Antioxidant and Anti-Melanogenesis Effects of Colloidal Gold Camellia sinensis L. Extracts
Abstract
:1. Introduction
2. Results
2.1. Total Polyphenol and Flavonoid Contents
2.2. DPPH Radical Scavenging Activity of the CGCS Extract
2.3. Cell Viability of the CGCS Extract
2.4. Inhibitory Effect of the CGCS Extract on Melanogenesis
2.5. Inhibitory Effect of the CGCS Extract on Intracellular Tyrosinase Activity
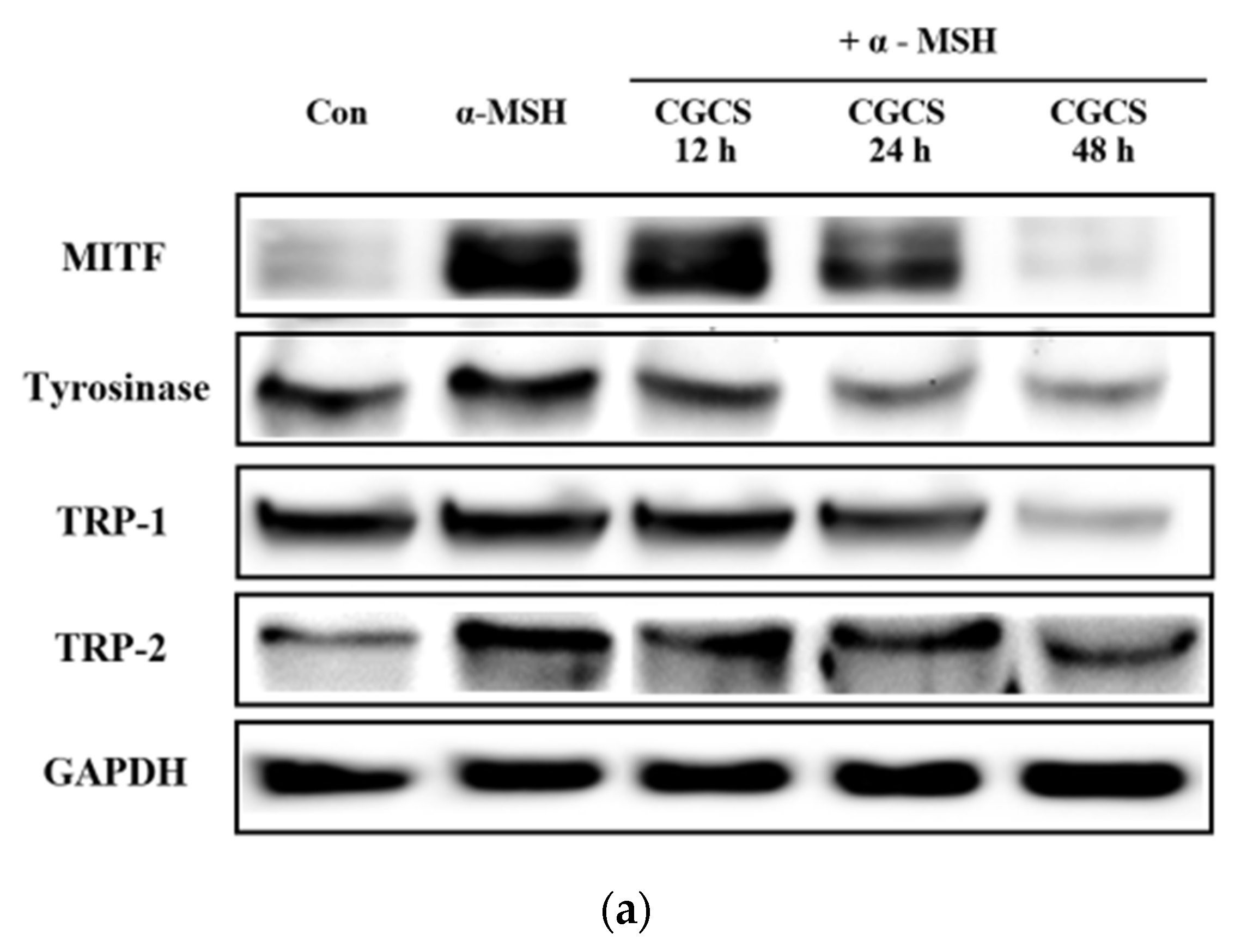
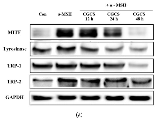
2.6. Inhibitory Effect of the CGCS Extract on MITF, Tyrosinase, TRP-1 and TRP-2 Protein Expression
3. Discussion
4. Materials and Methods
4.1. Materials (Reagents)
4.2. Preparation of the CGCS Extract
4.3. Total Polyphenol Contents
4.4. Total Flavonoid Content
4.5. DPPH Radical Scavenging Activity
4.6. Cell Culture
4.7. Cell Viability Assay
4.8. Measurement of Melanin Content
4.9. Intracellular Tyrosinase Activity Assay
4.10. Western Blot Analysis
4.11. Statistical Analysis
5. Conclusions
Author Contributions
Funding
Institutional Review Board Statement
Informed Consent Statement
Data Availability Statement
Conflicts of Interest
Sample Availability
References
- Jin, K.S.; Oh, Y.N.; Park, J.A.; Lee, J.Y.; Jin, S.J.; Hyun, S.K.; Hwang, H.J.; Kwon, H.J.; Kim, B.W. Anti-oxidant, anti-melanogenic, and anti-inflammatory activities of Zanthoxylum schinifolium extract and its solvent fractions. Korean J. Microbiol. Biotecnol. 2012, 40, 371–379. [Google Scholar] [CrossRef]
- Kim, B.A. Inhibitory effects of fractions from glycine soja siebold et zucc. on melanogenesis in B16F10 melanoma cells. J. Soc. Cosmet. Sci. Korea 2017, 43, 231–237. [Google Scholar]
- Maeda, K.; Fukuda, M. In vitro effectiveness of several whitening cosmetic components in human melanocytes. J. Soc. Cosmet. Chem. 1991, 42, 361–368. [Google Scholar]
- Bentley, N.J.; Eisen, T.; Goding, C.R. Melanocyte-specific expression of the human tyrosinase promoter: Activation by the microphthalmia gene product and role of the initiator. Mol. Cell. Biol. 1994, 14, 7996–8006. [Google Scholar]
- Briganti, S.; Camera, E.; Picardo, M. Chemical and instrumental approaches to treat hyperpigmentation. Pigment Cell Res. 2003, 16, 101–110. [Google Scholar] [CrossRef]
- Sim, S.A.; Oh, C.J.; Kim, Y.C.; Cho, Y.K. Melanogenesis inhibition and inhibition patterns of green and white tea extracts for tyrosinases from mushroom and mouse. J. Investig. Cosmetol. 2018, 14, 413–419. [Google Scholar]
- Aksan, I.; Goding, C.R. Targeting the microphthalmia basic helix-loop- helix-leucine zipper transcription factor to a subset of E-box elements in vitro and in vivo. Mol. Cell. Biol. 1998, 18, 6930–6938. [Google Scholar] [CrossRef]
