Design, Synthesis, Characterization, and Molluscicidal Activity Screening of New Nicotinonitrile Derivatives against Land Snails, M. cartusiana
Abstract
1. Introduction
2. Results and Discussion
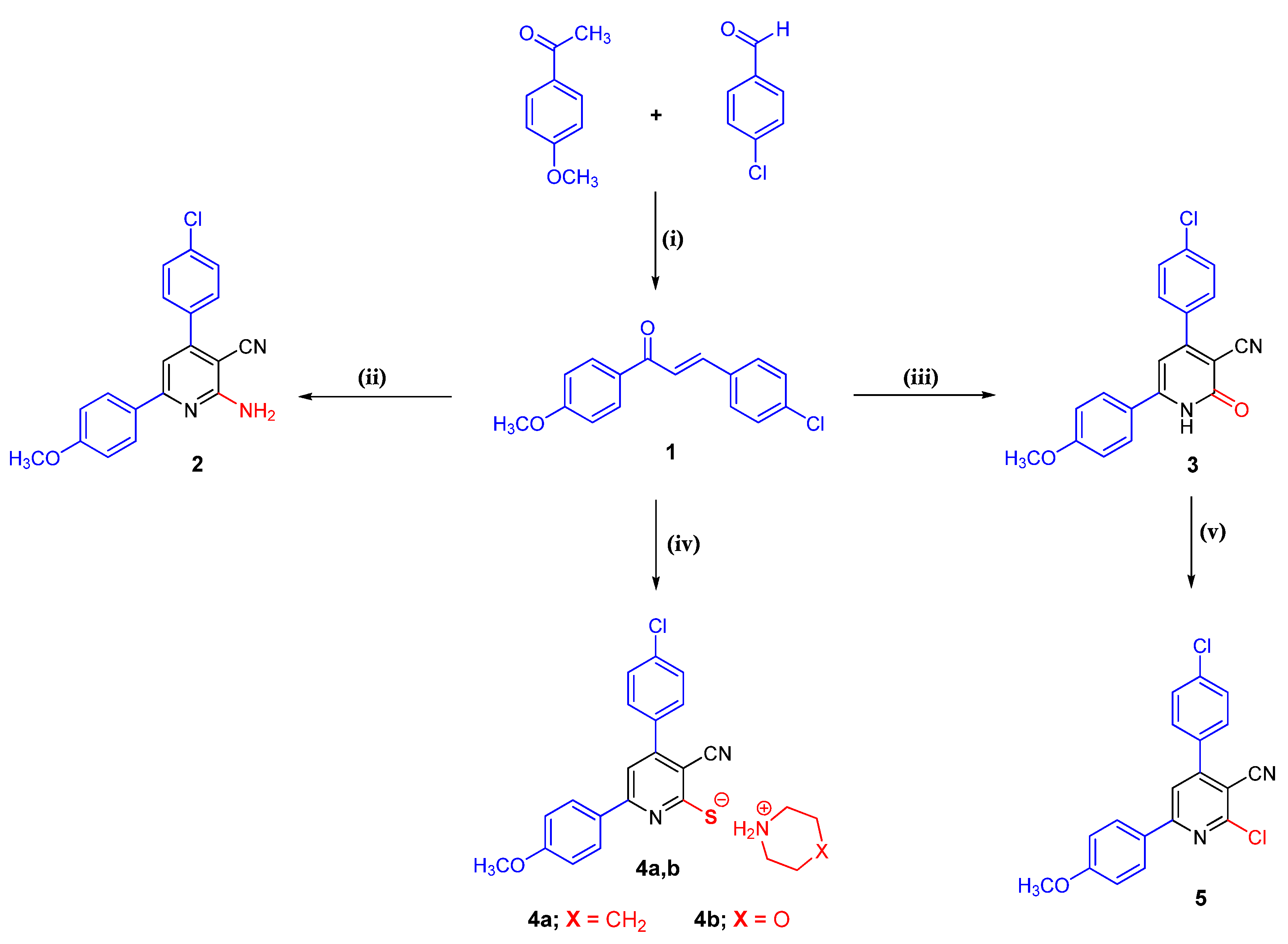
2.1. Chemistry
2.2. Biology
2.2.1. Molluscicidal Activity
2.2.2. Biochemical Analysis
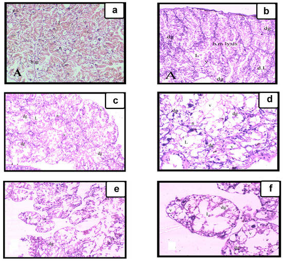
2.2.3. Histopathological Study
3. Conclusions
4. Experimental
4.1. Chemistry
4.1.1. General
4.1.2. General Method for Synthesis of (E)-3-(4-Chlorophenyl)-1-(4-methoxyphenyl)prop-2-en-1-one (1)
4.1.3. General Method for Synthesis of 2-Amino-4-(4-chlorophenyl)-6-(4-methoxyphenyl)nicotinonitrile (2)
4.1.4. General Method for Synthesis of 4-(4-Chlorophenyl)-6-(4-methoxyphenyl)-2-oxo-1,2-dihydropyridine-3-carbonitrile (3)
4.1.5. General Method for Synthesis of 4-(4-Chlorophenyl)-3-cyano-6-(4-methoxyphenyl)pyridine-2-thiolate salts 4a,b
Piperidinium 4-(4-Chlorophenyl)-3-cyano-6-(4-methoxyphenyl)pyridine-2-thiolate (4a)
Morpholinium 4-(4-Chlorophenyl)-3-cyano-6-(4-methoxyphenyl)pyridine-2-thiolate (4b)
4.1.6. General Method for Synthesis of 2-Chloro-4-(4-chlorophenyl)-6-(4-methoxyphenyl)nicotinonitrile (5)
4.1.7. General Method for Synthesis of N-(4-(4-Chlorophenyl)-3-cyano-6-(4-methoxyphenyl)pyridin-2-yl)aryl amides 6a–c
N-(4-(4-Chlorophenyl)-3-cyano-6-(4-methoxyphenyl)pyridin-2-yl)benzamide (6a)
N-(4-(4-Chlorophenyl)-3-cyano-6-(4-methoxyphenyl)pyridin-2-yl)-4-nitrobenzamide (6b)
N-(4-(4-Chlorophenyl)-3-cyano-6-(4-methoxyphenyl)pyridin-2-yl)-4-methylbenzamide (6c)
4.1.8. General Method for Synthesis of N-(4-(4-Chlorophenyl)-3-cyano-6-(4-methoxyphenyl)pyridin-2-yl)-4-methylbenzenesulfonamide (7)
4.2. Biological Studies
4.2.1. Molluscicidal Activity against M. cartusiana Land Snails
4.2.2. Biochemical Assays
4.2.3. Histological Study
Supplementary Materials
Author Contributions
Funding
Institutional Review Board Statement
Informed Consent Statement
Data Availability Statement
Acknowledgments
Conflicts of Interest
Sample Availability
References
- Liu, F.; Li, Y.; Yu, H.; Zhang, L.; Hu, J.; Bao, Z.; Wang, S. MolluscDB: An integrated functional and evolutionary genomics database for the hyper-diverse animal phylum Mollusca. Nucleic Acids Res. 2021, 49, 988. [Google Scholar] [CrossRef] [PubMed]
- Saleuddin, A.S.M. Trends in the biology of the phylum Mollusca. Can. J. Zool. 2013, 91, v+. [Google Scholar]
- Kumar, P. A Review—On Molluscs as an Agricultural Pest and Their Control. Int. J. Food Sci. Agric. 2020, 4, 383–389. [Google Scholar] [CrossRef]
- Sneha, J.A.; Chakravarthi, R. Identification, behavior analysis, and control of snail pest in agricultural fields using signal analysis and nanoparticles. Appl. Nanosci. 2021. [Google Scholar] [CrossRef]
