Morphoanatomical, Histochemical, and Essential Oil Composition of the Plectranthus ornatus Codd. (Lamiaceae)
Abstract
1. Introduction
2. Results and Discussions
2.1. Morphological Aspects
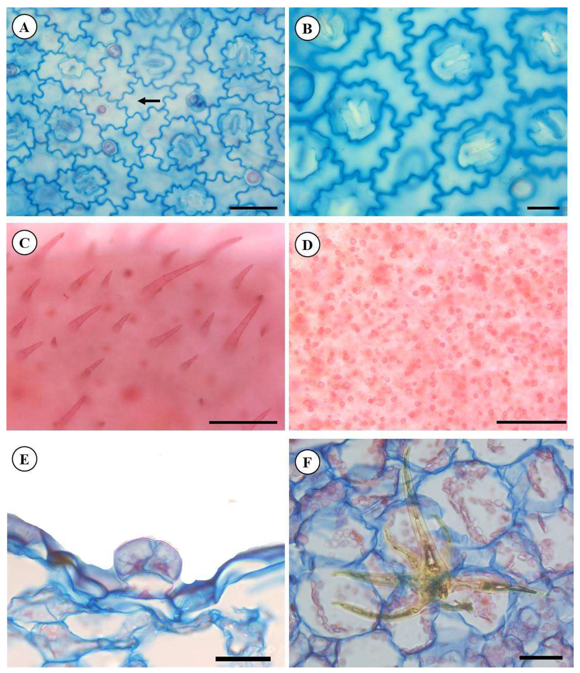
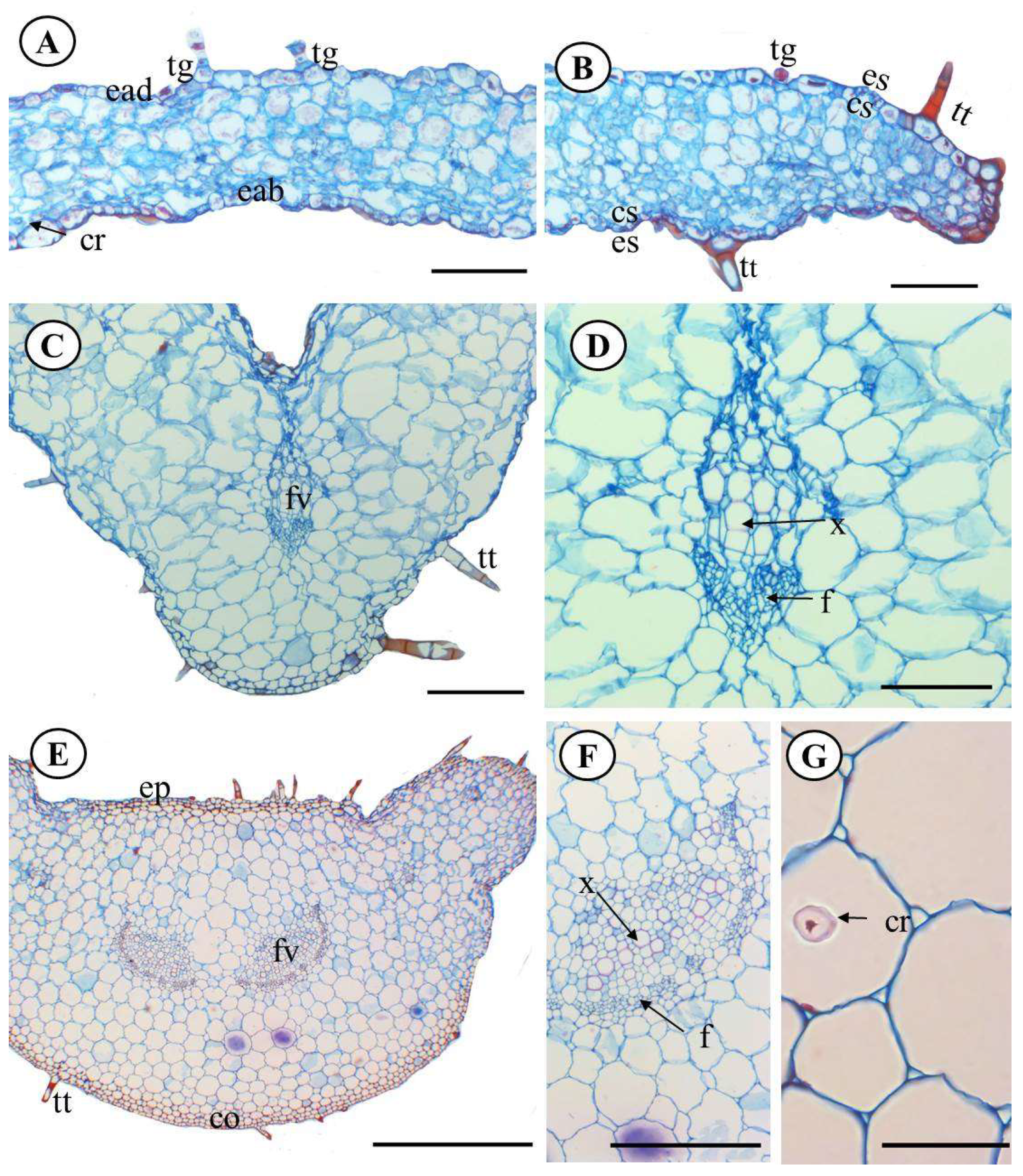
2.2. Anatomical Characterization
2.3. Histochemistry
2.4. Chemical Composition of the Essential Oil
3. Materials and Methods
3.1. Collecting Area for the Botanical Material
3.2. Morphological Analysis
3.3. Anatomical Analysis of the Leaf Blade by Light Microscopy (LM)
3.4. Epidermis Dissociation
3.5. Diaphanization
3.6. Histochemistry
3.7. Essential Oil Extraction by Hydrodistillation
3.8. Chemical Composition Analysis
4. Conclusions
Supplementary Materials
Author Contributions
Funding
Institutional Review Board Statement
Informed Consent Statement
Data Availability Statement
Acknowledgments
Conflicts of Interest
Sample Availability
References
- Zappi, D.C.; Filardi, F.L.R.; Leitman, P.; Souza, V.C.; Walter, B.M.T.; Pirani, J.R.; Morim, M.P.; Queiroz, L.P.; Cavalcanti, T.B.; Mansano, V.F.; et al. Growing Knowledge: An Overview of Seed Plant Diversity in Brazil. Rodriguésia 2015, 66, 1085–1113. [Google Scholar] [CrossRef]
- Khan, M.; Al-Saleem, M.S.M.; Alkhathlan, H.Z. A Detailed Study on Chemical Characterization of Essential Oil Components of Two Plectranthus Species Grown in Saudi Arabia. J. Saudi Chem. Soc. 2016, 20, 711–721. [Google Scholar] [CrossRef]
- Karakoti, H.; Mahawer, S.K.; Tewari, M.; Kumar, R.; Prakash, O.; de Oliveira, M.S.; Rawat, D.S. Phytochemical Profile, In Vitro Bioactivity Evaluation, In Silico Molecular Docking and ADMET Study of Essential Oils of Three Vitex Species Grown in Tarai Region of Uttarakhand. Antioxidants 2022, 11, 1911. [Google Scholar] [CrossRef] [PubMed]
- Karakoti, H.; Kabdal, T.; Kumar, R.; Prakash, O.; Rawat, D.S.; Srivastava, R.M.; Santana de Oliveira, M. Chemical Composition, Biological Activities and In Silico Evaluation of Essential Oils from the Aerial, and Root Parts of Nepeta hindostana (B. Heyne Ex Roth)-Haines Grown in North India. Biochem. Syst. Ecol. 2022, 105, 104512. [Google Scholar] [CrossRef]
- Arya, S.; Kumar, R.; Prakash, O.; Kumar, S.; Mahawer, S.K.; Chamoli, S.; Kumar, P.; Srivastava, R.M.; de Oliveira, M.S. Chemical Composition and Biological Activities of Hedychium coccineum Buch.-Ham. Ex Sm. Essential Oils from Kumaun Hills of Uttarakhand. Molecules 2022, 27, 4833. [Google Scholar] [CrossRef]
- Botelho, A.d.S.; Ferreira, O.O.; de Oliveira, M.S.; Cruz, J.N.; Chaves, S.H.d.R.; do Prado, A.F.; do Nascimento, L.D.; da Silva, G.A.; do Amarante, C.B.; Andrade, E.H.d.A. Studies on the Phytochemical Profile of Ocimum basilicum Var. minimum (L.) Alef. Essential Oil, Its Larvicidal Activity and In Silico Interaction with Acetylcholinesterase against Aedes aegypti (Diptera: Culicidae). Int. J. Mol. Sci. 2022, 23, 11172. [Google Scholar] [CrossRef]
- Feitosa, B.D.; Ferreira, O.O.; Mali, S.N.; Anand, A.; Cruz, J.N.; Franco, C.D.; Mahawer, S.K.; Kumar, R.; Cascaes, M.M.; Oliveira, M.S.; et al. Chemical Composition, Preliminary Toxicity, and Antioxidant Potential of Piper marginatum Sensu Lato Essential Oils and Molecular Modeling Study. Molecules 2023, 28, 5814. [Google Scholar] [CrossRef]
