Preparation and Evaluation of Human-Murine Chimeric Antibody against Protective Antigen of Bacillus anthracis
Abstract
:1. Introduction
2. Results and Disscution
2.1. Construction of PA-6-Fab Expression Vector
| Objection | Primer | Sequences |
|---|---|---|
| Murine variable regions of the heavy chain (VH) | VHF | 5'-GCTGCCCAACCAGCCATGGCCGAGGTGCAGCTGGTGGAATCGGG-3' |
| VHR | 5'-CGATGGGCCCTTGGTGGAGGCTGCAGAGACAGTGACCAGAGT-3' | |
| Murine variable regions of the light chain (VL) | VkF | 5'-GGGCCCAGGCGGCCGAGCTCGATATTTTGCTCACTCAG-3' |
| VkR | 5'-GAAGACAGATGGTGCAGCCACAGTTCGTTTCATTTCCAGTTTGGTCCC-3' | |
| Human constant regions of the heavy chain domain 1 (CH1) | CH1-F | 5'-GCCTCCACCAAGGGCCCATCGGTC-3' |
| dpseq | 5'-GATATCAGAAGCGTAGTCCGGAACGTC-3' | |
| Human constant regions of the light chain domain (CL) | HKC-F | 5'-CGAACTGTGGCTGCACCATCTGTC-3' |
| Lead B | 5'-AAGCTTGGCCATGGCTGGTTGGGCAGC-3' | |
| Chimeric heavy chain (Fd) | Lead H | 5'-CATATGGCTGCCCAACCAGCCATGGCC-3' |
| dpseq | Ditto | |
| Chimeric light chain | RSF-F | 5'-GGATCCGGAGGAGGAGGAGGAGGAGGCGGGGCCCAGGCGGCCGAGCTC-3' |
| Lead B | Ditto |


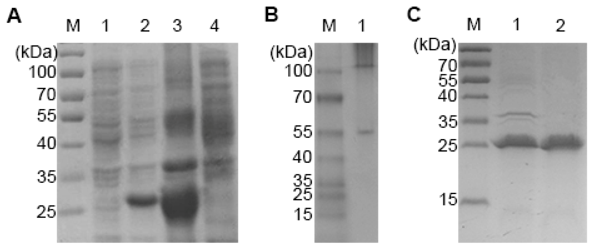
2.2. Expression and Purification of Human/Murine Chimeric PA6-Fab

2.3. Binding Capability of PA6-Fab to PA
2.4. Analysis of Immunoreactivity of PA6-Fab to Anthrax PA by ELISA


2.5. In Vitro and in Vivo Neutralization Assay of PA6-Fab to LeTx

2.6. Discussion
3. Materials and Methods
3.1. Materials
3.2. Construction of PA6-Fab Expression Vector
3.3. Expression and Purification of Human/Murine Chimeric PA6-Fab
3.4. Co-Immunoprecipitation and Mass Spectra Analyses of PA6-Fab Binding to PA
3.5. PA6-Fab ELISA
3.6. In Vitro and in Vivo Neutralizing Capability of PA6-Fab
4. Conclusions
Acknowledgments
Author Contributions
Conflicts of Interest
References
- Little, S.F.; Ivins, B.E. Molecular pathogenesis of Bacillus anthracis infection. Microbes Infect. 1999, 2, 131–139. [Google Scholar]
- Jernigan, J.A.; Stephens, D.S.; Ashford, D.A.; Omenaca, C.; Topiel, M.S.; Galbraith, M.; Tapper, M.; Fisk, T.L.; Zaki, S.; Popovic, T.; et al. Bioterrorism-Related Inhalational Anthrax: The First 10 Cases Reported in the United States. Emerg. Infect. Dis. 2001, 7, 933–944. [Google Scholar]
- Bromberg-White, J.; Lee, C.-S.; Duesbery, N. Consequences and utility of the zinc-dependent metalloprotease activity of anthrax lethal toxin. Toxins 2010, 2, 1038–1053. [Google Scholar]
- Pimental, R.-A.L.; Christensen, K.A.; Krantz, B.A.; Collier, R.J. Anthrax toxin complexes: Heptameric protective antigen can bind lethal factor and edema factor simultaneously. Biochem. Biophys. Res. Commun. 2004, 322, 258–262. [Google Scholar]
- Chen, Z.; Moayeri, M.; Purcell, R. Monoclonal antibody therapies against Anthrax. Toxins 2011, 3, 1004–1019. [Google Scholar]
- Weiss, S.; Kobiler, D.; Levy, H.; Pass, A.; Ophir, Y.; Rothschild, N.; Tal, A.; Schlomovitz, J.; Altboum, Z. Antibiotics cure anthrax in animal models. Anitimicrob. Agents Chemother. 2011, 55, 1533–1542. [Google Scholar]
