Abnormal Paraplegin Expression in Swollen Neurites, τ- and α-Synuclein Pathology in a Case of Hereditary Spastic Paraplegia SPG7 with an Ala510Val Mutation
Abstract
:1. Introduction
2. Results and Discussion
2.1. Case Report

2.2. Whole Genome Sequencing
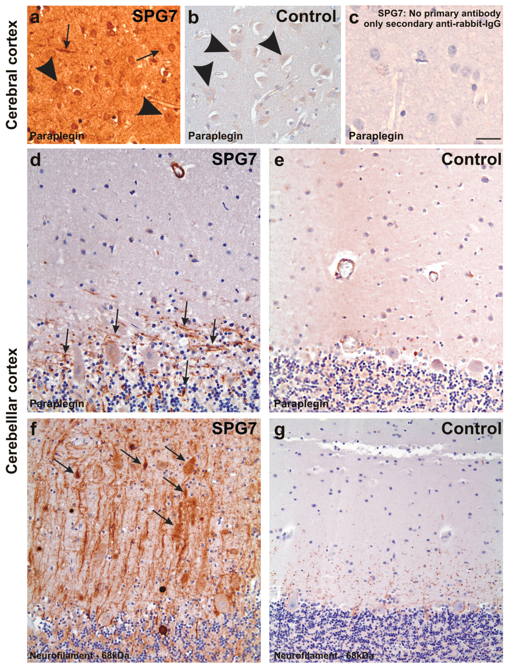
2.3. Neuropathology




| Region | Obvious Neuron Loss/Astrogliosis (H&E) | Swollen Neurites (NFP 68, Paraplegin) | Gallyas | τ-Pathology | α-Synuclein Pathology |
|---|---|---|---|---|---|
| Cortex | |||||
| Frontal cortex (A 6) | − | + | − | − | − |
| Parietal cortex (A 7) | − | n.a. | − | − | − |
| Central cortex (A 1–5) | − | n.a. | − | − | − |
| Temporal cortex (A 36) | − | n.a. | − | − | − |
| Occipital cortex (A 17–19) | − | n.a. | − | − | LN |
| Cingulate gyrus (A 24) | − | n.a. | − | − | LB |
| Entorhinal region (A 28) | − | n.a. | − | − | − |
| Transentorhinal region (A 35) | − | n.a. | NFT, NT | NFT, NT | − |
| Insular Cortex | − | n.a. | − | − | − |
| Hippocampus | |||||
| CA1-subiculum | − | n.a. | − | − | − |
| CA2 | − | n.a. | − | − | − |
| CA3 | − | n.a. | − | − | − |
| CA4 | − | n.a. | − | − | − |
| Dentate Gyrus | − | n.a. | − | − | − |
| Basal ganglia | |||||
| Globus pallidus + | − | n.a. | NFT, NT, CB | NFT, NT, CB | LB, LN |
| Putamen + | − | n.a. | NFT, NT, CB, AG | NFT, NT, CB, AG | LB, LN, IC-Granules |
| Caudate nucleus + | − | n.a. | NFT, NT | NFT, NT | LB, LN, IC-Granules |
| Basal nucleus of Meynert | ++ | n.a. | NFT, NT | NFT, NT | LB, LN, IC-Granules |
| Amygdala | − | n.a. | NFT, NT | NFT, NT | LB, LN |
| Hypothalamus | |||||
| Mammillary body | − | n.a. | − | − | − |
| Supramammillary nucleus | − | n.a. | NFT, NT | NFT, NT | LB, LB, IC-Granules |
| Tuberomammillary nucleus | − | n.a. | − | − | LB, LB, IC-Granules |
| Lateral mammillary nucleus | − | n.a. | − | − | LB, LB, IC-Granules |
| Lateral hypothalamic area | − | n.a. | NFT, NT | NFT, NT | LB, LB, IC-Granules |
| Thalamus | |||||
| Pulvinar | − | n.a. | NFT, NT | NFT, NT | LB, LB |
| Lateral genucilate body | − | n.a. | − | − | − |
| Medial geniculate body | − | n.a. | − | − | − |
| Midbrain | |||||
| Substantia nigra + | ++ | + | NFT, NT | NFT, NT | LB, LN |
| Nucleus ruber | − | − | − | − | − |
| Central gray | − | (+) | NFT, NT | NFT, NT | LB |
| Oral raphe nucleus | − | − | NFT, NT | NFT, NT | LB |
| Colliculi inferior | − | + | NT | NT | LB |
| Deep mesencephalic nucleus | − | n.a. | NFT, NT | NFT, NT | LB |
| rostral interstitial nucleus of the medial longitudinal fascicle * | − | n.a. | NT | NT | − |
| Interstitial nucleus of Cajal * | − | n.a. | NFT, NT | NFT, NT | − |
| Pons | |||||
| Locus coeruleus | (+) | − | NFT, NT | NFT, NT | LB |
| Oral raphe nucleus | − | (+) | NFT, NT | NFT, NT | − |
| Paramedial pontine reticular formation | − | (+) | NFT, NT | NFT, NT | − |
| Pontine nuclei | − | + | NFT, NT | NFT, NT | − |
| Parabrachial nuclei | − | − | NT | NT | − |
| Medulla oblongata | |||||
| Vagal nerve nucleus | − | n.a. | − | - | LB, LN |
