Genistein Up-Regulates the Expression of EGF and E-Cadherin in the Treatment of Senile Vaginitis
Abstract
1. Introduction
2. Results
2.1. Effect of Genistein on the General Condition of Rats with Vaginitis
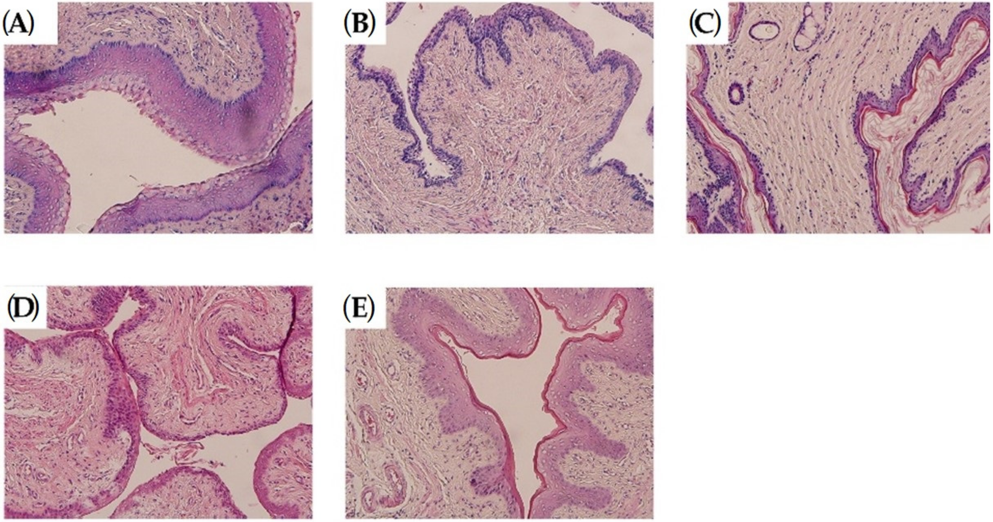
2.2. Effect on Vaginal Histomorphology and Cytology of Rats with Vaginitis
2.3. Effect on Vaginal Cytology in Rats
2.4. Effect on Vaginal Indices in Rats
2.5. Effect on Hormone Levels in Rats
2.6. Effect on Glycogen Content in the Vagina of Rats
2.7. Effect on Microorganisms in the Vagina of Rats
2.8. Effects on EGF and E-cadherin Protein Expression in Rat Vaginal Tissues
2.9. Effects on mRNA Expression of EGF and E-Cadherin in Vaginal Tissues
3. Discussion
4. Materials and Methods
4.1. Materials
4.2. Chemicals
4.3. Instruments
4.4. Animals and Experimental Design
4.5. Cell Observation Count of Vaginal Lavage Smears
4.6. Intravaginal Microbiological Testing
4.7. ELISA Kit to Determine Sex Hormone Levels
4.8. Organs of the Uterus and Vagina Index
4.9. Determination of Glycogen Content
4.10. Histomorphological Observation of the Vagina
4.11. Immunohistochemical Detection of EGF, E-Cadherin Protein Expression
4.12. Real-Time PCR Assay to Detect the mRNA Expression of EGF and E-Cadherin
4.13. Data Analysis
5. Conclusions
Author Contributions
Funding
Institutional Review Board Statement
Informed Consent Statement
Data Availability Statement
Acknowledgments
Conflicts of Interest
Sample Availability
References
- Weber, M.A.; Limpens, J.; Roovers, J.P. Assessment of vaginal atrophy: A review. Int. Urogynecol. J. 2015, 26, 15–28. [Google Scholar] [CrossRef] [PubMed]
- Stika, C.S. Atrophic vaginitis. Dermatol. Ther. 2010, 23, 514–522. [Google Scholar] [CrossRef] [PubMed]
- Qi, S. Synergistic Effects of Genistein and Zinc on Bone Metabolism and the Femoral Metaphyseal Histomorphology in the Ovariectomized Rats. Biol. Trace Elem. Res. 2018, 183, 288–295. [Google Scholar] [CrossRef] [PubMed]
- Pérez-López, F.R.; Vieira-Baptista, P.; Phillips, N.; Cohen-Sacher, B.; Fialho, S.; Stockdale, C.K. Clinical manifestations and evaluation of postmenopausal vulvovaginal atrophy. Gynecol. Endocrinol. 2021, 37, 740–745. [Google Scholar] [CrossRef]
- Lethaby, A.; Ayeleke, R.O.; Roberts, H. Local oestrogen for vaginal atrophy in postmenopausal women. Cochrane Database Syst. Rev. 2016, 8, CD001500. [Google Scholar] [CrossRef]
- Santino, P.; Martignani, E.; Miretti, S.; Baratta, M.; Accornero, P. Mechanisms of modulation of the Egr gene family in mammary epithelial cells of different species. Gen. Comp. Endocrinol. 2017, 247, 87–96. [Google Scholar] [CrossRef]
- Fujihara, M.; Comizzoli, P.; Keefer, C.L.; Wildt, D.E.; Songsasen, N. Epidermal growth factor (EGF) sustains in vitro primordial follicle viability by enhancing stromal cell proliferation via MAPK and PI3K pathways in the prepubertal, but not adult, cat ovary. Biol. Reprod. 2014, 90, 86. [Google Scholar] [CrossRef]
- Boland, N.I.; Gosden, R.G. Effects of epidermal growth factor on the growth and differentiation of cultured mouse ovarian follicles. J. Reprod. Fertil. 1994, 101, 369–374. [Google Scholar] [CrossRef]
- Farin, C.E.; Rodriguez, K.F.; Alexander, J.E.; Hockney, J.E.; Herrick, J.R.; Kennedy-Stoskopf, S. The role of transcription in EGF- and FSH-mediated oocyte maturation in vitro. Anim. Reprod. Sci. 2007, 98, 97–112. [Google Scholar] [CrossRef][Green Version]
