Isolation of Anti-Prion Compounds from Curcuma phaeocaulis Valeton Extract
Abstract
1. Introduction
2. Results and Discussion
2.1. Activity-Guided Identification of Active Fractions in the Cp Extract for Anti-Prion Activity
2.2. Isolation of Major Compounds from the Cp Extract by CPC
2.3. Determination of Chemical Identity
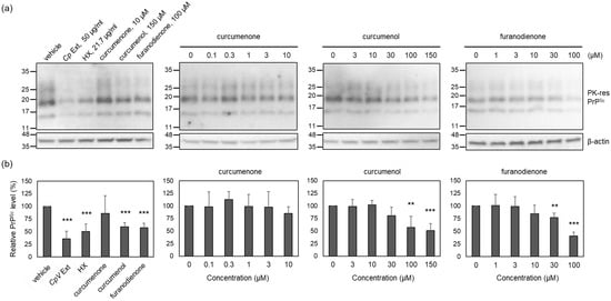
2.4. Evaluation of the Anti-Prion Activity of the Major Compounds That Constitute the HX Fraction
3. Materials and Methods
3.1. Apparatus and Materials
3.2. Plant Material and Preparation of the Cp Extract
3.3. Preparation of the Two-Phase Solvent System
3.4. CPC and Preparative HPLC Separation of the HX Fraction
3.5. HPLC Analysis
3.6. Structural Elucidation
3.7. Measurement of PrPSc Levels and Cytotoxicity in ScN2a Cells
4. Conclusions
Supplementary Materials
Author Contributions
Funding
Institutional Review Board Statement
Informed Consent Statement
Data Availability Statement
Conflicts of Interest
References
- Stahl, N.; Prusiner, S.B. Prions and prion proteins. FASEB J. 1991, 5, 2799–2807. [Google Scholar] [CrossRef] [PubMed]
- Requena, J.R.; Wille, H. The structure of the infectious prion protein and its propagation. Prog. Mol. Biol. Transl. Sci. 2017, 150, 341–359. [Google Scholar]
- Ryou, C.-S. Prions and prion diseases: Fundamentals and mechanistic details. J. Microbiol. Biotechn 2007, 17, 1059–1070. [Google Scholar]
- Ghetti, B.; Piccardo, P.; Frangione, B.; Bugiani, O.; Giaccone, G.; Young, K.; Prelli, F.; Farlow, M.R.; Dlouhy, S.R.; Tagliavini, F. Prion protein amyloidosis. Brain Pathol. 1996, 6, 127–145. [Google Scholar] [CrossRef] [PubMed]
- Ketzschmar, H.; Giese, A.; Brown, D.; Herms, J.; Keller, B.; Schmidt, B.; Groschup, M. Cell death in prion disease. J. Neural Transm. Suppl. 1997, 50, 191–210. [Google Scholar]
- Forloni, G.; Artuso, V.; Roiter, I.; Morbin, M.; Tagliavini, F. Therapy in prion diseases. Curr. Top. Med. Chem. 2013, 13, 2465–2476. [Google Scholar] [CrossRef] [PubMed]
- Shim, K.H.; Sharma, N.; An, S.S.A. Prion therapeutics: Lessons from the past. Prion 2022, 16, 265–294. [Google Scholar] [CrossRef]
- Eiden, M.; Leidel, F.; Strohmeier, B.; Fast, C.; Groschup, M.H. A medicinal herb Scutellaria lateriflora inhibits PrP replication in vitro and delays the onset of prion disease in mice. Front. Psychiatry 2012, 3, 9. [Google Scholar] [CrossRef]
- Karagianni, K.; Pettas, S.; Kanata, E.; Lioulia, E.; Thune, K.; Schmitz, M.; Tsamesidis, I.; Lymperaki, E.; Xanthopoulos, K.; Sklaviadis, T.; et al. Carnosic acid and carnosol display antioxidant and anti-prion properties in in vitro and cell-free models of prion diseases. Antioxidants 2022, 11, 726. [Google Scholar] [CrossRef]
- Caughey, B.; Raymond, L.D.; Raymond, G.J.; Maxson, L.; Silveira, J.; Baron, G.S. Inhibition of protease-resistant prion protein accumulation in vitro by curcumin. J. Virol. 2003, 77, 5499–5502. [Google Scholar] [CrossRef]
- Sirohi, P.R.; Kumari, A.; Admane, N.; Somvanshi, P.; Grover, A. The polyphenolic phytoalexin polydatin inhibits amyloid aggregation of recombinant human prion protein. RSC Adv. 2021, 11, 25901–25911. [Google Scholar] [CrossRef]
- Dirikoc, S.; Priola, S.A.; Marella, M.; Zsurger, N.; Chabry, J. Nonpsychoactive cannabidiol prevents prion accumulation and protects neurons against prion toxicity. J. Neurosci. 2007, 27, 9537–9544. [Google Scholar] [CrossRef] [PubMed]