- Nurinsiyah, A.S.; Hausdorf, B. Listing, impact assessment and prioritization of introduced land snail and slug species in Indonesia. J. Molluscan Stud. 2019, 85, 92. [Google Scholar] [CrossRef]
- Ovando, X.M.; Miranda, M.J.; Loyola, R.; Cuezzo, M.G. Identifying priority areas for invertebrate conservation using land snails as models. J. Nat. Conserv. 2019, 50, 125707. [Google Scholar] [CrossRef]
- D’Ovidio, D.; Nermut, J.; Adami, C.; Santoro, M. Occurrence of Rhabditid Nematodes in the Pet Giant African Land Snails (Achatina fulica). Front. Veter- Sci. 2019, 6, 88. [Google Scholar] [CrossRef]
- Dempsey, Z.W.; Burg, T.M.; Goater, C.P. Spatiotemporal Patterns of Infection for Emerging Larval Liver Fluke (Dicrocoelium dendriticum) in Three Species of Land Snail in Southern Alberta, Canada. J. Parasitol. 2019, 105, 155–161. [Google Scholar] [CrossRef]
- El-Gendy, K.S.; Radwan, M.A.; Gad, A.F.; Khamis, A.E.; Eshra, E.S. Physiological traits of land snails Theba pisanaas simple endpoints to assess the exposure to some pollutants. Environ. Sci. Pollut. Res. 2019, 26, 6922. [Google Scholar] [CrossRef]
- Caixeta, M.B.; Araújo, P.S.; Gonçalves, B.B.; Silva, L.D.; Grano-Maldonado, M.I.; Rocha, T.L. Toxicity of engineered nanomaterials to aquatic and land snails: A scientometric and systematic review. Chemosphere 2020, 260, 127654. [Google Scholar] [CrossRef]
- Helmy, E.T.; Ali, M.A.; Ayyad, M.A.; Mohamedbakr, H.; Varma, R.S.; Pan, J.H. Molluscicidal and biochemical effects of green-synthesized F-doped ZnO nanoparticles against land snail Monacha cartusiana under laboratory and field conditions. Environ. Pollut. 2022, 308, 119691. [Google Scholar] [CrossRef] [PubMed]
- Abd El-Atti, M.S.; Khalil, A.M.; Elsheakh, A.A.; Elgohary, W.S. Biological control of Monacha cartusiana “glassy clover land snails” by microbial biopesticides Biozed and Biogard, using bait technique. Biocatal. Agric. Biotechnol. 2020, 25, 101572. [Google Scholar] [CrossRef]
- Asif, M. Diverse Biologically Active Pyridazine Analogs: A Scaffold for the Highly Functionalized Heterocyclic Compounds. Rev. J. Chem. 2018, 8, 280–300. [Google Scholar] [CrossRef]
- Mehdizadeh, M.; Mushtaq, W.; Siddiqui, S.A.; Ayadi, S.; Kaur, P.; Yeboah, S.; Mazraedoost, S.; Al-Taey, D.K.A.; Tampubolon, K. Herbicide Residues in Agroecosystems: Fate, Detection, and Effect on Non-Target Plants. Rev. Agric. Sci. 2021, 9, 157–167. [Google Scholar] [CrossRef] [PubMed]
- Zayed, K.M.; Guo, Y.-H.; Lv, S.; Zhang, Y.; Zhou, X.-N. Molluscicidal and antioxidant activities of silver nanoparticles on the multi-species of snail intermediate hosts of schistosomiasis. PLoS Negl. Trop. Dis. 2022, 16, e0010667. [Google Scholar] [CrossRef]
