Synthesis of 2-Amino-N′-aroyl(het)arylhydrazides, DNA Photocleavage, Molecular Docking and Cytotoxicity Studies against Melanoma CarB Cell Lines
Abstract
1. Introduction

2. Results and Discussion
2.1. Chemistry
2.2. DNA Photointeractions of AA DACHZs with Plasmid DNA
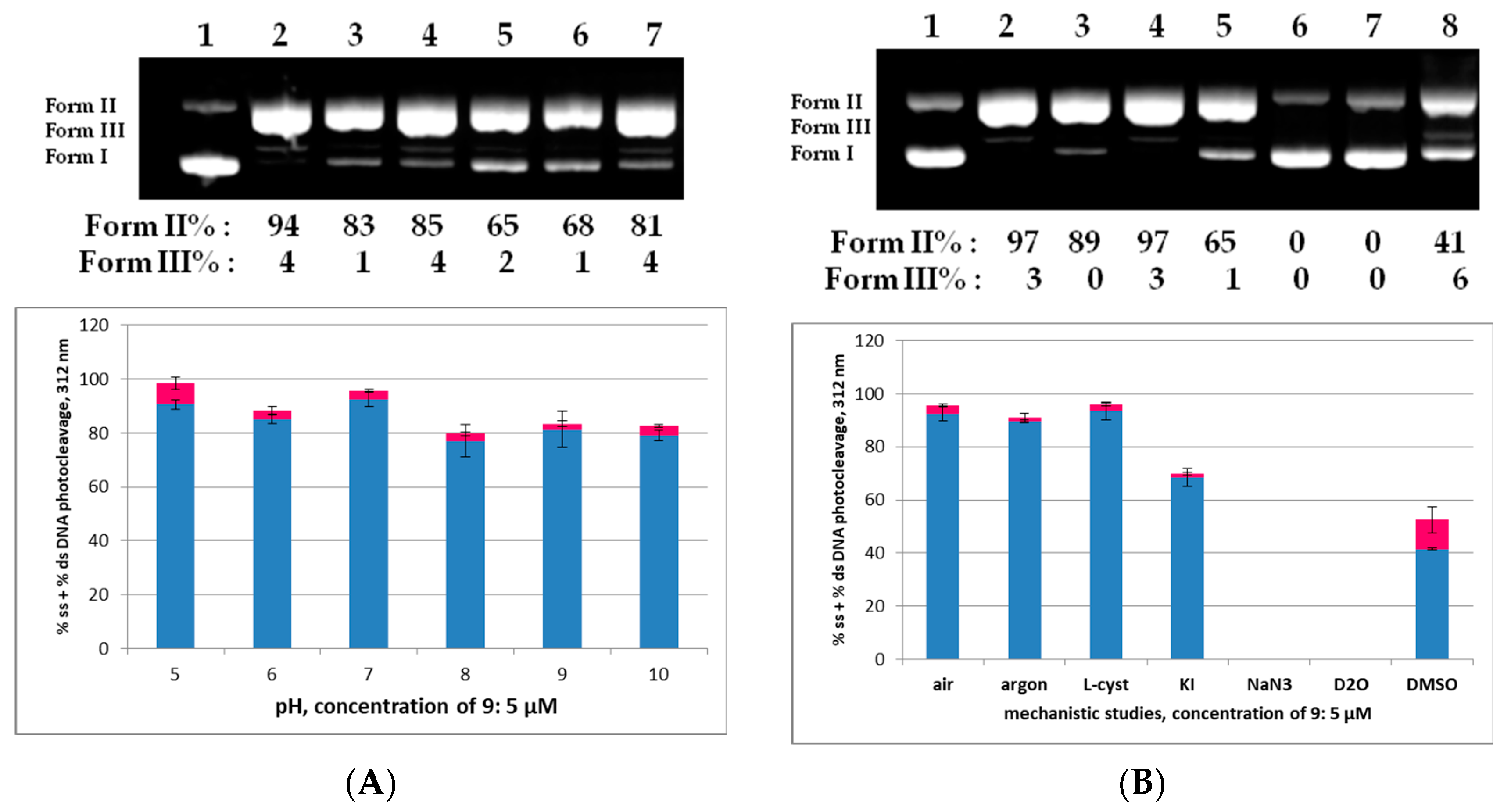
2.2.1. DNA Photo-Cleavage Experiments at 312 nm (UV-B Irradiation)
2.2.2. DNA Photo-Cleavage Experiments at 365 nm (UV-A Irradiation)
2.3. Molecular Docking “In Silico” Calculations of DNA/AA DACHZs
2.4. Cell Culture Experiments of Selective AA DACHZs with Melanoma Cell Lines
3. Materials and Methods
3.1. Synthesis of AA DACHZs 1–24
- 2-Amino-N′-benzoylbenzohydrazide (1): Method B; white amorphous solid; mp: 180–182 °C (EA/hex), lit: 210–212 °C [20]; yield: 47%; IR (KBr) cm−1: 3408, 3272, 1674, 1645, 1614; 1H-NMR (DMSO-d6, 500 MHz) δ 10.38 (bs, 1H, NH), 10.17 (bs, 1H, NH), 7.93 (brs, 2H), 7.61 (bs, 2H), 7.52 (s, 2H), 7.20 (s, 1H), 6.75 (s, 1H), 6.55 (s, 1H), 6.43 (bs, 2H, NH2) ppm; 13C-NMR (DMSO-d6, 125 MHz) δ 168.3, 166.0, 149.9, 132.7, 132.3, 131.8, 128.5, 128.2, 127.5, 116.5, 114.7, 112.56 ppm; HRMS(ESI) m/z [M+H]+: C14H14N3O2+, calc: 256.1081; found: 256.1080.
- 2-Amino-N′-(4-chlorobenzoyl)benzohydrazide (2): Method C (1.5 h + 1 h); off-white amorphous solid; mp: 226.4 °C (EA/hex), lit: 238–240 °C [14]; yield: 52%; IR (KBr) cm−1: 3414, 3312, 3255, 1678, 1647, 1612; 1H-NMR (DMSO-d6, 500 MHz) δ 10.47 (s, 1H, NH), 10.19 (brs, 1H, NH), 7.94 (d, J = 8.3 Hz, 2H), 7.60 (d, J = 8.3 Hz, 2H), 7.20 (t, J = 7.5 Hz, 1H), 6.74 (d, J = 8.1 Hz, 1H), 6.55 (t, J = 7.4 Hz, 1H), 6.43 (brs, 2H, NH2) ppm; 13C-NMR (DMSO-d6, 125 MHz) δ 168.3, 165.0, 150.0, 136.7, 132.4, 131.4, 129.4, 128.6, 128.2, 116.4, 114.6, 112.4 ppm; HRMS(ESI) m/z [M+H]+: C14H13ClN3O2+, calc: 290.0691; found: 290.0689, 290.0660 (3/1).
- 2-Amino-N′-(4-nitrobenzoyl)benzohydrazide (3): Method A, B, C; yellow amorphous solid; mp: 239.0 °C (EA/EtOH), lit: 238–240 °C [12], 238 °C [71]; yield: 42%, 52%, 47%, respectively for each method used; IR (KBr) cm−1: 3407, 3310, 3301, 3244, 1682, 1642, 1613; 1H-NMR (DMSO-d6, 500 MHz) δ 10.73 (s, 1H, NH), 10.29 (brs, 1H, NH), 8.37 (d, J = 8.8 Hz, 2H), 8.15 (d, J = 8.7 Hz, 2H), 7.62 (d, J = 7.1 Hz, 1H), 7.20 (dt, J = 8.3, 1.3 Hz, 1H), 6.75 (d, J = 7.7 Hz, 1H), 6.56 (t, J = 7.2 Hz, 1H), 6.45 (brs, 2H, NH2) ppm; 13C-NMR (DMSO-d6, 125 MHz) δ 168.2, 164.5, 150.0, 149.4, 138.3, 132.5, 129.0, 128.2, 123.8, 116.5, 114.6, 112.1 ppm; HRMS(ESI) m/z [M+H]+: C14H13N4O4+, calc: 301.0931; found: 301.0933.
