The Olive Oil Monophenolic Secoiridoid Ligstroside Aglycone Suppresses Melanoma Progression by Targeting the BRAF Signaling Pathway
Abstract
1. Introduction
2. Results and Discussion
2.1. Dose–Response Screening of Ligstroside Aglycone (LA) in the NCI DTP 60 Cancer Cell Line Panel
2.2. Suppressive In Vivo LA Effects Against Malme-3M Cells in a Nude Mouse Xenograft Model
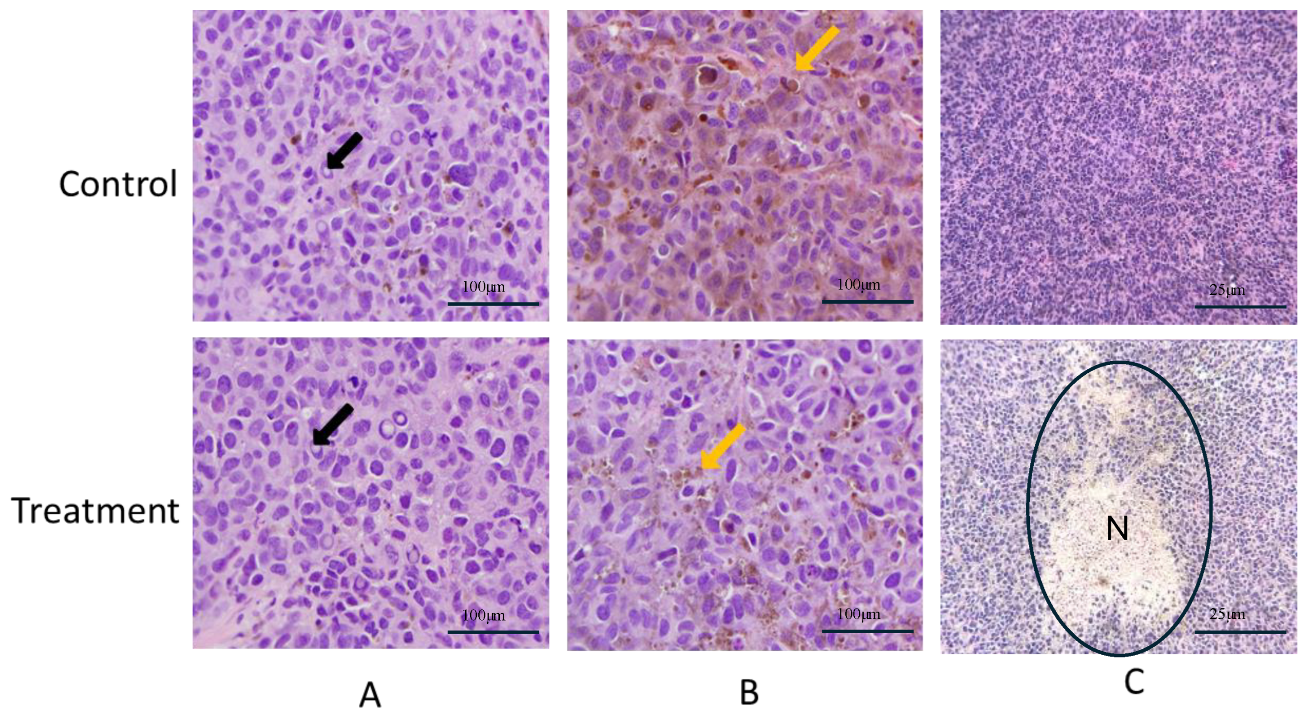
2.3. LA Induces Malme-3M Focal Tumor Necrosis
2.4. Comparison of Ki67 and CD31 Expression in Malme-3M Tumor Sections Using Immunofluorescence
2.5. Comparison of LA- Versus VC-Treated Malme-3M Tumors’ Microarray-Based Gene Expression Signature and Enrichment Analysis
2.6. Modulation of BRAF Signaling by LA Treatment
3. Materials and Methods
3.1. In Vitro Antiproliferative Activity Evaluation Using NCI One-Dose and Five-Dose Assays
3.2. Chemicals, Reagents and Antibodies
3.3. Cell Lines and Culture Conditions
3.4. Compound Preparation and Stock Solution
3.5. Cell Viability Assay
3.6. Microarray Gene Expression Profiling
3.7. Gene Enrichment Analysis
3.8. Validation of Downregulated Genes by UALCAN
3.9. Western Blot Analysis
3.10. Animal Model and Treatment Mode
3.11. Immunofluorescence (IFC) Study
3.12. Haematoxylin and Eosin (H&E) Staining
3.13. Statistical Analysis
4. Conclusions
Supplementary Materials
Author Contributions
Funding
Institutional Review Board Statement
Informed Consent Statement
Data Availability Statement
Acknowledgments
Conflicts of Interest
References
- Siegel, R.; Giaquinto, A.N.; Jemal, A. Cancer Statistics, 2024. CA Cancer J. Clin. 2024, 74, 12–49. [Google Scholar] [CrossRef] [PubMed]
- Roky, A.H.; Islam, M.M.; Ahasan, A.M.F.; Mostaq, M.S.; Mahmud, M.Z.; Amin, M.N.; Mahmud, M.A. Overview of Skin Cancer Types and Prevalence Rates across Continents. Cancer Pathog. Ther. 2024, 2, E01–E36. [Google Scholar] [CrossRef]
- Chatzilakou, E.; Hu, Y.; Jiang, N.; Yetisen, A.K. Biosensors for Melanoma Skin Cancer Diagnostics. Biosens. Bioelectron. 2024, 250, 116045. [Google Scholar] [CrossRef] [PubMed]
- Ferreres, J.R.; Vinyals, A.; Campos-Martin, R.; Espín, R.; Podlipnik, S.; Ramos, R.; Bertran, E.; Carrera, C.; Marcoval, J.; Malvehy, J.; et al. PRRX1 Silencing Is Required for Metastatic Outgrowth in Melanoma and Is an Independent Prognostic of Reduced Survival in Patients. Mol. Oncol. 2024, 18, 2471–2494. [Google Scholar] [CrossRef]
- Ali, M.L.; Roky, A.H.; Azad, S.M.A.K.; Shaikat, A.H.; Meem, J.N.; Hoque, E.; Ahasan, A.M.F.; Islam, M.M.; Arif, M.S.R.; Mostaq, M.S.; et al. Autophagy as a Targeted Therapeutic Approach for Skin Cancer: Evaluating Natural and Synthetic Molecular Interventions. Cancer Pathog. Ther. 2024, 2, 231–245. [Google Scholar] [CrossRef]
