2-Amino-N-Phenethylbenzamides for Irritable Bowel Syndrome Treatment
Abstract
1. Introduction
2. Results and Discussion
2.1. Synthesis of 2-Amino-N-Phenethylbenzamides
2.2. In Silico Predictions
2.3. Biological Evaluation of 2-Amino-N-Phenethylbenzamides
2.3.1. Spasmolytic Activity
2.3.2. Anti-Inflammatory Activity
In Vitro Inhibition of Albumin Denaturation
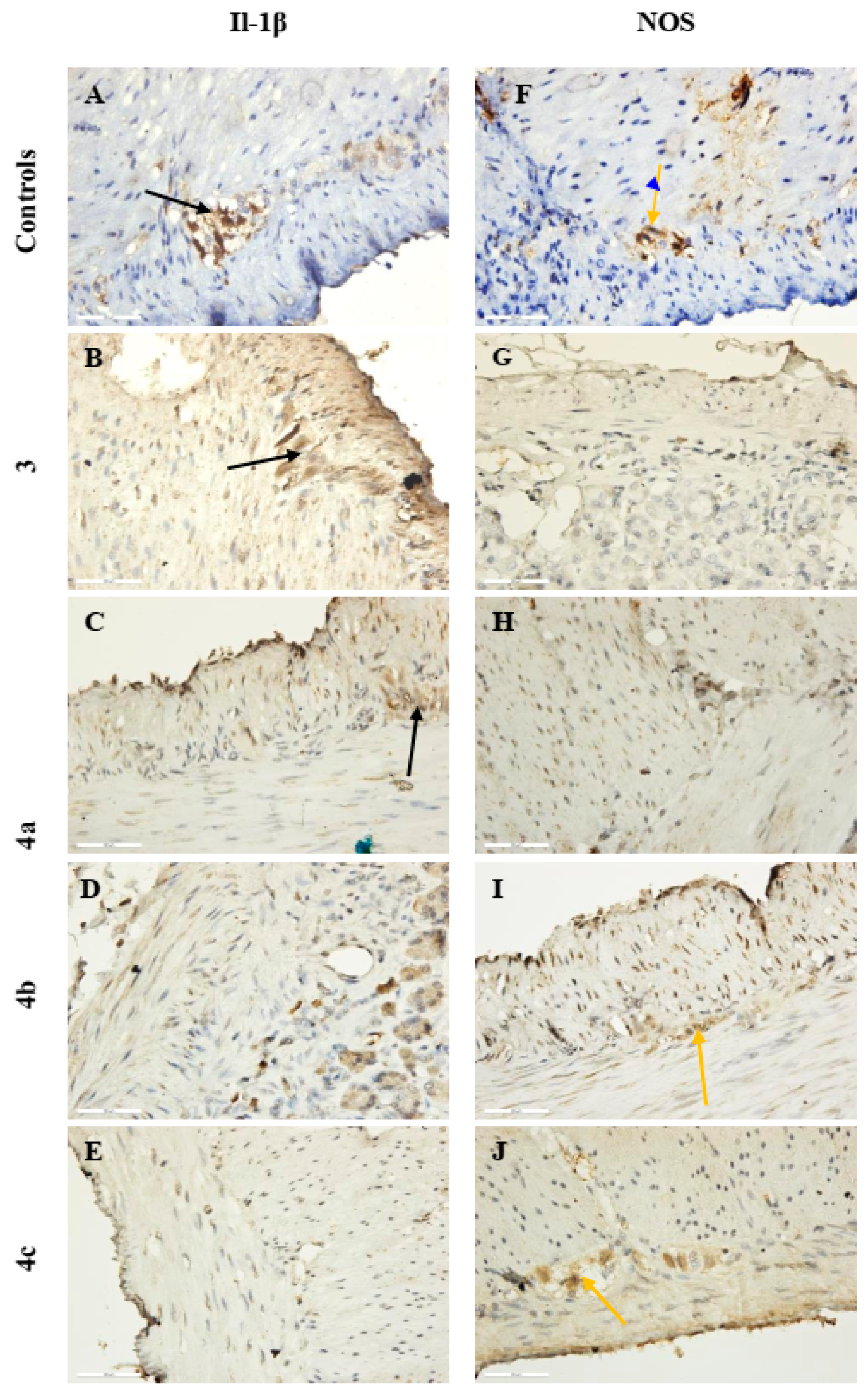
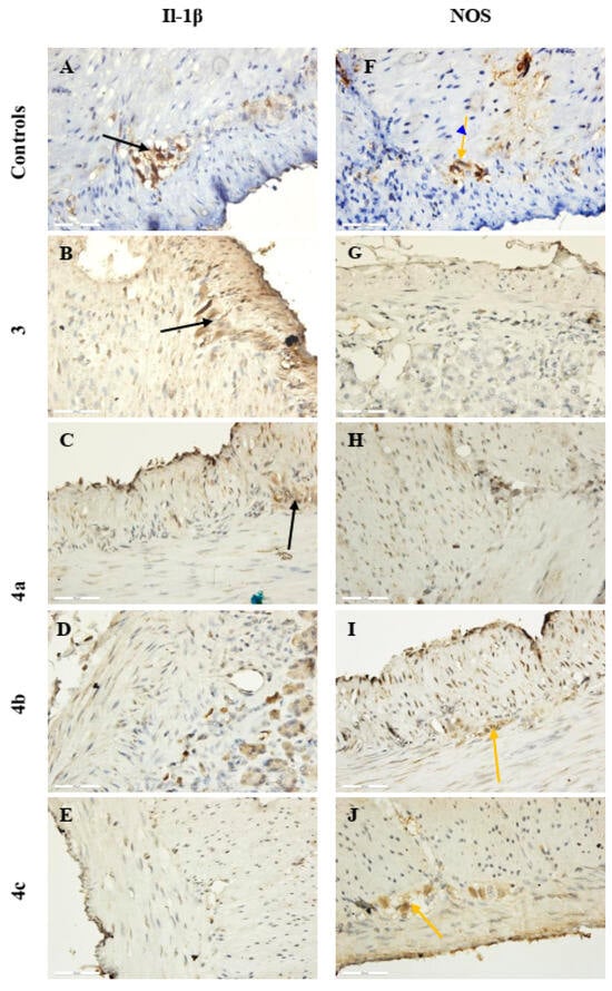
2.3.3. Ex Vivo Immunohistochemical Analysis
3. Materials and Methods
3.1. Synthesis of 2-Amino-N-Phenethylbenzamide 3 and Its Diamides 4a–d
3.2. In Silico Pharmacokinetic Profiling and Toxicity Analysis
3.3. In Vitro Inhibition of Albumin Denaturation
3.4. SM Activity
3.4.1. Solutions and Chemicals
3.4.2. SM Preparations from Wistar Rats
3.4.3. Mechanical Activity Registration of Rat Circular Gastric SMs
3.5. Histology and Immunohistochemistry
3.6. Statistics
3.7. Ethics Statement
4. Conclusions
Supplementary Materials
Author Contributions
Funding
Institutional Review Board Statement
Informed Consent Statement
Data Availability Statement
Conflicts of Interest
References
- Lee, K.J.; Kim, N.Y.; Kwon, J.K.; Huh, K.C.; Lee, O.Y.; Lee, J.S.; Choi, S.C.; Sohn, C.I.; Myung, S.J.; Park, H.J.; et al. Efficacy of Ramosetron in the Treatment of Male Patients with Irritable Bowel Syndrome with Diarrhea: A Multicenter, Randomized Clinical Trial, Compared with Mebeverine. Neurogastroenterol. Motil. 2011, 23, 1098–1104. [Google Scholar] [CrossRef] [PubMed]
- Gwee, K.-A. Irritable Bowel Syndrome in Developing Countries—A Disorder of Civilization or Colonization? Neurogastroenterol. Motil. 2005, 17, 317–324. [Google Scholar] [CrossRef] [PubMed]
- Hellström, P.M. Pathophysiology of the Irritable Bowel Syndrome—Reflections of Today. Best Pract. Res. Clin. Gastroenterol. 2019, 40–41, 101620. [Google Scholar] [CrossRef]
- Li, Z.; Huang, W.; Wang, X.; Zhang, Y. The Relationship between Lower Urinary Tract Symptoms and Irritable Bowel Syndrome: A Meta-Analysis of Cross-Sectional Studies. Minerva Urol. Nefrol. 2018, 70, 386–392. [Google Scholar] [CrossRef]