- Ferreira, O.O.; Cruz, J.N.; de Moraes, Â.A.B.; Franco, C.d.J.P.; Lima, R.R.; Dos Anjos, T.O.; Siqueira, G.M.; Do Nascimento, L.D.; Cascaes, M.M.; de Oliveira, M.S.; et al. Essential Oil of the Plants Growing in the Brazilian Amazon: Chemical Composition, Antioxidants, and Biological Applications. Molecules 2022, 27, 4373. [Google Scholar] [CrossRef]
- Cascaes, M.M.; Silva, S.G.; Cruz, J.N.; Santana de Oliveira, M.; Oliveira, J.; de Moraes, A.A.B.; da Costa, F.A.M.; da Costa, K.S.; Diniz do Nascimento, L.; Helena de Aguiar Andrade, E. First Report on the Annona exsucca DC. Essential Oil and in Silico Identification of Potential Biological Targets of Its Major Compounds. Nat. Prod. Res. 2021, 36, 4009–4012. [Google Scholar] [CrossRef]
- Rout, S.; Tambe, S.; Deshmukh, R.K.; Mali, S.; Cruz, J.; Srivastav, P.P.; Amin, P.D.; Gaikwad, K.K.; Andrade, E.H.d.A.; de Oliveira, M.S. Recent Trends in the Application of Essential Oils: The next Generation of Food Preservation and Food Packaging. Trends Food Sci. Technol. 2022, 129, 421–439. [Google Scholar] [CrossRef]
- Mesquita, K.d.S.M.; Feitosa, B.d.S.; Cruz, J.N.; Ferreira, O.O.; Franco, C.d.J.P.; Cascaes, M.M.; de Oliveira, M.S.; Andrade, E.H.d.A. Chemical Composition and Preliminary Toxicity Evaluation of the Essential Oil from Peperomia circinnata Link Var. circinnata. (Piperaceae) in Artemia salina Leach. Molecules 2021, 26, 7359. [Google Scholar] [CrossRef]
- Cascaes, M.M.; de Moraes, Â.A.B.; Cruz, J.N.; Franco, C.d.J.P.; Silva, R.C.E.; do Nascimento, L.D.; Ferreira, O.O.; dos Anjos, T.O.; de Oliveira, M.S.; Guilhon, G.M.S.P.; et al. Phytochemical Profile, Antioxidant Potential and Toxicity Evaluation of the Essential Oils from Duguetia and Xylopia Species (Annonaceae) from the Brazilian Amazon. Antioxidants 2022, 11, 1709. [Google Scholar] [CrossRef]
- Sharifi-Rad, J.; Sureda, A.; Tenore, G.; Daglia, M.; Sharifi-Rad, M.; Valussi, M.; Tundis, R.; Sharifi-Rad, M.; Loizzo, M.; Ademiluyi, A.; et al. Biological Activities of Essential Oils: From Plant Chemoecology to Traditional Healing Systems. Molecules 2017, 22, 70. [Google Scholar] [CrossRef] [PubMed]
- Khalik, K.N.A. A Systematic Revision of the Genus Plectranthus L. (Lamiaceae) in Saudi Arabia Based on Morphological, Palynological, and Micromorphological Characters of Trichomes. Am. J. Plant Sci. 2016, 7, 1429–1444. [Google Scholar] [CrossRef]
- Khalik, K.N.A.; Karakish, E.A. Comparative Anatomy of Stems and Leaves of Plectranthus L. (Lamiaceae) in Saudi Arabia and Systematic Implications. Microsc. Res. Tech. 2016, 79, 583–594. [Google Scholar] [CrossRef]
- Harley, R.M. Checklist and Key of Genera and Species of the Lamiaceae of the Brazilian Amazon. Rodriguésia 2012, 63, 129–144. [Google Scholar] [CrossRef]
- Akhila, P.P.; Sunooj, K.V.; Aaliya, B.; Navaf, M.; Sudheesh, C.; Yadav, D.N.; Khan, M.A.; Mir, S.A.; George, J. Morphological, Physicochemical, Functional, Pasting, Thermal Properties and Digestibility of Hausa Potato (Plectranthus rotundifolius) Flour and Starch. Appl. Food Res. 2022, 2, 100193. [Google Scholar] [CrossRef]