- Hodgkinson, C.A.; Moore, K.J.; Nakayama, A.; Steingrimsson, E.; Copeland, N.G.; Jenkins, N.A.; Arnheiter, H. Mutations at the mouse microphthalmia locus are associated with defects in a gene encoding a novel basic-helix-loop-helix-zipper protein. Cell 1993, 74, 395–404. [Google Scholar] [CrossRef]
- Steingrimsson, E.; Moore, K.J.; Lamoreux, M.L.; Ferre-D’Amare, A.R.; Burley, S.K.; Zimring, D.C.; Skow, L.C.; Hodgkinson, C.A.; Arnheiter, H.; Copeland, N.G.; et al. Molecular basis of mouse microphthalmia(mi) mutations helps explain their developmental and phenotypic consequences. Nat. Genet. 1994, 8, 256–263. [Google Scholar] [CrossRef]
- Widlund, H.R.; Fisher, D.E. Microphthalamia-associated transcription factor: A critical regulator of pigment cell development and survival. Oncogene 2003, 22, 3035–3041. [Google Scholar] [CrossRef]
- Seo, E.J.; Hong, E.S.; Choi, M.H.; Kim, K.S.; Lee, S.J. The antioxidant and skin whitening effect of Artemisia iwayomogi extracts. Korean J. Food Sci. Technol. 2012, 44, 89–93. [Google Scholar] [CrossRef]
- Pillaiyar, T.; Manickam, M.; Namasivayam, V. Skin whitening agents: Medicinal chemistry perspective of tyrosinase inhibitors. J. Enzym. Inhib. Med. Chem. 2017, 32, 403–425. [Google Scholar] [CrossRef]
- Niu, C.; Aisa, H.A. Upregulation of Melanogenesis and Tyrosinase Activity: Potential Agents for Vitiligo. Molecules 2017, 22, 1303. [Google Scholar] [CrossRef] [PubMed]
- Slominski, A.; Tobin, D.J.; Shibahara, S.; Wortsman, J. Melanin pigmentation in mammalian skin and its hormonal regulation. Physiol. Rev. 2004, 84, 1155–1228. [Google Scholar] [CrossRef]
- Cho, E.J.; Ju, H.M.; Jeong, C.H.; Eom, S.H.; Heo, H.J.; Kim, D.O. Effect of phenolic extract of dry leaves of Lespedeza cuneata G. Don on antioxidant capacity and tyrosinase inhibition. Korean J. Hortic. Sci. Technol. 2011, 29, 358–365. [Google Scholar]
- Yoo, D.H.; Kim, J.T.; Oh, M.J.; Yeom, H.J.; Lee, J.Y. Whitening activity of sambucus sieboldiana Var. Pendula (Nakai) Extract. J. Life Sci. 2019, 29, 279–286. [Google Scholar]
- Yagi, A.; Kanbara, T.; Morinobu, N. Inhibition of mushroom-tyrosinase by aloe extract. Planta Med. 1987, 53, 515–517. [Google Scholar] [CrossRef]
- Lin, Y.L.; Lin, J.K. (−)-Epigallocatechin-3-gallate blocks the induction of nitric oxide synthase by down-regulating lipopolysaccharide-induced activity of transcription factor nuclear factor-κB. Mol. Pharmacol. 1997, 52, 465–472. [Google Scholar] [CrossRef]
