The Effect and Mechanism of Tamoxifen-Induced Hepatocyte Steatosis in Vitro
Abstract
:1. Introduction
2. Results
2.1. TAM Induced Lipid Accumulation in HepG2 Cells
2.2. Expression of Genes Regulating Lipid Metabolism
2.3. Regulation of Proteins Involved in Lipid Homeostasis by TAM
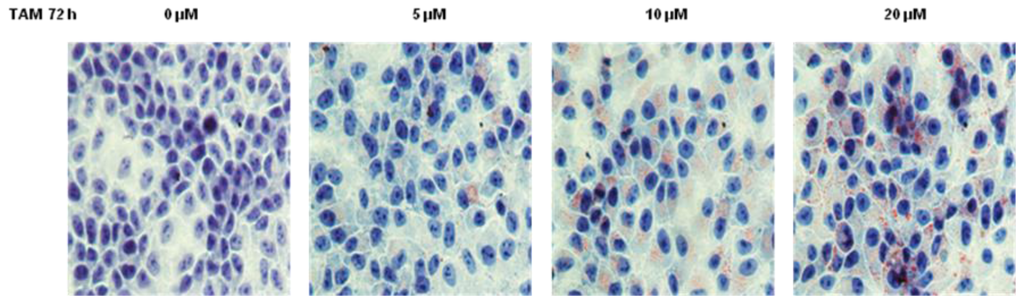
2.4. Effects of TAM on HepG2 Proliferation
3. Discussion
4. Materials and Methods
4.1. Reagents and Antibodies
4.2. Cell Culture and Treatments
4.3. Oil Red O Staining
4.4. Intracellular Lipid Content Assessment Using TG Assay
4.5. RT-PCR and Real-Time PCR
4.6. Western Blot Analysis
4.7. Cell Viability Assay
4.8. Statistical Analysis
5. Conclusions
Acknowledgments
Conflicts of Interest
References
- Boyle, P. Triple-negative breast cancer: Epidemiological considerations and recommendations. Ann. Oncol. 2012, 23, vi7–vi12. [Google Scholar]
- Zeng, Z.J.; Li, J.H.; Zhang, Y.J.; Zhao, S.T. Optimal combination of radiotherapy and endocrine drugs in breast cancer treatment. Cancer Radiother. 2013, 17, 208–214. [Google Scholar]
- Afonso, N. Women at high risk for breast cancer—What the primary care provider needs to know. J. Am. Board Fam. Med. 2009, 22, 43–50. [Google Scholar]
- Colozza, M.; Califano, R.; Minenza, E.; Dinh, P.; Azambuja, E. Aromatase inhibitors: A new reality for the adjuvant endocrine treatment of early-stage breast cancer in postmenopausal women. Mini Rev. Med. Chem. 2008, 8, 564–574. [Google Scholar]
- Tomao, F.; Spinelli, G.; Vici, P.; Pisanelli, G.C.; Cascialli, G.; Frati, L.; Panici, P.B.; Tomao, S. Current role and safety profile of aromatase inhibitors in early breast cancer. Expert Rev. Anticancer Ther. 2011, 11, 1253–1263. [Google Scholar]
- Lee, M.H.; Kim, J.W.; Kim, J.H.; Kang, K.S.; Kong, G.; Lee, M.O. Gene expression profiling of murine hepatic steatosis induced by tamoxifen. Toxicol. Lett. 2010, 199, 416–424. [Google Scholar]
- Cole, L.K.; Jacobs, R.L.; Vance, D.E. Tamoxifen induces triacylglycerol accumulation in the mouse liver by activation of fatty acid synthesis. Hepatology 2010, 52, 1258–1265. [Google Scholar]
- Gómez-Lechón, M.J.; Donato, M.T.; Castell, J.V.; Jover, R. Human hepatocytes as a tool for studying toxicity and drug metabolism. Curr. Drug Metab. 2003, 4, 292–312. [Google Scholar]
- Gómez-Lechón, M.J.; Donato, M.T.; Castell, J.V.; Jover, R. Human hepatocytes in primary culture: The choice to investigate drug metabolism in man. Curr. Drug Metab. 2004, 5, 443–462. [Google Scholar]
- Gómez-Lechón, M.J.; Donato, M.T.; Martínez-Romero, A.; Jiménez, N.; Castell, J.V.; O’Connor, J.E. A human hepatocellular in vitro model to investigate steatosis. Chem. Biol. Interact. 2007, 165, 106–116. [Google Scholar]
- Nishino, M.; Hayakawa, K.; Nakamura, Y.; Morimoto, T.; Mukaihara, S. Effects of tamoxifen on hepatic fat content and the development of hepatic steatosis in patients with breast cancer: High frequency of involve-ment and rapid reversal after completion of tamoxifen therapy. AJR Am. J. Roentgenol. 2003, 180, 129–134. [Google Scholar]
- Murata, Y.; Ogawa, Y.; Saibara, T.; Nishioka, A.; Fujiwara, Y.; Fukumoto, M.; Inomata, T.; Enzan, H.; Onishi, S.; Yoshida, S. Unrecognized hepatic steatosis and non-alcoholic steatohepatitis in adjuvant tamoxifen for breast cancer patients. Oncol. Rep. 2000, 7, 1299–1304. [Google Scholar]
