteine residues in RBCC domains of PML, and consequent induction of PML-RARα conformational changes, oligomerization and then modified by SUMOylation as well as ubiquitination, finally resulting in clinical remission by PML-RARα fusion protein degradation [12,13,14]. Although As2O3 has significant clinical effectiveness in the treatment of APL, it has been reported that arsenic resistant patients are commonly found in relapsed APL after consolidation therapy, and their outcomes are extremely poor [15]. Several studies have shown that point mutations in B-box2 of PML or PML-RARα fusion genes are frequently observed [16], and all mutant PML proteins have exhibited strong resistance to As2O3 treatment in vitro [17,18].
To date, more than nine mutations have been found in PML, and most mutations were identified in B-box 2 motif, such as A216V, L218P, C212A, C213A, S214L, A216T, L217F, etc. [19]. However, it still remains unknown why As2O3 loses its ability to induce degradation of these mutants PML protein. On the other hand, without PML mutations, APL patients have exhibited no resistance to arsenic trioxide [17], indicating that the binding of As2O3 in the RBCC domain appears to be critical for the effect of arsenic on PML-RARα degradation; more specifically, Cys77/80 and Cys88/91 in the RING domain as well as Cys212 and Cys213 in the B2 domain are found to be arsenic targeting sites [12].
In humans, at least seven PML isoforms (PML-I to PML-VII) have been identified, and all isoforms are generated by alternative splicing of the primary PML gene [11,20,21]. Additionally, these isoforms share a common N-terminal region, which includes the RBCC domain, but differ in their C-terminal regions due to alternative splicing of exons and account for isoform-specific functions [22]. Interestingly, PML isoforms I–VI are localized in nucleus, and PML nuclear bodies (PML-NBs) are currently suggested to be formed by these six isoforms, while the remaining isoform, PML-VII, is localized in cytoplasm [23]. Moreover, PML-IV and -V are commonly used to establish the effect of As2O3 on PML protein solubility changes or PML protein degradation [12]. In fact, transfer of PML proteins from the Radio Immunoprecipitation Assay (RIPA) lysis buffer soluble fraction to the RIPA insoluble nuclear matrix (i.e., solubility changes) by As2O3 is considered one of the most important conditions for PML protein degradation [17,18]. For instance, if following exposure to As2O3 PML protein is not shifted from RIPA soluble fraction to the RIPA insoluble matrix, it indicates that PML protein might be resistant to the As2O3 treatment.
In the current study, we have tried to find some available arsenic compounds that can degrade PML or PML mutant proteins to overcome the limitations in treatment of arsenic resistant APL patients. Here, we used phenylarsine oxide (PAO) to determine whether the mutant PML could be degraded by exposure to PAO. To prove this, three different PML expression vectors (i.e., PML-IV, PML-V and A216V) were transfected to HEK293T cells and then exposed to iAsIII and PAO. Although iAsIII is capable of inducing the normal PML-IV and -V solubility changes (i.e., induce PML protein shifted from RIPA soluble fraction to the RIPA insoluble matrix), it failed to induce the mutant PML (A216V) protein solubility changes. As anticipated, PAO has shown potential effect on induction of both normal and abnormal PML proteins solubility changes.