- N′-(2-Aminobenzoyl)furan-2-carbohydrazide (4): Method A; beige amorphous solid; mp: 194.2–195 °C (EA/EtOH); lit: 285–287 °C [20]; yield: 44%; IR (KBr) cm−1: 3414, 3317, 3280, 1680, 1645, 1614; 1H-NMR (DMSO-d6, 500 MHz) δ 10.25 (s, 1H, NH), 10.11 (brs, 1H, NH), 7.91 (d, J = 0.9 Hz, 1H), 7.58 (dd, J = 7.9, 0.9 Hz, 1H), 7.25 (d, J = 3.4 Hz, 1H), 7.19 (dt, J = 7.0, 1.3 Hz, 1H), 6.74 (dd, J = 8.1, 0.7 Hz, 1H), 6.67 (dd, J = 3.4, 1.7 Hz, 1H), 6.54 (dt, J = 7.8, 0.9 Hz, 1H), 6.42 (brs, 2H, NH2) ppm; 13C-NMR (DMSO-d6, 125 MHz) δ 168.3, 157.5, 150.0, 146.4, 145.7, 132.4, 128.2, 116.4, 114.6, 114.5, 112.3, 111.9 ppm; HRMS(ESI) m/z [M+H]+: C12H12N3O3+, calc: 246.0873; found: 246.0874.
- 2-Amino-N′-benzoyl-5-chlorobenzohydrazide (5): Method C (1.5 h + 2 h); off-white amorphous solid; mp: 203.1 °C (EA/EtOH); yield: 52%; IR (KBr) cm−1: 3486, 3372, 3310, 3280, 1684, 1642, 1612; 1H-NMR (DMSO-d6, 500 MHz) δ 10.47 (s, 1H, NH), 10.34 (brs, 1H, NH), 7.92 (d, J = 7.5 Hz, 2H), 7.67 (brs, 1H), 7.60 (t, J = 7.3 Hz, 1H), 7.52 (t, J = 7.6 Hz, 2H), 7.24 (dd, J = 8.8, 1.8 Hz, 1H), 6.78 (d, J = 8.8 Hz, 1H), 6.60 (brs, 2H, NH2) ppm; 13C-NMR (DMSO-d6, 125 MHz) δ 167.3, 166.0, 148.9, 132.5, 132.2, 132.0, 128.6, 127.5, 127.5, 118.2, 117.8, 113.2 ppm; HRMS(ESI) m/z [M+H]+: C14H13ClN3O2+, calc: 290.0691; found: 290.0692, 292.0661 (3/1).
- 2-Amino-5-chloro-N′-(4-chlorobenzoyl)benzohydrazide (6): Method C (1.5 h + 2.5 h); off white amorphous solid; mp: 233.2 °C (EA/EtOH); yield: 41%; IR (KBr) cm−1: 3482, 3347, 3222, 3164, 1663, 1636, 1595; 1H-NMR (DMSO-d6, 500 MHz) δ 10.55 (s, 1H, NH), 10.36 (brs, 1H, NH), 7.93 (d, J = 8.2 Hz, 2H), 7.66 (s, 1H), 7.61 (d, J = 8.1 Hz, 2H), 7.24 (d, J = 8.0 Hz, 1H), 6.77 (d, J = 8.8 Hz, 1H), 6.60 (brs, 2H, NH2) ppm; 13C-NMR (DMSO-d6, 125 MHz) δ 167.2, 165.0, 149.0, 136.8, 132.3, 131.3, 129.5, 128.8, 127.5, 118.3, 117.8, 113.0 ppm; HRMS(ESI) m/z [M+H]+: C14H12Cl2N3O2+, calc: 324.0301; found: 324.0302, 326.0273, 328.0244, M, M+2, M+4 (9/6/1).
- 2-Amino-5-chloro-N′-(4-nitrobenzoyl)benzohydrazide (7): Method C (1.5 h + 1 h); light yellow amorphous solid; mp: 235.4 °C (EA/hex); yield: 48%; IR (KBr) cm−1: 3503, 3370, 3219, 3047, 1666, 1637, 1600; 1H-NMR (DMSO-d6, 500 MHz) δ 10.77 (brs, 1H, NH), 10.44 (brs, 1H, NH), 8.37 (d, J = 8.1 Hz, 2H), 8.14 (d, J = 8.1 Hz, 2H), 7.66 (s, 1H), 7.24 (d, J = 7.3 Hz, 1H), 6.78 (d, J = 8.6 Hz, 1H), 6.58 (brs, 2H, NH2) ppm; 13C-NMR (DMSO-d6, 125 MHz) δ 167.1, 164.5, 149.5, 148.9, 138.2, 132.3, 129.0, 127.4, 123.8, 118.3, 117.8, 112.9 ppm; HRMS(ESI) m/z [M+H]+: C14H12ClN4O4+, calc: 335.0542; found: 335.0541, 337.0511 (3/1).
- N′-(2-Amino-5-chlorobenzoyl)furan-2-carbohydrazide (8): method C (1.5 h + 1 h); beige amorphous solid; mp: 232.3 °C (EA/hex); yield: 49%; IR (KBr) cm−1: 3465, 3435, 3206, 3017, 1618, 1584; 1H-NMR (DMSO−d6, 500 MHz) δ 10.34 (s, 1H, NH), 10.28 (brs, 1H, NH), 7.92 (s, 1H), 7.64 (s, 1H), 7.26 (d, J = 2.8 Hz, 1H), 7.24 (d, J = 9.0 Hz, 1H), 6.77 (d, J = 8.9 Hz, 1H), 6.68 (s, 1H), 6.59 (brs, 2H, NH2) ppm; 13C-NMR (DMSO-d6, 125 MHz) δ 167.2, 157.5, 149.0, 146.3, 145.9, 132.3, 127.4, 118.3, 117.8, 114.7, 113.0, 112.0 ppm; HRMS(ESI) m/z [M+H]+: C12H11ClN3O3+, calc: 280.0483; found: 280.0481, 282.0451 (3/1).
- 2-Amino-N′-benzoyl-5-bromobenzohydrazide (9): Method C (1.5 h + 2 h); off-white amorphous solid; mp: 207.0 °C (1,4-dioxane/EtOH); yield: 45%; IR (KBr) cm−1: 3411, 3282, 1673, 1644, 1604; 1H-NMR (DMSO-d6, 500 MHz) δ 10.43 (s, 1H, NH), 10.31 (brs, 1H, NH), 7.91 (d, J = 7.5Hz, 2H), 7.78 (s, 1H), 7.60 (t, J = 7.6 Hz, 1H), 7.52 (t, J = 7.6 Hz, 2H), 7.33 (d, J = 8.9 Hz, 1H), 6.73 (d, J = 8.9 Hz, 1H), 6.59 (brs, 2H, NH2) ppm; 13C-NMR (DMSO-d6, 125 MHz) δ 167.1, 165.9, 149.1, 134.8, 132.5, 131.9, 130.3, 128.5, 127.5, 118.6, 113.9, 104.9 ppm; HRMS(ESI) m/z [M+H]+: C14H13BrN3O2+, calc: 334.0186; found: 334.0183, 336.0163 (1/1).
- 2-Amino-5-bromo-N′-(4-chlorobenzoyl)benzohydrazide (10): Method C (1.5 h + 2 h); off-white amorphous solid; mp: 205–207 °C (EA/EtOH); yield: 56%; IR (KBr) cm−1: 3376, 3276, 1679, 1645, 1593; 1H-NMR (DMSO-d6, 500 MHz) δ 10.54 (brs, 1H, NH), 10.35 (brs, 1H, NH), 7.93 (d, J = 8.5 Hz, 2H), 7.77 (d, J = 1.9 Hz, 1H), 7.60 (d, J = 8.5 Hz, 2H), 7.34 (dd, J = 8.8, 2.0 Hz, 1H), 6.73 (d, J = 9 Hz, 1H), 6.60 (brs, 2H, NH2) ppm; 13C-NMR (DMSO-d6, 125 MHz) δ 167.1, 164.9, 149.2, 136.8, 134.9, 131.2, 130.3, 129.4, 128.7, 118.6, 113.8, 104.9 ppm; HRMS(ESI) m/z [M+H]+: C14H12BrClN3O2+, calc: 367.9796; found: 367.9793, 369.9770, 371.9838 M, M+2, M+4 (3/4/2).