- Casas, L.L.; Paes, L.S.; Ajuricaba, A.A.L.; Santos, P.; Carvalho, M.M.S.; Souza, B.B.P.; TABOSA, L.C.S.; de Lucena, J. Aspectos Morfo-Anatômicos, Histoquímicos e Micológicos de Folhas de Plectranthus amboinicus (Lour.) Spreng. Rev. Bras. Pl. Med. 2017, 19, 42–48. [Google Scholar]
- Aoyama, E.; Furlan, M.; Indriunas, A.; Elias, L. Morfoanatomia Foliar de Plectranthus verticillatus (Lf) Druce (Lamiaceae). Enciclopédia Biosf. 2020, 17, 622. [Google Scholar]
- Allgayer, H.; Hiller, R.F.; Valiati, V.H. Uma Análise Epistêmica Para a Elucidação Do Complexo de Espécies Crípticas. Conjectura Filos. E Educ. 2021, 26, 1–16. [Google Scholar] [CrossRef]
- Larcher, W. Temperature Stress and Survival Ability of Mediterranean sclerophyllous Plants. Plant Biosyst. 2000, 134, 279–295. [Google Scholar] [CrossRef]
- Abdel-Mogib, M.; Albar, H.; Batterjee, S. Chemistry of the Genus Plectranthus. Molecules 2002, 7, 271–301. [Google Scholar] [CrossRef]
- Mauro, C.; Silva, C.d.P.; Missima, J.; Ohnuki, T.; Rinaldi, R.B.; Frota, M. Estudo Anatômico Comparado de Órgãos Vegetativos de Boldo Miúdo, Plectranthus ornatus Codd. e Malvariço, Plectranthus amboinicus (Lour.) Spreng.-Lamiaceae. Rev. Bras. Farmacogn. 2008, 18, 608–613. [Google Scholar] [CrossRef]
- Ribeiro, F.F.; da Conceição, L.d.O.; Oyama, E.M.; Furlan, M.R. Boldo Verdadeiro x Boldo Falso: Caracterização Morfoanatômica Foliar. Visão Acadêmica 2017, 18. [Google Scholar] [CrossRef]
- Ganie, S.A.; Ahammed, G.J. Dynamics of Cell Wall Structure and Related Genomic Resources for Drought Tolerance in Rice. Plant Cell Rep. 2021, 40, 437–459. [Google Scholar] [CrossRef]
- Duarte, M.D.R.; Lopes, J.F. Stem and Leaf Anatomy of Plectranthus neochilus Schltr., Lamiaceae. Braz. J. Pharmacogn. 2007, 17, 549–556. [Google Scholar] [CrossRef]
- Noraini, T.; Cutler, D.F. Leaf anatomical and micromorphological characters of some Malaysian parashorea (dipterocarpaceae). J. Trop. For. Sci. 2009, 21, 156–167. [Google Scholar]
- Jáuregui-Zuñiga, D.; Moreno, A. La Biomineralización Del Oxalato de Calcio En Plantas: Retos y Potencial. REB 2004, 23, 18–23. [Google Scholar]
- Kalicharan, B.; Naidoo, Y.; Heneidak, S.; Bhatt, A. Distribution, Morphological and Histochemical Characteristics of Foliar Trichomes of Plectranthus zuluensis (Lamiaceae). Braz. J. Bot. 2015, 38, 961–971. [Google Scholar] [CrossRef]
- Zager, J.J.; Lange, B.M. Assessing Flux Distribution Associated with Metabolic Specialization of Glandular Trichomes. Trends Plant Sci. 2018, 23, 638–647. [Google Scholar] [CrossRef]
- Konarska, A.; Weryszko-Chmielewska, E.; Matysik-Woźniak, A.; Sulborska, A.; Polak, B.; Dmitruk, M.; Piotrowska-Weryszko, K.; Stefańczyk, B.; Rejdak, R. Histochemical and Phytochemical Analysis of Lamium album Subsp. album L. Corolla: Essential Oil, Triterpenes, and Iridoids. Molecules 2021, 26, 4166. [Google Scholar] [CrossRef] [PubMed]
- Silva, R.M.; Faria, M.T. Caracterização Etnobotânica e Histoquímica de Plantas Medicinais Utilizadas Pelos Moradores Do Bairro Carrilho, Goianésia (GO). Enciclopédia Biosf. 2014, 10, 2807–2816. [Google Scholar]
- Rocha, V.L.P.; de Souza Fagundes, O.; Rocha, V.A.P.; Vicente, R.E.; Junior, N.G.R.; Yamashita, O.M.; da Silva, I.V. Anatomia Comparada, Histoquímica e Fitoquímica Dos Órgãos Vegetativos de Espécies Do Gênero Ocimum L. (Lamiaceae). Rev. Ibero-Am. Ciências Ambient. 2020, 11, 266–277. [Google Scholar] [CrossRef]