2. Results

In the current study, we tried to establish whether arsenite could induce the PML-IV, PML-V or mutant PML-IV (A216V) solubility changes. In this regard, three different PML plasmids were transfected into HEK293T cell and then exposed to iAsIII in time- and concentration-dependent manners. As expected, iAsIII is capable of inducing the normal PML-IV and -V proteins solubility changes, as shown in Figure 1A,B. Both PML proteins’ solubility can be shifted from RIPA soluble fraction (S) to the RIPA insoluble matrix (P) after 12-h exposure and modified or degraded in pellet fractions, suggesting that arsenic (iAsIII) can induce the normal PML protein solubility changes (Figure 1A,B).
Additionally, mutant PML-IV (A216V) transfected HEK293T cells were exposed to 4, 10 and 20 µM of iAsIII for 6 h (Figure 1C). Our data showed that iAsIII cannot induce or degrade the mutated PML protein (A216V) solubility changes at high levels of arsenic (i.e., 20 µM). Likewise, formation of PML-nuclear bodies (NBs) was also determined by confocal microscopy after transfection of PML-IV, PML-V and A216V mutant in 293T cells (Figure 2). Interestingly, it was found that PML-NBs can be clearly formed by mutants PML-IV (A216V) and is similar to normal PML-IV or -V. After exposure to iAsIII, there were no significant differences between the PML-NBs morphology changes as compared to corresponding without arsenic treatment group, indicating the PML protein (e.g., mutant) resistance to iAsIII is probably dependence on its protein solubility changes, but not on PML-NBs formation.
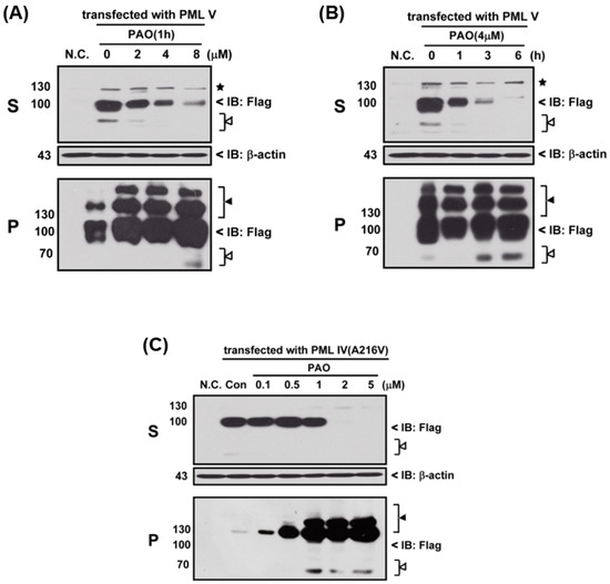
Next, we determined the effects of PAO on PML protein degradation, thereby three different variants of PML protein (i.e., normal and abnormal PML), PML-IV, PML-V and mutant PML-IV (A216V)-transfected 293T cells, were exposed to PAO in time- and concentration-dependent manners, as shown in Figure 3. In fact, PAO is capable of inducing PML protein solubility changes from supernatant (S) to pellet fractions (P) in both dose- and time-dependent manners (Figure 3A,B), suggesting that PAO have similar effect on normal PML degradation as like iAsIII. However, iAsIII was also shown to be unable to induce the PML mutant (A216V) protein degradation [2,3]. Therefore, we attempt to determine the solubility changes of PML (A216V) protein after exposure to different concentrations of PAO, and interestingly more than 2 µM of PAO were found to be sufficient for inducing mutant PML (A216V) protein solubility changes as well as PML protein modification in pellet fractions after 6 h exposure (Figure 3C), indicating that PAO have strong dual effects on both normal or abnormal PML protein solubility changes along with PML proteins degradation.
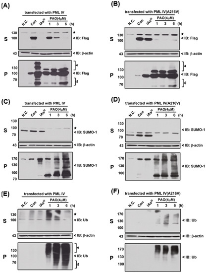
Moreover, we used 4 µM of PAO to compare the differences (e.g., SUMOylation and ubiquitination) between the normal PML and mutant PML (A216V) at different time periods, as shown in Figure 4. Interestingly, it seems that mutant PML protein was more sensitive to PAO treatment than normal PML-IV at 1 h exposure (Figure 4A,B).
On the other hand, PAO (but not of iAsIII) has completely induced SUMO-1 protein solubility changes from S to P fractions in two different PML transfected cells (Figure 4 C,D). Likewise, PAO also dramatically induced PML protein ubiquitination in supernatant and pellet fractions when compared to iAsIII (Figure 4E,F), indicating that induction of PML protein SUMOylation and ubiquitination by PAO are much stronger than iAsIII.
In fact, PAO is a protein phosphatase inhibitor [24] and contains a phenyl group. Thus, we hypothesized that inhibition of protein phosphatase activity or phenyl group of PAO may be involved in PML protein solubility changes. Therefore, three different chemical compounds such as phenylarsine oxide (PAO), okadaic acid (OA; inhibitor of protein phosphatase) and nitrosobenzene (NB; contain phenyl group) were used to compare the PML-IV or mutant PML (A216V) protein solubility change, as shown in Fgiure 5A. Unexpectedly, OA and NB have no considerable effects on the induction of either PML protein solubility changes when compared to PAO (Figure 5B,C). Surprisingly, it was found that trivalent methylated MMAIII at high dose (i.e., more than 20 µM) is capable of inducing both PML proteins solubility changes (Figure 5D,E), because there are structural similarities between MMAIII and PAO. To understand whether PAO and MMAIII induced PML protein solubility changes are specific, normal and abnormal PML genes transfected cells were exposed to DMAIII or adriamycin (ADR; a chemotherapeutic agent). However, PML proteins solubility changes were not found after exposure to either DMAIII (Figure S1) or ADR (Figure 6) even though they cause cell death (Figure S2), indicating that the PAO induced PML protein solubility changes are different from other chemical compounds.