- 2-Amino-5-bromo-N′-(4-nitrobenzoyl)benzohydrazide (11): Method C (1.5 h + 2 h); beige amorphous solid; mp: 221.5 °C (EA/hex); yield: 79%; IR (KBr) cm−1: 3387, 3290, 1682, 1646, 1605; 1H-NMR (DMSO-d6, 500 MHz) δ 10.78 (s, 1H, NH), 10.44 (brs, 1H, NH), 8.37 (d, J = 8.5 Hz, 2H), 8.14 (d, J = 8.5 Hz, 2H), 7.79 (s, 1H), 7.35 (d, J = 8.9 Hz, 1H), 6.74 (d, J = 8.9 Hz, 1H), 6.61 (brs, 2H, NH2) ppm; 13C-NMR (DMSO-d6, 125 MHz) δ 167.0, 164.4, 149.4, 149.2, 138.1, 134.9, 130.3, 129.0, 123.8, 118.6, 113.5, 104.9 ppm; HRMS(ESI) m/z [M+H]+: C14H12BrN4O4+, calc: 379,0036; found: 379.0037, 381.0017 (1/1).
- N′-(2-Amino-5-bromobenzoyl)furan-2-carbohydrazide (12): Method C (1.5 h + 2 h); beige amorphous solid; mp: 212.4–217.7 °C (EA/EtOH); yield: 50%; IR (KBr) cm−1: 3466, 3360, 3213, 1664, 1614, 1581; 1H-NMR (DMSO-d6, 500 MHz) δ 10.32 (s, 1H, NH), 10.27 (brs, 1H, NH), 7.92 (d, J = 0.8 Hz, 1H), 7.75 (d, J = 2.1 Hz, 1H), 7.33 (dd, J = 8.9, 2.1 Hz, 1H), 7.26 (d, J = 3.3 Hz, 1H), 6.72 (d, J = 8.9 Hz, 1H), 6.68 (dd, J = 3.3, 1.6 Hz, 1H), 6.59 (brs, 2H, NH2) ppm; 13C-NMR (DMSO-d6, 125 MHz) δ 167.1, 157.5, 149.2, 146.3, 145.8, 134.9, 130.3, 118.6, 114.6, 113.7, 111.9, 104. ppm; HRMS(ESI) m/z [M+H]+: C12H11BrN3O3+, calc: 323.9978; found: 323.9978, 325.9957 (1/1).
- 2-Amino-N′-benzoyl-3,5-dibromobenzohydrazide (13): Method B; white amorphous solid; mp: 275.9 °C (EtOH); yield: 46%; IR (KBr) cm−1: 3464, 3340, 3219, 1668, 1632, 1602; 1H-NMR (DMSO-d6, 500 MHz) δ 10.54 (brs, 2H, NH, NH), 7.91 (d, J = 7.3 Hz, 2H), 7.81 (s, 2H), 7.59 (t, J = 7.1 Hz, 1H), 7.52 (t, J = 7.4 Hz, 2H), 6.58 (brs, 2H, NH2) ppm; 13C-NMR (DMSO-d6, 125 MHz) δ 166.5, 165.9, 145.5, 137.0, 132.3, 132.0, 130.2, 128.6, 127.5, 116.0, 110.3, 105.2 ppm; HRMS(ESI) m/z [M+H]+: C14H12Br2N3O2+, calc: 411,9291; found: 411.9290, 413.9269, 415.9250 (1/2/1).
- 2-Amino-3,5-dibromo-N′-(4-chlorobenzoyl)benzohydrazide (14): Method B; light yellow amorphous solid; mp: 282.9 °C (1,4-dioxane); yield: 73%; IR (KBr) cm−1: 3483, 3342, 3031, 1658, 1630, 1601; 1H-NMR (DMSO-d6, 500 MHz) δ 10.64 (brs, 1H, NH), 10.57 (brs, 1H, NH), 7.81 και 7.94 (two doublets overlapped, 4H), 7.62 (s, 1H), 6.58 (brs, 2H, NH2) ppm; 13C-NMR (DMSO-d6, 125 MHz) δ 166.5, 164.9, 145.5, 137.1, 136.9, 131.0, 130.1, 129.4, 128.7, 115.9, 110.3, 105.2 ppm; HRMS(ESI) m/z [M+H]+: C14H11Br2ClN3O2+, calc: 445.8901; found: 445.8901, 447.8880, 449.8857, 451.8831 (3/7/5/1).
- 2-Amino-3,5-dibromo-N′-(4-nitrobenzoyl)benzohydrazide (15): Method B; yellow amorphous solid; mp: 283.5 °C (1,4-dioxane); yield: 69%; IR (KBr) cm−1: 3467, 3351, 3227, 3024, 1673, 1636, 1604; 1H-NMR (DMSO-d6, 500 MHz) δ 10.88 (brs, 1H, NH), 10.68 (brs, 1H, NH), 8.37 (d, J = 8.5 Hz, 2H), 8.14 (d, J = 8.5 Hz, 2H), 7.82 (s, 2H), 6.59 (brs, 2H, NH2) ppm; 13C-NMR (DMSO-d6, 125 MHz) δ 166.4, 164.4, 149.5, 145.6, 137.9, 137.2, 130.2, 129.1, 123.8, 115.6, 110.4, 105.2 ppm; HRMS(ESI) m/z [M+H]+: C14H11Br2N4O4+, calc: 456,9142; found: 456.9141, 458.9120, 460.9100 (1/2/1). Despite all our efforts, a small amount of 1,4-dioxane remained after recrystallization.
- N′-(2-Amino-3,5-dibromobenzoyl)furan-2-carbohydrazide (16): Method B; beige amorphous solid; mp: 223.3 °C (EA/EtOH); yield: 54%; IR (KBr) cm−1: 3469, 3410, 3339, 3198, 1676, 1640, 1600; 1H-NMR (DMSO-d6, 500 MHz) δ 10.48 (bs, 1H, NH), 10.41 (s, 1H, NH), 7.92 (s, 1H), 7.80 (s, 1H), 7.78 (s, 1H), 7.27 (d, J = 3.1 Hz, 1H), 6.68 (s, 1H), 6.57 (brs, 2H, NH2) ppm; 13C-NMR (DMSO-d6, 125 MHz) δ 166.4, 157.3, 146.0, 145.9, 145.5, 137.0, 130.1, 115.7, 114.8, 111.9, 110.3, 105.2 ppm; HRMS(ESI) m/z [M+H]+: C12H10Br2N3O3+, calc: 401,9083; found: 401.9083, 403.9062, 405.9042 (1/2/1).
- 2-Amino-N′-benzoyl-5-iodobenzohydrazide (17): Method C (1.5 h + 2.5 h); off-white amorphous solid; mp: 208.0 °C (EA/EtOH); yield: 46%; IR (KBr) cm−1: 3417, 3297, 3274, 1673, 1641, 1603; 1H-NMR (DMSO-d6, 400 MHz) δ 10.42 (s, 1H, NH), 10.31 (brs, 1H, NH), 7.92 (d, J = 7.5 Hz, 2H), 7.91 (s, 1H), 7.60 (t, J = 7.3 Hz, 1H), 7.52 (t, J = 7.4 Hz, 2H), 7.44 (d, J = 8.6 Hz, 1H), 6.61 (d, J = 8.7 Hz, 1H), 6.58 (brs, 2H, NH2) ppm; 13C-NMR (DMSO-d6, 100 MHz) δ 167.0, 165.9, 149.4, 140.2, 136.0, 132.5, 131.9, 128.5, 127.5, 119.0, 114.9, 74.6 ppm; HRMS(ESI) m/z [M+H]+: C14H13IN3O2+, calc: 382.0047; found: 382.0046.