- Knaak, N.; Fiuza, L.M. Potencial Dos Óleos Essenciais de Plantas No Controle de Insetos e Microrganismos. Neotrop. Biol. Conserv. 2010, 5, 120–132. [Google Scholar] [CrossRef]
- Silva, M.L.C.; Costa, R.S.; Santana, A.D.S.; Koblitz, M.G.B. Compostos Fenólicos, Carotenóides e Atividade Antioxidante Em Produtos Vegetais. Semin. Ciências Agrárias 2010, 31, 669. [Google Scholar] [CrossRef]
- Khoddami, A.; Wilkes, M.A.; Roberts, T.H. Techniques for Analysis of Plant Phenolic Compounds. Molecules 2013, 18, 2328–2375. [Google Scholar] [CrossRef]
- Tak, Y.; Kumar, M. Phenolics: A Key Defence Secondary Metabolite to Counter Biotic Stress. Plant Phenolics Sustain. Agric. 2020, 1, 309–329. [Google Scholar]
- Gao, J.; Lin, H.; Wang, X.J.; Song, Z.G.; Jiao, H.C. Vitamin E Supplementation Alleviates the Oxidative Stress Induced by Dexamethasone Treatment and Improves Meat Quality in Broiler Chickens. Poult. Sci. 2010, 89, 318–327. [Google Scholar] [CrossRef]
- Hiba, H.; Janeeshma, E.; Puthur, J.T. Dynamic Alterations of Metabolites in Plectranthus amboinicus (Lour.) Spreng. to Encounter Drought and Zn Toxicity. Braz. J. Bot. 2021, 44, 587–599. [Google Scholar] [CrossRef]
- Alasbahi, R.; Melzig, M. Plectranthus barbatus: A Review of Phytochemistry, Ethnobotanical Uses and Pharmacology–Part 1. Planta Med. 2010, 76, 653–661. [Google Scholar] [CrossRef]
- Saboon; Chaudhari, S.K.; Arshad, S.; Amjad, M.S.; Akhtar, M.S. Natural Compounds Extracted from Medicinal Plants and Their Applications. In Natural Bio-Active Compounds: Volume 1: Production and Applications; Springer: Singapore, 2019; pp. 193–207. [Google Scholar]
- Heldt, H.-W.; Piechulla, B. Plant Biochemistry; Academic Press: Cambridge, MA, USA, 2021; ISBN 0128227133. [Google Scholar]
- Demétrio, A.M.; Lusa, M.G.; Lima, D.F.; Rodrigues, A.C. Leaf Anatomy of Varronia polycephala Lam. (Cordiaceae). Flora 2020, 271, 151677. [Google Scholar] [CrossRef]
- Barak, S.; Mudgil, D.; Taneja, S. Exudate Gums: Chemistry, Properties and Food Applications—A Review. J. Sci. Food Agric. 2020, 100, 2828–2835. [Google Scholar] [CrossRef]
- Galvão Rodrigues, F.F.; Costa, J.G.M.; Rodrigues, F.F.G.; Campos, A.R. Study of the Interference between Plectranthus Species Essential Oils from Brazil and Aminoglycosides. Evid.-Based Complement. Altern. Med. 2013, 2013, 724161. [Google Scholar] [CrossRef] [PubMed]
- Mondello, L. FFNSC 2: Flavors and Fragrances of Natural and Synthetic Compounds, Mass Spectral Database, 2nd ed.; Wiley Online Library: Hoboken, NJ, USA, 2011; ISBN 9783540773405. [Google Scholar]
- Johansen, D.A. Plant Microtechnique; Mc-Graw-Hillbook Company: New York, NY, USA, 1940. [Google Scholar]
- Pearse, A.G.E. Histochemistry, Theoretical and Applied: Preparative and Optical Technology, 1st ed.; Pearse, A.G.E., Stoward, P.J., Eds.; Churchill Livingstone: Lansing, MI, USA, 1968; Volume 1, ISBN 0443019983. [Google Scholar]
- Cain, A.J. The Use of Nile Blue in the Examination of Lipids. Q. J. Microsc. Sci. 1947, 33, 383–392. [Google Scholar] [CrossRef]
