Expression, Purification, and Characterisation of Recombinant Alginate Lyase (Flammeovirga AL2) for the Bioconversion of Alginate into Alginate Oligosaccharides
Abstract
1. Introduction
2. Results and Discussion
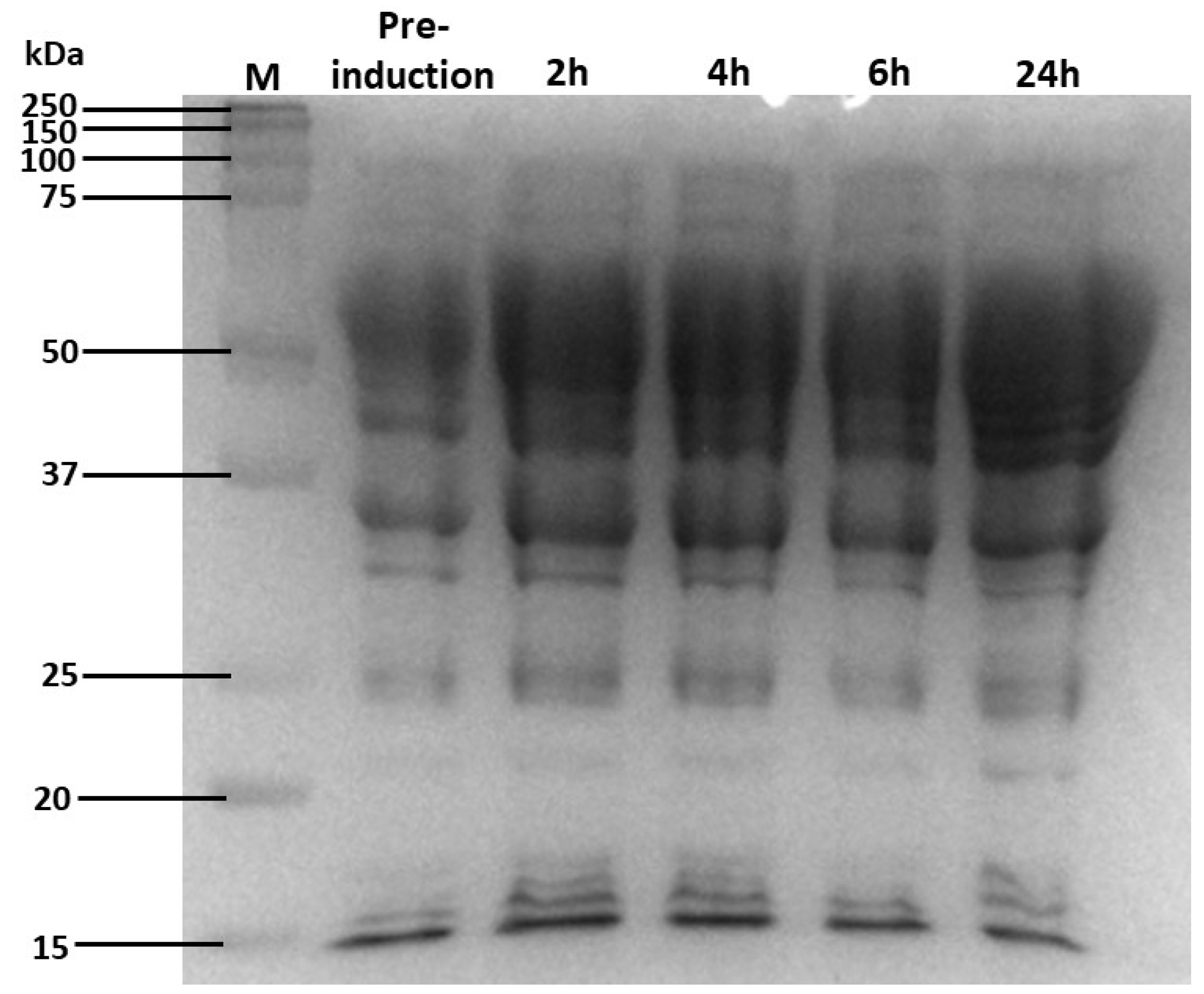
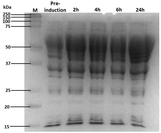
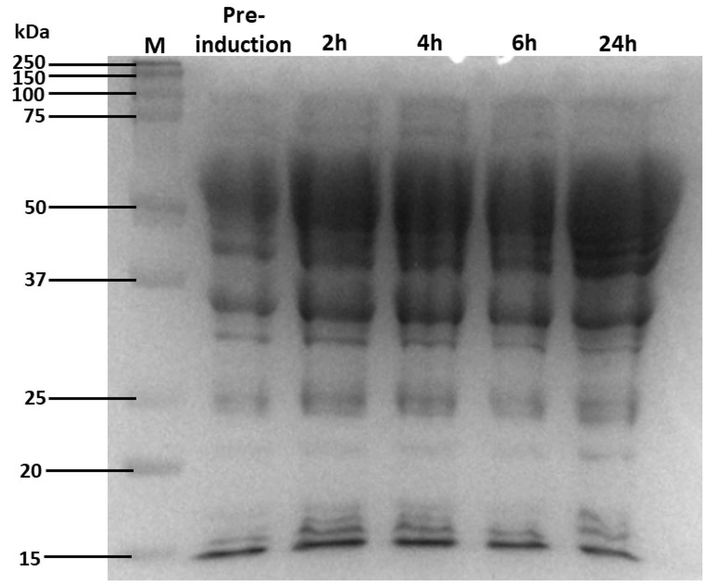
2.1. Expression of Recombinant AL2
2.2. Purification of Recombinant AL2
2.3. Alginate Lyase Characterisation
2.3.1. Biochemical Characterisation
2.3.2. Enzyme Activity
2.4. AOS Molecular Weight (Da) Determination
2.5. Inhibition Studies of AOS on Dietary Starch-Degrading Enzymes
3. Materials and Methods
3.1. Database Mining and Identification of Flammeovirga AL2 for Recombinant Expression
3.2. AL2 Purification
3.3. Alginate Lyase Characterisation
3.3.1. Optimum pH
3.3.2. Optimum Temperature and Thermostability
3.3.3. Effect of Sodium Chloride
3.3.4. Enzyme Activity
3.4. Alginate Oligosaccharide High-Performance Size Exclusion Chromatography (HP-SEC)
3.5. Statistical Analysis
4. Conclusions
Supplementary Materials
Author Contributions
Funding
Institutional Review Board Statement
Informed Consent Statement
Data Availability Statement
Acknowledgments
Conflicts of Interest
References
- Rhein-Knudsen, N.; Guan, C.; Mathiesen, G.; Horn, S.J. Expression and production of thermophilic alginate lyases in Bacillus and direct application of culture supernatant for seaweed saccharification. Algal Res. 2021, 60, 102512. [Google Scholar] [CrossRef]
- Gomaa, M.; Fawzy, M.A.; Hifney, A.F.; Abdel-Gawad, K.M. Optimization of enzymatic saccharification of fucoidan and alginate from brown seaweed using fucoidanase and alginate lyase from the marine fungus Dendryphiella arenaria. J. Appl. Phycol. 2018, 31, 1955–1965. [Google Scholar] [CrossRef]
- Wang, M.; Chen, L.; Zhang, Z. Potential applications of alginate oligosaccharides for biomedicine—A mini-review. Carbohyd. Polym. 2021, 271, 118408. [Google Scholar] [CrossRef]
- Xing, M.; Cao, Q.; Wang, Y.; Xiao, H.; Zhao, J.; Zhang, Q.; Ji, A.; Song, S. Advances in research on the bioactivity of alginate oligosaccharides. Mar. Drugs 2020, 18, 144. [Google Scholar] [CrossRef]
- Aravamudhan, A.; Ramos, D.M.; Nada, A.A.; Kumbar, S.G. Natural Polymers: Polysaccharides and Their Derivatives for Biomedical Applications. In Natural and Synthetic Biomedical Polymers; Kumbar, S.G., Laurencin, C.T., Deng, M., Eds.; Elsevier: Oxford, UK, 2014; pp. 67–89. [Google Scholar] [CrossRef]
- Abka-khajouei, R.; Tounsi, L.; Shahabi, N.; Patel, A.K.; Abdelkafi, S.; Michaud, P. Structures, properties, and applications of alginates. Mar. Drugs. 2022, 20, 364. [Google Scholar] [CrossRef] [PubMed]