- Mandal, V.; Ghosh, N.N.; Mitra, P.K.; Mandal, S. Production and characterization of a broad-spectrum antimicrobial 5-butyl-2-pyridine carboxylic acid from Aspergillus fumigatus nHF-01. Sci. Rep. 2022, 12, 6006. [Google Scholar] [CrossRef]
- Chen, H.; Deng, S.; Albadari, N.; Yun, M.-K.; Zhang, S.; Li, Y.; Ma, D.; Parke, D.N.; Yang, L.; Seagroves, T.N.; et al. Design, Synthesis, and Biological Evaluation of Stable Colchicine-Binding Site Tubulin Inhibitors 6-Aryl-2-benzoyl-pyridines as Potential Anticancer Agents. J. Med. Chem. 2021, 64, 12049–12074. [Google Scholar] [CrossRef]
- Araškov, J.B.; Nikolić, M.; Armaković, S.; Armaković, S.; Rodić, M.; Višnjevac, A.; Padrón, J.M.; Todorović, T.R.; Filipović, N.R. Structural, antioxidant, antiproliferative and in–silico study of pyridine-based hydrazonyl–selenazoles and their sulphur isosteres. J. Mol. Struct. 2021, 1240, 130512. [Google Scholar] [CrossRef]
- Abdel-Raheem, S.A.; El-Dean, A.M.; Hassanien, R.; El-Sayed, M.E.; Abd-Ella, A.A. Synthesis and biological activity of 2-((3-Cyano-4, 6-distyrylpyridin-2-yl) thio) acetamide and its cyclized form. Alg. J. Biosc. 2020, 1, 46. [Google Scholar]
- Dong, W.-L.; Xu, J.-Y.; Xiong, L.-X.; Li, Z.-M. Synthesis, structure and insecticidal activity of some novel amides containing N-pyridylpyrazole. J. Iran. Chem. Soc. 2012, 10, 429–437. [Google Scholar] [CrossRef]
- El-Sayed, H.A.; Moustafa, A.H.; El Farargy, A.F.; Mohammed, S.M.; Saudy, E.; Gad, E.M. Novel Triazole-, Oxadiazole-, and Pyrazole-Nicotinonitrile Hybrids: Synthesis, DFT Study, Molecular Docking, and Antimicrobial Activity. Russ. J. Gen. Chem. 2022, 92, 709–717. [Google Scholar] [CrossRef]
- Shamroukh, A.H.; Kotb, E.R.; Anwar, M.M.; Sharaf, M. A Review on the Chemistry of Nicotinonitriles and Their applications. Egypt. J. Chem. 2021, 64, 4509–4529. [Google Scholar] [CrossRef]
- Abumelha, H.M. Synthesis and antioxidant assay of new nicotinonitrile analogues clubbed thiazole, pyrazole and/or pyridine ring systems. J. Heterocycl. Chem. 2020, 57, 1011–1022. [Google Scholar] [CrossRef]
- Abdel-Raheem, S.A.; El-Dean, A.M.; Zaki, R.M.; Hassanien, R.; El-Sayed, M.E.; Sayed, M.; Abd-Ella, A.A. Synthesis and toxicological studies on distyryl-substituted heterocyclic insecticides. Eur. Chem. Bull. 2021, 10, 225. [Google Scholar]
- Kagabu, S.; Murase, Y.; Imai, R.; Ito, N.; Nishimura, K. Effect of substituents at the 5-position of the pyridine ring of imidacloprid on insecticidal activity against Periplaneta americana. Pest Manag. Sci. 2007, 63, 75–83. [Google Scholar] [CrossRef]
- Shaker, N.; Badawy, M.E.; Hussein, A.M. Snail control with different and unspecific pesticides. J. Plant Prot. Pathol. 2015, 6, 1653–1661. [Google Scholar] [CrossRef][Green Version]
