Structure Formation of Ultrathin PEO Films at Solid Interfaces—Complex Pattern Formation by Dewetting and Crystallization
Abstract
:1. Introduction
2. Results and Discussion
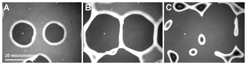
2.1. Dewetting and Crystallization in Ultrathin PEO Films
2.2. Structure Formation of N-alkyl Terminated PEO
3. Experimental Section
3.1. Materials
3.2. Methods
4. Conclusions
Acknowledgements
References
- Feldman, K.; Hahner, G.; Spencer, N.D.; Harder, P.; Grunze, M. Probing resistance to protein adsorption of oligo(ethylene glycol)-terminated self-assembled monolayers by scanning force microscopy. J. Am. Chem. Soc 1999, 121, 10134–10141. [Google Scholar]
- Dormidontova, E.E. Role of competitive PEO-water and water-water hydrogen bonding in aqueous solution PEO behavior. Macromolecules 2002, 35, 987–1001. [Google Scholar]
- Leclere, P.; Surin, M.; Lazzaroni, R.; Kilbinger, A.F.M.; Henze, O.; Jonkheijm, P.; Biscarini, F.; Cavallini, M.; Feast, W.J.; Meijer, E.W.; et al. Surface-controlled self-assembly of chiral sexithiophenes. J. Mater. Chem. 2004, 14, 1959–1963. [Google Scholar]
- Harder, P.; Grunze, M.; Dahint, R.; Whitesides, G.M.; Laibinis, P.E. Molecular conformation in oligo(ethylene glycol)-terminated self-assembled monolayers on gold and silver surfaces determines their ability to resist protein adsorption. J. Phys. Chem. B 1998, 102, 426–436. [Google Scholar]
- Takhashi, Y.; Tadokoro, H. Structural studies of polyethers, (-(ch2)m-o-)n .10. crystal-structure of poly(ethylene oxide). Macromolecules 1973, 6, 672–675. [Google Scholar]
- Takahashi, Y.; Sumita, I.; Tadokoro, H. Structural studies of polyethers .9. Planar zigzag modification of poly(ethylene oxide). J. Polym. Sci. Part B-Polym. Phys 1973, 11, 2113–2122. [Google Scholar]
- Leung, B.O.; Yang, Z.; Wu, S.S.H.; Chou, K.C. Role of interfacial water on protein adsorption at cross-linked polyethylene oxide interfaces. Langmuir 2012, 28, 5724–5728. [Google Scholar]
- Meyer, E.; Mueller, M.; Braun, H.G. Preparation of evaporation-resistant aqueous microdroplet arrays as a model system for the study of molecular order at the liquid/air interface. ACS Appl. Mater. Interfaces 2009, 1, 1682–1687. [Google Scholar]
- Sommer, J.U.; Reiter, G. Polymer crystallization in quasi-two dimensions. II. Kinetic models and computer simulations. J. Chem. Phys 2000, 112, 4384–4393. [Google Scholar]
- Reiter, G.; Sommer, J.U. Polymer crystallization in quasi-two dimensions. I. Experimental results. J. Chem. Phys 2000, 112, 4376–4383. [Google Scholar]
- Reiter, G.; Sommer, J.U. Crystallization of adsorbed polymer monolayers. Phys. Rev. Lett 1998, 80, 3771–3774. [Google Scholar]
- Meyer, E.; Braun, H.G. Film formation of crystallizable polymers on microheterogeneous surfaces. J. Phys.-Condens. Matt 2005, 17, S623–S635. [Google Scholar]
- Zhang, G.L.; Cao, Y.; Jin, L.X.; Zheng, P.; Van Horn, R.M.; Lotz, B.; Cheng, S.Z.D.; Wang, W. Crystal growth pattern changes in low molecular weight poly(ethylene oxide) ultrathin films. Polymer 2011, 52, 1133–1140. [Google Scholar]
- Zhang, G.L.; Zhai, X.M.; Ma, Z.P.; Jin, L.X.; Zheng, P.; Wang, W.; Cheng, S.Z.D.; Lotz, B. Morphology diagram of single-layer crystal patterns in supercooled poly(ethylene oxide) ultrathin films: Understanding macromolecular effect of crystal pattern formation and selection. ACS Macro Lett 2012, 1, 217–221. [Google Scholar]