- Puscaselu, R.G.; Lobiuc, A.; Dimian, M.; Covasa, M. Alginate: From food industry to biomedical applications and management of metabolic disorders. Polymers 2020, 12, 2417. [Google Scholar] [CrossRef]
- Huang, G.; Wang, Q.; Lu, M.; Xu, C.; Li, F.; Zhang, R.; Liao, W.; Huang, S. AlgM4: A new salt-activated alginate lyase of the PL7 family with endolytic activity. Mar. Drugs 2018, 16, 120. [Google Scholar] [CrossRef]
- Barzkar, N.; Sheng, R.; Sohail, M.; Jahromi, S.T.; Babich, O.; Sukhikh, S.; Nahavandi, R. Alginate lyases from marine bacteria: An enzyme ocean for sustainable future. Molecules 2022, 27, 3375. [Google Scholar] [CrossRef]
- Sun, C.; Zhou, J.; Duan, G.; Yu, X. Hydrolysing Laminaria japonica with a combination of microbial alginate lyase and cellulase. Bioresour. Technol. 2020, 311, 123548. [Google Scholar] [CrossRef]
- Zimoch-Korzycka, A.; Kulig, D.; Król-Kilińska, Z.; Zarowska, B.; Bobak, Ł.; Jarmoluk, A. Biophysico-chemical properties of alginate oligomers obtained by acid and oxidation depolymerisation. Polymers 2021, 13, 2258. [Google Scholar] [CrossRef]
- Zhu, X.; Li, X.; Shi, H.; Zhou, J.; Tan, Z.; Yuan, M.; Yao, P.; Liu, X. Characterisation of a novel alginate lyase from marine bacterium Vibrio furnissii H1. Mar. Drugs 2018, 16, 30. [Google Scholar] [CrossRef] [PubMed]
- Chen, P.; Zhu, Y.; Men, Y.; Zeng, Y.; Sun, Y. Purification and characterisation of a novel alginate lyase from the marine bacterium Bacillus sp. Alg07. Mar. Drugs 2018, 16, 86. [Google Scholar] [CrossRef] [PubMed]
- Chen, Y.; Wang, D.; Gu, J.; Li, J.; Liu, H.; Li, F.; Han, W. Biochemical characteristics and variable alginate-degrading modes of a novel bifunctional endolytic alginate lyase. Appl. Environ. Microbiol. 2017, 83, e01608-17. [Google Scholar] [CrossRef]
- Kobayashi, T.; Uchimura, K.; Miyazaki, M.; Nogi, Y.; Horikoshi, K. A new high-alkaline alginate lyase from a deep-sea bacterium Agarivorans sp. Extremophiles 2009, 13, 121–129. [Google Scholar] [CrossRef]
- Kim, H.T.; Ko, H.J.; Kim, N.; Kim, D.; Lee, D.; Choi, I.G.; Woo, H.C.; Kim, M.D.; Kim, K.H. Characterisation of a recombinant endo-type alginate lyase (Alg7D) from Saccharophagus degradans. Biotechnol. Lett. 2012, 34, 1087–1092. [Google Scholar] [CrossRef]
- Zhu, B.; Ni, F.; Sun, Y.; Yao, Z. Expression and characterisation of a new heat-stable endo-type alginate lyase from deep-sea bacterium Flammeovirga sp. NJ-04. Extremophiles 2017, 21, 1027–1036. [Google Scholar] [CrossRef]
- Palmer, I.; Wingfield, P.T. Preparation and extraction of insoluble (inclusion body) proteins from Escherichia coli. Curr. Protoc. Protein Sci. 2004, 38, 1–25. [Google Scholar] [CrossRef] [PubMed]