- An, B.J.; Kwak, J.H.; Son, J.H.; Park, J.M.; Lee, J.Y.; Park, T.S.; Kim, S.Y.; Kim, Y.S.; Jo, C.; Byun, M.W. Physiological activity of irradiated green tea polyphenol on the human skin. Am. J. Chin. Med. 2005, 33, 535–546. [Google Scholar] [CrossRef]
- Hibasami, H.; Komiya, T.; Achiwa, Y.; Ohnishi, K.; Kojima, T.; Nakanishi, K.; Akashi, K.; Hara, Y. Induction of apoptosis in human stomach cancer cells by green tea catechins. Oncol. Rep. 1998, 5, 527–529. [Google Scholar] [CrossRef]
- Bursill, C.A.; Abbe, M.; Roach, P.D. A green tea extract lowers plasma cholesterol by inhibiting cholesterol synthesis and upregulating the LDL receptor in the cholesterol-fed rabbit. Atherosclerosis 2007, 193, 86–93. [Google Scholar] [CrossRef]
- Lee, L.S.; Kim, S.H.; Kim, Y.B.; Kim, Y.C. Quantitative analysis of major constituents in green tea with different plucking periods and their antioxidant activity. Molecules 2014, 19, 9173–9186. [Google Scholar] [CrossRef]
- Kondo, K.; Kurihara, M.; Miyata, N.; Suzuki, T.; Toyoda, M. Scavenging mechanisms of (-)-epigallocatechin gallate and (-)-epicatechin gallate on peroxyl radicals and formation of superoxide during the inhibitory action. Free Radic. Biol. Med. 1999, 27, 855–863. [Google Scholar] [CrossRef]
- Hamilton-Miller, J.M. Antimicrobial properties of tea (Camellia sinensis L.). Antimicrob. Agents Chemother. 1995, 39, 2375–2377. [Google Scholar] [CrossRef]
- Woo, H.S.; Choi, H.J.; Han, H.S.; Park, J.H.; Son, J.H.; An, B.J.; Son, G.M.; Choi, C. Isolation of polyphenol from green tea by HPLC and its physiological activities. Korean J. Food Sci. Technol. 2003, 35, 1199–1203. [Google Scholar]
- Weber, J.M.; Ruzindana-Umunyana, A.; Imbeault, L.; Sircar, S. Inhibition of adenovirus infection and adenain by green tea catechins. Antivir. Res. 2003, 58, 167–173. [Google Scholar] [CrossRef]
- Barathmanikanth, S.; Kalishwaralal, K.; Sriram, M.; Pandian, S.R.; Youn, H.S.; Eom, S. Anti-oxidant effect of gold nanoparticles restrains hyperglycemic conditions in diabetic mice. J. Nanobiotechnology 2010, 8, 16. [Google Scholar] [CrossRef] [Green Version]
- Mukherjee, S.; Ghosh, S.; Das, D.K.; Chakraborty, P.; Choudhury, S.; Gupta, P.; Adhikary, A.; Dey, S.; Chattopadhyay, S. Gold-conjugated green tea nanoparticles for enhanced anti-tumor activities and hepatoprotection—Synthesis, characterization and in vitro evaluation. J. Nutr. Biochem. 2015, 26, 1283–1297. [Google Scholar] [CrossRef]
- Nijveldt, R.J.; van Nood, E.; van Hoorn, D.E.; Boelens, P.G.; van Norren, K.; van Leeuwen, P.A. Flavonoids: A review of probable mechanisms of action and potential applications. Am. J. Clin. Nutr. 2001, 74, 418–425. [Google Scholar] [CrossRef]
