Crystal Structure of Staphopain C from Staphylococcus aureus
Abstract
1. Introduction
2. Results and Discussion
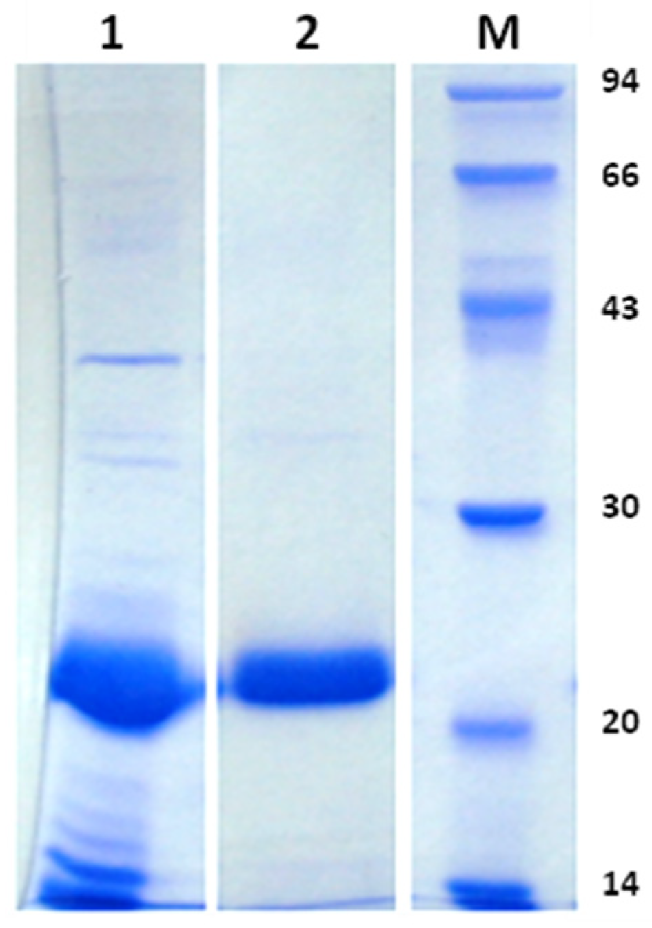
2.1. Expression and Crystallization of ScpA2
2.2. Overall Crystal Structure of ScpA2
2.3. Active Site
2.4. S2 Subsite Determines Substrate Specificity
3. Materials and Methods
3.1. Expression and Purification of ScpA2
3.2. Crystalization of ScpA2
3.3. Data Collection and Crystal Structure Solution
4. Conclusions
Supplementary Materials
Author Contributions
Funding
Institutional Review Board Statement
Informed Consent Statement
Data Availability Statement
Conflicts of Interest
Sample Availability
References
- Pollitt, E.J.G.; Szkuta, P.T.; Burns, N.; Foster, S.J. Staphylococcus aureus infection dynamics. PLoS Pathog. 2018, 14, e1007112. [Google Scholar] [CrossRef]
- Kalińska, M.; Kantyka, T.; Greenbaum, D.C.; Larsen, K.S.; Władyka, B.; Jabaiah, A.; Bogyo, M.; Daugherty, P.S.; Wysocka, M.; Jaros, M.; et al. Substrate specificity of Staphylococcus aureus cysteine proteases—Staphopains A, B and C. Biochimie 2012, 94, 318–327. [Google Scholar] [CrossRef] [PubMed]
- Dayan, G.H.; Mohamed, N.; Scully, I.L.; Cooper, D.; Begier, E.; Eiden, J.; Jansen, K.U.; Gurtman, A.; Anderson, A.S. Staphylococcus aureus: The current state of disease, pathophysiology and strategies for prevention. Expert Rev. Vaccines 2016, 15, 1373–1392. [Google Scholar] [CrossRef]
- Haag, A.F.; Fitzgerald, J.R.; Penadés, J.R. Staphylococcus aureus in Animals. Microbiol. Spectr. 2019, 7. [Google Scholar] [CrossRef] [PubMed]
- Peton, V.; Le Loir, Y. Staphylococcus aureus in veterinary medicine. Infect. Genet. Evol. 2014, 21, 602–615. [Google Scholar] [CrossRef] [PubMed]
- Tam, K.; Torres, V.J. Staphylococcus aureus Secreted Toxins and Extracellular Enzymes. Microbiol. Spectr. 2019, 7. [Google Scholar] [CrossRef] [PubMed]
- Kolar, S.L.; Ibarra, J.A.; Rivera, F.E.; Mootz, J.M.; Davenport, J.E.; Stevens, S.M.; Horswill, A.R.; Shaw, L.N. Extracellular proteases are key mediators of Staphylococcus aureus virulence via the global modulation of virulence-determinant stability. Microbiologyopen 2013, 2, 18–34. [Google Scholar] [CrossRef]
- Dubin, G.; Krajewski, M.; Popowicz, G.; Stec-Niemczyk, J.; Bochtler, M.; Potempa, J.; Dubin, A.; Holak, T.A. A Novel Class of Cysteine Protease Inhibitors: Solution Structure of Staphostatin A from Staphylococcus aureus. Biochemistry 2003, 42, 13449–13456. [Google Scholar] [CrossRef]
- Wladyka, B.; Kozik, A.J.; Bukowski, M.; Rojowska, A.; Kantyka, T.; Dubin, G.; Dubin, A. α1-Antichymotrypsin inactivates staphylococcal cysteine protease in cross-class inhibition. Biochimie 2011, 93, 948–953. [Google Scholar] [CrossRef]