3. Discussion

PML or PML-RARα protein solubility changes, hyper-SUMOylation and degradation in response to As2O3 (i.e., iAsIII) constitute the molecular mechanisms of arsenic-induced treatment of APL [14,25]. Unfortunately, some patients still develop arsenic resistance during their therapy and are often found in relapsed APL. Moreover, their outcomes are also extremely poor. Recent studies have clearly revealed that genetic mutations in B-box2 moiety of PML gene rendered resistance to As2O3 [26]. Thus, new arsenic compounds are needed to investigate which will be more effective than As2O3, and can induce the mutated PML protein solubility changes and degradation.
In fact, PML protein solubility changes by As2O3 are suggested to be the most important and critical step for PML protein degradation in response to As2O3 treatment [11]. For instance, if the mutant PML protein is resistant to As2O3 in vitro (i.e., no solubility changes), their corresponding PML mutants in APL patients also exhibit resistance to As2O3 [12,17]. In this study, we found that iAsIII can induce normal PML-IV and -V solubility changes, and PML-IV seems to be less sensitive to iAsIII treatment than PML-V (Figure 1). Additionally, iAsIII had no appreciable effects on induction of solubility changes of mutant PML (A216V), which is consistent with other published reports [16,17,18]. On the other hand, mutant PML (A216V) protein can form PML-NBs but it cannot be degraded by iAsIII, suggesting that formation of the PML-NBs is not a sufficient condition for mutant PML protein degradation (Figure 2).
Phenylarsine oxide (PAO) is a membrane-permeable protein-tyrosine phosphatase (PTPase) inhibitor [24]. An report has indicated that PAO is capable of inhibiting proliferation or inducing apoptosis of AML cells in vitro [27]. This efficacy of PAO against AML cells increased interest in using it for the treatment of As2O3 resistant APL. Therefore, we attempted to examine whether PAO could induce mutant PML protein solubility changes; thereby, normal and abnormal PML overexpressed 293T cells were exposed to PAO in dose- and time-dependent manners (Figure 3). Interestingly, we found that PAO can induce both normal and abnormal PML proteins solubility changes, especially PAO significantly increased PML protein modification in pellet fractions. Notably, low dose of PAO (i.e., 0.5–1 µM) had no appreciable effect on induction of mutant PML (A216V) protein solubility changes, while 2 µM of PAO were found to be sufficient to induce mutant PML protein solubility changes (S to P), indicating that PAO may have good effects on mutant PML protein degradation. Particularly, we also observed that mutant PML (A216V) protein is more sensitive to PAO than normal PML (Figure 3).
PML or PML-RARα protein degradation by As2O3 was identified to be mainly through SUMOylation and ubiquitination dependent proteasome pathways [13,14]. Additionally, small ubiquitin-related modifier-1 (SUMO-1) is a well-characterized member of the family of ubiquitin-related proteins, and PML protein is modified by SUMOylation at three important lysine residues (K65, K160 and K490 present in corresponding regions as RING, B-box 1 and carboxy-terminal region) after exposure to As2O3 [28]. In the current study, we found that PAO can dramatically induced PML protein SUMOylation and ubiquitination (Figure 4), suggesting that normal or mutant PML might be degraded through SUMOylation and ubiquitination proteasome pathways after PML protein solubility changes.
Moreover, we hypothesized that inhibition of protein phosphatase activity or phenyl group of PAO may be involved in PML protein solubility changes, therefore inhibitor of protein phosphatase OA and nitrosobenzene (NB) were used to examine the normal and mutant PML protein solubility changes. However, neither NB nor OA could induce the PML protein solubility changes (Figure 5). On the other hand, in our previous study, we reported that low dose exposure of methylated arsenicals (i.e., MMAIII and DMAIII) has no appreciable effect on the PML or PML-RARα fusion protein solubility changes [29]. In this study, high concentrations of iAsIII, MMAIII and DMAIII were used to establish whether these arsenicals could induce the mutant PML protein degradation similarly to PAO. Unexpectedly, 50 µM of iAsIII or 50 µM of DMAIII failed to induce the mutant PML protein solubility changes (Figure S1). Surprisingly, high concentrations of MMAIII induced PML proteins solubility changes similarly to PAO (Figure 5).
Here, in order to confirm where PAO (or MMAIII) induced PML protein solubility changes are dependent on cell death by cytotoxicity, high concentrations (e.g., 100 µM) of adriamycin, a chemotherapeutic agent, was used to establish PML protein solubility changes (Figure 6). Interestingly, there is no PML protein solubility changes observed by exposure to adriamycin even though it showed high toxicity (Figure S2), suggesting that PAO induced PML protein solubility changes may depend on another mechanism.

4. Materials and Methods

4.1. Reagents

All reagents were of analytical grade. Milli-Q water (Millipore, Bedford, MA, USA) was used throughout the experiment. Trizma® HCl and Trizma® Base, phenazene methosulfate, decylubiquinone, 3-(4,5-dimethylthiazol-2-yl)-2,5-diphenyl tetrazolium bromide (MTT), and phenylarsine oxide (PAO) were purchased from Sigma (St. Louis, MO, USA). Sodium arsenite (iAsIII), dimethylarsinic acid [(CH3)2AsO(OH)] (DMAV) were purchased from Wako Pure Chemical Industries, Ltd. (Osaka, Japan). Monomethylarsonic acid (MMAV) was obtained from Tri Chemicals (Yamanashi, Japan). The arsenic standard solutions were stored in the dark at 4 °C. Diluted standard solutions for experiments were prepared daily prior to use.

4.2. Preparation of Trivalent Monomethylarsonous Acid (MMAIII) and Dimethylarsinous Acid (DMAIII)

MMAIII and DMAIII were prepared by reducing MMAV and DMAV, respectively, with 5 molar equivalents of l-cysteine in distilled water at 90 °C for 1 h. The trivalent forms were confirmed by comparison of the respective retention times on a GS 220 gel filtration column by HPLC-ICP MS (Showa Denko, Tokyo),with those prepared from their iodide forms in distilled water under nitrogen atmosphere. Purity of MMAIII (98%, with 2% of MMAV) and DMAIII (95%, and with 5% of DMAV) was confirmed by HPLC-ICP MS, and then used.