- Crowe, S.R.; Garmana, l.; Englerc, R.J.; Farrisa, A.D.; Ballardb, J.D.; Harleyb, J.B.; James, J.A. Anthrax vaccination induced anti-lethal factor IgG: Fine specificity and neutralizing capacity. Vaccine 2011, 29, 3670–3678. [Google Scholar]
- Mabry, R.; Rani, M.; Geiger, R.; Hubbard, G.B.; Carrion, R., Jr.; Brasky, K.; Patterson, J.L.; Georgiou, G.; Iverson, B.L. Passive protection against anthrax by using a high-affinity antitoxin antibody fragment lacking an Fc region. Infect. Immun. 2005, 73, 8362–8368. [Google Scholar]
- Chow, S.-K.; Casadevall, A. Monoclonal antibodies and toxins—A perspective on function and isotype. Toxins 2012, 4, 430–454. [Google Scholar]
- Little, S.F.; Webster, W.M.; Fisher, D.E. Monoclonal antibodies directedagainst protective antigen of Bacillus anthracis enhance lethal toxin activity in vivo. FEMS Immunol. Med. Microbiol. 2011, 62, 11–22. [Google Scholar]
- Migone, T.-S.; Subramanian, G.M.; Zhong, J.; Healey, L.M.; Corey, A.; Devalaraja, M.; Lo, L.; Ullrich, S.; Zimmerman, J.; Chen, A.; et al. Raxibacumab for the treatment of inhalational anthrax. N. Engl. J. Med. 2009, 361, 135–144. [Google Scholar]
- Froude, J.W., II; Thullier, P.; Pelat, T. Antibodies against anthrax: Mechanisms of action and clinical applications. Toxins 2011, 3, 1433–1452. [Google Scholar]
- Abboud, N.; de Jesus, M.; Nakouzi, A.; Cordero, R.J.B.; Pujato, M.; Fiser, A.; Rivera, J.; Casadevall, A. Identification of linear epitopes in Bacillus anthracis protective antigen bound by neutralizing antibodies. J. Biol. Chem. 2009, 284, 25077–25086. [Google Scholar]
- Li, G.; Qu, Y.; Cai, C.; Kong, Y.; Liu, S.; Zhang, J.; Zhao, J.; Fu, L.; Xu, J.; Chen, W. The inhibition of the interaction between the anthrax toxin and its cellular receptor by an anti-receptor monoclonal antibody. Biochem. Biophys. Res. Commun. 2009, 385, 591–595. [Google Scholar]
- Vitale, L.; Blanset, D.; Lowy, I.; O’Neill, T.; Goldstein, J.; Little, S.F.; Andrews, G.P.; Dorough, G.; Taylor, R.K.; Keler, T. Prophylaxis and therapy of inhalational anthrax by a novel monoclonal antibody to protective antigen that mimics vaccine-induced immunity. Infect. Immun. 2006, 74, 5840–5847. [Google Scholar]
- Little, S.F.; Leppla, S.H.; Cora, E. Production and characterization of monoclonal antibodies to the protective antigen component of Bacillus anthracis toxin. Infect. Immun. 1988, 56, 1807–1813. [Google Scholar]
- Brossier, F.; Levy, M.; Landier, A.; Lafaye, P.; Mock, M. Functional analysis of Bacillus anthracis protective antigen by using neutralizing monoclonal antibodies. Infect. Immun. 2004, 72, 6313–6317. [Google Scholar]
- Chen, Z.; Moayeri, M.; Zhou, Y.-H.; Leppla, S.; Emerson, S.; Sebrell, A.; Yu, F.; Svitel, J.; Schuck, P.; St Claire, M.; et al. Efficient Neutralization of anthrax toxin by chimpanzee monoclonal antibodies against protective antigen. J. Infect. Dis. 2006, 193, 625–633. [Google Scholar]