- Choi, Y.W.; Park, J.; Park, Y.; Kim, K.; Lee, Y.; Sohn, D. Structure formation of hydrophobically end-capped poly(ethylene oxide) in the solid state. J. Phys. Chem. B 2007, 111, 12959–12963. [Google Scholar]
- Kohler, R.; Lazar, P.; Riegler, H. Optical imaging of thin films with molecular depth resolution. Appl. Phys. Lett 2006, 89, 241906. [Google Scholar]
- Schneider, C.A.; Rasband, W.S.; Eliceiri, K.W. NIH Image to ImageJ: 25 years of image analysis. Nat. Methods 2012, 9, 671–675. [Google Scholar]
- Braun, H.G.; Meyer, E. Thin microstructured polymer films by surface-directed film formation. Thin Solid Films 1999, 345, 222–228. [Google Scholar]
- Gentili, D.; Foschi, G.; Valle, F.; Cavallini, M.; Biscarini, F. Applications of dewetting in micro and nanotechnology. Chem. Soc. Rev 2012, 41, 4430–4443. [Google Scholar]
- Reiter, G. Dewetting of thin polymer-films. Phys. Rev. Lett 1992, 68, 75–78. [Google Scholar]
- Reiter, G.; Sharma, A.; Casoli, A.; David, M.O.; Khanna, R.; Auroy, P. Thin film instability induced by long-range forces. Langmuir 1999, 15, 2551–2558. [Google Scholar]
- Reiter, G. Unstable thin polymer-films-rupture and dewetting processes. Langmuir 1993, 9, 1344–1351. [Google Scholar]
- Rayleigh, L. On the capillary phenomena of jets. Proc. R. Soc. Lond 1879, 29, 71–97. [Google Scholar]
- Cahn, J.W. Phase separation by spinodal decomposition in isotropic systems. J. Chem. Phys 1965, 42, 93–100. [Google Scholar]
- Seemann, R.; Herminghaus, S.; Jacobs, K. Dewetting patterns and molecular forces: A reconciliation. Phys. Rev. Lett 2001, 86, 5534–5537. [Google Scholar]
- Zhai, X.M.; Wang, W.; Zhang, G.L.; He, B.L. Crystal pattern formation and transitions of PEO monolayers on solid substrates from nonequilibrium to near equilibrium. Macromolecules 2006, 39, 324–329. [Google Scholar]







© 2013 by the authors; licensee Molecular Diversity Preservation International, Basel, Switzerland. This article is an open access article distributed under the terms and conditions of the Creative Commons Attribution license (http://creativecommons.org/licenses/by/3.0/).
Share and Cite
Braun, H.-G.; Meyer, E. Structure Formation of Ultrathin PEO Films at Solid Interfaces—Complex Pattern Formation by Dewetting and Crystallization. Int. J. Mol. Sci. 2013, 14, 3254-3264. https://doi.org/10.3390/ijms14023254
Braun H-G, Meyer E. Structure Formation of Ultrathin PEO Films at Solid Interfaces—Complex Pattern Formation by Dewetting and Crystallization. International Journal of Molecular Sciences. 2013; 14(2):3254-3264. https://doi.org/10.3390/ijms14023254
Chicago/Turabian StyleBraun, Hans-Georg, and Evelyn Meyer. 2013. "Structure Formation of Ultrathin PEO Films at Solid Interfaces—Complex Pattern Formation by Dewetting and Crystallization" International Journal of Molecular Sciences 14, no. 2: 3254-3264. https://doi.org/10.3390/ijms14023254
APA StyleBraun, H.-G., & Meyer, E. (2013). Structure Formation of Ultrathin PEO Films at Solid Interfaces—Complex Pattern Formation by Dewetting and Crystallization. International Journal of Molecular Sciences, 14(2), 3254-3264. https://doi.org/10.3390/ijms14023254