4.3. Confirmation of Arsenic Species by HPLC-ICP MS

The HPLC system consisted of a liquid chromatograph solvent delivery PU-610 pump and a DG 660B-2 degasser (GL Sciences Co., Tokyo, Japan). A strong anion exchange column (Hamilton PRPX-100, 5 μm 4.1 mm × 150 mm) was used to detect the arsenic species. A 20-µL aliquot of a sample solution was applied to the PRPX-100 column, and then the column was eluted with a mobile phase of 35 mM ammonium bicarbonate, pH adjusted to 8.2, with a flow rate of 0.8 mL/min (PRP X-100). Arsenic in the eluate was monitored with an Agilent HP7500cs ICP MS (Yokogawa, Hachiouji, Japan) equipped with an octopole reaction system (ORS) with a He flow of 3.0 mL per min to prevent molecular interference by 40Ar35Cl (signal at m/z 75).

4.4. Cell Culture

HEK293T cells were purchased from Cell Bank of China Science. Following receipt, cells were grown and frozen as a seed stock as they were available. Cells were passage for a maximum of 3 months, after which new seed stocks were thawed. Two cell lines were authenticated using DNA fingerprinting (variable number of tandem repeats), confirming that no cross-contamination occurred during this study. Two cell lines were tested for mycoplasma contamination at least two times per year.
Cells (1.0 × 106) were cultured in T25 flask, and were maintained in logarithmic growth phase using RPMI-1640 or Dulbecco’s Modified Eagle Medium (DMEM) supplemented with 10% fetal bovine serum (FBS), 100 U/mL penicillin, and 100 µg/mL streptomycin, at 37 °C in 5% CO2 atmosphere. After 24 h of seeding, cultures were washed with PBS, fresh medium was added, and the cells were treated with indicated doses of arsenicals and all-trans retinoic acid for indicated time.

4.5. Western Blot Analysis

HEK 293T cells were lysed in RIPA buffer without 8 mole (M) urea, and then incubated on ice and centrifuged as mentioned above to obtain the supernatant and pellet fractions. The supernatant was transferred and the pellet was washed with PBS, lysed in SDS buffer [1× tris-buffered saline ((TBS), 10% glycerol, 0.015% ethylenediaminetetraacetic acid (EDTA), 50 mM dithiothreitol (DTT), and 2% sodium dodecyl sulfate (SDS)], boiled for 10 min at 95 °C. Twenty-five microgram of each protein sample was resolved by 10%–12% SDS-PAGE and electroblotted onto nitrocellulose membranes. The membranes were blocked with non-fat milk and incubated overnight with different primary antibodies at 4 °C, followed by incubation with horseradish peroxidase (HRP)-linked secondary antibodies for 1 h at room temperature and then the proteins were visualized by enhanced chemiluminescence.

4.6. Immunofluorescence Microscopy

FLAG-PML transfected HEK293T cells were cultured on Chamber slides and then exposed to arsenicals. After washing with phosphate-buffered saline (PBS) twice, the slides were fixed in 4% paraformaldehyde and permeablized with 0.1% Triton X-100, blocked with PBST with 10% fetal bovine serum. Further, the cells were then blocked with 1% bovine serum albumin (BSA) in PBS, followed by incubation with primary antibodies overnight at 4 °C. Later, they were tagged with fluorescent secondary antibodies for 2 h. Slides were mounted using Vectashield mounting liquid (Vector Labs, Burlingame, CA, USA), sealed, and stored in dark at 4 °C. The cells were examined under a Zeiss (Göttingen, Germany) 510 confocal microscope.

5. Conclusions

In the current study, we, for the first time, found that PAO is capable of inducing mutant PML protein solubility changes and degradation, suggesting that PAO is a considerable agent for relapsed/refractory APL. However, further investigation is needed to determine the dose level and toxicity of PAO in vivo and in vitro more carefully for clinical practices.

Supplementary Materials

Supplementary materials can be found at www.mdpi.com/1422-0067/18/2/247/s1.

Acknowledgments

The authors wish to acknowledge the National Natural Science Foundation of China (81473289; and 81673521ZJ); Department of Science and Technology of Zhejiang Province (2015C33154); Key Project of Traditional Chinese Medicine Science and Technology of Zhejiang Province (2015ZZ006); and Zhejiang Provincial & National Health and Family Planning Commission Project for Medical Sciences (WKJ-ZJ-1512).

Author Contributions

Yu Han Jiang and Ye Jia Chen were responsible for conceived and designed the experiments. Chao Wang; Yong Fei Lan and Chang Yang taken part in performing the experiments. Qian Qian Wang and Yasen Maimaitiying gave general support in interpretation of results. Liaqat Hussain and Khairul Islam involved in manuscript preparation. Hua Naranmandura took the overall responsibility in hypothesis generation, study design and manuscript preparation. All authors read and approved the final manuscript.

Conflicts of Interest

The authors declare no conflict of interest.

