Effect of Cationic Lipid Nanoparticle Loaded siRNA with Stearylamine against Chikungunya Virus
Abstract
:1. Introduction
2. Results
2.1. Formulation Development and Optimization of Delivery Systems
2.2. Particle Size, Polydispersity, and Zeta-Potential Determination
2.3. Evaluation of Optimal Lipid to siRNA Complexation Ratio for F4
2.4. In Vitro Release Studies
2.5. In Vitro Cytotoxicity Studies
2.6. Optimization of siRNA Effective Concentration
2.7. Transfection Efficiency Comparison between F3 and F4
2.8. Determination of siRNA Complex with F4 SLN Using Agarose Gel Electrophoresis
2.9. In Vitro Anti-CHIKV Activity of the siRNA-loaded F4 SLN Delivery System
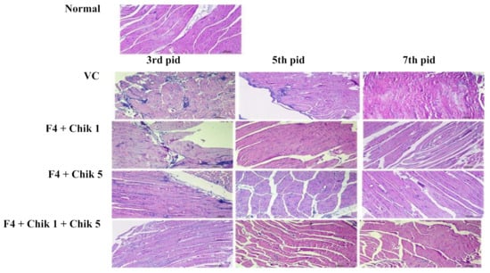
2.10. In Vivo Anti-CHIKV Activity of siRNA-loaded F4 SLN Delivery System
3. Discussion
4. Materials and Methods
4.1. Materials
4.2. Vero Cells and Virus Strains
4.3. Animals, Housing, and Diets
4.4. siRNA
4.5. Formulation of Different Delivery Systems
4.5.1. Preparation Method for F1 and F3 Delivery Systems
4.5.2. Preparation Method for F2 and F4 Delivery Systems
4.6. Particle Size, Polydispersity, and Determination of Zeta Potential
4.7. Determination of Optimal Lipid-to-siRNA Complexation Ratio for F4
4.8. Cytotoxicity Assay (MTT Assay)
4.9. Formation of siRNA-SLN Complexes
4.10. Determination of siRNA F4 SLN Complexes’ Stability by Gel Retardation Assay
4.11. In Vitro Release Studies
4.12. Determination of In Vitro Anti-CHIKV Activity of the siRNA-Loaded SLN Delivery System
4.13. Determination of In Vivo Anti-CHIKV Activity of the siRNA-Loaded SLN Delivery System
Supplementary Materials
Author Contributions
Funding
Institutional Review Board Statement
Informed Consent Statement
Data Availability Statement
Acknowledgments
Conflicts of Interest
References
- Sudeep, A.; Parashar, D. Chikungunya: An overview. J. Biosci. 2008, 33, 443–449. [Google Scholar] [CrossRef] [PubMed]
- Office of the WHO Representative in India. Health in Prisons: Fact Sheets for 38 European Countries; World Health Organization: New Delhi, India, 2019. [Google Scholar]
- National Vector Borne Disease Control Programme; 2010–2018 Chikungunya Situation in India. Available online: http://www.nvbdcp.gov.in/chik-cd.html (accessed on 11 May 2018).