- Kuramasu, S.; Imamura, Y.; Takizawa, T.; Oguchi, F.; Tajima, Y. Studies on Staphylococcosis in Chickens: I. Outbreaks of Staphylococcal Infection on Poultry Farms and Characteristics of Staphylococcus aureus Isolated from Chickens. Zentralbl. Veterinarmed. B 1967, 14, 646–656. [Google Scholar] [CrossRef]
- Takeuchi, S.; Kinoshita, T.; Kaidoh, T.; Hashizume, N. Purification and characterization of protease produced by Staphylococcus aureus isolated from a diseased chicken. Vet. Microbiol. 1999, 67, 195–202. [Google Scholar] [CrossRef] [PubMed]
- Takeuchi, S.; Matsunaga, K.; Inubushi, S.; Higuchi, H.; Imaizumi, K.; Kaidoh, T. Structural gene and strain specificity of a novel cysteine protease produced by Staphylococcus aureus isolated from a diseased chicken. Vet. Microbiol. 2002, 89, 201–210. [Google Scholar] [CrossRef] [PubMed]
- Lowder, B.V.; Guinane, C.M.; Ben Zakour, N.L.; Weinert, L.A.; Conway-Morris, A.; Cartwright, R.A.; Simpson, A.J.; Rambaut, A.; Nübel, U.; Fitzgerald, J.R. Recent human-to-poultry host jump, adaptation, and pandemic spread of Staphylococcus aureus. Proc. Natl. Acad. Sci. USA 2009, 106, 19545–19550. [Google Scholar] [CrossRef]
- Polakowska, K.; Lis, M.W.; Helbin, W.M.; Dubin, G.; Dubin, A.; Niedziolka, J.W.; Miedzobrodzki, J.; Wladyka, B. The virulence of Staphylococcus aureus correlates with strain genotype in a chicken embryo model but not a nematode model. Microbes Infect. 2012, 14, 1352–1362. [Google Scholar] [CrossRef] [PubMed]
- Menard, R.; Plouffe, C.; Laflamme, P.; Vernet, T.; Tessier, D.C.; Thomas, D.Y.; Storer, A.C. Modification of the Electrostatic Environment is Tolerated in the Oxyanion Hole of the Cysteine Protease Papain. Biochemistry 1995, 34, 464–471. [Google Scholar] [CrossRef]
- Jumper, J.; Evans, R.; Pritzel, A.; Green, T.; Figurnov, M.; Ronneberger, O.; Tunyasuvunakool, K.; Bates, R.; Žídek, A.; Potapenko, A.; et al. Highly accurate protein structure prediction with AlphaFold. Nature 2021, 596, 583–589. [Google Scholar] [CrossRef]
- Varadi, M.; Anyango, S.; Deshpande, M.; Nair, S.; Natassia, C.; Yordanova, G.; Yuan, D.; Stroe, O.; Wood, G.; Laydon, A.; et al. AlphaFold Protein Structure Database: Massively expanding the structural coverage of protein-sequence space with high-accuracy models. Nucleic Acids Res. 2022, 50, D439–D444. [Google Scholar] [CrossRef]
- Zwart, P.H.; Grosse-Kunstleve’s, R.W.; Adams, P.D. Xtriage and Fest: Automatic assessment of X-ray data and substructure structure factor estimation. CCP4 Newsl. 2005, 43, 27–35. [Google Scholar]
- Roversi, P.; Blanc, E.; Johnson, S.; Lea, S.M. Tetartohedral twinning could happen to you too. Acta Crystallogr. Sect. D Biol. Crystallogr. 2012, 68, 418–424. [Google Scholar] [CrossRef]