- Lorenzo, P.L.; Illera, M.J.; Illera, J.C.; Illera, M. Enhancement of cumulus expansion and nuclear maturation during bovine oocyte maturation in vitro by the addition of epidermal growth factor and insulin-like growth factor I. J. Reprod. Fertil. 1994, 101, 697–701. [Google Scholar] [CrossRef]
- Mao, J.; Whitworth, K.M.; Spate, L.D.; Walters, E.M.; Zhao, J.; Prather, R.S. Regulation of oocyte mitochondrial DNA copy number by follicular fluid, EGF, and neuregulin 1 during in vitro maturation affects embryo development in pigs. Theriogenology 2012, 78, 887–897. [Google Scholar] [CrossRef] [PubMed]
- Singh, B.; Zhang, X.; Armstrong, D.T. Porcine oocytes release cumulus expansion-enabling activity even though porcine cumulus expansion in vitro is independent of the oocyte. Endocrinology 1993, 132, 1860–1862. [Google Scholar] [CrossRef] [PubMed]
- Kyung, C.S.; Kyung, H.S.; Ki, Y.T.; Jin, C.C.; Kim, T.; Jae, K.J. The interaction between epidermal growth factor (EGF) and follicular stimulating hormone (FSH) on nuclear maturation of mouse oocytes by using epidermal growth factor receptor (EGFR) inhibitor. Fertil. Steril. 2002, 78, S273–S274. [Google Scholar] [CrossRef]
- Yu, L.; Rios, E.; Castro, L.; Liu, J.; Yan, Y.; Dixon, D. Genistein: Dual Role in Women’s Health. Nutrients 2021, 13, 3048. [Google Scholar] [CrossRef]
- Miao, Q.; Li, J.G.; Miao, S.; Hu, N.; Zhang, J.; Zhang, S.; Xie, Y.H.; Wang, J.B.; Wang, S.W. The bone-protective effect of genistein in the animal model of bilateral ovariectomy: Roles of phytoestrogens and PTH/PTHR1 against post-menopausal osteoporosis. Int. J. Mol. Sci. 2012, 13, 56–70. [Google Scholar] [CrossRef]
- Kuiper, G.G.; Lemmen, J.G.; Carlsson, B.; Corton, J.C.; Safe, S.H.; van der Saag, P.T.; van der Burg, B.; Gustafsson, J.A. Interaction of estrogenic chemicals and phytoestrogens with estrogen receptor beta. Endocrinology 1998, 139, 4252–4263. [Google Scholar] [CrossRef]
- Chen, W.F.; Wong, M.S. Genistein enhances insulin-like growth factor signaling pathway in human breast cancer (MCF-7) cells. J. Clin. Endocrinol. Metab. 2004, 89, 2351–2359. [Google Scholar] [CrossRef] [PubMed]
- Wang, T.T.; Sathyamoorthy, N.; Phang, J.M. Molecular effects of genistein on estrogen receptor mediated pathways. Carcinogenesis 1996, 17, 271–275. [Google Scholar] [CrossRef]
- Moore, A.B.; Castro, L.; Yu, L.; Zheng, X.; Di, X.; Sifre, M.I.; Kissling, G.E.; Newbold, R.R.; Bortner, C.D.; Dixon, D. Stimulatory and inhibitory effects of genistein on human uterine leiomyoma cell proliferation are influenced by the concentration. Hum. Reprod. 2007, 22, 2623–2631. [Google Scholar] [CrossRef]
- Barnes, S. Effect of genistein on in vitro and in vivo models of cancer. J. Nutr. 1995, 125, 777s–783s. [Google Scholar] [CrossRef]
- Bouker, K.B.; Hilakivi-Clarke, L. Genistein: Does it prevent or promote breast cancer? Environ. Health Perspect. 2000, 108, 701–708. [Google Scholar] [CrossRef] [PubMed]
- Korde, L.A.; Wu, A.H.; Fears, T.; Nomura, A.M.; West, D.W.; Kolonel, L.N.; Pike, M.C.; Hoover, R.N.; Ziegler, R.G. Childhood soy intake and breast cancer risk in Asian American women. Cancer Epidemiol. Biomarkers Prev. 2009, 18, 1050–1059. [Google Scholar] [CrossRef] [PubMed]