- David, R.; Carde, J.-P. Coloration Différentielle de Inclusions Lipidique et Terpéniques Des Peseudophylles Du Pin Maritime Au Moyen Du Réactif Nadi. C. R. Hebd. Seances Acad. Sci. 1964, 258, 1338–1340. [Google Scholar]
- McManus, J.F.A. Histological and Histochemical Uses of Periodic Acid. Stain Technol. 1948, 23, 99–108. [Google Scholar] [CrossRef]
- Mace, M.E.; Howell, C.R. Histochemistry and Identification of Condensed Tannin Precursors in Roots of Cotton Seedlings. Can. J. Bot. 1974, 52, 2423–2426. [Google Scholar] [CrossRef]
- Svendsen, A.B.; Verpoorte, R. Chromatography of Alkaloids, Part A, 1st ed.; Svendsen, A.B., Verpoorte, R., Eds.; CRC Press, Taylor & Francis: Boca Raton, FL, USA, 1983. [Google Scholar]
- Chamberlain, C.J. The Gymnosperms. Bot. Rev. 1935, 1, 183–209. [Google Scholar] [CrossRef]
- Mota, L.; Figueiredo, A.C.; Pedro, L.G.; Barroso, J.G.; Miguel, M.G.; Faleiro, M.L.; Ascensão, L. Volatile-Oils Composition, and Bioactivity of the Essential Oils of Plectranthus barbatus, P. Neochilus, and P. Ornatus Grown in Portugal. Chem. Biodivers. 2014, 11, 719–732. [Google Scholar] [CrossRef]
- Hassani, M.S.; Zainati, I.; Zrira, S.; Mahdi, S.; Oukessou, M. Chemical Composition and Antimicrobial Activity of Plectranthus amboinicus (Lour) Spring. Essential Oil from Archipelago of Comoros. J. Essent. Oil Bear. Plants 2012, 15, 637–644. [Google Scholar] [CrossRef]
- Alves, F.A.R.; de Morais, S.M.; Sobrinho, A.C.N.; da Silva, I.N.G.; Martins, C.G.; Silva, A.A.d.S.; Fontenelle, R.O.d.S. Chemical Composition, Antioxidant and Antifungal Activities of Essential Oils and Extracts from Plectranthus Spp. against Dermatophytes fungi. Rev. Bras. Saúde E Produção Anim. 2018, 19, 105–115. [Google Scholar] [CrossRef][Green Version]
- Passinho-Soares, H.; Meira, P.; David, J.; Mesquita, P.; Vale, A.; Rodrigues, F.d.M.; Pereira, P.d.P.; de Santana, J.; de Oliveira, F.; de Andrade, J.; et al. Volatile Organic Compounds Obtained by In Vitro Callus Cultivation of Plectranthus ornatus Codd. (Lamiaceae). Molecules 2013, 18, 10320–10333. [Google Scholar] [CrossRef] [PubMed]
- Marques, A.M.; Lima, M.C.H.P.; Fo, H.A.C.; Passinho, H.S.; Kaplan, M.A.C. Chemical Profile Analysis of Three Different Species of Plectranthus. Emir. J. Food Agric. 2012, 24, 137. [Google Scholar]
- Codd, L.E. Plectranthus (Labiatae) and allied genera in Southern Africa. Bothalia 1975, 11, 371–442. [Google Scholar] [CrossRef]
- Lorenzi, H.; Matos, F.J.A. Plantas Medicinais No Brasil: Nativas e Exóticas Cultivadas, 1st ed.; Repositório da Produção USP: São Paulo, Brazil, 2002; ISBN 8586714186. [Google Scholar]
- Lillie, R.D. Histopathologic Technic and Practical Histochemistry; The Blakiston: New York, NY, USA, 1954. [Google Scholar]
- Kraus, J.E.; Arduin, M.P.P.-S. Manual Básico de Métodos Em Morfologia Vegetal, 1st ed.; EDUR: Seropedica, RJ, USA, 1997. [Google Scholar]
- Franklin, G.L. Preparation of Thin Sections of Synthetic Resins and Wood-Resin Composites, and a New Macerating Method for Wood. Nature 1945, 155, 51. [Google Scholar] [CrossRef]
- Spicher, G. Gerlach, D.: Botanische Mikrotechnik—Eine Einführung. 3., Unveränderte Auflage. Georg Thieme Verlag, Stuttgart 1984. 311 Seiten, Mit 45 Abb., Flexibles Taschenbuch DM 26,80. Starch-Stärke 1985, 37, 34. [Google Scholar] [CrossRef]
