Effect of Combined High Pressure and Thermal Treatment on Myofibrillar Proteins Solubilization of Beef Muscle
Abstract
:1. Introduction
2. Results and Discussion
2.1. Effect of Pressure and Heat on the Solubilization of the Proteins
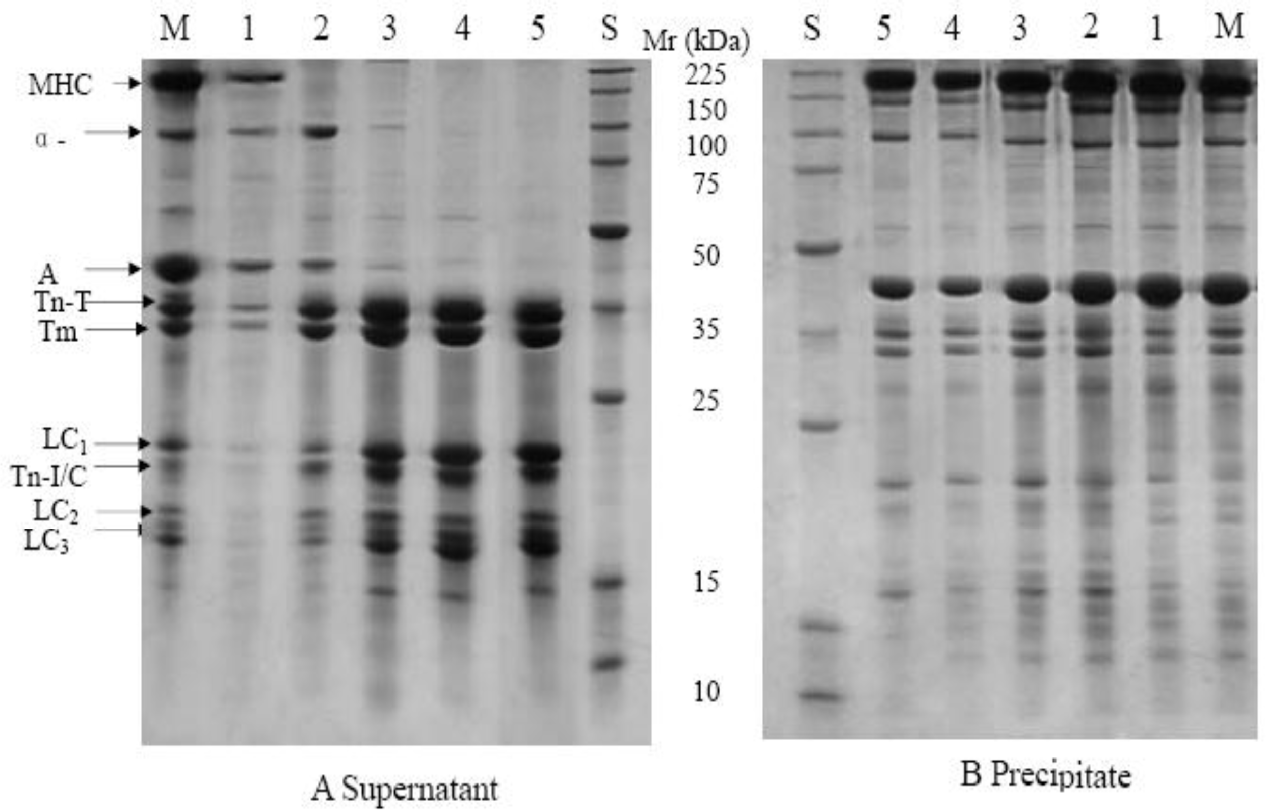
2.2. Effect of Combined Pressure and Thermal Treatment on the Myofibrillar Proteins by SDS-PAGE Analysis
3. Experimental Section
3.1. Sample Preparation
3.2. Myofibrillar Extraction
3.3. High Pressure and Heat Treatment
3.4. Assay of Protein Solubility
3.5. Electrophoretic Analysis
3.6. Statistical Analysis
4. Conclusions
Acknowledgments
References
- Hugas, M; Garriga, M; Monfort, JM. New mild technologies in meat processing: High pressure as a model technology. Meat Sci 2002, 62, 359–371. [Google Scholar]
- Torres, JA; Velazquez, G. Commercial opportunities and research challenges in the high pressure processing of foods. J. Food Engineer 2005, 67, 95–112. [Google Scholar]
- Marcos, B; Kerry, JP; Mullen, AM. High pressure induced changes on sarcoplasmic protein fraction and quality indicators. Meat Sci 2010, 85, 115–120. [Google Scholar]
- Ma, HJ; Ledward, DA. High pressure/thermal treatment effects on the texture of beef muscle. Meat Sci 2004, 68, 347–355. [Google Scholar]
- Cheftel, JC; Culioli, J. Effects of high pressure on meat: A review. Meat Sci 1997, 46, 211–236. [Google Scholar]
- De Lamballerie-Anton, M; Taylor, RG; Culioli, J. High pressure processing of meat. In Meat Processing: Improving Quality; Kerry, J, Ledward, D, Eds.; CRC Press: Cambridge UK, 2002. [Google Scholar]
- Macfarlane, JJ. Pressure-induced solubilization of meat proteins in saline solution. J. Food Sci 1974, 39, 542–547. [Google Scholar]
- Macfarlane, JJ; McKenzie, IJ. Pressure-induced solubilization of myofibrillar proteins. J. Food Sci 1976, 39, 1442–1446. [Google Scholar]
- Suzuki, A; Suzuki, N; Ikeuchi, Y; Saito, M. Effects of high pressure treatment on the ultrastructure and solubilization of isolated myofibrils. Agr. Bio. Chem 1991, 55, 2467–2473. [Google Scholar]
- Mcarthur, AJ; Wilding, P. High pressure effects on myofibrillar proteins. In High Pressure Bioscience and Biotechnology; Hayashi, R, Balny, C, Eds.; Elsevier: Amsterdam, The Netherlands, 2002; p. 323. [Google Scholar]