- Zingone, F.; Iovino, P.; Santonicola, A.; Gallotta, S.; Ciacci, C. High Risk of Lower Urinary Tract Symptoms in Patients with Irritable Bowel Syndrome. Tech. Coloproctol. 2017, 21, 433–438. [Google Scholar] [CrossRef]
- Lacy, B.; Patel, N. Rome Criteria and a Diagnostic Approach to Irritable Bowel Syndrome. J. Clin. Med. 2017, 6, 99. [Google Scholar] [CrossRef]
- Lacy, B.E.; Mearin, F.; Chang, L.; Chey, W.D.; Lembo, A.J.; Simren, M.; Spiller, R. Bowel Disorders. Gastroenterology 2016, 150, 1393–1407.e5. [Google Scholar] [CrossRef]
- Lembo, T.J.; Fink, R.N. Clinical Assessment of Irritable Bowel Syndrome. J. Clin. Gastroenterol. 2002, 35, S31–S36. [Google Scholar] [CrossRef] [PubMed]
- Gershon, M.D. Nerves, Reflexes, and the Enteric Nervous System: Pathogenesis of the Irritable Bowel Syndrome. J. Clin. Gastroenterol. 2005, 39, S184–S193. [Google Scholar] [CrossRef]
- Crowell, M.D. Role of serotonin in the pathophysiology of the irritable bowel syndrome. Br. J. Pharmacol. 2004, 141, 1285. [Google Scholar] [CrossRef]
- Crowell, M.D. The Role of Serotonin in the Pathophysiology of Irritable Bowel Syndrome. Am. J. Manag. Care 2001, 7, S252–S260. [Google Scholar] [CrossRef] [PubMed]
- Kim, D.-Y.; Camilleri, M. Serotonin: A Mediator of the Brain–Gut Connection. Am. J. Gastroenterol. 2000, 95, 2698–2709. [Google Scholar] [CrossRef]
- Grider, J.R.; Foxx-Orenstein, A.E.; Jin, J.G. 5-Hydroxytryptamine4 Receptor Agonists Initiate the Peristaltic Reflex in Human, Rat, and Guinea Pig Intestine. Gastroenterology 1998, 115, 370–380. [Google Scholar] [CrossRef] [PubMed]
- De Ponti, F.; Tonini, M. Irritable Bowel Syndrome. Drugs 2001, 61, 317–332. [Google Scholar] [CrossRef] [PubMed]
- Talley, N.J. Serotoninergic Neuroenteric Modulators. Lancet 2001, 358, 2061–2068. [Google Scholar] [CrossRef] [PubMed]
- Berthoud, H.R.; Blackshaw, L.A.; Brookes, S.J.H.; Grundy, D. Neuroanatomy of Extrinsic Afferents Supplying the Gastrointestinal Tract. Neurogastroenterol. Motil. 2004, 16, 28–33. [Google Scholar] [CrossRef] [PubMed]