- Purvis, M.J.; Collier, D.C.; Walls, D. Laboratory Techniques in Botany; Butterworths: London, UK, 1964. [Google Scholar]
- Tilotta, F.; Lazaroo, B.; Laujac, M.-H.; Gaudy, J.-F. A Study of the Vascularization of the Auricle by Dissection and Diaphanization. Surg. Radiol. Anat. 2009, 31, 259–265. [Google Scholar] [CrossRef]
- Alaimo, M.G.; Gargano, M.L.; Vizzì, D.; Venturella, G. Leaf Anatomy in Tamarix arborea Var. arborea (Tamaricaceae). Plant Biosyst.-Int. J. Deal. Asp. Plant Biol. 2013, 147, 21–24. [Google Scholar] [CrossRef]
- Kaiser, E. Verfahren Zur Herstellung Einer Tadellosen Glycerin-Gelatine. Bot. Zentralb 1880, 180, 25–26. [Google Scholar]
- Franco, C.d.J.P.; Ferreira, O.O.; Antônio Barbosa de Moraes, Â.; Varela, E.L.P.; do Nascimento, L.D.; Percário, S.; de Oliveira, M.S.; Andrade, E.H.d.A. Chemical Composition and Antioxidant Activity of Essential Oils from Eugenia patrisii Vahl, E. Punicifolia (Kunth) DC., and Myrcia tomentosa (Aubl.) DC., Leaf of Family Myrtaceae. Molecules 2021, 26, 3292. [Google Scholar] [CrossRef]
- Santana de Oliveira, M.; Pereira da Silva, V.M.; Cantão Freitas, L.; Gomes Silva, S.; Nevez Cruz, J.; Aguiar Andrade, E.H. Extraction Yield, Chemical Composition, Preliminary Toxicity of Bignonia nocturna (Bignoniaceae) Essential Oil and in Silico Evaluation of the Interaction. Chem. Biodivers. 2021, 18, e2000982. [Google Scholar] [CrossRef] [PubMed]
- Adams, R.P. Identification of Essential Oil Components by Gas Chromatography/Mass Spectroscopy, 4th ed.; Publishing Corporation, Ed.; Allured Pub Corp.: Carol Stream, IL, USA, 2007; ISBN 1932633219. [Google Scholar]
- Stein, S.; Mirokhin, D.; Tchekhovskoi, D.; Mallard, G.; Mikaia, A.; Zaikin, V.; Sparkmanm, D. The NIST Mass Spectral Search Program for the Nist/Epa/Nih Mass Spectra Library; Standard Reference Data Program of the National Institute of Standards and Technology: Gaithers-Burg, MD, USA, 2011. [Google Scholar]





| Test | Secretory Structures | |
|---|---|---|
| Glandular Trichomes | Idioblasts | |
| Total lipids | + | n |
| Acidic lipids | + | n |
| Terpenes | + | n |
| Total polysaccharides | + | n |
| Starch | − | n |
| Phenolic compounds | + | n |
| Tannin | + | n |
| Alkaloids | + | n |
| Crystals of calcium oxalate | n | + |
| IRC | IRL | Compounds | (A) | (B) |
|---|---|---|---|---|
| 919 | 924 | α-Thujene | 2.82 | 0.22 |
| 935 | 932 | α-Pinene | 12.38 | |
| 969 | 969 | Sabinene | 8.72 | |
| 970 | 974 | Oct-1-en-3-ol | 13.92 | |
| 986 | 988 | Octan-3-ol | 1.06 | 4.04 |
| 999 | 1001 | Hex-(3E)-enyl acetate | 0.8 | |
| 1011 | 1014 | α-Terpinene | 1.16 | 0.6 |
| 1018 | 1020 | p-Cymene | 4.08 | |
| 1022 | 1022 | o-cymene | 3.64 | 2.74 |
| 1040 | 1044 | (E)-β -Ocimene | 0.5 | 1.03 |
| 1051 | 1054 | γ-Terpinene | 2.66 | 2.19 |
| 1060 | 1065 | cis-Sabinene hydrate (IPP vs. OH) | 0.4 | |
| 1082 | 1085 | Terpinolene | 0.95 | 0.7 |
| 1093 | 1095 | Linalool | 0.2 | 1.23 |
| 1097 | 1098 | Linalool | 0.24 | |
| 1111 | 1112 | trans-Thujone | 0.59 | 0.33 |
| 1115 | 1119 | α-p-Mentha-2,8-dien-1-ol | 0.45 | |
| 1120 | 1122 | α-Campholenal | 0.77 | 0.37 |
| 1133 | 1135 | (E)-Pinocarveol | 0.51 | |