- Holm, L. Dali server: Structural unification of protein families. Nucleic Acids Res. 2022, 50, W210–W215. [Google Scholar] [CrossRef]
- Robert, X.; Gouet, P. Deciphering key features in protein structures with the new ENDscript server. Nucleic Acids Res. 2014, 42, W320–W324. [Google Scholar] [CrossRef]
- Kabsch, W.; Sander, C. Dictionary of protein secondary structure: Pattern recognition of hydrogen-bonded and geometrical features. Biopolymers 1983, 22, 2577–2637. [Google Scholar] [CrossRef] [PubMed]
- Harrison, M.J.; Burton, N.A.; Hillier, I.H. Catalytic Mechanism of the Enzyme Papain: Predictions with a Hybrid Quantum Mechanical/Molecular Mechanical Potential. J. Am. Chem. Soc. 1997, 119, 12285–12291. [Google Scholar] [CrossRef]
- Creighton, D.J.; Gessouroun, M.S.; Heapes, J.M. Is the thiolate-imidazolium ion pair the catalytically important form of papain? FEBS Lett. 1980, 110, 319–322. [Google Scholar] [CrossRef]
- Novinec, M.; Lenarčič, B. Papain-like peptidases: Structure, function, and evolution. Biomol. Concepts 2013, 4, 287–308. [Google Scholar] [CrossRef]
- Gul, S.; Hussain, S.; Thomas, M.P.; Resmini, M.; Verma, C.S.; Thomas, E.W.; Brocklehurst, K. Generation of Nucleophilic Character in the Cys25/His159 Ion Pair of Papain Involves Trp177 but Not Asp158. Biochemistry 2008, 47, 2025–2035. [Google Scholar] [CrossRef]
- Ménard, R.; Storer, A.C. Oxyanion Hole Interactions in Serine and Cysteine Proteases. Biol. Chem. Hoppe-Seyler 1992, 373, 393–400. [Google Scholar] [CrossRef] [PubMed]
- Schechter, I.; Berger, A. On the size of the active site in proteases. I. Papain. Biochem. Biophys. Res. Commun. 1967, 27, 157–162. [Google Scholar] [CrossRef]
- Petushkova, A.I.; Savvateeva, L.V.; Zamyatnin, A.A. Structure determinants defining the specificity of papain-like cysteine proteases. Comput. Struct. Biotechnol. J. 2022, 20, 6552–6569. [Google Scholar] [CrossRef]
- Rawlings, N.D.; Waller, M.; Barrett, A.J.; Bateman, A. MEROPS: The database of proteolytic enzymes, their substrates and inhibitors. Nucleic Acids Res. 2014, 42, D503–D509. [Google Scholar] [CrossRef]
- Filipek, R.; Rzychon, M.; Oleksy, A.; Gruca, M.; Dubin, A.; Potempa, J.; Bochtler, M. The Staphostatin-Staphopain Complex. J. Biol. Chem. 2003, 278, 40959–40966. [Google Scholar] [CrossRef] [PubMed]
- Hofmann, B.; Schomburg, D.; Hecht, H.J. Crystal structure of a thiol proteinase from Staphylococcus aureus V-8 in the E-64 inhibitor complex. Acta Crystallogr. Sect. A Found. Crystallogr. 1993, 49, c102. [Google Scholar] [CrossRef]
- Vonrhein, C.; Flensburg, C.; Keller, P.; Sharff, A.; Smart, O.; Paciorek, W.; Womack, T.; Bricogne, G. Data processing and analysis with the autoPROC toolbox. Acta Crystallogr. Sect. D Biol. Crystallogr. 2011, 67, 293–302. [Google Scholar] [CrossRef] [PubMed]