- Grundy, D. Sensory Signals from the Gastrointestinal Tract. J. Pediatr. Gastroenterol. Nutr. 2005, 41, S7–S9. [Google Scholar] [CrossRef] [PubMed]
- Longstreth, G.F.; Thompson, W.G.; Chey, W.D.; Houghton, L.A.; Mearin, F.; Spiller, R.C. Functional Bowel Disorders. Gastroenterology 2006, 130, 1480–1491. [Google Scholar] [CrossRef] [PubMed]
- Chang, F.-Y.; Lu, C.-L.; Luo, J.-C.; Chen, T.-S.; Chen, M.-J.; Chang, H.-J. The Evaluation of Otilonium Bromide Treatment in Asian Patients with Irritable Bowel Syndrome. J. Neurogastroenterol. Motil. 2011, 17, 402–410. [Google Scholar] [CrossRef]
- Chey, W.D.; Maneerattaporn, M.; Saad, R. Pharmacologic and Complementary and Alternative Medicine Therapies for Irritable Bowel Syndrome. Gut Liver 2011, 5, 253–266. [Google Scholar] [CrossRef]
- De Groote, J.; Standaert, L. The Effect of a New Musculotropic Subtance 9(Mebeverine) on Irritable Colon. Tijdschr. Voor Gastro-Enterol. 1968, 11, 524–528. [Google Scholar]
- Darvish-Damavandi, M. A Systematic Review of Efficacy and Tolerability of Mebeverine in Irritable Bowel Syndrome. World J. Gastroenterol. 2010, 16, 547. [Google Scholar] [CrossRef] [PubMed]
- Daniluk, J.; Malecka-Wojciesko, E.; Skrzydlo-Radomanska, B.; Rydzewska, G. The Efficacy of Mebeverine in the Treatment of Irritable Bowel Syndrome—A Systematic Review. J. Clin. Med. 2022, 11, 1044. [Google Scholar] [CrossRef] [PubMed]
- Hashem, H.E.; Ahmad, S.; Kumer, A.; El Bakri, Y. In silico and in vitro prediction of new synthesized N-heterocyclic compounds as anti-SARS-CoV-2. Sci. Rep. 2024, 14, 1152. [Google Scholar] [CrossRef] [PubMed]
- Dhudum, R.; Ganeshpurkar, A.; Pawar, A. Revolutionizing Drug Discovery: A Comprehensive Review of AI Applications. Drugs Drug Candidates 2024, 3, 148–171. [Google Scholar] [CrossRef]
- Rivero, I.A.; Espinoza, K.; Somanathan, R. Syntheses of Quinazoline-2,4-dione Alkaloids and Analogues from Mexican Zanthoxylum Species. Molecules 2004, 9, 609–616. [Google Scholar] [CrossRef] [PubMed]