- Hussein, M.A.; Sabry, A.-K.H. Assessment of some new pesticides as molluscicides against the adult and eggs of chocolate banded snail, Eobania vermiculata. Bull. Natl. Res. Cent. 2019, 43, 75. [Google Scholar] [CrossRef]
- Xu, F.Z.; Wang, Y.Y.; Luo, D.X.; Yu, G.; Guo, S.X.; Fu, H.; Zhao, Y.H.; Wu, J. Design, synthesis, insecticidal activity and 3D-QSR study for novel trifluoromethyl pyridine derivatives containing an 1,3,4-oxadiazole moiety. RSC Adv. 2018, 8, 6306–6314. [Google Scholar] [CrossRef]
- Bakhite, E.A.; Abd-Ella, A.A.; El-Sayed, M.E.; Abdel-Raheem, S.A. Pyridine derivatives as insecticides. Part 2: Synthesis of some piperidinium and morpholinium cyanopyridinethiolates and their insecticidal activity. J. Saudi Chem. Soc. 2017, 21, 95–104. [Google Scholar] [CrossRef]
- Boeck, P.; Falcão, C.A.B.; Leal, P.C.; Yunes, R.A.; Filho, V.C.; Torres-Santos, E.C.; Rossi-Bergmann, B. Synthesis of chalcone analogues with increased antileishmanial activity. Bioorg. Med. Chem. 2006, 14, 1538. [Google Scholar] [CrossRef]
- Bakhite, E.A.; Abd-Ella, A.A.; El-Sayed, M.E.A.; Abdel-Raheem, S.A.A. Pyridine Derivatives as Insecticides. Part 1: Synthesis and Toxicity of Some Pyridine Derivatives Against Cowpea Aphid, Aphis craccivora Koch (Homoptera: Aphididae). J. Agric. Food Chem. 2014, 62, 9982–9986. [Google Scholar] [CrossRef] [PubMed]
- Sharaf, H.M. Histochemical changes of carbohydrate and protein contents in the digestive gland cells of the land snail Monacha cartusiana following starvation. Saudi J. Biol. Sci. 2009, 16, 51–55. [Google Scholar] [CrossRef] [PubMed][Green Version]
- Finney, D.J. Statistical Logic in the Monitoring of Reactions to Therapeutic Drugs. Methods Inf. Med. 1971, 10, 237–245. [Google Scholar] [CrossRef]
- Li, X.L.; Zhou, A.G. Evaluation of the Immunity Activity of Glycyrrhizin in AR Mice. Molecules 2012, 17, 716. [Google Scholar] [CrossRef] [PubMed]
- Khater, K.S.; El-Shafiey, S.N. Insecticidal effect of essential oils from two aromatic plants against Tribolium castaneum (Herbst),(Coleoptera: Tenebrionidae). Egypt. J. Biol. Pest Control 2015, 25, 129. [Google Scholar]
- Amer, T.A.; Ibrahim, H.A.; Badawy, M.E.; El-Sawi, M.R. Curacron toxicity on some rat liver functions 1-Nucelic acid metabolism and tranasaminationes activity. J. Egypt. Ger. Soc. Zool. Comp. Physiol. 1994, 14, 123. [Google Scholar]
- Pozzer, L.; Bezerra, I.C.; Kormelink, R.; Prins, M.; Peters, D.; Resende, R.D.O.; De Ávila, A.C. Characterization of a Tospovirus Isolate of Iris Yellow Spot Virus Associated with a Disease in Onion Fields in Brazil. Plant Dis. 1999, 83, 345–350. [Google Scholar] [CrossRef]