- Marion, G.; Millero, F.J.; Camoes, M.F.; Spitzer, P.; Feistel, R.; Chen, C.A. pH of seawater. Mar. Chem. 2011, 126, 89–96. [Google Scholar] [CrossRef]
- Swift, S.M.; Hudgens, J.W.; Heselpoth, R.D.; Bales, P.M.; Nelson, D.C. Characterization of AlgMsp, an alginate lyase from Microbulbifer sp. 6532A. PLoS ONE. 2014, 9, e112939. [Google Scholar] [CrossRef]
- Miyake, O.; Ochiai, A.; Hashimoto, W.; Murata, K. Origin and diversity of alginate lyases of families PL-5 and -7 in Sphingomonas sp. strain A1. J. Bacteriol. 2004, 186, 2892–2893. [Google Scholar] [CrossRef]
- Han, W.; Gu, J.; Cheng, Y.; Liu, H.; Li, Y.; Li, F. Novel alginate lyase (Aly5) from a polysaccharide-degrading marine bacterium, Flammeovirga sp. strain MY04: Effects of module truncation on biochemical characteristics, alginate degradation patterns, and oligosaccharide-yielding properties. Appl. Environ. Microbiol. 2016, 82, 364–374. [Google Scholar] [CrossRef]
- Wang, Y.; Guo, E.W.; Yu, W.G.; Han, F. Purification and characterisation of a new alginate lyase from a marine bacterium Vibrio sp. Biotechnol. Lett. 2013, 35, 703–708. [Google Scholar] [CrossRef] [PubMed]
- Huang, L.; Zhou, J.; Li, X.; Peng, Q.; Lu, H.; Du, Y. Characterization of a new alginate lyase from newly isolated Flavobacterium sp. S20. J. Ind. Microbiol. Biotechnol. 2013, 40, 113–122. [Google Scholar] [CrossRef] [PubMed]
- Xiao, T.F.; Hong, L.; Sang, M.K. Purification and characterisation of a Na+/K+ dependent alginate lyase from turban shell gut Vibrio sp. YKW-34. Enzy. Microbial. Techol. 2007, 41, 828–834. [Google Scholar] [CrossRef]
- Yan, J.; Chen, P.; Zeng, Y.; Mu, S.; Zhu, Y.; Chen, Y.; Sun, Y. The characterisation and modification of a novel bifunctional and robust alginate lyase derived from Marinimicrobium sp. H1. Mar. Drugs 2019, 17, 545. [Google Scholar] [CrossRef]
- Miller, G.L. Use of dinitrosalicylic acid reagent for determination of reducing sugar. Anal Chem. 1959, 31, 426–428. [Google Scholar] [CrossRef]
- Bradford, M.M. A rapid and sensitive method for the quantitation of microgram quantities of protein utilising the principle of protein-dye binding. Anal. Biochem. 1976, 72, 248–254. [Google Scholar] [CrossRef]
- Yin, R.; Yi, Y.J.; Chen, Z.; Wang, B.X.; Li, X.H.; Zhou, Y.X. Characterisation of a new biofunctional, exolytic alginate lyase from Tamlana sp. s12 with high catalytic activity and cold-adapted features. Mar. Drugs 2021, 19, 191. [Google Scholar] [CrossRef]
- Xu, F.; Wang, P.; Zhang, Y.; Chen, X.; Zhou, N. Diversity of three-dimensional structures and catalytic mechanisms of alginate lyases. Appl. Environ. Microbiol. 2018, 84, e02040-17. [Google Scholar] [CrossRef]