- Hanahan, D.; Weinberg, R.A. Hallmarks of Cancer: The Next Generation. Cell 2011, 144, 646–674. [Google Scholar] [CrossRef]
- Heakal, Y.; Kester, M.; Savage, S. Vemurafenib (PLX4032): An Orally Available Inhibitor of Mutated BRAF for the Treatment of Metastatic Melanoma. Ann. Pharmacother. 2011, 45, 1399–1405. [Google Scholar] [CrossRef]
- Mondru, A.K.; Wilkinson, B.; Aljasir, M.A.; Alrumayh, A.; Greaves, G.; Emmett, M.; Albohairi, S.; Pritchard-Jones, R.; Cross, M.J. The ERK5 Pathway in BRAFV600E Melanoma Cells Plays a Role in Development of Acquired Resistance to Dabrafenib but Not Vemurafenib. FEBS Lett. 2024, 598, 2011–2027. [Google Scholar] [CrossRef]
- Hauschild, A.; Grob, J.-J.; Demidov, L.V.; Jouary, T.; Gutzmer, R.; Millward, M.; Rutkowski, P.; Blank, C.U.; Miller, W.H.; Kaempgen, E.; et al. Dabrafenib in BRAF-Mutated Metastatic Melanoma: A Multicentre, Open-Label, Phase 3 Randomised Controlled Trial. Lancet 2012, 380, 358–365. [Google Scholar] [CrossRef]
- Gouda, M.A.; Subbiah, V. Precision Oncology for BRAF-Mutant Cancers with BRAF and MEK Inhibitors: From Melanoma to Tissue-Agnostic Therapy. ESMO Open 2023, 8, 100788. [Google Scholar] [CrossRef]
- Dummer, R.; Ascierto, P.A.; Gogas, H.J.; Arance, A.; Mandala, M.; Liszkay, G.; Garbe, C.; Schadendorf, D.; Krajsova, I.; Gutzmer, R.; et al. Encorafenib Plus Binimetinib versus Vemurafenib or Encorafenib in Patients with BRAF-Mutant Melanoma (COLUMBUS): A Multicentre, Open-Label, Randomised Phase 3 Trial. Lancet Oncol. 2018, 19, 603–615. [Google Scholar] [CrossRef] [PubMed]
- Wagle, N.; Emery, C.; Berger, M.F.; Davis, M.J.; Sawyer, A.; Pochanard, P.; Kehoe, S.M.; Johannessen, C.M.; Macconaill, L.E.; Hahn, W.C.; et al. Dissecting Therapeutic Resistance to RAF Inhibition in Melanoma by Tumor Genomic Profiling. J. Clin. Oncol. 2011, 29, 3085–3096. [Google Scholar] [CrossRef] [PubMed]
- Chapman, P.B.; Hauschild, A.; Robert, C.; Haanen, J.B.; Ascierto, P.; Larkin, J.; Dummer, R.; Garbe, C.; Testori, A.; Maio, M.; et al. Improved Survival with Vemurafenib in Melanoma with BRAF V600E Mutation. N. Engl. J. Med. 2011, 364, 2507–2516. [Google Scholar] [CrossRef] [PubMed]
- Dossett, L.A.; Kudchadkar, R.R.; Zager, J.S. BRAF and MEK Inhibition in Melanoma. Expert. Opin. Drug Saf. 2015, 14, 559–570. [Google Scholar] [CrossRef]
- Imani, S.; Roozitalab, G.; Emadi, M.; Moradi, A.; Behzadi, P.; Kaboli, J.P. The Evolution of BRAF-Targeted Therapies in Melanoma: Overcoming Hurdles and Unleashing Novel Strategies. Front. Oncol. 2024, 14, 1504142. [Google Scholar] [CrossRef]