| Inferior olivary nucleus + | + | n.a. | NFT, NT | NFT, NT | − |
| Intermediate reticular zone | − | n.a. | NFT, NT | NFT, NT | LB, LN |
| Vestibular nerve nuclei | − | n.a. | NFT, NT | NFT, NT | − |
| Cerebellum | |||||
| Cerebellar cortex + | (+) | ++ | − | − | − |
| Dentate nucleus + | ++ | (+) | NFT, NT, CB | NFT, NT, CB | − |
2.4. Discussion
3. Experimental Section
3.1. Neuropathology
| Case Number | Age | Gender | Diagnosis | Aβ-Phase (MTL) | Braak-NFT Stage | CERAD-Score | NIA-AA Degree of AD | Braak-LBD Stage | Presence of Infarcts/Hemorrhages | PMI |
|---|---|---|---|---|---|---|---|---|---|---|
| 1 | 70 | m | SPG7 | 0 | 1 | 0 | 0 | 5 | 0 | 96 |
| 2 | 62 | m | control | 0 | 0 | 0 | 0 | 0 | 0 | 48 |
| 3 | 67 | m | control | 1 | 1 | 0 | 1 | 0 | 0 | 24 |
| 4 | 69 | f | control | 0 | 0 | 0 | 0 | 0 | 0 | 24 |
| 5 | 80 | f | control (mild AD + AGD) | 3 | 2 | 0 | 1 | 3 | 1 | 12 |
| 6 | 56 | m | control | 0 | 0 | 0 | 0 | 0 | 0 | 48 |
3.2. Whole Genome Sequencing
4. Conclusions
Supplementary Materials
Acknowledgments
Author Contributions
Conflicts of Interest
References
- Pfeffer, G.; Pyle, A.; Griffin, H.; Miller, J.; Wilson, V.; Turnbull, L.; Fawcett, K.; Sims, D.; Eglon, G.; Hadjivassiliou, M.; et al. SPG7 mutations are a common cause of undiagnosed ataxia. Neurology 2015, 84, 1174–1176. [Google Scholar] [CrossRef] [PubMed]
- Klebe, S.; Depienne, C.; Gerber, S.; Challe, G.; Anheim, M.; Charles, P.; Fedirko, E.; Lejeune, E.; Cottineau, J.; Brusco, A.; et al. Spastic paraplegia gene 7 in patients with spasticity and/or optic neuropathy. Brain: J. Neurol. 2012, 135, 2980–2993. [Google Scholar] [CrossRef] [PubMed]
- Van Gassen, K.L.; van der Heijden, C.D.; de Bot, S.T.; den Dunnen, W.F.; van den Berg, L.H.; Verschuuren-Bemelmans, C.C.; Kremer, H.P.; Veldink, J.H.; Kamsteeg, E.J.; Scheffer, H.; et al. Genotype-phenotype correlations in spastic paraplegia type 7: A study in a large Dutch cohort. Brain: J. Neurol. 2012, 135, 2994–3004. [Google Scholar] [CrossRef] [PubMed]
- Casari, G.; de Fusco, M.; Ciarmatori, S.; Zeviani, M.; Mora, M.; Fernandez, P.; de Michele, G.; Filla, A.; Cocozza, S.; Marconi, R.; et al. Spastic paraplegia and oxphos impairment caused by mutations in paraplegin, a nuclear-encoded mitochondrial metalloprotease. Cell 1998, 93, 973–983. [Google Scholar] [CrossRef]
- Pfeffer, G.; Gorman, G.S.; Griffin, H.; Kurzawa-Akanbi, M.; Blakely, E.L.; Wilson, I.; Sitarz, K.; Moore, D.; Murphy, J.L.; Alston, C.L.; et al. Mutations in the SPG7 gene cause chronic progressive external ophthalmoplegia through disordered mitochondrial DNA maintenance. Brain: J. Neurol. 2014, 137, 1323–1336. [Google Scholar] [CrossRef] [PubMed]
- Di Bella, D.; Lazzaro, F.; Brusco, A.; Plumari, M.; Battaglia, G.; Pastore, A.; Finardi, A.; Cagnoli, C.; Tempia, F.; Frontali, M.; et al. Mutations in the mitochondrial protease gene AFG3L2 cause dominant hereditary ataxia SCA28. Nat. Genet. 2010, 42, 313–321. [Google Scholar] [CrossRef] [PubMed]
