Silymarin Protects against Acute Liver Injury Induced by Acetaminophen by Downregulating the Expression and Activity of the CYP2E1 Enzyme
Abstract
1. Introduction
2. Results
2.1. Effect of SM on the Activity and Expression of the CYP2E1 Enzyme
2.1.1. Inhibitory Effects of SM on CYP2E1 Activity in HLMs/RLMs
2.1.2. Inhibitory Effects of SM on CYP2E1 Activity in Rats
2.1.3. SM Decreased the Expression of CYP2E1 in HepG2 Cells
2.2. Protective Effect of SM on APAP-Induced ALI
2.2.1. SM Decreased Serum ALT and AST Levels and Restored Liver GSH Levels in Mice
2.2.2. Effects of SM on Plasma Concentrations of APAP and Its Metabolites
2.2.3. SM Suppressed the Upregulation of Cyp2e1 Expression in the Livers of APAP-Induced Mice
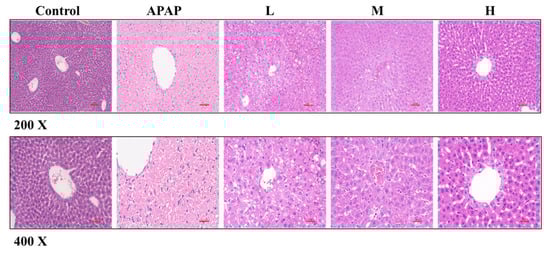
2.2.4. SM Ameliorates APAP-Induced Pathological Liver Injury in Mice
3. Discussion
4. Materials and Methods
4.1. Materials
4.2. Animals and Experimental Design
4.3. In Vitro Metabolism Study
4.4. Sample Analysis
4.5. Cell Culture and Treatment
4.6. RT-qPCR
4.7. Western Blotting
4.8. H&E Staining
4.9. Statistical Analysis
5. Conclusions
Supplementary Materials
Author Contributions
Funding
Institutional Review Board Statement
Informed Consent Statement
Data Availability Statement
Conflicts of Interest
Sample Availability
References
- Chiew, A.L.; Gluud, C.; Brok, J.; Buckley, N.A. Interventions for paracetamol (acetaminophen) overdose. Cochrane Database Syst. Rev. 2018, 2, CD003328. [Google Scholar] [CrossRef]
- Watkins, P.B.; Kaplowitz, N.; Slattery, J.T.; Colonese, C.R.; Colucci, S.V.; Stewart, P.W.; Harris, S.C. Aminotransferase elevations in healthy adults receiving 4 grams of acetaminophen daily: A randomized controlled trial. JAMA 2006, 296, 87–93. [Google Scholar] [CrossRef]
- Reuben, A.; Tillman, H.; Fontana, R.J.; Davern, T.; McGuire, B.; Stravitz, R.T.; Durkalski, V.; Larson, A.M.; Liou, I.; Fix, O.; et al. Outcomes in Adults with Acute Liver Failure Between 1998 and 2013: An Observational Cohort Study. Ann. Intern. Med. 2016, 164, 724–732. [Google Scholar] [CrossRef]
- Bernal, W.; Auzinger, G.; Dhawan, A.; Wendon, J. Acute liver failure. Lancet 2010, 376, 190–201. [Google Scholar] [CrossRef]
- Marzilawati, A.R.; Ngau, Y.Y.; Mahadeva, S. Low rates of hepatotoxicity among Asian patients with paracetamol overdose: A review of 1024 cases. BMC Pharmacol. Toxicol. 2012, 13, 8. [Google Scholar] [CrossRef]
- Mcgill, M.R.; Jaeschke, H. Metabolism and disposition of acetaminophen: Recent advances in relation to hepatotoxicity and diagnosis. Pharm. Res. 2013, 30, 2174–2187. [Google Scholar] [CrossRef]
- Ramachandran, A.; Jaeschke, H. Acetaminophen Toxicity: Novel Insights into Mechanisms and Future Perspectives. Gene Expr. 2018, 18, 19–30. [Google Scholar] [CrossRef]
- Du, K.; Ramachandran, A.; Jaeschke, H. Oxidative stress during acetaminophen hepatotoxicity: Sources, pathophysiological role and therapeutic potential. Redox Biol. 2016, 10, 148–156. [Google Scholar] [CrossRef]
- Yan, M.; Huo, Y.; Yin, S.; Hu, H. Mechanisms of acetaminophen-induced liver injury and its implications for therapeutic interventions. Redox Biol. 2018, 17, 274–283. [Google Scholar] [CrossRef]
- Camini, F.C.; Costa, D.C. Silymarin: Not just another antioxidant. J. Basic Clin. Physiol. Pharmacol. 2020, 31. [Google Scholar] [CrossRef]
- Aghemo, A.; Alekseeva, O.P.; Angelico, F.; Bakulin, I.G.; Bakulina, N.V.; Bordin, D.; Bueverov, A.O.; Drapkina, O.M.; Gillessen, A.; Kagarmanova, E.M.; et al. Role of silymarin as antioxidant in clinical management of chronic liver diseases: A narrative review. Ann. Med. 2022, 54, 1548–1560. [Google Scholar] [CrossRef]