- Gençler, B.; Gönül, M. Cutaneous Side Effects of BRAF Inhibitors in Advanced Melanoma: Review of the Literature. Dermatol. Res. Pract. 2016, 2016, 5361569. [Google Scholar] [CrossRef]
- Cebollero, A.; Puértolas, T.; Pajares, I.; Calera, L.; Antón, A. Comparative Safety of BRAF and MEK Inhibitors (Vemurafenib, Dabrafenib and Trametinib) in First-Line Therapy for BRAF-Mutated Metastatic Melanoma. Mol. Clin. Oncol. 2016, 5, 458–462. [Google Scholar] [CrossRef]
- Fogli, S.; Arena, C.; Carpi, S.; Polini, B.; Bertini, S.; Digiacomo, M.; Gado, F.; Saba, A.; Saccomanni, G.; Breschi, M.C.; et al. Cytotoxic Activity of Oleocanthal Isolated from Virgin Olive Oil on Human Melanoma Cells. Nutr. Cancer 2016, 68, 873–877. [Google Scholar] [CrossRef]
- González-Rodríguez, M.; Ait Edjoudi, D.; Cordero-Barreal, A.; Farrag, M.; Varela-García, M.; Torrijos-Pulpón, C.; Ruiz-Fernández, C.; Capuozzo, M.; Ottaiano, A.; Lago, F.; et al. Oleocanthal, an Antioxidant Phenolic Compound in Extra Virgin Olive Oil (EVOO): A Comprehensive Systematic Review of Its Potential in Inflammation and Cancer. Antioxidants 2023, 12, 2112. [Google Scholar] [CrossRef]
- De Stefanis, D.; Scimè, S.; Accomazzo, S.; Catti, A.; Occhipinti, A.; Bertea, C.M.; Costelli, P. Anti-Proliferative Effects of an Extra-Virgin Olive Oil Extract Enriched in Ligstroside Aglycone and Oleocanthal on Human Liver Cancer Cell Lines. Cancers 2019, 11, 1640. [Google Scholar] [CrossRef]
- Castejón, M.L.; Montoya, T.; Ortega-Vidal, J.; Altarejos, J.; Alarcón-de-la-Lastra, C. Ligstroside Aglycon, an Extra Virgin Olive Oil Secoiridoid, Prevents Inflammation by Regulation of MAPKs, JAK/STAT, NF-κB, Nrf2/HO-1, and NLRP3 Inflammasome Signaling Pathways in LPS-Stimulated Murine Peritoneal Macrophages. Food Funct. 2022, 13, 10200–10209. [Google Scholar] [CrossRef] [PubMed]
- Menendez, J.A.; Vazquez-Martin, A.; Garcia-Villalba, R.; Carrasco-Pancorbo, A.; Oliveras-Ferraros, C.; Fernandez-Gutierrez, A.; Segura-Carretero, A. tabAnti-HER2 (erbB-2) Oncogene Effects of Phenolic Compounds Directly Isolated from Commercial Extra-Virgin Olive Oil (EVOO). BMC Cancer 2008, 8, 377. [Google Scholar] [CrossRef] [PubMed]
- Menendez, J.A.; Vazquez-Martin, A.; Oliveras-Ferraros, C.; Garcia-Villalba, R.; Carrasco-Pancorbo, A.; Fernandez-Gutierrez, A.; Segura-Carretero, A. Analyzing Effects of Extra-Virgin Olive Oil Polyphenols on Breast Cancer-Associated Fatty Acid Synthase Protein Expression Using Reverse-Phase Protein Microarrays. Int. J. Mol. Med. 2008, 22, 433–439. [Google Scholar] [CrossRef] [PubMed]