- Staats, H.F.; Alam, S.M.; Scearce, R.M.; Kirwan, S.M.; Zhang, J.X.; Gwinn, W.M.; Hayneset, B.F. In vitro and In vivo characterization of anthrax anti-protective antigen and anti-lethal factor monoclonal antibodies after passive transfer in a mouse lethal toxin challenge model to define correlates of immunity. Infect. Immun. 2007, 75, 5443–5452. [Google Scholar]
- Stahl, S.J.; Watts, N.R.; Rader, C.; Dimattia, M.A.; Mage, R.G.; Palmer, I.; Kaufman, J.D.; Grimes, J.M.; Stuart, D.I.; Steven, A.C.; et al. Generation and characterization of a chimeric rabbit/human Fab for co-crystallization of HIV-1 Rev. J. Mol. Biol. 2010, 397, 697–708. [Google Scholar]
- Coleman, L.; Mahler, S.M. Purification of Fab fragments from a monoclonal antibody papain digest by gradifiow electrophoresis. Protein Expr. Purif. 2003, 32, 246–251. [Google Scholar]
- Laffly, E.; Pelat, T.; Cédrone, F.; Blesa, S.; Bedouelle, H.; Thullier, P. Improvement of an antibody neutralizing the anthrax toxin by simultaneous mutagenesis of its six hypervariable loops. J. Mol. Biol. 2008, 378, 1094–1103. [Google Scholar]
- Li, C.; Zhang, F.; Lin, H.; Wang, Z.; Liu., X.; Feng, Z.; Zhu, J.; Guan, X. Generation and characterization of the human neutralizing antibody fragment Fab091 against rabies virus. Acta Pharmacol. Sin. 2011, 32, 329–337. [Google Scholar]
- VBASE2—The Integrative Germ, Line V Gene Database. Available online: http://www.vbase2.org/ (accessed on 30 August 2013).
© 2014 by the authors; licensee MDPI, Basel, Switzerland. This article is an open access article distributed under the terms and conditions of the Creative Commons Attribution license (http://creativecommons.org/licenses/by/4.0/).
Share and Cite
Hao, L.; Zheng, F.; Xiong, S.; Hu, D.; Lv, H.; Tang, Q.; Yang, J.; Feng, Z.; Wang, C.; Zhu, J. Preparation and Evaluation of Human-Murine Chimeric Antibody against Protective Antigen of Bacillus anthracis. Int. J. Mol. Sci. 2014, 15, 18496-18507. https://doi.org/10.3390/ijms151018496
Hao L, Zheng F, Xiong S, Hu D, Lv H, Tang Q, Yang J, Feng Z, Wang C, Zhu J. Preparation and Evaluation of Human-Murine Chimeric Antibody against Protective Antigen of Bacillus anthracis. International Journal of Molecular Sciences. 2014; 15(10):18496-18507. https://doi.org/10.3390/ijms151018496
Chicago/Turabian StyleHao, Lina, Feng Zheng, Siping Xiong, Dan Hu, Heng Lv, Qi Tang, Jin Yang, Zhenqing Feng, Changjun Wang, and Jin Zhu. 2014. "Preparation and Evaluation of Human-Murine Chimeric Antibody against Protective Antigen of Bacillus anthracis" International Journal of Molecular Sciences 15, no. 10: 18496-18507. https://doi.org/10.3390/ijms151018496
APA StyleHao, L., Zheng, F., Xiong, S., Hu, D., Lv, H., Tang, Q., Yang, J., Feng, Z., Wang, C., & Zhu, J. (2014). Preparation and Evaluation of Human-Murine Chimeric Antibody against Protective Antigen of Bacillus anthracis. International Journal of Molecular Sciences, 15(10), 18496-18507. https://doi.org/10.3390/ijms151018496