- Bruno, S.; Maisonneuve, P.; Castellana, P.; Rotmensz, N.; Rossi, S.; Maggioni, M.; Persico, M.; Colombo, A.; Monasterolo, F.; Casadei-Giunchi, D.; et al. Incidence and risk factors for non-alcoholic steatohepatitis: Prospective study of 5408 women enrolled in Italian tamoxifen chemo-prevention trial. BMJ 2005, 330, 932. [Google Scholar]
- Akhondi-Meybodi, M.; Mortazavy-Zadah, M.R.; Hashemian, Z.; Moaiedi, M. Incidence and risk factors for non-alcoholic steatohepatitis in females treated with tamoxifen for breast cancer. Arab. J. Gastroenterol. 2011, 12, 34–36. [Google Scholar]
- Lelliott, C.J.; López, M.; Curtis, R.K.; Parker, N.; Laudes, M.; Yeo, G.; Jimenez-Liñan, M.; Grosse, J.; Saha, A.K.; Wiggins, D.; et al. Transcirpt and metabolite analysis of the effects of tamoxifen in rat liver reveals inhibition of fatty acid synthesis in the presence of hepatic steatosis. FASEB J. 2005, 19, 1108–1119. [Google Scholar]
- Donnelly, K.L.; Smith, C.I.; Schwarzenberg, S.J.; Jessurun, J.; Boldt, M.D.; Parks, E.J. Sources of fatty acids stored in liver and secreted via lipoproteins in patients with nonalcoholic fatty liver disease. J. Clin. Investig. 2005, 115, 1343–1351. [Google Scholar]
- Brown, M.S.; Goldstein, J.L. The SREBP pathway: Regulation of cholesterol metabolism by proteolysis of a membrane-bound transcription factor. Cell 1997, 89, 331–340. [Google Scholar]
- Pettinelli, P.; Obregón, A.M.; Videla, L.A. Molecular mechanisms of steatosis in nonalcoholic fatty liver disease. Nutr. Hosp. 2011, 26, 441–450. [Google Scholar]
- Horton, J.D.; Goldstein, J.L.; Brown, M.S. SREBPs: Activators of the complete program of cholesterol and fatty acid synthesis in the liver. J. Clin. Investig. 2002, 109, 1125–1131. [Google Scholar]
- Horton, J.D.; Shah, N.A.; Warringto, J.A.; Anderson, N.N.; Park, S.W.; Brown, M.S.; Goldstein, J.L. Combined analysis of oligonucleotide microarray data from transgenic and knockout mice identifies direct SREBP target genes. Proc. Natl. Acad. Sci. USA 2003, 100, 12027–12032. [Google Scholar]
- Chow, J.D.; Jones, M.E.; Prelle, K.; Simpson, E.R.; Boon, W.C. As elective estrogen receptor an agonist ameliorates hepatic steatosis in the male aromatase knockout mouse. J. Endocrinol. 2011, 210, 323–334. [Google Scholar]
- Strable, M.S.; Ntambi, J.M. Genetic control of de novo lipogenesis: Role in diet-induced obesity. Crit. Rev. Biochem. Mol. Biol. 2010, 45, 199–214. [Google Scholar]
- Gudbrandsen, O.A.; Rost, T.H.; Berge, R.K. Causes and prevention of tamoxifen-induced accumulation of triacylglycerol in rat liver. J. Lipid Res. 2006, 47, 2223–2232. [Google Scholar]
- Kwak, D.H.; Lee, J.H.; Kim, D.G.; Kim, T.; Lee, K.J.; Ma, J.Y. Inhibitory effects of Hwangryunhaedok-Tang in 3T3-L1 adipogenesis by regulation of Raf/MEK1/ERK1/2 pathway and PDK1/Akt Phosphorylation. Evid. Based Complement. Alternat. Med. 2013, 2013, 413906. [Google Scholar]
- Higashi, Y.; Itabe, H.; Fukase, H.; Mori, M.; Fujimoto, Y.; Takano, T. Transmembrane lipid transfer is crucial for providing neutral lipids during very low densitylipoprotein assembly in endoplasmic reticulum. J. Biol. Chem. 2003, 278, 21450–21458. [Google Scholar]
- Liang, J.S.; Kim, T.; Fang, S.; Yamaguchi, J.; Weissman, A.M.; Fisher, E.A.; Ginsberg, H.N. Overexpression of the tumor autocrine motility factor receptor Gp78 a ubiquitin protein ligase results in increased ubiquitinylation and decreased secretion of apolipoprotein B100 in HepG2 cells. J. Biol. Chem. 2003, 278, 23984–23988. [Google Scholar]