- N′-(2-Amino-5-iodobenzoyl)furan-2-carbohydrazide (18): Method C (1.5 h + 1.5 h); beige amorphous solid; mp: 198.8 °C (EA/hex); yield: 48%; IR (KBr) cm−1: 3435, 3330, 3181, 1686, 1641, 1601; 1H-NMR (DMSO-d6, 500 MHz) δ 10.30 (s, 1H, NH), 10.24 (brs, 1H, NH), 7.91 (s, 1H), 7.87 (s, 1H), 7.45 (d, J = 8.6 Hz, 1H), 7.25 (s, 1H), 6.67 (s, 1H), 6.61 (d, J = 8.7 Hz, 1H), 6.57 (brs, 2H, NH2) ppm; 13C-NMR (DMSO-d6, 125 MHz) δ 167.0, 157.5, 149.5, 146.3, 145.8, 140.3, 136.0, 119.0, 114.7, 114.6, 111.9, 74.6 ppm; HRMS(ESI) m/z [M+H]+: C12H11IN3O3+, calc: 371.9840; found: 371.9836.
- 2-Amino-N′-benzoyl-4-chlorobenzohydrazide (19): Method C (1.5 h + 1.5 h); white amorphous solid; mp: 230.1 °C (EA/EtOH); yield: 58%; IR (KBr) cm−1: 3458, 3353, 3205, 1607, 1566; 1H-NMR (DMSO-d6, 500 MHz) δ 10.40 (s, 1H, NH), 10.26 (s, 1H, NH), 7.91 (d, J = 7.5 Hz, 2H), 7.62 (d, J = 8.6 Hz, 1H), 7.59 (t, J = 7.2 Hz, 1H), 7.51 (t, J = 7.5 Hz, 2H), 6.82 (s, 1H), 6.69 (brs, 2H, NH2), 6.58 (d, J = 8.4 Hz, 1H) ppm; 13C-NMR (DMSO-d6, 125 MHz) δ 167.5, 166.0, 151.2, 136.9, 132.6, 131.9, 130.0, 128.5, 127.5, 115.2, 114.4, 111.3 ppm; HRMS(ESI) m/z [M+H]+: C14H13ClN3O2+, calc: 290.0691; found: 290.0690, 292.0661 (3/1).
- N′-(2-Amino-4-chlorobenzoyl)furan-2-carbohydrazide (20): Method C (1.5 h + 1.5 h); white amorphous solid; mp: 207.8 °C (EA/EtOH); yield: 57%; IR (KBr) cm−1: 3397, 3303, 1681, 1648, 1613; 1H-NMR (DMSO-d6, 500 MHz) δ 10.28 (s, 1H, NH), 10.21 (s, 1H, NH), 7.91 (s, 1H), 7.59 (d, J = 8.4 Hz, 1H), 7.25 (s, 1H), 6.81 (s, 1H), 6.68 (brs, 3H, 1H + NH2), 6.57 (d, J = 8.3 Hz, 1H) ppm; 13C-NMR (DMSO-d6, 100 MHz) δ 167.6, 157.6, 151.3, 146.3, 145.8, 136.9, 130.0, 115.2, 114.6, 114.4, 111.9, 111.0 ppm; HRMS(ESI) m/z [M+H]+: C12H11ClN3O3+, calc: 280.0483; found: 280.0483, 280.0452 (3/1).
- 2-Amino-N′-benzoyl-4-nitrobenzohydrazide (21): Method C (1.5 h + 3 h); yellow amorphous solid; mp: 244.4 °C (EA/EtOH); yield: 45%; IR (KBr) cm−1: 3406, 3275, 1671, 1646, 1622; 1H-NMR (DMSO-d6, 500 MHz) δ 10.53 (s, 2H, NH, NH), 7.92 (d, J = 7.5 Hz, 2H), 7.90 (s, 1H), 7.78 (d, J = 8.5 Hz, 1H), 7.63 (s, 1H), 7.60 (t, J = 7.8 Hz, 1H), 7.53 (t, J = 7.4 Hz, 2H), 7.34 (d, J = 8.5 Hz, 1H), 6.87 (brs, 2H, NH2) ppm; 13C-NMR (DMSO-d6, 125 MHz) δ 166.9, 166.0, 150.3, 149.8, 132.4, 132.0, 129.8, 128.6, 127.5, 118.1, 110.2, 108.4 ppm; HRMS(ESI) m/z [M+H]+: C14H13N4O4+, calc: 301.0931; found: 301.0932.
- N′-(2-Amino-4-nitrobenzoyl)furan-2-carbohydrazide (22): Method C (1.5 h + 6 h); yellow amorphous solid; mp: 242.0 °C (EA/EtOH); yield: 47%; IR (KBr) cm−1: 3446, 3366, 3212, 3129, 1682, 1627, 1564; 1H-NMR (DMSO-d6, 500 MHz) δ 10.47 (s, 1H, NH), 10.42 (s, 1H, NH), 7.92 (s, 1H), 7.75 (d, J = 8.6 Hz, 1H), 7.62 (s, 1H), 7.32 (d, J = 8.6 Hz, 1H), 7.26 (d, J = 2.1 Hz, 1H), 6.85 (brs, 2H, NH2), 6.68 (dd, J = 3.0, 1.5 Hz, 1H) ppm; 13C-NMR (DMSO-d6, 125 MHz) δ 166.9, 157.5, 150.3, 149.9, 146.2, 145.9, 129.8, 117.8, 114.8, 112.0, 110.2, 108.4 ppm; HRMS(ESI) m/z [M+H]+: C12H11N4O5+, calc: 291.0724; found: 291.0725.
- 2-Amino-N′-benzoyl-5-nitrobenzohydrazide (23): Method C (1.5 h + 12 h); yellow amorphous solid; mp: 311.1 °C (1,4-dioxane/EtOH); yield: 20%; IR (KBr) cm−1: 3398, 3362, 3297, 3263, 3177, 1689, 1645, 1619; 1H-NMR (DMSO-d6, 500 MHz) δ 10.68 (s, 1H, NH), 10.51 (s, 1H, NH), 8.64 (s, 1H), 8.08 (d, J = 9.0 Hz, 1H), 7.92 (d, J = 7.5 Hz, 2H), 7.72 (brs, 2H, NH2), 7.61 (t, J = 7.3 Hz, 1H), 7.53 (t, J = 7.4 Hz, 2H), 6.86 (d, J = 9.2 Hz, 1H), ppm; 13C-NMR (DMSO-d6, 75 MHz) δ 166.8, 166.0, 155.3, 135.0, 132.4, 132.0, 128.6, 127.9, 127.5, 126.0, 116.1, 111.0 ppm; HRMS(ESI) m/z [M+H]+: C14H13N4O4+, calc: 301.0931; found: 301.0932.
- N′-(2-Amino-5-nitrobenzoyl)furan-2-carbohydrazide (24): Method C (1.5 h + 12 h); yellow amorphous solid; mp: >350 °C (1,4-dioxane/EtOH); yield: 26%; IR (KBr) cm−1: 3401, 3294, 3253, 1688, 1643, 1618; 1H-NMR (DMSO-d6, 300 MHz) δ 10.64 (s, 1H, NH), 10.41 (s, 1H, NH), 8.61 (d, J = 2.6 Hz, 1H), 8.08 (dd, J = 9.3, 2.6 Hz, 1H), 7.94 (s, 1H), 7.73 (brs, 2H, NH2), 7.27 (d, J = 3.5 Hz, 1H), 6.86 (d, J = 9.3 Hz, 1H), 6.69 (s, 1H) ppm; 13C-NMR (DMSO-d6, 75 MHz) δ 166.8, 157.4, 155.3, 146.2, 145.9, 135.0, 128.0, 126.0, 116.1, 114.8, 112.0, 110.7 ppm; HRMS(ESI) m/z [M+H]+: C12H11N4O5+, calc: 291.0724; Found: 291.0729.