- Parashar, D.; Cherian, S. Antiviral perspectives for chikungunya virus. BioMed Res. Int. 2014, 2014, 631642. [Google Scholar] [CrossRef] [PubMed] [Green Version]
- Verma, I.M.; Naldini, L.; Kafri, T.; Miyoshi, H.; Takahashi, M.; Blömer, U.; Somia, N.; Wang, L.; Gage, F. Gene therapy: Promises, problems and prospects. In Genes and Resistance to Disease; Springer: Berlin/Heidelberg, Germany, 2000; pp. 147–157. [Google Scholar]
- Kim, D.H.; Rossi, J.J. Strategies for silencing human disease using RNA interference. Nat. Rev. Genet. 2007, 8, 173–184. [Google Scholar] [CrossRef] [PubMed]
- Parashar, D.; Paingankar, M.S.; Kumar, S.; Gokhale, M.D.; Sudeep, A.; Shinde, S.B.; Arankalle, V. Administration of E2 and NS1 siRNAs inhibit chikungunya virus replication in vitro and protects mice infected with the virus. PLoS Negl. Trop. Dis. 2013, 7, e2405. [Google Scholar] [CrossRef] [PubMed]
- Gavrilov, K.; Saltzman, W.M. Therapeutic siRNA: Principles, challenges, and strategies. Yale J. Biol. Med. 2012, 85, 187. [Google Scholar]
- Shegokar, R.; Al Shaal, L.; Mishra, P. SiRNA delivery: Challenges and role of carrier systems. Pharm.—Int. J. Pharm. Sci. 2011, 66, 313–318. [Google Scholar]
- Nayerossadat, N.; Maedeh, T.; Ali, P.A. Viral and nonviral delivery systems for gene delivery. Adv. Biomed. Res. 2012, 1, 27. [Google Scholar] [CrossRef]
- Aagaard, L.; Rossi, J.J. RNAi therapeutics: Principles, prospects and challenges. Adv. Drug Deliv. Rev. 2007, 59, 75–86. [Google Scholar] [CrossRef] [Green Version]
- Niidome, T.; Huang, L. Gene therapy progress and prospects: Nonviral vectors. Gene Ther. 2002, 9, 1647–1652. [Google Scholar] [CrossRef] [Green Version]
- Yin, H.; Kanasty, R.L.; Eltoukhy, A.A.; Vegas, A.J.; Dorkin, J.R.; Anderson, D.G. Non-viral vectors for gene-based therapy. Nat. Rev. Genet. 2014, 15, 541–555. [Google Scholar] [CrossRef]
- Bondi’, M.L.; Azzolina, A.; Craparo, E.F.; Lampiasi, N.; Capuano, G.; Giammona, G.; Cervello, M. Novel cationic solid-lipid nanoparticles as non-viral vectors for gene delivery. J. Drug Target. 2007, 15, 295–301. [Google Scholar] [CrossRef]
- Singh, I.; Swami, R.; Pooja, D.; Jeengar, M.K.; Khan, W.; Sistla, R. Lactoferrin bioconjugated solid lipid nanoparticles: A new drug delivery system for potential brain targeting. J. Drug Target. 2016, 24, 212–223. [Google Scholar] [CrossRef]
- Kurakula, M.; Ahmed, O.A.; Fahmy, U.A.; Ahmed, T.A. Solid lipid nanoparticles for transdermal delivery of avanafil: Optimization, formulation, in-vitro and ex-vivo studies. J. Liposome Res. 2016, 26, 288–296. [Google Scholar] [CrossRef]
- Egli, M.; Manoharan, M. Re-engineering RNA molecules into therapeutic agents. Acc. Chem. Res. 2019, 52, 1036–1047. [Google Scholar] [CrossRef]
- Rawat, A.; Vaidya, B.; Khatri, K.; Goyal, A.; Gupta, P.; Mahor, S.; Paliwal, R.; Rai, S.; Vyas, S. Targeted intracellular delivery of therapeutics: An overview. Pharm.—Int. J. Pharm. Sci. 2007, 62, 643–658. [Google Scholar]
- Sharma, C.P. Drug Delivery Nanosystems for Biomedical Applications; Elsevier: Amsterdam, The Netherlands, 2018. [Google Scholar]
- Liu, Z.; Zhang, Z.; Zhou, C.; Jiao, Y. Hydrophobic modifications of cationic polymers for gene delivery. Prog. Polym. Sci. 2010, 35, 1144–1162. [Google Scholar] [CrossRef]