- Zhang, S.; Tan, Z.; Xiong, B.; Jiang, H.F.; Zhang, M. Transition-metal-catalyst-free synthesis of anthranilic acid derivatives by transfer hydrogenative coupling of 2-nitroaryl methanols with alcohols/amines. Org. Biomol. Chem. 2018, 16, 531. [Google Scholar] [CrossRef]
- Yoko, K.; Takatsugu, T.; Kazuya, O.; Yuji, O.; Takumi, A. Oxazine Derivative and Pharmaceutical Use Thereof. JP2016030747A, 3 July 2016. [Google Scholar]
- Kumari, S.; Carmona, A.V.; Tiwari, A.K.; Trippier, P.C. Amide Bond Bioisosteres: Strategies, Synthesis, and Successes. J. Med. Chem. 2020, 63, 12290. [Google Scholar] [CrossRef] [PubMed]
- Pitzer, J.; Steiner, K. Amides in Nature and Biocatalysis. J. Biotechnol. 2016, 235, 32. [Google Scholar] [CrossRef] [PubMed]
- Massolo, E.; Pirola, M.; Benaglia, M. Amide Bond Formation Strategies: Latest Advances on a Dateless Transformation. Eur. J. Org. Chem. 2020, 2020, 4641–4651. [Google Scholar] [CrossRef]
- Westwell, A.D.; Brancale, A.; William, R.; Clarkson, E. BCL-3 Inhibitors. WO2016016728A2, 4 February 2016. [Google Scholar]
- Daina, A.; Michielin, O.; Zoete, V. SwissADME: A Free Web Tool to Evaluate Pharmacokinetics, Drug-Likeness and Medicinal Chemistry Friendliness of Small Molecules. Sci. Rep. 2017, 7, 42717. [Google Scholar] [CrossRef] [PubMed]
- Lipinski, C.A.; Lombardo, F.; Dominy, B.W.; Feeney, P.J. Experimental and Computational Approaches to Estimate Solubility and Permeability in Drug Discovery and Development Settings. Adv. Drug Deliv. Rev. 2001, 46, 3–26. [Google Scholar] [CrossRef] [PubMed]
- Beaumont, K.; Webster, R.; Gardner, I.; Dack, K. Design of Ester Prodrugs to Enhance Oral Absorption of Poorly Permeable Compounds: Challenges to the Discovery Scientist. Curr. Drug Metab. 2003, 4, 461–485. [Google Scholar] [CrossRef] [PubMed]
- Mishra, S.; Dahima, R. In vitro adme studies of TUG-891, a GPR-120 inhibitor using swiss adme predictor. J. Drug Deliv. Ther. 2019, 9, 366–369. [Google Scholar] [CrossRef]
- Hafen, B.B.; Shook, M.; Burns, B. Anatomy, Smooth Muscle. In StatPearls; StatPearls Publishing: Treasure Island, FL, USA, 2024. Available online: https://www.ncbi.nlm.nih.gov/books/NBK532857/ (accessed on 10 June 2024).