3.2. DNA Photo-Cleavage Experiments
3.3. Molecular Docking Studies
3.4. Cell Culture Experiments
4. Conclusions
Supplementary Materials
Author Contributions
Funding
Institutional Review Board Statement
Informed Consent Statement
Data Availability Statement
Acknowledgments
Conflicts of Interest
References
- Pandey, A.; Srivastava, S.; Aggarwal, N.; Srivastava, C.; Adholeya, A.; Kochar, M. Assessment of the Pesticidal Behaviour of Diacyl Hydrazine-Based Ready-to-Use Nanoformulations. Chem. Biol. Technol. Agric. 2020, 7, 10. [Google Scholar] [CrossRef]
- Huang, Z.; Liu, Y.; Li, Y.; Xiong, L.; Cui, Z.; Song, H.; Liu, H.; Zhao, Q.; Wang, Q. Synthesis, Crystal Structures, Insecticidal Activities, and Structure-Activity Relationships of Novel N′-Tert-Butyl-N′-Substituted-Benzoyl-N-[Di(Octa)Hydro]Benzofuran{(2,3-Dihydro)Benzo[1,3]([1,4])Dioxine}carbohydrazide Derivatives. J. Agric. Food Chem. 2011, 59, 635–644. [Google Scholar] [CrossRef] [PubMed]
- Sun, G.X.; Sun, Z.H.; Yang, M.Y.; Liu, X.H.; Ma, Y.; Wei, Y.Y. Design, Synthesis, Biological Activities and 3D-QSAR of New N,N′-Diacylhydrazines Containing 2,4-Dichlorophenoxy Moieties. Molecules 2013, 18, 14876–14891. [Google Scholar] [CrossRef]
- Clements, J.S.; Islam, R.; Sun, B.; Tong, F.; Gross, A.D.; Bloomquist, J.R.; Carlier, P.R. N′-Mono- and N, N′-Diacyl Derivatives of Benzyl and Arylhydrazines as Contact Insecticides against Adult Anopheles Gambiae. Pestic. Biochem. Physiol. 2017, 143, 33–38. [Google Scholar] [CrossRef] [PubMed]
- Freitas, M.B.; Simollardes, K.A.; Rufo, C.M.; McLellan, C.N.; Dugas, G.J.; Lupien, L.E.; Davie, E.A.C. Bidirectional Synthesis of Montamine Analogs. Tetrahedron Lett. 2013, 54, 5489–5491. [Google Scholar] [CrossRef]
- Spiliopoulou, N.; Constantinou, C.T.; Triandafillidi, I.; Kokotos, C.G. Synthetic Approaches to Acyl Hydrazides and Their Use as Synthons in Organic Synthesis. Synthesis 2020, 52, 3219–3230. [Google Scholar] [CrossRef]
- Venkatagiri, N.; Krishna, T.; Thirupathi, P.; Bhavani, K.; Reddy, C.K. Synthesis, Characterization, and Antimicrobial Activity of a Series of 2-(5-Phenyl-1,3,4-Oxadiazol-2-Yl)-N-[(1-Aryl-1H-1,2,3-Triazol-4-Yl)Methyl]Anilines Using Click Chemistry. Russ. J. Gen. Chem. 2018, 88, 1488–1494. [Google Scholar] [CrossRef]
- Perković, I.; Poljak, T.; Savijoki, K.; Varmanen, P.; Maravić-Vlahoviček, G.; Beus, M.; Kučević, A.; Džajić, I.; Rajić, Z. Synthesis and Biological Evaluation of New Quinoline and Anthranilic Acid Derivatives as Potential Quorum Sensing Inhibitors. Molecules 2023, 28, 5866. [Google Scholar] [CrossRef]
- Zheng, C.; Yuan, A.; Zhang, Z.; Shen, H.; Bai, S.; Wang, H. Synthesis of Pyridine-Based 1,3,4-Oxadiazole Derivative as Fluorescence Turn-on Sensor for High Selectivity of Ag+. J. Fluoresc. 2013, 23, 785–791. [Google Scholar] [CrossRef]
- Nagahara, K.; Takada, A. Synthesis of 3,3′-Biquinazoline-4,4′-Diones and 1,3,4-Oxadiazoles from Isatoic Anhydride. Chem. Pharm. Bull. 1977, 25, 2713–2717. [Google Scholar] [CrossRef][Green Version]
- Fadda, A.A.; Abdel-Latif, E.; Fekri, A.; Mostafa, A.R. Synthesis and Docking Studies of Some 1,2,3-Benzotriazine-4-One Derivatives as Potential Anticancer Agents. J. Heterocycl. Chem. 2019, 56, 804–814. [Google Scholar] [CrossRef]
- Smirnov, G.A.; Sizova, E.P.; Luk’yanov, O.A.; Fedyanin, I.V.; Antipin, M.Y. Reactions of N′-Acyl and N′-Tosyl Substituted Hydrazides of 2 Aminobenzoic Acid with Carbonyl Compounds. Russ. Chem. Bull. Int. Ed. 2003, 52, 2444–2445. [Google Scholar] [CrossRef]
- Mieriņa, I.; Tetere, Z.; Zicāne, D.; Raviņa, I.; Turks, M.; Jure, M. Synthesis and Antioxidant Activity of New Analogs of Quin-C1. Chem. Heterocycl. Compd. 2013, 48, 1824–1831. [Google Scholar] [CrossRef]
- Beam, C.F.; Kadhodayan, B.; Taylor, R.A.; Heindel, N.D. Preparation of Esters of Certain Substituted 1,2,3,4-Tetrahydro-4-Oxo-2-Quin Azoline Acetic Acids from Isatoic Anhydrides, Substituted Hydrazines, and Acetylene Diesters. Synth. Commun. 1993, 23, 237–244. [Google Scholar] [CrossRef]
- Zicāne, D.; Raviņa, I.; Tetere, Z.; Petrova, M. Synthesis of N′-Cyclohexenecarbonyl-Substituted Hydrazides of 2-Aminobenzoic Acids and Preparation of 3-Cyclohexenyl-Amido-1,2-Dihydroquinazolin-4-Ones Based on Them. Chem. Heterocycl. Compd. 2007, 43, 755–758. [Google Scholar] [CrossRef]
- Zicāne, D.; Tetere, Z.; Raviņa, I.; Turks, M. Synthesis of novel 4-aminotetrahydro-pyrrolo[1,2-α]quinazolinone derivatives. Chem. Heterocycl. Compd. 2013, 49, 310–316. [Google Scholar] [CrossRef]
- Boltersdorf, T.; Ansari, J.; Senchenkova, E.Y.; Jiang, L.; White, A.J.P.; Coogan, M.; Gavins, F.N.E.; Long, N.J. Development, Characterisation and: In Vitro Evaluation of Lanthanide-Based FPR2/ALX-Targeted Imaging Probes. Dalt. Trans. 2019, 48, 16764–16775. [Google Scholar] [CrossRef]
- Zicane, D.; Ravina, I.; Tetere, Z.; Rijkure, I. Synthesis of 3-{3-[(4-methylcyclohex-3-enyl-carbonyl)amino]-4-oxo-3,4-dihydroquinazolin-2-yl} Propanoic Acid Anilides. Chem. Heterocycl. Compd. 2012, 48, 380–383. [Google Scholar] [CrossRef]
- Shakhidoyatov, K.M.; Urakov, B.A.; Mukarramov, N.I.; Ashirmatov, M.A.; Bruskov, V.P. Oxidative Cyclocondensation of Thio(Seleno)Amides and Ureas 1. 2-Thioxo-4-Quinazolone. Chem. Heterocycl. Compd. 1996, 32, 728–731. [Google Scholar] [CrossRef]
- Shemchuk, L.A.; Chernykh, V.P.; Krys’kiv, O.S. Synthesis of 2-R-3-Hydroxy[1,2,4]Triazino[6,1-b]-Quinazoline-4,10-Diones. Russ. J. Org. Chem. 2006, 42, 752–756. [Google Scholar] [CrossRef]
- Pu, L.Y.; Zhang, Y.J.; Liu, W.; Teng, F. Chiral Phosphoric Acid-Catalyzed Dual-Ring Formation for Enantioselective Construction of N-N Axially Chiral 3,3′-Bisquinazolinones. Chem. Commun. 2022, 58, 13131–13134. [Google Scholar] [CrossRef]