- Kabsch, W. XDS. Acta Crystallogr. Sect. D Biol. Crystallogr. 2010, 66, 125–132. [Google Scholar] [CrossRef]
- Evans, P. Scaling and assessment of data quality. Acta Crystallogr. Sect. D Biol. Crystallogr. 2006, 62, 72–82. [Google Scholar] [CrossRef] [PubMed]
- Evans, P.R.; Murshudov, G.N. How good are my data and what is the resolution? Acta Crystallogr. Sect. D Biol. Crystallogr. 2013, 69, 1204–1214. [Google Scholar] [CrossRef] [PubMed]
- Winn, M.D.; Ballard, C.C.; Cowtan, K.D.; Dodson, E.J.; Emsley, P.; Evans, P.R.; Keegan, R.M.; Krissinel, E.B.; Leslie, A.G.W.; McCoy, A.; et al. Overview of the CCP4 suite and current developments. Acta Crystallogr. Sect. D Biol. Crystallogr. 2011, 67, 235–242. [Google Scholar] [CrossRef]
- Tickle, I.J.; Sharff, A.; Flensburg, C.; Smart, O.; Keller, P.; Vonrhein, C.; Paciorek, W.; Bricogne, G. STARANISO; Global Phasing Ltd.: Cambridge, UK, 2008. [Google Scholar]
- Matthews, B. Solvent content of protein crystals. J. Mol. Biol. 1968, 33, 491–497. [Google Scholar] [CrossRef]
- McCoy, A.J.; Grosse-Kunstleve, R.W.; Adams, P.D.; Winn, M.D.; Storoni, L.C.; Read, R.J. Phasercrystallographic software. J. Appl. Crystallogr. 2007, 40, 658–674. [Google Scholar] [CrossRef]
- Adams, P.D.; Afonine, P.V.; Bunkóczi, G.; Chen, V.B.; Davis, I.W.; Echols, N.; Headd, J.J.; Hung, L.-W.; Kapral, G.J.; Grosse-Kunstleve, R.W.; et al. PHENIX: A comprehensive Python-based system for macromolecular structure solution. Acta Crystallogr. Sect. D Biol. Crystallogr. 2010, 66, 213–221. [Google Scholar] [CrossRef]
- Afonine, P.V.; Grosse-Kunstleve, R.W.; Echols, N.; Headd, J.J.; Moriarty, N.W.; Mustyakimov, M.; Terwilliger, T.C.; Urzhumtsev, A.; Zwart, P.H.; Adams, P.D. Towards automated crystallographic structure refinement with phenix.refine. Acta Crystallogr. Sect. D Biol. Crystallogr. 2012, 68, 352–367. [Google Scholar] [CrossRef] [PubMed]
- Emsley, P.; Lohkamp, B.; Scott, W.G.; Cowtan, K. Features and development of Coot. Acta Crystallogr. Sect. D Biol. Crystallogr. 2010, 66, 486–501. [Google Scholar] [CrossRef] [PubMed]
- Murshudov, G.N.; Skubák, P.; Lebedev, A.A.; Pannu, N.S.; Steiner, R.A.; Nicholls, R.A.; Winn, M.D.; Long, F.; Vagin, A.A. REFMAC5 for the refinement of macromolecular crystal structures. Acta Crystallogr. Sect. D Biol. Crystallogr. 2011, 67, 355–367. [Google Scholar] [CrossRef] [PubMed]
- Williams, C.J.; Headd, J.J.; Moriarty, N.W.; Prisant, M.G.; Videau, L.L.; Deis, L.N.; Verma, V.; Keedy, D.A.; Hintze, B.J.; Chen, V.B.; et al. MolProbity: More and better reference data for improved all-atom structure validation. Protein Sci. 2018, 27, 293–315. [Google Scholar] [CrossRef] [PubMed]