- Carrillo, C.; Sánchez-Hernández, N.; García-Montoya, E.; Pérez-Lozano, P.; Suñé-Negre, J.M.; Ticó, J.R.; Suñé, C.; Miñarro, M. DNA delivery via cationic solid lipid nanoparticles (SLNs). Eur. J. Pharm. Sci. 2013, 49, 157–165. [Google Scholar] [CrossRef]
- Leggio, L.; Arrabito, G.; Ferrara, V.; Vivarelli, S.; Paternò, G.; Marchetti, B.; Pignataro, B.; Iraci, N. Mastering the Tools: Natural versus Artificial Vesicles in Nanomedicine. Adv. Healthc. Mater. 2020, 9, 2000731. [Google Scholar] [CrossRef]
- Schattschneider, C.; Kettenmann, S.D.; Hinojosa, S.; Heinrich, J.; Kulak, N. Biological activity of amphiphilic metal complexes. Coord. Chem. Rev. 2019, 385, 191–207. [Google Scholar] [CrossRef]
- Afrin, F.; Dey, T.; Anam, K.; Ali, N. Leishmanicidal activity of stearylamine-bearing liposomes in vitro. J. Parasitol. 2001, 87, 188–193. [Google Scholar] [CrossRef]
- Lonez, C.; Vandenbranden, M.; Ruysschaert, J.-M. Cationic lipids activate intracellular signaling pathways. Adv. Drug Deliv. Rev. 2012, 64, 1749–1758. [Google Scholar] [CrossRef] [PubMed]
- Jeengar, M.K.; Kurakula, M.; Patil, P.; More, A.; Sistla, R.; Parashar, D. Antiviral activity of stearylamine against chikungunya virus. Chem. Phys. Lipids 2021, 235, 105049. [Google Scholar] [CrossRef] [PubMed]
- Gopalakrishnan, A.; Shankarappa, S.A.; Rajanikant, G. Hydrogel scaffolds: Towards restitution of ischemic stroke-injured brain. Transl. Stroke Res. 2019, 10, 1–18. [Google Scholar] [CrossRef] [PubMed]
- Iqbal, M.; Zafar, N.; Fessi, H.; Elaissari, A. Double emulsion solvent evaporation techniques used for drug encapsulation. Int. J. Pharm. 2015, 496, 173–190. [Google Scholar] [CrossRef]
- Parlea, L.; Puri, A.; Kasprzak, W.; Bindewald, E.; Zakrevsky, P.; Satterwhite, E.; Joseph, K.; Afonin, K.A.; Shapiro, B.A. Cellular delivery of RNA nanoparticles. ACS Comb. Sci. 2016, 18, 527–547. [Google Scholar] [CrossRef]
- Tahara, K.; Kobayashi, M.; Yoshida, S.; Onodera, R.; Inoue, N.; Takeuchi, H. Effects of cationic liposomes with stearylamine against virus infection. Int. J. Pharm. 2018, 543, 311–317. [Google Scholar] [CrossRef]
- Miao, J.; Yang, X.-Q.; Gao, Z.; Li, Q.; Meng, T.-T.; Wu, J.-Y.; Yuan, H.; Hu, F.-Q. Redox-responsive chitosan oligosaccharide-SS-Octadecylamine polymeric carrier for efficient anti-Hepatitis B Virus gene therapy. Carbohydr. Polym. 2019, 212, 215–221. [Google Scholar] [CrossRef]
- Subhan, M.A.; Torchilin, V. siRNA based drug design, quality, delivery and clinical translation. Nanomed. Nanotechnol. Biol. Med. 2020, 29, 102239. [Google Scholar] [CrossRef]
- Hattori, Y.; Tamaki, K.; Sakasai, S.; Ozaki, K.I.; Onishi, H. Effects of PEG anchors in PEGylated siRNA lipoplexes on in vitro gene-silencing effects and siRNA biodistribution in mice. Mol. Med. Rep. 2020, 22, 4183–4196. [Google Scholar] [CrossRef]
- Santel, A.; Aleku, M.; Keil, O.; Endruschat, J.; Esche, V.; Fisch, G.; Dames, S.; Löffler, K.; Fechtner, M.; Arnold, W. A novel siRNA-lipoplex technology for RNA interference in the mouse vascular endothelium. Gene Ther. 2006, 13, 1222–1234. [Google Scholar] [CrossRef]