- Papakonstantinou, A.; Koumarianou, P.; Rigakou, A.; Diamantakos, P.; Frakolaki, E.; Vassilaki, N.; Chavdoula, E.; Melliou, E.; Magiatis, P.; Boleti, H. New Affordable Methods for Large-Scale Isolation of Major Olive Secoiridoids and Systematic Comparative Study of Their Antiproliferative/Cytotoxic Effect on Multiple Cancer Cell Lines of Different Cancer Origins. Int. J. Mol. Sci. 2022, 24, 3. [Google Scholar] [CrossRef] [PubMed]
- Busnena, B.A.; Foudah, A.I.; Melancon, T.; El Sayed, K.A. Olive Secoiridoids and Semisynthetic Bioisostere Analogues for the Control of Metastatic Breast Cancer. Bioorg. Med. Chem. 2013, 21, 2117–2127. [Google Scholar] [CrossRef]
- de Andrés, M.C.; Meiss, M.S.; Sánchez-Hidalgo, M.; González-Benjumea, A.; Fernández-Bolaños, J.G.; Alarcón-de-la-Lastra, C.; Oreffo, R.O. Osteoarthritis Treatment with a Novel Nutraceutical Acetylated Ligstroside Aglycone, a Chemically Modified Extra-Virgin Olive Oil Polyphenol. J. Tissue Eng. 2020, 11, 2041731420922701. [Google Scholar] [CrossRef]
- Kunkel, M.W.; Coussens, N.P.; Morris, J.; Taylor, R.C.; Dexheimer, T.S.; Jones, E.M.; Doroshow, J.H.; Teicher, B.A. HTS384 NCI60: The Next Phase of the NCI60 Screen. Cancer Res. 2024, 84, 2403–2416. [Google Scholar] [CrossRef]
- Phadke, M.S.; Smalley, K.S.M. Targeting NRAS Mutations in Advanced Melanoma. J. Clin. Oncol. 2023, 41, 2661–2664. [Google Scholar] [CrossRef]
- Falini, B.; Martelli, M.P.; Tiacci, E. BRAF V600E Mutation in Hairy Cell Leukemia: From Bench to Bedside. Blood 2016, 128, 1918–1927. [Google Scholar] [CrossRef]
- Emma, M.R.; Augello, G.; Di Stefano, V.; Azzolina, A.; Giannitrapani, L.; Montalto, G.; Cervello, M.; Cusimano, A. Potential Uses of Olive Oil Secoiridoids for the Prevention and Treatment of Cancer: A Narrative Review of Preclinical Studies. Int. J. Mol. Sci. 2021, 22, 1234. [Google Scholar] [CrossRef]
- Lee, S.Y.; Ju, M.K.; Jeon, H.M.; Jeong, E.K.; Lee, Y.J.; Kim, C.H.; Park, H.G.; Han, S.I.; Kang, H.S. Regulation of Tumor Progression by Programmed Necrosis. Oxid. Med. Cell Longev. 2018, 2018, 3537471. [Google Scholar] [CrossRef] [PubMed]
- Yu, J.; Zhong, B.; Xiao, Q.; Du, L.; Hou, Y.; Sun, H.-S.; Lu, J.-J.; Chen, X. Induction of Programmed Necrosis: A Novel Anti-Cancer Strategy for Natural Compounds. Pharmacol. Ther. 2020, 214, 107593. [Google Scholar] [CrossRef] [PubMed]
- Yee, P.P.; Li, W. Tumor Necrosis: A Synergistic Consequence of Metabolic Stress and Inflammation. BioEssays 2021, 43, e2100029. [Google Scholar] [CrossRef] [PubMed]
- Hammoudi, N.; Ahmed, K.B.R.; Garcia-Prieto, C.; Huang, P. Metabolic Alterations in Cancer Cells and Therapeutic Implications. Chin. J. Cancer 2011, 30, 508–525. [Google Scholar] [CrossRef]