- Althagafi, I.; Morad, M.; Al-dawood, A.Y.; Yarkandy, N.; Katouah, H.A.; Hossan, A.S.; Khedr, A.M.; El-Metwaly, N.M.; Ibraheem, F. Synthesis and Characterization for New Zn(II) Complexes and Their Optimizing Fertilization Performance in Planting Corn Hybrid. Chem. Pap. 2021, 75, 2121–2133. [Google Scholar] [CrossRef]
- Rehman, S.U.; Ikram, M.; Rehman, S. Synthesis and Biological Studies of Complexes of 2-Amino-N(2-Aminobenzoyl) Benzohydrazide with Co(II), Ni(II), and Cu(II). Front. Chem. China 2010, 5, 348–356. [Google Scholar] [CrossRef]
- Saeed-Ur-Rehman; Mazhar-Ul-Islam; Ikram, M.; Rehman, S.; Shah, S.M.; Mahdi, K.; Ullah, F. Effect on the Inhibitory Activity of Potential Microbes on the Complexation of Methyl Anthranilate Derived Hydrazide with Cu, Ni and Zn(II) Metal Ions. J. Chem. Soc. Pak. 2013, 35, 420–425. [Google Scholar] [CrossRef][Green Version]
- Zasada, L.B.; Guio, L.; Kamin, A.A.; Dhakal, D.; Monahan, M.; Seidler, G.T.; Luscombe, C.K.; Xiao, D.J. Conjugated Metal-Organic Macrocycles: Synthesis, Characterization, and Electrical Conductivity. J. Am. Chem. Soc. 2022, 144, 4515–4521. [Google Scholar] [CrossRef] [PubMed]
- Li, Y.; Jia, L.; Tang, X.; Dong, J.; Cui, Y.; Liu, Y. Metal-Organic Macrocycles with Tunable Pore Microenvironments for Selective Anion Transmembrane Transport. Mater. Chem. Front. 2022, 6, 1010–1020. [Google Scholar] [CrossRef]
- Oh, M.; Liu, X.; Park, M.; Kim, D.; Moon, D.; Lah, M.S. Entropically Driven Self-Assembly of a Strained Hexanuclear Indium Metal-Organic Macrocycle and Its Behavior in Solution. Dalt. Trans. 2011, 40, 5720–5727. [Google Scholar] [CrossRef] [PubMed]
- Park, M.; John, R.P.; Moon, D.; Lee, K.; Kim, G.H.; Lah, M.S. Two Octanuclear Gallium Metallamacrocycles of Topologically Different Connectivities. J. Chem. Soc. Dalt. Trans. 2007, 5412–5418. [Google Scholar] [CrossRef] [PubMed]
- Choi, J.; Park, J.; Park, M.; Moon, D.; Myoung, S.L. A 2D Layered Metal-Organic Framework Constructed by Using a Hexanuclear Manganese Metallamacrocycle as a Supramolecular Building Block. Eur. J. Inorg. Chem. 2008, 2008, 5465–5470. [Google Scholar] [CrossRef]
- Rodrigues, P.C.A.; Roth, T.; Fiebig, H.H.; Unger, C.; Mülhaupt, R.; Kratz, F. Correlation of the Acid-Sensitivity of Polyethylene Glycol Daunorubicin Conjugates with Their in Vitro Antiproliferative Activity. Bioorg. Med. Chem. 2006, 14, 4110–4117. [Google Scholar] [CrossRef]
- Fang, Z.Y.; Zhang, Y.H.; Chen, C.H.; Zheng, Q.; Lv, P.C.; Ni, L.Q.; Sun, J.; Wu, Y.F. Design, Synthesis and Molecular Docking of Novel Quinazolinone Hydrazide Derivatives as EGFR Inhibitors. Chem. Biodivers. 2022, 19, e202200189. [Google Scholar] [CrossRef]
- Zhao, H.; Neamati, N.; Sunder, S.; Hong, H.; Wang, S.; Milne, G.W.A.; Pommier, Y.; Burke, T.R. Hydrazide-Containing Inhibitors of HIV-1 Integrase. J. Med. Chem. 1997, 40, 937–941. [Google Scholar] [CrossRef]
- Nisa, M.-U.; Munawar, M.A.; Iqbal, A.; Ahmed, A.; Ashraf, M.; Gardener, Q.-T.A.A.; Khan, M.A. Synthesis of Novel 5-(Aroylhydrazinocarbonyl)Escitalopram as Cholinesterase Inhibitors. Eur. J. Med. Chem. 2017, 138, 396–406. [Google Scholar] [CrossRef]
- Joshi, S.D.; Dixit, S.R.; Kulkarni, V.H.; Lherbet, C.; Nadagouda, M.N.; Aminabhavi, T.M. Synthesis, Biological Evaluation and in Silico Molecular Modeling of Pyrrolyl Benzohydrazide Derivatives as Enoyl ACP Reductase Inhibitors. Eur. J. Med. Chem. 2017, 126, 286–297. [Google Scholar] [CrossRef]
- Zhou, Y.; Wei, W.; Zhu, L.; Li, Y. Synthesis and Bioactivities Evaluation of Novel Anthranilic Diamides Containing N-(Tert-Butyl)Benzohydrazide Moiety as Potent Ryanodine Receptor Activator. Chin. J. Chem. 2019, 37, 605–610. [Google Scholar] [CrossRef]
- Zhou, Y.; Wei, W.; Zhu, L.; Li, Y.; Li, Z. Synthesis and Insecticidal Activity Study of Novel Anthranilic Diamides Analogs Containing a Diacylhydrazine Bridge as Effective Ca2+ Modulators. Chem. Biol. Drug Des. 2018, 92, 1914–1919. [Google Scholar] [CrossRef]
- Armitage, B. Photocleavage of Nucleic Acids. Chem. Rev. 1998, 98, 1171–1200. [Google Scholar] [CrossRef]
- Zhang, J.; Jiang, C.; Figueiró Longo, J.P.; Azevedo, R.B.; Zhang, H.; Muehlmann, L.A. An Updated Overview on the Development of New Photosensitizers for Anticancer Photodynamic Therapy. Acta Pharm. Sin. B 2018, 8, 137–146. [Google Scholar] [CrossRef] [PubMed]
- Bhardwaj, S.K.; Singh, H.; Deep, A.; Khatri, M.; Bhaumik, J.; Kim, K.-H.; Bhardwaj, N. UVC-Based Photoinactivation as an Efficient Tool to Control the Transmission of Coronaviruses. Sci. Total Environ. 2021, 792, 148548. [Google Scholar] [CrossRef] [PubMed]
- Shleeva, M.; Savitsky, A.; Kaprelyants, A. Photoinactivation of Mycobacteria to Combat Infection Diseases: Current State and Perspectives. Appl. Microbiol. Biotechnol. 2021, 105, 4099–4109. [Google Scholar] [CrossRef] [PubMed]
- Hamblin, M.R.; Abrahamse, H. Oxygen-Independent Antimicrobial Photoinactivation: Type III Photochemical Mechanism? Antibiotics 2020, 9, 53. [Google Scholar] [CrossRef]
- Sharma, T.; Vinit; Sakshi; Bawa, S.; Kumar, V.; Singh, J.; Kataria, R.; Singh, B.; Kumar, V. Synthesis, Characterization, Antibacterial and DNA Photocleavage Study of 1-(2-Arenethyl)-3, 5-Dimethyl-1H-Pyrazoles. Chem. Data Collect. 2020, 28, 100408. [Google Scholar] [CrossRef]
- Aggarwal, R.; Kumar, S.; Mittal, A.; Sadana, R.; Dutt, V. Synthesis, Characterization, in Vitro DNA Photocleavage and Cytotoxicity Studies of 4-Arylazo-1-Phenyl-3-(2-Thienyl)-5-Hydroxy-5-Trifluoromethylpyrazolines and Regioisomeric 4-Arylazo-1-Phenyl-5(3)-(2-Thienyl)-3(5)-Trifluoromethylpyrazoles. J. Fluor. Chem. 2020, 236, 109573. [Google Scholar] [CrossRef]
- Yusuf, M.; Kaur, M.; Sohal, H.S. Synthesis, Antimicrobial Evaluations, and DNA Photo Cleavage Studies of New Bispyranopyrazoles. J. Heterocycl. Chem. 2017, 54, 706–713. [Google Scholar] [CrossRef]