| 1124 | 1122 | α-Campholenal | 0.06 | |
| 1134 | 1139 | trans-Pinocarveol | 0.86 | |
| 1139 | 1137 | trans-Sabinol (trans for OH vs. IPP) | 0.14 | |
| 1157 | 1160 | Pinocarvone | 0.28 | 0.15 |
| 1160 | 1166 | p-Mentha-1,5-dien-8-ol | 1.23 | 0.58 |
| 1171 | 1174 | Terpinen-4-ol | 2.9 | 5.66 |
| 1178 | 1181 | Thuj-3-en-10-al | 0.21 | |
| 1185 | 1186 | α-Terpineol | 0.49 | 0.84 |
| 1191 | 1194 | Myrtenol | 0.49 | |
| 1192 | 1195 | Methyl chavicol | 1.13 | |
| 1199 | 1201 | n-Decanal | 0.16 | |
| 1246 | 1235 | trans-Chrysanthenyl acetate | 0.16 | |
| 1280 | 1283 | Bornyl acetate | 0.7 | |
| 1344 | 1346 | α-terpinyl acetate | 4.1 | |
| 1346 | 1348 | α-Cubebene | 0.99 | |
| 1372 | 1374 | α-Copaene | 1.11 | 0.69 |
| 1381 | 1387 | β-Bourbonene | 2.54 | 1.18 |
| 1386 | 1387 | β -Cubebene | 0.61 | 0.74 |
| 1388 | 1389 | β -Elemene | 0.12 | |
| 1389 | 1390 | Sativene | 0.1 | |
| 1417 | 1417 | (E)-Caryophyllene | 12.84 | 29.61 |
| 1425 | 1430 | β -Copaene | 0.41 | 0.3 |
| 1431 | 1432 | trans-α-Bergamotene | 0.16 | |
| 1440 | 1447 | Isogermacrene-D | 0.13 | |
| 1441 | 1440 | (Z)-β -Farnesene | 0.09 | |
| 1446 | 1448 | trans-Muurola-3,5-diene | 0.13 | 0.06 |
| 1450 | 1452 | α-Humulene | 1.03 | 1.22 |
| 1457 | 1458 | allo-Aromadendrene | 0.03 | |
| 1463 | 1460 | dehydro Aromadendrane | 0.05 | |
| 1470 | 1471 | Dauca-5,8-diene | 0.16 | |
| 1472 | 1478 | γ-Muurolene | 0.14 | 0.16 |
| 1474 | 1481 | γ-Curcumene | 0.05 | |
| 1482 | 1484 | Germacrene-D | 1.53 | 2.25 |
| 1489 | 1493 | trans-Muurola-4(14),5-diene | 0.11 | |
| 1491 | 1495 | γ-Amorphene | 0.22 | |
| 1492 | 1498 | ε-Amorphene | 0.42 | |
| 1497 | 1500 | α-Muurolene | 0.14 | |
| 1504 | 1505 | α-Bulnesene | 3.39 | 1.65 |
| 1507 | 1513 | γ-Cadinene | 0.34 | 0.26 |
| 1510 | 1514 | β -Curcumene | 0.14 | |
| 1512 | 1513 | γ-Cadinene | 0.57 | |
| 1511 | 1514 | Cubebol | 0.23 | |
| 1522 | 1522 | δ-Cadinene | 2.07 | 1.35 |
| 1524 | 1529 | Kessane | 1.04 | |
| 1528 | 1533 | trans-Cadina-1,4-diene | 0.12 | |
| 1539 | 1542 | trans-Sesquisabinene hydrate | 0.16 | |
| 1549 | 1547 | Italicene epoxide | 0.4 | 0.31 |
| 1558 | 1561 | (E)-Nerolidol | 0.35 | 0.2 |
| 1575 | 1577 | Spathulenol | 0.08 | |
| 1583 | 1582 | Caryophyllene oxide | 9.62 | 11.76 |
| 1595 | 1586 | Thujopsan-2-α-ol | 0.05 | |
| 1598 | 1600 | Cedrol | 0.12 | |
| 1606 | 1608 | Humulene epoxide II | 0.74 | 0.55 |
| 1612 | 1618 | 1,10-di-epi-Cubenol | 0.04 | |
| 1625 | 1627 | 1-epi-Cubenol | 0.27 | 0.18 |
| 1630 | 1631 | trans-Sesquilavandulol | 0.05 | |
| 1629 | 1639 | allo-Aromadendrene epoxide- | 0.25 | |
| 1633 | 1639 | Caryophylla-4(12),8(13)-dien-5-α-ol | 0.5 | 0.31 |
| 1637 | 1644 | α-Muurolol | 0.72 | 0.76 |
| 1642 | 1645 | Cubenol | 0.08 | 0.06 |
| 1651 | 1652 | α-Cadinol | 0.32 | 0.4 |
| 1662 | 1661 | Allohimachalol | 0.21 | |
| 1655 | 1666 | 14-hydroxy-(Z)-Caryophyllene | 0.26 | |
| 1668 | 1668 | 14-hydroxy-9-epi-(E)-Caryophyllene | 1.77 | 1.01 |
| 1675 | 1679 | Khusinol | 0.16 | |
| 1683 | 1685 | Germacra-4(15),5,10(14)-trien-1- α-ol | 0.33 | 0.18 |
| 1743 | 1746 | 8- α-11-Elemodiol | 0.06 | |
| 1786 | 1792 | Drimenone | 0.1 | |
| 1837 | 1841 * | Phytone | 0.11 | 0.2 |
| 2092 | 9-Octadecenoic acid (Z)-, methyl ester | 1.37 | ||