- Jamil, H.; Dickson, J.K., Jr; Chu, C.H.; Lago, M.W.; Rinehart, J.K.; Biller, S.A.; Gregg, R.E.; Wetterau, J.R. Microsomal triglyceride transfer protein Specificity of lipid binding and transport. J. Biol. Chem. 1995, 270, 6549–6554. [Google Scholar]
- Nakamura, S.; Takamura, T.; Matsuzawa-Nagata, N.; Takayama, H.; Misu, H.; Noda, H.; Nabemoto, S.; Kurita, S.; Ota, T.; Ando, H.; et al. Palmitate induces insulin resistance in H4IIEC3 hepatocytes through reactive oxygen species produced by mitochondria. J. Biol. Chem. 2009, 284, 14809–14818. [Google Scholar]
- Serviddio, G.; Giudetti, A.M.; Bellanti, F.; Priore, P.; Rollo, T.; Tamborra, R.; Siculella, L.; Vendemiale, G.; Altomare, E.; Gnoni, G.V. Oxidation of hepatic carnitine palmitoyl transferase-I (CPT-I) impairs fatty acid beta-oxidation in rats fed a methionine-choline deficient diet. PLoS One 2011, 6, e24084. [Google Scholar]
- Date, S.; Mizuno, H.; Tsuyama, N.; Harada, T.; Masujima, T. Direct drug metabolism monitoring in a live single hepatic cell by video mass spectrometry. Anal. Sci. 2012, 28, 201–203. [Google Scholar]





| Genes | Primer sequences (5′-3′) | GenBank accession number |
|---|---|---|
| SREBP-1c | Forward CGGAACCATCTTGGCAACAGT | NM_001005291 |
| Reverse CGCTTCTCAATGGCGTTGT | ||
| C/EBPα | Forward CGCCTTCAACGACGAGTTCCTG | NM_004364 |
| Reverse CGCCTTGGCCTTCTCCTGCT | ||
| PPAR γ | Forward ACCAAAGTGCAATCAAAGTGGA | NM_138711 |
| Reverse ATGAGGGAGTTGGAAGGCTCT | ||
| FAS | Forward AAGGACCTGTCTAGGTTTGATGC | NM_004104 |
| Reverse TGGCTTCATAGGTGACTTCCA | ||
| SCD | Forward TTCCTACCTGCAAGTTCTACACC | NM_005063 |
| Reverse CCGAGCTTTGTAAGAGCGGT | ||
| ACC | Forward ATGTCTGGCTTGCACCTAGTA | NM_198838 |
| Reverse CCCCAAAGCGAGTAACAAATTCT | ||
| MTP | Forward ACAAGCTCACGTACTCCACTG | NM_000253 |
| Reverse TCCTCCATAGTAAGGCCACATC | ||
| CPT1 | Forward ATCAATCGGACTCTGGAAACGG | NM_001876 |
| Reverse TCAGGGAGTAGCGCATGGT | ||
| β-actin | Forward CTGGGACGACATGGAGAAAA | NM_001101 |
| Reverse AAGGAAGGCTGGAAGAGTGC |
© 2014 by the authors; licensee MDPI, Basel, Switzerland This article is an open access article distributed under the terms and conditions of the Creative Commons Attribution license (http://creativecommons.org/licenses/by/3.0/).
Share and Cite
Zhao, F.; Xie, P.; Jiang, J.; Zhang, L.; An, W.; Zhan, Y. The Effect and Mechanism of Tamoxifen-Induced Hepatocyte Steatosis in Vitro. Int. J. Mol. Sci. 2014, 15, 4019-4030. https://doi.org/10.3390/ijms15034019
Zhao F, Xie P, Jiang J, Zhang L, An W, Zhan Y. The Effect and Mechanism of Tamoxifen-Induced Hepatocyte Steatosis in Vitro. International Journal of Molecular Sciences. 2014; 15(3):4019-4030. https://doi.org/10.3390/ijms15034019
Chicago/Turabian StyleZhao, Fei, Ping Xie, Jiali Jiang, Lingqiang Zhang, Wei An, and Yutao Zhan. 2014. "The Effect and Mechanism of Tamoxifen-Induced Hepatocyte Steatosis in Vitro" International Journal of Molecular Sciences 15, no. 3: 4019-4030. https://doi.org/10.3390/ijms15034019
APA StyleZhao, F., Xie, P., Jiang, J., Zhang, L., An, W., & Zhan, Y. (2014). The Effect and Mechanism of Tamoxifen-Induced Hepatocyte Steatosis in Vitro. International Journal of Molecular Sciences, 15(3), 4019-4030. https://doi.org/10.3390/ijms15034019