- Banerjee, S.; Li, Y.; Wang, Z.; Sarkar, F.H. Multi-targeted therapy of cancer by genistein. Cancer Lett. 2008, 269, 226–242. [Google Scholar] [CrossRef] [PubMed]
- Mai, Z.; Blackburn, G.L.; Zhou, J.R. Genistein sensitizes inhibitory effect of tamoxifen on the growth of estrogen receptor-positive and HER2-overexpressing human breast cancer cells. Mol. Carcinog. 2007, 46, 534–542. [Google Scholar] [CrossRef]
- Di, X.; Yu, L.; Moore, A.B.; Castro, L.; Zheng, X.; Hermon, T.; Dixon, D. A low concentration of genistein induces estrogen receptor-alpha and insulin-like growth factor-I receptor interactions and proliferation in uterine leiomyoma cells. Hum. Reprod. 2008, 23, 1873–1883. [Google Scholar] [CrossRef]
- Zhang, G.Q.; Chen, J.L.; Liu, Q.; Zhang, Y.; Zeng, H.; Zhao, Y. Soy Intake Is Associated With Lower Endometrial Cancer Risk: A Systematic Review and Meta-Analysis of Observational Studies. Medicine 2015, 94, e2281. [Google Scholar] [CrossRef]
- Lee, J.Y.; Kim, H.S.; Song, Y.S. Genistein as a Potential Anticancer Agent against Ovarian Cancer. J. Tradit. Complement. Med. 2012, 2, 96–104. [Google Scholar] [CrossRef]
- Lewis, R.W.; Brooks, N.; Milburn, G.M.; Soames, A.; Stone, S.; Hall, M.; Ashby, J. The effects of the phytoestrogen genistein on the postnatal development of the rat. Toxicol. Sci. 2003, 71, 74–83. [Google Scholar] [CrossRef]
- Rüfer, C.E.; Kulling, S.E. Antioxidant activity of isoflavones and their major metabolites using different in vitro assays. J. Agric. Food Chem. 2006, 54, 2926–2931. [Google Scholar] [CrossRef]
- De Gregorio, C.; Marini, H.; Alibrandi, A.; Di Benedetto, A.; Bitto, A.; Adamo, E.B.; Altavilla, D.; Irace, C.; Di Vieste, G.; Pancaldo, D.; et al. Genistein Supplementation and Cardiac Function in Postmenopausal Women with Metabolic Syndrome: Results from a Pilot Strain-Echo Study. Nutrients 2017, 9, 584. [Google Scholar] [CrossRef]
- Borradaile, N.M.; de Dreu, L.E.; Wilcox, L.J.; Edwards, J.Y.; Huff, M.W. Soya phytoestrogens, genistein and daidzein, decrease apolipoprotein B secretion from HepG2 cells through multiple mechanisms. Biochem. J. 2002, 366, 531–539. [Google Scholar] [CrossRef] [PubMed]
- Mintziori, G.; Lambrinoudaki, I.; Goulis, D.G.; Ceausu, I.; Depypere, H.; Erel, C.T.; Pérez-López, F.R.; Schenck-Gustafsson, K.; Simoncini, T.; Tremollieres, F.; et al. EMAS position statement: Non-hormonal management of menopausal vasomotor symptoms. Maturitas 2015, 81, 410–413. [Google Scholar] [CrossRef] [PubMed]
- Thangavel, P.; Puga-Olguín, A.; Rodríguez-Landa, J.F.; Zepeda, R.C. Genistein as Potential Therapeutic Candidate for Menopausal Symptoms and Other Related Diseases. Molecules 2019, 24, 3892. [Google Scholar] [CrossRef] [PubMed]
- Franco, O.H.; Chowdhury, R.; Troup, J.; Voortman, T.; Kunutsor, S.; Kavousi, M.; Oliver-Williams, C.; Muka, T. Use of Plant-Based Therapies and Menopausal Symptoms: A Systematic Review and Meta-analysis. JAMA 2016, 315, 2554–2563. [Google Scholar] [CrossRef] [PubMed]
- Tempfer, C.B.; Bentz, E.K.; Leodolter, S.; Tscherne, G.; Reuss, F.; Cross, H.S.; Huber, J.C. Phytoestrogens in clinical practice: A review of the literature. Fertil. Steril. 2007, 87, 1243–1249. [Google Scholar] [CrossRef]
- Kurzer, M.S.; Xu, X. Dietary phytoestrogens. Annu. Rev. Nutr. 1997, 17, 353–381. [Google Scholar] [CrossRef]