- Oh, Y.J.; Seo, H.R.; Choi, Y.M.; Jung, D.S. Evaluation of Antioxidant Activity of the Extracts from the Aerial parts of Cnidium officinale Makino. Korean J. Med. Crop Sci. 2010, 18, 373–378. [Google Scholar]
- Kim, H.L.; Ryu, S.H.; Kim, S.Y.; Seo, H.H.; Moh, S.H. Study on 8 kinds of herbal mixed extract powder for skin efficacy. Korean Soc. Cosmet. Cosmetol. 2016, 6, 121. [Google Scholar]
- Del Marmol, V.; Beermann, F. Tyrosinase and related proteins in mammalian pigmentation. FEBS Lett. 1996, 381, 165–168. [Google Scholar] [CrossRef]
- Bu, H.J.; Riu, K.Z.; Lee, S.J. Anti-melanogenesis Effect of Canavalia lineata Extract. J. Soc. Cosmet. Sci. Korea 2004, 30, 485–489. [Google Scholar]
- Costin, G.E.; Hearing, V.J. Human skin pigmentation: Melanocytes modulate skin color in response to stress. FASEB J. 2007, 21, 976–994. [Google Scholar] [CrossRef] [PubMed]
- Park, H.Y.; Kosmadaki, M.; Yaar, M.; Gilchrest, B.A. Cellular mechanisms regulating human melanogenesis. Cell. Mol. Life Sci. 2009, 66, 1493–1506. [Google Scholar] [CrossRef]
- D’Orazio; Jarrett, S.; Amaro-Ortiz, A.; Scott, T. UV radiation and the skin. Int. J. Mol. Sci. 2013, 14, 12222–12248. [Google Scholar]
- Del Bino, S.; Duval, C.; Bernerd, F. Clinical and biological characterization of skin pigmentation diversity and its consequences on UV impact. Int. J. Mol. Sci. 2018, 19, 2668. [Google Scholar] [CrossRef]
- Rusak, G.; Komes, D.; Likić, S.; Horžić, D.; Kovač, M. Clinical and biological characterization of skin pigmentation diversity and its consequences on UV impact. Food Chem. 2008, 110, 852–858. [Google Scholar] [CrossRef]
- Sung, K.C. A Study on the Pharmacetical Characteristics and Analysis of Green-tea Extract. J. Korean Oil Chem. Soc. 2006, 23, 115–124. [Google Scholar]
- Roh, E.; Kim, J.E.; Kwon, J.Y.; Park, J.S.; Bode, A.M.; Dong, Z.; Lee., K.W. Molecular mechanisms of green tea polyphenols with protective effects against skin photoaging. Crit. Rev. Food Sci. Nutr. 2017, 24, 1631–1637. [Google Scholar] [CrossRef]
- Pillaiya, T.; Namasivayam, V.; Manickam, M.; Jun, S.H. Inhibitors of Melanogenesis: An Updated Review. J. Med. Chem. 2018, 61, 7395–7418. [Google Scholar] [CrossRef]
- Wang, L.; Oh, J.Y.; Jayawardena, T.U.; Jeon, Y.J.; Ryu, B.M. Anti-inflammatory and anti-melanogenesis activities of sulfated polysaccharides isolated from Hizikia fusiforme: Short communication. Int. J. Biol. Macromol. 2020, 142, 545–550. [Google Scholar] [CrossRef] [PubMed]
- Azam, M.S.; Choi, J.K.; Lee, M.S.; Kim, H.R. Hypopigmenting Effects of Brown Algae-Derived Phytochemicals: A Review on Molecular Mechanisms. Mar. Drugs 2017, 15, 297. [Google Scholar] [CrossRef] [PubMed]