- Zhuang, Y.; Liu, K.; He, Q.; Gu, X.; Jiang, C.; Wu, J. Hypoxia Signaling in Cancer: Implications for Therapeutic Interventions. MedComm 2023, 4, e203. [Google Scholar] [CrossRef]
- Qusa, M.H.; Abdelwahed, K.S.; Siddique, A.B.; El Sayed, K.A. Comparative Gene Signature of (-)-Oleocanthal Formulation Treatments in Heterogeneous Triple Negative Breast Tumor Models: Oncological Therapeutic Target Insights. Nutrients 2021, 13, 1706. [Google Scholar] [CrossRef]
- Available online: https://metascape.org/gp/index.html#/main/step1 (accessed on 1 October 2024).
- Available online: http://ualcan.path.uab.edu (accessed on 1 October 2024).
- Rusu, P.; Shao, C.; Neuerburg, A.; Acikgöz, A.A.; Wu, Y.; Zou, P.; Phapale, P.; Shankar, T.S.; Döring, K.; Dettling, S.; et al. GPD1 Specifically Marks Dormant Glioma Stem Cells with a Distinct Metabolic Profile. Cell Stem Cell. 2019, 25, 241–257.e8. [Google Scholar] [CrossRef]
- Oh, S.; Mai, X.L.; Kim, J.; de Guzman, A.C.V.; Lee, J.Y.; Park, S. Glycerol 3-Phosphate Dehydrogenases (1 and 2) in Cancer and Other Diseases. Exp. Mol. Med. 2024, 56, 1066–1079. [Google Scholar] [CrossRef]
- Jin, C.; Wang, S.; Sui, X.; Meng, Q.; Wu, G. Low Expression of ELOVL6 may be Involved in Fat Loss in White Adipose Tissue of Cancer-Associated Cachexia. Lipids Health Dis. 2024, 23, 144. [Google Scholar] [CrossRef]
- Kiyoki, Y.; Kato, T.; Kito, S.; Matsuzaka, T.; Morioka, S.; Sasaki, J.; Makishima, K.; Sakamoto, T.; Nishikii, H.; Obara, N.; et al. The Fatty Acid Elongase Elovl6 is Crucial for Hematopoietic Stem Cell Engraftment and Leukemia Propagation. Leukemia 2023, 37, 910–913. [Google Scholar] [CrossRef]
- Czumaj, A.; Kobiela, J.; Mika, A.; Pappou, E.; Śledziński, T. The Effect of Silencing Fatty Acid Elongase 4 and 6 Genes on the Proliferation and Migration of Colorectal Cancer Cells. Int. J. Mol. Sci. 2023, 24, 17615. [Google Scholar] [CrossRef] [PubMed]
- Gupta, P.K.; Orlovskiy, S.; Arias-Mendoza, F.; Nelson, D.S.; Osborne, A.; Pickup, S.; Glickson, J.D.; Nath, K. Metabolic Imaging Biomarkers of Response to Signaling Inhibition Therapy in Melanoma. Cancers 2024, 16, 365. [Google Scholar] [CrossRef] [PubMed]
- Toye, E.; Chehrazi-Raffle, A.; Hwang, J.; Antonarakis, E.S. Targeting the Multifaceted BRAF in Cancer: New Directions. Oncotarget 2024, 15, 486–492. [Google Scholar] [CrossRef] [PubMed]
- Riaud, M.; Maxwell, J.; Soria-Bretones, I.; Dankner, M.; Li, M.; Rose, A.A.N. The Role of CRAF in Cancer Progression: From Molecular Mechanisms to Precision Therapies. Nat. Rev. Cancer 2024, 24, 105–122. [Google Scholar] [CrossRef]