- Webb, R.C. Smooth muscle contraction and relaxation. Adv. Physiol. Educ. 2003, 27, 201–206. [Google Scholar] [CrossRef] [PubMed]
- Perrino, B.A. Calcium Sensitization Mechanisms in Gastrointestinal Smooth Muscles. J. Neurogastroenterol. Motil. 2016, 22, 213–225. [Google Scholar] [CrossRef] [PubMed]
- Röhm, K.; Diener, M.; Huber, K.; Seifert, J. Characterization of Cecal Smooth Muscle Contraction in Laying Hens. Vet. Sci. 2021, 8, 91. [Google Scholar] [CrossRef]
- Sil, A.; Chakraborty, D.; Hazra, A.; Pain, S. Will Controlled Release Mebeverine Be Able to Surpass Placebo in Treatment of Diarrhoea Predominant Irritable Bowel Syndrome? J. Fam. Med. Prim. Care 2019, 8, 3173. [Google Scholar] [CrossRef] [PubMed]
- Montgomery, L.E.A.; Tansey, E.A.; Johnson, C.D.; Roe, S.M.; Quinn, J.G. Autonomic Modification of Intestinal Smooth Muscle Contractility. Adv. Physiol. Educ. 2016, 40, 104–109. [Google Scholar] [CrossRef]
- Tanahashi, Y.; Komori, S.; Matsuyama, H.; Kitazawa, T.; Unno, T. Functions of Muscarinic Receptor Subtypes in Gastrointestinal Smooth Muscle: A Review of Studies with Receptor-Knockout Mice. Int. J. Mol. Sci. 2021, 22, 926. [Google Scholar] [CrossRef]
- Sree Kumari, C.; Yasmin, N.; RaffiqHussain, M.; Babuselvam, M. In Vitro Anti-inflammatory and Anti-arthritic property of Rhizopora mucronata leaves. Int. J. Pharma. Sci. Res. 2015, 6, 3. [Google Scholar]
- Llorens, S.; Jordán, J.; Nava, E. The Nitric Oxide Pathway in the Cardiovascular System. J. Physiol. Biochem. 2002, 58, 179–188. [Google Scholar] [CrossRef] [PubMed]
- Bruckdorfer, R. The basics about nitric oxide. Mol. Asp. Med. 2005, 26, 3. [Google Scholar] [CrossRef] [PubMed]
- Kazakov, A.; Müller, P.; Jagoda, P.; Semenov, A.; Böhm, M.; Laufs, U. Endothelial Nitric Oxide Synthase of the Bone Marrow Regulates Myocardial Hypertrophy, Fibrosis, and Angiogenesis. Cardiovasc. Res. 2012, 93, 397–405. [Google Scholar] [CrossRef] [PubMed]
- Galougahi, K.K.; Liu, C.; Gentile, C.; Kok, C.; Nunez, A.; Garcia, A.; Fry, N.A.S.; Davies, M.J.; Hawkins, C.L.; Rasmussen, H.H.; et al. Glutathionylation Mediates Angiotensin II–Induced ENOS Uncoupling, Amplifying NADPH Oxidase-Dependent Endothelial Dysfunction. J. Am. Heart Assoc. 2014, 3, 482. [Google Scholar] [CrossRef] [PubMed]
- Förstermann, U.; Sessa, W.C. Nitric Oxide Synthases: Regulation and Function. Eur. Heart J. 2012, 33, 829–837. [Google Scholar] [CrossRef] [PubMed]
- Förstermann, U.; Closs, E.I.; Pollock, J.S.; Nakane, M.; Schwarz, P.; Gath, I.; Kleinert, H. Nitric Oxide Synthase Isozymes. Characterization, Purification, Molecular Cloning, and Functions. Hypertension 1994, 23, 1121–1131. [Google Scholar] [CrossRef]
- Kleinert, H.; Boissel, J.-P.; Schwarz, P.M.; Förstermann, U. Regulation of the Expression of Nitric Oxide Synthase Isoforms. In Nitric Oxide. Biology and Pathobiology; Academic Press: Cambridge, MA, USA, 2000; pp. 105–128. [Google Scholar] [CrossRef]