- Sokar, S.S.; El-Sayad ME, S.; Ghoneim ME, S.; Shebl, A.M. Combination of Sitagliptin and Silymarin ameliorates liver fibrosis induced by carbon tetrachloride in rats. Biomed. Pharmacother. 2017, 89, 98–107. [Google Scholar] [CrossRef]
- Zhao, X.; Wang, H.; Yang, Y.; Gou, Y.; Wang, Z.; Yang, D.; Li, C. Protective Effects of Silymarin Against D-Gal/LPS-Induced Organ Damage and Inflammation in Mice. Drug Des. Develop. Ther. 2021, 15, 1903–1914. [Google Scholar] [CrossRef]
- Jalali, S.M.; Najafzadeh, H.; Bahmei, S. Protective role of silymarin and D-penicillamine against lead-induced liver toxicity and oxidative stress. Toxicol. Ind. Health 2017, 33, 512–518. [Google Scholar] [CrossRef]
- Zakaria, S.; Hasan, R.A.; Mahmoud, M.F.; El Fayoumi, H.M.; Mahmoud, A.A. The concurrent exposure to aluminium and fructose induces liver injury in rats: Protection by monoammonium glycyrrhizinate. Clin. Exp. Pharmacol. Physiol. 2020, 47, 809–820. [Google Scholar] [CrossRef]
- Hussein, R.M.; Sawy, D.M.; Kandeil, M.A.; Farghaly, H.S. Chlorogenic acid, quercetin, coenzyme Q10 and silymarin modulate Keap1-Nrf2/heme oxygenase-1 signaling in thioacetamide-induced acute liver toxicity. Life Sci. 2021, 277, 119460. [Google Scholar] [CrossRef]
- Gheena, S.; Ezhilarasan, D.; Shree Harini, K.; Rajeshkumar, S. Syringic acid and silymarin concurrent administration inhibits sodium valproate-induced liver injury in rats. Environ. Toxicol. 2022, 37, 2143–2152. [Google Scholar] [CrossRef]
- Onaolapo, O.J.; Adekola, M.A.; Azeez, T.O.; Salami, K.; Onaolapo, A.Y. l-Methionine and silymarin: A comparison of prophylactic protective capabilities in acetaminophen-induced injuries of the liver, kidney and cerebral cortex. Biomed. Pharmacother. 2017, 85, 323–333. [Google Scholar] [CrossRef]
- Doğan, D.; Meydan, İ.; Kömüroğlu, A.U. Protective Effect of Silymarin and Gallic Acid against Cisplatin-Induced Nephrotoxicity and Hepatotoxicity. Int. J. Clin. Pract. 2022, 2022, 6541026. [Google Scholar] [CrossRef]
- Papackova, Z.; Heczkova, M.; Dankova, H.; Sticova, E.; Lodererova, A.; Bartonova, L.; Poruba, M.; Cahova, M. Silymarin prevents acetaminophen-induced hepatotoxicity in mice. PLoS ONE 2018, 13, e0191353. [Google Scholar] [CrossRef]
- Vangaveti, S.; Das, P.; Kumar, V.L. Metformin and silymarin afford protection in cyclosporine A induced hepatorenal toxicity in rat by modulating redox status and inflammation. J. Biochem. Mol. Toxicol. 2021, 35, e22614. [Google Scholar] [CrossRef] [PubMed]
- Wen, C.; Hu, H.; Zhang, W.; Liu, X.; Jiang, X.; Wang, L. Assessing CYP2C8-Mediated Pharmaceutical Excipient-Drug Interaction Potential: A Case Study of Tween 80 and Cremophor EL-35. Pharmaceutics 2021, 13, 1492. [Google Scholar] [CrossRef]
- Cer, R.Z.; Mudunuri, U.; Stephens, R.; Lebeda, F.J. IC50-to-Ki: A web-based tool for converting IC50 to Ki values for inhibitors of enzyme activity and ligand binding. Nucleic Acids Res. 2009, 37, W441–W445. [Google Scholar] [CrossRef]
- Jaeschke, H. Acetaminophen: Dose-Dependent Drug Hepatotoxicity and Acute Liver Failure in Patients. Dig. Dis. 2015, 33, 464–471. [Google Scholar] [CrossRef]
- Lee, S.S.; Buters, J.T.; Pineau, T.; Fernandez-Salguero, P.; Gonzalez, F.J. Role of CYP2E1 in the hepatotoxicity of acetaminophen. J. Biol. Chem. 1996, 271, 12063–12067. [Google Scholar] [CrossRef]
- Manyike, P.T.; Kharasch, E.D.; Kalhorn, T.F.; Slattery, J.T. Contribution of CYP2E1 and CYP3A to acetaminophen reactive metabolite formation. Clin. Pharmacol. Ther. 2000, 67, 275–282. [Google Scholar] [CrossRef]