- Wan, P.T.C.; Garnett, M.J.; Roe, S.M.; Lee, S.; Niculescu-Duvaz, D.; Good, V.M.; Jones, C.M.; Marshall, C.J.; Springer, C.J.; Barford, D.; et al. Mechanism of Activation of the RAF-ERK Signaling Pathway by Oncogenic Mutations of B-RAF. Cell 2004, 116, 855–867. [Google Scholar] [CrossRef]
- Davies, H.; Bignell, G.R.; Cox, C.; Stephens, P.; Edkins, S.; Clegg, S.; Teague, J.; Woffendin, H.; Garnett, M.J.; Bottomley, W.; et al. Mutations of the BRAF Gene in Human Cancer. Nature 2002, 417, 949–954. [Google Scholar] [CrossRef]
- Khan, P.S.; Rajesh, P.; Rajendra, P.; Chaskar, M.G.; Rohidas, A.; Jaiprakash, S. Recent Advances in B-RAF Inhibitors as Anticancer Agents. Bioorg. Chem. 2022, 120, 105597. [Google Scholar] [CrossRef]
- Bollag, G.; Tsai, J.; Zhang, J.; Zhang, C.; Ibrahim, P.; Nolop, K.; Hirth, P. Vemurafenib: The First Drug Approved for BRAF-Mutant Cancer. Nat. Rev. Drug Discov. 2012, 11, 873–886. [Google Scholar] [CrossRef]
- Monks, A.; Scudiero, D.; Skehan, P.; Shoemaker, R.; Paull, K.; Vistica, D.; Hose, C.; Langley, J.; Cronise, P.; Vaigro-Wolff, A. Feasibility of a High-Flux Anticancer Drug Screen Using a Diverse Panel of Cultured Human Tumor Cell Lines. J. Natl. Cancer Inst. 1991, 83, 757–766. [Google Scholar] [CrossRef]
- Skehan, P.; Storeng, R.; Scudiero, D.; Monks, A.; McMahon, J.; Vistica, D.; Warren, J.T.; Bokesch, H.; Kenney, S.; Boyd, M.R. New Colorimetric Cytotoxicity Assay for Anticancer-Drug Screening. J. Natl. Cancer Inst. 1990, 82, 1107–1112. [Google Scholar] [CrossRef]
- Siddique, A.B.; Ebrahim, H.; Mohyeldin, M.; Qusa, M.; Batarseh, Y.; Fayyad, A.; Tajmim, A.; Nazzal, S.; Kaddoumi, A.; El Sayed, K. Novel Liquid-Liquid Extraction and Self-Emulsion Methods for Simplified Isolation of Extra-Virgin Olive Oil Phenolics with Emphasis on (-)-Oleocanthal and Its Oral Anti-Breast Cancer Activity. PLoS ONE 2019, 14, e0214798. [Google Scholar] [CrossRef] [PubMed]
- Tsiafoulis, C.G.; Liaggou, C.; Garoufis, A.; Magiatis, P.; Roussis, I.G. Nuclear Magnetic Resonance Analysis of Extra Virgin Olive Oil: Classification through Secoiridoids. J. Sci. Food Agric. 2024, 104, 1992–2005. [Google Scholar] [CrossRef] [PubMed]
- Siddique, A.; Ebrahim, H.Y.; Tajmim, A.; King, J.; Abdelwahed, K.; Abd Elmageed, Z.Y.; El Sayed, K.A. Oleocanthal Attenuates Metastatic Castration-Resistant Prostate Cancer Progression and Recurrence by Targeting SMYD2. Cancers 2022, 14, 3542. [Google Scholar] [CrossRef] [PubMed]
- Siddique, A.B.; Kilgore, P.C.S.R.; Tajmim, A.; Singh, S.S.; Meyer, S.A.; Jois, S.D.; Cvek, U.; Trutschl, M.; El Sayed, K.A. (-)-Oleocanthal as a Dual c-MET-COX2 Inhibitor for the Control of Lung Cancer. Nutrients 2020, 12, 1749. [Google Scholar] [CrossRef]