Abbreviations

iAsVarsenate
iAsIIIarsenite
APLacute promyelocytic leukemia
DMAIIIdimethylarsinous acid
DMAVdimethylarsinic acid
MMAIIImonomethylarsonous acid
PAOphenylarsine oxide

References

  1. Zhang, T.D.; Chen, G.Q.; Wang, Z.G.; Wang, Z.Y.; Chen, S.J.; Chen, Z. Arsenic trioxide, a therapeutic agent for APL. Oncogene 2001, 20, 7146–7153. [Google Scholar] [CrossRef] [PubMed]
  2. Ahn, R.W.; Chen, F.; Chen, H.; Stern, S.T.; Clogston, J.D.; Patri, A.K.; Raja, M.R.; Swindell, E.P.; Parimi, V.; Cryns, V.L. A novel nanoparticulate formulation of arsenic trioxide with enhanced therapeutic efficacy in a murine model of breast cancer. Clin. Cancer Res. 2010, 16, 3607–3617. [Google Scholar] [CrossRef] [PubMed]
  3. Hua, N.; Carew, M.W.; Xu, S.; Lee, J.; Leslie, E.M.; Weinfeld, M.; Le, X.C. Comparative toxicity of arsenic metabolites in human bladder cancer EJ-1 cells. Chem. Res. Toxicol. 2011, 24, 1586–1596. [Google Scholar]
  4. Thé, H.D.; Chomienne, C.; Lanotte, M.; Degos, L.; Dejean, A. The t(15;17) translocation of acute promyelocytic leukaemia fuses the retinoic acid receptor α gene to a novel transcribed locus. Nature 1990, 347, 558–561. [Google Scholar] [CrossRef] [PubMed]
  5. De The, H.; Chen, Z. Acute promyelocytic leukaemia: Novel insights into the mechanisms of cure. Nat. Rev. Cancer 2010, 10, 775–783. [Google Scholar] [CrossRef] [PubMed]
  6. Leszczyniecka, M.; Roberts, T.; Dent, P.; Grant, S.; Fisher, P.B. Differentiation therapy of human cancer: Basic science and clinical applications. Pharmacol. Ther. 2001, 90, 105–156. [Google Scholar] [CrossRef]
  7. Hu, J.; Liu, Y.F.; Wu, C.F.; Xu, F.; Shen, Z.X.; Zhu, Y.M.; Li, J.M.; Tang, W.; Zhao, W.L.; Wu, W. Long-term efficacy and safety of all-trans retinoic acid/arsenic trioxide-based therapy in newly diagnosed acute promyelocytic leukemia. Proc. Natl. Acad. Sci. USA 2009, 106, 3342–3347. [Google Scholar] [CrossRef] [PubMed]
  8. Zhou, J.; Zhang, Y.; Li, J.; Li, X.; Hou, J.; Zhao, Y.; Liu, X.; Han, X.; Hu, L.; Wang, S. Single-agent arsenic trioxide in the treatment of children with newly diagnosed acute promyelocytic leukemia. Blood 2010, 115, 1697–1702. [Google Scholar] [CrossRef] [PubMed]
  9. Lallemand-Breitenbach, V.; Zhu, J.; Chen, Z.; de The, H. Curing APL through PML/RARA degradation by As2O3. Trends Mol. Med. 2012, 18, 36–42. [Google Scholar] [CrossRef] [PubMed]
  10. Isakson, P.; Bjoras MBoe, S.O.; Simonsen, A. Autophagy contributes to therapy-induced degradation of the PML/RARA oncoprotein. Blood 2010, 116, 2324–2331. [Google Scholar] [CrossRef] [PubMed]
  11. Nisole, S.; Maroui, M.A.; Mascle, X.H.; Aubry, M.; Chelbialix, M.K. Differential roles of PML isoforms. Front. Oncol. 2013, 3, 125. [Google Scholar] [CrossRef] [PubMed]
  12. Zhang, X.W.; Yan, X.J.; Zhou, Z.R.; Yang, F.F.; Wu, Z.Y.; Sun, H.B.; Liang, W.X.; Song, A.X.; Lallemand-Breitenbach, V.; Jeanne, M. Arsenic trioxide controls the fate of the PML-RARα oncoprotein by directly binding PML. Science 2010, 328, 240–243. [Google Scholar] [CrossRef] [PubMed]
  13. Liang, S.; Zhang, J. Role of promyelocytic leukemia (PML) sumolation in nuclear body formation, 11s proteasome recruitment, and As2O3-induced pml or PML/retinoic acid receptor α degradation. J. Exp. Med. 2001, 193, 1361–1371. [Google Scholar]
  14. Lallemandbreitenbach, V.; Jeanne, M.; Benhenda, S.; Nasr, R.; Lei, M.; Peres, L.; Zhou, J.; Zhu, J.; Raught, B.; de The, H. Arsenic degrades PML or PML-RARα through a sumo-triggered RNF4/ubiquitin-mediated pathway. Nat. Cell Biol. 2008, 10, 547–555. [Google Scholar] [CrossRef] [PubMed]
  15. Fung, T.K.; Chi, W.E.S. Overcoming treatment resistance in acute promyelocytic leukemia and beyond. Oncotarget 2013, 4, 1128–1129. [Google Scholar] [CrossRef] [PubMed]
  16. Lehmann-Che, J.; Bally, C.; de The, H. Resistance to therapy in acute promyelocytic leukemia. N. Engl. J. Med. 2014, 371, 1170–1172. [Google Scholar] [CrossRef] [PubMed]
  17. Goto, E.; Tomita, A.; Hayakawa, F.; Atsumi, A.; Kiyoi, H.; Naoe, T. Missense mutations in PML-RARA are critical for the lack of responsiveness to arsenic trioxide treatment. Blood 2011, 118, 1600–1609. [Google Scholar] [CrossRef] [PubMed]
  18. Tomita, A.; Kiyoi, H.; Naoe, T. Mechanisms of action and resistance to all-trans retinoic acid (ATRA) and arsenic trioxide (As2O3) in acute promyelocytic leukemia. Int. J. Hematol. 2013, 97, 717–725. [Google Scholar] [CrossRef] [PubMed]
  19. Lou, Y.; Ma, Y.; Sun, J.; Ye, X.; Pan, H.; Wang, Y.; Qian, W.; Meng, H.; Mai, W.; He, J. Evaluating frequency of PML-RARA mutations and conferring resistance to arsenic trioxide-based therapy in relapsed acute promyelocytic leukemia patients. Ann. Hematol. 2015, 94, 1829–1837. [Google Scholar] [CrossRef] [PubMed]
  20. Cuchet, D.; Sykes, A.; Nicolas, A.; Orr, A.; Murray, J.; Sirma, H.; Heeren, J.; Bartelt, A.; Everett, R.D. PML isoforms I and II participate in PML-dependent restriction of HSV-1 replication. J. Cell Sci. 2011, 124, 280–291. [Google Scholar] [CrossRef] [PubMed]
  21. Hands, K.J.; Cuchetlourenco, D.; Everett, R.D.; Hay, R.T. Pml isoforms in response to arsenic: High-resolution analysis of PML body structure and degradation. J. Cell Sci. 2014, 127, 365–375. [Google Scholar] [CrossRef] [PubMed]
  22. Geng, Y.; Monajembashi, S.; Shao, A.; Cui, D.; He, W.; Chen, Z.; Hemmerich, P.; Tang, J. Contribution of the C-terminal regions of promyelocytic leukemia protein (PML) isoforms II and V to PML nuclear body formation. J. Biol. Chem. 2012, 287, 30729–30742. [Google Scholar] [CrossRef] [PubMed]