- Kim, D.S.; Park, S.H.; Kwon, S.B.; Li, K.; Youn, S.W.; Park, K.C. (-)-Epigallocatechin-3-gallate and hinokitiol reduce melanin synthesis via decreased MITF production. Arch. Pharm. Res. 2004, 27, 334–339. [Google Scholar] [CrossRef] [PubMed]
- Zhang, X.; Li, J.; Li, Y.; Liu, Z.; Lin, Y.; Huang, J.A. Anti-melanogenic effects of epigallocatechin-3-gallate (EGCG), epicatechin-3-gallate (ECG) and gallocatechin-3-gallate (GCG) via down-regulation of cAMP/CREB/MITF signaling pathway in B16F10 melanoma cells. Fitoterapia 2020, 145, 104634. [Google Scholar] [CrossRef] [PubMed]
- Folin, O.; Denis, W. On phosphotungstic-phosphomolybdic compounds as color reagents. J. Biol. Chem. 1912, 12, 239–243. [Google Scholar] [CrossRef]
- Woisky, R.G.; Salatino, A. Analysis of propolis: Some parameters and procedures for chemical quality control. J. Apic. Res. 1998, 37, 99–105. [Google Scholar] [CrossRef]
- Blois, M.S. Antioxidant determinations by the use of a stable free radical. Nature 1958, 181, 1199–1200. [Google Scholar] [CrossRef]
- Mosmann, T. Rapid colorimetric assay for cellular growth and survival: Application to proliferation and cytotoxicity assays. J. Immunol. Methods 1983, 65, 55–63. [Google Scholar] [CrossRef]






Publisher’s Note: MDPI stays neutral with regard to jurisdictional claims in published maps and institutional affiliations. |
© 2022 by the authors. Licensee MDPI, Basel, Switzerland. This article is an open access article distributed under the terms and conditions of the Creative Commons Attribution (CC BY) license (https://creativecommons.org/licenses/by/4.0/).
Share and Cite
Shin, S.; Kim, M.; Song, N.; Sun, S.; Choi, J.; Park, K. Antioxidant and Anti-Melanogenesis Effects of Colloidal Gold Camellia sinensis L. Extracts. Molecules 2022, 27, 5593. https://doi.org/10.3390/molecules27175593
Shin S, Kim M, Song N, Sun S, Choi J, Park K. Antioxidant and Anti-Melanogenesis Effects of Colloidal Gold Camellia sinensis L. Extracts. Molecules. 2022; 27(17):5593. https://doi.org/10.3390/molecules27175593
Chicago/Turabian StyleShin, Seoyeon, Minjeong Kim, Nuri Song, Sangouk Sun, Joonyong Choi, and Kyungmok Park. 2022. "Antioxidant and Anti-Melanogenesis Effects of Colloidal Gold Camellia sinensis L. Extracts" Molecules 27, no. 17: 5593. https://doi.org/10.3390/molecules27175593
APA StyleShin, S., Kim, M., Song, N., Sun, S., Choi, J., & Park, K. (2022). Antioxidant and Anti-Melanogenesis Effects of Colloidal Gold Camellia sinensis L. Extracts. Molecules, 27(17), 5593. https://doi.org/10.3390/molecules27175593