- Zhou, Y.; Zhou, B.; Pache, L.; Chang, M.; Khodabakhshi, A.H.; Tanaseichuk, O.; Benner, C.; Chanda, S.K. Metascape Provides a Biologist-Oriented Resource for the Analysis of Systems-Level Datasets. Nat. Commun. 2019, 10, 1523. [Google Scholar] [CrossRef]
- Chandrashekar, D.S.; Bashel, B.; Balasubramanya, S.A.H.; Creighton, C.J.; Ponce-Rodriguez, I.; Chakravarthi, B.V.S.K.; Varambally, S. UALCAN: A Portal for Facilitating Tumor Subgroup Gene Expression and Survival Analyses. Neoplasia 2017, 19, 649–658. [Google Scholar] [CrossRef]
- Schindelin, J.; Arganda-Carreras, I.; Frise, E.; Kaynig, V.; Longair, M.; Pietzsch, T.; Preibisch, S.; Rueden, C.; Saalfeld, S.; Schmid, B.; et al. Fiji: An open-source platform for biological-image analysis. Nat. Methods 2012, 9, 676–682. [Google Scholar] [CrossRef]






Disclaimer/Publisher’s Note: The statements, opinions and data contained in all publications are solely those of the individual author(s) and contributor(s) and not of MDPI and/or the editor(s). MDPI and/or the editor(s) disclaim responsibility for any injury to people or property resulting from any ideas, methods, instructions or products referred to in the content. |
© 2025 by the authors. Licensee MDPI, Basel, Switzerland. This article is an open access article distributed under the terms and conditions of the Creative Commons Attribution (CC BY) license (https://creativecommons.org/licenses/by/4.0/).
Share and Cite
Mahmud, M.A.; Siddique, A.B.; Tajmim, A.; King, J.A.; El Sayed, K.A. The Olive Oil Monophenolic Secoiridoid Ligstroside Aglycone Suppresses Melanoma Progression by Targeting the BRAF Signaling Pathway. Molecules 2025, 30, 139. https://doi.org/10.3390/molecules30010139
Mahmud MA, Siddique AB, Tajmim A, King JA, El Sayed KA. The Olive Oil Monophenolic Secoiridoid Ligstroside Aglycone Suppresses Melanoma Progression by Targeting the BRAF Signaling Pathway. Molecules. 2025; 30(1):139. https://doi.org/10.3390/molecules30010139
Chicago/Turabian StyleMahmud, Md Ashiq, Abu Bakar Siddique, Afsana Tajmim, Judy Ann King, and Khalid A. El Sayed. 2025. "The Olive Oil Monophenolic Secoiridoid Ligstroside Aglycone Suppresses Melanoma Progression by Targeting the BRAF Signaling Pathway" Molecules 30, no. 1: 139. https://doi.org/10.3390/molecules30010139
APA StyleMahmud, M. A., Siddique, A. B., Tajmim, A., King, J. A., & El Sayed, K. A. (2025). The Olive Oil Monophenolic Secoiridoid Ligstroside Aglycone Suppresses Melanoma Progression by Targeting the BRAF Signaling Pathway. Molecules, 30(1), 139. https://doi.org/10.3390/molecules30010139