- Sharma, S.; Rajendran, V.; Kulshreshtha, R.; Ghosh, P.C. Enhanced efficacy of anti-miR-191 delivery through stearylamine liposome formulation for the treatment of breast cancer cells. Int. J. Pharm. 2017, 530, 387–400. [Google Scholar] [CrossRef]
- Babadi, D.; Dadashzadeh, S.; Osouli, M.; Daryabari, M.S.; Haeri, A. Nanoformulation strategies for improving intestinal permeability of drugs: A more precise look at permeability assessment methods and pharmacokinetic properties changes. J. Control. Release 2020, 321, 669–709. [Google Scholar] [CrossRef]
- Rajagopalan, R.; Jain, S.K.; Trivedi, P. Synergistic anti-cancer activity of combined 5-fuorouracil and gallic acid-stearylamine conjugate in A431 human squamous carcinoma cell line. Trop. J. Pharm. Res. 2019, 18, 471–477. [Google Scholar] [CrossRef]
- Jampílek, J.; Kráľová, K. Recent advances in lipid nanocarriers applicable in the fight against cancer. In Nanoarchitectonics in Biomedicine; Grumezescu, A.M., Ed.; Elsevier: Amsterdam, The Netherlands, 2019; pp. 219–294. [Google Scholar]
- Abdulbaqi, I.M.; Assi, R.A.; Yaghmur, A.; Darwis, Y.; Mohtar, N.; Parumasivam, T.; Saqallah, F.G.; Wahab, H.A. Pulmonary delivery of anticancer drugs via lipid-based nanocarriers for the treatment of lung cancer: An update. Pharmaceuticals 2021, 14, 725. [Google Scholar] [CrossRef]
- Ismail, A.F.H.; Siti’aisyah, C.A.; Affandi, N.K.M. Fabrication of plga nanoparticle using double emulsion solvent evaporation technique as shrna yb1 carrier. Int. J. Allied Health Sci. 2020, 4, 1201–1208. [Google Scholar]
- Rajitha, P.; Gopinath, D.; Biswas, R.; Sabitha, M.; Jayakumar, R. Chitosan nanoparticles in drug therapy of infectious and inflammatory diseases. Expert Opin. Drug Deliv. 2016, 13, 1177–1194. [Google Scholar] [CrossRef]
- Sivaram, A.J.; Rajitha, P.; Maya, S.; Jayakumar, R.; Sabitha, M. Nanogels for delivery, imaging and therapy. Wiley Interdiscip. Rev. Nanomed. Nanobiotechnol. 2015, 7, 509–533. [Google Scholar] [CrossRef]
- Dos Santos-Silva, A.M.; de Caland, L.B.; do Nascimento, E.G.; Oliveira, A.L.C.; de Araújo-Júnior, R.F.; Cornélio, A.M.; Fernandes-Pedrosa, M.F.; da Silva-Júnior, A.A. Self-assembled benznidazole-loaded cationic nanoparticles containing cholesterol/sialic acid: Physicochemical properties, in vitro drug release and in vitro anticancer efficacy. Int. J. Mol. Sci. 2019, 20, 2350. [Google Scholar] [CrossRef] [Green Version]
- Arana, L.; Bayón-Cordero, L.; Sarasola, L.I.; Berasategi, M.; Ruiz, S.; Alkorta, I. Solid lipid nanoparticles surface modification modulates cell internalization and improves chemotoxic treatment in an oral carcinoma cell line. Nanomaterials 2019, 9, 464. [Google Scholar] [CrossRef] [Green Version]
- Raval, N.; Jogi, H.; Gondaliya, P.; Kalia, K.; Tekade, R.K. Method and its Composition for encapsulation, stabilization, and delivery of siRNA in Anionic polymeric nanoplex: An In vitro-In vivo Assessment. Sci. Rep. 2019, 9, 1–18. [Google Scholar] [CrossRef] [Green Version]
- Kumar Jeengar, M.; Kumar, S.; Shrivastava, S.; Syamprasad, N.; Katanaev, V.; Uppugunduri, S.; Naidu, V. Niclosamide exerts anti-tumor activity through generation of reactive oxygen species and by suppression of Wnt/β-catenin signaling axis in HGC-27, MKN-74 human gastric cancer cells. Asia-Pac. J. Oncol. 2020, 1, 18–30. [Google Scholar] [CrossRef]