- Chae, C.U.; Lee, R.T.; Rifai, N.; Ridker, P.M. Blood Pressure and Inflammation in Apparently Healthy Men. Hypertension 2001, 38, 399–403. [Google Scholar] [CrossRef] [PubMed]
- Habtemariam, S. Anti-Inflammatory Therapeutic Mechanisms of Natural Products: Insight from Rosemary Diterpenes, Carnosic Acid and Carnosol. Biomedicines 2023, 11, 545. [Google Scholar] [CrossRef] [PubMed]
- Dinarello, C.A. Interleukin-1, Interleukin-1 Receptors and Interleukin-1 Receptor Antagonist. Int. Rev. Immunol. 1998, 16, 457–499. [Google Scholar] [CrossRef]
- Xia, G.; Wang, X.; Sun, H.; Qin, Y.; Fu, M. Carnosic Acid (CA) Attenuates Collagen-Induced Arthritis in Db/Db Mice via Inflammation Suppression by Regulating ROS-Dependent P38 Pathway. Free. Radic. Biol. Med. 2017, 108, 418–432. [Google Scholar] [CrossRef] [PubMed]
- da Silva, G.M.; da Silva, M.C.; Nascimento, D.V.G.; Lima Silva, E.M.; Gouvêa, F.F.F.; de França Lopes, L.G.; Araújo, A.V.; Ferraz Pereira, K.N.; de Queiroz, T.M. Nitric Oxide as a Central Molecule in Hypertension: Focus on the Vasorelaxant Activity of New Nitric Oxide Donors. Biology 2021, 10, 1041. [Google Scholar] [CrossRef]
- Isyaku, Y.; Uzairu, A.; Uba, S. Computational Studies of a Series of 2-Substituted Phenyl-2-Oxo-, 2-Hydroxyl- and 2-Acylloxyethylsulfonamides as Potent Anti-Fungal Agents. Heliyon 2020, 6, e03724. [Google Scholar] [CrossRef] [PubMed]
- Banerjee, P.; Eckert, A.O.; Schrey, A.K.; Preissner, R. ProTox-II: A Webserver for the Prediction of Toxicity of Chemicals. Nucleic Acids Res. 2018, 46, W257–W263. [Google Scholar] [CrossRef] [PubMed]
- Mazumder, K.; Hossain, M.E.; Aktar, A.; Mohiuddin, M.W.; Sarkar, K.K.; Biswas, B.; Aziz, M.A.; Abid, M.A.; Fukase, K. In Silico Analysis and Experimental Evaluation of Ester Prodrugs of Ketoprofen for Oral Delivery: With a View to Reduce Toxicity. Processes 2021, 9, 2221. [Google Scholar] [CrossRef]
- Milusheva, M.; Gledacheva, V.; Stefanova, I.; Feizi-Dehnayebi, M.; Mihaylova, R.; Nedialkov, P.; Cherneva, E.; Tumbarski, Y.; Tsoneva, S.; Todorova, M.; et al. Synthesis, Molecular Docking, and Biological Evaluation of Novel Anthranilic Acid Hybrid and Its Diamides as Antispasmodics. Int. J. Mol. Sci. 2023, 24, 13855. [Google Scholar] [CrossRef] [PubMed]
- Milusheva, M.; Todorova, M.; Gledacheva, V.; Stefanova, I.; Feizi-Dehnayebi, M.; Pencheva, M.; Nedialkov, P.; Tumbarski, Y.; Yanakieva, V.; Tsoneva, S.; et al. Novel Anthranilic Acid Hybrids—An Alternative Weapon against Inflammatory Diseases. Pharmaceuticals 2023, 16, 1660. [Google Scholar] [CrossRef] [PubMed]
- Ekins, S.; Olechno, J.; Williams, A.J. Dispensing Processes Impact Apparent Biological Activity as Determined by Computational and Statistical Analyses. PLoS ONE 2013, 8, e62325. [Google Scholar] [CrossRef]