- Ragheb, M.A.; Abdelwahab, R.E.; Darweesh, A.F.; Soliman, M.H.; Elwahy, A.H.M.; Abdelhamid, I.A. Hantzsch-Like Synthesis, DNA Photocleavage, DNA/BSA Binding, and Molecular Docking Studies of Bis(Sulfanediyl)Bis(Tetrahydro-5-Deazaflavin) Analogs Linked to Naphthalene Core. Chem. Biodivers. 2022, 19, 202100958. [Google Scholar] [CrossRef] [PubMed]
- Ahoulou, E.O.; Drinkard, K.K.; Basnet, K.; Lorenz, A.S.; Taratula, O.; Henary, M.; Grant, K.B. DNA Photocleavage in the Near-Infrared Wavelength Range by 2-Quinolinium Dicarbocyanine Dyes. Molecules 2020, 25, 2926. [Google Scholar] [CrossRef] [PubMed]
- Basnet, K.; Fatemipouya, T.; St. Lorenz, A.; Nguyen, M.; Taratula, O.; Henary, M.; Grant, K.B. Single Photon DNA Photocleavage at 830 Nm by Quinoline Dicarbocyanine Dyes. Chem. Commun. 2019, 55, 12667–12670. [Google Scholar] [CrossRef] [PubMed]
- Li, H.; Yue, L.; Wu, M.; Wu, F. Self-Assembly of Methylene Violet-Conjugated Perylene Diimide with Photodynamic/Photothermal Properties for DNA Photocleavage and Cancer Treatment. Colloids Surf. B Biointerfaces 2020, 196, 111351. [Google Scholar] [CrossRef] [PubMed]
- Kovvuri, J.; Nagaraju, B.; Nayak, V.L.; Akunuri, R.; Rao, M.P.N.; Ajitha, A.; Nagesh, N.; Kamal, A. Design, Synthesis and Biological Evaluation of New β-Carboline-Bisindole Compounds as DNA Binding, Photocleavage Agents and Topoisomerase I Inhibitors. Eur. J. Med. Chem. 2018, 143, 1563–1577. [Google Scholar] [CrossRef]
- Ragheb, M.A.; Omar, R.S.; Soliman, M.H.; Elwahy, A.H.M.; Abdelhamid, I.A. Synthesis, Characterization, DNA Photocleavage, in Silico and in Vitro DNA/BSA Binding Properties of Novel Hexahydroquinolines. J. Mol. Struct. 2022, 1267, 133628. [Google Scholar] [CrossRef]
- Kumar, S.; Sukhvinder; Kumar, V.; Gupta, G.K.; Beniwal, V.; Abdmouleh, F.; Ketata, E.; El Arbi, M. Antibacterial, Tyrosinase, and DNA Photocleavage Studies of Some Triazolylnucleosides. Nucleosides Nucleotides Nucleic Acids 2017, 36, 543–551. [Google Scholar] [CrossRef]
- Kaur, M.; Yusuf, M.; Malhi, D.S.; Sohal, H.S. Bis-Pyrimidine Derivatives: Synthesis and Impact of Olefinic/Aromatic Linkers on Antimicrobial and DNA Photocleavage Activity. Russ. J. Org. Chem. 2022, 58, 1831–1838. [Google Scholar] [CrossRef]
- Kakoulidou, C.; Gritzapis, P.S.; Hatzidimitriou, A.G.; Fylaktakidou, K.C.; Psomas, G. Zn(II) Complexes of (E)-4-(2-(Pyridin-2-Ylmethylene)Hydrazinyl)Quinazoline in Combination with Non-Steroidal Anti-Inflammatory Drug Sodium Diclofenac: Structure, DNA Binding and Photo-Cleavage Studies, Antioxidant Activity and Interaction with Albumin. J. Inorg. Biochem. 2020, 211, 111194. [Google Scholar] [CrossRef] [PubMed]
- Kakoulidou, C.; Chasapis, C.T.; Hatzidimitriou, A.G.; Fylaktakidou, K.C.; Psomas, G. Transition Metal(Ii) Complexes of Halogenated Derivatives of (E)-4-(2-(Pyridin-2-Ylmethylene)Hydrazinyl)Quinazoline: Structure, Antioxidant Activity, DNA-Binding DNA Photocleavage, Interaction with Albumin and in Silico Studies. Dalt. Trans. 2022, 27, 16688–16705. [Google Scholar] [CrossRef] [PubMed]
- Perontsis, S.; Geromichalos, G.D.; Pekou, A.; Hatzidimitriou, A.G.; Pantazaki, A.; Fylaktakidou, K.C.; Psomas, G. Structure and Biological Evaluation of Pyridine-2-Carboxamidine Copper(II) Complex Resulting from N′-(4-Nitrophenylsulfonyloxy)2-Pyridine-Carboxamidoxime. J. Inorg. Biochem. 2020, 208, 111085. [Google Scholar] [CrossRef] [PubMed]
- Panagopoulos, A.; Alipranti, K.; Mylona, K.; Paisidis, P.; Rizos, S.; Koumbis, A.E.; Roditakis, E.; Fylaktakidou, K.C. Exploration of the DNA Photocleavage Activity of O-Halo-Phenyl Carbamoyl Amidoximes: Studies of the UVA-Induced Effects on a Major Crop Pest, the Whitefly Bemisia Tabaci. DNA 2023, 3, 85–100. [Google Scholar] [CrossRef]
- Panagopoulos, A.; Balalas, T.; Mitrakas, A.; Vrazas, V.; Katsani, K.R.; Koumbis, A.E.; Koukourakis, M.I.; Litinas, K.E.; Fylaktakidou, K.C. 6-Nitro-Quinazolin−4(3H)−one Exhibits Photodynamic Effects and Photodegrades Human Melanoma Cell Lines. A Study on the Photoreactivity of Simple Quinazolin−4(3H)−ones. Photochem. Photobiol. 2021, 97, 826–836. [Google Scholar] [CrossRef] [PubMed]
- Mikra, C.; Bairaktari, M.; Petridi, M.-T.; Detsi, A.; Fylaktakidou, K.C. Green Process for the Synthesis of 3-Amino-2-Methyl -Quinazolin-4(3H)-One Synthones and Amides Thereof:DNA Photo-Disruptive and Molecular Docking Studies. Processes 2022, 10, 384. [Google Scholar] [CrossRef]
- Acosta-Guzmán, P.; Ojeda-Porras, A.; Gamba-Sánchez, D. Contemporary Approaches for Amide Bond Formation. Adv. Synth. Catal. 2023, 365, 4359–4391. [Google Scholar] [CrossRef]
- Valeur, E.; Bradley, M. Amide Bond Formation: Beyond the Myth of Coupling Reagents. Chem. Soc. Rev. 2009, 38, 606–631. [Google Scholar] [CrossRef]
- Massolo, E.; Pirola, M.; Benaglia, M. Amide Bond Formation Strategies: Latest Advances on a Dateless Transformation. Eur. J. Org. Chem. 2020, 2020, 4641–4651. [Google Scholar] [CrossRef]
- Tereshchenko, A.D.; Myronchuk, J.S.; Leitchenko, L.D.; Knysh, I.V.; Tokmakova, G.O.; Litsis, O.O.; Tolmachev, A.; Liubchak, K.; Mykhailiuk, P. Synthesis of 3-Oxadiazolyl/Triazolyl Morpholines: Novel Scaffolds for Drug Discovery. Tetrahedron 2017, 73, 750–757. [Google Scholar] [CrossRef]
- Samala, G.; Devi, P.B.; Saxena, S.; Meda, N.; Yogeeswari, P.; Sriram, D. Design, Synthesis and Biological Evaluation of Imidazo[2,1-b]Thiazole and Benzo[d]Imidazo[2,1-b]Thiazole Derivatives as Mycobacterium Tuberculosis Pantothenate Synthetase Inhibitors. Bioorg. Med. Chem. 2016, 24, 1298–1307. [Google Scholar] [CrossRef]
- Liang, J.w.; Li, W.q.; Nian, Q.y.; Xie, S.h.; Yang, L.; Meng, F.h. Synthesis and Identification of a Novel Skeleton of N-(Pyridin-3-Yl) Proline as a Selective CDK4/6 Inhibitor with Anti-Breast Cancer Activities. Bioorg. Chem. 2022, 119, 105547. [Google Scholar] [CrossRef]