- Moon, J.H.; Lee, J.H.; Lee, Y.J.; Park, S.Y. Hinokitiol protects primary neuron cells against prion peptide-induced toxicity via autophagy flux regulated by hypoxia inducing factor-1. Oncotarget 2016, 7, 29944–29957. [Google Scholar] [CrossRef] [PubMed][Green Version]
- Lee, J.H.; Moon, J.H.; Kim, S.W.; Jeong, J.K.; Nazim, U.M.D.; Lee, Y.J.; Seol, J.W.; Park, S.Y. EGCG-mediated autophagy flux has a neuroprotection effect via a class III histone deacetylase in primary neuron cells. Oncotarget 2015, 6, 9701–9717. [Google Scholar] [CrossRef] [PubMed]
- Moon, J.H.; Lee, J.H.; Lee, Y.J.; Park, S.Y. Autophagy flux induced by ginsenoside-Rg3 attenuates human prion protein-mediated neurotoxicity and mitochondrial dysfunction. Oncotarget 2016, 7, 85697–85708. [Google Scholar] [CrossRef][Green Version]
- Wang, J.; Zhang, B.Y.; Zhang, J.; Xiao, K.; Chen, L.N.; Wang, H.; Sun, J.; Shi, Q.; Dong, X.P. Treatment of SMB-S15 cells with resveratrol efficiently removes the PrP(Sc) accumulation in vitro and prion infectivity in vivo. Mol. Neurobiol. 2016, 53, 5367–5376. [Google Scholar] [CrossRef]
- Aguib, Y.; Heiseke, A.; Gilch, S.; Riemer, C.; Baier, M.; Schatzl, H.M.; Ertmer, A. Autophagy induction by trehalose counteracts cellular prion infection. Autophagy 2009, 5, 361–369. [Google Scholar] [CrossRef]
- Zhou, Y.; Xie, M.; Song, Y.; Wang, W.; Zhao, H.; Tian, Y.; Wang, Y.; Bai, S.; Zhao, Y.; Chen, X. Two traditional Chinese medicines Curcumae radix and Curcumae rhizoma: An ethnopharmacology, phytochemistry, and pharmacology review. Evid.-Based Complement. Altern. Med. 2016, 2016, 4973128. [Google Scholar] [CrossRef]
- Chen, X.; Pei, L.; Zhong, Z.; Guo, J.; Zhang, Q.; Wang, Y. Anti-tumor potential of ethanol extract of Curcuma phaeocaulis Valeton against breast cancer cells. Phytomedicine 2011, 18, 1238–1243. [Google Scholar] [CrossRef]
- Hou, Y.; Lu, C.-L.; Zeng, Q.-H.; Jiang, J.-G. Anti-inflammatory, antioxidant and antitumor activities of ingredients of curcuma phaeocaulis val. EXCLI J. 2015, 14, 706. [Google Scholar]
- Dohare, P.; Garg, P.; Sharma, U.; Jagannathan, N.; Ray, M. Neuroprotective efficacy and therapeutic window of curcuma oil: In rat embolic stroke model. BMC Complement. Altern. Med. 2008, 8, 55. [Google Scholar] [CrossRef] [PubMed]
- Yu, C.; Sun, X.; Niu, Y. An investigation of the developmental neurotoxic potential of curcumol in PC12 cells. Toxicol. Mech. Methods 2016, 26, 635–643. [Google Scholar] [CrossRef] [PubMed]
- Wu, P.Q.; Li, B.; Yu, Y.F.; Su, P.J.; Liu, X.; Zhang, Z.P.; Zhi, D.J.; Qi, F.M.; Fei, D.Q.; Zhang, Z.X. Isolation, characterization, and possible anti-alzheimer’s disease activities of bisabolane-type sesquiterpenoid derivatives and phenolics from the rhizomes of Curcuma longa. Chem. Biodivers. 2020, 17, e2000067. [Google Scholar] [CrossRef]
- Wang, Z.Y.; Liu, J.G.; Li, H.; Yang, H.M. Pharmacological effects of active components of Chinese herbal medicine in the treatment of alzheimer’s disease: A review. Am. J. Chin. Med. 2016, 44, 1525–1541. [Google Scholar] [CrossRef] [PubMed]
- Borah, S.; Sarkar, P.; Sharma, H.K. Zederone improves the fecal microbial profile in dementia induced rat model: A first report. CNS Neurol. Disord. Drug Targets 2022, 21, 335–342. [Google Scholar] [CrossRef]