- Wang, M.; Chen, L.; Liu, Z.; Zhang, Z.; Qin, S.; Yan, P. Isolation of a novel alginate lyase-producing Bacillus litoralis strain and its potential to ferment Sargassum horneri for biofertilizer. Microbiologyopen 2016, 5, 1038–1049. [Google Scholar] [CrossRef]





| Enzyme | Specific Activity (µmol h−1 mg−1 protein) | 
|---|---|
| AL2 | 151.6 ± 12.8 | 
| Commercial alginate lyase | 96.9 ± 13.1 | 
| p-value | 0.001 | 
| Fragment | |||||
|---|---|---|---|---|---|
| 1 | 2 | 3 | 4 | 5 | |
| Sodium Alginate | 127,659 ± 6579 | 841 | 175 ± 4 | 4 ± 0.2 | - | 
| AL2 AOS | 5834 ± 6 | 993 ± 8 | 222 ± 6 | 62 ± 0.6 | 4 ± 0.4 | 
| Commercial AL AOS | 4775 ± 69 | 931 ± 17 | 206 ± 6 | 58 ± 2 | 4 ± 0.3 | 
| Disclaimer/Publisher’s Note: The statements, opinions and data contained in all publications are solely those of the individual author(s) and contributor(s) and not of MDPI and/or the editor(s). MDPI and/or the editor(s) disclaim responsibility for any injury to people or property resulting from any ideas, methods, instructions or products referred to in the content. | 
© 2024 by the authors. Licensee MDPI, Basel, Switzerland. This article is an open access article distributed under the terms and conditions of the Creative Commons Attribution (CC BY) license (https://creativecommons.org/licenses/by/4.0/).
Share and Cite
Grobler, C.E.; Mabate, B.; Prins, A.; Le Roes-Hill, M.; Pletschke, B.I. Expression, Purification, and Characterisation of Recombinant Alginate Lyase (Flammeovirga AL2) for the Bioconversion of Alginate into Alginate Oligosaccharides. Molecules 2024, 29, 5578. https://doi.org/10.3390/molecules29235578
Grobler CE, Mabate B, Prins A, Le Roes-Hill M, Pletschke BI. Expression, Purification, and Characterisation of Recombinant Alginate Lyase (Flammeovirga AL2) for the Bioconversion of Alginate into Alginate Oligosaccharides. Molecules. 2024; 29(23):5578. https://doi.org/10.3390/molecules29235578
Chicago/Turabian StyleGrobler, Coleen E., Blessing Mabate, Alaric Prins, Marilize Le Roes-Hill, and Brett I. Pletschke. 2024. "Expression, Purification, and Characterisation of Recombinant Alginate Lyase (Flammeovirga AL2) for the Bioconversion of Alginate into Alginate Oligosaccharides" Molecules 29, no. 23: 5578. https://doi.org/10.3390/molecules29235578
APA StyleGrobler, C. E., Mabate, B., Prins, A., Le Roes-Hill, M., & Pletschke, B. I. (2024). Expression, Purification, and Characterisation of Recombinant Alginate Lyase (Flammeovirga AL2) for the Bioconversion of Alginate into Alginate Oligosaccharides. Molecules, 29(23), 5578. https://doi.org/10.3390/molecules29235578
 
        




 
       