- Crary, J.F.; Trojanowski, J.Q.; Schneider, J.A.; Abisambra, J.F.; Abner, E.L.; Alafuzoff, I.; Arnold, S.E.; Attems, J.; Beach, T.G.; Bigio, E.H.; et al. Primary age-related tauopathy (PART): A common pathology associated with human aging. Acta Neuropathol. 2014, 128, 755–766. [Google Scholar] [CrossRef] [PubMed]
- Hyman, B.T.; Phelps, C.H.; Beach, T.G.; Bigio, E.H.; Cairns, N.J.; Carrillo, M.C.; Dickson, D.W.; Duyckaerts, C.; Frosch, M.P.; Masliah, E.; et al. National institute on Aging-Alzheimer’s association guidelines for the neuropathologic assessment of Alzheimer’s disease. Alzheimers Dement. 2012, 8, 1–13. [Google Scholar] [CrossRef] [PubMed]
- Williams, D.R.; Lees, A.J. Progressive supranuclear palsy: Clinicopathological concepts and diagnostic challenges. Lancet Neurol. 2009, 8, 270–279. [Google Scholar] [CrossRef]
- Forman, M.S.; Schmidt, M.L.; Kasturi, S.; Perl, D.P.; Lee, V.M.; Trojanowski, J.Q. Tau and α-synuclein pathology in amygdala of Parkinsonism-dementia complex patients of Guam. Am. J. Pathol. 2002, 160, 1725–1731. [Google Scholar] [CrossRef]
- Kovacs, G.G. Invited review: Neuropathology of tauopathies: Principles and practice. Neuropathol. Appl. Neurobiol. 2015, 41, 3–23. [Google Scholar] [CrossRef] [PubMed]
- Schwab, C.; Steele, J.C.; McGeer, P.L. Pyramidal neuron loss is matched by ghost tangle increase in Guam Parkinsonism-dementia hippocampus. Acta Neuropathol. 1998, 96, 409–416. [Google Scholar] [CrossRef] [PubMed]
- Santpere, G.; Ferrer, I. Delineation of early changes in cases with progressive supranuclear palsy-like pathology. Astrocytes in striatum are primary targets of tau phosphorylation and GFAP oxidation. Brain Pathol. 2009, 19, 177–187. [Google Scholar] [CrossRef] [PubMed]
- Büttner-Ennever, J.A.; Horn, A.K.E. Reticular Formation: Eye Movement, Gaze, and Blinks. In The Human Nervous System, 2nd ed.; Paxinos, G., Mai, J.K., Eds.; Elsevier: Amsterdam, The Netherlands, 2004; pp. 479–510. [Google Scholar]
- Ebneth, A.; Godemann, R.; Stamer, K.; Illenberger, S.; Trinczek, B.; Mandelkow, E. Overexpression of tau protein inhibits kinesin-dependent trafficking of vesicles, mitochondria, and endoplasmic reticulum: Implications for Alzheimer’s disease. J. Cell Biol. 1998, 143, 777–794. [Google Scholar] [CrossRef] [PubMed]
- Trinczek, B.; Ebneth, A.; Mandelkow, E.M.; Mandelkow, E. Tau regulates the attachment/detachment but not the speed of motors in microtubule-dependent transport of single vesicles and organelles. J. Cell Sci. 1999, 112, 2355–2367. [Google Scholar] [PubMed]
- Wedding, I.M.; Koht, J.; Tran, G.T.; Misceo, D.; Selmer, K.K.; Holmgren, A.; Frengen, E.; Bindoff, L.; Tallaksen, C.M.; Tzoulis, C. Spastic paraplegia type 7 is associated with multiple mitochondrial DNA deletions. PLoS ONE 2014, 9, e86340. [Google Scholar] [CrossRef] [PubMed]