  23. Maroui, M.A.; Kheddache-Atmane, S.; El, A.F.; Dianoux, L.; Aubry, M.; Chelbi-Alix, M.K. Requirement of PML SUMO interacting motif for RNF4- or arsenic trioxide-induced degradation of nuclear PML isoforms. PLoS ONE 2012, 7, e44949. [Google Scholar] [CrossRef] [PubMed]
  24. Singh, N.; Wadhawan, M.; Tiwari, S.; Kumar, R.; Rathaur, S. Inhibition of setaria cervi protein tyrosine phosphatases by phenylarsine oxide: A proteomic and biochemical study. Acta Trop. 2016, 159, 20–28. [Google Scholar] [CrossRef] [PubMed]
  25. Tatham, M.H.; Geoffroy, M.C.; Shen, L.; Plechanovova, A.; Hattersley, N.; Jaffray, E.G.; Palvimo, J.J.; Hay, R.T. RNF4 is a poly-SUMO-specific E3 ubiquitin ligase required for arsenic-induced PML degradation. Nat. Cell Biol. 2008, 10, 538–546. [Google Scholar] [CrossRef] [PubMed]
  26. Zhu, H.H.; Qin, Y.Z.; Huang, X.J. Resistance to arsenic therapy in acute promyelocytic leukemia. N. Engl. J. Med. 2014, 370, 1864–1866. [Google Scholar] [CrossRef] [PubMed]
  27. Estrov, Z.; Manna, S.K.; Harris, D.; Van, Q.; Estey, E.H.; Kantarjian, H.M.; Talpaz, M.; Aggarwal, B.B. Phenylarsine oxide blocks interleukin-1β-induced activation of the nuclear transcription factor NF-κB, inhibits proliferation, and induces apoptosis of acute myelogenous leukemia cells. Blood 1999, 94, 2844–2853. [Google Scholar] [PubMed]
  28. Hatakeyama, S. Trim proteins and cancer. Nat. Rev. Cancer 2011, 11, 792–804. [Google Scholar] [CrossRef] [PubMed]
  29. Wang, Q.Q.; Zhou, X.Y.; Zhang, Y.F.; Bu, N.; Zhou, J.; Cao, F.L.; Hua, N. Methylated arsenic metabolites bind to PML protein but do not induce cellular differentiation and PML-RARΑ protein degradation. Oncotarget 2015, 6, 25646–25659. [Google Scholar] [CrossRef] [PubMed]
Figure 1. Effects of arsenite (iAsIII) on solubility changes in PML-IV, PML-V and its mutated PML-IV (A216V) in 293T cells. HEK293T cells were transfected with plasmids encoding Flag-tagged PML-IV, PML-V and point mutated PML-IV (A216V) for 24 h. After transfection, PML-transfected cells (i.e., IV and V) were exposed to 4 µM of iAsIII at indicated time points (12, 24, 48 and 72 h) to determine the solubility changes of promyelocytic leukemia (PML) proteins in supernatant (S) and detergent-insoluble pellet fractions (P) by Western blot (A,B). PML-IV (A216V)-expressed cells (i.e., iAsIII—resistant mutant PML) were treated with 4, 10 and 20 µM of iAsIII for 6 h, and then determine the PML protein solubility changes (C). The white triangle (△) indicates the protein degradation and black triangle (▲) indicates modification. PML protein and β-actin were detected by using anti-Flag and anti-β-actin primary antibodies (respectively).
Figure 1. Effects of arsenite (iAsIII) on solubility changes in PML-IV, PML-V and its mutated PML-IV (A216V) in 293T cells. HEK293T cells were transfected with plasmids encoding Flag-tagged PML-IV, PML-V and point mutated PML-IV (A216V) for 24 h. After transfection, PML-transfected cells (i.e., IV and V) were exposed to 4 µM of iAsIII at indicated time points (12, 24, 48 and 72 h) to determine the solubility changes of promyelocytic leukemia (PML) proteins in supernatant (S) and detergent-insoluble pellet fractions (P) by Western blot (A,B). PML-IV (A216V)-expressed cells (i.e., iAsIII—resistant mutant PML) were treated with 4, 10 and 20 µM of iAsIII for 6 h, and then determine the PML protein solubility changes (C). The white triangle (△) indicates the protein degradation and black triangle (▲) indicates modification. PML protein and β-actin were detected by using anti-Flag and anti-β-actin primary antibodies (respectively).
Figure 2. Determination of localization of PML-IV, PML-V and its mutant PML-IV (A216V) in HEK293T cells. Flag-tagged PML-IV, PML-V and point mutated PML-IV (A216V) plasmids were transfected into HEK293T cells for 24 h. After transfection, PML-transfected cells (i.e., PML-IV and -V) were exposed to 4 µM of iAsIII for 12 h and then determined by confocal microscopy, with PML primary antibody. Red and green fluorescence indicate PML and small ubiquitin-like modifier-1 (SUMO-1) proteins, respectively; while yellow fluorescence indicates the localization of PML and SUMO-1 proteins. Scale bar, 10 µm.
Figure 2. Determination of localization of PML-IV, PML-V and its mutant PML-IV (A216V) in HEK293T cells. Flag-tagged PML-IV, PML-V and point mutated PML-IV (A216V) plasmids were transfected into HEK293T cells for 24 h. After transfection, PML-transfected cells (i.e., PML-IV and -V) were exposed to 4 µM of iAsIII for 12 h and then determined by confocal microscopy, with PML primary antibody. Red and green fluorescence indicate PML and small ubiquitin-like modifier-1 (SUMO-1) proteins, respectively; while yellow fluorescence indicates the localization of PML and SUMO-1 proteins. Scale bar, 10 µm.
Figure 3. Organic arsenic compound phenylarsine oxide (PAO) is capable of inducing the arsenite-resistant mutant PML (A216V) protein solubility changes. Flag-PML-V transfected 293T cells were exposed to PAO in a concentration-dependent manner (2, 4 and 8 μM) for 1 h (A); or in a time-dependent manner (1, 3 and 6 h) at 4 µM (B) to determine the PML-V protein solubility changes. Likewise, Flag-PML-IV (A216V) transfected 293T cells were exposed to PAO at indicated concentrations (0.1, 0.5, 1, 2 and 5 μM) (C) to determine the protein solubility changes. The star (★) indicates non-specific protein bands, the white triangle (△) indicates the protein degradation and black triangle (▲) indicates protein modification. Protein expressions were detected using anti-Flag and anti-β-actin primary antibodies, respectively.