- Makwana, N.; Shah, M.; Chaudhary, M. Vaginal pH as a Diagnostic Tool for Menopause: A Preliminary Analysis. J. Mid-Life Health 2020, 11, 133–136. [Google Scholar] [CrossRef]
- Cepeda, S.B.; Sandoval, M.J.; Crescitelli, M.C.; Rauschemberger, M.B.; Massheimer, V.L. The isoflavone genistein enhances osteoblastogenesis: Signaling pathways involved. J. Physiol. Biochem. 2020, 76, 99–110. [Google Scholar] [CrossRef]
- Slater, M.; Brown, D.; Husband, A. In the prostatic epithelium, dietary isoflavones from red clover significantly increase estrogen receptor beta and E-cadherin expression but decrease transforming growth factor beta1. Prostate Cancer Prostatic Dis. 2002, 5, 16–21. [Google Scholar] [CrossRef]
- Scott, R.A.H.; Dua, H.S.; Joseph, A.; Haynes, R.; Snead, D.; Hand, N.M. E-Cadherin distribution in normal and dysplastic conjunctival epithelium. Eye 2002, 16, 198–200. [Google Scholar] [CrossRef]
- Zannoni, G.F.; Prisco, M.G.; Vellone, V.G.; De Stefano, I.; Scambia, G.; Gallo, D. Changes in the expression of oestrogen receptors and E-cadherin as molecular markers of progression from normal epithelium to invasive cancer in elderly patients with vulvar squamous cell carcinoma. Histopathology 2011, 58, 265–275. [Google Scholar] [CrossRef] [PubMed]
- Mane, D.R.; Kale, A.D.; Belaldavar, C. Validation of immunoexpression of tenascin-C in oral precancerous and cancerous tissues using ImageJ analysis with novel immunohistochemistry profiler plugin: An immunohistochemical quantitative analysis. J. Oral Maxillofac. Pathol. JOMFP 2017, 21, 211–217. [Google Scholar] [CrossRef] [PubMed]











| Before Administration (g) | After Administration (g) | |
|---|---|---|
| Sham | 295 ± 9.82 * | 314.13 ± 10.47 * |
| M | 355 ± 10.81 | 381.5 ± 10.97 |
| K | 356.75 ± 8.80 | 381 ± 10.46 |
| Y | 361.5 ± 6.73 | 378.38 ± 7.26 |
| Gen | 352.375 ± 8.20 | 372.625 ± 8.50 |
| EGF | E-cadherin | |
|---|---|---|
| Sham | 419.44 ± 46.08 * | 69.72 ± 10.33 * |
| M | 1 | 1 |
| K | 0.02 ± 0.01 * | 4.39 ± 1.63 # |
| Y | 8.74 ± 0.39 * | 11.57 ± 3.33 * |
| Gen | 710.28 ± 156.45 * | 404.62 ± 36.21 * |
Publisher’s Note: MDPI stays neutral with regard to jurisdictional claims in published maps and institutional affiliations. |
© 2022 by the authors. Licensee MDPI, Basel, Switzerland. This article is an open access article distributed under the terms and conditions of the Creative Commons Attribution (CC BY) license (https://creativecommons.org/licenses/by/4.0/).
Share and Cite
Sun, Y.; Wang, L.; Wang, B.; Meng, Y.; Wang, W. Genistein Up-Regulates the Expression of EGF and E-Cadherin in the Treatment of Senile Vaginitis. Molecules 2022, 27, 2388. https://doi.org/10.3390/molecules27082388
Sun Y, Wang L, Wang B, Meng Y, Wang W. Genistein Up-Regulates the Expression of EGF and E-Cadherin in the Treatment of Senile Vaginitis. Molecules. 2022; 27(8):2388. https://doi.org/10.3390/molecules27082388
Chicago/Turabian StyleSun, Yarui, Lei Wang, Bo Wang, Yanli Meng, and Weiming Wang. 2022. "Genistein Up-Regulates the Expression of EGF and E-Cadherin in the Treatment of Senile Vaginitis" Molecules 27, no. 8: 2388. https://doi.org/10.3390/molecules27082388
APA StyleSun, Y., Wang, L., Wang, B., Meng, Y., & Wang, W. (2022). Genistein Up-Regulates the Expression of EGF and E-Cadherin in the Treatment of Senile Vaginitis. Molecules, 27(8), 2388. https://doi.org/10.3390/molecules27082388