- Dubey, T.; Sonawane, S.K.; Mannava, M.C.; Nangia, A.K.; Chandrashekar, M.; Chinnathambi, S. The inhibitory effect of curcumin-artemisinin co-amorphous on tau aggregation and tau phosphorylation. Colloids Surf. B Biointerfaces 2023, 221, 112970. [Google Scholar] [CrossRef] [PubMed]
- Lee, S.; Lee, H.; Kim, J.; Kim, J.H.; Gao, E.M.; Lee, Y.; Yoo, M.; Trinh, T.H.; Kim, J.; Kim, C.Y. The effect of Curcuma phaeocaulis Valeton (Zingiberaceae) extract on prion propagation in cell-based and animal models. Int. J. Mol. Sci. 2022, 24, 182. [Google Scholar] [CrossRef]
- Marston, A.; Borel, C.; Hostettmann, K. Separation of natural products by centrifugal partition chromatography. J. Chromatogr. A 1988, 450, 91–99. [Google Scholar] [CrossRef]
- Foucault, A.; Chevolot, L. Counter-current chromatography: Instrumentation, solvent selection and some recent applications to natural product purification. J. Chromatogr. A 1998, 808, 3–22. [Google Scholar] [CrossRef]
- Hostettmann, K.; Marston, A. Liquid-liquid partition chromatography in natural product isolation. Anal. Chim. Acta 1990, 236, 63–76. [Google Scholar] [CrossRef]
- Hamdi, O.A.A.; Anouar, E.H.; Shilpi, J.A.; Trabolsy, Z.B.K.A.; Zain, S.B.M.; Zakaria, N.S.S.; Zulkefeli, M.; Weber, J.-F.F.; Malek, S.N.A.; Rahman, S.N.S.A. A quantum chemical and statistical study of cytotoxic activity of compounds isolated from Curcuma zedoaria. Int. J. Mol. Sci. 2015, 16, 9450–9468. [Google Scholar] [CrossRef] [PubMed]
- Waqas, M.; Lee, H.-M.; Kim, J.; Telling, G.; Kim, J.-K.; Kim, D.-H.; Ryou, C. Effect of poly-L-arginine in inhibiting scrapie prion protein of cultured cells. Mol. Cell Biochem. 2017, 428, 57–66. [Google Scholar] [CrossRef] [PubMed]





| n-HX:ethanol:water (v/v/v) | K-Values | ||
|---|---|---|---|
| Curcumenone (1) | Curcumenol (2) | Furanodienone (3) | |
| 10:9:1 | 0.27 | 0.44 | 0.81 |
| 10:8:2 | 0.20 | 0.41 | 1.18 |
| 10:7:3 | 0.26 | 0.58 | 2.14 |
Disclaimer/Publisher’s Note: The statements, opinions and data contained in all publications are solely those of the individual author(s) and contributor(s) and not of MDPI and/or the editor(s). MDPI and/or the editor(s) disclaim responsibility for any injury to people or property resulting from any ideas, methods, instructions or products referred to in the content. |
© 2024 by the authors. Licensee MDPI, Basel, Switzerland. This article is an open access article distributed under the terms and conditions of the Creative Commons Attribution (CC BY) license (https://creativecommons.org/licenses/by/4.0/).
Share and Cite
Kim, J.; Lee, H.; Kim, H.M.; Kim, J.H.; Byun, S.; Lee, S.; Kim, C.Y.; Ryou, C. Isolation of Anti-Prion Compounds from Curcuma phaeocaulis Valeton Extract. Molecules 2024, 29, 4034. https://doi.org/10.3390/molecules29174034
Kim J, Lee H, Kim HM, Kim JH, Byun S, Lee S, Kim CY, Ryou C. Isolation of Anti-Prion Compounds from Curcuma phaeocaulis Valeton Extract. Molecules. 2024; 29(17):4034. https://doi.org/10.3390/molecules29174034
Chicago/Turabian StyleKim, Jaehyeon, Hakmin Lee, Hye Mi Kim, Ji Hoon Kim, Sanghoon Byun, Sungeun Lee, Chul Young Kim, and Chongsuk Ryou. 2024. "Isolation of Anti-Prion Compounds from Curcuma phaeocaulis Valeton Extract" Molecules 29, no. 17: 4034. https://doi.org/10.3390/molecules29174034
APA StyleKim, J., Lee, H., Kim, H. M., Kim, J. H., Byun, S., Lee, S., Kim, C. Y., & Ryou, C. (2024). Isolation of Anti-Prion Compounds from Curcuma phaeocaulis Valeton Extract. Molecules, 29(17), 4034. https://doi.org/10.3390/molecules29174034