Figure 3. Organic arsenic compound phenylarsine oxide (PAO) is capable of inducing the arsenite-resistant mutant PML (A216V) protein solubility changes. Flag-PML-V transfected 293T cells were exposed to PAO in a concentration-dependent manner (2, 4 and 8 μM) for 1 h (A); or in a time-dependent manner (1, 3 and 6 h) at 4 µM (B) to determine the PML-V protein solubility changes. Likewise, Flag-PML-IV (A216V) transfected 293T cells were exposed to PAO at indicated concentrations (0.1, 0.5, 1, 2 and 5 μM) (C) to determine the protein solubility changes. The star (★) indicates non-specific protein bands, the white triangle (△) indicates the protein degradation and black triangle (▲) indicates protein modification. Protein expressions were detected using anti-Flag and anti-β-actin primary antibodies, respectively.
Figure 4. Effects of PAO on induction of SUMOylation and ubiquitination. Flag-PML-IV or PML-IV (A216V) over-expressed HEK293T cells were treated with 4 µM iAsIII for 6 h or PAO at indicated time points (1, 3 and 6 h) to determine the PML-IV (A); and PML-IV (A216V) (B) protein solubility changes; SUMOylation (C,D); and ubiquitination (E,F). The star (★) indicates non-specific protein bands, the white triangle (△) indicates the protein degradation and black triangle (▲) indicates protein modification. SUMOylation and ubiquitination of PML protein in supernatant and pellet fractions were detected using anti-SUMO-1 and anti-Ub primary antibodies, respectively.
Figure 4. Effects of PAO on induction of SUMOylation and ubiquitination. Flag-PML-IV or PML-IV (A216V) over-expressed HEK293T cells were treated with 4 µM iAsIII for 6 h or PAO at indicated time points (1, 3 and 6 h) to determine the PML-IV (A); and PML-IV (A216V) (B) protein solubility changes; SUMOylation (C,D); and ubiquitination (E,F). The star (★) indicates non-specific protein bands, the white triangle (△) indicates the protein degradation and black triangle (▲) indicates protein modification. SUMOylation and ubiquitination of PML protein in supernatant and pellet fractions were detected using anti-SUMO-1 and anti-Ub primary antibodies, respectively.
Figure 5. Comparison of different chemical compounds on induction of PML-IV or mutant PML-IV (A216V) proteins solubility changes. (A) The molecular structures of PAO, Nitrosobenzene (NB) and monomethylarsonous acid (MMAIII). Flag-PML-IV or PML-IV (A216V) over-expressed HEK293T cells were treated with 4 µM phenylarsine oxide (PAO), 100 nM Okadaic acid (OA) and 4 μM Nitrosobenzene (NB) for 6 h; and then the PML-IV (B); and PML-IV (A216V) (C) protein solubility changes were determined by Western blot. Similarly, PML-IV (D); and PML-IV (A216V) (E) protein solubility changes were also determined in case of MMAIII treatment in a concentration-dependent manner (i.e., 4, 10, 20 and 50 μM). The white triangle (△) indicates the protein degradation and black triangle (▲) indicates protein modification. PML protein and β-actin were detected using anti-Flag and anti-β-actin primary antibodies, respectively.
Figure 5. Comparison of different chemical compounds on induction of PML-IV or mutant PML-IV (A216V) proteins solubility changes. (A) The molecular structures of PAO, Nitrosobenzene (NB) and monomethylarsonous acid (MMAIII). Flag-PML-IV or PML-IV (A216V) over-expressed HEK293T cells were treated with 4 µM phenylarsine oxide (PAO), 100 nM Okadaic acid (OA) and 4 μM Nitrosobenzene (NB) for 6 h; and then the PML-IV (B); and PML-IV (A216V) (C) protein solubility changes were determined by Western blot. Similarly, PML-IV (D); and PML-IV (A216V) (E) protein solubility changes were also determined in case of MMAIII treatment in a concentration-dependent manner (i.e., 4, 10, 20 and 50 μM). The white triangle (△) indicates the protein degradation and black triangle (▲) indicates protein modification. PML protein and β-actin were detected using anti-Flag and anti-β-actin primary antibodies, respectively.
Figure 6. Effect of adriamycin (ADR) on induction of PML-IV protein solubility changes in 293T cells. Flag-PML-IV overexpressed 293T cells were exposed to: (A) low (i.e., 5, 10 and 15 µM); and (B) high concentrations (i.e., 20, 50 and 100 µM) of ADR for 12 or 24 h. Additionally, in both cases, 4 μM of PAO were also used to compare the effects of PAO with adriamycin on PML-IV protein solubility changes. After treatment, PML-IV protein solubility changes were determined by Western blot with Flag antibody. The star (★) indicates non-specific protein bands, the white triangle (△) indicates the protein degradation and black triangle (▲) indicates protein modification.
Figure 6. Effect of adriamycin (ADR) on induction of PML-IV protein solubility changes in 293T cells. Flag-PML-IV overexpressed 293T cells were exposed to: (A) low (i.e., 5, 10 and 15 µM); and (B) high concentrations (i.e., 20, 50 and 100 µM) of ADR for 12 or 24 h. Additionally, in both cases, 4 μM of PAO were also used to compare the effects of PAO with adriamycin on PML-IV protein solubility changes. After treatment, PML-IV protein solubility changes were determined by Western blot with Flag antibody. The star (★) indicates non-specific protein bands, the white triangle (△) indicates the protein degradation and black triangle (▲) indicates protein modification.