- Betts-Henderson, J.; Jaros, E.; Krishnan, K.J.; Perry, R.H.; Reeve, A.K.; Schaefer, A.M.; Taylor, R.W.; Turnbull, D.M. α-Synuclein pathology and Parkinsonism associated with POLG1 mutations and multiple mitochondrial DNA deletions. Neuropathol. Appl. Neurobiol. 2009, 35, 120–124. [Google Scholar] [PubMed]
- Ries, V.; Oertel, W.H.; Hoglinger, G.U. Mitochondrial dysfunction as a therapeutic target in progressive supranuclear palsy. J. Mol. Neurosci. 2011, 45, 684–689. [Google Scholar] [CrossRef] [PubMed]
- Braak, H.; Braak, E. Neuropathological stageing of Alzheimer-related changes. Acta Neuropathol. 1991, 82, 239–259. [Google Scholar] [CrossRef] [PubMed]
- Braak, H.; del Tredici, K.; Rub, U.; de Vos, R.A.; Jansen Steur, E.N.; Braak, E. Staging of brain pathology related to sporadic Parkinson’s disease. Neurobiol. Aging 2003, 24, 197–211. [Google Scholar] [CrossRef]
- Mirra, S.S.; Heyman, A.; McKeel, D.; Sumi, S.M.; Crain, B.J.; Brownlee, L.M.; Vogel, F.S.; Hughes, J.P.; van Belle, G.; Berg, L. The consortium to establish a registry for Alzheimer’s disease (CERAD). Part II. Standardization of the neuropathologic assessment of Alzheimer’s disease. Neurology 1991, 41, 479–486. [Google Scholar] [CrossRef] [PubMed]
- Thal, D.R.; Rüb, U.; Orantes, M.; Braak, H. Phases of Aβ-deposition in the human brain and its relevance for the development of AD. Neurology 2002, 58, 1791–1800. [Google Scholar] [CrossRef] [PubMed]
© 2015 by the authors; licensee MDPI, Basel, Switzerland. This article is an open access article distributed under the terms and conditions of the Creative Commons Attribution license (http://creativecommons.org/licenses/by/4.0/).
Share and Cite
Thal, D.R.; Züchner, S.; Gierer, S.; Schulte, C.; Schöls, L.; Schüle, R.; Synofzik, M. Abnormal Paraplegin Expression in Swollen Neurites, τ- and α-Synuclein Pathology in a Case of Hereditary Spastic Paraplegia SPG7 with an Ala510Val Mutation. Int. J. Mol. Sci. 2015, 16, 25050-25066. https://doi.org/10.3390/ijms161025050
Thal DR, Züchner S, Gierer S, Schulte C, Schöls L, Schüle R, Synofzik M. Abnormal Paraplegin Expression in Swollen Neurites, τ- and α-Synuclein Pathology in a Case of Hereditary Spastic Paraplegia SPG7 with an Ala510Val Mutation. International Journal of Molecular Sciences. 2015; 16(10):25050-25066. https://doi.org/10.3390/ijms161025050
Chicago/Turabian StyleThal, Dietmar R., Stephan Züchner, Stephan Gierer, Claudia Schulte, Ludger Schöls, Rebecca Schüle, and Matthis Synofzik. 2015. "Abnormal Paraplegin Expression in Swollen Neurites, τ- and α-Synuclein Pathology in a Case of Hereditary Spastic Paraplegia SPG7 with an Ala510Val Mutation" International Journal of Molecular Sciences 16, no. 10: 25050-25066. https://doi.org/10.3390/ijms161025050
APA StyleThal, D. R., Züchner, S., Gierer, S., Schulte, C., Schöls, L., Schüle, R., & Synofzik, M. (2015). Abnormal Paraplegin Expression in Swollen Neurites, τ- and α-Synuclein Pathology in a Case of Hereditary Spastic Paraplegia SPG7 with an Ala510Val Mutation. International Journal of Molecular Sciences, 16(10), 25050-25066. https://doi.org/10.3390/ijms161025050