- Montalbetti, C.A.G.N.; Falque, V. Amide Bond Formation and Peptide Coupling. Tetrahedron 2005, 61, 10827–10852. [Google Scholar] [CrossRef]
- Wright, W.B.; Tomcufcik, A.S.; Chan, P.S.; Marsico, J.W.; Press, J.B. Thromboxane Synthetase Inhibitors and Antihypertensive Agents. 4. N-[(1H-imidazol-1-yl)alkyl] derivatives of quinazoline-2,4(1H,3H)-diones, quinazolin-4(3H)-ones, and 1,2,3-benzotriazin-4(3H)-ones. J. Med. Chem. 1987, 30, 2277–2283. [Google Scholar] [CrossRef] [PubMed]
- Jang, D.O.; Park, D.J.; Kim, J. Mild and Efficient Procedure for the Preparation of Acid Chlorides from Carboxylic Acids. Tetrahedron Lett. 1999, 40, 5323–5326. [Google Scholar] [CrossRef]
- Gkizis, P.L.; Triandafillidi, I.; Kokotos, C.G. Nitroarenes: The Rediscovery of Their Photochemistry Opens New Avenues in Organic Synthesis. Chem 2023, 9, P3401–P3414. [Google Scholar] [CrossRef]
- Foot, C.S. Definition of Type I and Type II photosensitized oxidation. Photochem. Photobiol. 1991, 54, 659. [Google Scholar] [CrossRef] [PubMed]
- Logotheti, S.; Papaevangeliou, D.; Michalopoulos, I.; Sideridou, M.; Tsimaratou, K.; Christodoulou, I.; Pyrillou, K.; Gorgoulis, V.; Vlahopoulos, S.; Zoumpourlis, V. Progression of Mouse Skin Carcinogenesis Is Associated with Increased Erα Levels and Is Repressed by a Dominant Negative Form of Erα. PLoS ONE 2012, 7, 41957. [Google Scholar] [CrossRef][Green Version]
- Reddy, C.K.; Reddy, P.S.N.; Ratnam, C.V. A Facile Synthesis of 2-Aryl-3,4-Dihydro-5H-1,3,4-Benzotriazepin-5-Ones. Synthesis 1983, 1983, 842–844. [Google Scholar] [CrossRef]
- Pasolli, M.; Dafnopoulos, K.; Andreou, N.P.; Gritzapis, P.S.; Koffa, M.; Koumbis, A.E.; Psomas, G.; Fylaktakidou, K.C. Pyridine and p-Nitrophenyl Oxime Esters with Possible Photochemotherapeutic Activity: Synthesis, DNA Photocleavage and DNA Binding Studies. Molecules 2016, 21, 864. [Google Scholar] [CrossRef]
- Frisch, M.J.; Trucks, G.W.; Schlegel, H.B.; Scuseria, G.E.; Robb, M.A.; Cheeseman, J.R.; Scalmani, G.; Barone, V.; Mennucci, B.; Petersson, G.A.; et al. Gaussian 09, Revision B.01; Gaussian, Inc.: Wallingford, CT, USA, 2009. [Google Scholar]
- Drew, H.R.; Dickerson, R.E. Structure of a B-DNA Dodecamer. III. Geometry of Hydration. J. Mol. Biol. 1981, 151, 535–556. [Google Scholar] [CrossRef]
- Trott, O.; Olson, A.J. Software News and Update AutoDock Vina: Improving the Speed and Accuracy of Docking with a New Scoring Function, Efficient Optimization, and Multithreading. J. Comput. Chem. 2010, 31, 455–461. [Google Scholar] [CrossRef]
- Schrodinger, L. The PyMOL Molecular Graphics System; Version 1.2r3pre. Available online: https://pymol.sourceforge.net/overview/index.htm (accessed on 21 January 2024).













| Compound | Energy (Kcal/mol) | Interactions (PyMol) Polar Contacts |
|---|---|---|
| 1 | −8.9 | DG4, DA5, DG22 |
| 2 | −9.0 | DG4, DA5, DG22 |
| 3 | −8.1 | DG10, DC11, DG14, DG16 |
| 4 | −8.9 | DG10, DC11, DC15, DG16 |
| 5 | −9.5 | DG10, DC11 |
| 6 | −9.0 | DC15, DG16 |
| 7 | −9.8 | DG16 |
| 8 | −9.2 | DG10, DC15, DG16 |
| 9 | −8.8 | DC15, DG16 |
| 10 | −9.0 | DC15, DG16 |
| 11 | −9.4 | DG10, DC11, DC15, DG16 |
| 12 | −9.0 | DG10, DC11, DC15, DG16 |
| 13 | −9.2 | DC11 |
| 14 | −9.3 | DG10, DC11 |
| 15 | −10.1 | DG10, DC11 |
| 16 | −8.9 | DG10, DG16 |
| 17 | −9.4 | DG10, DC15, DG16 |
| 18 | −9.2 | DG10, DC15, DG16 |
| 19 | −9.6 | DG10, DC11 |
| 20 | −9.5 | DG10, DG16 |
| 21 | −9.9 | DG10, DG16 |
| 22 | −9.5 | DG10, DC11, DC15, DG16 |
| 23 | −9.8 | DG10, DG16 |
| 24 | −9.4 | DG10, DC11, DG14, DG16 |
Disclaimer/Publisher’s Note: The statements, opinions and data contained in all publications are solely those of the individual author(s) and contributor(s) and not of MDPI and/or the editor(s). MDPI and/or the editor(s) disclaim responsibility for any injury to people or property resulting from any ideas, methods, instructions or products referred to in the content. |
© 2024 by the authors. Licensee MDPI, Basel, Switzerland. This article is an open access article distributed under the terms and conditions of the Creative Commons Attribution (CC BY) license (https://creativecommons.org/licenses/by/4.0/).
Share and Cite
Mitrakas, A.; Stathopoulou, M.-E.K.; Mikra, C.; Konstantinou, C.; Rizos, S.; Malichetoudi, S.; Koumbis, A.E.; Koffa, M.; Fylaktakidou, K.C. Synthesis of 2-Amino-N′-aroyl(het)arylhydrazides, DNA Photocleavage, Molecular Docking and Cytotoxicity Studies against Melanoma CarB Cell Lines. Molecules 2024, 29, 647. https://doi.org/10.3390/molecules29030647
Mitrakas A, Stathopoulou M-EK, Mikra C, Konstantinou C, Rizos S, Malichetoudi S, Koumbis AE, Koffa M, Fylaktakidou KC. Synthesis of 2-Amino-N′-aroyl(het)arylhydrazides, DNA Photocleavage, Molecular Docking and Cytotoxicity Studies against Melanoma CarB Cell Lines. Molecules. 2024; 29(3):647. https://doi.org/10.3390/molecules29030647
Chicago/Turabian StyleMitrakas, Achilleas, Maria-Eleni K. Stathopoulou, Chrysoula Mikra, Chrystalla Konstantinou, Stergios Rizos, Stella Malichetoudi, Alexandros E. Koumbis, Maria Koffa, and Konstantina C. Fylaktakidou. 2024. "Synthesis of 2-Amino-N′-aroyl(het)arylhydrazides, DNA Photocleavage, Molecular Docking and Cytotoxicity Studies against Melanoma CarB Cell Lines" Molecules 29, no. 3: 647. https://doi.org/10.3390/molecules29030647
APA StyleMitrakas, A., Stathopoulou, M.-E. K., Mikra, C., Konstantinou, C., Rizos, S., Malichetoudi, S., Koumbis, A. E., Koffa, M., & Fylaktakidou, K. C. (2024). Synthesis of 2-Amino-N′-aroyl(het)arylhydrazides, DNA Photocleavage, Molecular Docking and Cytotoxicity Studies against Melanoma CarB Cell Lines. Molecules, 29(3), 647. https://doi.org/10.3390/molecules29030647