Share and Cite

MDPI and ACS Style

Jiang, Y.H.; Chen, Y.J.; Wang, C.; Lan, Y.F.; Yang, C.; Wang, Q.Q.; Hussain, L.; Maimaitiying, Y.; Islam, K.; Naranmandura, H. Phenylarsine Oxide Can Induce the Arsenite-Resistance Mutant PML Protein Solubility Changes. Int. J. Mol. Sci. 2017, 18, 247. https://doi.org/10.3390/ijms18020247

AMA Style

Jiang YH, Chen YJ, Wang C, Lan YF, Yang C, Wang QQ, Hussain L, Maimaitiying Y, Islam K, Naranmandura H. Phenylarsine Oxide Can Induce the Arsenite-Resistance Mutant PML Protein Solubility Changes. International Journal of Molecular Sciences. 2017; 18(2):247. https://doi.org/10.3390/ijms18020247

Chicago/Turabian Style

Jiang, Yu Han, Ye Jia Chen, Chao Wang, Yong Fei Lan, Chang Yang, Qian Qian Wang, Liaqat Hussain, Yasen Maimaitiying, Khairul Islam, and Hua Naranmandura. 2017. "Phenylarsine Oxide Can Induce the Arsenite-Resistance Mutant PML Protein Solubility Changes" International Journal of Molecular Sciences 18, no. 2: 247. https://doi.org/10.3390/ijms18020247

APA Style

Jiang, Y. H., Chen, Y. J., Wang, C., Lan, Y. F., Yang, C., Wang, Q. Q., Hussain, L., Maimaitiying, Y., Islam, K., & Naranmandura, H. (2017). Phenylarsine Oxide Can Induce the Arsenite-Resistance Mutant PML Protein Solubility Changes. International Journal of Molecular Sciences, 18(2), 247. https://doi.org/10.3390/ijms18020247

Note that from the first issue of 2016, this journal uses article numbers instead of page numbers. See further details here.

Article Metrics

Back to TopTop