| 2105 | 2095 | Methyl linoleate | 0.61 | |
| 2107 | Phytol derivative | 2.49 | ||
| 2118 | 2124 | Methyl octadecanoate | 0.09 | |
| 2213 | 2218 | e-Phytol acetate | 2.31 | |
| 2215 | Terpenoids not identified | 4.04 | 22.96 | |
| Hydrocarbon Monoterpenes | 36.91 | 7.48 | ||
| Oxygenated Monoterpenes | 7.34 | 11.8 | ||
| Hydrocarbon Sesquiterpenes | 27.56 | 41.65 | ||
| Oxygenated Sesquiterpenes | 17.6 | 16.03 | ||
| Terpenoids not identified | 4.04 | 22.96 | ||
| Total | 93.45 | 99.92 |
| Metabolic Groups | Reagents | Reaction |
|---|---|---|
| Total lipids | Sudan III (Johansen [47]) | Orange |
| Sudan Black (Pearse [48]) | Blue | |
| Acidic lipids | Nile blue sulfate (Cain [49]) | Greenish blue |
| Terpenes | Nadi reagent (David; Carde [50]) | Purple |
| Total Polysaccharides | PAS (Periodic acid Schiff) (MCmanus [51]) | Pink |
| Tannin | Chloridric Vanilla (Mace; Howell [52]) | Reddish orange |
| Starch | Lugol’s solution (Johansen [47]) | No reaction |
| Phenolic compounds | Iron(III) chloride 10% (Johansen [47]). | Black |
| Alkaloids | Dragendorf reagent (Svendsen; Verpoorte [53]) | Reddish brown |
| Crystals of calcium oxalate | Hydrochloric acid 5% (Chamberlain [54]) | Until the dissociation of crystals |
Disclaimer/Publisher’s Note: The statements, opinions and data contained in all publications are solely those of the individual author(s) and contributor(s) and not of MDPI and/or the editor(s). MDPI and/or the editor(s) disclaim responsibility for any injury to people or property resulting from any ideas, methods, instructions or products referred to in the content. |
© 2023 by the authors. Licensee MDPI, Basel, Switzerland. This article is an open access article distributed under the terms and conditions of the Creative Commons Attribution (CC BY) license (https://creativecommons.org/licenses/by/4.0/).
Share and Cite
da Silva, L.R.R.; Correia, Z.A.; Gurgel, E.S.C.; Ribeiro, O.; Silva, S.G.; Ferreira, O.O.; Andrade, E.H.d.A.; de Oliveira, M.S. Morphoanatomical, Histochemical, and Essential Oil Composition of the Plectranthus ornatus Codd. (Lamiaceae). Molecules 2023, 28, 6482. https://doi.org/10.3390/molecules28186482
da Silva LRR, Correia ZA, Gurgel ESC, Ribeiro O, Silva SG, Ferreira OO, Andrade EHdA, de Oliveira MS. Morphoanatomical, Histochemical, and Essential Oil Composition of the Plectranthus ornatus Codd. (Lamiaceae). Molecules. 2023; 28(18):6482. https://doi.org/10.3390/molecules28186482
Chicago/Turabian Styleda Silva, Luiz Renan Ramos, Zelina Ataíde Correia, Ely Simone Cajueiro Gurgel, Olívia Ribeiro, Sebastião Gomes Silva, Oberdan Oliveira Ferreira, Eloisa Helena de Aguiar Andrade, and Mozaniel Santana de Oliveira. 2023. "Morphoanatomical, Histochemical, and Essential Oil Composition of the Plectranthus ornatus Codd. (Lamiaceae)" Molecules 28, no. 18: 6482. https://doi.org/10.3390/molecules28186482
APA Styleda Silva, L. R. R., Correia, Z. A., Gurgel, E. S. C., Ribeiro, O., Silva, S. G., Ferreira, O. O., Andrade, E. H. d. A., & de Oliveira, M. S. (2023). Morphoanatomical, Histochemical, and Essential Oil Composition of the Plectranthus ornatus Codd. (Lamiaceae). Molecules, 28(18), 6482. https://doi.org/10.3390/molecules28186482