- Poroikov, V.; Filimonov, D.; Gloriozova, T.; Lagunin, A.; Druzhilovskiy, D.; Rudik, A.; Stolbov, L.; Dmitriev, A.; Tarasova, O.; Ivanov, S.; et al. Computer-aided prediction of biological activity spectra for organic compounds: The possibilities and limitations. Russ. Chem. Bull. 2019, 68, 2143. [Google Scholar] [CrossRef]








| 4 | R | Yield, % | mp, °C |
|---|---|---|---|
| a | C6H5 | 80 | 94–95 |
| b | 2-Cl-C6H4 | 81 | 85–86 |
| c | CH2-C6H5 | 79 | 76–77 |
| d | CH(Cl)C6H5 | 80 | 161–164 |
| Compound | MW, g/mol | XLOGP3 | ESOL log S | Log Kp, cm/s | RB | BA Score | SA Score | LD50, mg/kg |
|---|---|---|---|---|---|---|---|---|
| 3 | 240.30 | 2.52 | −3.08 | −5.98 | 5 | 0.55 | 1.45 | 1000 |
| 4a | 344.41 | 4.54 | −4.82 | −5.18 | 8 | 0.55 | 2.31 | 2025 |
| 4b | 378.85 | 5.17 | −5.41 | −4.94 | 8 | 0.55 | 2.41 | 2000 |
| 4c | 358.43 | 4.48 | −4.78 | −5.31 | 9 | 0.55 | 2.49 | 600 |
| 4d | 392.88 | 5.20 | −5.43 | −5.00 | 9 | 0.55 | 3.11 | 2025 |
Disclaimer/Publisher’s Note: The statements, opinions and data contained in all publications are solely those of the individual author(s) and contributor(s) and not of MDPI and/or the editor(s). MDPI and/or the editor(s) disclaim responsibility for any injury to people or property resulting from any ideas, methods, instructions or products referred to in the content. |
© 2024 by the authors. Licensee MDPI, Basel, Switzerland. This article is an open access article distributed under the terms and conditions of the Creative Commons Attribution (CC BY) license (https://creativecommons.org/licenses/by/4.0/).
Share and Cite
Milusheva, M.; Stoyanova, M.; Gledacheva, V.; Stefanova, I.; Todorova, M.; Pencheva, M.; Stojnova, K.; Tsoneva, S.; Nedialkov, P.; Nikolova, S. 2-Amino-N-Phenethylbenzamides for Irritable Bowel Syndrome Treatment. Molecules 2024, 29, 3375. https://doi.org/10.3390/molecules29143375
Milusheva M, Stoyanova M, Gledacheva V, Stefanova I, Todorova M, Pencheva M, Stojnova K, Tsoneva S, Nedialkov P, Nikolova S. 2-Amino-N-Phenethylbenzamides for Irritable Bowel Syndrome Treatment. Molecules. 2024; 29(14):3375. https://doi.org/10.3390/molecules29143375
Chicago/Turabian StyleMilusheva, Miglena, Mihaela Stoyanova, Vera Gledacheva, Iliyana Stefanova, Mina Todorova, Mina Pencheva, Kirila Stojnova, Slava Tsoneva, Paraskev Nedialkov, and Stoyanka Nikolova. 2024. "2-Amino-N-Phenethylbenzamides for Irritable Bowel Syndrome Treatment" Molecules 29, no. 14: 3375. https://doi.org/10.3390/molecules29143375
APA StyleMilusheva, M., Stoyanova, M., Gledacheva, V., Stefanova, I., Todorova, M., Pencheva, M., Stojnova, K., Tsoneva, S., Nedialkov, P., & Nikolova, S. (2024). 2-Amino-N-Phenethylbenzamides for Irritable Bowel Syndrome Treatment. Molecules, 29(14), 3375. https://doi.org/10.3390/molecules29143375