- Yamamoto, K; Yoshida, T; Iwasaki, T. Hydrostatic pressure-induced solubilization and gelation of chicken myofibrils. In Trends in High Pressure Bioscience and Biotechnology; Hayashi, R, Ed.; Elsevier Science B.V: Amsterdam, The Netherlands, 2002; pp. 461–468. [Google Scholar]
- June, S; Lamballerie-Anton, MD; Ghoul, M. Modification of ultrastructure and myofibrillar proteins of post-rigor beef treated by high pressure. Lebensm. Wiss. Technol 2000, 33, 313–319. [Google Scholar]
- Macfarlane, JJ; Morton, DJ. Effects of pressure treatment on the ultrastructure of striated muscle. Meat Sci 1978, 2, 281–288. [Google Scholar]
- Sikes, A; Tornberg, E; Tume, R. A proposed mechanism of tenderising post-rigor beef using high pressure–heat treatment. Meat Sci 2010, 84, 390–399. [Google Scholar]
- Ma, HJ; Ledward, DA; Zamri, AI; Frazier, RA; Zhou, GH. Effects of high pressure/thermal treatment on lipid oxidation in beef and chicken muscle. Food Chem 2007, 104, 1575–1579. [Google Scholar]
- Laemmli, UK. Cleavage of structural proteins during the assembly of the head of bacteriophage T4. Nature 1970, 227, 680–685. [Google Scholar]




© 2011 by the authors; licensee MDPI, Basel, Switzerland. This article is an open-access article distributed under the terms and conditions of the Creative Commons Attribution license (http://creativecommons.org/licenses/by/3.0/).
Share and Cite
Ma, H.; Zhou, G.; Ledward, D.A.; Yu, X.; Pan, R. Effect of Combined High Pressure and Thermal Treatment on Myofibrillar Proteins Solubilization of Beef Muscle. Int. J. Mol. Sci. 2011, 12, 3034-3041. https://doi.org/10.3390/ijms12053034
Ma H, Zhou G, Ledward DA, Yu X, Pan R. Effect of Combined High Pressure and Thermal Treatment on Myofibrillar Proteins Solubilization of Beef Muscle. International Journal of Molecular Sciences. 2011; 12(5):3034-3041. https://doi.org/10.3390/ijms12053034
Chicago/Turabian StyleMa, Hanjun, Guanghong Zhou, David A. Ledward, Xiaoling Yu, and Runshu Pan. 2011. "Effect of Combined High Pressure and Thermal Treatment on Myofibrillar Proteins Solubilization of Beef Muscle" International Journal of Molecular Sciences 12, no. 5: 3034-3041. https://doi.org/10.3390/ijms12053034
APA StyleMa, H., Zhou, G., Ledward, D. A., Yu, X., & Pan, R. (2011). Effect of Combined High Pressure and Thermal Treatment on Myofibrillar Proteins Solubilization of Beef Muscle. International Journal of Molecular Sciences, 12(5), 3034-3041. https://doi.org/10.3390/ijms12053034