| PDB ID | Z-Score | RMSD [Å] | Sequence Identity [%] |
|---|---|---|---|
| 1CV8 (staphopain A) | 34.0 | 0.4 | 80 |
| 1Y4H (staphopain B) | 31.1 | 1.3 | 51 |
| Space Group | P31 |
|---|---|
| Cell Parameters | |
| a, b, c (Å) | 103.14, 103.14, 51.20 |
| α, β, γ (°) | 90, 90, 120 |
| Wavelength (Å) | 1.05 |
| Wilson B factor (Å2) | 11.07 |
| Resolution range (Å) | 51.57–1.58 (1.64–1.58) |
| Completeness (%) | 97.51 (99.95) |
| Rmerge (%) | 4.69 (15.03) |
| Rmeas (%) | 5.43 (17.60) |
| Rpim (%) | 2.72 (9.06)) |
| CC1/2 (%) | 99.7 (91.7) |
| Observed reflections | 307,174 (30,350) |
| Unique reflections | 80,816 (8329) |
| I/sigma (I) | 25.12 (9.86) |
| Average multiplicity | 3.8 (3.7) |
| Refinement | |
| Resolution (Å) | 1.58 |
| No. of reflections used | 81,079 (8333) |
| Rfactor (%) | 9.01 (20.21) |
| Rfree (%) | 11.32 (20.38) |
| Average B factor (Å2) | 11.12 |
| Protein | 9.85 |
| Ligands | 27.69 |
| Water | 25 |
| RMSD from Ideal Values | |
| Bond length (Å) | 0.013 |
| Bond angles (°) | 1.85 |
| Ramachandran Statistics (%) | |
| Most favored regions | 98.44 |
| Additionally allowed regions | 1.56 |
| Content of the Asymmetric Unit | |
| No. of protein molecules/residues/non-H atoms | 3/519/4159 |
| Ligands | 17 |
| No. of solvent molecules | 413 |
Disclaimer/Publisher’s Note: The statements, opinions and data contained in all publications are solely those of the individual author(s) and contributor(s) and not of MDPI and/or the editor(s). MDPI and/or the editor(s) disclaim responsibility for any injury to people or property resulting from any ideas, methods, instructions or products referred to in the content. |
© 2023 by the authors. Licensee MDPI, Basel, Switzerland. This article is an open access article distributed under the terms and conditions of the Creative Commons Attribution (CC BY) license (https://creativecommons.org/licenses/by/4.0/).
Share and Cite
Magoch, M.; McEwen, A.G.; Napolitano, V.; Władyka, B.; Dubin, G. Crystal Structure of Staphopain C from Staphylococcus aureus. Molecules 2023, 28, 4407. https://doi.org/10.3390/molecules28114407
Magoch M, McEwen AG, Napolitano V, Władyka B, Dubin G. Crystal Structure of Staphopain C from Staphylococcus aureus. Molecules. 2023; 28(11):4407. https://doi.org/10.3390/molecules28114407
Chicago/Turabian StyleMagoch, Malgorzata, Alastair G. McEwen, Valeria Napolitano, Benedykt Władyka, and Grzegorz Dubin. 2023. "Crystal Structure of Staphopain C from Staphylococcus aureus" Molecules 28, no. 11: 4407. https://doi.org/10.3390/molecules28114407
APA StyleMagoch, M., McEwen, A. G., Napolitano, V., Władyka, B., & Dubin, G. (2023). Crystal Structure of Staphopain C from Staphylococcus aureus. Molecules, 28(11), 4407. https://doi.org/10.3390/molecules28114407