- Shrivastava, S.; Jeengar, M.K.; Thummuri, D.; Koval, A.; Katanaev, V.L.; Marepally, S.; Naidu, V. Cardamonin, a chalcone, inhibits human triple negative breast cancer cell invasiveness by downregulation of Wnt/β-catenin signaling cascades and reversal of epithelial–mesenchymal transition. Biofactors 2017, 43, 152–169. [Google Scholar] [CrossRef] [PubMed] [Green Version]
- Abdul Ghafoor Raja, M.; Katas, H.; Jing Wen, T. Stability, intracellular delivery, and release of siRNA from chitosan nanoparticles using different cross-linkers. PLoS ONE 2015, 10, e0128963. [Google Scholar] [CrossRef] [PubMed] [Green Version]
- Patil, P.; Agrawal, M.; Almelkar, S.; Jeengar, M.K.; More, A.; Alagarasu, K.; Kumar, N.V.; Mainkar, P.S.; Parashar, D.; Cherian, S. In vitro and in vivo studies reveal α-Mangostin, a xanthonoid from Garcinia mangostana, as a promising natural antiviral compound against chikungunya virus. Virol. J. 2021, 18, 1–12. [Google Scholar] [CrossRef] [PubMed]








| F1 | F3 |
|---|---|
| PLGA 50:50–3 mg PEI-PEG 5000–5 mg DDAB–5 mg Lecithin–2 mg PVA–0.3% (3 + 10 mL) | PLGA 50:50–3 mg Dioctadecylamine–3 mg DOPC–5 mg DPPC–5 mg Cholesterol–2 mg 18:00 PEG 2000 PE–2 mg PVA–0.3% (3 + 10 mL) |
| Total volume: 14 mL Total lipids: 15 mg | Total volume: 14 mL Total lipids: 20 mg |
| F2 | F4 |
|---|---|
| C9 lipid–9 mg DOPC–5 mg DDAB–5 mg Cholesterol–5 mg DSPE-PEG 2000–3 mg Tween 80 (0.5%)–10 mL | Stearylamine–8 mg GMS–60 mg DOPC–5 mg DPPC–5 mg DSEP PEG 2000–2 mg Cholesterol–2 mg Tween 80 (0.5%)–10 mL |
| Total volume: 11 mL Total lipids: 27 mg | Total volume: 11 mL Total lipids: 82 mg |
Publisher’s Note: MDPI stays neutral with regard to jurisdictional claims in published maps and institutional affiliations. |
© 2022 by the authors. Licensee MDPI, Basel, Switzerland. This article is an open access article distributed under the terms and conditions of the Creative Commons Attribution (CC BY) license (https://creativecommons.org/licenses/by/4.0/).
Share and Cite
Jeengar, M.K.; Kurakula, M.; Patil, P.; More, A.; Sistla, R.; Parashar, D. Effect of Cationic Lipid Nanoparticle Loaded siRNA with Stearylamine against Chikungunya Virus. Molecules 2022, 27, 1170. https://doi.org/10.3390/molecules27041170
Jeengar MK, Kurakula M, Patil P, More A, Sistla R, Parashar D. Effect of Cationic Lipid Nanoparticle Loaded siRNA with Stearylamine against Chikungunya Virus. Molecules. 2022; 27(4):1170. https://doi.org/10.3390/molecules27041170
Chicago/Turabian StyleJeengar, Manish Kumar, Mallesh Kurakula, Poonam Patil, Ashwini More, Ramakrishna Sistla, and Deepti Parashar. 2022. "Effect of Cationic Lipid Nanoparticle Loaded siRNA with Stearylamine against Chikungunya Virus" Molecules 27, no. 4: 1170. https://doi.org/10.3390/molecules27041170
APA StyleJeengar, M. K., Kurakula, M., Patil, P., More, A., Sistla, R., & Parashar, D. (2022). Effect of Cationic Lipid Nanoparticle Loaded siRNA with Stearylamine against Chikungunya Virus. Molecules, 27(4), 1170. https://doi.org/10.3390/molecules27041170