- Kawaguchi-Suzuki, M.; Frye, R.F.; Zhu, H.J.; Brinda, B.J.; Chavin, K.D.; Bernstein, H.J.; Markowitz, J.S. The effects of milk thistle (Silybum marianum) on human cytochrome P450 activity. Drug Metab. Dispos. 2014, 42, 1611–1616. [Google Scholar] [CrossRef]
- Soleimani, V.; Delghandi, P.S.; Moallem, S.A.; Karimi, G. Safety and toxicity of silymarin, the major constituent of milk thistle extract: An updated review. Phytother. Res. 2019, 33, 1627–1638. [Google Scholar] [CrossRef]
- Gill, P.; Bhattacharyya, S.; McCullough, S.; Letzig, L.; Mishra, P.J.; Luo, C.; Dweep, H.; James, L. MicroRNA regulation of CYP 1A2, CYP3A4 and CYP2E1 expression in acetaminophen toxicity. Sci. Rep. 2017, 7, 12331. [Google Scholar] [CrossRef]
- Yang, G.; Zhang, L.; Ma, L.; Jiang, R.; Kuang, G.; Li, K.; Tie, H.; Wang, B.; Chen, X.; Xie, T.; et al. Glycyrrhetinic acid prevents acetaminophen-induced acute liver injury via the inhibition of CYP2E1 expression and HMGB1-TLR4 signal activation in mice. Int. Immunopharmacol. 2017, 50, 186–193. [Google Scholar] [CrossRef]








| Control | Silymarin | |||
|---|---|---|---|---|
| Vmax (nM/h/mg Protein) | Km (μM) | Vmax (nM/h/mg Protein) | Km (μM) | |
| HLMs | 3.78 ± 0.34 | 397.2 ± 85.8 | 4.56 ± 1.67 | 1827 ± 318 ** |
| RLMs | 10.87 ± 1.92 | 619.6 ± 216.3 | 8.63 ± 2.43 | 1679 ± 413 * |
| PK Parameters | Control Group | Silymarin Group |
|---|---|---|
| t1/2 (h) | 1.68 ± 0.73 | 3.92 ± 1.25 ** |
| tmax (h) | 0.75 ± 0.67 | 0.58 ± 0.30 |
| Cmax (ng/mL) | 16,600.00 ± 4681.45 | 23,116.67 ± 6467.89 |
| Vd (mL/kg) | 1871.34 ± 1107.17 | 1566.26 ± 674.78 |
| CL (mL/h/kg) | 745.77 ± 266.34 | 272.12 ± 41.99 ** |
| MRT (h) | 2.56 ± 0.83 | 5.94 ± 1.63 ** |
| AUC0-t (h × ng/mL) | 42,888.64 ± 14,453.20 | 91,847.01 ± 16,565.67 *** |
| AUC0-∞ (h × ng/mL) | 44,469.95 ± 14,578.90 | 11,2307.50 ± 16,077.58 *** |
| PK Parameters | Control Group | Silymarin Group |
|---|---|---|
| AUC0-t (h × ng/mL) | 287.58 ± 106.13 | 155.36 ± 28.45 * |
| AUC0-∞ (h × ng/mL) | 325.78 ± 127.17 | 162.45 ± 22.18 * |
Publisher’s Note: MDPI stays neutral with regard to jurisdictional claims in published maps and institutional affiliations. |
© 2022 by the authors. Licensee MDPI, Basel, Switzerland. This article is an open access article distributed under the terms and conditions of the Creative Commons Attribution (CC BY) license (https://creativecommons.org/licenses/by/4.0/).
Share and Cite
Yang, W.; Liang, Z.; Wen, C.; Jiang, X.; Wang, L. Silymarin Protects against Acute Liver Injury Induced by Acetaminophen by Downregulating the Expression and Activity of the CYP2E1 Enzyme. Molecules 2022, 27, 8855. https://doi.org/10.3390/molecules27248855
Yang W, Liang Z, Wen C, Jiang X, Wang L. Silymarin Protects against Acute Liver Injury Induced by Acetaminophen by Downregulating the Expression and Activity of the CYP2E1 Enzyme. Molecules. 2022; 27(24):8855. https://doi.org/10.3390/molecules27248855
Chicago/Turabian StyleYang, Weipei, Zhongxu Liang, Chengming Wen, Xuehua Jiang, and Ling Wang. 2022. "Silymarin Protects against Acute Liver Injury Induced by Acetaminophen by Downregulating the Expression and Activity of the CYP2E1 Enzyme" Molecules 27, no. 24: 8855. https://doi.org/10.3390/molecules27248855
APA StyleYang, W., Liang, Z., Wen, C., Jiang, X., & Wang, L. (2022). Silymarin Protects against Acute Liver Injury Induced by Acetaminophen by Downregulating the Expression and Activity of the CYP2E1 Enzyme. Molecules, 27(24), 8855. https://doi.org/10.3390/molecules27248855