- Carleton, H.M.; Drury, R.A.B.; Wallington, E.A. Carleton’s Histological Technique; Oxford University Press: New York, NY, USA, 1980. [Google Scholar]







| Compd. No. | Conc. (mg/mL) | Mortality | LC50 (mg/mL) |
|---|---|---|---|
| 2 | 1 | 1 | 8.78 ± 0.86 |
| 2 | 2 | ||
| 3 | 3 | ||
| 4 | 3 | ||
| 3 | 1 | 0 | NA |
| 2 | 0 | ||
| 3 | 0 | ||
| 4 | 0 | ||
| 4a | 1 | 2 | 2.90 ± 0.25 |
| 2 | 4 | ||
| 3 | 4 | ||
| 4 | 6 | ||
| 4b | 1 | 2 | 3.03 ± 0.27 |
| 2 | 3 | ||
| 3 | 4 | ||
| 4 | 7 | ||
| 5 | 1 | 0 | NA |
| 2 | 1 | ||
| 3 | 1 | ||
| 4 | 2 | ||
| 6a | 1 | 0 | NA |
| 2 | 0 | ||
| 3 | 0 | ||
| 4 | 0 | ||
| 6b | 1 | 0 | NA |
| 2 | 0 | ||
| 3 | 0 | ||
| 4 | 0 | ||
| 6c | 1 | 0 | NA |
| 2 | 0 | ||
| 3 | 0 | ||
| 4 | 0 | ||
| 7 | 1 | 0 | NA |
| 2 | 0 | ||
| 3 | 0 | ||
| 4 | 0 | ||
| Acetamiprid | 1 | 5 | 0.93 ± 0.11 |
| 2 | 6 | ||
| 3 | 6 | ||
| 4 | 7 |
Publisher’s Note: MDPI stays neutral with regard to jurisdictional claims in published maps and institutional affiliations. |
© 2022 by the authors. Licensee MDPI, Basel, Switzerland. This article is an open access article distributed under the terms and conditions of the Creative Commons Attribution (CC BY) license (https://creativecommons.org/licenses/by/4.0/).
Share and Cite
Maaroof, H.M.A.; Albogami, B.; Abou-Elkhair, R.A.I.; Hassan, A.E.A.; Al-Akhrasy, F.I.; El-Massry, S.A.A.; Fayad, E.; Ahmed, H.H.; Zaki, I. Design, Synthesis, Characterization, and Molluscicidal Activity Screening of New Nicotinonitrile Derivatives against Land Snails, M. cartusiana. Molecules 2022, 27, 8284. https://doi.org/10.3390/molecules27238284
Maaroof HMA, Albogami B, Abou-Elkhair RAI, Hassan AEA, Al-Akhrasy FI, El-Massry SAA, Fayad E, Ahmed HH, Zaki I. Design, Synthesis, Characterization, and Molluscicidal Activity Screening of New Nicotinonitrile Derivatives against Land Snails, M. cartusiana. Molecules. 2022; 27(23):8284. https://doi.org/10.3390/molecules27238284
Chicago/Turabian StyleMaaroof, Hend M. A., Bander Albogami, Reham A. I. Abou-Elkhair, Abdalla E. A. Hassan, Fatma I. Al-Akhrasy, Salem A. A. El-Massry, Eman Fayad, Hamzah H. Ahmed, and Islam Zaki. 2022. "Design, Synthesis, Characterization, and Molluscicidal Activity Screening of New Nicotinonitrile Derivatives against Land Snails, M. cartusiana" Molecules 27, no. 23: 8284. https://doi.org/10.3390/molecules27238284
APA StyleMaaroof, H. M. A., Albogami, B., Abou-Elkhair, R. A. I., Hassan, A. E. A., Al-Akhrasy, F. I., El-Massry, S. A. A., Fayad, E., Ahmed, H. H., & Zaki, I. (2022). Design, Synthesis, Characterization, and Molluscicidal Activity Screening of New Nicotinonitrile Derivatives against Land Snails, M. cartusiana. Molecules, 27(23), 8284. https://doi.org/10.3390/molecules27238284

